Berichte & Studien

Ozon in der Zahnheilkunde: Teil 2

Durch den wiederholten Einsatz einer lokalen Ozongasapplikation mit dem Prozone-Gerät von W&H hat sich die fortgeschrittene Parodontitis marginalis profunda in der Oberkieferfront einer 42-jährigen Patientin klinisch signifikant gebessert. Svea Baumgarten, Dr. med. dent., M Sc, anerkannte Implantologin lässt Sie an Ihren Erfahrung mit Ozonanwendungen teilhaben.

Die Patientin stellte sich in unserer Praxis vor mit der Frage der konservativen Erhaltbarkeit der Oberkieferfrontzähne bei chronischer Parodontitis. Wir fanden generalisierte Taschenbildungen (> 10 mm), Spontanblutungen und einen Lockerungsgrad 2/3, d.h. extraktionswürdige Zähne. Als Überbrückungsmaßnahme (Feiertagssituation) bis zu Sanierungsmaßnahmen boten wir ihr lokale Ozongasbehandlungen an.

Als Ozongasspender verwendeten wir Prozone, das mit Hilfe von Kunststoffansätzen Ozongas schmerzarm in die Taschen einzuleiten erlaubt. Die lokale Ozongas-applikation wurde dreimal im Wochenabstand wiederholt. Außerdem wurde die Patientin auf notwendige persönliche Hygienemaßnahmen aufmerksam gemacht. Wir konnten nicht nur die Blutungen stoppen, sondern den Lockerungs-grad der Zähne in einem stabilen Zustand (2) halten und die messbare Taschentiefe verringern.

Dokumentation des Falles:

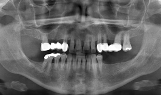
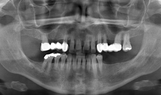
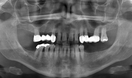
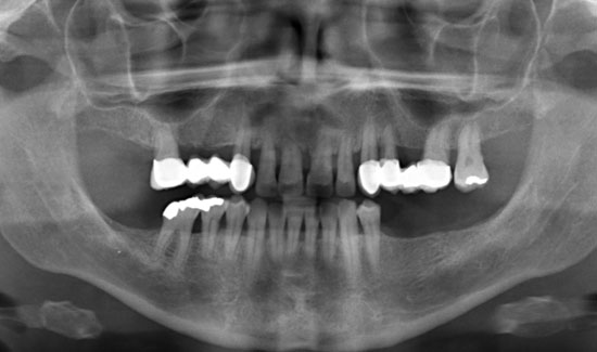
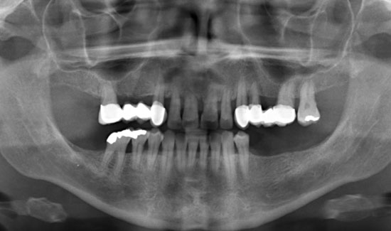
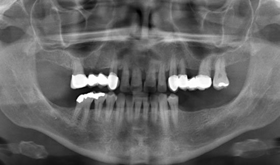
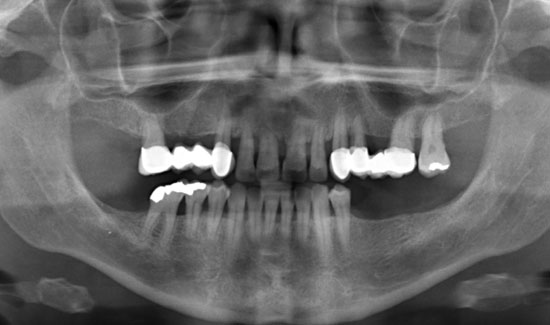
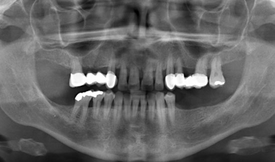
Abb. 1: Orthopantomogramm




