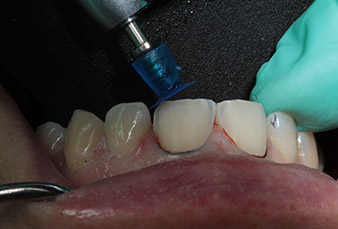
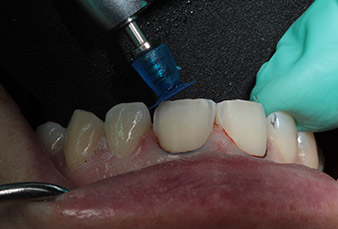
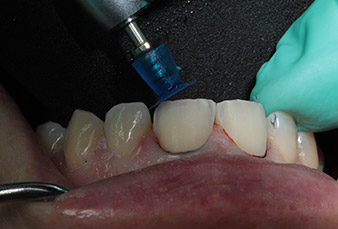
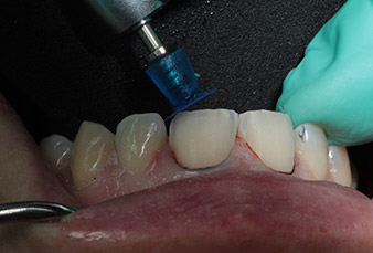
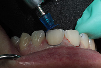
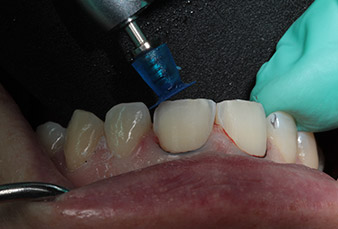
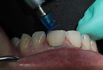
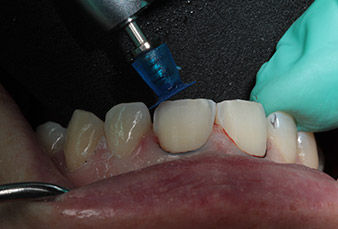
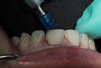
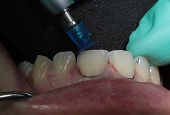
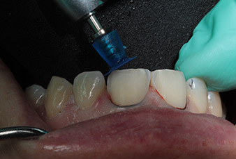
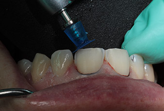
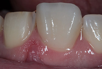
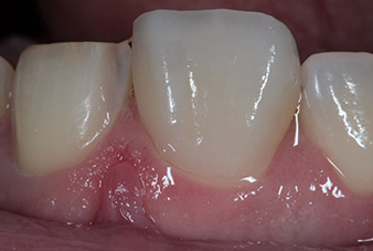
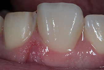
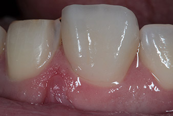
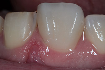
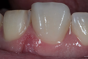
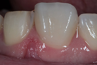
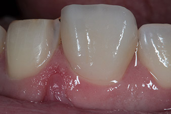
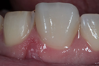
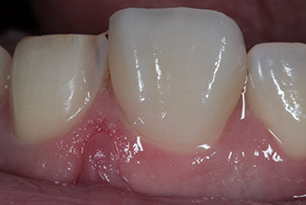
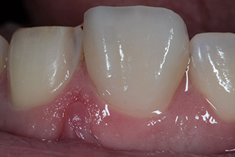
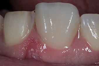
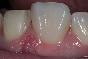
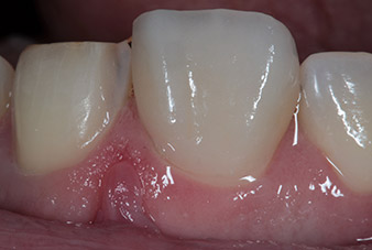
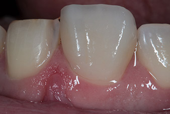
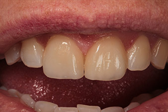
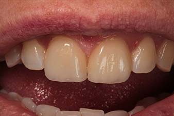
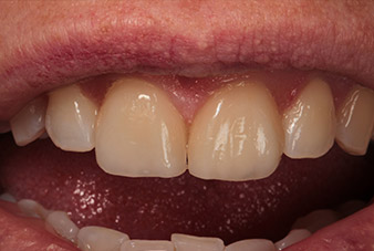
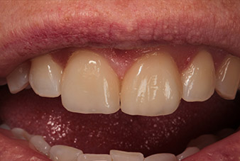
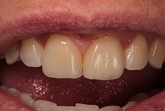
Bir CAD/CAM tedavisi için dental preperasyon

CAD/CAM tedavisi hazırlığında elektrikli mikromotor ve kırmızı kuşak angldruva kullanımı.
