Ultraschallaktiviertes mechanisches Biofilmmanagement
von Prof. Dr. Dirk Ziebolz, DH Barbara Kampfmann
Erstveröffentlichung: Implantologie Journal 3/2019
Ein dauerhafter Erhalt der periimplantären Gesundheit und die damit verbundene zielgerichtete Vorbeugung periimplantärer Erkrankungen sind von wesentlicher Bedeutung bei der Sicherung eines langfristigen Implantaterhalts.(1–3) Entsprechend nimmt eine professionelle kontinuierliche und präventionsorientierte Betreuung von Implantatpatienten im Rahmen der sogenannten unterstützenden Implantattherapie (UIT) einen bedeutenden Stellenwert ein.(3–7) Der hier beschriebene Patientenfall zeigt die Einsatzmöglichkeiten eines piezoelektrischen Ultraschallscalers im Rahmen der UIT zur effizienten Reinigung von Zahn und Implantatoberflächen.
Einerseits ist es in der unterstützenden Implantattherapie (UIT) wichtig, dass der Patient eine adäquate häusliche/persönliche Mundhygiene durchführt. So sollten diese Patienten regelmäßig zur Anwendung geeigneter Mundhygienemaßnahmen motiviert und instruiert werden.(2) Andererseits ist eine professionelle zahnmedizinische Betreuung mit regelmäßiger klinischer Diagnostik und Implantatreinigung durch das zahnärztliche Team erforderlich.(2)
In der Implantatnachsorge nimmt vor allem die regelmäßige mechanische Reinigung der Implantat und Zahnoberflächen eine zentrale Position ein. Hierbei kann auf weitestgehend bewährte Verfahren der unterstützenden Parodontitistherapie zurückgegriffen werden. Zur mechanischen Biofilmentfernung hat sich der Einsatz handelsüblicher Küretten und Scaler sowie oszillierender Schall und Ultraschallinstrumente, allein oder in Kombination, etabliert.(8) Es scheint naheliegend, dass die Anwendung dieser Instrumente auch in der Implantatnachsorge sicher und effektiv sein könnte. Entsprechend stehen zur mechanischen Reinigung der Implantate unterschiedliche (implantat) spezifische Instrumente bzw. Systeme zur Verfügung, wie z. B. Handinstrumente (Scaler, Küretten), oszillierende Schall und Ultraschallinstrumente, LuftPulverWasserstrahlGeräte sowie laserbasierte Systeme.(2,9–12)
Für die handinstrumentelle mechanische Reinigung von Implantatoberflächen stehen verschiedene spezielle Carbon, Titan oder Kunststoffküretten bzw. scaler zur Verfügung.(13–15) Insgesamt wird die Effektivität der Biofilmentfernung mit den zur Verfügung stehenden Handinstrumenten vornehmlich als ineffektiv bewertet.(11) Während insbesondere Kunststoffküretten zwar eine geringe Beeinträchtigung der Implantatoberfläche bewirken und einen hohen Patientenkomfort versprechen, steht einem Einsatz jedoch ihre geringe Effizienz bei der Biofilmentfernung sowie ihr Unvermögen beim Entfernen von Zahnstein und subgingivalen Konkrementen entgegen.(16,17) Die Anwendung von Carbon oder Titanküretten gilt heute als effizienter, sodass, wenn überhaupt, diese für die Handinstrumentierung bevorzugt empfohlen werden können.(11)
Neben dem Einsatz bzw. Nutzen der manuellen Instrumentation hat sich zunehmend der Einsatz druckluftbetriebener Schall bzw. piezoelektrischer sowie magnetostriktiver Ultraschallinstrumente (Scaler) zur Reinigung von Zahn und Implantatoberfläche bewährt.(11) Um bei der Reinigung der Abutment und Suprakonstruktionsoberfläche mögliche Beschädigungen bzw. Irritationen zu vermeiden, werden modifizierte Arbeitsspitzen eingesetzt (z. B. auf Basis von Carbon oder Polyetheretherketone). Die Reinigungseffizienz wird als gut beschrieben.(11) Der Einsatz bzw. die alleinige oder kombinierte Anwendung entsprechender Schall bzw. Ultraschallsysteme mit Handinstrumenten zur Implantatreinigung kann somit heute als wissenschaftlich anerkannt angesehen werden.
Insgesamt bleibt jedoch zur berücksichtigen, dass bisher nicht eindeutig geklärt ist, welche der o. g. Verfahren, allein oder in Kombination, am effektivsten in der Prävention periimplantärer Erkrankungen eingesetzt werden können. Im Rahmen einer professionellen Implantatreinigung scheint die kombinierte Anwendung von Hand und Schall bzw. Ultraschallinstrumenten, ggf. auch von LuftPulverWasserstrahlGeräten, empfehlenswert.(18) Bei korrekter Anwendung sind stabile periimplantäre Zustände zu erreichen und zu erhalten. Dabei sollte nicht auf die abschließende Politur zur Glättung aller Implantat und Zahnoberflächen verzichtet werden. Durch die Applikation chemischer Agenzien ist kein zusätzlicher klinischer Nutzen zu erwarten.(2,18) Nach heutigen Erkenntnissen verspricht der Einsatz von Ultraschallsystemen allein oder in Kombination mit speziellen Handinstrumenten demnach, eine effektive Strategie zur Prävention der periimplantären Mukositis und Periimplantitis zu sein. Der hier beschriebene Behandlungsfall zeigt die Einsatzmöglichkeiten eines piezoelektrischen Ultraschallscalers zur effizienten Reinigung von Zahn und/oder Implantatoberflächen.

