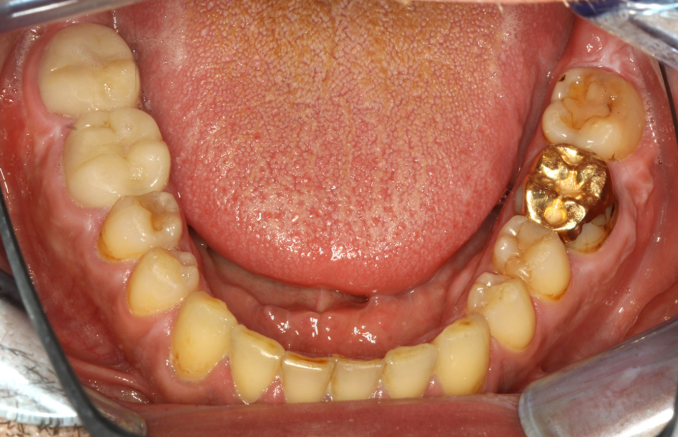
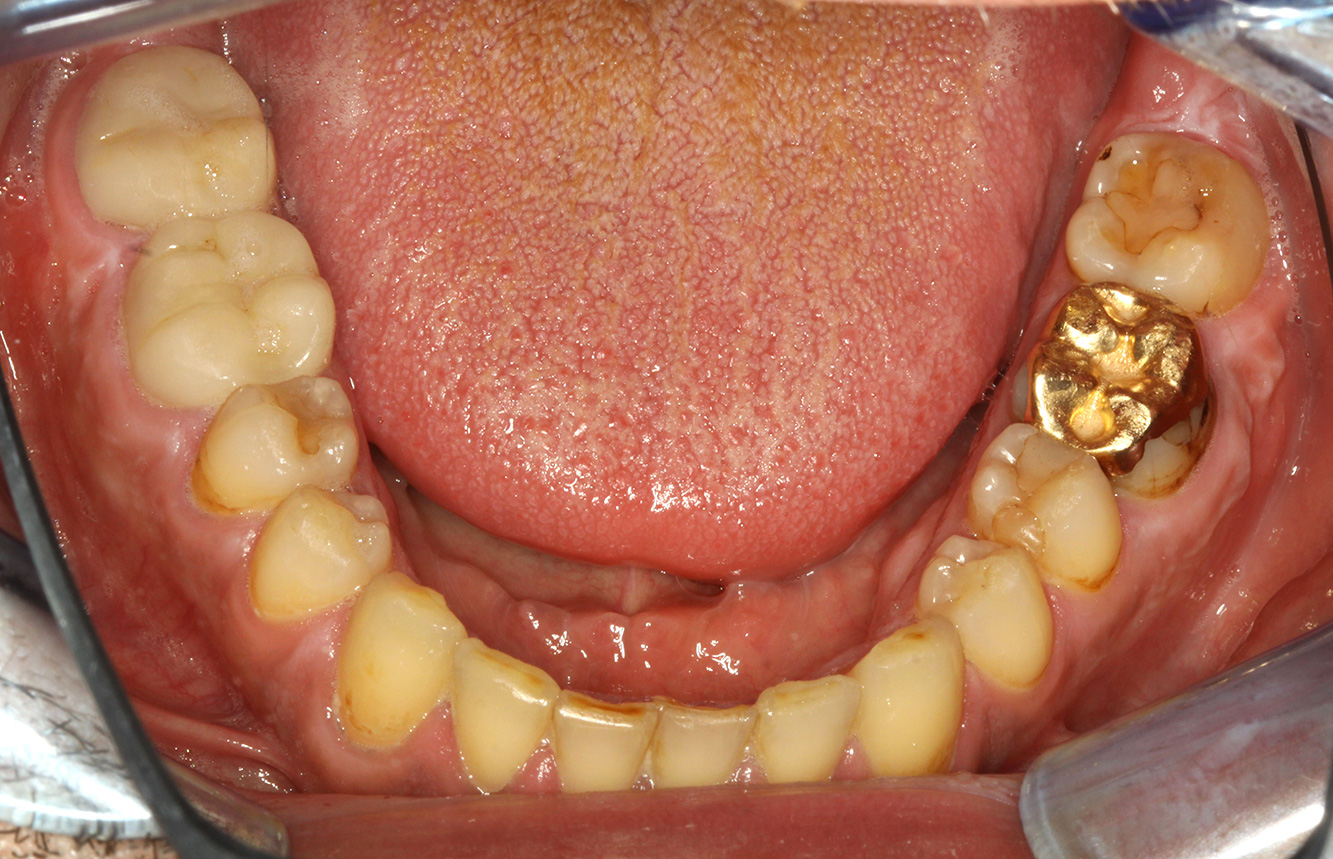
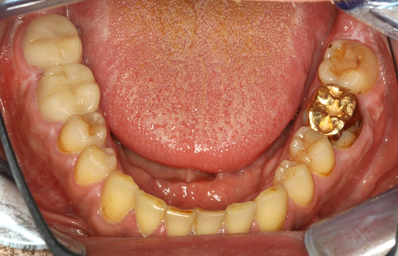
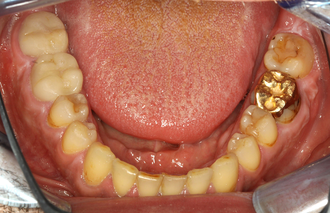
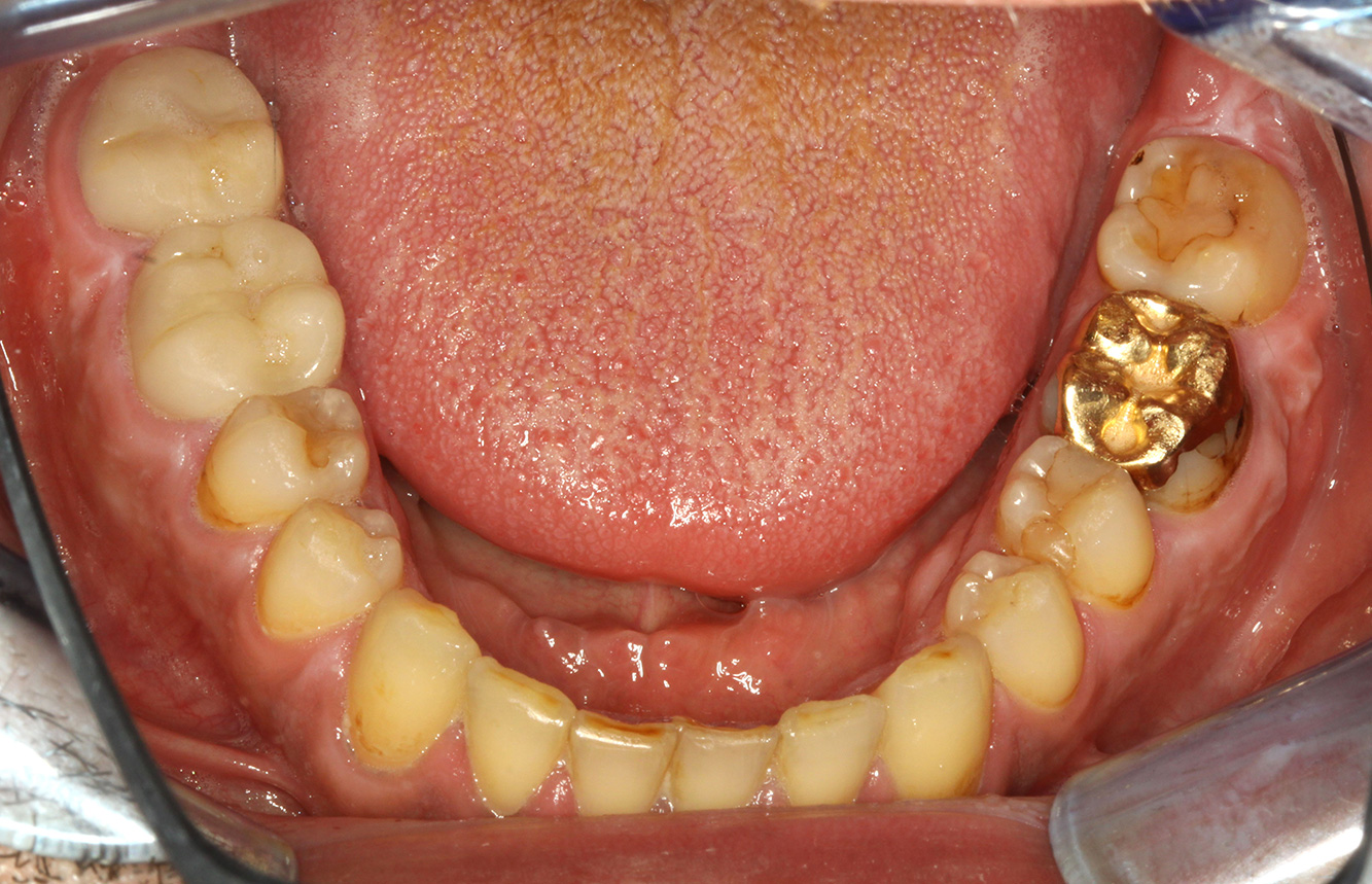
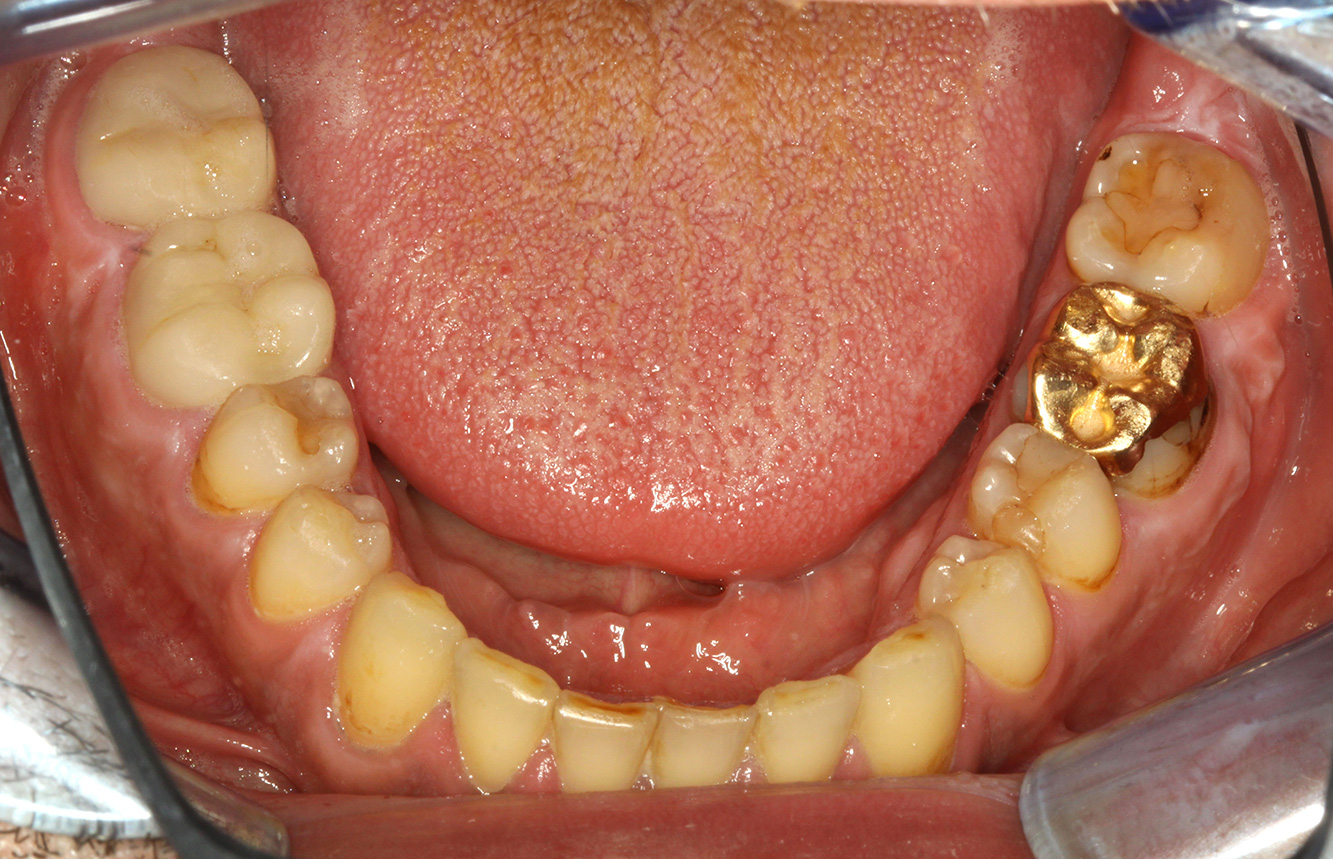
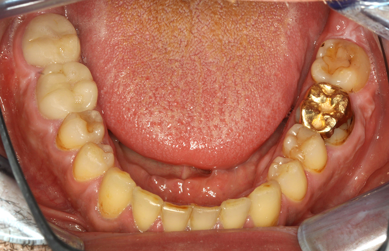
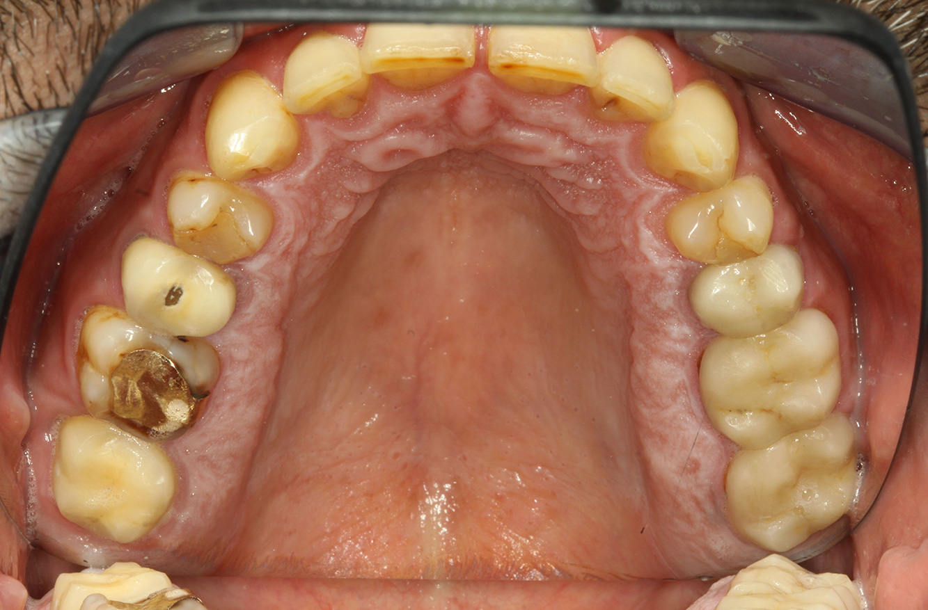
Der Endokarditis-Patient mit aktiven Kariesläsionen*


