Berichte & Studien

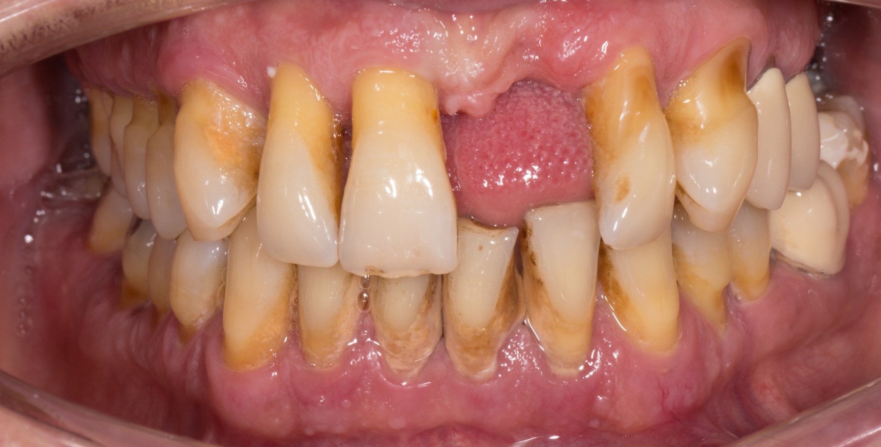
Klassifikation – klinische parodontale Gesundheit

