Rapporter & Studier

The establishment of Atraumatic Tooth Extraction

Originally published in Dental Tribune Latin America

Chapter eight of the book "Cirugía piezoeléctrica. Generalidades y aplicaciones clínicas" highlights the increasing importance of atraumatic tooth extraction. This technique has become crucial with the widespread adoption of dental implant therapy, which depends on proper preparation of the alveolar bone for subsequent prosthetic restoration.

The authors outline the clinical steps involved in performing atraumatic tooth extraction using piezoelectric surgery. This technique simplifies the procedure and yields superior outcomes compared to conventional methods.

Tooth extraction is a surgical procedure routinely performed by most dental practitioners. However, with the emergence of dental implants meticulous management of both hard and soft tissues during the extraction has become increasingly evident.1,2

Post-extraction, significant dimensional changes occur in the remaining structures due to horizontal and vertical crestal bone resorption. These changes coincide with the progressive replacement of the empty socket by granulation tissue, connective tissue, provisional bone, and eventually, mature lamellar bone.2,3

Atraumatic tooth extraction facilitates the preservation of both soft and hard tissues, promotes an enhanced biological response for bone formation, and establishes a more favourable environment for immediate implant placement or alveolar ridge preservation.

Post-extraction horizontal bone loss affects approximately 30% of the buccal plate and 10% of the lingual plate.3 Studies indicate that up to 50% of the buccal plate may be lost within the first year.4 These dimensional changes correspond to reductions ranging from 2.6 mm to 4.5 mm in width and from 0.4 mm to 3.9 mm in height at the crestal level.5

Pre-existing conditions, such as thin buccal bone plates (< 1 mm), can further exacerbate this situation leading to post-extraction bone loss of up to 1.17 mm in height and 2.67 mm in width. Conversely, thick buccal plates (> than 1 mm) exhibit significantly less resorption, with losses of approximately 0.5 mm in height and 1.17 mm in width.6 Additionally, greater crestal resorption has been reported following multiple extractions compared to single-tooth extractions.6

Atraumatic tooth extraction refers to the meticulous removal of the tooth, aimed at minimising iatrogenic trauma commonly associated with conventional extraction methods. This approach preserves both soft and hard tissues, fostering an enhanced biological response for bone formation and socket filling, mitigating the risk of postoperative infection, maintaining the natural gingival tissue contour, improving the aesthetic outcome of the final restoration, and providing a more favourable environment for immediate implant placement or alveolar ridge preservation.7

Whenever feasible, atraumatic tooth extractions are conducted via flapless techniques, thereby fostering optimal bone regeneration by preventing soft tissue invagination and reducing postoperative gingival recession. Flapless surgical approaches were introduced due to their potential biological advantages, such as accelerated healing and, most importantly, the reduction of bone resorption associated with the loss of gingival perfusion when soft tissues are detached from the underlying bone.8 This technique is particularly well-suited for patients with a thin gingival biotype, where it helps to prevent aesthetic complications.9

Numerous consensus reports agree that the integrity of the buccal bone plate is the key determinant for a favourable aesthetic outcome, particularly in the anterior region. 7,10-12

Traditional extraction techniques remove the tooth utilising rotational movements and strong traction, thereby tearing Sharpey’s fibres from the bundle bone. This aggressive disruption of the periodontal ligament and associated fibres results in uncontrolled trauma within the alveolar socket, leading to a more pronounced collapse of the vascular network and subsequent resorption in the affected area.13 In contrast, the atraumatic piezoelectric technique allows precise positioning of instruments at the gingival sulcus level. These instruments advance between the root surface and the alveolar socket walls to a depth of up to 10 mm, facilitating the selective severing of only the most apical fibres. This approach enables gentle extraction and preservation of the crestal area, thereby significantly reducing the risk of bone resorption.14

Beyond its well-documented advantages in generating clean and precise cuts, piezoelectric surgery enhances the operator’s visibility, particularly when working in proximity to critical anatomical structures (e.g. vascular or neural bundles) and/or adjacent teeth exhibiting compromised proximal bone.15 This improved control helps to prevent iatrogenic complications.16,17 Furthermore, the technique requires minimal applied pressure thereby reducing heat generation at the surgical site.18 Bone removal around the tooth is characterised by its minimal and multidirectional nature, a distinct advantage over conventional techniques, which apply variable and unidirectional forces.11