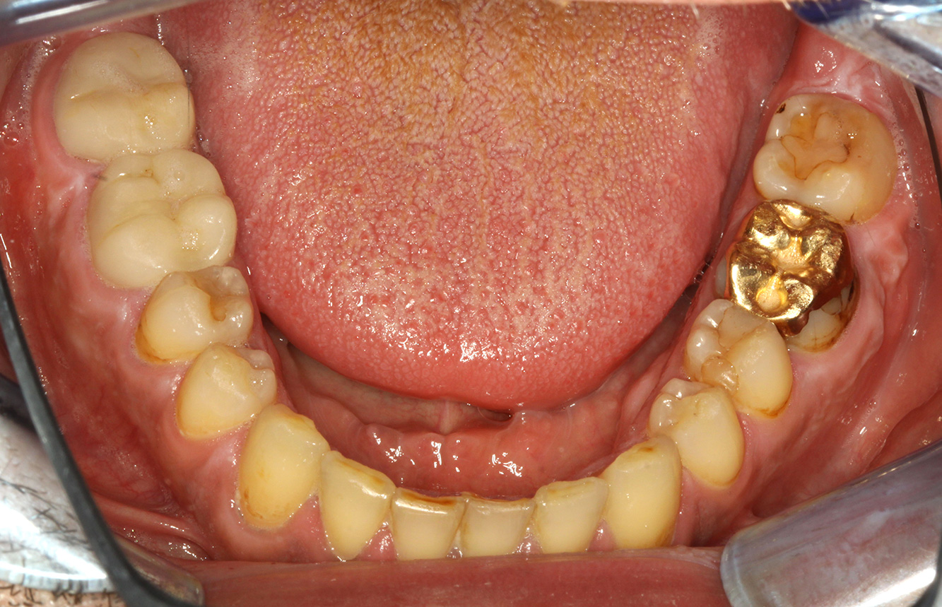
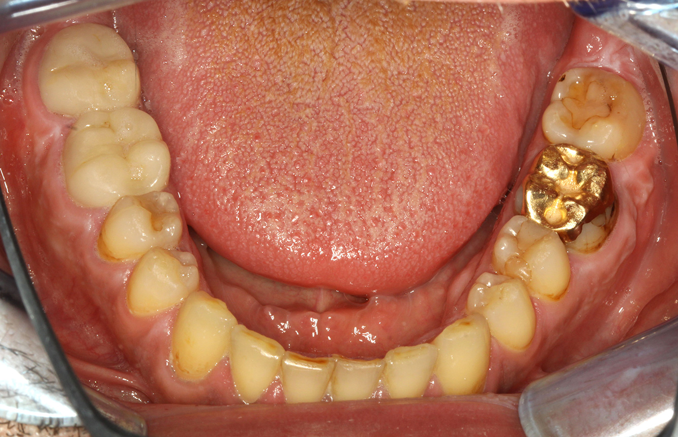
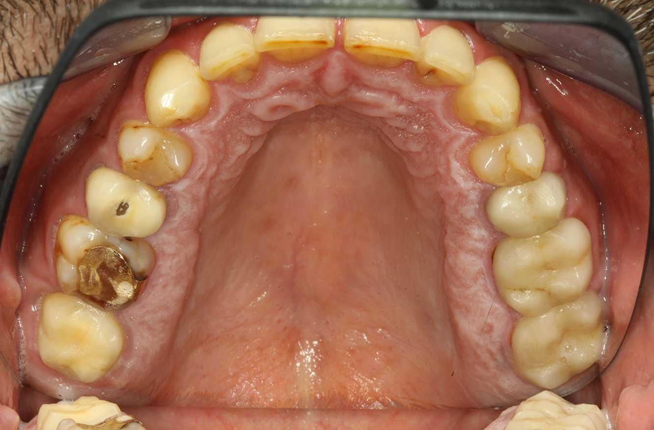
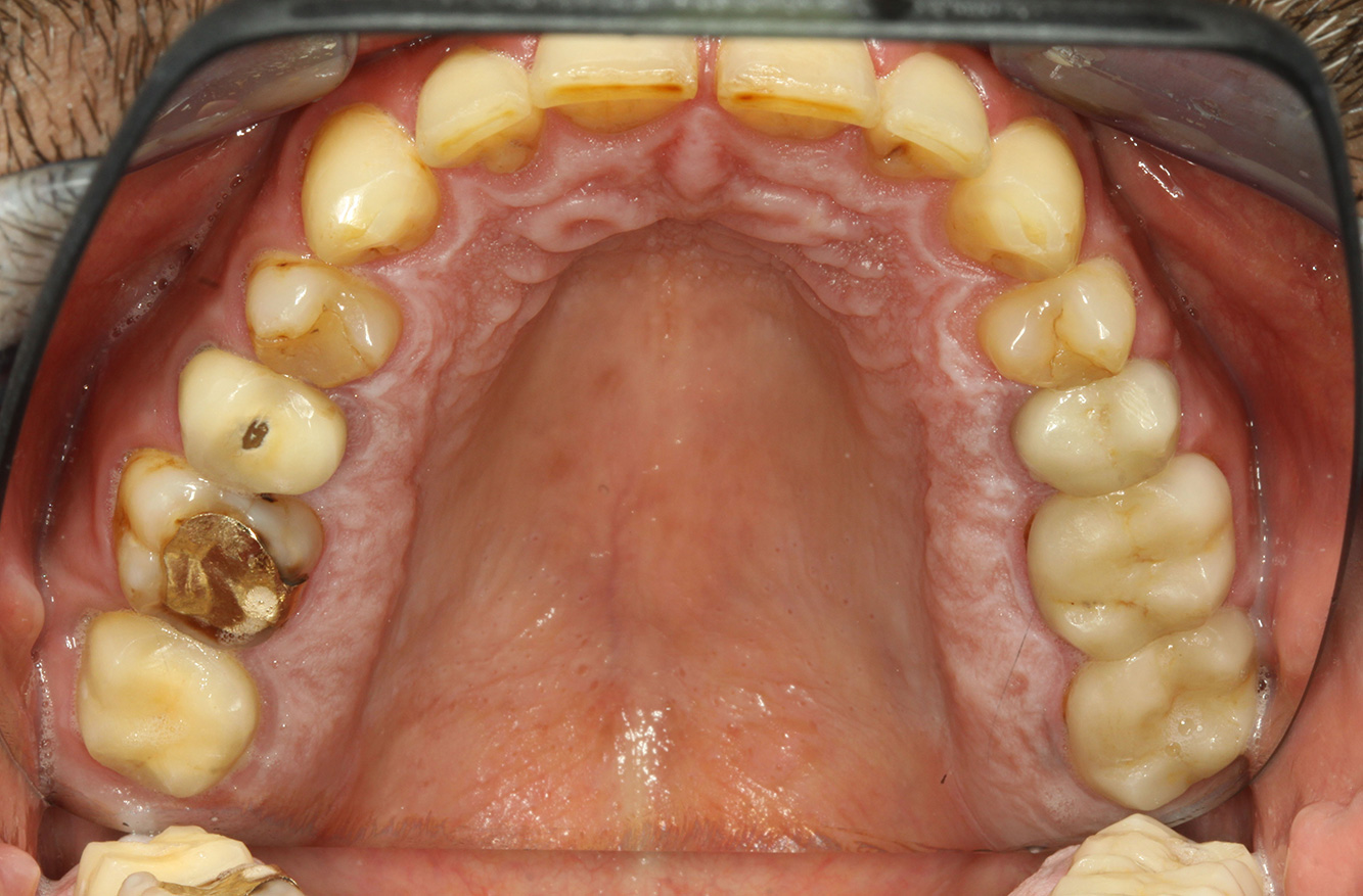
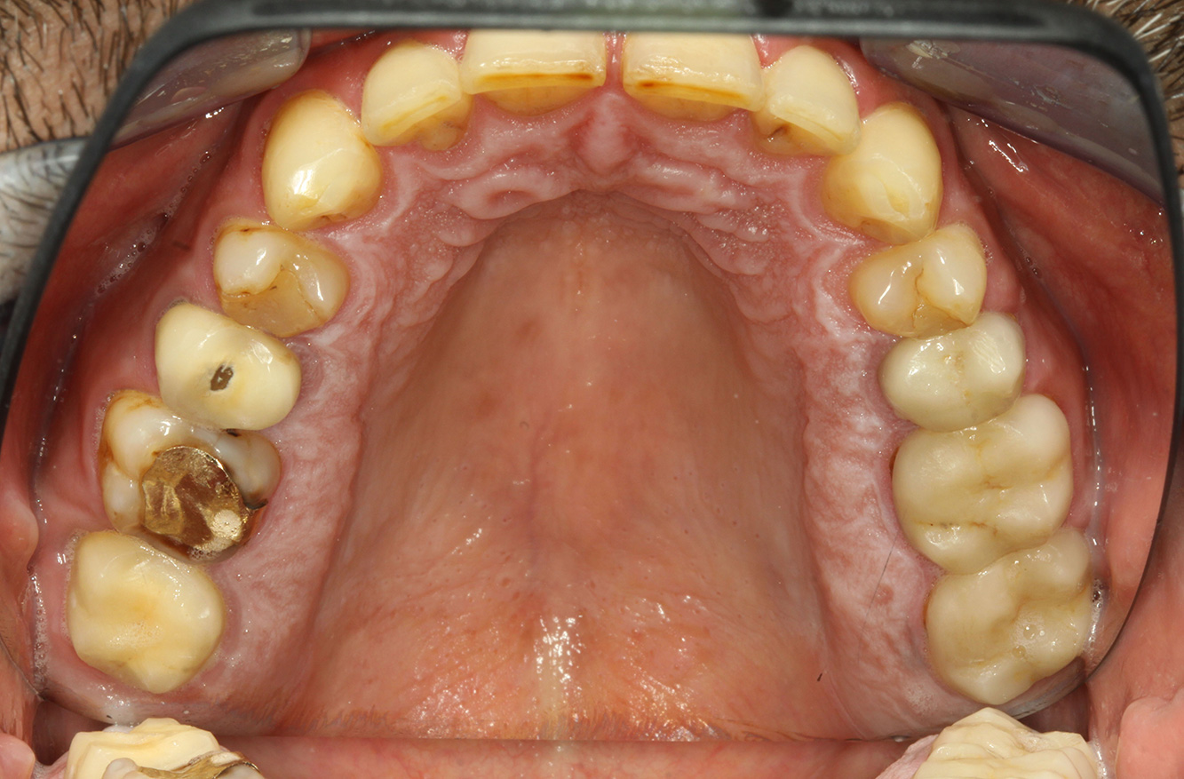
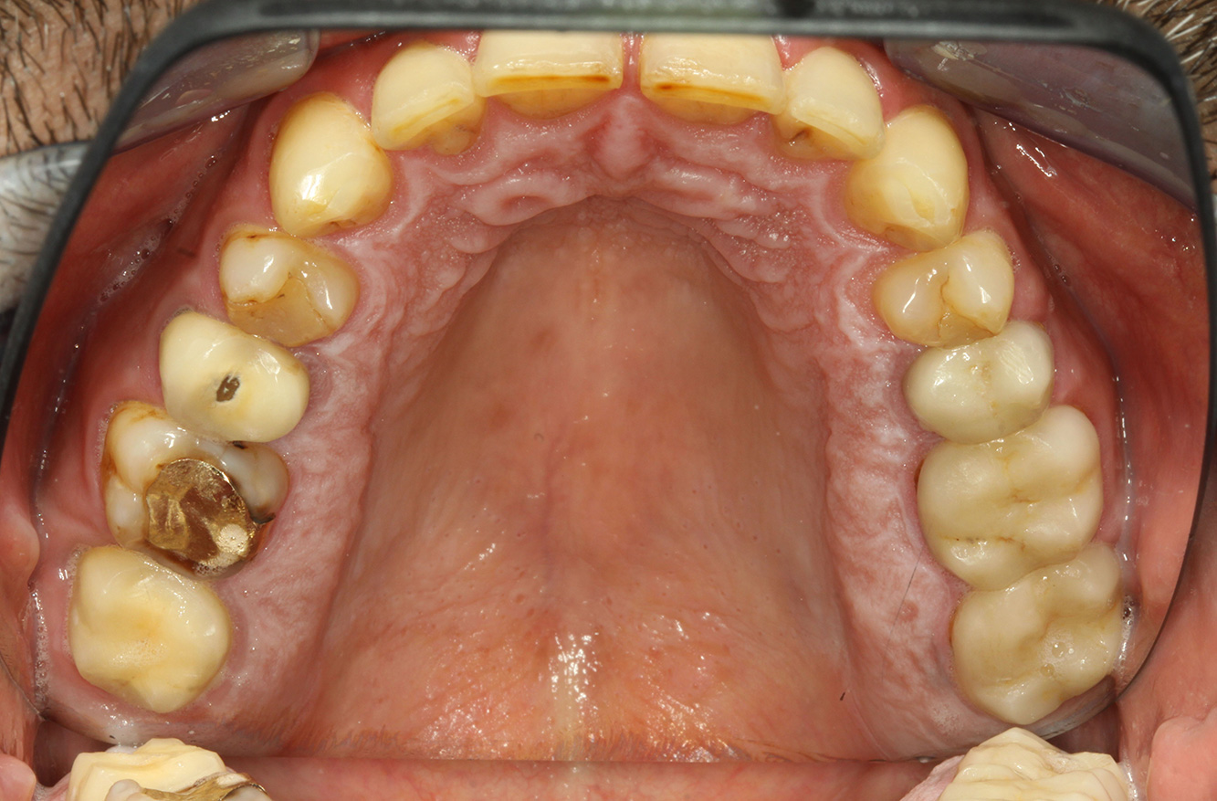
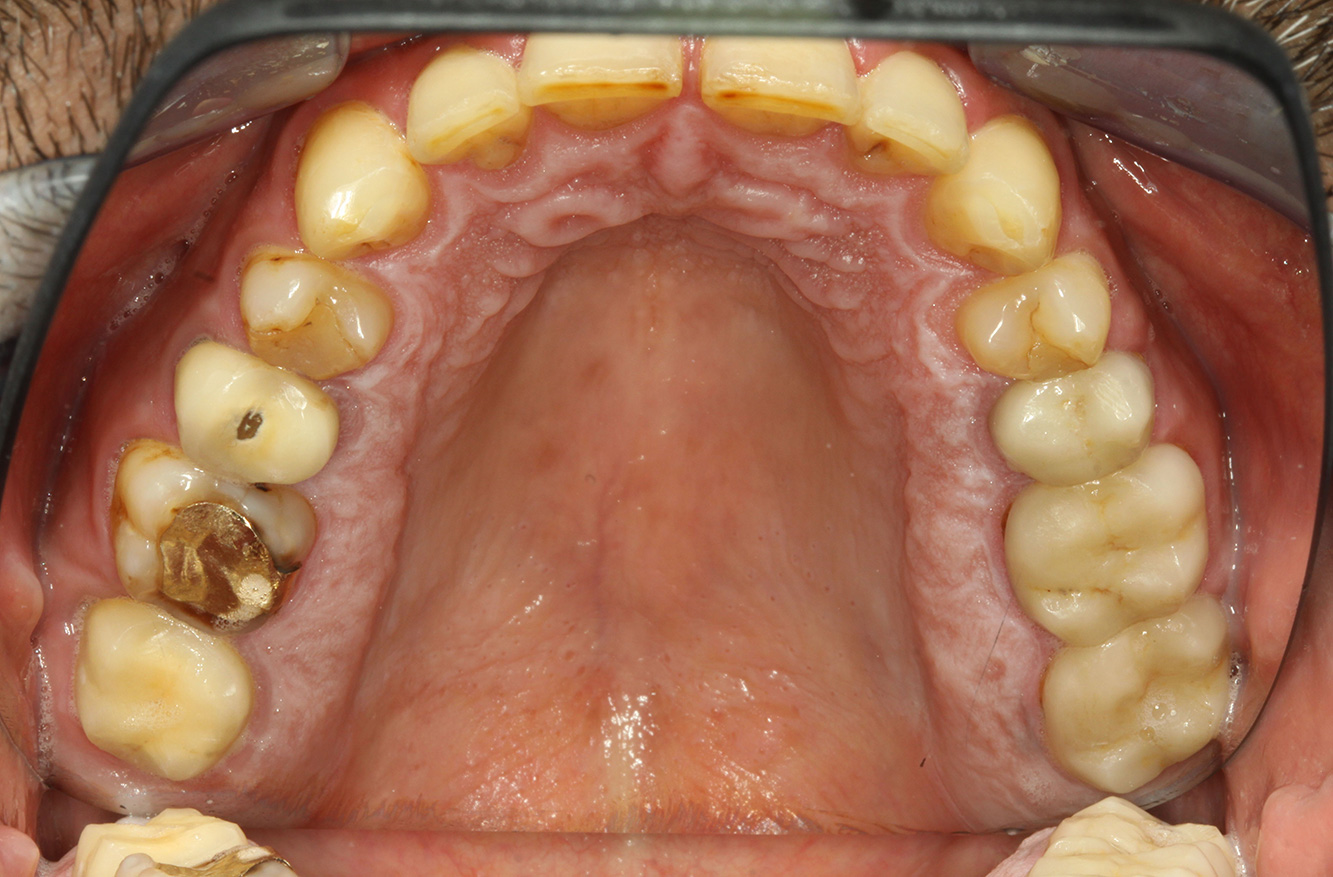
Der Patient ist 39 Jahre mit Z.n. Herzklappenersatz wegen Klappenfehlers und Endokarditis. Als Antikoagulans (Gerinnungshemmer) wird regelmäßig ASS 100 eingenommen. Aus dem Bereich Lebensstil ist die Ernährungsweise als kariesfördernd einzustufen, da mit hoher Regelmäßigkeit zuckerhaltige Lebensmittel sowie sechs bis sieben Mahlzeiten täglich verzehrt werden. Die Mundgesundheit des Patienten zeigt ein mittleres Kariesrisiko mit aktiven Läsionen. Das Parodontitisrisiko ist niedrig, es besteht eine Gingivitis. Es ergeben sich folgende Empfehlungen für die Prophylaxebehandlung.



Durch den Herzklappenersatz und die Vorgeschichte einer Endokarditis lässt sich ein erhöhtes Komplikationsrisiko ableiten. Um das Risiko einer erneuten Entzündung zu mindern, ist eine Antibiotikaprophylaxe zu empfehlen (z. B. 2 g Amoxicillin 1h vor Sitzung). Trotz der bestehenden Dauermedikation mit einem Blutverdünner, ist in der Prophylaxesitzung nicht mit einem erhöhten Blutungsrisiko zu rechnen.

Für das Instruktions-/Motivationsgespräch sollte genügend Zeit eingeplant werden. Der negative Einfluss des Ernährungsverhaltens auf die Mundgesundheit (9) sollte dem Patienten anschaulich vermittelt werden. Auch im Hinblick auf die Endokarditis können die Zusammenhänge zwischen kariogenen Bakterien und