Beschreibung des Patientenfalls
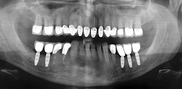
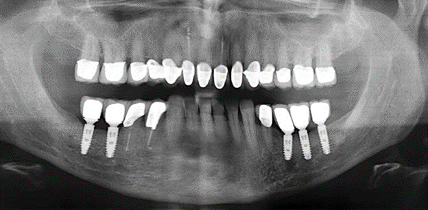
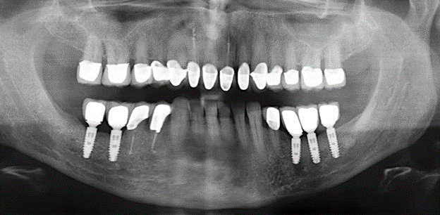
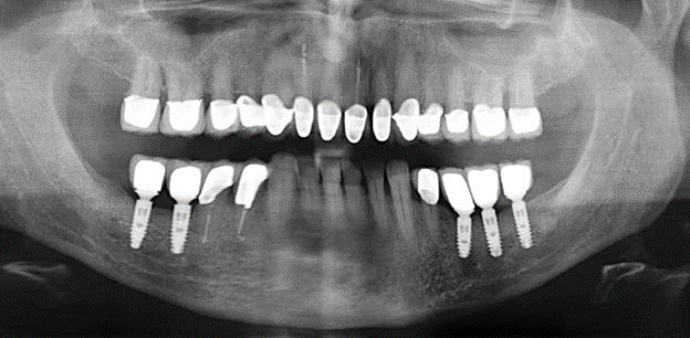
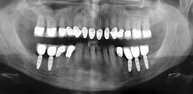
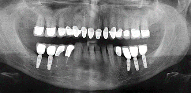
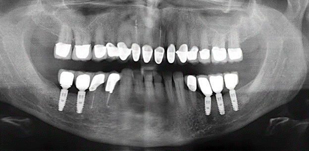
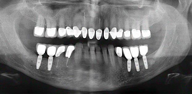
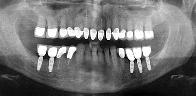
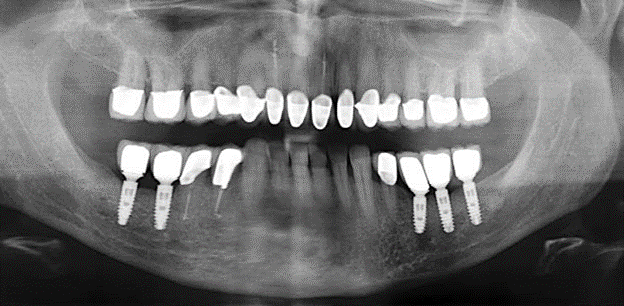
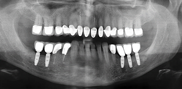
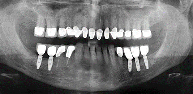
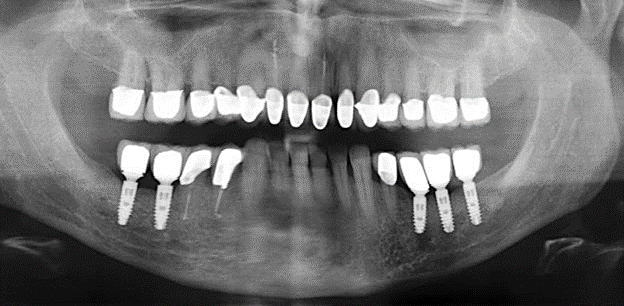
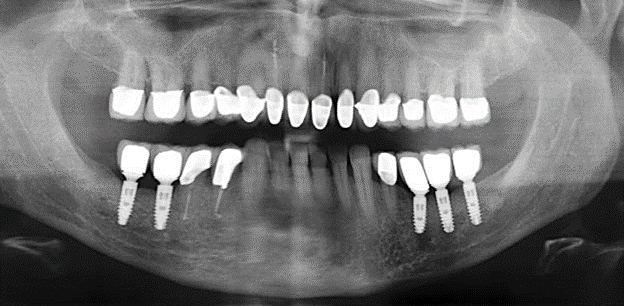
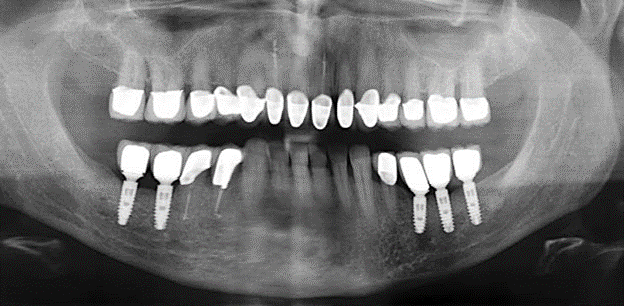
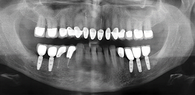
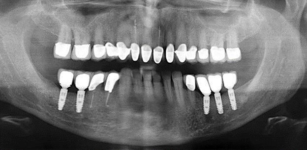
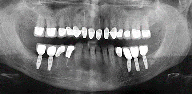
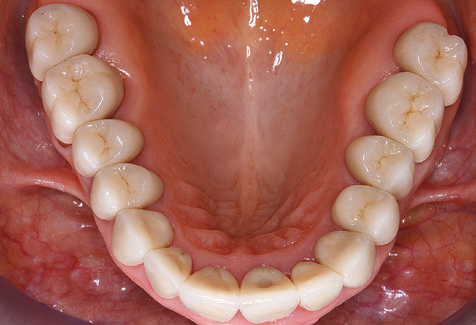
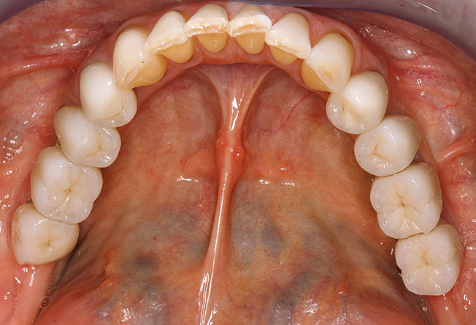
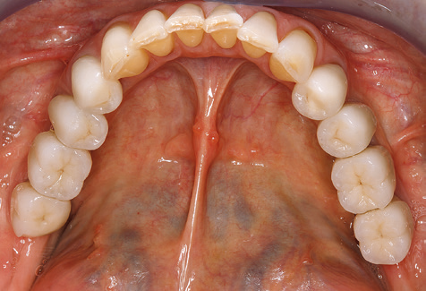
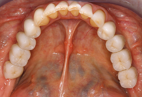
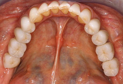
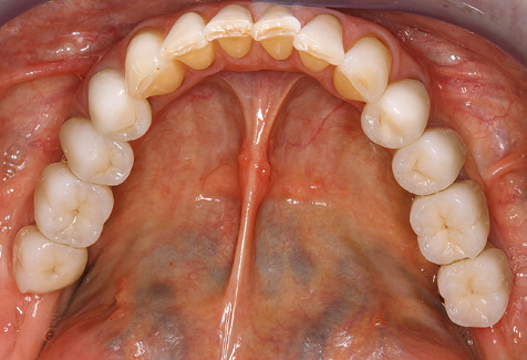
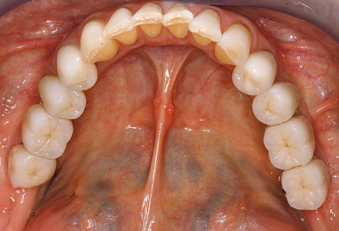
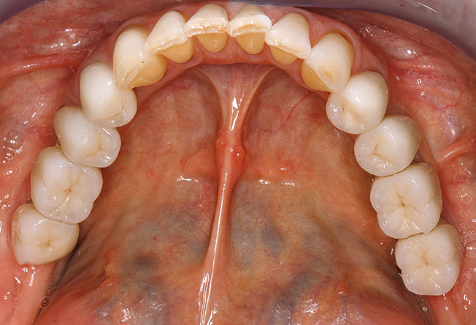
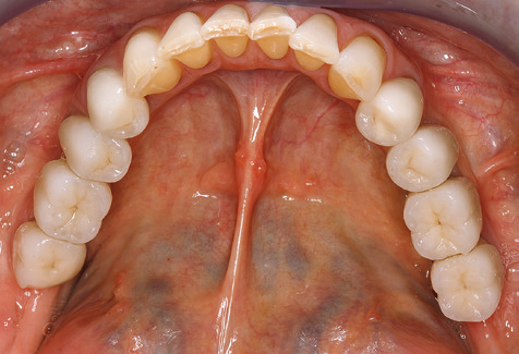
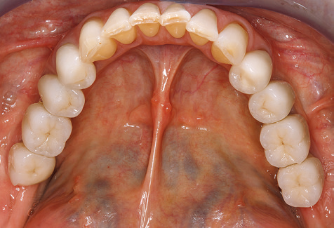
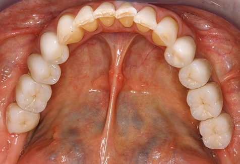
Eine 52-jährige Patientin stellte sich nach Zahnverlust im 3. Quadranten erstmals 2004 vor. Sie hatte den Wunsch nach einer prothetischen Neuversorgung. Im Rahmen der parodontologischen und radiologischen Diagnostik zeigte sich ein ausgeprägter parodontologischer Behandlungsbedarf. Die Zähne 48, 28, 27 zeigten zudem eine infauste Prognose