Reports & Studies

Periodontitis – is it a risk for peri-implantitis....?

PD Dr. Kristina Bertl, PhD MSc MBA

Affecting approximately 750 million people, periodontitis is the sixth most common disease worldwide. Apart from caries, it is the most common cause of tooth loss. Consequently, periodontitis patients often ask their dentist about implant-supported dentures.

But just how great is the risk of periodontitis patients developing peri-implant mucositis or even peri-implantitis and, in the worst-case scenario, of experiencing implant failure compared with patients without periodontitis – smaller, the same or larger?

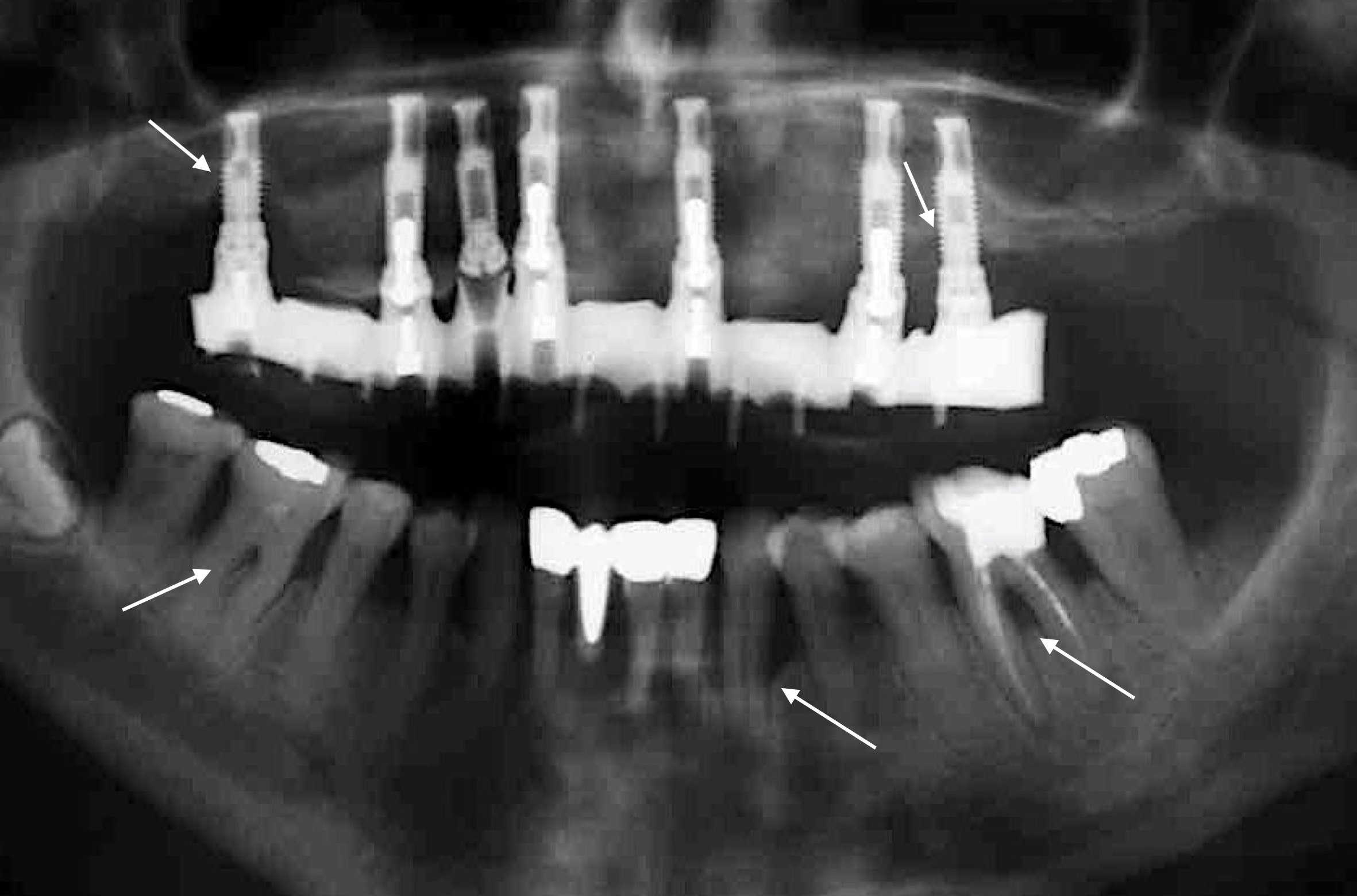
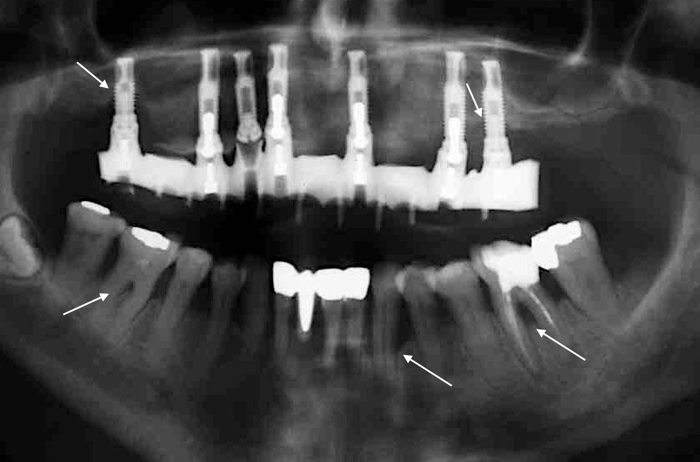
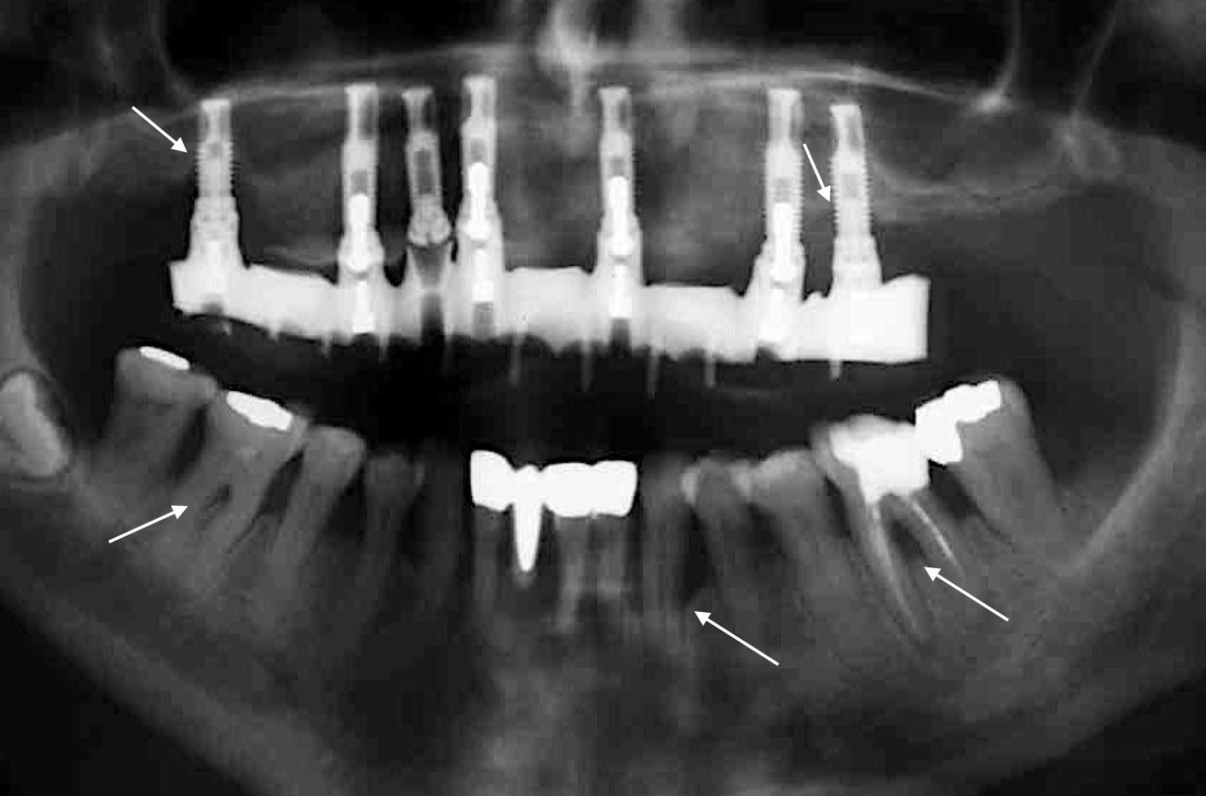
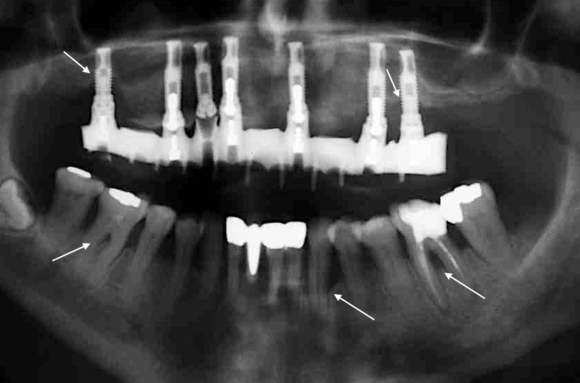
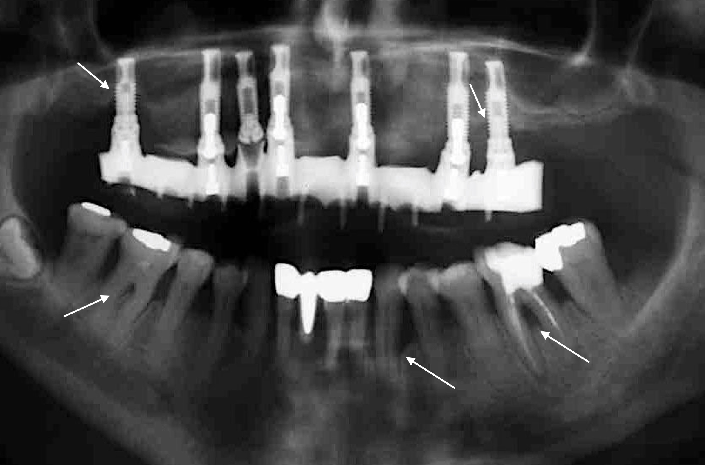
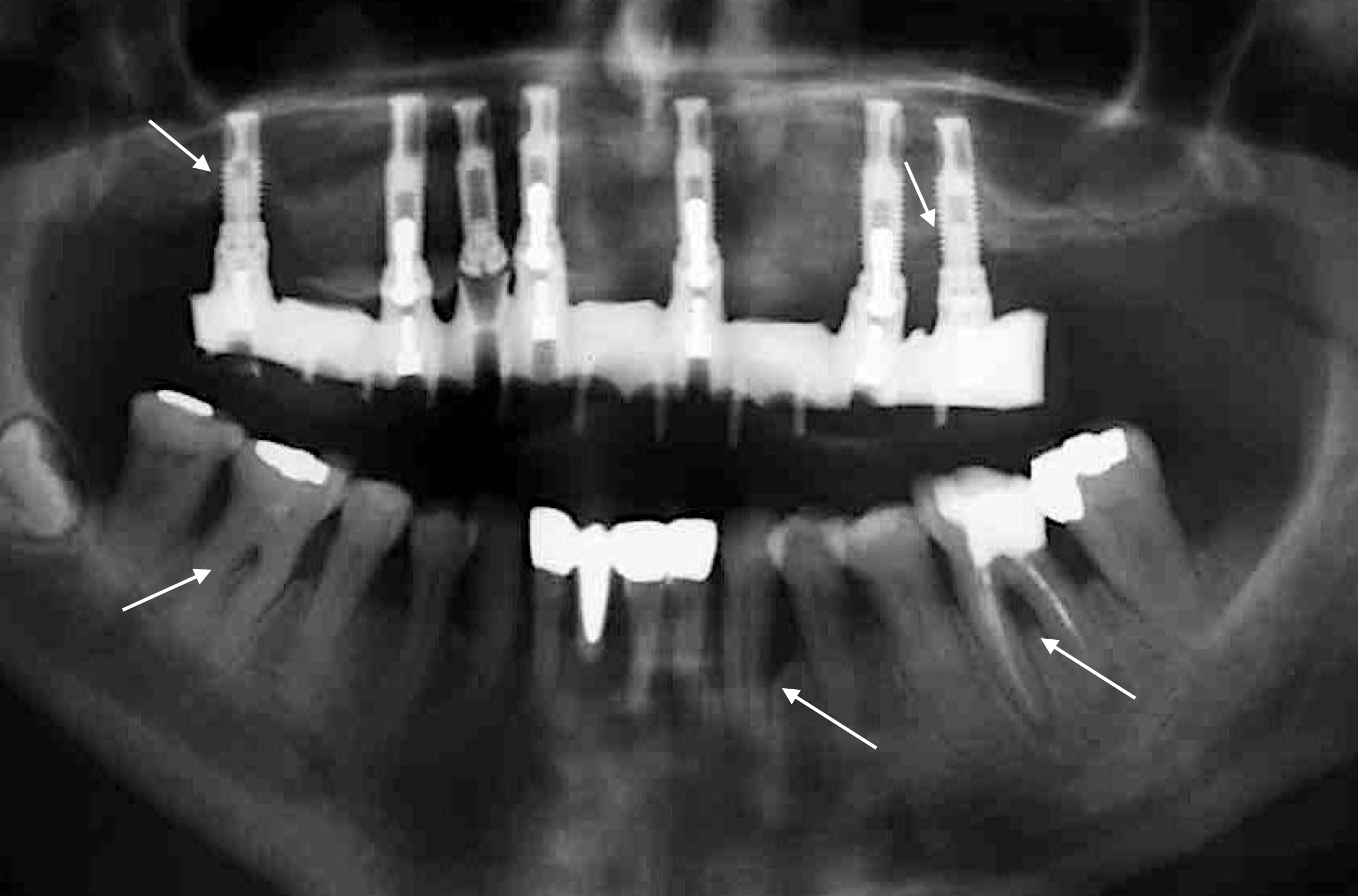
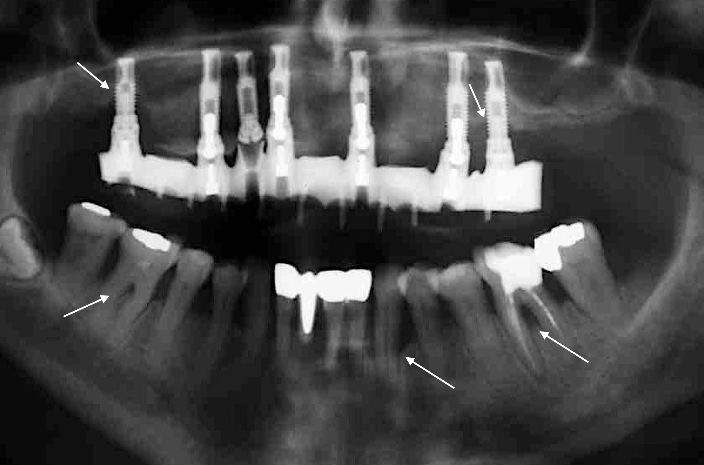
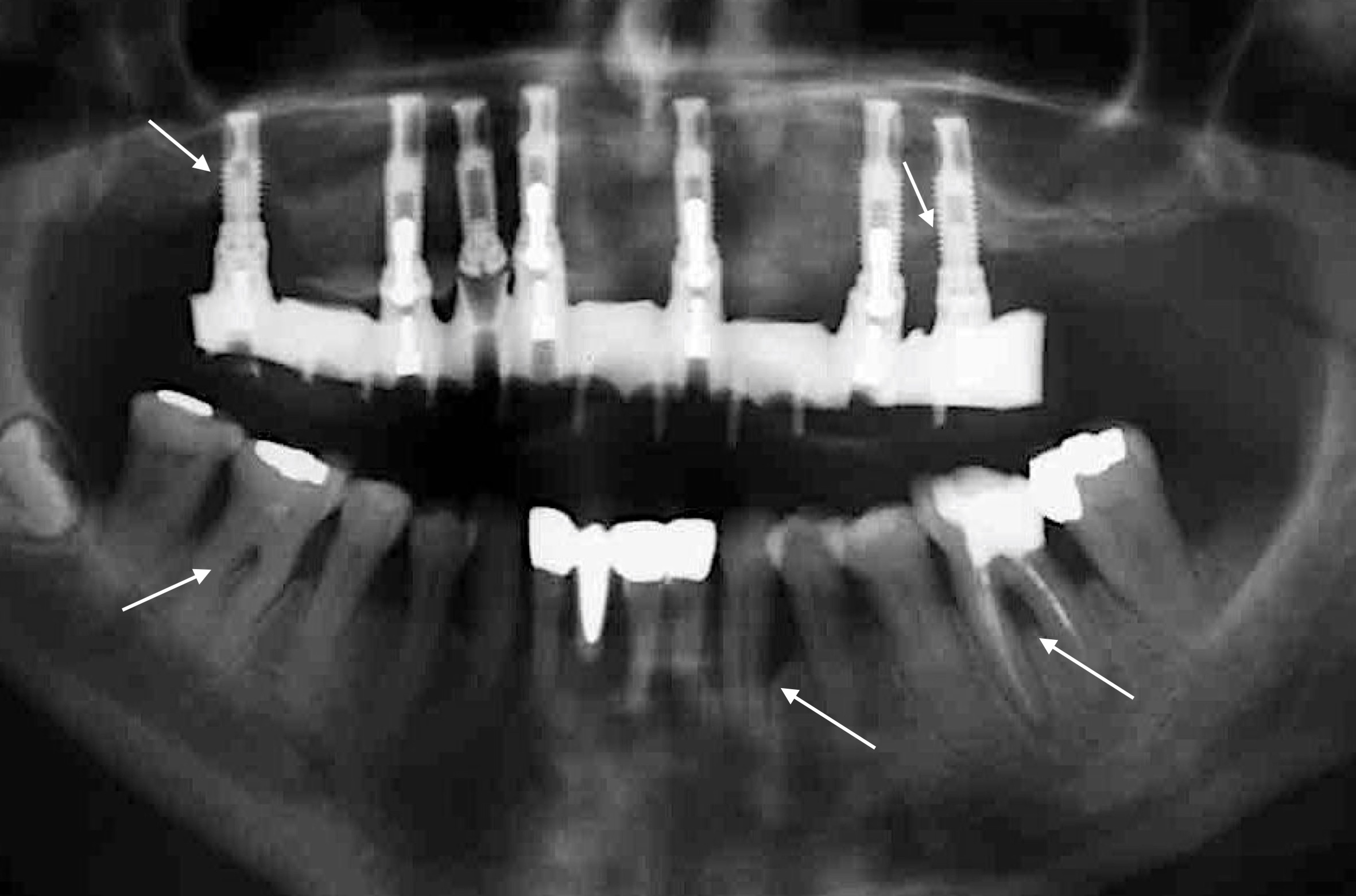
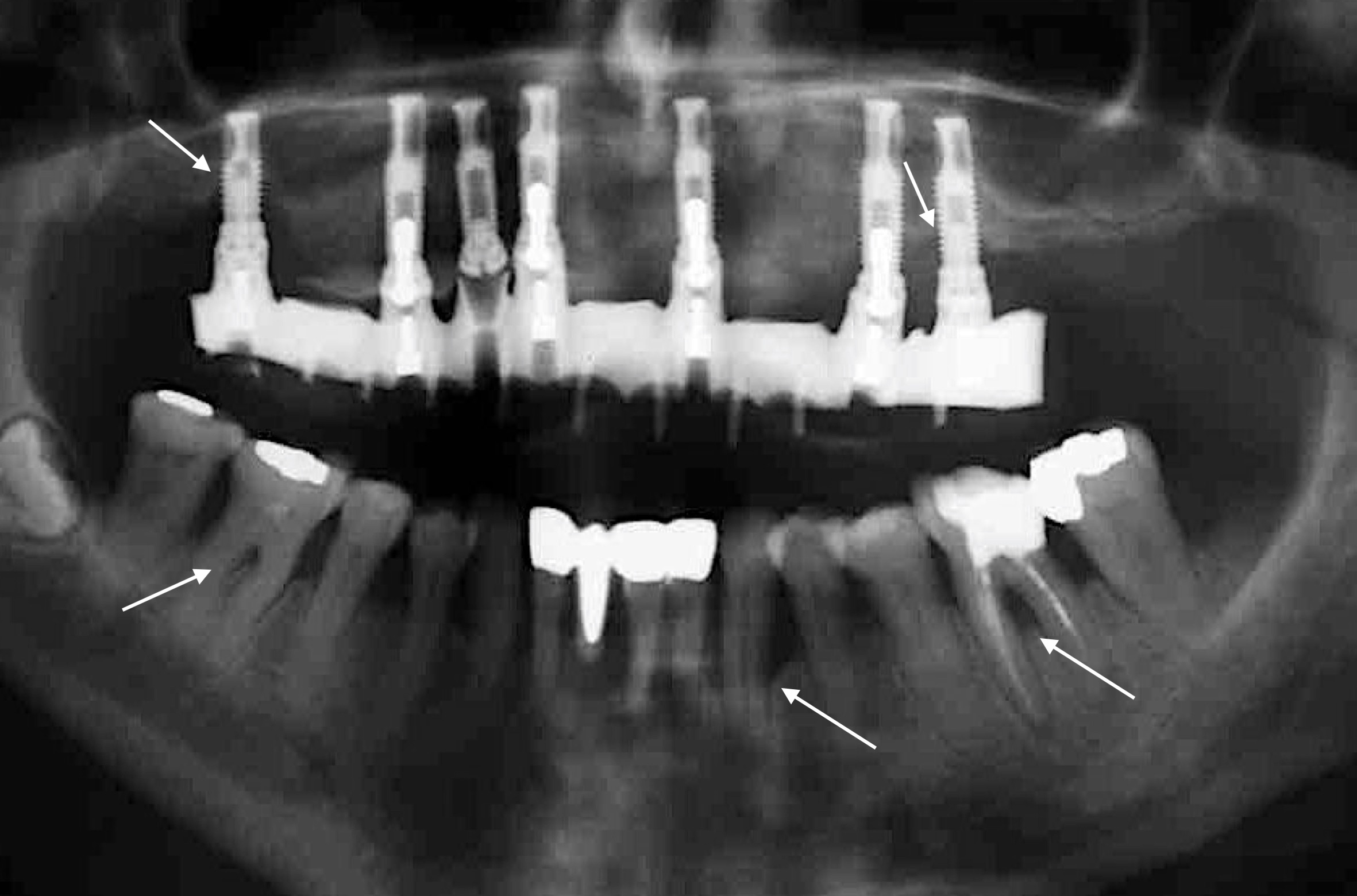
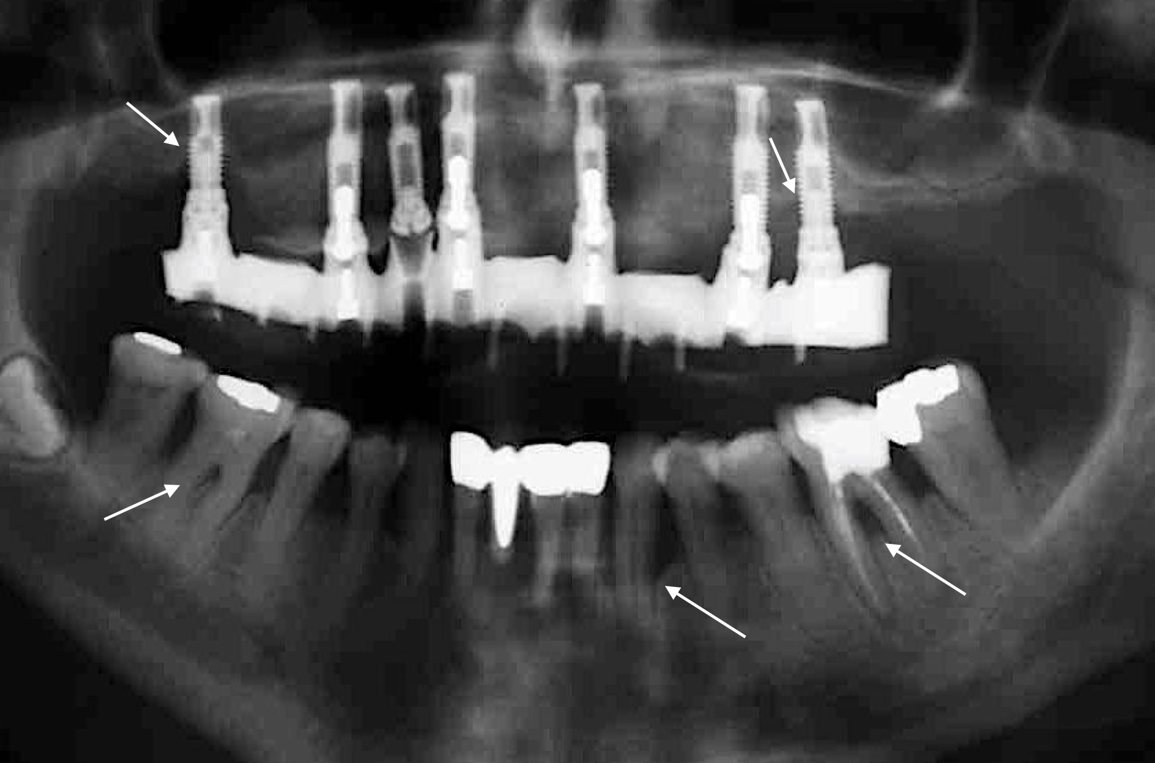
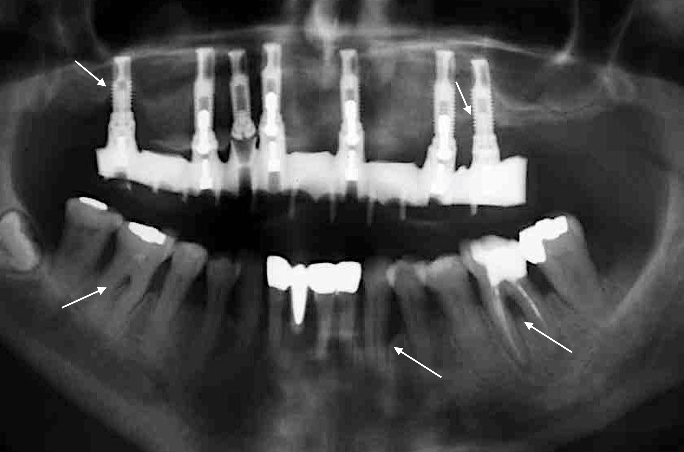
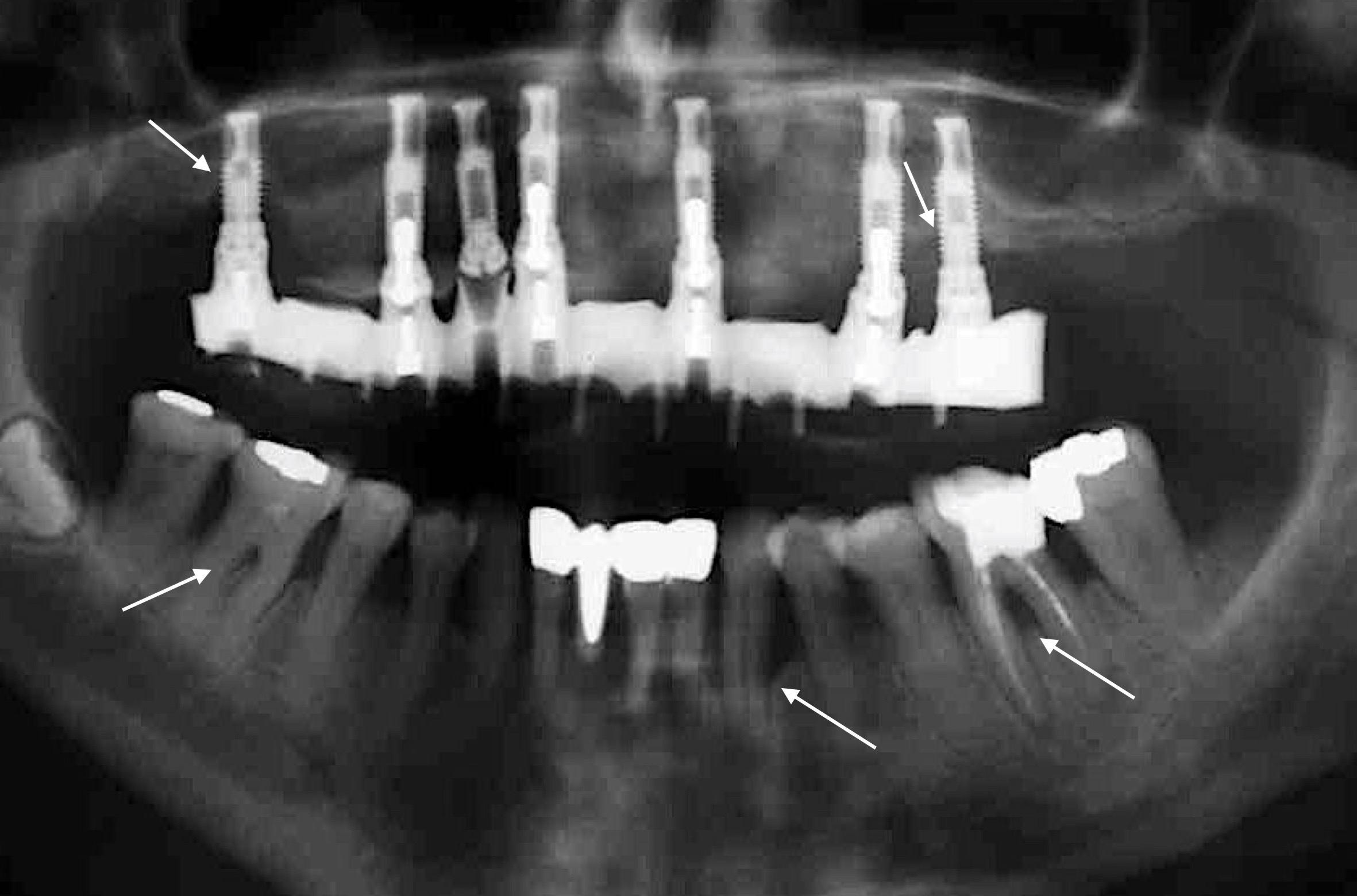
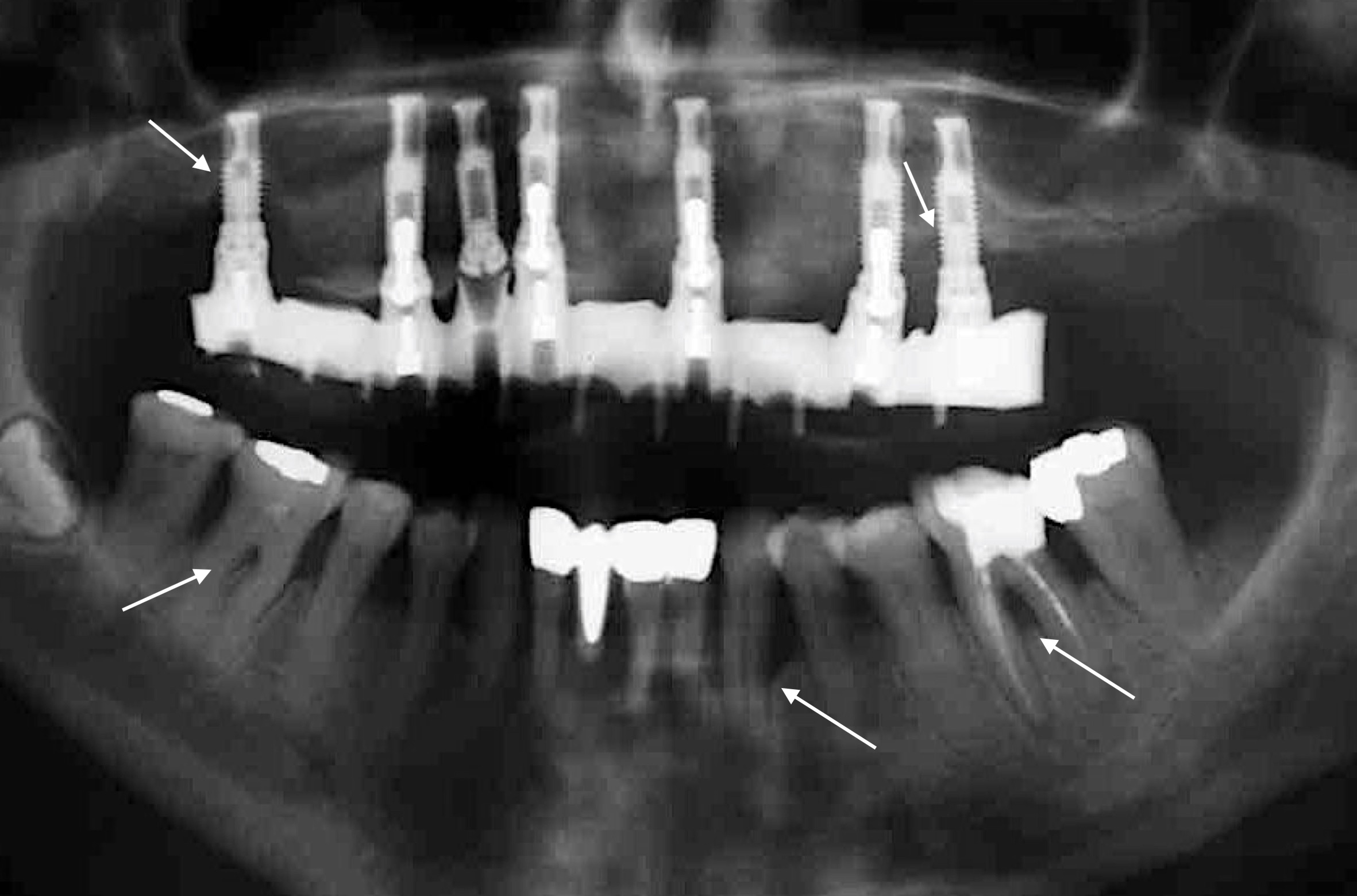