Prof. Dr. Peter Hahner

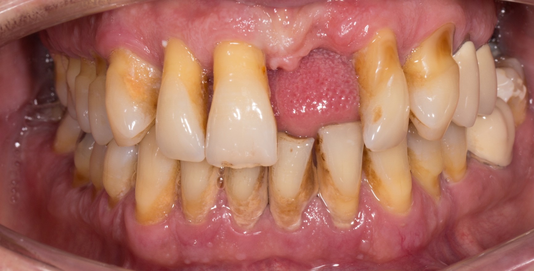
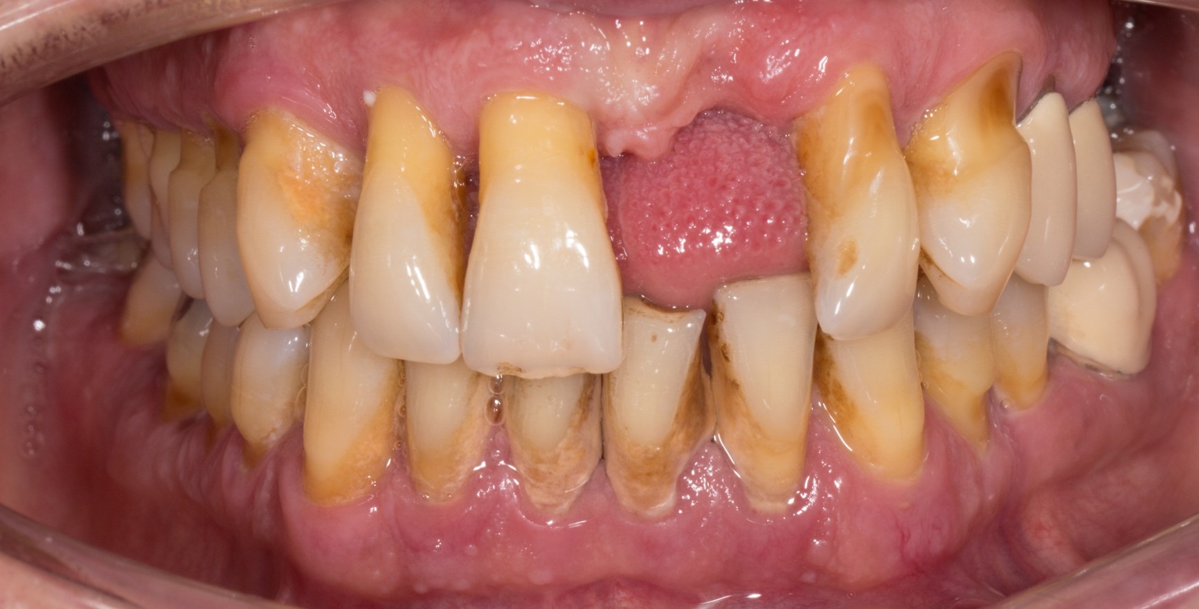
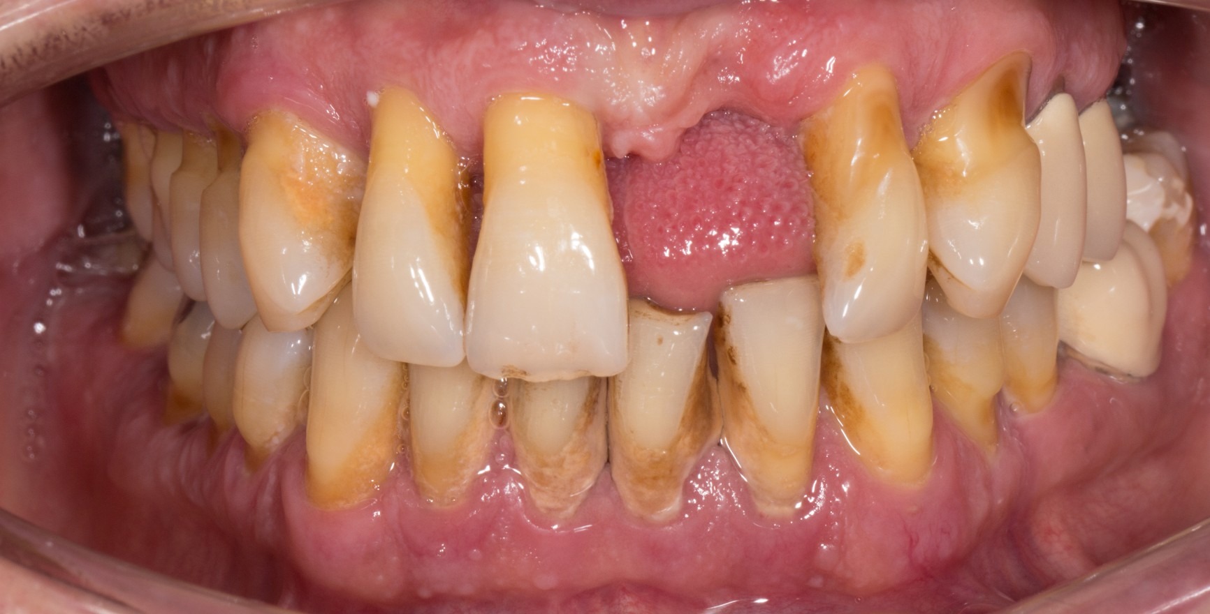
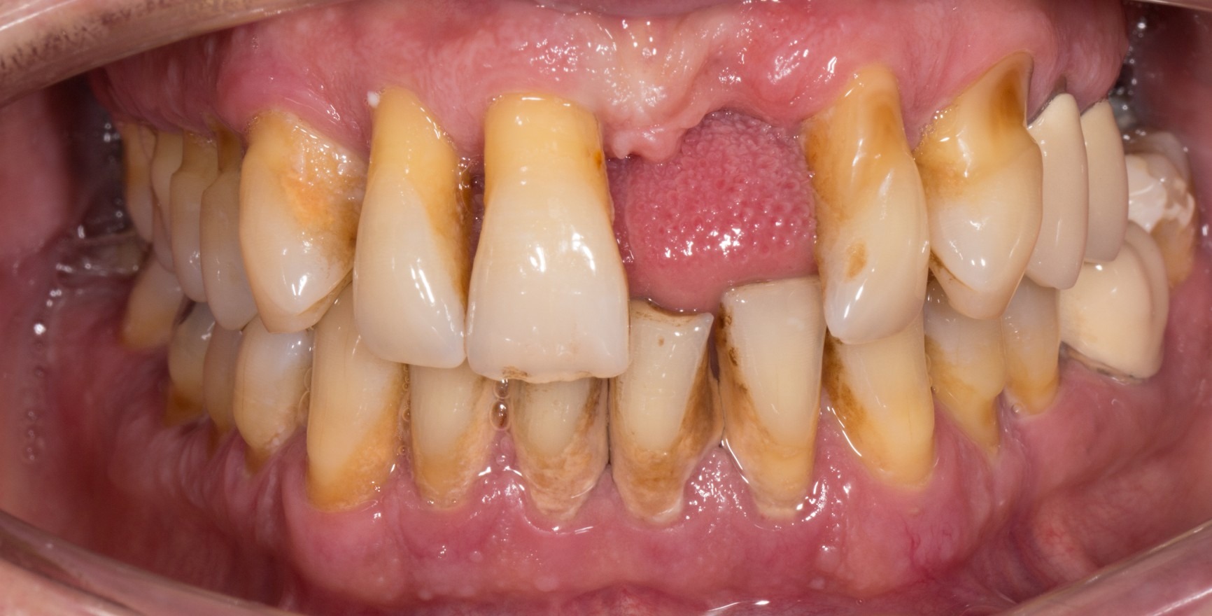
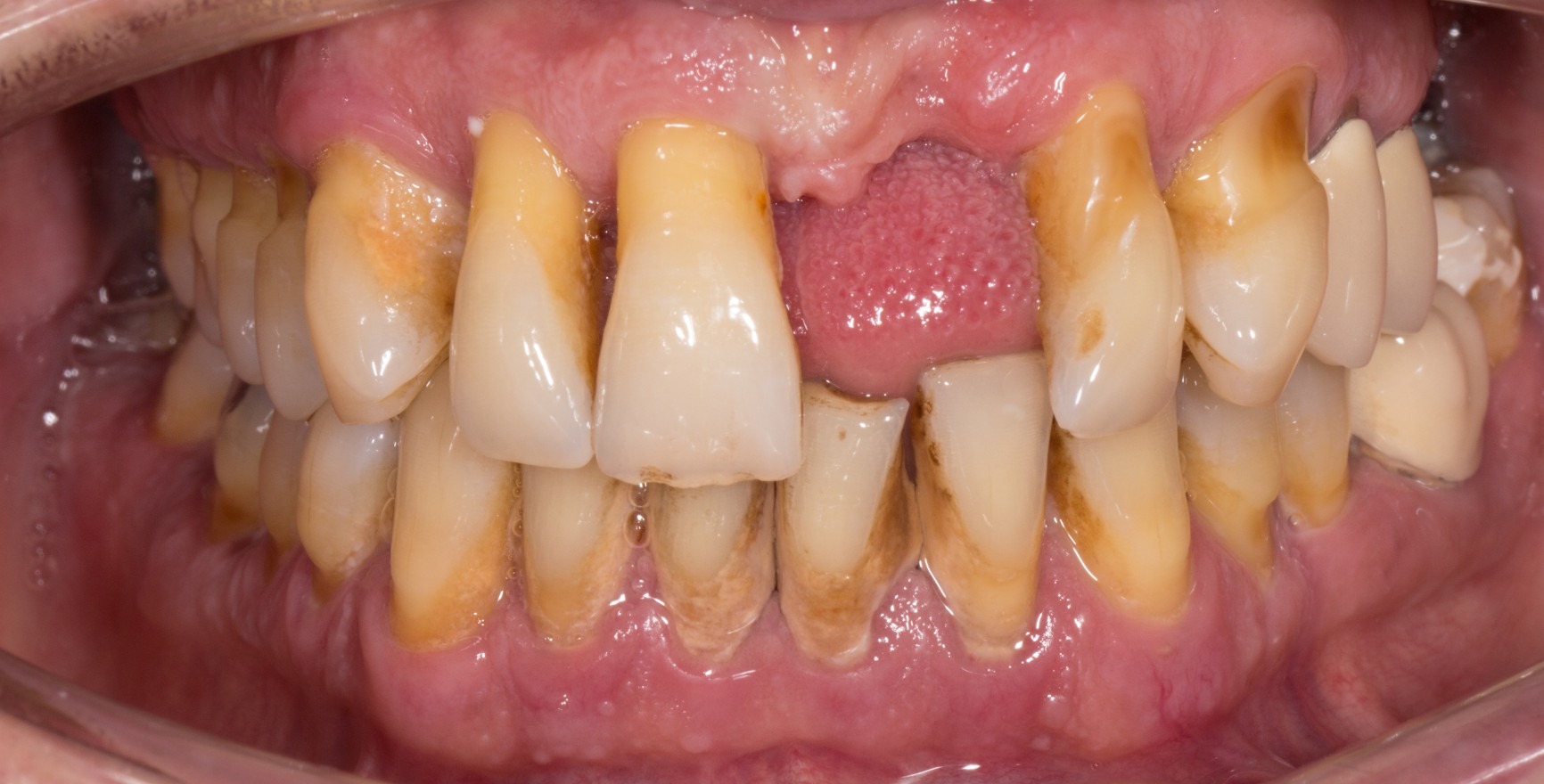
Die im Juni 2018 vorgestellte neue Klassifikation der parodontalen Erkrankungen enthält erstmalig eine Definition des Begriffs der klinischen parodontalen Gesundheit (Lang & Bartold, 2018). Im gingivalen Sulkus ist auch unter optimalen Hygienebedingungen eine geringe Menge eines bakteriellen Biofilmes vorhanden, eine absolute Keimfreiheit ist unter klinischen Bedingungen nicht denkbar. Als Reaktion findet sich histologisch ein begrenztes subepitheliales Infiltrat aus neutrophilen Granulozyten (PMN). Solange jedoch die Homöostase zwischen Biofilm und einem geringen PMN-Infiltrat erhalten bleibt, wird dieser Zustand als Ausdruck einer immunologischen Kontrolle und damit als physiologischer und nicht als pathologischer (Entzündungs-) Prozess angesehen (Brecx et al., 1987a+b). Ob der Zustand klinischer parodontaler Gesundheit bestehen bleibt, hängt von der mikrobiologischen Belastung und Wirtsfaktoren ab. Diese können lokal zu einer vermehrten Biofilmakkumulation führen wie z.B. unzulängliche zahnärztliche Restaurationen oder ungünstige Zahnstellungen oder die Immunantwort beeinflussen wie etwa systemische Erkrankungen.