und wurden entfernt (Abb. 1). Nach der erfolgreich abgeschlossenen systematischen PARTherapie wurde eine festsitzende implantatprothetische Versorgung mit Insertion von fünf Implantaten in Regio 35, 36, 37 und 46, 47 durchgeführt. Die prothetische Versorgung der natürlichen Zähne erfolgte mit verblendeten Zirkonoxidkeramikkronen, die Implantate wurden mit zweiteiligen individuellen Zirkonoxidabutments und ebenfalls verblendeten Kronen aus einer Zirkonoxidkeramik versorgt (Cercon base colored, Dentsply Sirona Lab). Die definitive Insertion der prothetischen Versorgung erfolgte im Jahr 2005.
Aufgrund der bestehenden parodontalen Vorerkrankung erfolgte die unterstützende Parodontaltherapie (UPT) in den ersten Jahren in einem DreiMonatsIntervall. Dabei zeigte die Patientin eine hohe Motivation und gute Compliance. Bei den jährlich erhobenen Sondierungsbefunden zeigten sich stabile parodontale Verhältnisse mit einem BOPIndex unter fünf Prozent. Aufgrund der stabilen parodontalen Situation und der guten Mitarbeit der Patientin wurde ab dem sechsten Jahr der prothetischen Funktionsphase das Recallintervall auf halbjährlich umgestellt. Auch mit diesem veränderten Recallintervall zeigten sich bei der jeweils jährlichen Aufnahme des Parodontalstatus stabile parodontale Verhältnisse, ohne Zunahme der Sondierungstiefen und einem BOPIndex unter fünf Prozent (Abb. 2a und b).
Im Rahmen der ZehnJahresKontrolle zeigten sich keine Hinweise auf einen fortschreitenden parodontalen Attachmentverlust oder einen periimplantären Knochenverlust (Abb. 3).
