Seethrough – Imaging solutions

Great views for dental practices

Che tu stia cercando soluzioni extraorali o intraorali, con Seethrough W&H offre un portfolio imaging completo, composto da prodotti sviluppati per ogni esigenza e da un software all'avanguardia. Tutte le soluzioni radiografiche condividono i cinque principi fondamentali W&H, progettati per garantire qualità, facilità d'uso e connettività avanzata.

*Un sofware per tutti i prodotti

    • Seethrough Max

      Get the full picture

      La soluzione perfetta per chi non accetta compromessi: Seethrough Max offre un'eccezionale qualità d'immagine, una gamma di FOV estremamente ampia e una bassa esposizione alle radiazioni. Il design aperto e la sua struttura spaziosa garantiscono il massimo comfort per il paziente, mentre il posizionamento face-to-face semplifica l'interazione operatore-paziente. Questa CBCT restituisce immagini estremamente definite per molteplici applicazioni, dai più piccoli dettagli per endodonzia alle esatte sezioni per pianificazione implantare, fino all'intero volume del cranio per chirurgia maxillofacciale e applicazioni ORL. SeeThrough Max – vivi il futuro della tecnologia X-ray nel tuo studio.

      Adattamento ottimale

      Grazie allo spostamento verticale specifico del sensore, i raggi X vengono adattati in modo ottimale alla morfologia del paziente e al tipo di esame scelto, garantendo la formazione di immagini altamente dettagliate e senza distorsioni.

      Eccezionale copertura del FOV

      Da 3 × 4 cm a 17 × 17 cm, per un'ampia gamma di applicazioni: dall’endodonzia all'implantologia, fino alla chirurgia maxillofacciale e all’otorinolaringoiatria.

      Rotazione completa a 360°

      Altissima qualità di immagine grazie alla scansione a 360°, per un'acquisizione del volume completa e immagini estremamente chiare e nitide.

      Adattamento automatico

      Seethrough Max si adatta automaticamente alla posizione del paziente e garantisce una messa a fuoco precisa dell'anatomia, per un imaging ottimale.

      Massimo comfort per il paziente

      Estrema compatibilità con il paziente e massimo comfort grazie al design aperto, per immagini acquisite in modo semplice e senza errori.


        Seethrough Flex

        See new dimensions

        Prestazioni elevate, minimo ingombro: questo è Seethrough Flex. Grazie al suo design compatto, al funzionamento intuitivo e al posizionamento face-to-face può essere facilmente integrato nei flussi di lavoro dello studio. Seethrough Flex è unico per la sua capacità di restituire immagini precise, ma con una minima esposizione alle radiazioni. È il dispositivo perfetto per le più comuni esigenze odontoiatriche: dall'acquisizione di piccoli volumi e porzioni di arcata fino alle scansioni di entrambe le arcate e delle ATM, sia a scopo di diagnosi che di pianificazione implantare. Seethrough Flex: scoprite la simbiosi perfetta tra qualità di immagine, facilità d’uso e massima sicurezza per il paziente.

        Il miglior rapporto tra dimensioni e FOV

        Seethrough Flex offre il miglior rapporto sul mercato tra campo visivo e dimensioni del dispositivo: grazie a un’ampia gamma di FOV, da 5 × 5 cm a 14 × 10 cm, si conferma un sistema CBCT estremamente versatile.

        Touch screen opzionale

        L'intuitivo touch screen da 10" di Seethrough Max è disponibile come optional anche per Seethrough Flex, offrendo un controllo totale "a portata di mano".

        Rotazione a 360° in uno spazio minimo

        Grazie alla sua innovativa traiettoria ellittica, Seethrough Flex può eseguire una rotazione completa a 360° in uno spazio minimo, per una qualità di immagine superiore in spazi estremamente ridotti.

        Minima dose di radiazioni

        Il design compatto e le funzionalità intelligenti per la riduzione della dose assicurano un'esposizione minima e la massima protezione.

        Download Area

        Istruzioni di impiego

        Find all languages of the Update Hygiene and Maintenance (EN ISO 17664:2017) in the Download Centre.

      • Seethrough Arm

        Focus on what matters

        Robusto, facile da usare e versatile: Seethrough Arm è il generatore per imaging intraorale perfetto per ottimizzare la ruotine quotidiana dello studio dentistico. Può essere utilizzato con piastrine ai fosfori o con sensori digitali, a seconda della procedura preferita. Grazie alle diverse lunghezze del braccio, alle molteplici configurazioni della wall box, all'interfaccia utente intuitiva ed ergonomica e al funzionamento senza cavi, si adatta perfettamente a qualsiasi tipo di clinica.

        Massima flessibilità
        Tre diverse lunghezze del braccio (300/600/900), tre configurazioni della wall box e design essenziale senza parti sporgenti.

        A voi la scelta
        Versione Basic o Comfort con integrazione Seethrough Studio e ioDent®.

        Comando senza cavi
        Per una protezione assoluta dale radiazioni ed una facilità d’uso senza restrizioni.


        Seethrough Scan

        Simply scantastic

        Design compatto ed ergonomico: Seethrough Scan è lo strumento ideale per tutti gli studi che utilizzano sistemi PSP. Si integra perfettamente nell'ambiente di lavoro, consente l'inserimento rapido e sicuro di pellicole radiografiche di tutti i formati (0, 1, 2, 3) ed è facile da pulire. Inoltre, numerose funzioni automatiche garantiscono processi applicativi ottimizzati. Seethrough Scan: la soluzione PSP avanzata per imaging intraorale semplice ed efficiente.