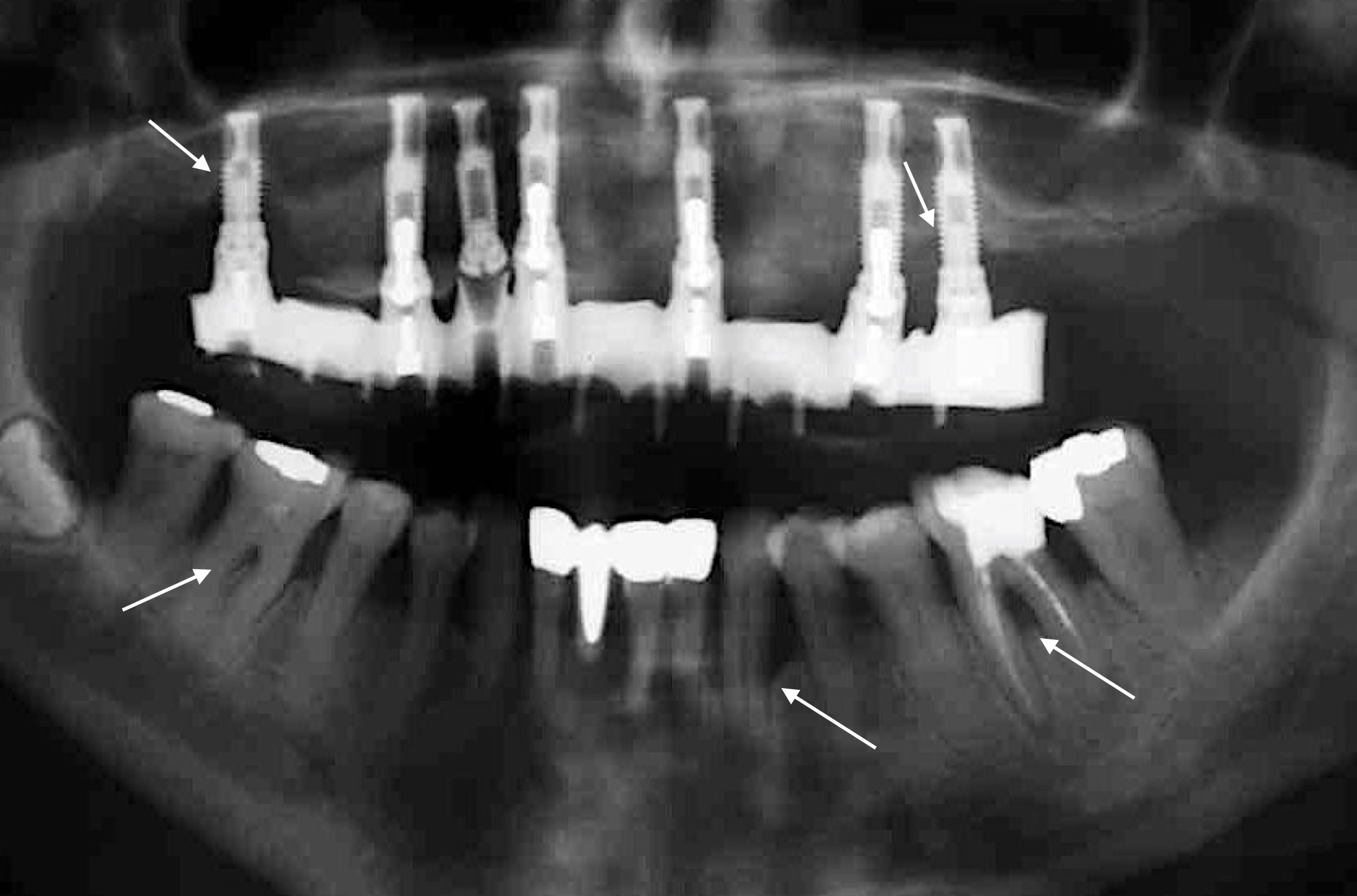
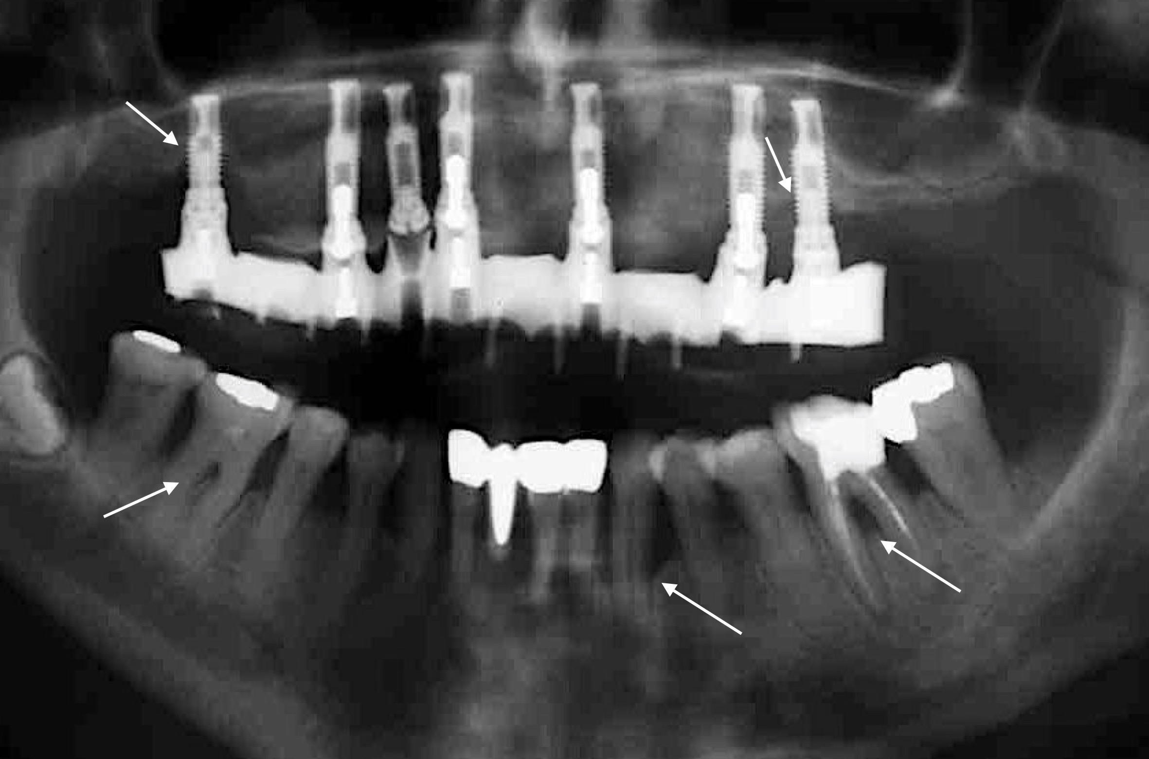
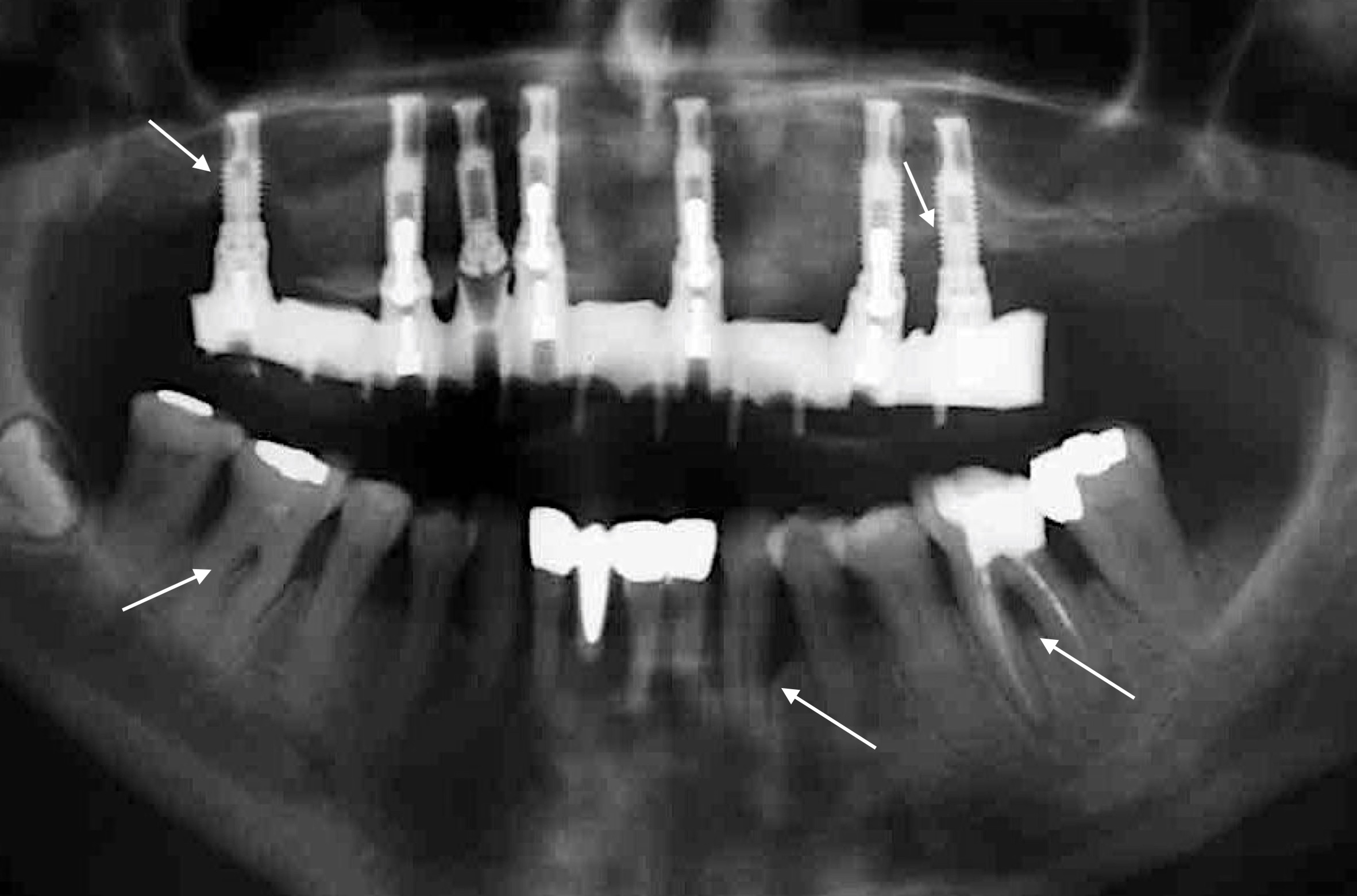
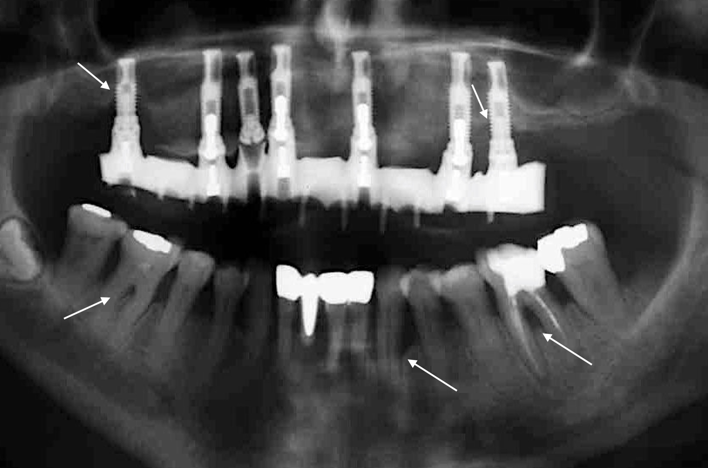
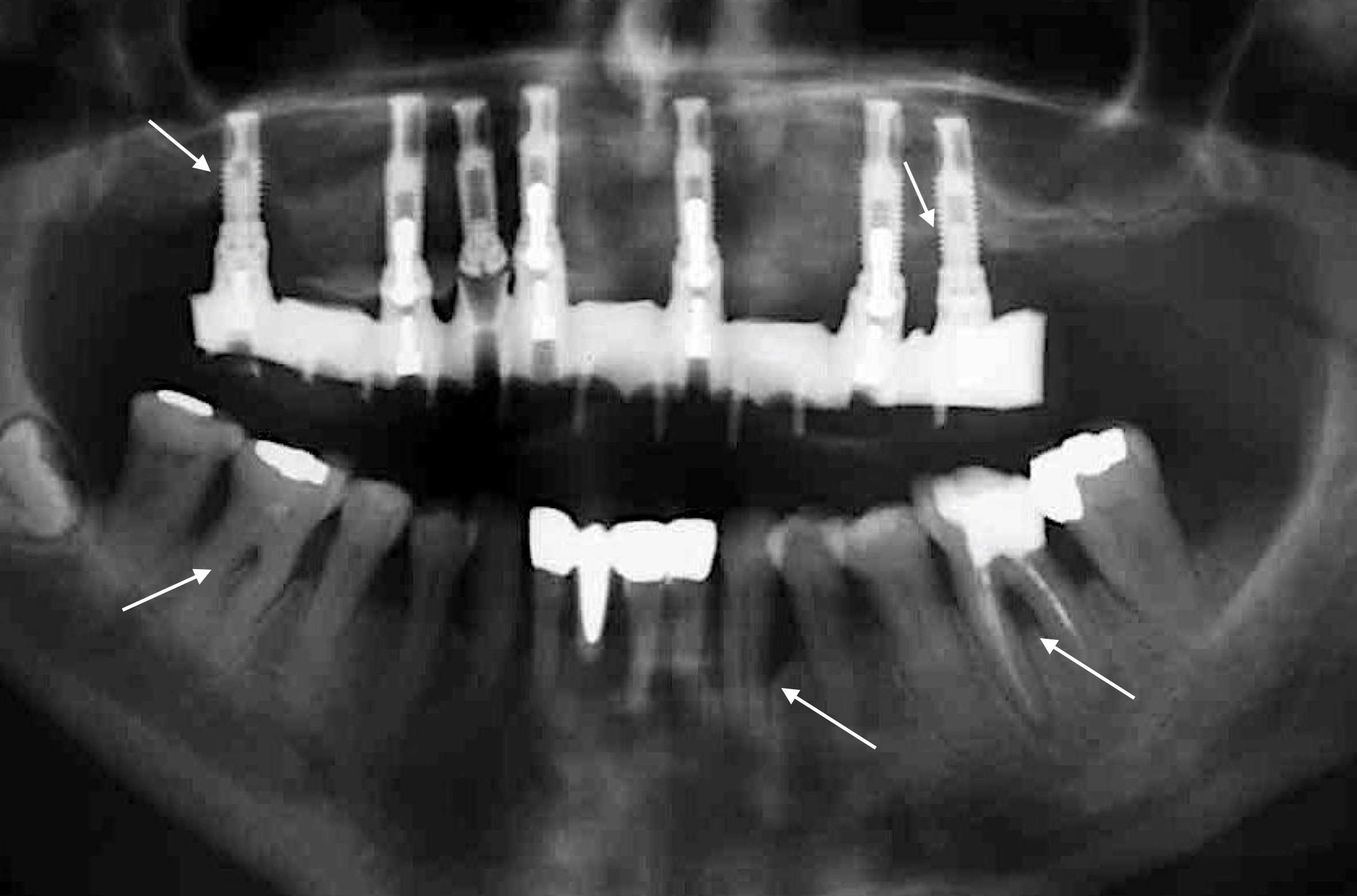
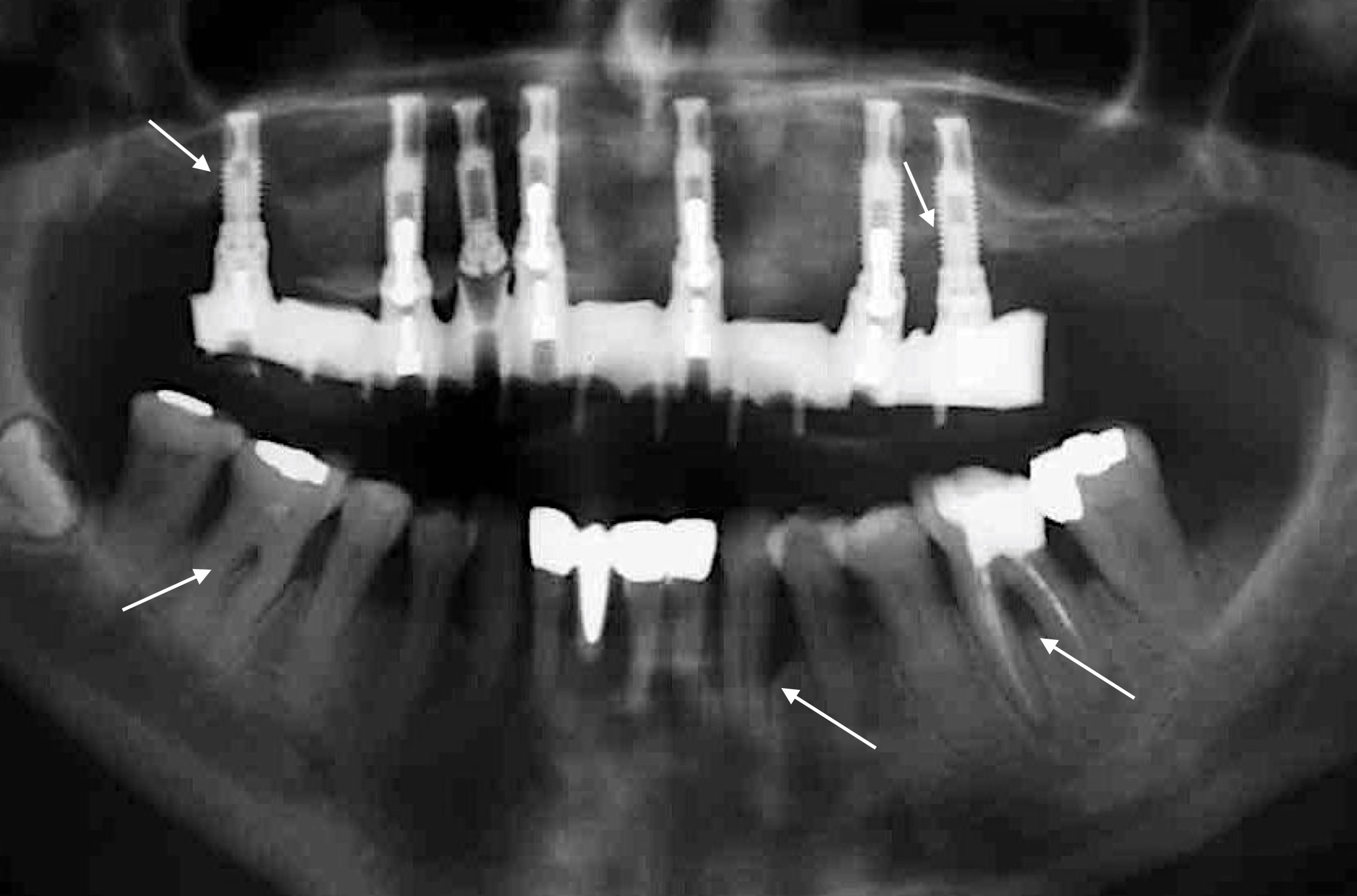
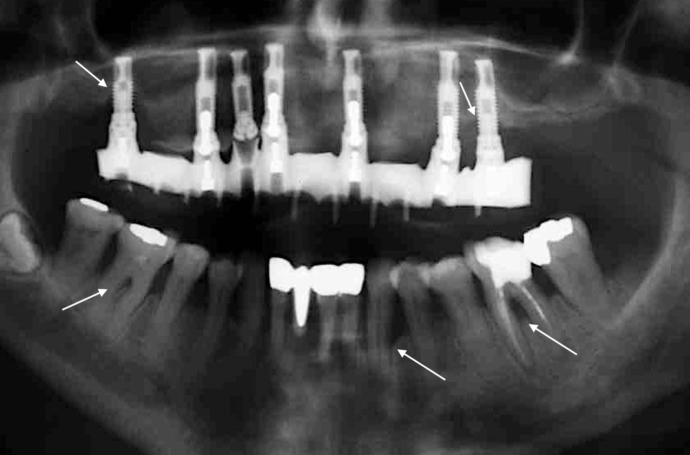
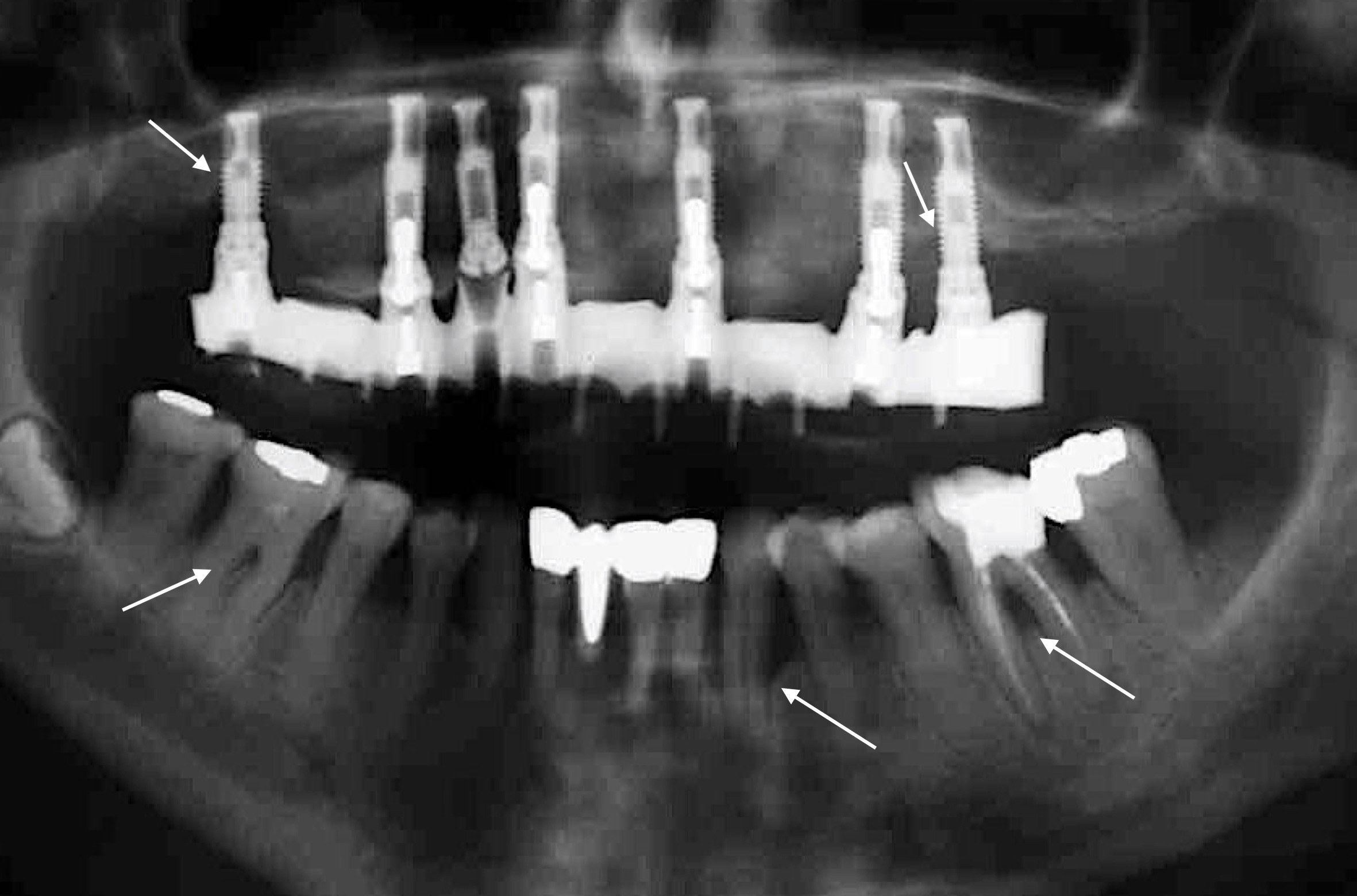
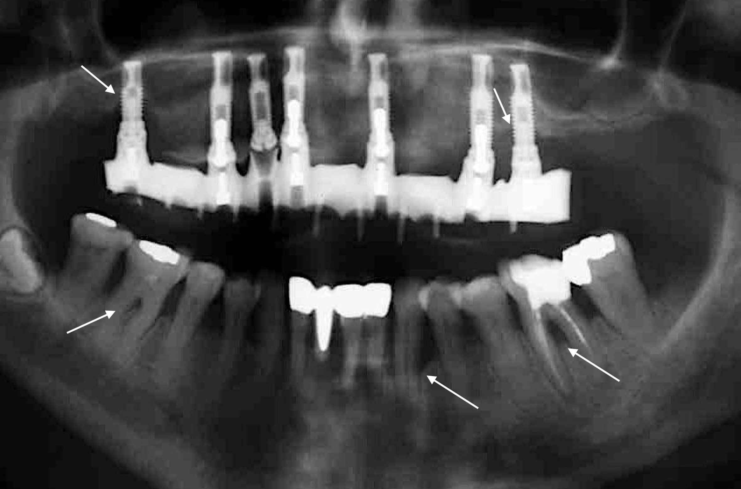
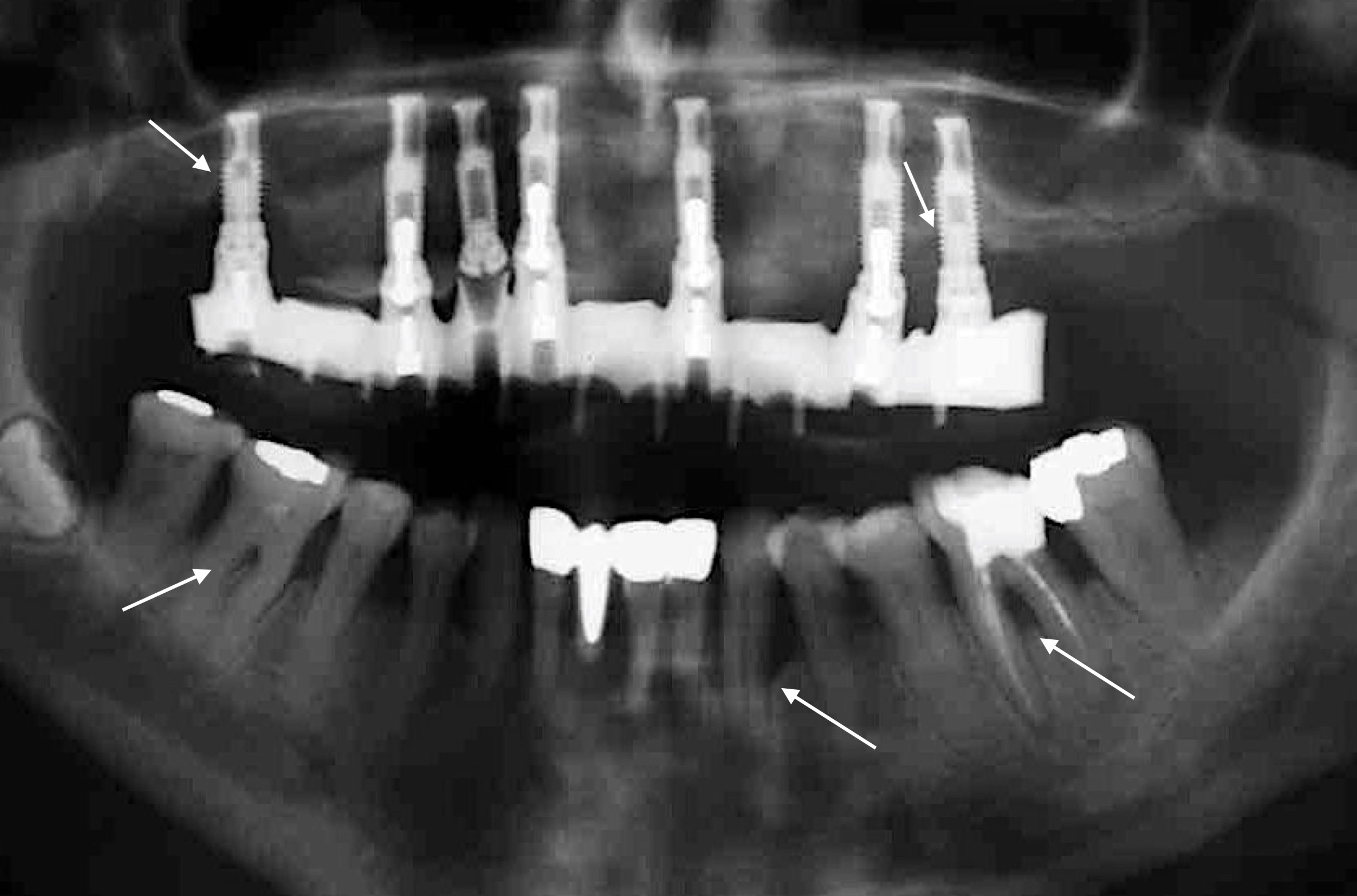
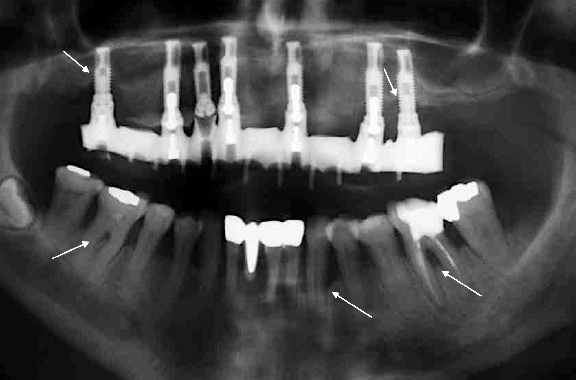
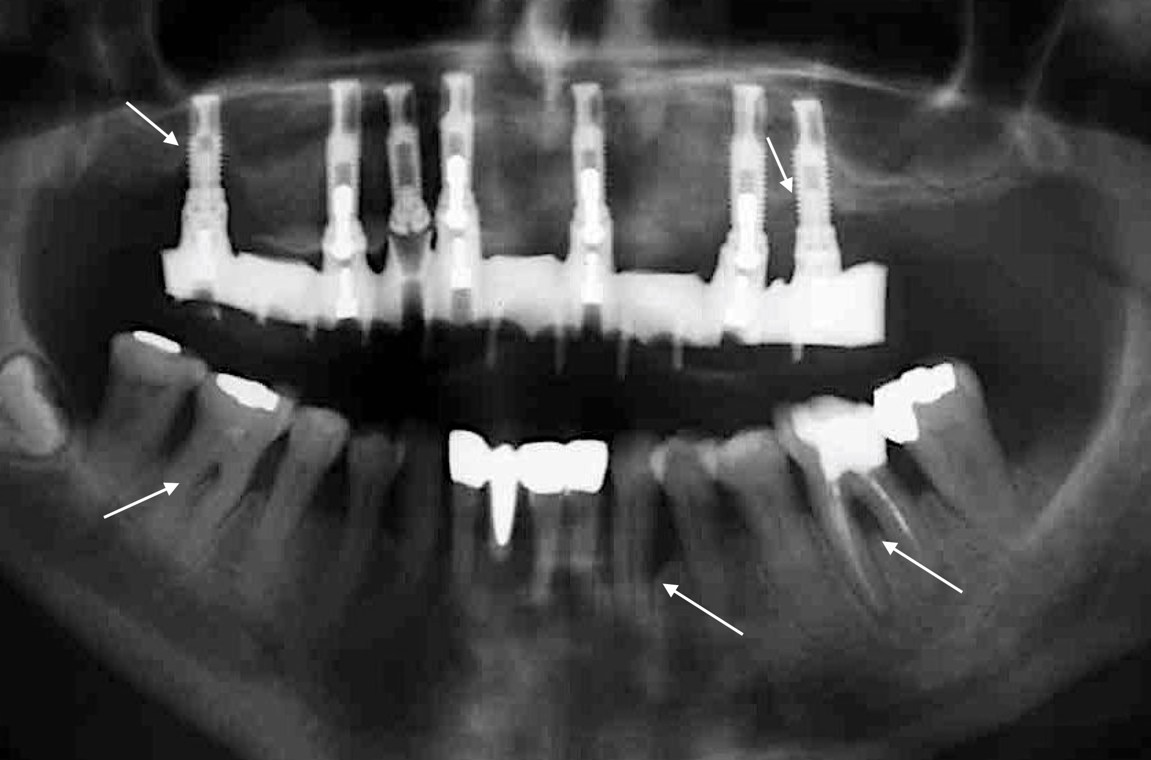
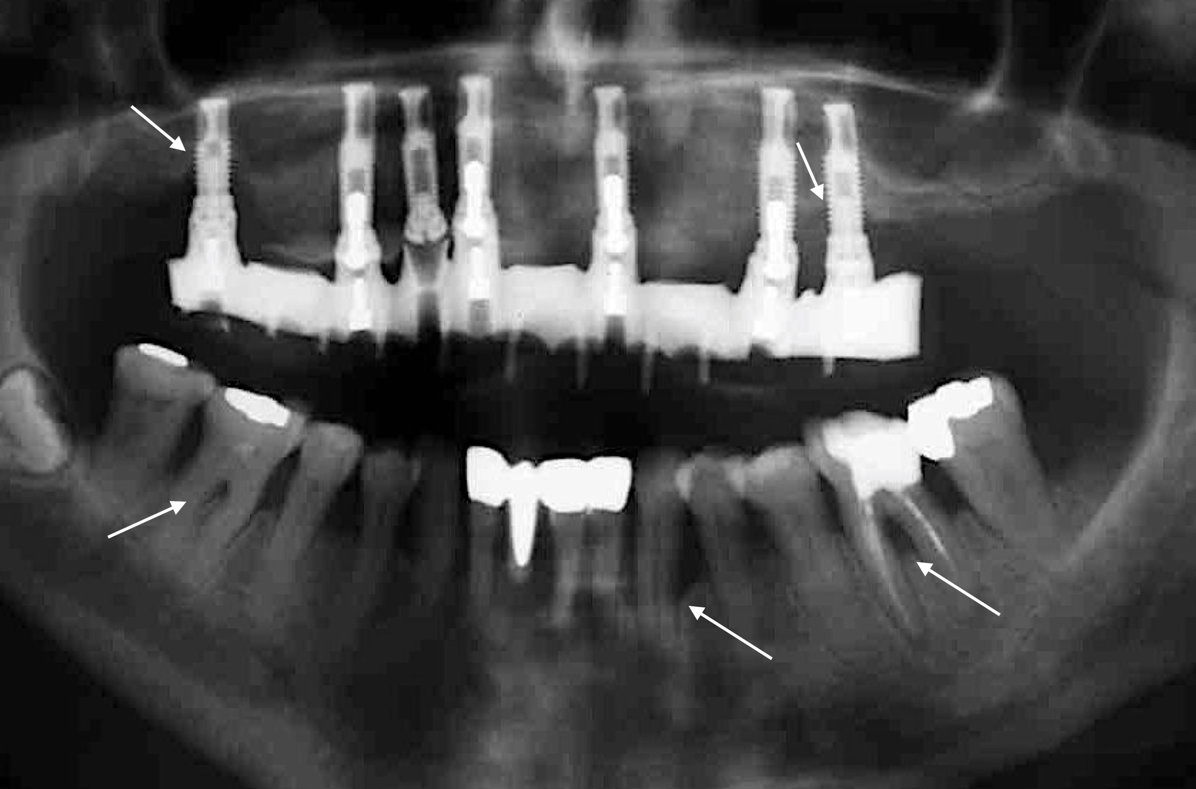
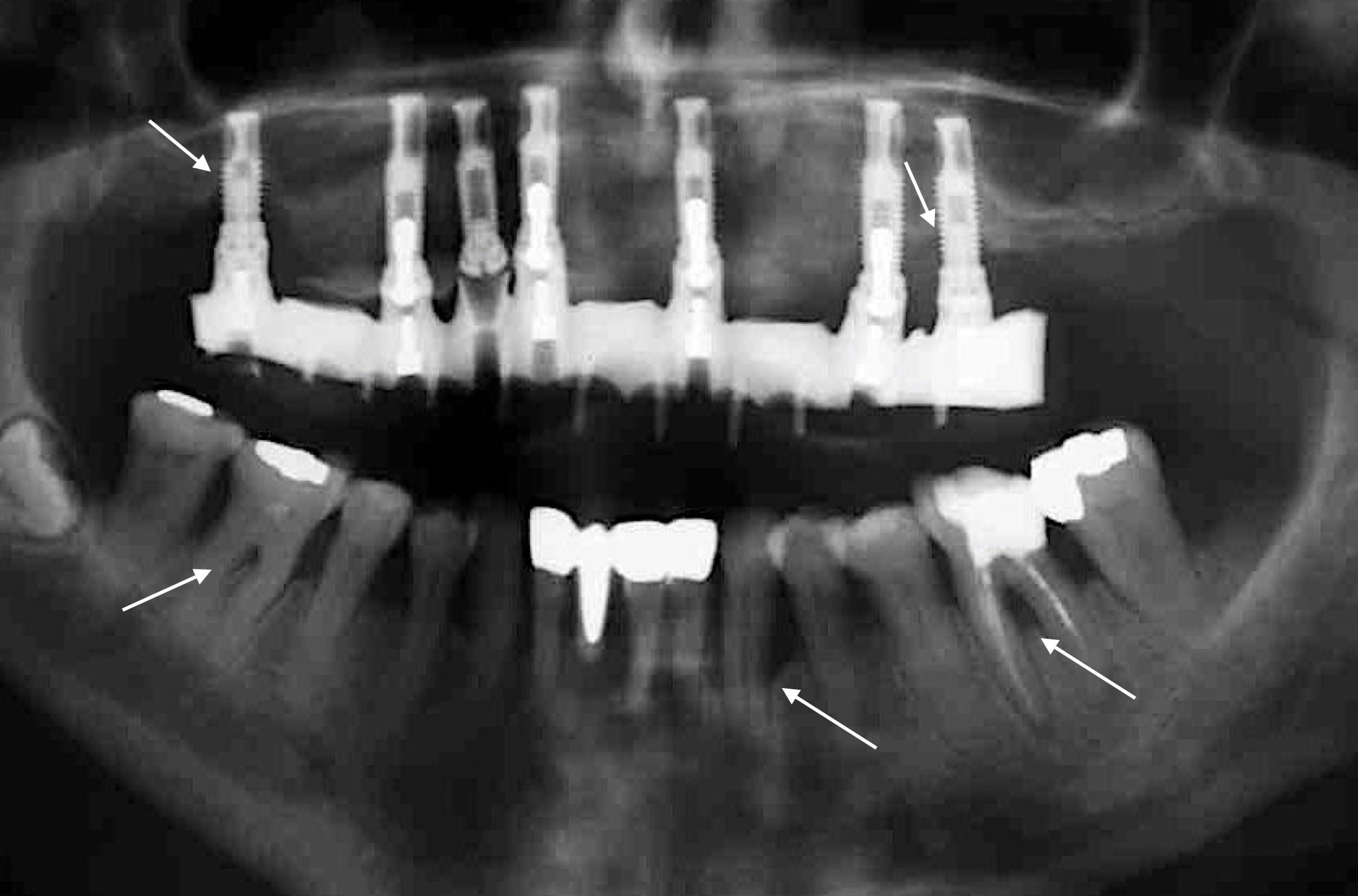
