Berichte & Studien

Die neue Implantatversorgung ist im Mund – Was nun?

PD Dr. Kristina Bertl, PhD MSc MBA

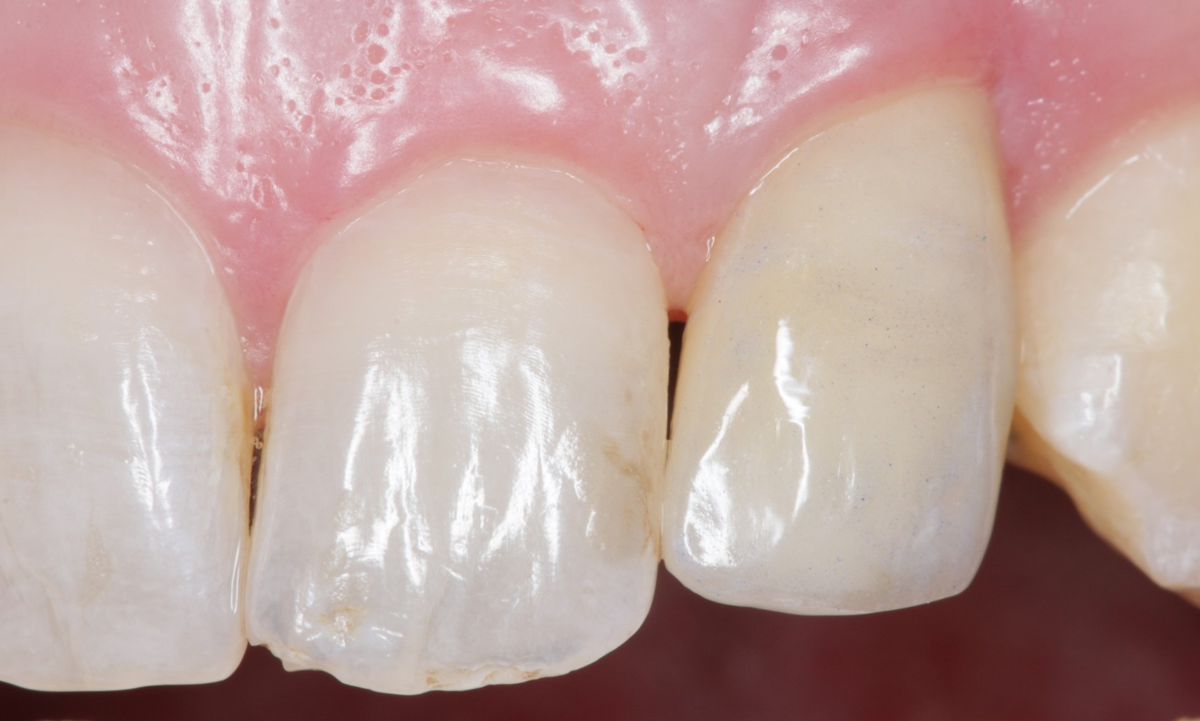
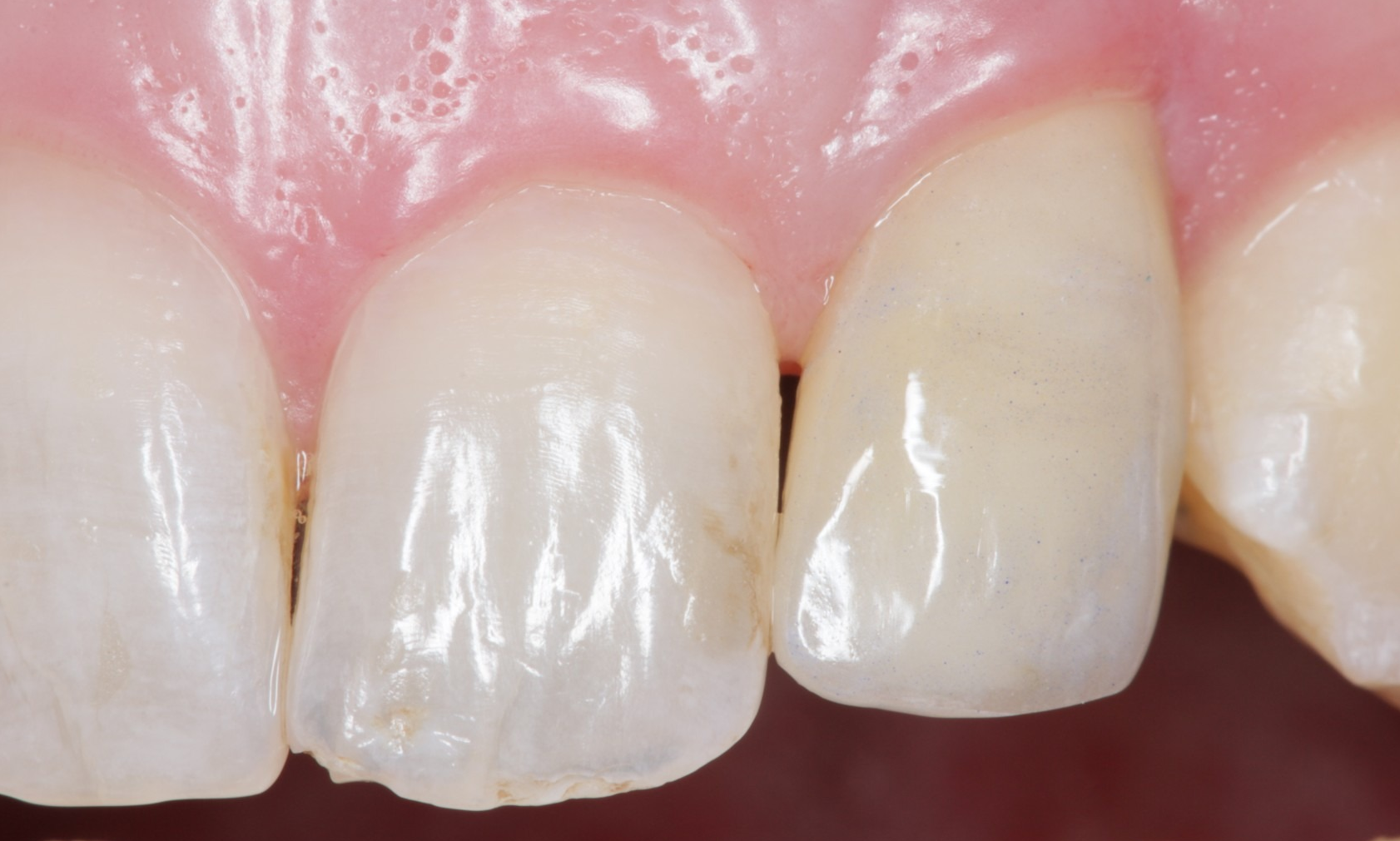
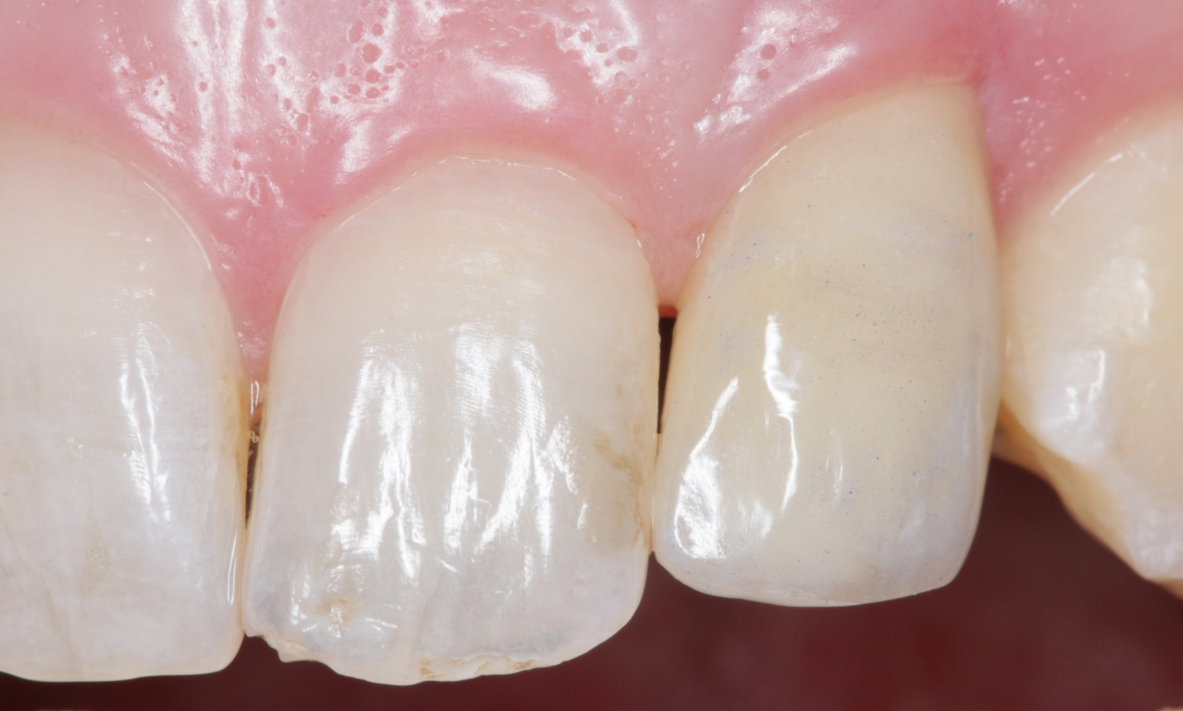
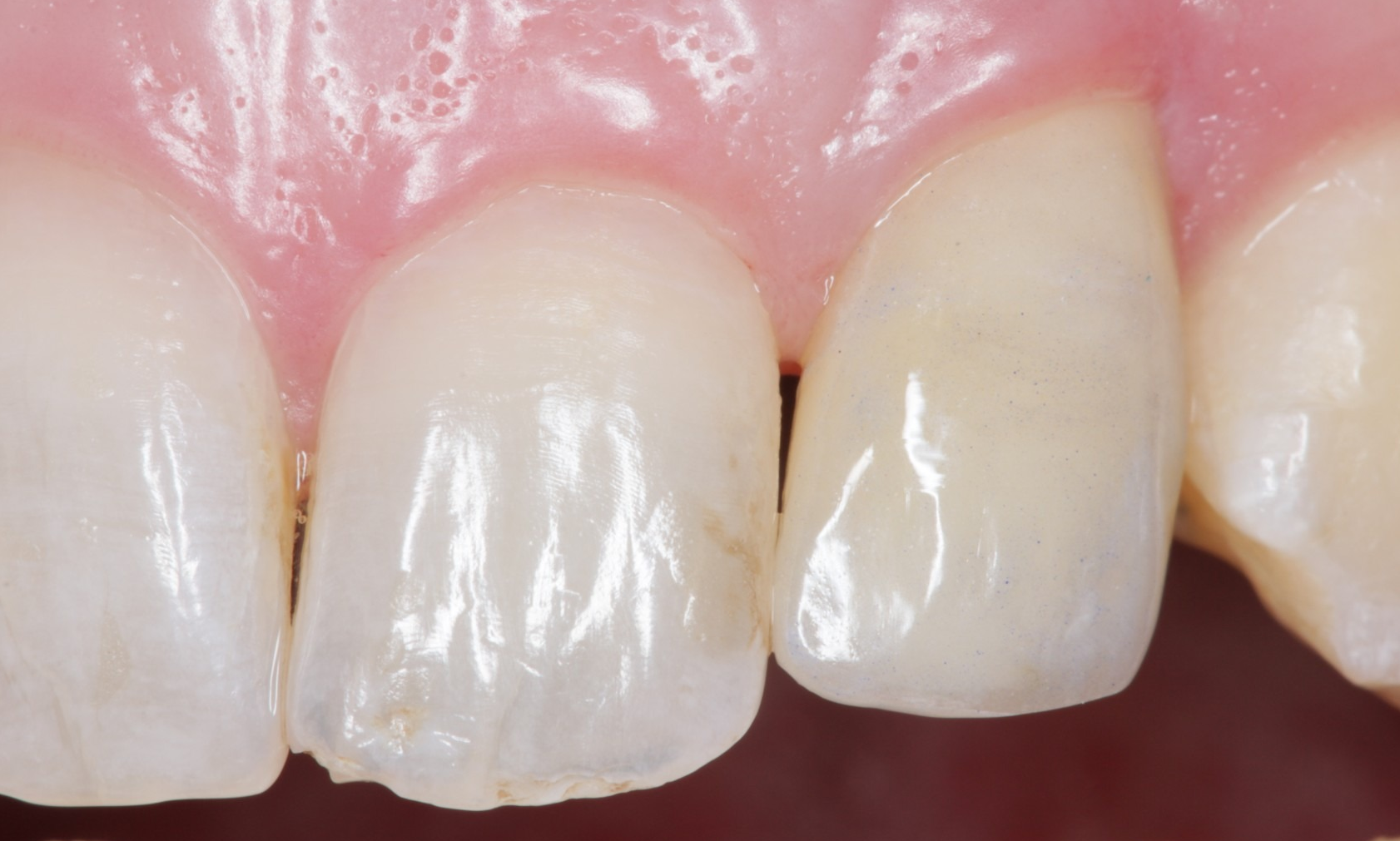
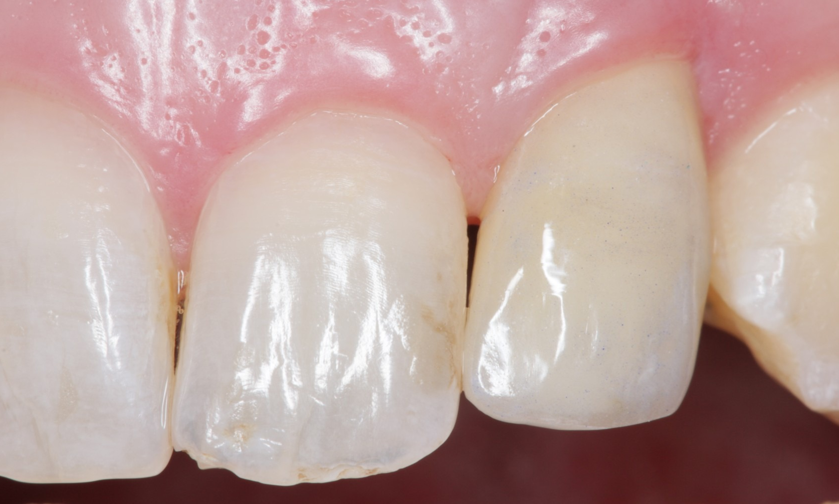
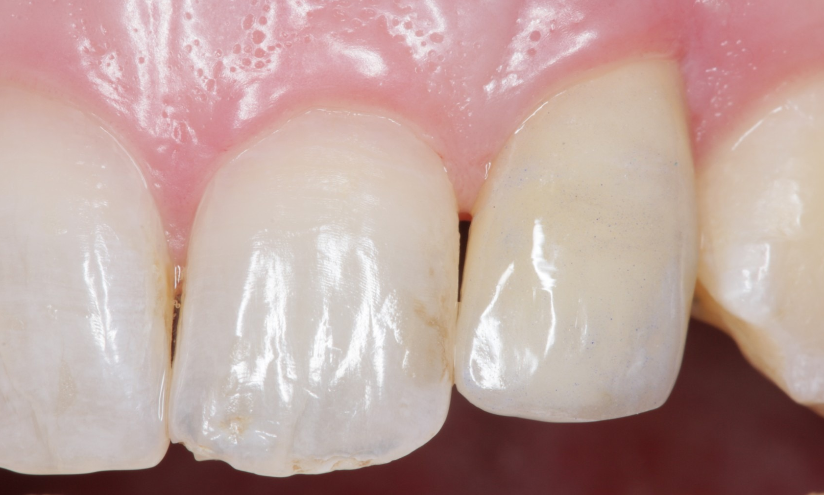