Her geçen yıl, dünyada CAD/CAM kullanılarak üretilen dental protezlerle tedavi edilen hasta sayısı artmaktadır. Bu oldukça etkili hasta başı tekniğinin kullanımı, diş hekimlerinin; 3D veri kaydetme araçları kullanımıyla birlikte kompleks dijital verilerin işlenmesinde ve tedavinin kapsamlı yazılım çözümleriyle planlanmasında olmadığı kadar çok daha fazla uzman olması gerektiği anlamına geliyor.
Röportajda, Diş Hekimi (DDS) Sergio Ariosto Hernández Delgado, başarılı bir CAD/CAM tedavisi hazırlığında ortaya çıkan benzersiz zorlukları ele aldı. Kendisi uzun yıllar Latin Amerika ve Avrupa’da yaptığı konuşmalarda, üniversitelerde verdiği seminer ve konferanslarda koruyucu, estetik ve restoratif diş hekimliği alanlarında tecrübelerini paylaştı.
Size göre, özellikle CAD/CAM tedavisinde, elektrikli motorlar ile yüksek devirli kırmızı kuşak angldruva kullanımının preparasyondaki avantajları nelerdir?
DDS Hernández Delgado: Kendi deneyimlerimden yola çıkarak en etkili yararlarını şöyle sıralayabilirim: Preperasyonun kontrolünü, hassaslığını, düzenliliğini ve üniform kenar boşluklarını taraması kolay. Preperasyon işlemi boyunca türbine kıyasla daha az vibrasyonlu olduğu için daha az yorulma gösteriyor ve daha az kuvvet gerektiriyor.Özellikle kron değişimi veya çıkarma işlemlerin yapılması gerektiği durumlarda, yüksek kuvvet; yeterli türbin gücü eksikliğini tolere ettiği düşünülürse; motor ve angldruvanın getirdiği fazla ağırlık sadece minik bir dezavantaj olarak kalıyor.
Türbinlerle kıyaslarsanız, parça kaldırma hızı ile ilgili olarak elektrik sisteminin verimliliğini nasıl değerlendirirsiniz?
DDS Hernández Delgado:Verimlilik açısından, sürekli olan uygulamalarda, örneğin çeşitli tipteki restorasyonlarda, gözlemlenen parça kaldırma hızının mükemmel olduğunu söyleyebilirim. Günlük metalik ve PFM restorasyonlarında ve özellikle yüksek dayanıklı malzemelerden olan seramiklerden zirkonyum dioksit, alümin, lityum disilikat ve diğer seramik türevlerinde oldukça etkili. Düşük hızla yüksek torkda kullanıldığı zaman, preperasyonun dizaynını, düzenliliğini, fazlalıkların ve buna ek olarak kavite hat açılarını görünebilirliğini daha kolay kontrol ediyorsunuz. Böylece kaldırılan sağlıklı diş yapısını azaltarak preperasyonun kritik bir evreden yayılabilmesini yönlendiriyorsunuz.