Die Patientin befindet sich weiterhin in einem halbjährlichen Intervall für die UIT. Nachfolgend werden am Beispiel dieser Patientin die einzelnen Arbeitsschritte einer strukturierten UPTSitzung aufgezeigt, so wie sie nahezu unverändert über den gesamten Funktionszeitraum von immerhin zwölf Jahren durchgeführt wurden. Natürlich wurden über diesen Zeitraum einige neue Materialien und Geräte in das Konzept integriert. In diesem klinischen Fallbericht wird das aktuelle Material und Gerätekonzept präsentiert.


Abb. 2: Die jährlich erhobenen Sondierungstiefen zeigen auch bei einem halbjährlichen Intervall der UPT keine Tendenz für eine Zunahme und einem BOP-Index unter fünf Prozent bei weitestgehend entzündungsfreien parodontalen Verhältnissen. a) PAR-Status 2011 (fünf Jahre prothetische Funktionsphase). b) PAR-Status 2016 (zehn Jahre prothetische Funktionsphase).

Das aktuelle Arbeitskonzept für die UPT
Die Aktualisierung der Anamnese stellt im Rahmen der UPT eine zentrale Maßnahme dar, sie sollte mindestens einmal jährlich erfolgen. Sie dient dazu, mögliche neue Risikofaktoren zu erkennen und zu dokumentieren. Vor allem dann, wenn ein Patient langjährig betreut wird, ist es wichtig, zu erfahren, ob sich patientenspezifische und allgemeinmedizinische Risikofaktoren verändert haben. Hier sollte an erster Stelle an ein erhöhtes Risiko durch Diabetes gedacht werden, aber auch andere allgemeinmedizinische Erkrankungen (kardiovaskuläre Erkrankungen und Neoplasien) können aufgrund der erfolgten Therapien und der notwendigen Medikamenteneinnahme zu einem veränderten Risikoprofil führen. Das Update der Anamnese ist also auch im Rahmen der UPT sehr wichtig, um gegebenenfalls aufgrund eines veränderten Risikoprofils eine Veränderung des Behandlungsintervalls zu veranlassen. Im nächsten Schritt ist es wichtig, der Diagnostik besondere Aufmerksamkeit zu schenken. Die Instrumentation ist zwar ein zentraler Bestandteil der UPT, in keinem Fall sollte sie aber Bestandsaufnahme und Dokumentation verdrängen. Für die Diagnose ist dabei der parodontale Befund unerlässlich, eine Zunahme der Sondierungstiefen und eine Erhöhung des BOPIndex sind zentrale Indikatoren für eine Progression parodontaler und periimplantärer Erkrankungen. Zum Erheben der benötigten Daten darf daher nicht davor zurückgeschreckt werden, auch Implantate zu sondieren. Dabei ist es wichtig, dass hierfür millimeterskalierte PARSonden verwendet werden. Für die Sondierungsbefunde an natürlichen Zähnen haben sich seit Jahrzehnten metallische Sonden bewährt. Bei Implantaten ist die Herausforderung für das Erheben korrekter und reproduzierbarer Sondierungsbefunde größer. Da es durch die Diskrepanz von Implantatdurchmesser und Kontur der Suprakonstruktion regelmäßig zu einer Überkonturierung der Suprastruktur kommt, sind für Sondierungen an Implantaten flexible, aber dennoch millimeterskalierte Son den sehr sinnvoll (z. B. Colorvue Kit PCV11KIT6, HuFriedy; Abb. 4).






Das Erheben eines kompletten PAR Status sollte bei Patienten ohne besondere Risikofaktoren mindestens einmal pro Jahr erfolgen. Bei Vorliegen mehrerer Risikofaktoren (Diabetes, Rauchen etc.) kann ein engmaschigeres Monitoring (halbjährlich) sinnvoll sein.
Im Rahmen der Diagnostik ist es natürlich relevant, zu hinterfragen, zu welchem Zeitpunkt Röntgenaufnahmen erforderlich sind. Eine Röntgendiagnostik sollte heute nur noch risikobezogen erfolgen. Dies bedeutet konkret, dass eine Röntgenaufnahme nur angefertigt wird, um die klinischen Befunde, die auf eine Progression der Erkrankung hindeuten (Zunahme der Sondierungstiefen, Erhöhung des BOPIndex), abzusichern.
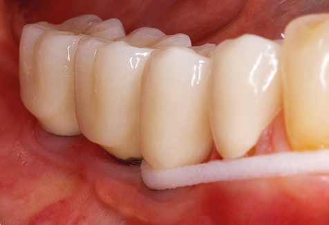
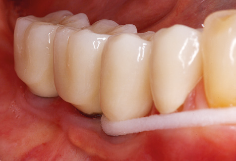
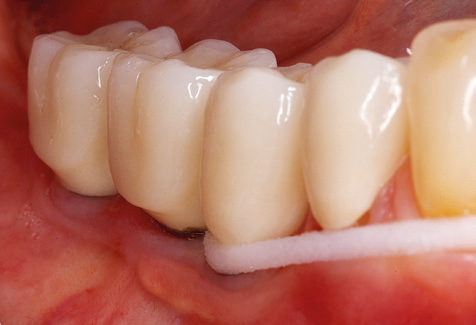
Als zentraler Bestandteil der UPT ist natürlich die Instrumentierung zum mechanischen Entfernen des Biofilms von vorrangiger Bedeutung. Der Ablaufplan einer UPT sieht zu diesem Zweck eine supra, ggf. auch eine subgingivale Reinigung vor. Hier hat sich im Rahmen unseres Konzepts eine Kombination von Handinstrumenten und maschineller Reinigung bewährt. Für die maschinelle Vorgehensweise gibt es mehrere Optionen: Schallgeräte, Ultraschallgeräte sowie Pulverstrahlgeräte.