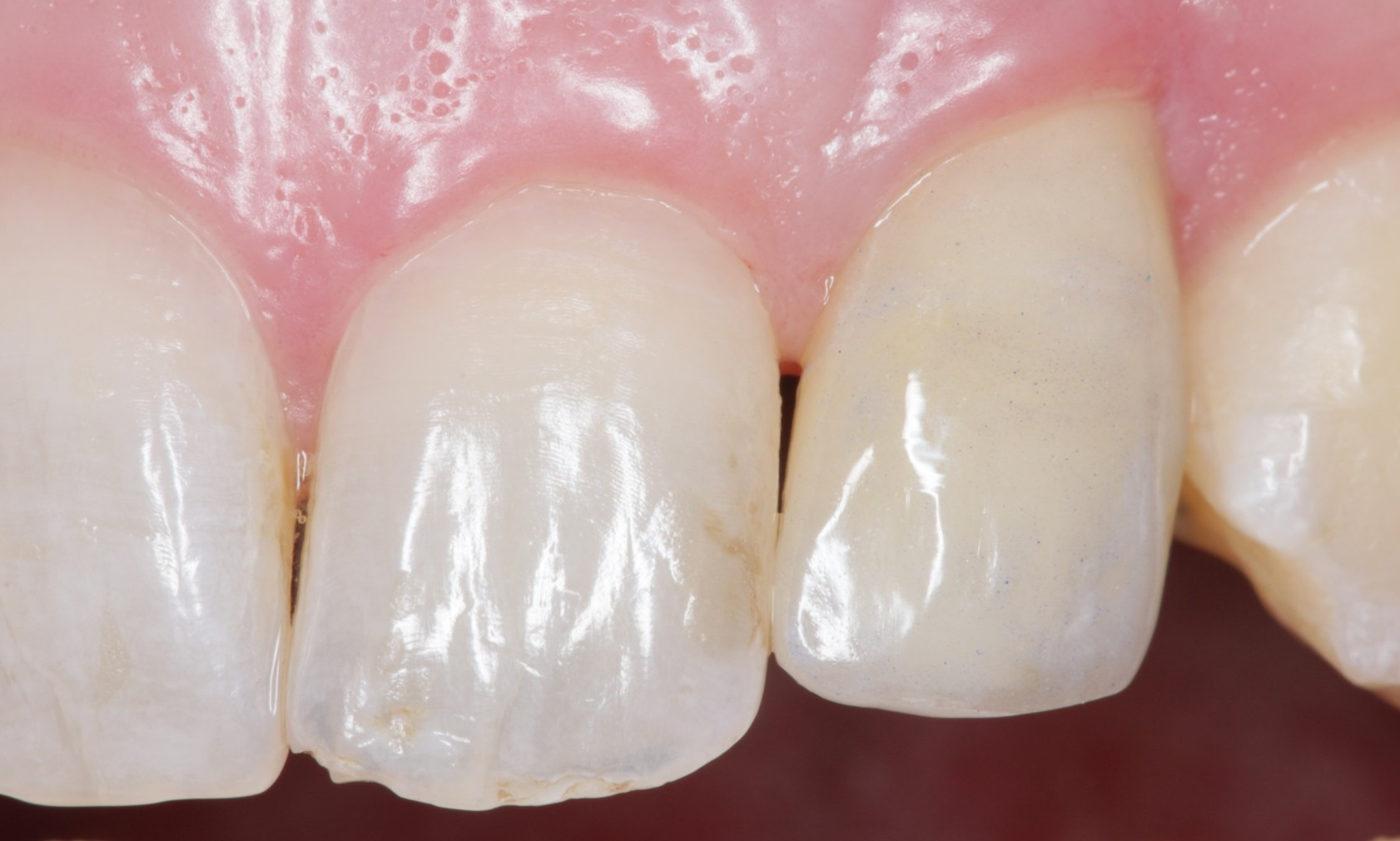
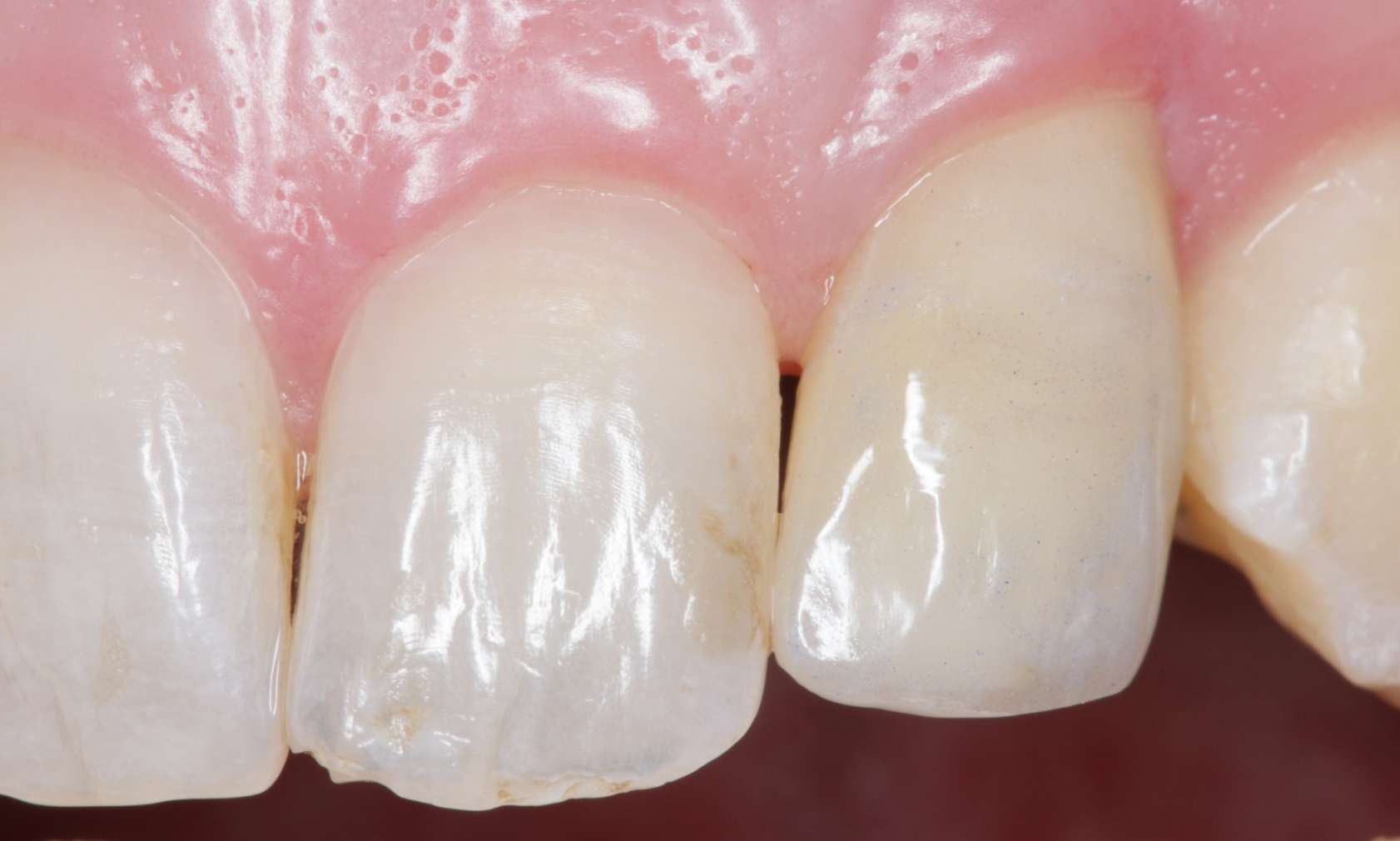
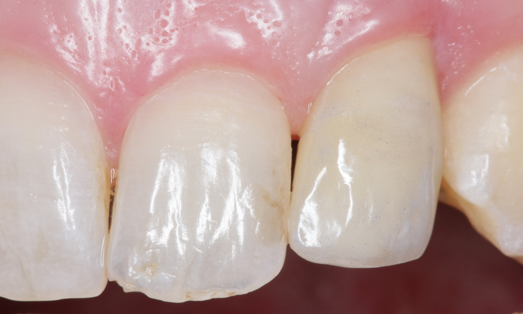
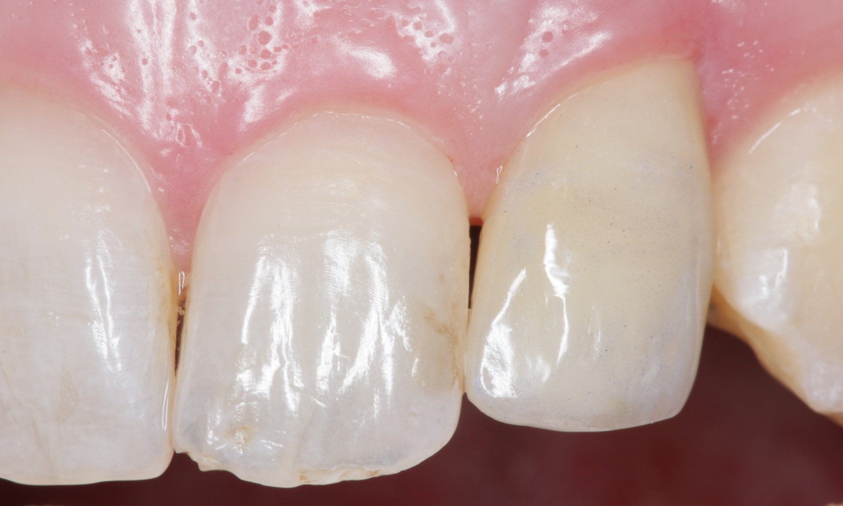
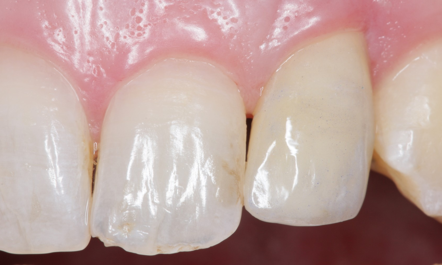
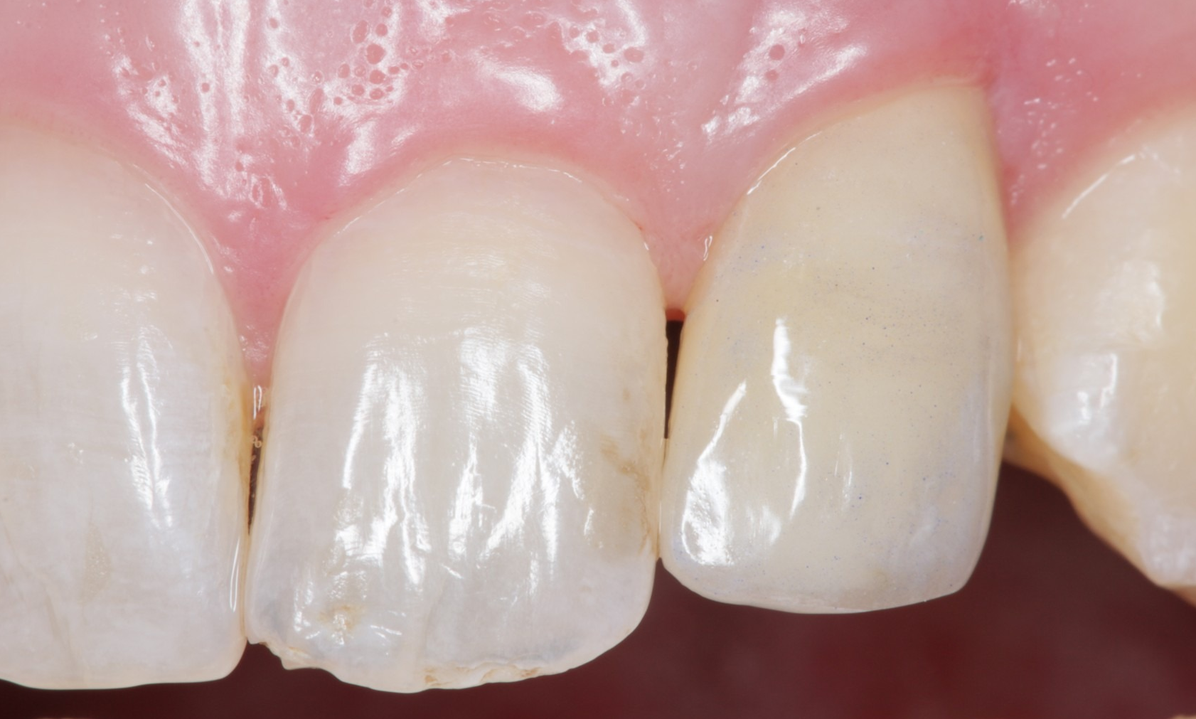
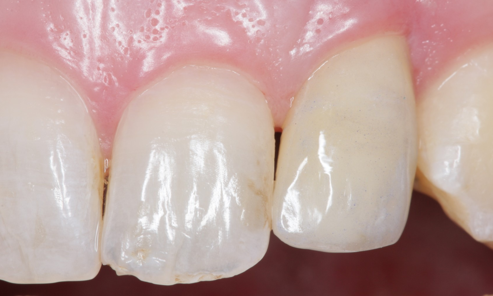
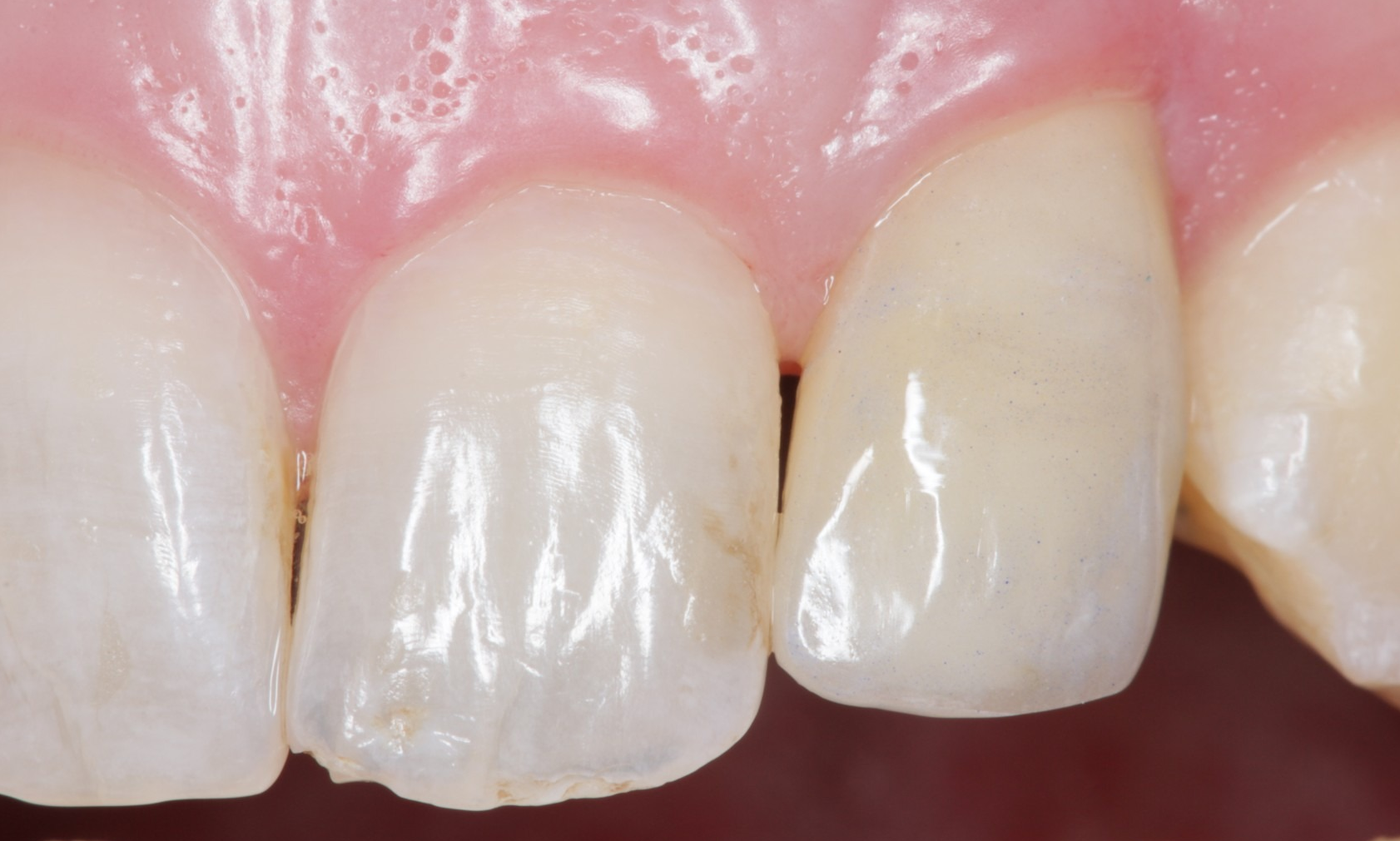
