Perfecta 900

User report by ZTM (Master dental technician) Jürgen Auffarth
Salzburg, Austria
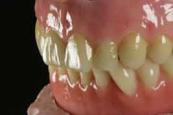
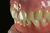
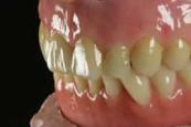
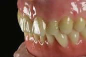
Where the dentist needs a contra-angle handpiece, the dental technician needs a handpiece. It is perhaps the most frequently used instrument throughout our working life.
When you talk about the Perfecta 900 from W&H, you can confidently talk of it as an instrument. A quiet, powerful instrument with a great shape.
Throughout years of using devices driven by air turbines, the sounds have not always been music to the ears of users. Indeed, some areas of application justifiably require speeds of 200,000 rpm. Reduction by half with simultaneous water cooling makes perfect sense for the processing of modern materials such as zirconium oxide.
The Perfecta 900 consists of a control unit with a coolant tank and air supply for using a high-torque handpiece at speeds up to 50,000 rpm, plus a high-performance micro motor for speeds of up to 100,000 rpm with simultaneous water cooling. You can choose between either foot or knee-operated starters. The individual use of both instruments can be ensured easily via a space-saving tabletop control unit and adjusted in detail. Both handpieces have a blow-out function that allows you to process materials very efficiently by removing milled debris or dust immediately during use. In particular, the blow-out function simplifies work when using occlusion sprays while adapting metal crowns to the working stump and also using a stereo microscope, as it means that the material does not need to be settled after every grinding motion and thus the field of vision remains unchanged.
One notable point is the fact that the handpiece does not heat up much, even when processing non-precious alloys for lengthy periods of time. Where others have long since slowed down automatically, e.g. when cutting tooth crowns with large-diameter diamond wheels, the Perfecta 900 carries on easily. Due to the handpiece’s high maximum speed of 50,000 rpm, the user must always ensure that the individually adjustable speed is adapted for the maximum speed of the grinding, milling or polishing instrument being used.
Concentrated work is simplified by the additional cruise control function which can be adjusted separately. This means the technician can give his full attention to the material, for example when processing inlay, veneer or crown edges. High-strength ceramics such as zirconium oxide or lithium disilicate should be ground as softly as possible with fine-grain diamonds and water cooling. Using a handwheel on the reverse of the Perfecta 900 control unit, the intensity of the cooling spray can be adjusted so finely that a material bag underneath is enough to absorb moisture during operation.
Once you have finished, the Perfecta 900 rests in a non-slip rubber holder at a steep storage angle so that there is no risk of damaging the attached instruments.
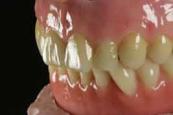
The process of refining materials through manual processing with rotary instruments is likely to be a fundamental part of our job for years to come. The Perfecta 900 covers all areas of application in modern dental technology by combining two micro motors in one control unit and achieving incredible added value through its additional integrated functions. A device that is essential to a modern, quality-orientated laboratory.



kommentarer