Obwohl das grundlegende Funktionsprinzip der Ultraschallgeräte beibehalten wurde, gab es eine Reihe von Weiterentwicklungen, die zu einer Steigerung der Effizienz, des Patientenkomforts und auch der Sicherheit geführt haben. Diese Innovationen können beispielhaft an dem aktuell von den Autoren eingesetzten Ultraschallgerät (Tigon+, W&H Dentalwerk Bürmoos GmbH) aufgezeigt werden.
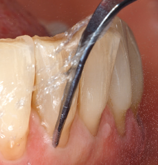
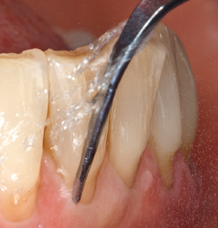
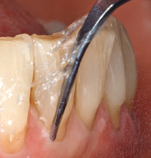
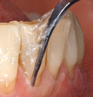
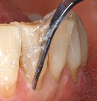
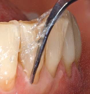
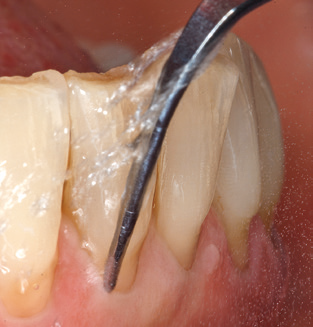
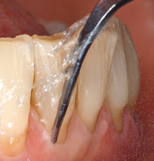
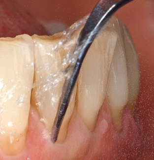
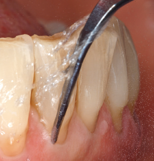
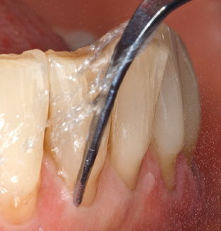
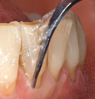
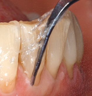
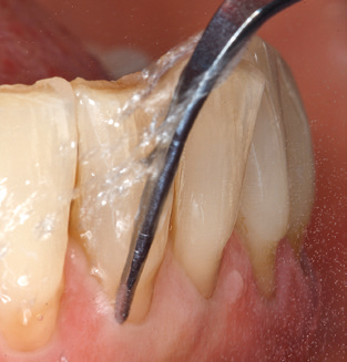
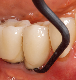
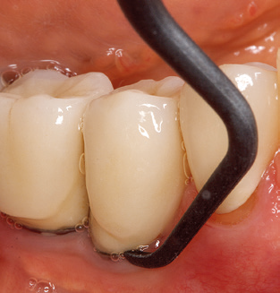
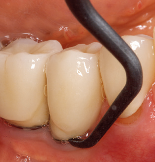
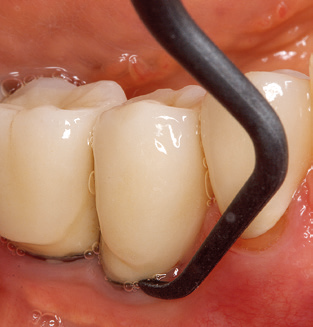
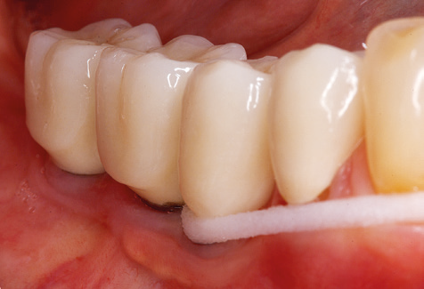
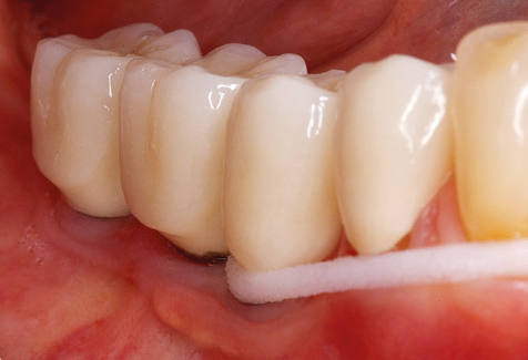
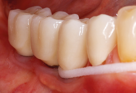
Die gute Ausleuchtung des Arbeitsfeldes stellt eine wesentliche Erleichterung dar. Bei dem von den Autoren genutzten System ist dies gelungen, indem ein 5facher LEDRing in das Handstück integriert wurde. Natürlich werden für dieses System unterschiedliche Arbeitsspitzen für die jeweiligen Indikationsbereiche angeboten. Eine gerade, universell einsetzbare Spitze ist das Basisinstrument zur maschinellen Instrumentierung natürlicher Zähne (Abb. 5a und b). Für schwer zugängliche Bereiche im Seitenzahnbereich werden gebogene Spitzen angeboten, die auch einen Zugang zu freiliegenden Furkationen ermöglichen (Abb. 6).