Ein/e Patient/Patientin hat eine neue Implantatversorgung bekommen, aber damit sollte es für uns nicht getan sein! Nun gilt es den/die Patienten/Patientin dabei zu unterstützen die Freude an seinem/ihrem neuen Implantat samt Krone so lange wie möglich zu behalten und das inkludiert das Implantat beziehungsweise die umliegenden Gewebe gesund und frei von Entzündung zu halten. Um eine später möglicherweise auftretende peri-implantäre Erkrankung früh erkennen zu können, ist es wichtig nach Übergabe der prothetischen Versorgung eine „Baseline-Untersuchung“ durchzuführen. Diese sollte beinhalten:

  • Kleinbildröntgen vom Implantat
  • Erhebung der Sondierungstiefen – am besten an 6 Stellen rund um das Implantat

Des Weiteren sollten wir unseren/unsere Patienten/Patientin gezielt in der häuslichen Mundhygiene für die neue Implantatversorgung instruieren und ihn/sie in einen regelmäßigen Recall beziehungsweise Kontrolltermine einbinden. Nach einem Jahr sollten sowohl das Kleinbildröntgen als auch die Sondierungstiefen erneut erhoben werden, danach jährlich die Sondierungstiefen und das Kleinbildröntgen nur, wenn Hinweise auf eine Entzündung vorliegen.

