Berichte & Studien

Die gesunde Patientin mit parodontaler Vorerkrankung*

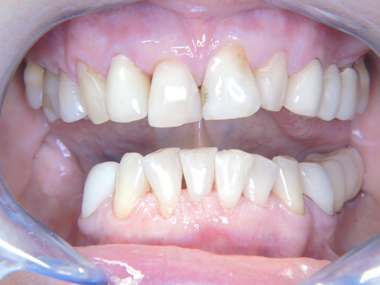
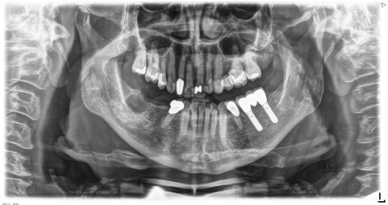
Die 68-jährige Patientin hat keine zahnmedizinisch relevanten allgemeingesundheitlichen Vorerkrankungen oder Medikation, auch aus dem Lebensstil ergibt sich kein besonderes Risiko. Die Patientin hat zwei Implantate (3. Quadrant, seit fünf Jahren) sowie eine parodontale Vorerkrankung (Parodontitis Stadium IV, Grad B) mit Zahnverlust. Derzeit zeigen sich stabile parodontale Verhältnisse, jedoch erhöht Parodontitis maßgeblich die biologischen Komplikationen bei Implantationen und es droht der Implantatverlust (21).
Für die Prophylaxesitzung ergeben sich vier Empfehlungen in den Bereichen Anamnese/Befund, Motivation/Instruktion, der Wahl der geeigneten Instrumente und für Resümee/Folgetermin.

nach Lang & Tonetti
ParoStatus®.de

Da die Patientin keine besonderen Risikofaktoren mit spezifischen zahnmedizinischen Auswirkungen hat, ist der aus der Mundgesundheit ermittelte Bedarf maßgebend. Hier ist einmal jährlich ein ausführlicher Parodontalstatus empfohlen. So kann rechtzeitig auf eine mögliche Progression der parodontalen Vorerkrankung oder die Entstehung einer Periimplantitis reagiert werden.

Trotz der stabilen Verhältnisse sollten auch bei dieser Patientin die Motivation/Instruktion nicht vernachlässigt werden. Besonderes Augenmerk gilt dem Erlernen der richtigen Implantatpflege. Gerade hier kann eine gute häusliche Pflege einen wichtigen Anteil an der langfristigen Stabilisierung der Mund- und Implantatgesundheit haben.

In der Instrumentierung gilt im Bereich der Implantate eine besondere Vorgehensweise. Zum Erhalt der Implantatoberfläche bei gleichzeitig effektiver Reinigung ist die Wahl passender Pulver und Instrumente ausschlaggebend, wie etwa der gezielte Einsatz von Pulverstrahlgeräten mit speziellen Paro-Spitzen. Die Wahl des geeigneten Pulvers kann bedarfs- und risikogerecht erfolgen, beispielsweise kann neben dem passenden Abrasionsgrad auch auf diätische Anforderungen (u. a. zuckerfrei, salzarm) eingegangen werden.

Aufgrund der Implantatsituation mit parodontaler Vorerkrankung hat die Patientin ein Entstehungsrisiko für eine Periimplantitis – empfohlen wird eine Wiedervorstellung im Intervall von drei bis vier Monaten.



* with the kind permission of Dr G. Schmalz and Dr D. Ziebolz MSc.

Individual Prophy Cycle - Das patientenorientierte Präventionskonzept

Kommentare