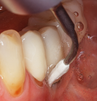
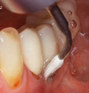
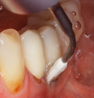
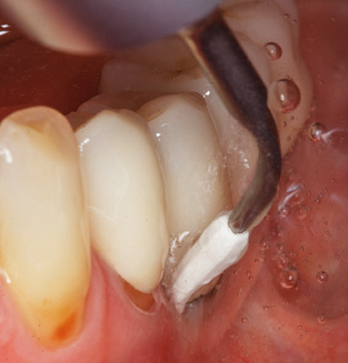
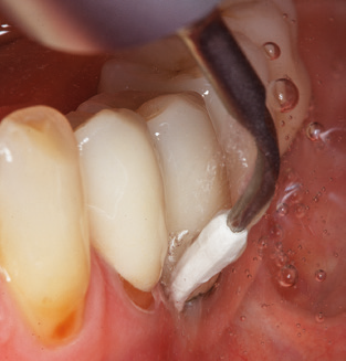
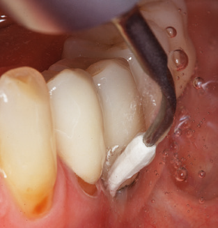
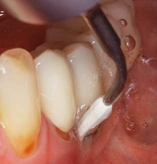
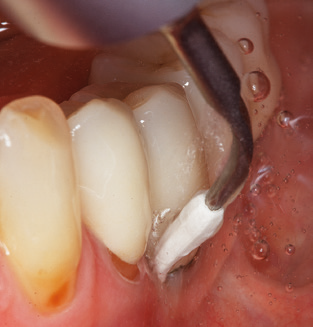
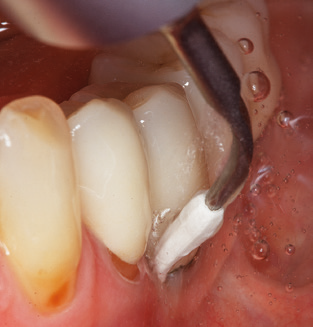
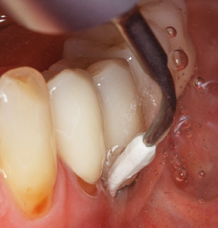
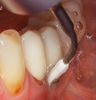
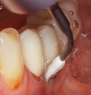
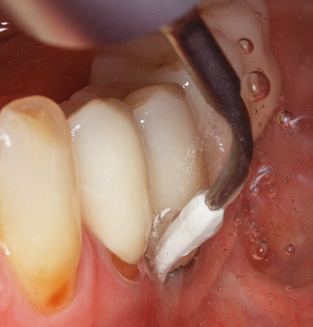
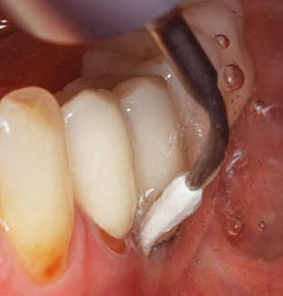
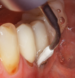
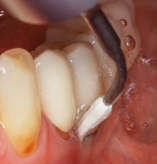
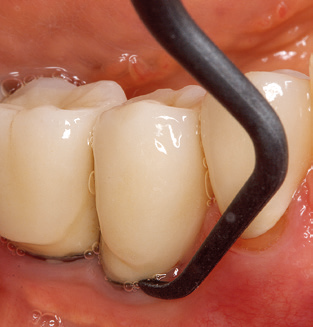
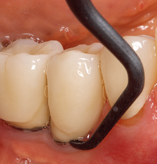
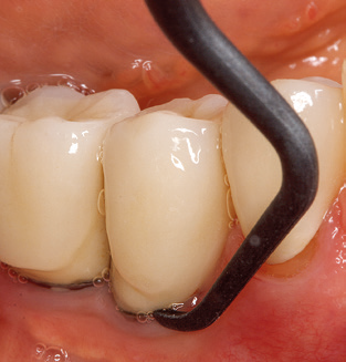
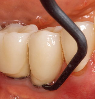
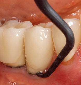
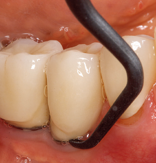
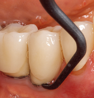
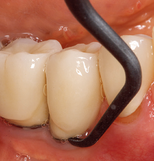
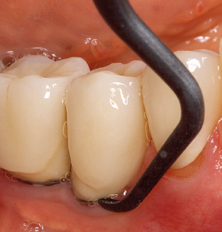
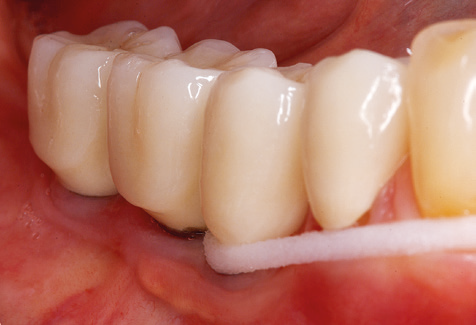
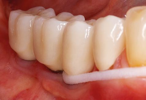
Unerlässlich für die UPT implantat prothetisch versorgter Patienten sind natürlich Arbeitsspitzen für die Reinigung von Implantatoberflächen. Der Implantatreinigungsaufsatz des hier verwendeten Systems zeichnet sich dabei durch eine spitz zulaufende sechskantige konische Form aus. Dieses Design erlaubt ein leichtes atraumatisches Eindringen in die periimplantäre Tasche und zeigt eine gute Reinigungsleistung (Abb. 7).
Im Rahmen des gesammelten Patientenfeedbacks stellte sich heraus, dass das System darüber hinaus auch zwei Punkte bietet, die den Patientenkomfort steigern. Dies ist zum einem das Vorwärmen der Spülflüssigkeit, die auch beim Reinigen empfindlicher Zahnoberflächen eine Reizung vermeidet, und der sogenannte Smooth Mode des Systems. Bei diesem Modus verringert sich die Leistung des Systems, je stärker die Spitze an den Zahn gedrückt wird. Diese beiden Aspekte führen dazu, dass die Patienten die Behandlung angenehmer finden als mit früher verwendeten Ultraschallsystemen.




