Seethrough – Görüntüleme çözümleri

Görünmeyeni keşfet, ötesini gör.

İster ekstraoral ister intraoral, tüm görüntüleme gereksinimleri için gelişmiş ürünler ve son teknoloji bir yazılım. Seethrough portföyü W&H kalitesiyle ve kullanıcı dostu özellikleriyle öne çıkar.
*Tüm ürünler için tek bir yazılım kullanılır.

    • Seethrough Max

      Resmin tamamını görün

      Tüm detayları görmek isteyenler için: Seehtrough Max: Olağanüstü geniş FOV spektrumu (17x17) ve düşük radyasyon dozu ile olağanüstü görüntü kalitesi elde eder. Açık tasarım ve geniş boyutları, maksimum hasta uyumluluğu ve konforu sağlarken, yüz yüze konumlandırma, kullanıcı-hasta etkileşimini basitleştirir. Optimize edilmiş görüntü alma ve konumlandırma süreçleri için özel olarak tasarlanan bu CBCT cihazı, endodontik tedaviler için gereken en küçük detaylardan implantoloji için kesin kesitlere ve maksillofasiyal cerrahi veya KBB uygulamalarında tüm kraniyal hacme kadar geniş bir uygulama yelpazesi için son derece hassas görüntüleme sonuçları garanti eder. Seethrough Max – kliniğinizdekiX-ray teknolojisinin geleceğini şimdi deneyimleyin.

      Optimum adaptasyon

      Özel dikey sensör kaydırma özelliği sayesinde, X-ışını demeti hastanın morfolojisine ve seçilen muayene türüne en uygun şekilde uyarlanır – böylece son derece ayrıntılı ve bozulmasız görüntüler elde edilir.

      Benzersiz FOV alanı

      Endodonti ve implantolojiden, ağız cerrahisi ve KBB'ye kadar özellikle geniş bir uygulama yelpazesi için 3 × 4 cm'den 17 × 17 cm'ye kadar.

      360° rotasyon

      Tüm açıları ve perspektifleri kapsar – olağanüstü netlik ve çözünürlükte görüntüler için.

      Otomatik düzeltme

      Seethrough Max automatically adjusts to the patient position, ensuring precise focus on the anatomy – for optimal imaging results.

      Maksimum hasta konforu

      Açık tasarım ve geniş açıklığı ile en yüksek hasta uyumluluğu ve maksimum konfor – sorunsuz görüntü alma ve bozulmamış görüntüleme için.


        Seethrough Flex

        Yeni boyutları keşfedin

        Yüksek performans, küçük ayak izi: Seethrough Flex'in. Kompakt tasarımı, sezgisel kullanımı ve yüz yüze konumlandırmasıyla bu esnek CBCT cihazı, mevcut klinik iş akışlarına kolayca entegre edilebilir. Seethrough Flex, diğer hiçbir cihazda olmayan, en yaygın dişhekimliği gereksinimleri için minimum radyasyon dozu ve hassas görüntüleme özelliği ile öne çıkar: küçük diş arçı görüntülerinden büyük ölçekli TMJ taramalarına, tanıdan implant planlamasına kadar. Seethrough Flex – görüntü kalitesi, kullanım kolaylığı ve maksimum hasta güvenliğinin mükemmel birleşimini deneyimleyin.

        Küçük bir cihaz, büyük bir FOV

        Seethrough Flex, küçük boyutlarına göre en iyi görüş alanını sunar. 5 × 5 cm ila 14 × 10 cm arasında geniş bir FOV kapsamına sahip olan bu sistem, kliniğinize çok yönlülüğü getirir.

        Opsiyonel dokunmatik ekran

        Seethrough Max'ın sezgisel 10 inç dokunmatik ekranı, Seethrough Flex için isteğe bağlı olarak sunulur ve tüm sistem kontrolünü parmaklarınızın ucuna getirir.

        En dar alanlarda 360° dönüş

        Yenilikçi eliptik yörüngesi ile Seethrough Flex, son derece küçük bir alanda tam 360° dönüş gerçekleştirerek, optimize edilmiş alan verimliliği ile kapsamlı veri seti elde edilmesini sağlar.

        Ekstra düşük radyasyon dozu

        Radyasyon dozunu azaltan akıllı özellikler, kompakt tasarımla birleştiğinde minimum maruz kalma ve maksimum koruma sağlar.

        İndirme Merkezi

        Kullanım Kılavuzları

        Güncellenmiş Hijyen ve Bakım (EN ISO 17664:2017) dokümanının tüm dil seçeneklerini indirme merkezinde bulabilirsiniz.

