Reports & Studies

The patient has their new implant-supported prosthesis – what now?

PD Dr. Kristina Bertl, PhD MSc MBA

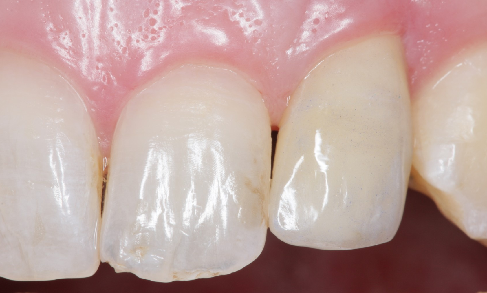
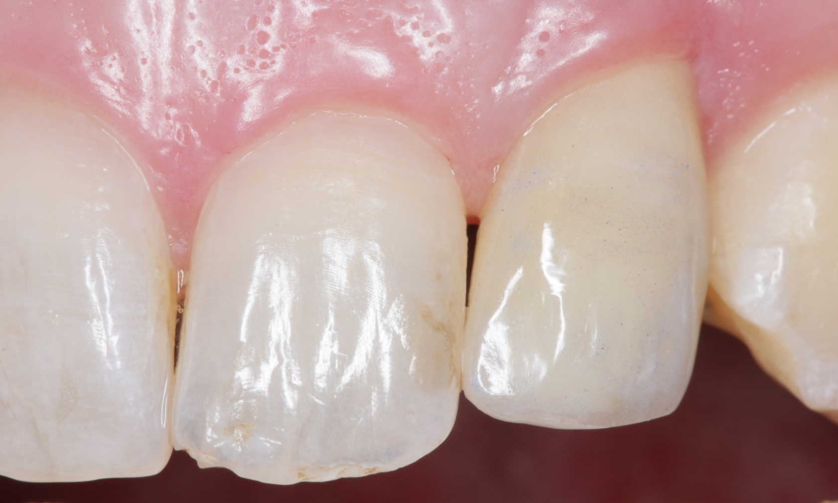
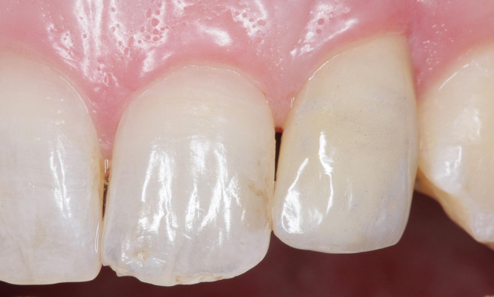
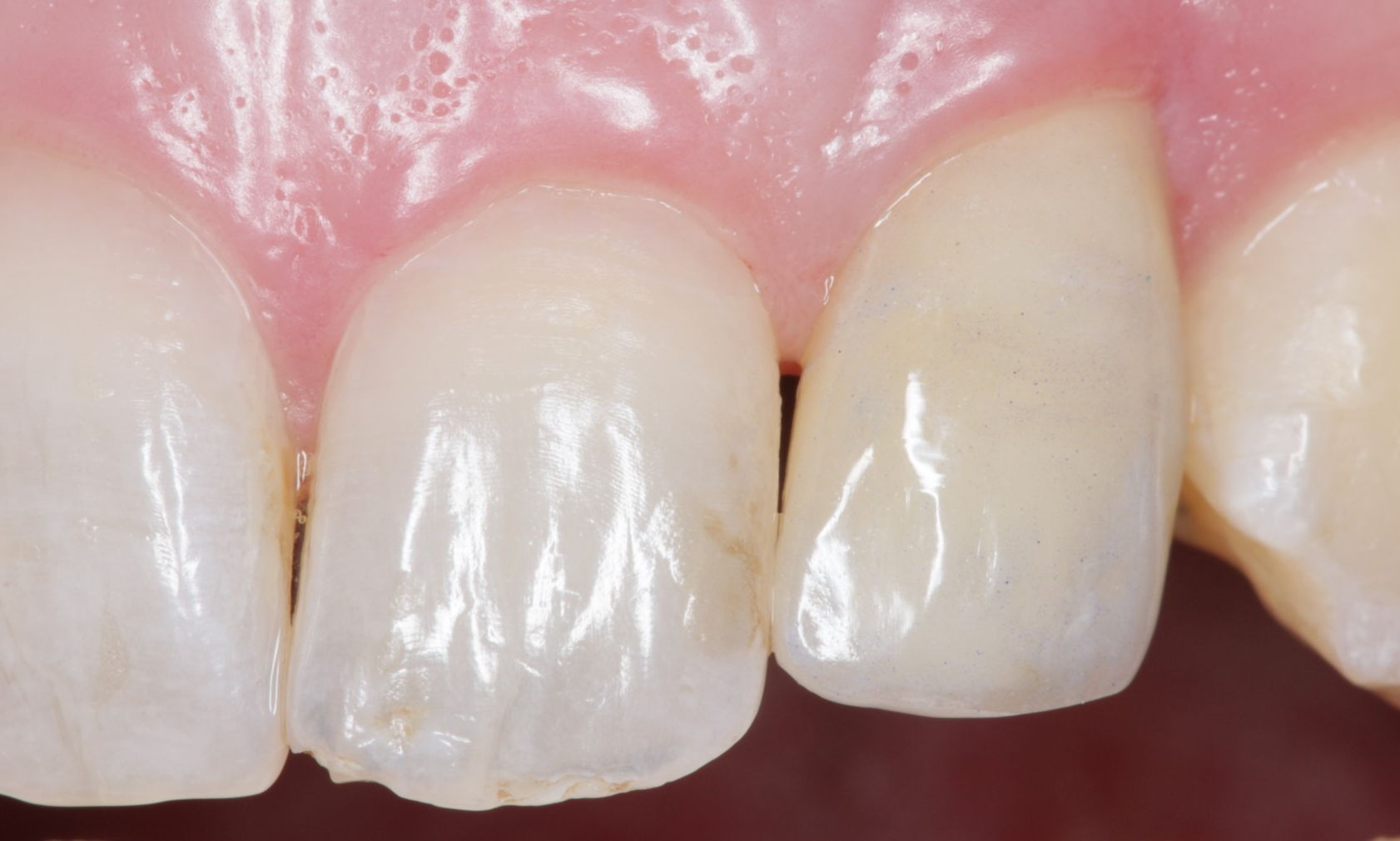