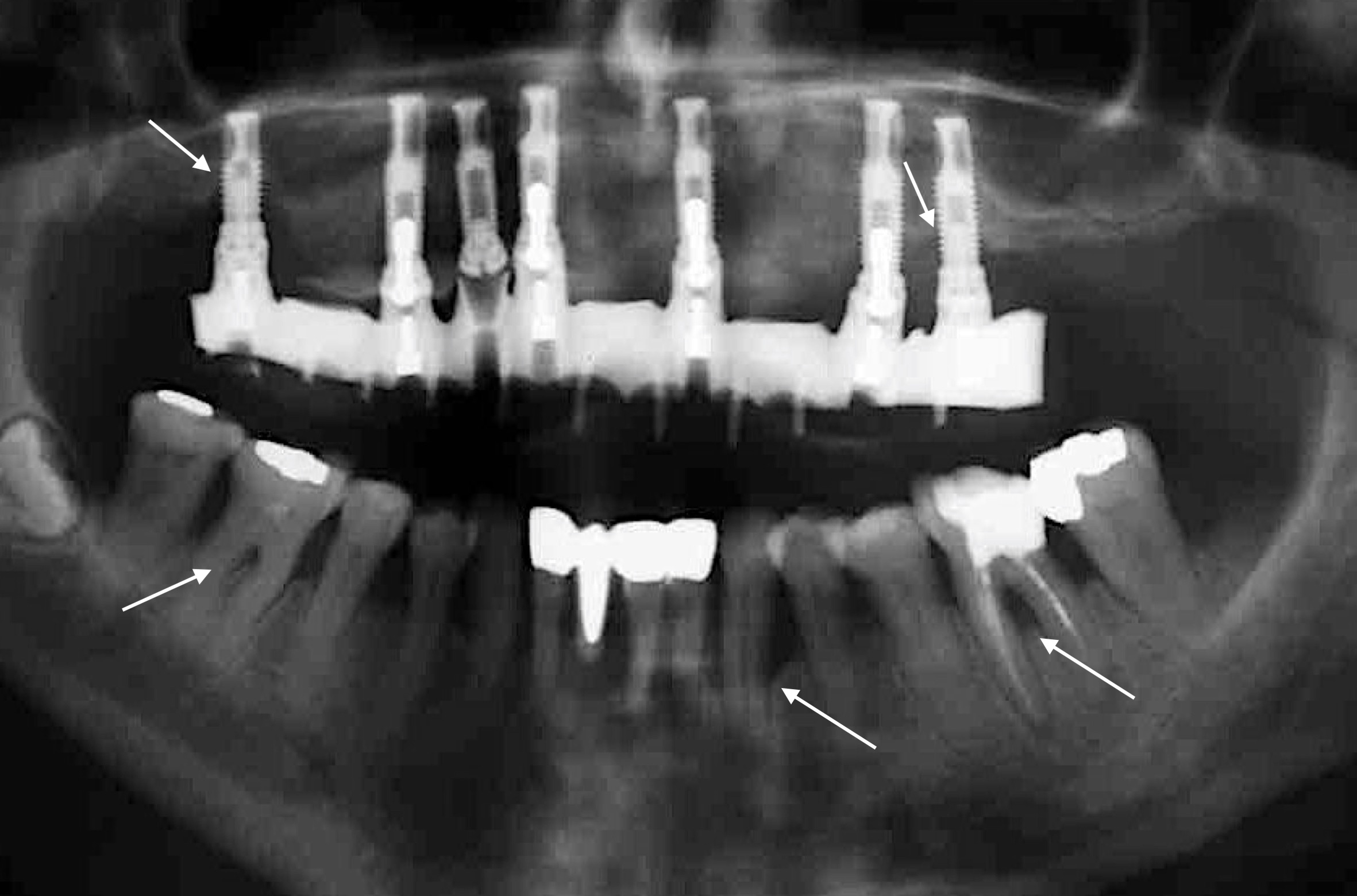
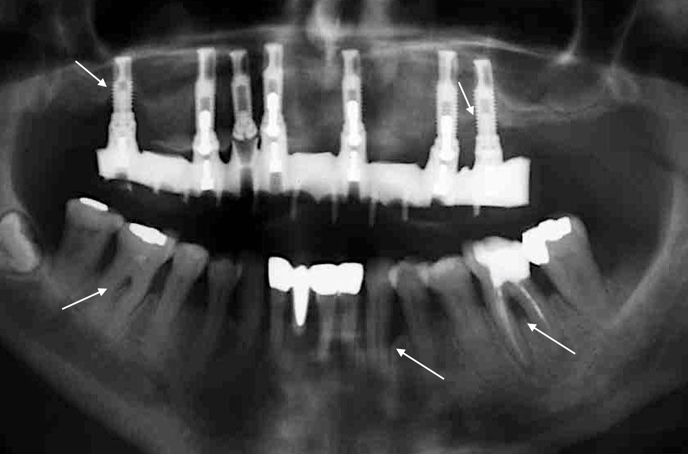
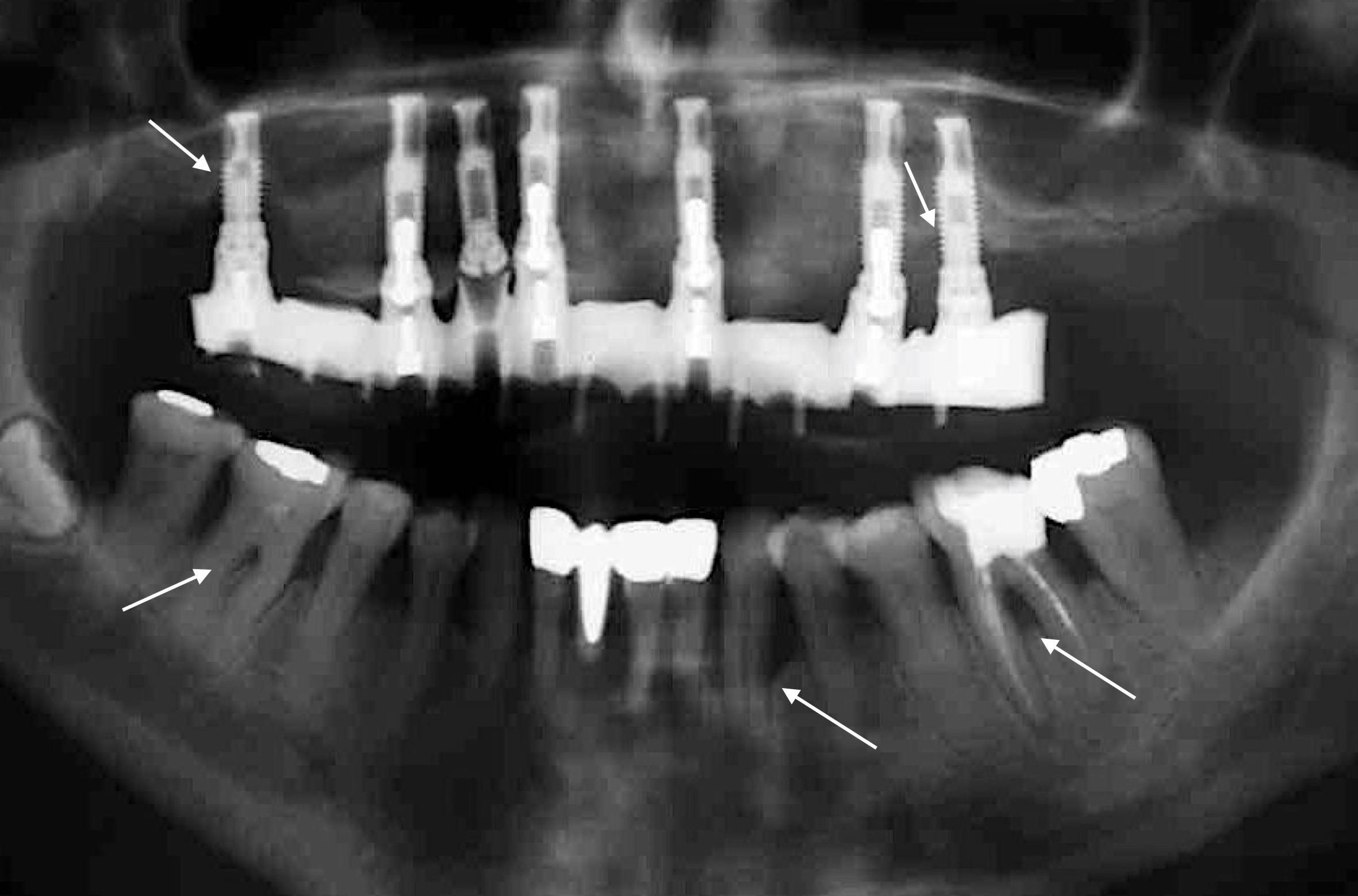
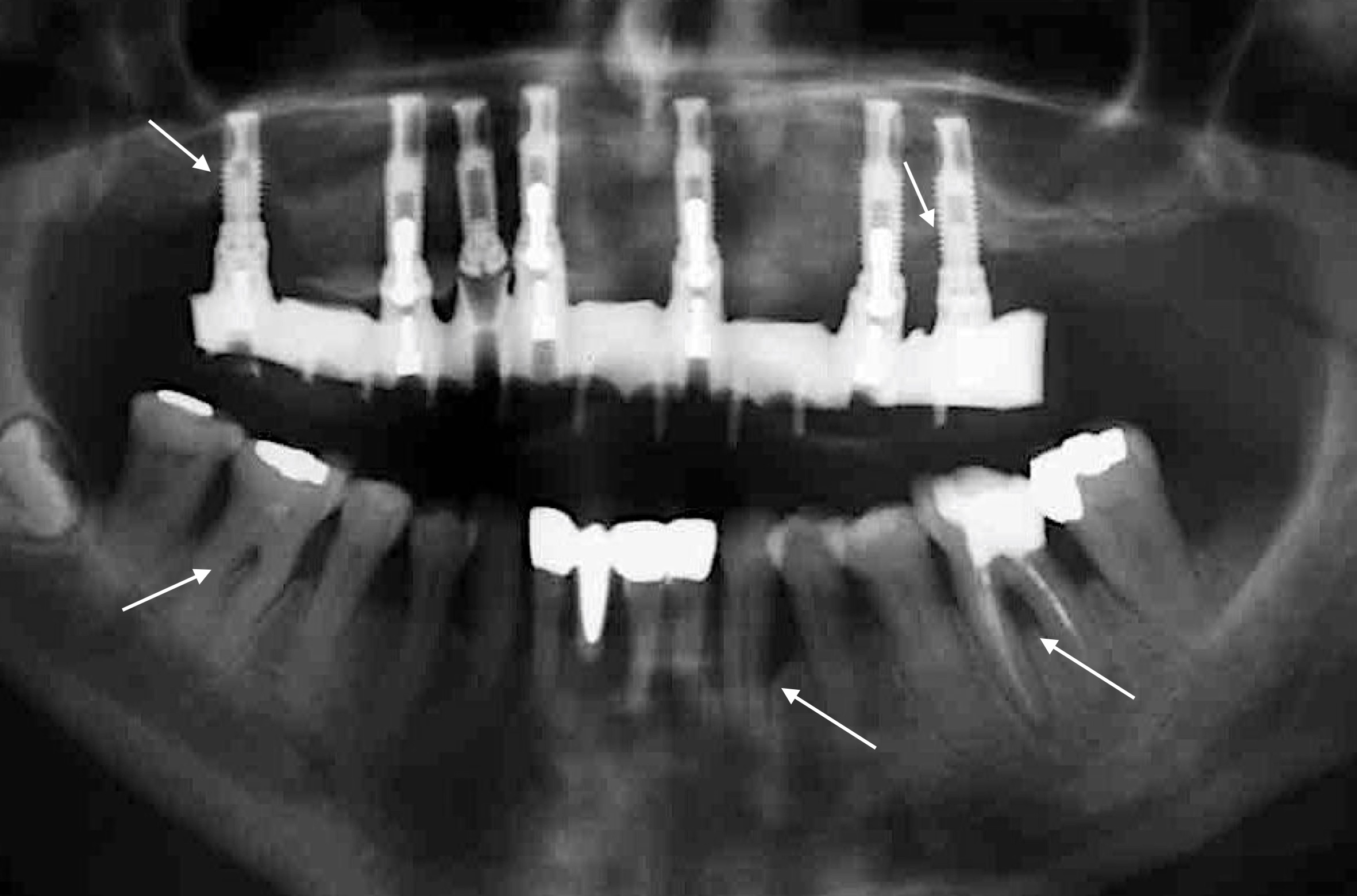
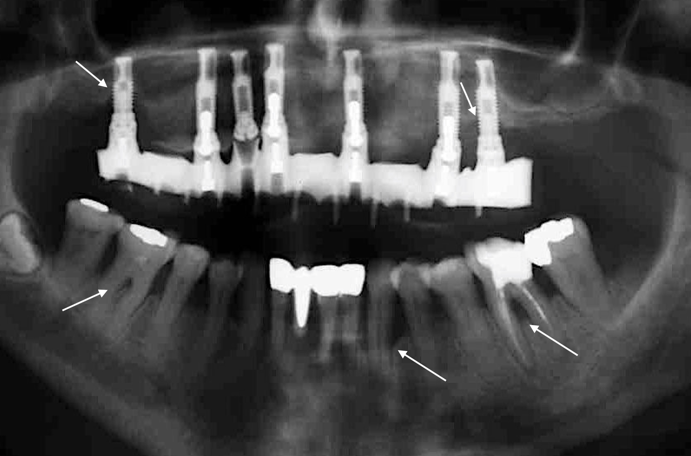
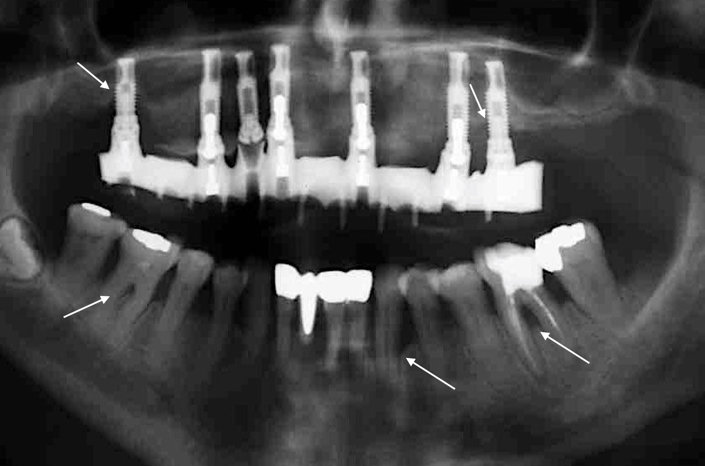
Numerous reviews from the last 10 years have shown that patients with underlying periodontal disease have a higher risk of implant failure (e.g. Renvert & Persson 2009, Sousa et al. 2016, and many others). In addition, this risk appears to be even higher among patients who have been diagnosed with generalized aggressive