When planning an atraumatic extraction, it is essential to consider key anatomical criteria such as root length, number of roots, and complex root morphology, as well as the presence of coronal remnants, previous endodontic treatment, or ankylosis. In such cases, it is important to highlight that piezoelectric devices offer a wide range of insert designs, which can be selected to match the specific morphology and spatial configuration of the root structure.14


Clinical Applications

Figure 1: Single-rooted tooth remnant with extensive coronal destruction and a subcrestal fracture.
Figure 2: Intrasulcular incision around the entire tooth.
Figure 3: Mesiodistal odontosection design using either a cutting insert or long-shank bur.
Figure 4: Initiation of the odontosection emplying a rotary instrument.
Figure 5: Completion of the odontosection using a piezoelectric instrument (B1 by W&H).
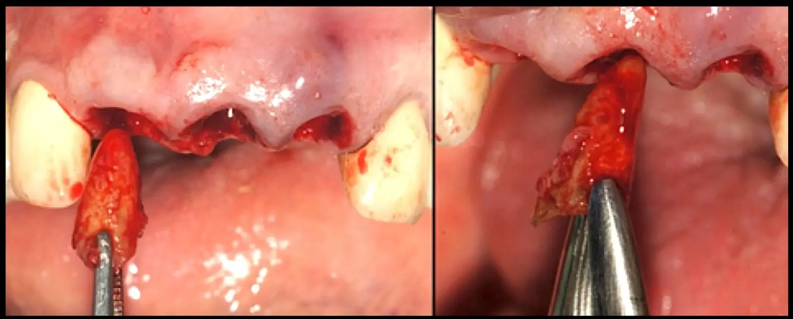
Figure 6: Fracture of the root remnant into two segments: buccal and palatal.
Figure 7: Debridement of the palatal fragment performed with the piezoelectric periotome (EX1 by W&H). This fragment is specifically targeted due to the typically greater thickness of the palatal bone plate.
Figure 8: Displacement of the palatal fragment.
Figure 9: Avulsion of the palatal fragment
Figure 10: Debridement of the buccal root fragment. If tomographic imaging reveals that it is very thin, it is recommended to avoid using periotomes or cutting instruments directly on the buccal aspect; instead, access should be gained via the internal borders of the adjacent root.
Figure 11: Displacement of the buccal fragment into the palatal aspect of the alveolus.

Upon completion of atraumatic tooth extraction, either alveolar ridge preservation or immediate implant placement with concomitant regeneration will be performed, as indicated by the individual case.

Figure 12: Completion of atraumatic tooth extraction with preservation of the bony plates and alveolar ridge.

Clinical case

A 68-year-old male patient presented with mobility of teeth 1.1, 2.1, and 2.2 after localised trauma. Clinical examination revealed root fractures and implant-supported restorations on adjacent teeth. Cone-beam computed tomography (CBCT) confirmed the clinical findings pertaining to the incisors, and atraumatic extractions were consequently indicated. Based on the dimensions of the remaining apical and palatal bone structures, which afforded predictable primary stability, post-extraction dental implants were planned, accompanied by simultaneous bone regeneration.