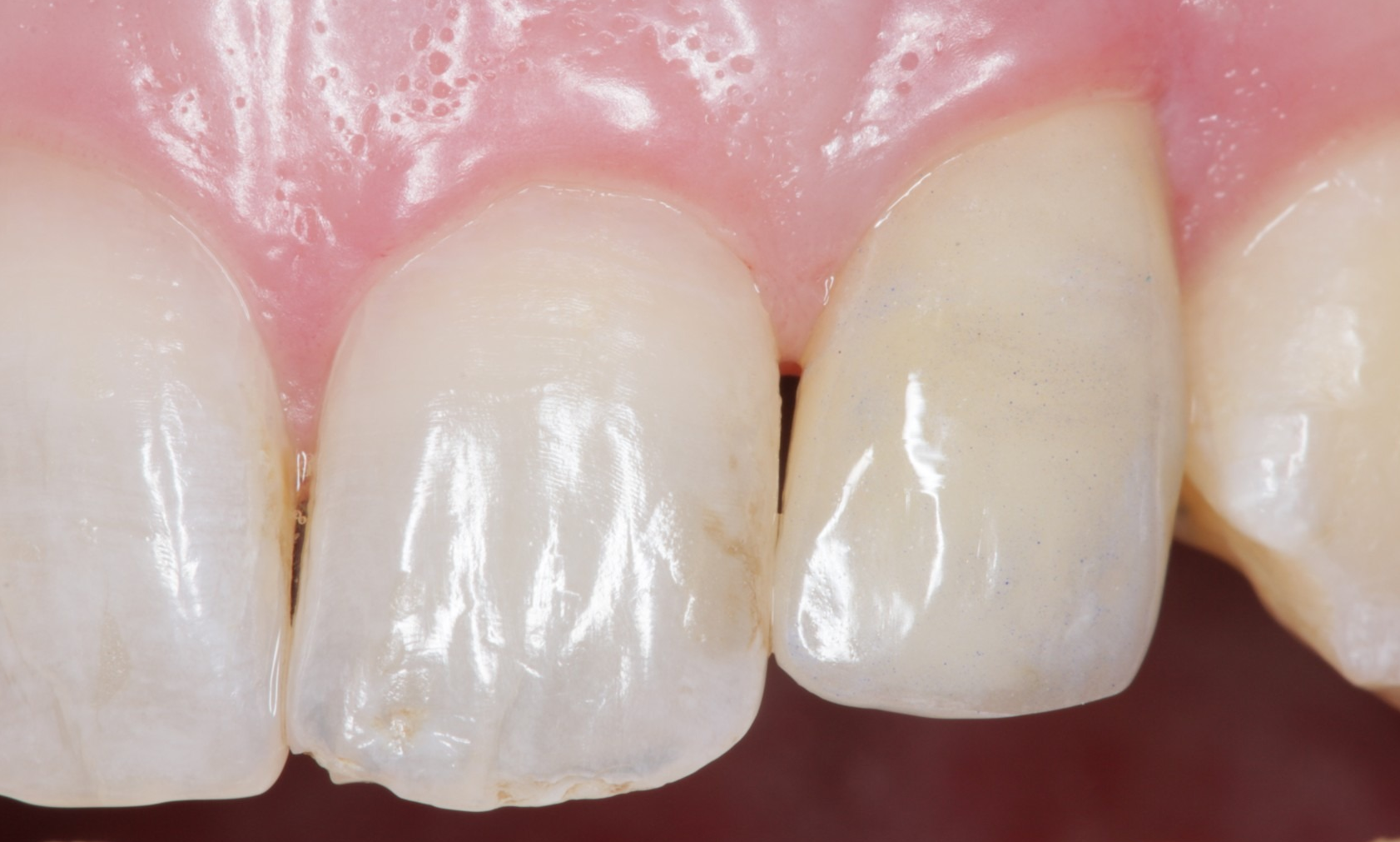
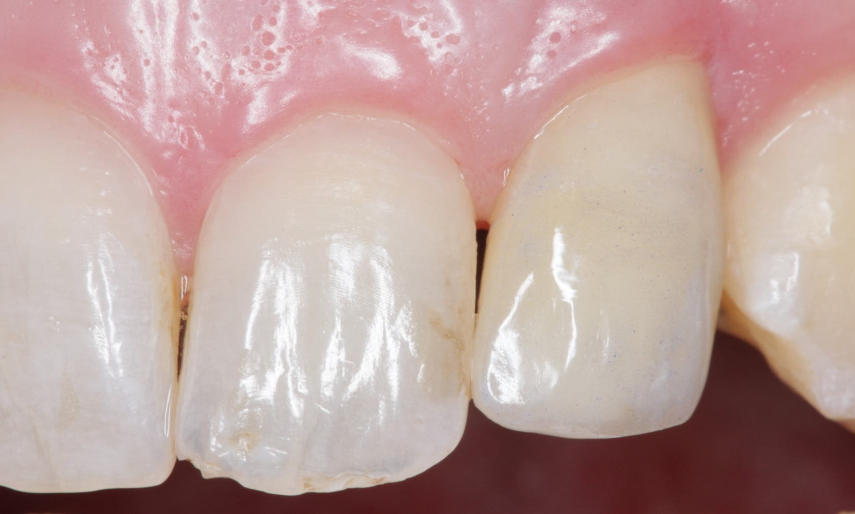
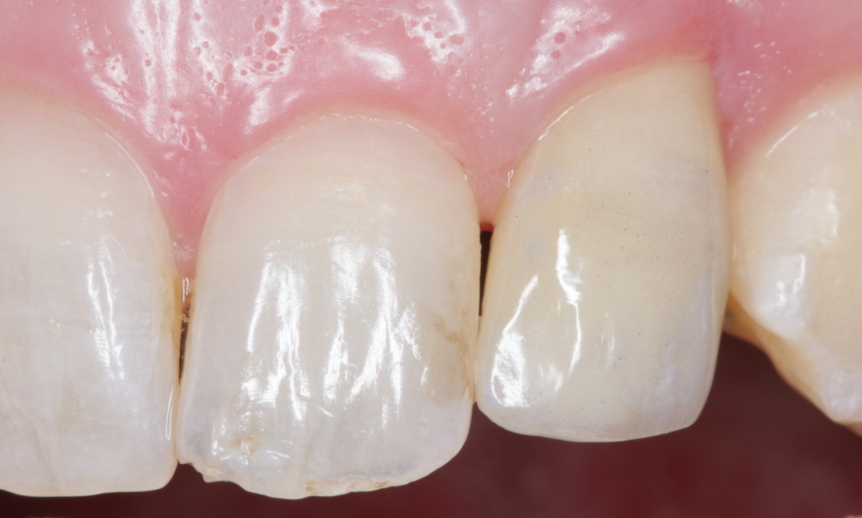
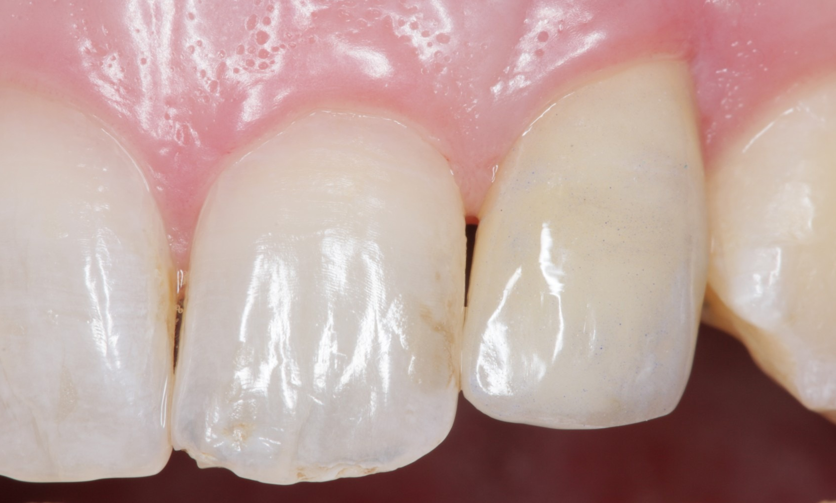
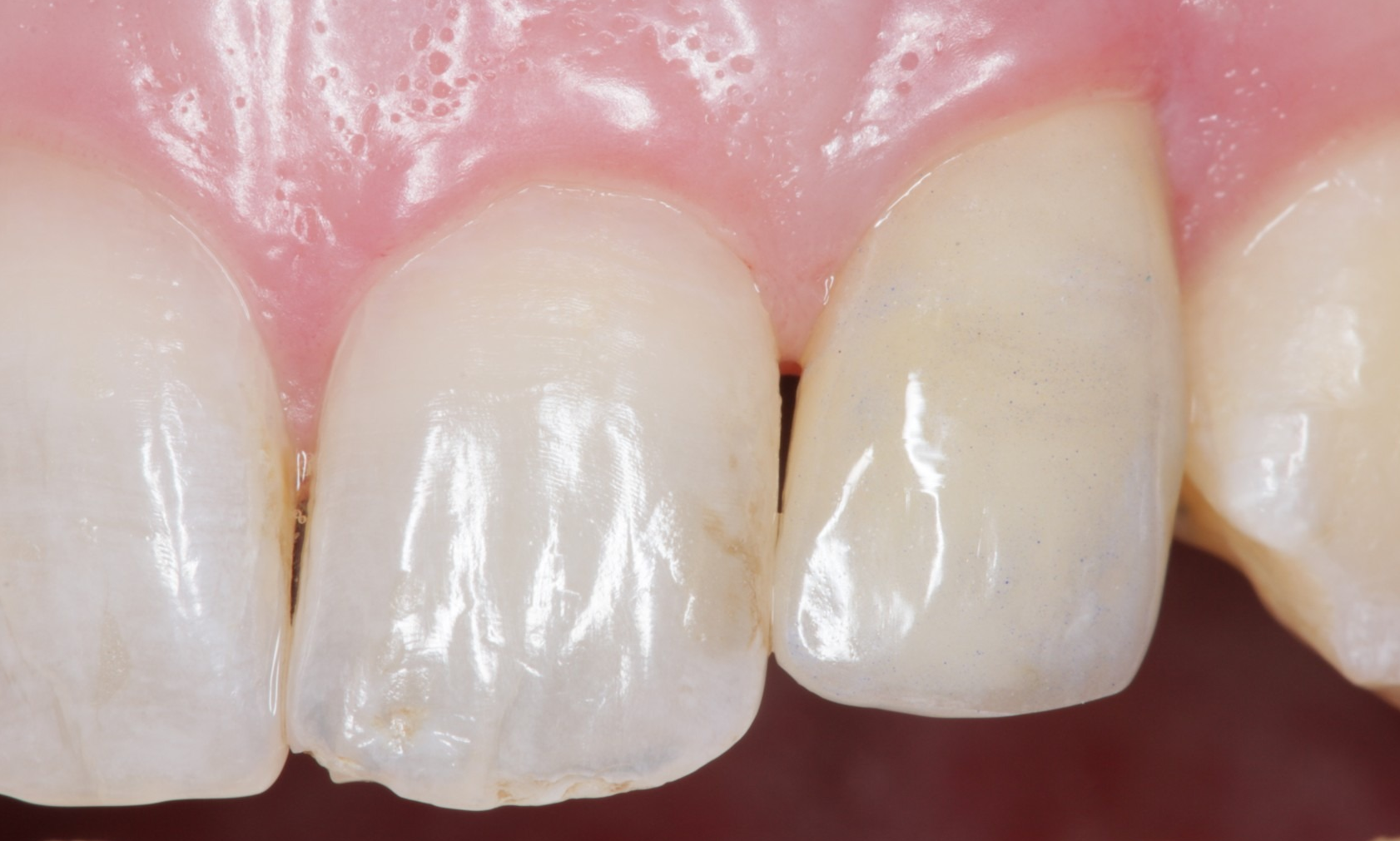
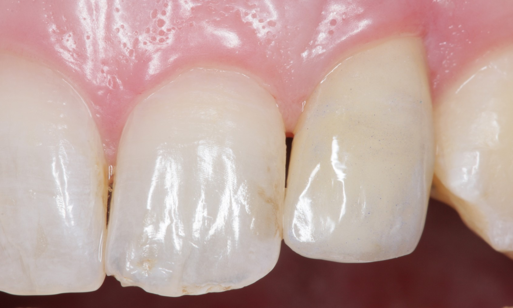
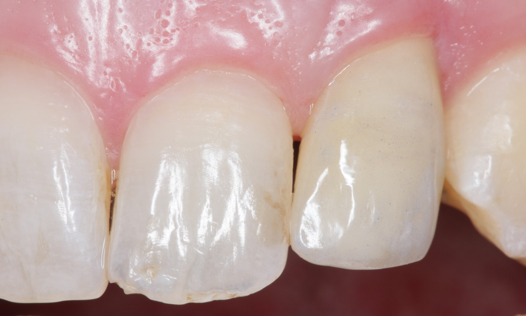
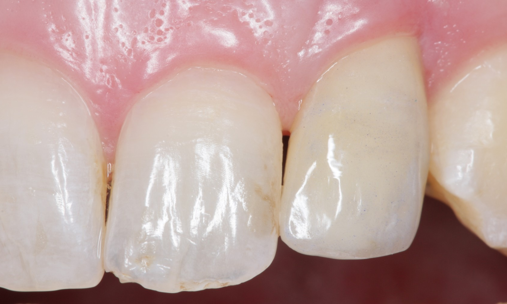
The patient has received their new implant-supported prosthesis, but our work is not done yet. Now we have to help the patient enjoy their new implant and crowns for as long as possible, a task that includes keeping the implant and surrounding tissue healthy and free from inflammation. To enable prompt recognition of any peri-implant disease that may subsequently occur, it is important to perform a ‘baseline examination’ after the patient has received their implant-supported prosthesis. This examination should include:

  • Bite-wing X-ray of the implant
  • Assessment of pocket probing depths – ideally at 6 sites around the implant

In addition, we should give our patient targeted instructions regarding home oral hygiene for their new implant-supported prosthesis, and get them to attend a regular recall or follow-up appointments. After one year, both the bite-wing X-ray and pocket probing depths should be taken again. Pocket probing depths should then be recorded every year, and a bite-wing X-ray need only be taken if there are signs of inflammation.

Tip!
Based on our experiences with teeth, we are used to thinking that pocket probing depths above 4 mm are an indication of disease. However, this is not necessarily the case for implants. Depending on the patient’s anatomic features and the thickness of their mucosa, an implant can have a pocket probing depth of 5 or 6 mm, for example, right from the start, but this may not necessarily be due to disease. That is why it is also important to measure pocket probing depths shortly after (within the first month) the patient receives their implant-supported restoration, to provide a reference for comparison. For example, if an implant has a pocket probing depth of 5 mm at the start and remains at 5 mm in the next few years, this does not constitute a problem. However, if this pocket probing depth of 5 mm has become 7 mm at the next follow-up, caution should be exercised, and the dentist should be informed.

Reference

  1. Coli P, Christiaens V, Sennerby L, Bruyn H. Reliability of periodontal diagnostic tools for monitoring peri-implant health and disease. Periodontol 2000. 2017 Feb;73(1):203-217. doi: 10.1111/prd.12162.

comments