Ein dritter, aber überaus relevanter Aspekt, der für die Verwendung dieses Systems spricht, ist die Tatsache, dass es auch für die Verwendung bei Patienten mit Herzschrittmachern freigegeben ist. Für diese Patienten war die Verwendung von Ultraschallinstrumenten bislang kontraindiziert – nun steht ein System zur Verfügung, das tatsächlich universell einsetzbar ist.
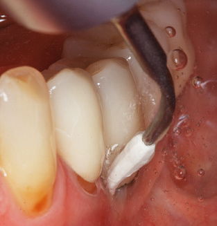
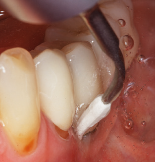
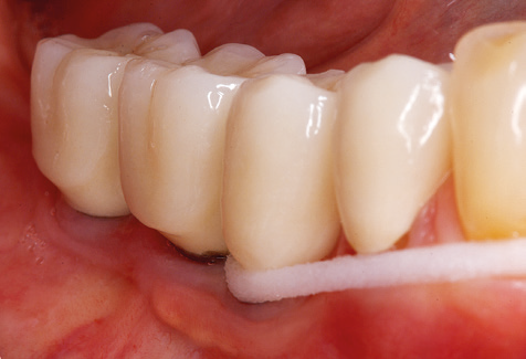
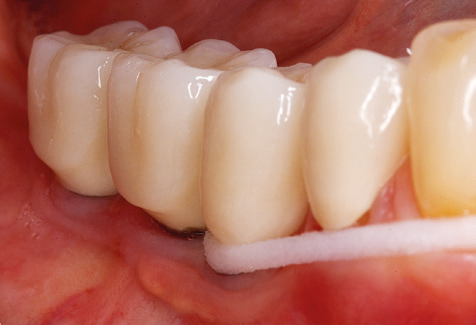
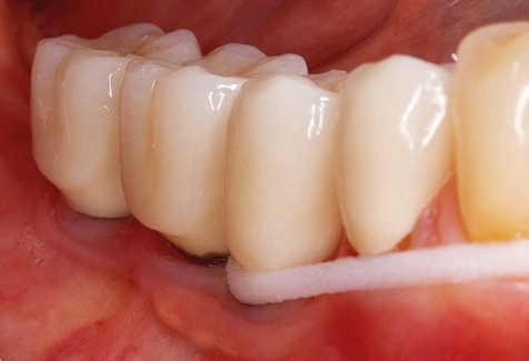
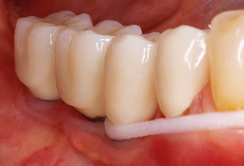
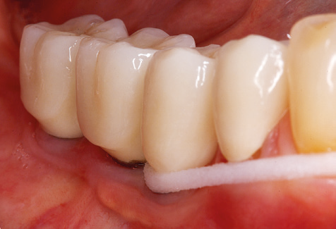
Nach der maschinellen Reinigung der Zahn und Implantatoberflächen erfolgt eine manuelle Instrumentierung der natürlichen Zahnoberflächen mit konventionellen Handinstrumenten. Bei der manuellen Reinigung ist insbesondere auf einen korrekten Anstellwinkel, eine ausreichende Schärfe, eine gute Abstützung und auf eine von apikal nach koronal gerichtete Arbeitsweise der Kürette zu achten. Zur Nachinstrumentierung der Implantatkonstruktionen sollten entweder Titan oder Carbonküretten verwendet werden (Abb. 8). Ergänzend zum Einsatz von Ultraschallgeräten können in der Erhaltungstherapie auch Pulverstrahlgeräte genutzt werden. Dabei ist jedoch zu berücksichtigen, dass diese Verfahren nicht zum Entfernen harter Beläge geeignet sind und daher die Verwendung von Hand oder Ultraschallinstrumenten nicht komplett ersetzen können. Abschließend erfolgt in jedem Fall eine mechanische Politur der zugänglichen Zahn und Implantatoberflächen mit Polierkelchen und Polierpasten (Abb. 9).
Falls erforderlich, bekommt der Patient eine Reinstruktion zur Verwendung geeigneter Hilfsmittel zur häuslichen Mundhygiene (Abb. 10).
Der Nutzen einer zusätzlichen Anwendung antimikrobiell wirksamer Agenzien im Rahmen der UPT ist bislang nicht eindeutig wissenschaftlich belegt und wird daher nicht als Bestandteil einer Basistherapie empfohlen. Hier steht das mechanische Entfernen des Biofilms im Vordergrund.
Für eine UPTSitzung mit dem hier beschriebenen Ablauf werden circa 60 Minuten einkalkuliert. Am Abschluss steht sinnvollerweise die Vereinbarung eines neuen Behandlungstermins für die Fortführung der UPT.
Zusammenfassung
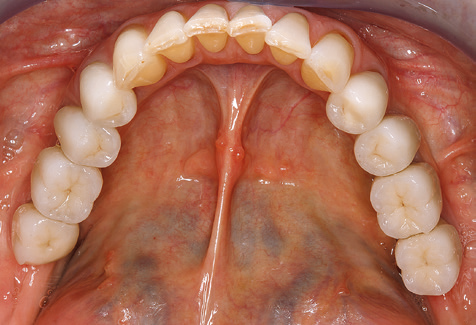
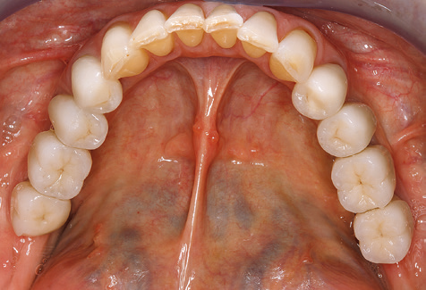
Für den klinischen Langzeiterfolg des parodontal kompromittierten Patienten ist die standardisierte und regelmäßige risikoadaptierte Betreuung im Rahmen der UPT der zentrale Baustein des Behandlungserfolgs. Dies gilt in besonderer Weise für Patienten, die nach erfolgreich abgeschlossener parodontaler Sanierung mit Implantaten versorgt wurden (Abb. 11a und b).