Aşağıda bahsedilen çalışmalar; kendi klinik gözlemlerime bilimsel skop getirebilir nitelikte:
J Prosthet Dent. 2009 Mayıs;101(5):319-31
İn vitro ortamda kesme verimliliği ve 10 değişik rotatif kesme aletlerinin ısı çıkışı karşılaştırması. Part II: Elektrikli başlık ve türbinli başlık ile kıyaslanması
Ercoli C1, Rotella M, Funkenbusch PD, Russell S, Feng C.Bazal sıcaklık ile karşılaştırma yapıldığında, tüm rotatif kesme enstrümanları, elektrikli başlıkla test edildikleri zaman simüle pulpa haznesinde ısı kaybı gösterdiler. Karbid frez, saniyede 0.17 mm (0.17 mm/s) ile en yüksek ilerleme ve 108.35 g ile en düşük uygulanan yük oranını gösterdi. Tüm rotatif kesme aletleri ayrı bir grup olarak düşünülürse, elektrikli başlık; hava türbinli başlığa göre; ortalama derecede daha düşük ısı (26.68 derece C), daha yüksek ilerleme hızı (0.12 mm/s), ve daha yüksek yük (124.53 g) gösterdi. ( Sırasıyla hava türbinli başlık için değerler şöyledir: 28.37 derece C, 0.11 mm/s, ve 121.7 g). Rotatif kesme enstrümanları grup elemanları tek tek düşünüldüğünde, elektrikli başlık ve hava türbinli ba��lık arasında kayda değer farklılıklar bulundu.
SONUÇ:
Test edilmiş karbid frez; test edilmiş elektrikli başlıkla kullanılan elmas uçlu rotatif kesme enstrümanlarından daha verimli kesme gösterdi. Özellikle karbid frezle kullanıldığı zaman, muhtemelen daha büyük olan torkuna bağlı olarak elektrikli başlık, türbine göre daha yüksek kesme verimliliği sergiledi.
Türbinlere kıyasla elektrikli sistem kullanımı seçeneğini (motor ve angldruva başlığı kullanımında)tam anlamıyla yüksek hızı kontrol etmede(örneğin, bitirim anında) nasıl buluyorsunuz?
DDS Hernández Delgado: İlerleyen prosesde benim kişisel bakış açım:
- Restorasyon kaldırılması:Hızlı, efektif, hassas ve daha az kuvvet gerektiriyor.
- Kavite preperasyonu: Daha az vibrasyon, preperasyon sınırları belli hat açıları, kontrollü derinlik, cazip, temiz ve açık kenar boşlukları.
- Derin kavite kaldırılması:Daha az vibrasyon, karbit ve polimercam frezlerinde düşük hız ve sabit güç gönderimi kaynaklı ısıda düşüş.
- Bitirme ve Cilalama:Yüksek devir angldruva başlıklarının kullanımının temel avantajları; onların keskinliği ve konforlu olmasıdır. Ayrıca; korunumlu preperasyonların bitişi, direkt restorasyonlar, seramik veya diğer indirekt reçine siman ile bağlı komposit restorasyonlarda fazla simanın kaldırılması işlemlerinin temiz alan görünümü temel avantajlara dahil edilebilir. Bunlardan özellikle subginjival ve equi gingival preperasyonların bitirilmesi gerektiği anlarda tercihen pasif tip karbid bitirme frezleri ile kullanımı ana faydalar arasındadır. Özellikle düşük devir angldruvaların rotasyonlarının kontrolü lavaj yapılması veya yapılmaması durumlarında 10, 000 rpm’den daha az yapılabildiği zaman, cilalama için; oldukça pürüzsüz ve parlak görünüme, ulaşılması kolaydır. Farklı şekillerdeki silikon elmas gömülü uçlar ve tabi ki silikon karbid fırçalar ya da kontrollü abrasyon dikslerin diğer çeşitleri veya düşük devir rotatif aletler bu amaçlı kullanımlar için tavsiye edilir.
Türbinle kıyasla, delici(bur) ile birlikte yönlendirilebilir angldruva başlık kullanıldığı zamanlarda hassaslığını nasıl görüyorsunuz?
DDS Hernández Delgado: Türbin veya yüksek devirli angldruva kullanımında rotatif eksenli frezin pozisyonunu klinik olarak anlamak zor. 2 kolay gözlemlenebilir kriter bu soruya cevap olarak verilebilir: Türbine göre yüksek devir angldruvalarda, rotasyon eksersizi ağzın dışında ince elmas kalem uç delici ile birlikte çalışmadayken, ucun kendisinin rotasyon pozisyonunun daha merkezi olduğunu gösterir.
İkinci kriter ise sonuç ile bağlantılıdır: Düzgünlük ve bitiş hattının devamlılığı, özellikle CAD/CAM optik baskı cihazları ile birlikte, faydalı göreceli parametreler oluşturur. Yine bu kriterde, kendi tecrübelerime göre, yüksek devir angldruvaya güç sağlayan elektrikli motor olağanüstü.
