Berichte & Studien

Unbehandelte peri-implantäre Mukositis …

PD Dr. Kristina Bertl, PhD MSc MBA

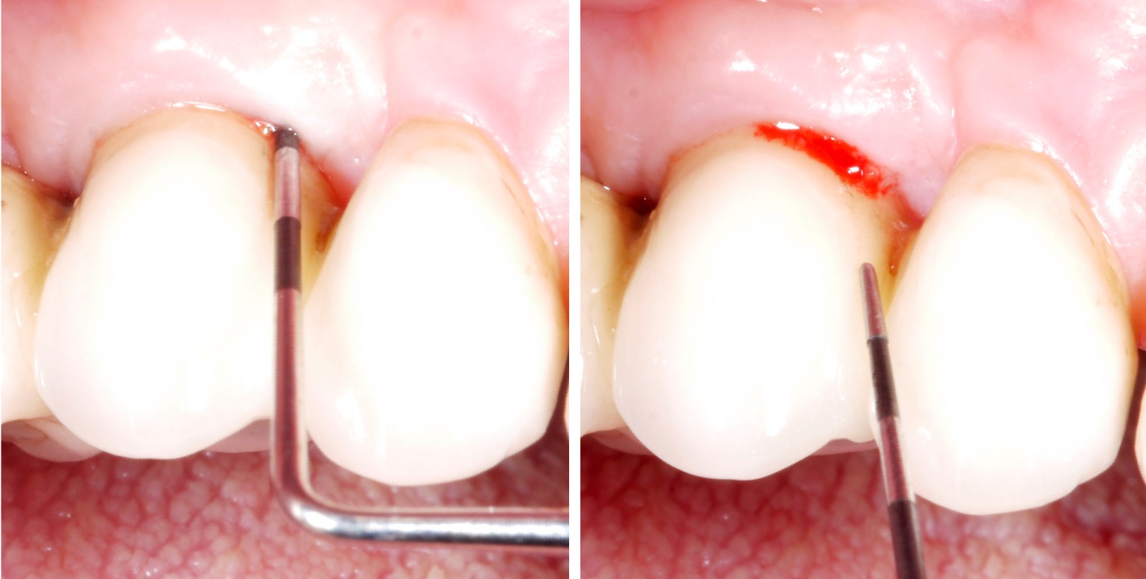
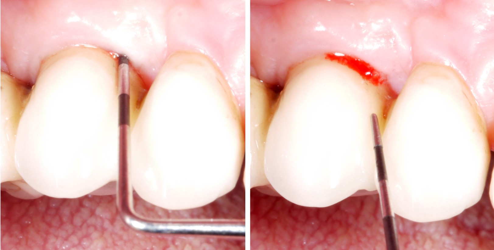
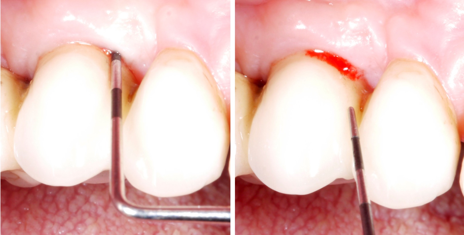
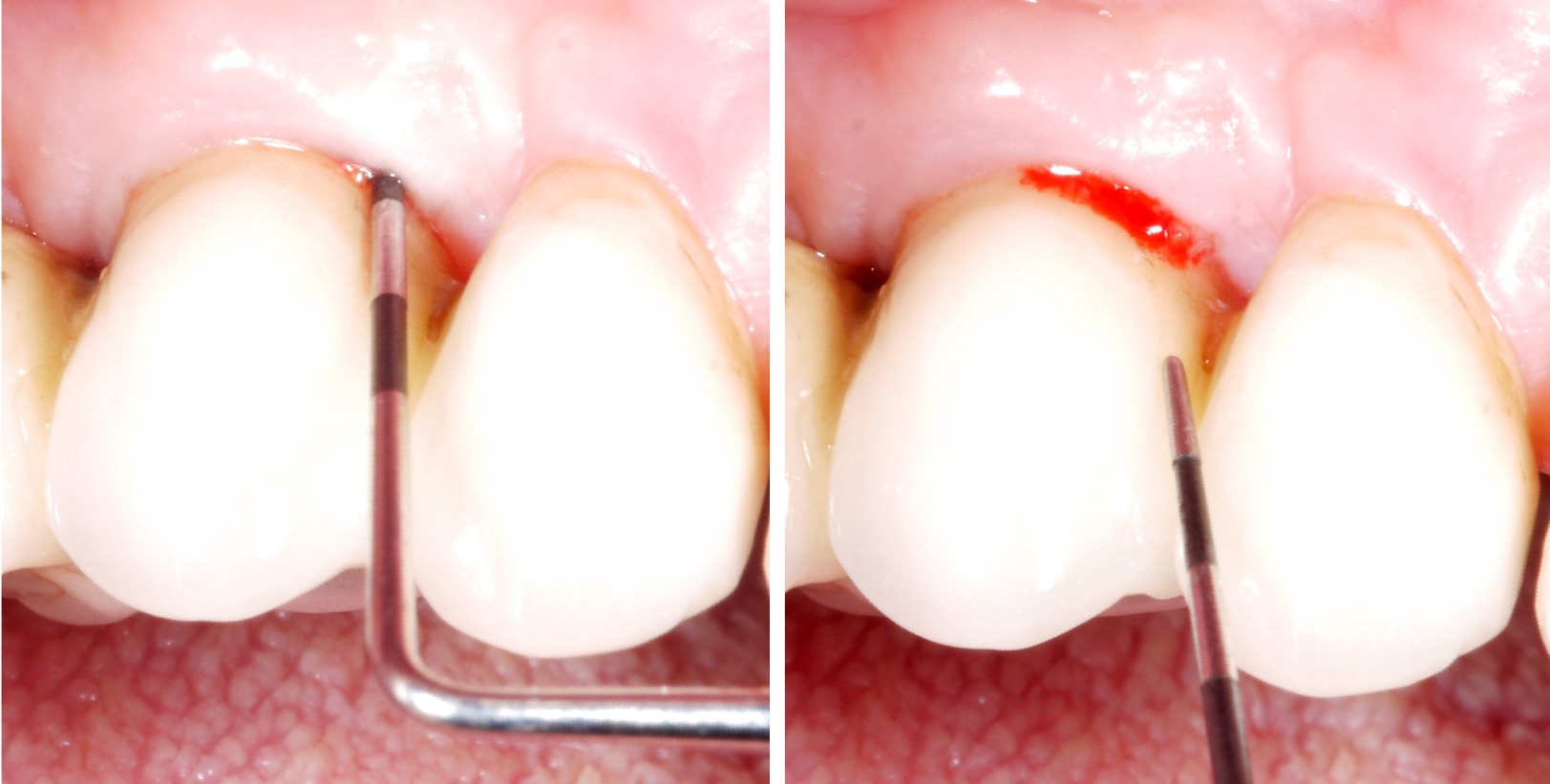
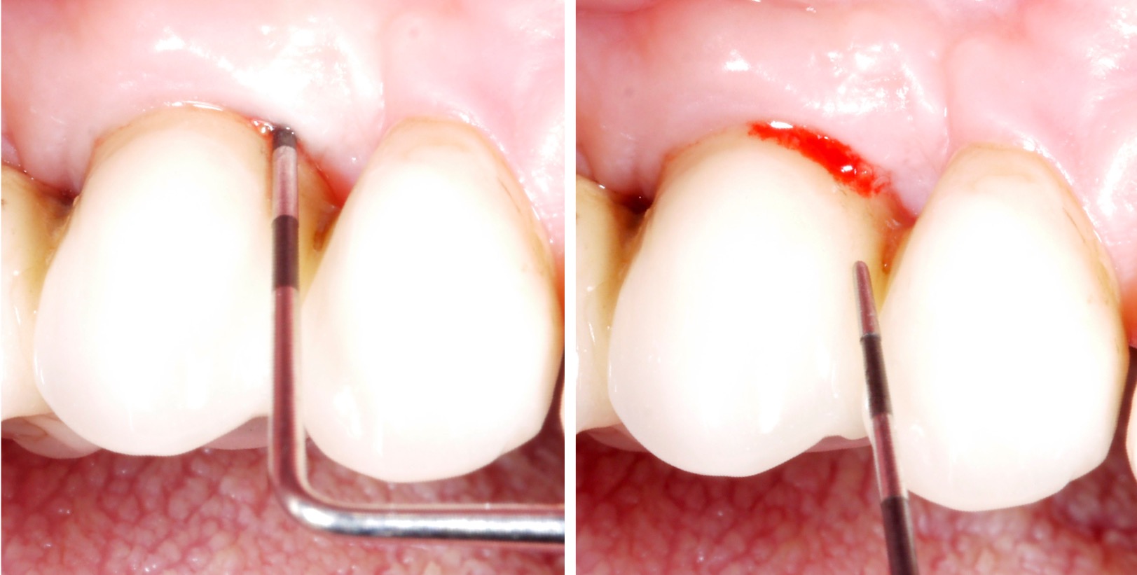
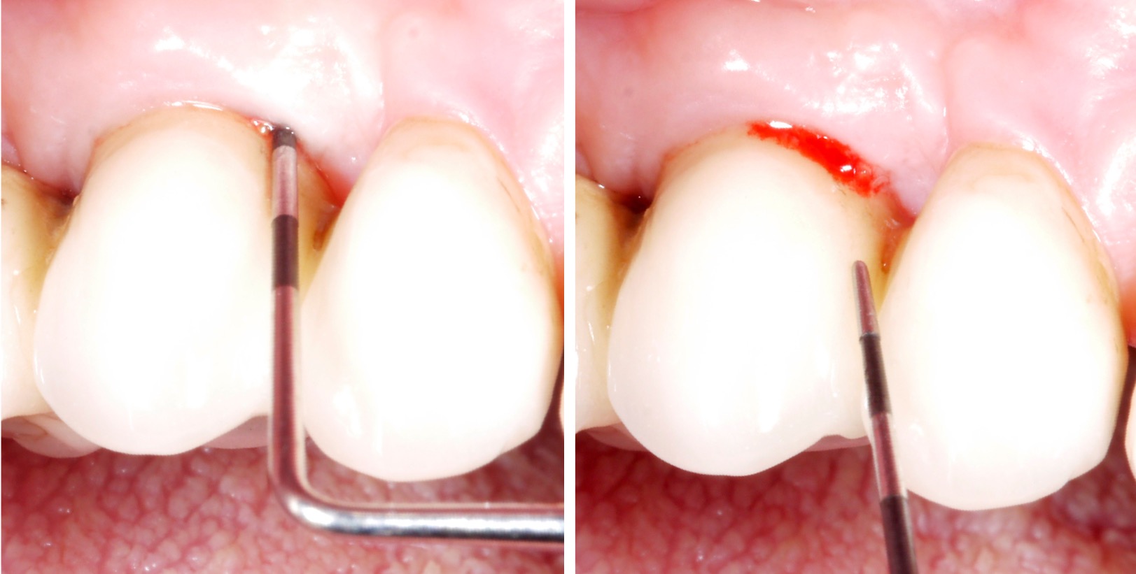
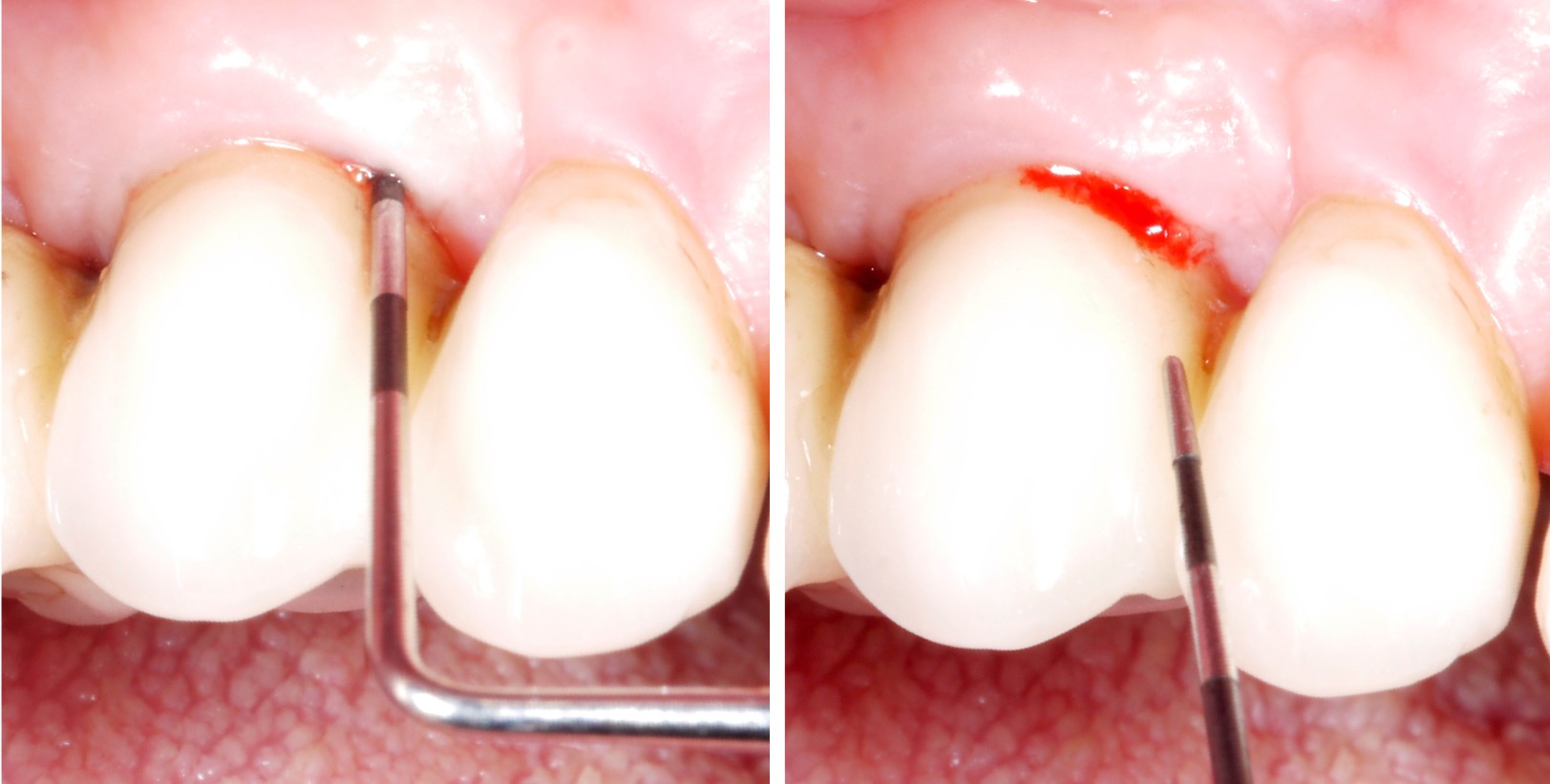
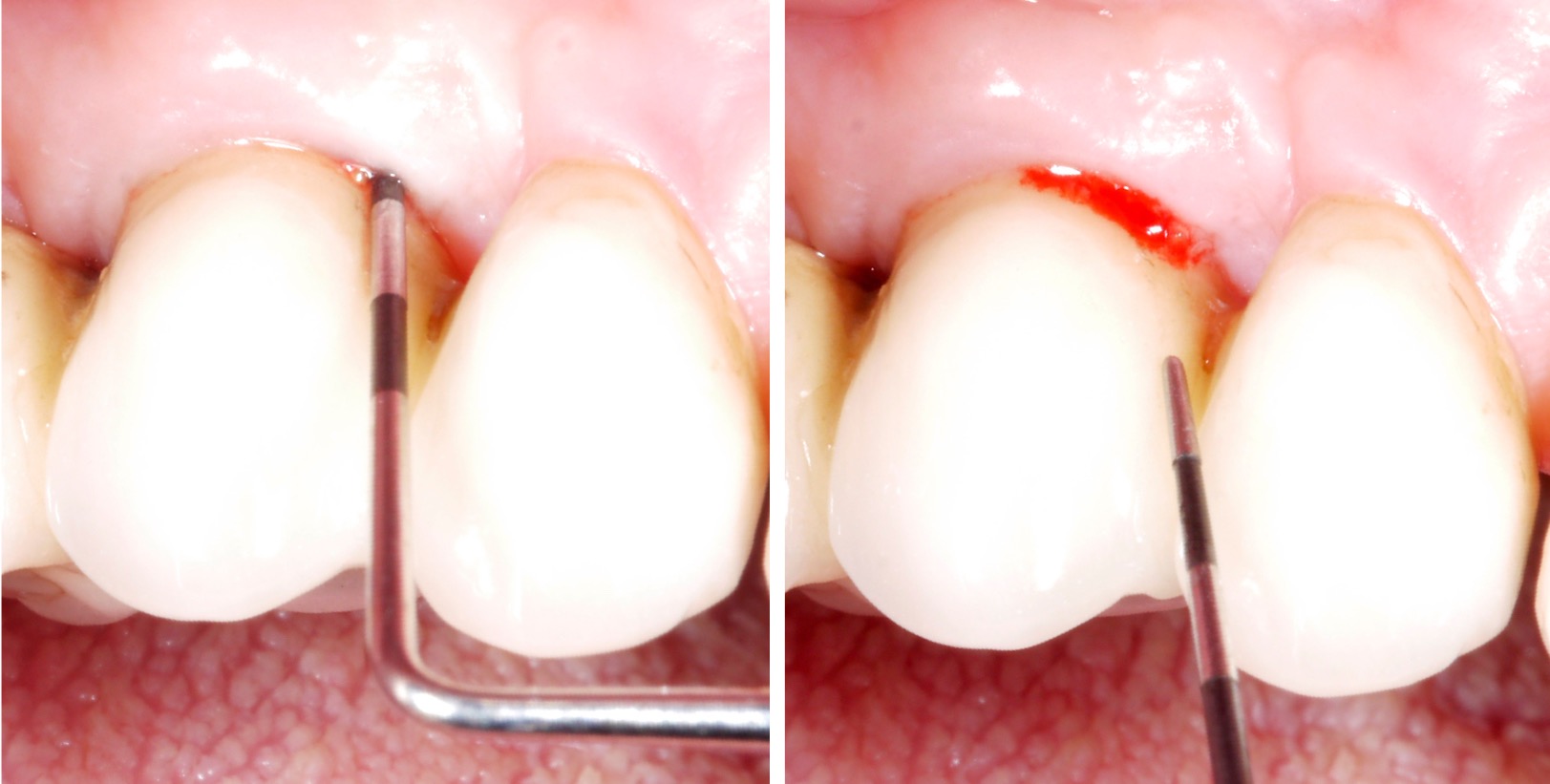