Vor Beginn der prothetischen Versorgung ist es ratsam, den Patienten über die im Rahmen der UPT erforderlichen zeitlichen und finanziellen Aufwendungen (zwei bis viermalige UPT pro Jahr, lebenslang) zu informieren. Dies trägt wesentlich dazu bei, die Compliance des Patienten zu sichern. Darüber hinaus ist die Praxis bei der Bereitstellung der räumlichen und personellen Ressourcen für die Betreuung der parodontal sanierten Patienten gefordert.
Autorenkontakt
Prof. Dr. Dirk Ziebolz, M.Sc.
Universitätsklinikum Leipzig AöR Poliklinik für Zahnerhaltung und Parodontologie
Liebigstraße 10–14, 04103 Leipzig
dirk.ziebolz@medizin.uni-leipzig.de
www.zahnerhaltung.uniklinikum-leipzig.de
DH Barbara Kampfmann
Praxisklinik für Zahnmedizin
Priv.-Doz. Dr. S. Rinke, M.Sc., M.Sc.,Dr. M. Jablonski, H. Ziebolz & Kollegen
Geleitstraße 68, 63456 Hanau
hanau@ihr-laecheln.com
www.ihr-laecheln.com
mehr Info

Literatur
- Heitz-Mayfield LJ: Peri-implant diseases: diagnosis and risk indicators. J Clin Periodontol 2008;35 (Suppl 8):292-304.
- Jepsen S, Berglundh T, Genco R, Aass AM, Demirel K, Derks J, et al.: Primary prevention of peri-implantitis: managing peri-implant mucositis. J Clin Periodontol 2015; 42 (Suppl 16):152-157.
- Monje A, Aranda L, Diaz KT, Alarcón MA, Bagramian RA, Wang HL, et al.: Impact of Maintenance Therapy for the Prevention of Peri-implant Diseases: A Systematic Review and Meta-analysis. J Det Res 2016;43:323-334.
- Pjetursson BE, Helbling C, Weber HP, Matuliene G, Salvi GE, Brägger U, et al.: Peri-implantitis susceptibility as it relates to periodontal therapy and supportive care. Clin Oral Implants Res 2012;23:888-894.
- Roccuzzo M, De Angelis N, Bonino L, Aglietta M: Ten-year results of a three-arm prospective cohort study on implants in periodontally compromised patients. Part 1: Implant loss and radiographic bone loss. Clin Oral Implants Res 2010;21:490-496.
- Roccuzzo M, Bonino F, Aglietta M, Dalmasso P: Ten-year results of a three-arms prospective cohort study on implants in periodontally compromised patients. Part 2: Clinical results. Clin Oral Implants Res 2012;23:389-395.
- Roccuzzo M, Bonino L, Dalmasso P, Aglietta M: Long-term results of a three-arms prospective cohort study on implants in periodontally compromised patients. Part 3: 10-year data around sandblasted and acid-etched (SLA) surface. Clin Oral Implants Res 2014;25:1105-1112.
- Graetz C, Bräuning A, Plaumann A, Springer C, Kahl M, Dörfer CE. Antiinfektiöse Therapie - Instrumente zur Wurzeloberflächenbearbeitung im Fokus. Parodontologie 2016; 27:165-183
- Renvert S, Roos-Jansåker AM, Claffey N: Non-surgical treatment of peri-implant mucositis and peri-implantitis: a literature review. J Clin Periodontol 2008; 35 (Suppl 8):305-315.
- Renvert S, Polyzois I, Persson GR: Treatment modalities for peri-implant mucositis and peri-implantitis. Am J Dent 2013;26:313-318
- Louropoulou A, Slot DE, Weijden F: The effects of mechanical instruments on contaminated titanium dental implant surfaces: a systematic review. Clin Oral Implants Res 2014;25:1149-1160.
- Figuero E, Graziani F, Sanz I, Herrera D, Sanz M. Management of peri-implant mucositis and peri-implantitis. Periodontol 2000 2014;66:255-273.
- Mann M, Parmar D, Walmsley AD, Lea SC: Effect of plastic-covered ultrasonic scalers on titanium implant surfaces. Clin Oral Impl Res 2012;23:76-82.
- Mengel R, Buns CE, Mengel C, Flores-de-Jacoby L: An in vitro study of the treatment of implant surfaces with different instruments. Int J Oral Maxillofac Implants 1998;13:91-96.
- Mengel R, Meer C, Flores-de-Jacoby L: The treatment of uncoated and titanium nitride-coated abutments with different instruments. Int J Oral Maxillofac Implants 2004;19:232-238.
- Fox SC, Moriarty JD, Kusy RP: The effects of scaling a titanium implant surface with metal and plastic instruments: an in vitro study. J Periodontol 1990;61:4854-90.
- Dmytryk JJ, Fox SC, Moriarty JD: The effects of scaling titanium implant surfaces with metal and plastic instruments on cell attachment. J Periodontol 1990;61:491-496.
- Ziebolz D, Klipp S, Schmalz G, Schmickler J, Rinke S, Kottmann T, et al.: Comparison of different maintenance strategies within supportive implant therapy for prevention of peri-implant inflammation during the first year after implant restauration – a randomized, practice-based multicenter study of a dental hygienist setting. Am J Dent 2017;30:190-196.
Kommentare