Unterschieden wird ein Zustand klinischer parodontaler Gesundheit am intakten Parodontium von dem am reduzierten Parodontium, bei dem bereits ein klinischer Attachmentverlust eingetreten ist. Dieser Attachmentverlust kann entstanden sein:

entzündungsbedingt im Verlauf einer Parodontitis. Klinische parodontale Gesundheit beschreibt dann den stabilen Zustand nach einer erfolgreich abgeschlossenen parodontalen Therapie.
in Folge von Rezessionen
iatrogen, z.B. durch chirurgische Kronenverlängerung (Chapple et al., 2018)

Klinisches Kriterium ist immer das Ausbleiben einer Blutung nach vorsichtiger Sondierung (Bleeding on Probing = BoP). Man differenziert zwischen einer stellen- bzw. zahnspezifischen Diagnose mit negativem BoP-Befund an der entsprechenden Messstelle bzw. einem Zahn und einer auf den Patienten bezogenen Diagnose, bei der ein Schwellenwert von einem BoP ≤ 10 % noch die Kriterien der klinischen parodontalen Gesundheit erfüllt. Die Sondierungstiefen dürfen maximal drei Millimeter betragen, bei reduziertem Parodontium nach parodontaler Therapie wird noch bei einem Grenzwert von vier Millimetern ein stabiler Zustand angenommen (Matuliene et al., 2008).

Wird die Diagnose „klinische parodontale Gesundheit“ gestellt, so ist für die korrekte weitere Betreuung des Patienten die Vorgeschichte zu berücksichtigen: Parodontitis ist eine chronische Erkrankung, die therapeutisch erfolgreich kontrolliert werden kann. Im Gegensatz zu einer vollständig reversiblen Gingivitis besteht aber auch bei einem stabilen Zustand nach Parodontitistherapie ein erhöhtes Risiko für erneute Attachmentverluste. Der Parodontitispatient bleibt zeitlebens ein Parodontitispatient und braucht dauerhaft eine risikogerechte Erhaltungstherapie (UPT)!

Referenz

  1. Lang, N. P., & Bartold, P. M. (2018). Periodontal health. Journal of periodontology, 89, S9-S16.
  2. Brecx, M. C., Gautschi, M., Gehr, P., & Lang, N. P. (1987). Variability of histologic criteria in clinically healthy human gingiva. Journal of periodontal research, 22(6), 468-472.
  3. Brecx, M. C., Schlegel, K., Gehr, P., & Lang, N. P. (1987). Comparison between histological and clinical parameters during human experimental gingivitis. Journal of periodontal research, 22(1), 50-57.
  4. Chapple, I. L., Mealey, B. L., Van Dyke, T. E., Bartold, P. M., Dommisch, H., Eickholz, P., ... & Griffin, T. J. (2018). Periodontal health and gingival diseases and conditions on an intact and a reduced periodontium: Consensus report of workgroup 1 of the 2017 World Workshop on the Classification of Periodontal and Peri‐Implant Diseases and Conditions. Journal of clinical periodontology, 45, S68-S77.
  5. Matuliene, G., Pjetursson, B. E., Salvi, G. E., Schmidlin, K., Brägger, U., Zwahlen, M., & Lang, N. P. (2008). Influence of residual pockets on progression of periodontitis and tooth loss: results after 11 years of maintenance. Journal of clinical periodontology, 35(8), 685-695.

Kommentare