Berichte & Studien

Atraumatische Zahnextraktion:
Klinische Perspektiven von Prof. José Carlos Rosas Díaz

Prof. Dr. José Carlos Rosas Díaz ist Experte für orale Rehabilitation, Implantologie sowie Parodontologie. Mit seiner langjährigen Erfahrung in Forschung und klinischer Praxis befasst er sich intensiv mit den Vorteilen der atraumatischen Zahnextraktion. Im Kurzinterview spricht er über den Erhalt der vestibulären Knochenwand, die Möglichkeiten der Sofortimplantation und die Rolle der Piezotechnologie im modernen klinischen Alltag.


Prof. Dr. José Carlos Rosas Díaz
  • Experte für orale Rehabilitation, Implantologie sowie Parodontologie
Prof. Dr. José Carlos Rosas Díaz

Welche Vorteile sehen Sie in der atraumatischen Zahnextraktion?

Dr. Rosas: Mit der atraumatischen Extraktion können wir Zähne entfernen, ohne die vestibuläre Knochenwand zu verletzen. Diese ist meist sehr dünn, oft weniger als 0,5 Millimeter, und deshalb besonders anfällig. Gleichzeitig bleibt auch der proximale Knochenkamm erhalten, was vor allem im Frontzahnbereich wichtig ist – dort entscheidet er über die Ästhetik der Zahnfleischpapillen. Bei einer Sofortimplantation hat das folgende Vorteile: Wir können die komplette Architektur von Hart- und Weichgewebe bewahren, was den Implantaten ein viel natürlicheres Aussehen verleiht. Für die Patienten bedeutet das: weniger Trauma beim Eingriff, mehr Komfort und postoperativ weniger Schmerzen und Schwellungen. Wenn wir es außerdem mit trockenen Alveolen zu tun haben, können spezielle Piezo-Instrumente helfen, die Alveolenwände sanft abzutragen. Durch dieses vorsichtige Anrauen der Knochenoberfläche wird eine erneute Blutung angeregt, was das Risiko einer Alveolitis sicca deutlich senkt und die Heilung ohne Komplikationen unterstützt.

Abbildung: Röntgenbild zeigt Sagittale tomografische Schnitte der Zähne 1.1, 2.1 und 2.2 mit Darstellung der sehr dünnen vestibulären Knochenlamellen von weniger als 0,2 mm Dicke (a, c).
Abbildung: Röntgenbild zeigt Sagittale tomografische Schnitte der Zähne 1.1, 2.1 und 2.2 mit Darstellung der sehr dünnen vestibulären Knochenlamellen von weniger als 0,2 mm Dicke (a, c).
Abbildung: Röntgenbild zeigt Sagittale tomografische Schnitte der Zähne 1.1, 2.1 und 2.2 mit Darstellung der sehr dünnen vestibulären Knochenlamellen von weniger als 0,2 mm Dicke (a, c).
Abbildung 1: Sagittale tomografische Schnitte der Zähne 1.1, 2.1 und 2.2 mit Darstellung der sehr dünnen vestibulären Knochenlamellen von weniger als 0,2 mm Dicke (a, c).

Können Sie Fälle nennen, bei denen eine Sofortimplantation auch nach einer klassischen Zahnextraktion möglich wäre?

Dr. Rosas: Für eine erfolgreiche Sofortimplantation müssen bestimmte klinische Voraussetzungen erfüllt sein. Es sollte ein apikaler Knochenrest von mindestens 5 Millimetern vorhanden sein, zudem muss genügend stabiler Restknochen um die Alveole gegeben sein, um das Implantat sicher zu verankern und größere, infektiöse Prozesse dürfen nicht vorliegen. Besonders wichtig ist zudem eine vestibuläre Knochenwand mit einer Dicke von mehr als 1 Millimeter. Diese Stabilität kann in der Regel nur durch eine atraumatische Extraktion gewährleistet werden.

Wie unterstützt die W&H-Piezotechnologie Ihrer Meinung nach die atraumatische Zahnextraktion?

Dr. Rosas: W&H stellt sehr feine Instrumente (Anmerkung der Redaktion: z. B. EX1 & EX2) mit einer Stärke von nur 0,2 Millimetern zur Verfügung. Damit lässt es sich gezielt in den Parodontalspalt eindringen, um den Zahn kontrolliert zu luxieren. Mit entsprechendem klinischem Geschick wird die Extraktion dadurch deutlich vereinfacht. Gerade bei stark ankylosierten Zähnen älterer Patienten oder bei Zähnen mit langjähriger endodontischer Behandlung ermöglicht die Piezotechnologie schnelle und effiziente Extraktionen. Die spezielle Geometrie der Instrumente erlaubt zudem präzise Odontosektionen. Auf diese Weise wird die atraumatische Extraktion zu einem sicheren und vorhersehbaren Verfahren.

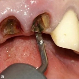
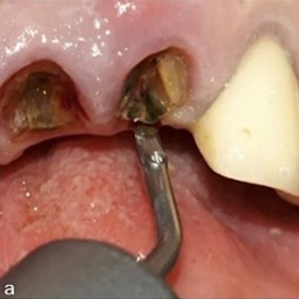
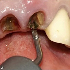
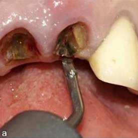
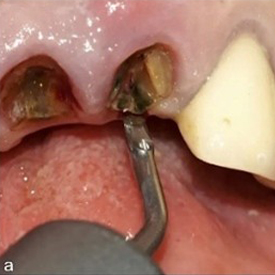
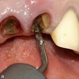
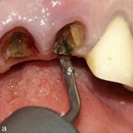
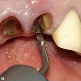
Abbildung 2: Syndesmotomie unter Verwendung des piezoelektrischen Instruments (EX1, W&H) (a), Positionierung am Desmodont der palatinalen Wurzelfragmente (b).

Über Prof. José Carlos Rosas

Dr. José Carlos Rosas Díaz, ehemaliger Direktor der Zahnmedizinischen Fakultät der Universidad Privada San Juan Bautista (UPSJB) in Lima, Peru, hat einen Masterabschluss in Zahnmedizin und ist als Forscher an der UPSJB tätig. Er ist Fachzahnarzt für umfassende orale Rehabilitation, Implantologie sowie Parodontologie.


Kommentare