Figure 13: Frontal view of teeth 1.1, 2.1, and 2.2 showing root fracture diagnosis. Note the gingival contour disharmony, altered incisal plane, favourable amount of keratinised gingiva, and an apparently thick biotype.
Figure 14: Occlusal view: demonstrating preserved gingival contour.
Figure 15: Sagittal tomographic sections of teeth 1.1, 2.1, and 2.2 revealing very thin buccal bone plates with thicknesses less than 0.2 mm (a, c).
Figure 16: Initial mesiodistal root hemisection to a depth of approximately 10 mm in teeth 1.1, 2.1, and 2.2 using a flat serrated piezo instrument (B6 by W&H), taking care to avoid damage to the proximal bone crests (a, b, c).
Figure 17: Occlusal view of the mesiodistal cuts of the root remnants.
Figure 18: Syndesmotomy using the piezoelectric periotome (EX1 by W&H) (a), positioned in the periodontal ligament space at the level of the palatal fragments (b).
Figure 19: Extraction of the palatal fragments of teeth 1.1, 2.1, and 2.2 due to the greater thickness of the palatal bone plate (a, b, c).
Figure 20: Extraction of the buccal fragments by displacing the remnants into the spaces created by the removal of the palatal fragments (a, b).
Figure 21. Post-extraction sockets of teeth 1.1, 2.1, and 2.2 demonstrating the absence of buccal bone plates.
Figure 22: Following the preparation of the implant beds, parallelism pins were inserted to occlude the prepared sites, thereby facilitating the placement of bone graft material. Subsequently, resorbable membranes were positioned within the alveolus using the cone technique (a, b).
Figure 23: Placement of bovine bone biomaterial in the space delineated by the parallelism pin and the membrane. It is noteworthy that a larger residual space, correlates with a thicker newly formed buccal bone plate.
Figure 24: Occlusal view of the alveolar sockets filled with compacted biomaterial.
Figure 25: Removal of the parallelism pins and placement of 3.5 mm diameter × 11.5 mm length nanotechnology implants (Unitite, S.I.N., Brazil), positioned subcrestally, maintaining a 3 mm inter-platform spacing to preserve the integrity of the bone crests and interdental papillae.
Figure 26: Occlusal view of the placed implants and compaction of the bone graft material around the implants.
Figure 27: Primary closure achieved by rotating a pedicled palatal flap towards the buccal aspect and suturing with 4/0 polyglycolic acid sutures, combined with secondary intention healing of the denuded area, while preserving the integrity of the gingival papillae.
Figure 28: Post-surgical frontal view with a removable provisional prosthesis (a). Follow-up on day seven showing favourable healing attributed to ovate pontic provisionals, preservation of the papillary contours, and overall positive tissue response (b).
Figure 29: Universal abutments placed at the fourth month of the osseointegration period (a). Preservation of the papillary heights is also evident. Occlusal view showing peri-implant tissue health, with the creation of appropriate emergence profiles and preservation of the alveolar ridge contour (b).
Figure 30: Implant stability measurements using resonance frequency analysis. ISQ values ranged between 55 and 57, indicating that further mineralisation of the peri-implant bone matrix is required (a, b).
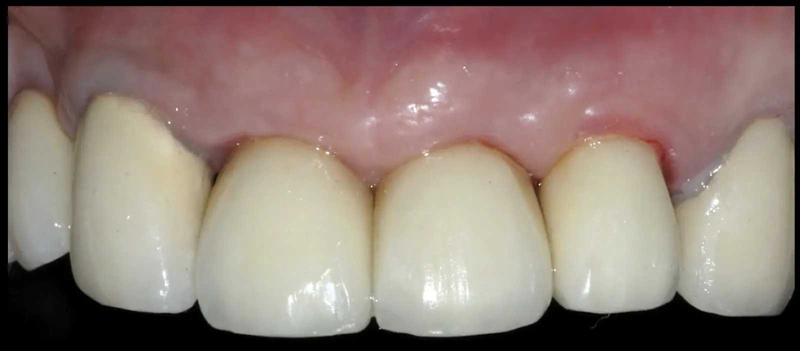
Figure 31: Completed and rehabilitated case preserving the alveolar ridge contour, gingival margin, and papillary height.
Figure 32: Four-month postoperative follow-up (a) demonstrating the formation of a new crestal buccal bone plate (b), exceeding 2 mm thickness at all placed implants (c).

Conclusion

Atraumatic tooth extraction facilitated by piezoelectric surgery offers biological advantages, including accelerated healing and reduced bone resorption. This flapless protocol has gained considerable importance following the advent of dental implant therapy.

Special Series: Piezo surgery
Click here to see the summary of the 11 articles.

The series of articles on piezo surgery is based on the book “Cirugía piezoeléctrica. Generalidades y aplicaciones clínicas” by José Carlos Rosas and collaborators on this technology.

The book, co-authored with Jerson Palomino Zorrilla, Karla Díaz Cavero, and María Eugenia Guerrero Acevedo from Universidad Privada San Juan Bautista in Lima, Peru, provides the most up-to-date scientific evidence supporting the clinical value of various piezoelectric procedures, demonstrating their practical utility in the dental office through the publication of numerous clinical cases.


The book "Cirugía piezoeléctrica. Generalidades y aplicaciones clínicas" explains the fundamental principles of this technology and demonstrates its practical utility in the dental clinical setting through detailed clinical case reports.