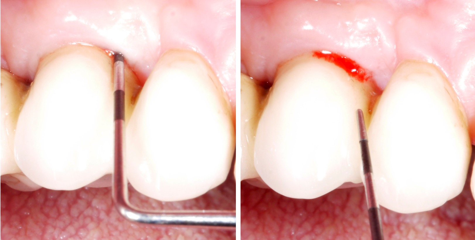
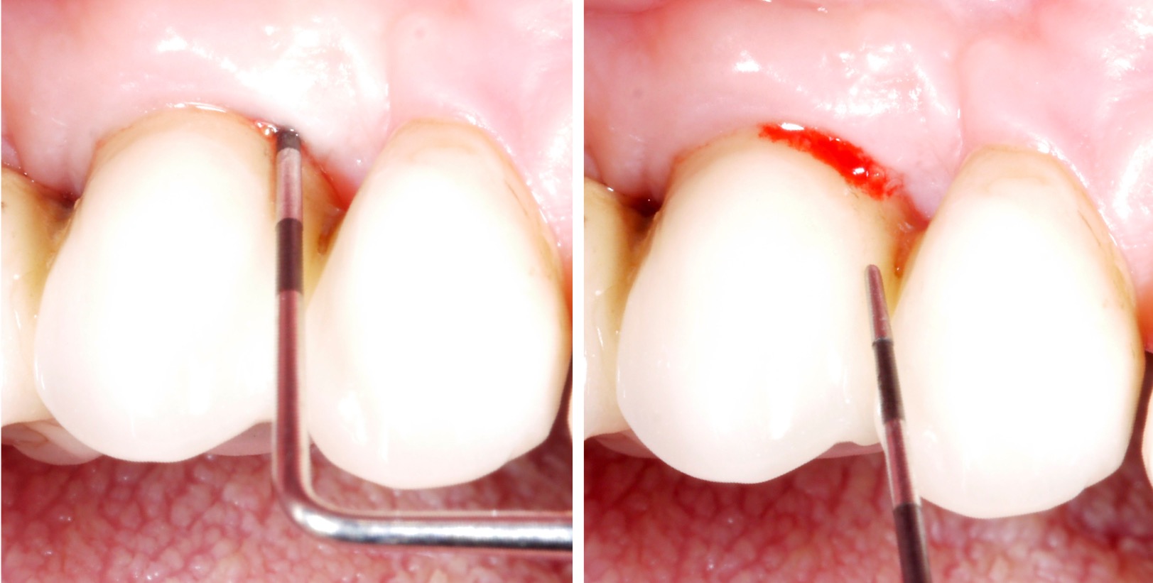
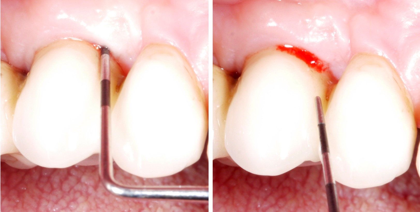
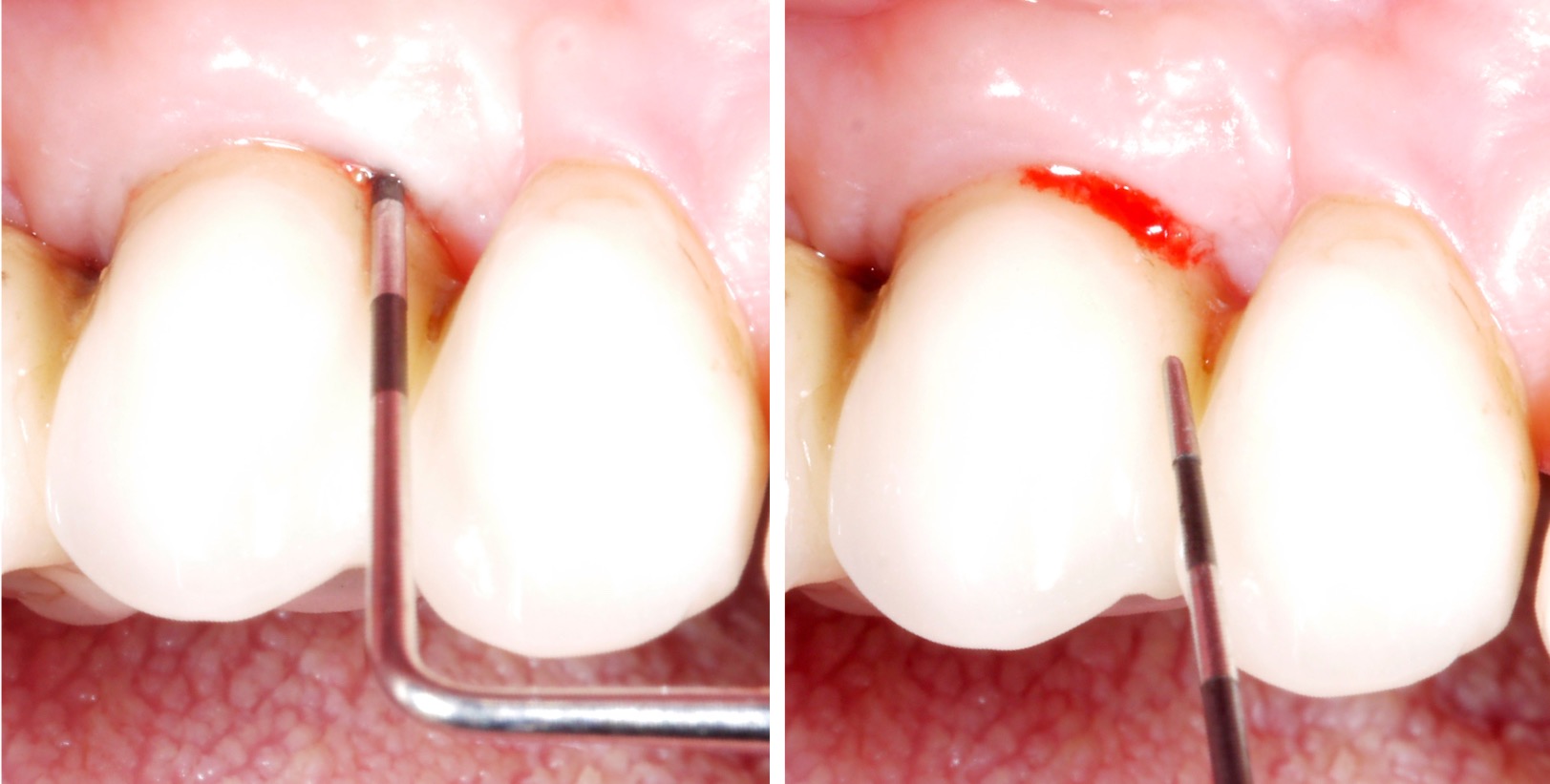
Wir wissen was wir nach Fertigstellung einer Implantatversorgung tun sollten, doch was passiert eigentlich, wenn wir das nicht so genau nehmen? Was passiert mit PatientInnen, die eine peri-implantäre Mukositis aufweisen, aber trotzdem nicht in ein regelmäßiges Recall-Programm eingegliedert werden?