      • Seethrough Arm

        Önemli olana odaklan

        Sağlam, kullanımı kolay ve çok yönlü uygulama: Seethrough Arm intraoral röntgen jeneratörü, kliniğinizdeki günlük rutin işlemleri optimize eder. Fosfor plaklar veya dijital sensörlerle kullanılabilir ve her türlü muayenehane ortamına mükemmel uyum sağlar. Seethrough Arm – hızlı ve sorunsuz iş akışları için ideal çözüm.

        Maksimum esneklik
        üç farklı kol uzunluğu (300/600/900), üç montaj konfigürasyonu ve çıkıntılı parçalar içermeyen düz tasarım.

        Seçim sizin
        Ek Seethrough Studio ve ioDent® entegrasyonuna sahip Basic veya Comfort sürümü.

        Kablosuz kontrol
        Tam radyasyon koruması ve sınırsız kullanıcı dostu kullanım için kullanışlı uzaktan kumanda.


        Seethrough Scan

        Basitçe tarayın

        İnce tasarım, ergonomik kullanım: Seethrough Scan, PSP sistemleri kullanan tüm muayenehaneler için ideal bir araçtır. Çalışma ortamına kolayca uyum sağlar, tüm boyutlardaki plakaların (0, 1, 2, 3) hızlı ve güvenli bir şekilde yerleştirilmesini sağlar ve temizlenmesi kolaydır. Ayrıca, çok sayıda otomatik işlev, uygulama süreçlerinin optimize edilmesini sağlar. Seethrough Scan – basit ve verimli görüntüleme için gelişmiş PSP çözümünüz.

        Tamamen otomatik
        Operasyon odası tanımlama, hata tespiti, plaka silme ve görüntü aktarımı otomatik olarak gerçekleştirilir.

        İnce ve ergonomik
        Kullanıcı dostu tasarımıyla Seethrough Scan, kolay temizlenir, kullanımı kolaydır ve her yere rahatlıkla sığar.


        Seethrough Sensor

        Son derece hassas

        Maksimum hasta konforu ile hassas görüntüleme: Ekstra ince Seethrough Sensör, ergonomik tasarımı sayesinde, hastaların daha rahat hissetmesini sağlar. Yüksek çözünürlüklü CMOS sensör, her ayrıntıyı olağanüstü kalitede yakalar. 1 ve 2 boyutlarında mevcut olan bu sensör, klinik rutinine kolayca entegre edilebilir ve dijital diş hekimliğini ileriye taşır. Seethrough Sensör – her gün daha verimli iş akışlarının keyfini çıkarın.

        Hasta konforu
        Yuvarlatılmış köşeleri ve pürüzsüz kenarları ile ekstra ince tasarım, görüntüleme sırasında hasta konforunu artırır.

        Kolay kullanım
        Plug & Play sistemi, basit kullanım ve yüksek kullanıcı konforu sağlar.

        İndirme Merkezi

        İndir

        Kullanım Kılavuzları

        Güncellenmiş Hijyen ve Bakım (EN ISO 17664:2017) dokümanının tüm dil seçeneklerini indirme merkezinde bulabilirsiniz.

      • Seethrough Studio

        Yeni seviyeyi gör. Geleceği gör.

        Gelişmiş donanım teknolojilerinin yanı sıra, devrim niteliğindeki Seethrough Studio yazılımı, W&H görüntüleme portföyünün yüksek standardının belirleyici bir faktörüdür. Kullanışlı özellikleri ve gelişmiş yapay zeka özellikleriyle Seethrough Studio, görüntüleme kalitesini ve dijital diş hekimliği iş akışlarını yeni bir düzeye taşıyan hepsi bir arada bir çözümdür.

        Kolay entegrasyon

        Seethrough Studio, hasta yönetim sisteminize kolayca entegre edilebilir. Hasta verilerini yeniden girmek zorunda kalmadan, yazılımı doğrudan PMS'den başlatabilirsiniz.

        Keşif görüntüsünde serbest FOV seçimi

        İlk taramada doğru görüntüyü elde edin: ön izlemede gerekli FOV alanını seçin ve odak alanını serbestçe ayarlayın. Bu, FOV alanının doğru konumlandırılmasını sağlar ve hastayı yeniden pozlamaya gerek kalmaz.

        Hasta hareketi ve pozisyon düzeltmesi

        Gelişmiş hasta hareket düzeltme algoritması, hem 3D hem de 2D görüntülemede görüntü kalitesini yeni seviyelere yükseltir. 2D görüntüler, hasta konumlandırma düzeltmesi ile sorunsuz bir şekilde entegre edilen 21 katmanlı otomatik odaklama sistemi ile daha da geliştirilmiştir.