periodontitis (Monje et al. 2016). To avoid this complication wherever possible, the patient’s periodontal health must be maintained as strictly as possible. This means: 1) periodontal treatment must take place before implant treatment; 2) the patient’s oral hygiene must be rigorously optimized and, above all, the patient must be given precise new instructions after they have been fitted with their implant-retained prosthesis; 3) to prevent recurrence of the patient’s periodontitis and to enable early detection of peri-implant diseases, regular follow-up sessions must be scheduled and conducted; and 4) residual pocket probing depths should ideally be avoided after periodontal treatment! Why is the last point so important? A study from Australia (Cho-Yan Lee et al. 2012) showed very clearly that periodontitis patients with residual pocket probing depths (≥ 6 mm pocket probing depth) are at 4 to 5 times greater risk of developing peri-implantitis than periodontally healthy patients and periodontitis patients without residual pocket probing depths!

Nonetheless, we should not focus solely on the negatives, because periodontitis patients can of course achieve a high 10-year implant survival rate of approximately 92% (Zangrando et al. 2015).

Reference

  1. Cho-Yan Lee, J., N. Mattheos, K.C. Nixon & S. Ivanovski (2012) Residual periodontal pockets are a risk indicator for peri-implantitis in patients treated for periodontitis. Clin Oral Impl Res 23, 2012, 325–333. Monje, A., L. Aranda, K.T. Diaz, M.A. Alarcón, R.A. Bagramian, H.L. Wang & A. Catena (2016) Impact of Maintenance Therapy for the Prevention of Peri-implant Diseases: A Systematic Review and Meta-analysis. J Dent Res 95, 372-379. Renvert, S. & G.R. Persson (2009) Periodontitis as a potential risk factor for peri-implantitis. J Clin Periodontol 36 Suppl 10, 9-14. Sousa, V., N. Mardas, B. Farias, A. Petrie, I. Needleman, D. Spratt & N. Donos (2016) A systematic review of implant outcomes in treated periodontitis patients. Clin Oral Implants Res 27, 787-844. Zangrando, M.S., C.A. Damante, A.C. Sant’Ana, M.L. Rubo de Rezende, S.L. Greghi & L. Chambrone (2015) Long-term evaluation of periodontal parameters and implant outcomes in periodontally compromised patients: a systematic review. J Periodontol 86, 201-221.

comments