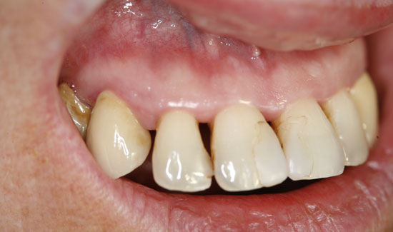
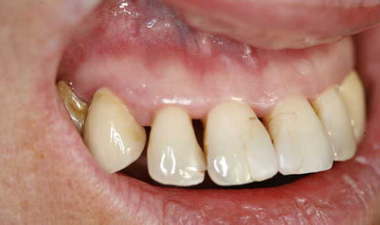
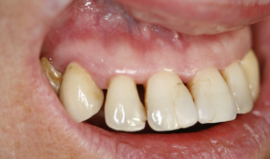
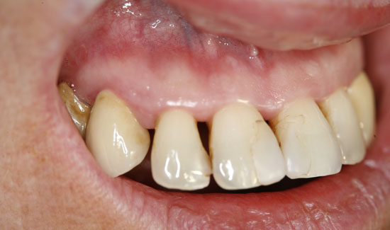
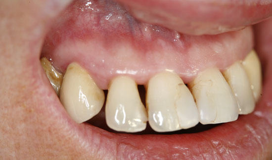
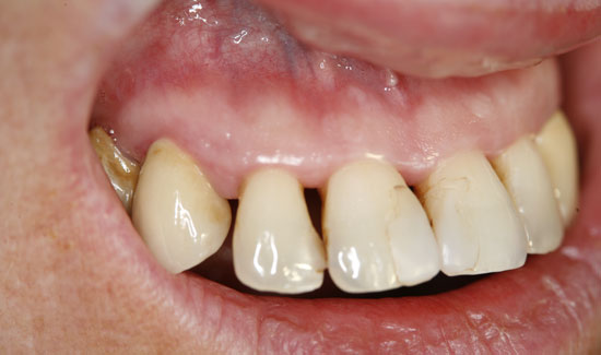
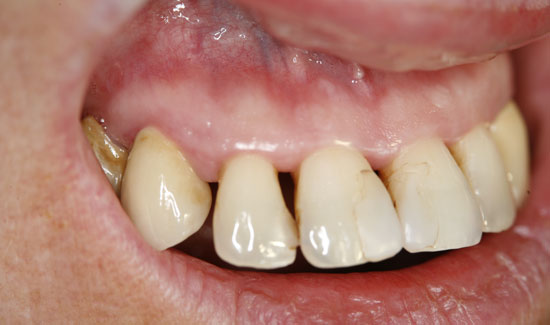
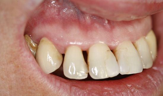
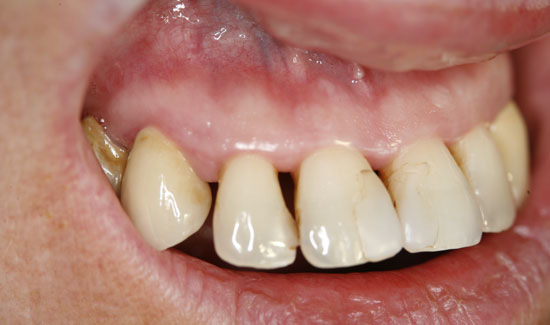
Abb. 3: Zustand nach Ozontherapie. Chlorhexidinverfärbung der Zähne
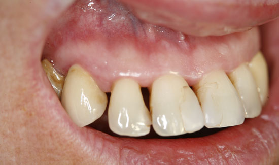
Abb. 2: Klinischer Aspekt der Regio 12, Entstehung von Gasblasen am entzündeten Gewebe. Fortlaufende Absaugung in der Nähe des Einsatzgebietes

Abb. 4: Produktabbildung (W&H Prozone)

Erfolgreiche Behandlung mit Prozone

Der Ozongasgenerator von W&H (Prozone) zeichnet sich durch einfache Handhabung und durch Anwendungssicherheit (voreingestellte gewebekompatible Dosierungen in Indikationsbereichen Parodontitis und Endodontitis) aus. Das Prozonegerät gewährleistet durch austauschbare Kunststoffansätze (Perio-Spitzen, Endo-Spitzen) ein hygienisches Vorgehen bei der Taschenbegasung.

Eine Schmerzbehandlung ist überflüssig, weil Ozon schmerzhemmende Eigeschaften (an langsam leitenden C-Fasern) entfaltet. Die Ozongasapplikation kann entweder als adjuvante Therapie zu etablierten Verfahren oder als Monotherapie bei Parodontitis eingesetzt werden.

Wie kann man die Wirkung von Ozon verstehen? In wässrigem Milieu (interstitielle Flüssigkeit) gelöstes Ozon reduziert die Mikrobenlast und vermindert organisches Material. Es erleichtert die Wundheilung durch Desinfektion und durch die Induktion von positiven biophysiologischen Mechanismen im Gewebe (Zunahme der Radikalabwehr, Induktion von Akutphaseproteinen, Verbesserung der natürlichen Immunität, Zunahme der Synthese und Freisetzung von Wachstumsfaktoren, Verbesserung der Mikrozirkulation, erhöhte Sauerstoffbeladung von Erythrozyten, Beschleunigung der Epithelregeneration). In Wasser gelöstes Ozon ist erstaunlich biokompatibel und weniger zytotoxisch an Oralzellen als andere etablierte Desinfektionsmittel (z.B. Natriumhypochlorit).

Ozongas ist ein effektives Oberflächendekontaminationsmittel (s.Oizumi et al.9) für herausnehmbare Prothesen. 90% der Streptokokken (S. mutans) bzw. Staphylokokken (S. aureus) wurden innerhalb von 1 Minute inaktiviert und nach
3 min. Exposition waren keine pathogenen Keime mehr nachweisbar.

Dies ist ein bemerkenswerter Desinfektionseffekt wenn man bedenkt, dass 1 ppm Ozon in Luft (1 ml Ozon/Liter) nur ein Fünfhundertstel der Molekülanzahl im Vergleich zur Konzentration von Ozon in Wasser enthält (1 ppm = 1 mg Ozon/Liter Wasser). Die Wirksamkeit von Ozongas ist abhängig von der relativen Luftfeuchtigkeit: je mehr Feuchtigkeit Luft enthält desto stärker wirkt Ozongas (Radikalreaktionen im Wasser).

Vorschau auf Teil 3

Lesen Sie in der nächsten Ausgabe des W&H Newsletters (Dezember 2009):
Klinische Anwendung von Ozon bei Infektionen, Karies und in der Implantologie.

Quelltext: Dr. Svea Baumgarten, M Sc, Bürgerweide 36, 20535 Hamburg,
Tel.: (0049)40-259303, Fax No.: 040-27145679; svea.baumgarten@t-online.de.

Literaturverzeichnis:
finden Sie im vollständigen Anwenderbericht (siehe im rechten Downloadbereich dieser Seite)

Kommentare