Tip!
Von den Zähnen sind wir gewohnt, dass Sondierungstiefen ab 4mm auf eine Erkrankung hinweisen – das muss bei Implantaten nicht so sein! Je nach Schleimhautdicke und anatomischen Gegebenheiten, kann ein Implantat von Anfang an auch beispielsweise 5 oder 6mm Sondierungstiefe aufweisen ohne, dass sich eine Erkrankung dahinter versteckt. Deswegen ist es auch wichtig, dass wir kurze Zeit nach Übergabe der prothetischen Versorgung (innerhalb des ersten Monats) die Sondierungstiefen erheben, denn nur so haben wir einen Vergleich. Weist ein Implantat beispielsweise von Beginn an 5mm Sondierungstiefe auf und bleibt es in den nächsten Jahren bei diesen 5mm Sondierungstiefe, stellt dies kein Problem dar; werden beim nächsten Besuch aus diesen 5mm aber 7mm Sondierungstiefe, ist Vorsicht geboten und der/die Zahnarzt/Zahnärztin sollte darüber informiert werden!

Referenz

  1. Coli P, Christiaens V, Sennerby L, Bruyn H. Reliability of periodontal diagnostic tools for monitoring peri-implant health and disease. Periodontol 2000. 2017 Feb;73(1):203-217. doi: 10.1111/prd.12162.

Kommentare