Reference

  1. Lui JN, Khin MM, Krishnaswamy G, et al. Prognostic factors relating to the outcome of endodontic microsurgery. J Endod. 2014;40(8):1071-1076.
  2. Kerekes K, Tronstad L. Long-term results of endodontic treatment performed with a standardized technique. J Endod. 1979;5(3):83-90.
  3. Lieblich SE. Endodontic surgery. Dent Clin North Am. 2012;56(1):121-ix.
  4. Walton RE, Ardjmand K. Histological evaluation of the presence of bacteria in induced periapical lesions in monkeys. J Endod.1992;18(5):216-27.
  5. Tronstad L, Barnett F, Cervone F. Periapical bacterial plaque in teeth with refractory to endodontic treatment. Endod Dent Traumatol. 1990;6(2):73-7.
  6. Jepsen K, Schneider E, Dommisch H, et al. Management of a Central Incisor with Horizontal Root Fracture for Esthetic and Functional Rehabilitation. Int J Periodontics Restorative Dent. 2016;36(1):65-73.
  7. Brito-Junior M, Faria-e-Silva AL, Quintino AC, et al. Orthograde retreatment failure with extruded MTA apical plug in a large periradicular lesion followed by surgical intervention: case report. Gen Dent. 2012;60(2):96-100.
  8. Szalma J, Soós B, Krajczár K, et al. Piezosurgical management of sealer extrusion-associated mental nerve anaesthesia: A case report. Aust Endod J. 2019;45(2):274-280.
  9. Kang M, In Jung H, Song M, et al. Outcome of nonsurgical retreatment and endodontic microsurgery: a meta-analysis. Clin Oral Investig. 2015;19(3):569-582.
  10. Abella F, de Ribot J, Doria G, et al. Applications of piezoelectric surgery in endodontic surgery: a literature review. J Endod. 2014;40(3):325-332.
  11. Kim S, Kratchman S. Modern endodontic surgery concepts and practice: a review. J Endod. 2006;32(7):601-23.
  12. Song M, Nam T, Shin SJ, Kim E. Comparison of clinical outcomes of endodontic microsurgery: 1 year versus long-term follow-up. J Endod. 2014;40(4):490-494.
  13. Lofthag-Hansen S, Huumonen S, Gröndahl K, et al. Limited cone-beam CT and intraoral radiography for the diagnosis of periapical pathology. Oral Surg Oral Med Oral Pathol Oral Radiol Endod. 2007;103(1): 114-9.
  14. Strbac GD, Schnappauf A, Giannis K, et al. Guided Modern Endodontic Surgery: A Novel Approach for Guided Osteotomy and Root Resection. J Endod. 2017;43(3):496-501.
  15. Moreno-Rabié C, Torres A, Lambrechts P, et al. Clinical applications, accuracy and limitations of guided endodontics: a systematic review. Int Endod J. 2020;53(2):214-231.
  16. Kocyigit ID, Atil F, Alp YE, et al. Piezosurgery versus conventional surgery in radicular cyst enucleation. J Craniofac Surg. 2012; 23(6):1805-8.
  17. Hirsch V, Kohli MR, Kim S. Apicoectomy of maxillary anterior teeth through a piezoelectric bony-window osteotomy: two case reports introducing a new technique to preserve cortical bone. Restor Dent Endod. 2016;41(4):310-315.
  18. Gagliani M, Taschieri S, Molinari R. Ultrasonic root-end preparation: influence of cutting angle on the apical seal. J Endod. 1998;24(11):726-30.
  19. Rubinstein RA, Kim S. Short-term observation of the results of endodontic surgery with the use of surgical operation microscope and Super-EBA as root end filling material. J Endod. 1999;25(1):43-8.
  20. Del Fabbro M, Tsesis I, Rosano G, et al. Scanning electron microscopic analysis of the integrity of the root-end surface after root-end management using piezoelectric device: a cadaveric study. J Endod. 2010;36(10):1693-7.
  21. Tsesis I, Rosen E, Taschieri S, et al. Outcomes of surgical endodontic treatment performed by a modern technique: an updated meta-analysis of the literature. J Endod. 2013;39(3):332-9.
  22. Bastien AV, Adnot J, Moizan H, et al. Secondary surgical decompression of the inferior alveolar nerve after overfilling of endodontic sealer into the mandibular canal: Case report and literature review. J Stomatol Oral Maxillofac Surg. 2017;118(6):389-392.

kommentarer