Eine brasilianische Forschungsgruppe hat sich mit exakt dieser Fragestellung befasst (Costa et al. 2012). Sie folgten 80 PatientInnen, die zu Beginn der Studie alle eine peri-implantäre Mukositis aufwiesen, über 5 Jahre hinweg. Die Hälfte der PatientInnen kam regelmäßig zu den Recallsitzungen, während die andere Hälfte nicht regelmäßig zu den empfohlenen Terminen erschien. „Regelmäßig“ wurde in dieser Studie als mindestens 1-mal jährlich in allen 5 Jahren definiert.

In jener Gruppe, die regelmäßig zu den Recallsitzungen erschien, zeigte sich am Ende der Studie folgende Aufteilung:
Peri-implantäre Gesundheit: 30, 5 %
Peri-implantäre Mukositis: 51,5 %
Periimplantitis : 18,0 %

In jener Gruppe, die nicht regelmäßig zu den Recallsitzungen erschien, zeigte sich am Ende der Studie folgende Aufteilung:
Peri-implantäre Gesundheit: 0 %
Peri-implantäre Mukositis: 56,1 %
Periimplantitis: 43,9 %

Diese Zahlen zeigen sehr eindeutig, dass für PatientInnen mit einer peri-implantären Mukositis ein sehr hohes Risiko besteht eine Periimplantitis zu entwickeln, wenn sie unbehandelt bleiben. Denn fast die Hälfte jener PatientInnen, die nicht zu den Recallsitzungen erschien, wies nach 5 Jahren anstatt einer peri-implantären Mukositis eine Periimplantitis auf! Das Risiko eine Periimplantitis zu entwickeln war statistisch gesehen 6-fach höher. Desweiteren bestätigte sich in dieser Patientengruppe einmal mehr das Vorliegen einer Parodontitis als Risikofaktor; das Risiko eine Periimplantitis zu entwickeln war aufgrund einer Parodontitis 9-fach erhöht!

Diese Studie weist einmal mehr auf die Wichtigkeit regelmäßiger Recallsitzungen hin, vor allem, wenn bereits eine peri-implantäre Mukositis vorliegt! Und wenn wir unsere PatientInnen von Beginn an und wiederholt zu den Recallsitzungen auffordern, können wir auch sehr hohe Compliance-Raten erzielen ,,Compliance nach Implantatversorgung – ja/nein?“

Referenz

  1. Costa FO, Takenaka-Martinez S, Cota LOM, Ferreira SD, Silva GLM, Costa JE, Peri-implant disease in subjects with and without preventive maintenance: a 5-year follow-up. J Clin Periodontol 2012; 39: 173–181. doi: 10.1111/j.1600-051X.2011.01819.x.

Kommentare