        Metal parça kaldırma (MAR)

        Metalik parçalardan kaynaklanan paraziti ortadan kaldırarak görüntü bütünlüğünü geri kazandırır ve görüntüleri MAR açık veya kapalıyken incelemenize olanak tanır; böylece son derece esnek bir görselleştirme ve gelişmiş tanı doğruluğu sağlanır.

        Keskin, ayrıntılı ve bozulmamış görüntüler

        Seethrough Studio'nun gelişmiş algoritmalarıyla desteklenmektedir.

        Entegre implant planlama aracı

        Seethrough Studio, olağanüstü görüntü kalitesi ve sezgisel kullanımının yanı sıra, tedavinin kolay görselleştirilmesi ve hazırlanması için standart entegre implant planlama aracı gibi birçok kullanışlı özellik sunar.

        Yapay zeka fonksiyonları

        Seethrough Studio, görüntü iyileştirme için 3D hacim hizalama, diş segmentasyonu, kemer çizgisi oluşturma, otomatik sinir izleme ve patoloji tespiti için yararlı destek dahil olmak üzere çeşitli AI araçlarını kullanır.

        Akıllı çözümler

        Seethrough Studio, standart olarak ioDent® ile bağlantılıdır. W&H'nin bu gelişmiş çevrimiçi platformu, önemli hasta verilerini, kesintisiz iletişimi ve günlük muayenehane hayatını daha verimli hale getiren çok sayıda faydalı hizmet ve desteği bir araya getirir. 3B, panoramik ve ağız içi görüntülere istediğiniz zaman ve istediğiniz yerden erişin; ioDent®, ihtiyacınız olan tüm ilgili hasta bilgilerini size sunar.
        iodent.com

        Güvenli ve hızlı veri aktarımı sayesinde, ismi gizlenmiş hasta vakaları meslektaşlarınızla paylaşılabilir, tartışılabilir ve yorumlanabilir. Ayrıca, hastalar DICOM verilerini güvenli bir bağlantı üzerinden indirebilirler. ioDent®, entegre hizmet panosuyla müşteri desteğine hızlı ve doğrudan erişim sağlayarak gerektiğinde uzmanlardan anında teknik destek sağlanabilir. ioDent® ayrıca tüm yasal yönergelere uymanıza yardımcı olur ve tüm radyolojik cihazlar için eksiksiz maruziyet listeleri sunar.

        Your Benefits

        • En yüksek kalitede görüntüleme
          Olağanüstü netlik ve çözünürlükte görüntüler: Gelişmiş donanım ve yazılım teknolojilerinin yenilikçi bir kombinasyonuyla görüntü kalitemiz yeni standartlar belirliyor.

        • Mükemmel entegrasyon
          Çözümlerimiz, herhangi bir muayenehane yönetim sistemine (PMS) zahmetsizce entegre olur, iş akışlarınızı optimize eder ve yüksek düzeyde kullanıcı dostudur.
        • Akıllı işlevsellik
          Hareket değiştirme, bakım desteği ve rehberli edinim gibi kapsamlı araçlar, optimum sonuçlar ve daha basit, daha düzenli bir kullanım sağlar.
        • Connected with ioDent®
          Access everything you need anytime, anywhere. Whether it is online image retrieval, patient data, data storage or access to the service dashboard: stay connected.

        • Muayenehaneniz için devrim niteliğinde yapay zeka
          Yenilikçi yapay zeka araçları, görüntü analizi ve teşhisini destekler, değerli bilgiler sağlar ve hasta bakımını yeni bir seviyeye taşır.