Bu sistemi kullanırken herhangi bir dezavantaj gördünüz mü? Klinik faydalarından daha ağır basan kapsamlar nelerdir?
DDS Hernández Delgado: : Dezavantajlar şu şekilde sıralanabilir: Diş hekimi yetiştiren akademik enstitülerin çoğunda bu teknolojinin eğitimin eksikliği, örneğin Meksika’da bu böyle. Fazladan ağırlığın preperasyon sırasında idare edilmesi gerektiği.( Pratik yaparak alışıklık kazanmanız gereken bir şey.)Dişçi koltuğuna yerleştirilmesi zor olan dahili kontrol üniteleri. Buna göre yerleştirilmesi daha kolay olan masaüstü ünitelerinin ana ve kontrol birimleri için ek olarak boş alana olan ihtiyacı duyulması.
Bir çok kullanıcıya göre, angldruvaların tam anlamıyla bakımı(devamlılığı) için herhangi bir ek ekipman alma(otomatik yağlama ve temizleme aletleri gibi) özellikle elektrikli sistemi ilk defa kullananlar için ilk ödeme imkanı içine dahil olmaması.
Ek yorumlar ve diğer görüşler
DDS Hernández Delgado: Örnek vermek gerekirse Meksika’da, elektrikli sistem kullanımı için eğitim imkanları araştıran pratisyenlerin sayısı gittikçe artmakta. Bunu, 300’ün üzerinde devam eden eğitim kursları ve prostetik-odaklı oryantasyon eğitimlerini gerçekleştirdikten sonra söyleyebiliyorum.
Üstün performans ve kullanıcı dostu elektrikli motor kapasitesi, bu teknolojiyi kullanmanın faydalarının farkındalığını kolaylaştırıyor. Uyguladığım değişik kurs ve ticaret showları gösterisi; mermer blokların preperasyonunu ve penny(metelik) testine benzer bir şeyleri ( restorasyonların kaldırılmasını ve doğal diş üzerinde yapılan preperasyonları gösteren test) içeriyor, fakat iyi bir delici(bur), preperasyonun verimliliğini ve malzemenin kaldırılmasını destekler.
Son zamanlardaki çalışmalar; preperasyonun lineer alanının bir yerleşik birleşim olduğunu, kenarda olan adaptasyonlarını, CAD/CAM restorasyonları boyunca hata oranını hesapladı ve gösterdi. Peri-restoratif çürükler sebebiyle ne kadar büyük bitiş hattı lineer alanı, izleyen 5 yılda %6 isabetli olarak, o kadar büyük kenar ve boşluklu olma olasılığıdır. Bekleyen yayından alıntıdır.
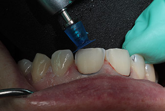
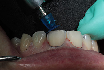
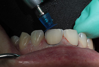
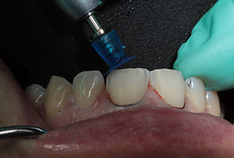
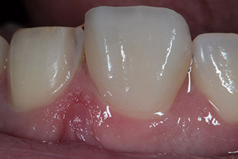
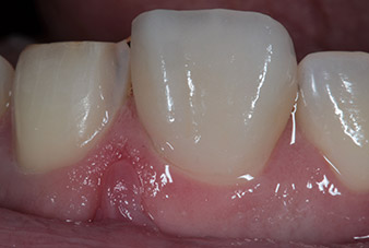
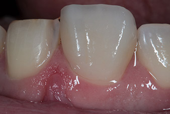
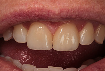
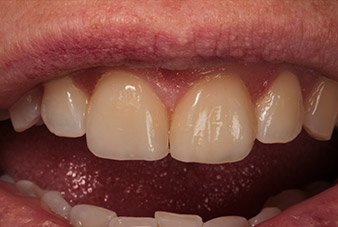
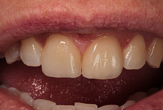
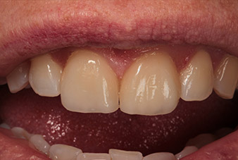
Bir CAD/CAM tedavisi için dental hazırlık







Yorumlar