kardiovaskulären Erkrankungen thematisiert werden (12). Wodurch die Motivation für eine nachhaltige Ernährungsumstellung gestärkt werden kann. Das Gespräch soll dem Patienten die Wichtigkeit einer guten häuslichen Mundhygiene vermitteln und ihn motivieren.

Für die Prophylaxesitzung lassen sich keine spezifischen Instrumentierungsempfehlungen ableiten. Durch den gezielten Einsatz von Pulverstrahl und rotierend Polieren können Plaque und Verfärbungen an den Restaurationsrändern schonend entfernt und Wiederbesiedlungsnischen für kariogene Bakterien reduziert werden (19).

Zur weiteren Unterstützung der Kariesprävention ist eine Fluoridierung, besonders um der Neuentstehung im Bereich der Restaurationsränder vorzubeugen, und eine Versiegelung der Wurzeloberflächen empfehlenswert. Beide Maßnahmen können die angegebene Temperatursensibilität der Zähne reduzieren.

Bedingt durch die aktiven Kariesläsionen und dem damit einhergehenden Progressionsrisiko ergibt sich ein verkürztes Recall-Intervall von drei bis vier Monaten.
* mit freundlicher Genehmigung von Dr. G. Schmalz und Prof. Dr. D. Ziebolz MSc.
Individual Prophy Cycle - Das patientenorientierte Präventionskonzept
Kommentare