          İndirme Merkezi

          İndir


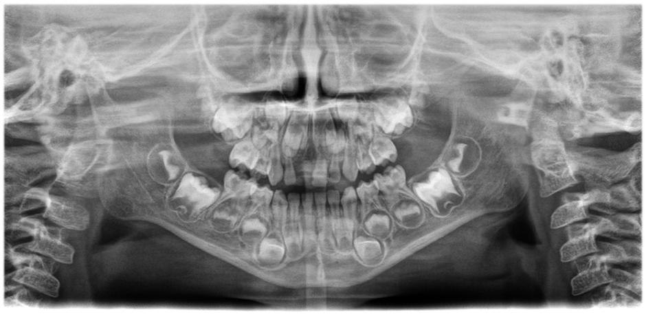
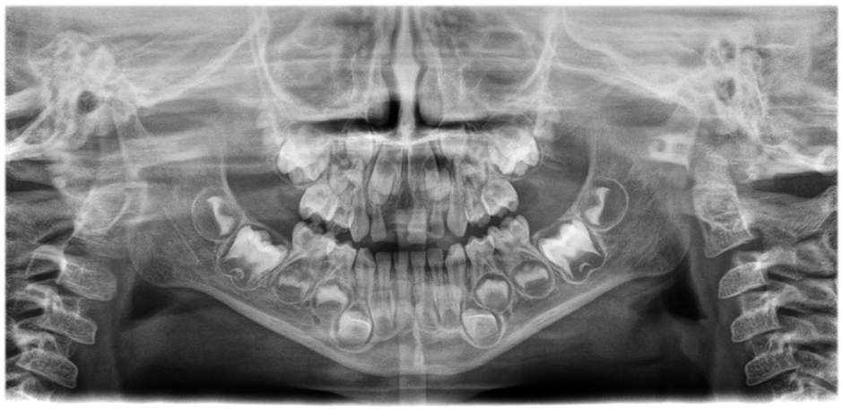
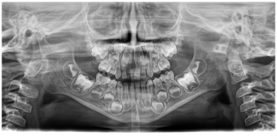
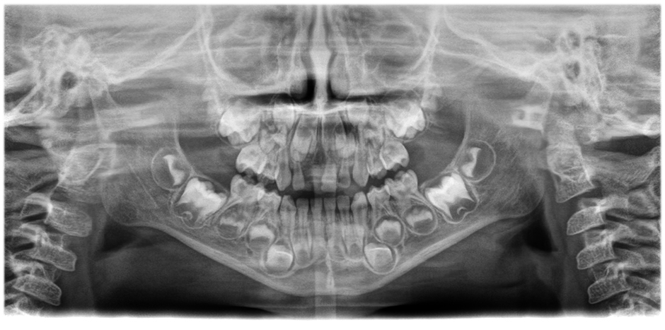
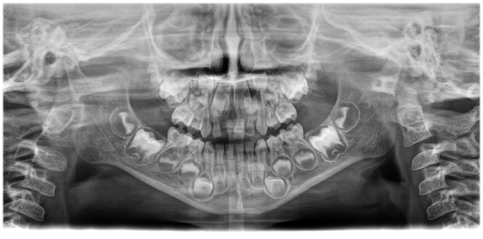
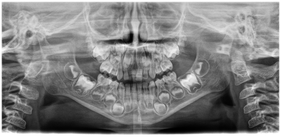
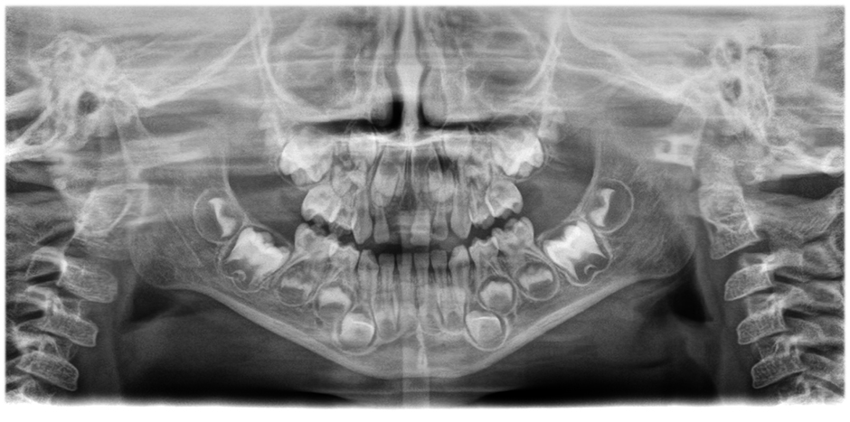
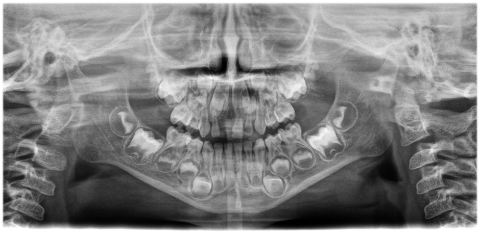
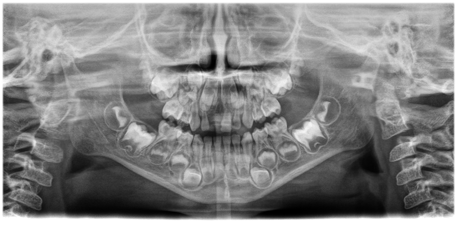
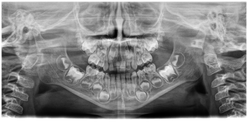
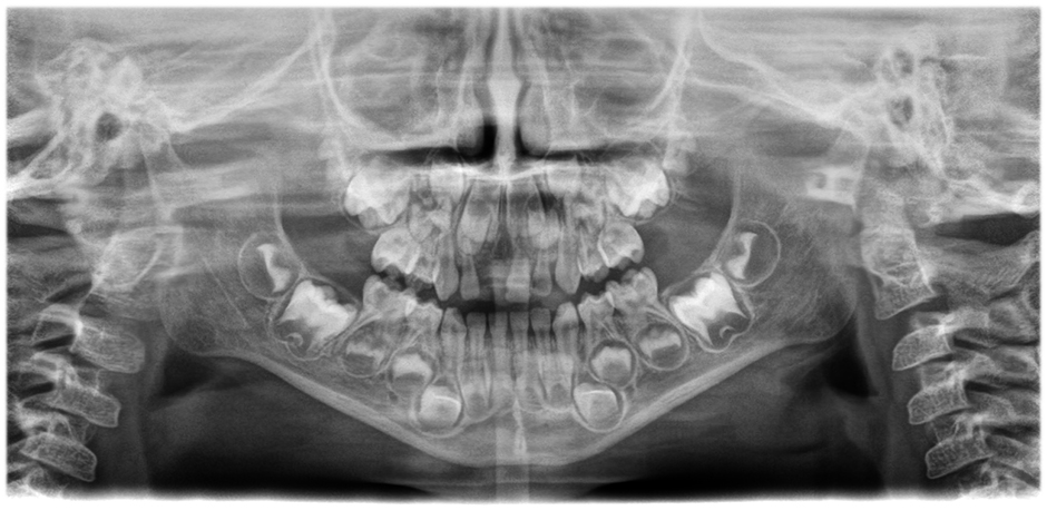
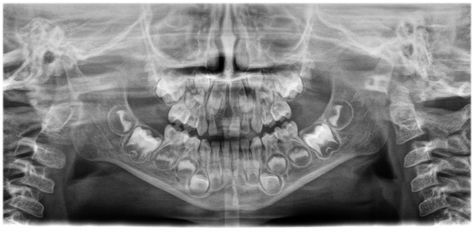
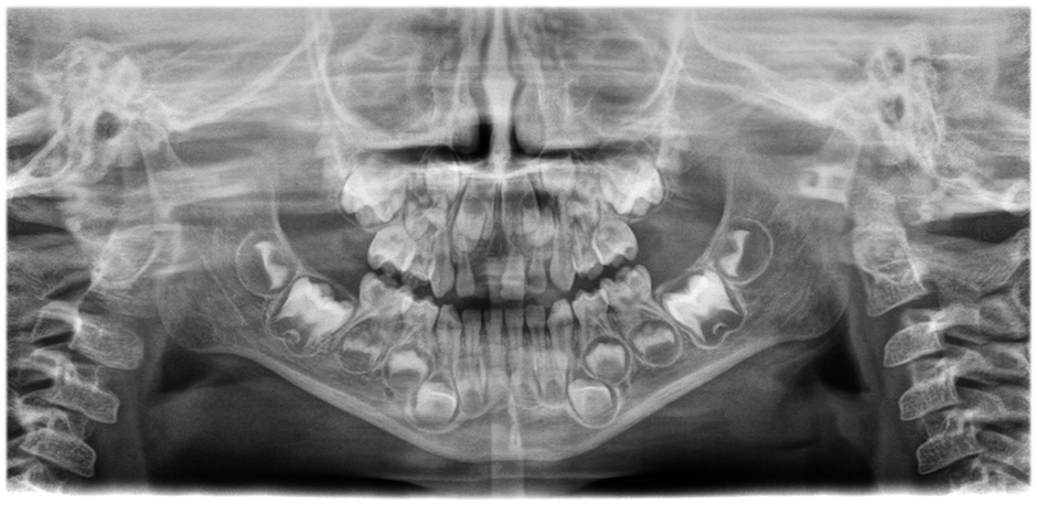
        • Olağanüstü netlik ve çözünürlükte panorama görüntüler,
          Hasta konumlandırma düzeltmesi ile sorunsuz bir şekilde entegre edilmiş yenilikçi 21 katmanlı otomatik odaklama sistemi.
          Farkı görmek için kaydırıcıyı hareket ettirin (sol görüntü otomatik odaklama ve hasta konumlandırma düzeltmesi olmadan, sağ görüntü otomatik odaklama ve hasta konumlandırma düzeltmesi ile).

          İndirme Merkezi

          İndir