        Completamente automatico
        L'identificazione della sala operatoria, il riconoscimento dei guasti, l'eliminazione delle piastrine e la trasmissione delle immagini avvengono in modo automatico.

        Compatto ed ergonomico
        Grazie al suo design user-friendly, Seethrough Scan è semplice da utilizzare e pulire e si adatta perfettamente ad ogni ambiente.


        Seethrough Sensor

        Sensationally sensitive

        Imaging preciso con il massimo comfort per il paziente: grazie al suo design sottile ed ergonomico, Seethrough Sensor mette i pazienti a proprio agio. Il sensore CMOS ad alta risoluzione è in grado di catturare ogni dettaglio con una qualità eccezionale. Disponibile nei formati 1 e 2, può essere facilmente integrato nella routine quotidiana dello studio, portandone la digitalizzazione ad un livello superiore. Seethrough Sensor: workflow più efficienti, giorno dopo giorno.

        Elevato comfort per il paziente
        Il design estremamente sottile, con angoli arrotondati e bordi lisci, aumenta il comfort del paziente durante l’acquisizione delle immagini.

        Facile da usare
        Il sistema Plug & Play garantisce un funzionamento semplice e un alto livello di comfort per l’utente.

        Download Area

        Download

        Istruzioni di impiego

        Find all languages of the Update Hygiene and Maintenance (EN ISO 17664:2017) in the Download Centre.

      • Seethrough Studio

        See tomorrow. See a new level.

        Insieme alle tecnologie hardware di ultima generazione, Seethrough Studio rappresenta l'elemento rivoluzionario e differenziante del portfolio imaging W&H. Con funzioni avanzate e algoritmi intelligenti, Seethrough Studio offre un'esperienza all-in-one che spinge verso nuovi orizzonti la qualità dell'imaging e l'efficienza dei workflow digitali.

        Integrazione completa

        Seethrough Studio può essere facilmente integrato in qualsiasi sistema di gestione dei pazienti. È possibile avviarlo direttamente dal software gestionale senza dover inserire nuovamente i dati del paziente.

        Selezione libera del FOV sulle immagini scout

        Cattura l'immagine perfetta al primo tentativo: seleziona il FOV nelle preview scout e definisci liberamente la grandezza della regione di interesse. La speciale funzione di selezione libera del FOV direttamente dalle immagini scout garantisce alta precisione evitando di dover ripetere l'esame.

        Correzione del movimento e della posizione del paziente

        L'avanzato algoritmo di correzione del movimento del paziente eleva la qualità dell’immagine a nuovi livelli, sia nell'imaging 3D che 2D. Le immagini 2D sono ulteriormente migliorate da un sistema di autofocus a 21 strati integrato nella funzione automatica di correzione della posizione del paziente.

        Rimozione degli artefatti metallici (MAR)

        Ripristina l'integrità dell'immagine rimuovendo gli artefatti metallici; è possibile esaminare le immagini con o senza funzionalità MAR, per una visualizzazione flessibile e una migliore precisione diagnostica.

        Immagini nitide, dettagliate

        e prive di distorsioni grazie agli avanzati algoritmi di Seethrough Studio.

        Sistema integrato di pianificazione dell'impianto

        Oltre all'eccezionale qualità delle immagini e al funzionamento intuitivo, Seethrough Studio offre numerose funzioni utili, come la funzione integrata di pianificazione implantare: una soluzione semplice, precisa e facilmente consultabile.

        IA - Intelligenza Artificiale

        Seethrough Studio utilizza diversi strumenti di intelligenza artificiale per ottenere immagini ancora migliori, come l'allineamento dei volumi 3D, la segmentazione dei denti, la generazione di linee d'arcata e il riconoscimento automatico del nervo. Inoltre, offre un utile supporto per l'identificazione di patologie.

        Work smarter, not harder

        La gamma di prodotti Seethrough è collegata di serie a ioDent®, la piattaforma online avanzata di W&H che che raccoglie tutti i dati importanti dei pazienti, permette una comunicazione diretta e offre numerosi utili servizi di assistenza e supporto, rendendo più efficiente il lavoro quotidiano dello studio. Grazie a ioDent® è possibile accedere, in qualsiasi momento e da qualsiasi luogo, a immagini 3D, panoramiche e intraorali, nonché a tutte le informazioni necessarie sui pazienti.
        iodent.com

        Grazie al trasferimento sicuro e veloce dei dati è possibile condividere, discutere e commentare i casi dei pazienti anonimizzati. I pazienti hanno anche la possibilità di scaricare i propri dati in formato DICOM tramite un link sicuro. Inoltre, ioDent® offre un accesso rapido e diretto al servizio di support clienti tramite il pannello di controllo di assistenza integrato, che consente di ottenere supporto tecnico immediato da parte di esperti. ioDent® aiuta anche a rispettare tutte le direttive legali e fornisce un registro di controllo radiografico automatico per tutti i dispositivi radiologici.

        I principi fondamentali delle nostre soluzioni radiografiche

        • Qualità d'immagine superiore
          Immagini di eccezionale chiarezza e definizione: la nostra qualità d'immagine stabilisce un nuovo standard qualitativo grazie all'innovativa sinergia tra tecnologie hardware e software avanzate.

        • Integrazione perfetta
          Le nostre soluzioni si integrano perfettamente in qualsiasi sistema di gestione dello studio (PMS), ottimizzano i workflow e sono estremamente
          user-friendly.

        • Funzionalità intelligente
          Strumenti innovativi come la correzione del movimento, il posizionamento assistito del paziente e i processi di acquisizione guidata delle immagini garantiscono risultati ottimali e un'operatività semplice ed intuitiva.

        • Connessione ad ioDent®
          Accesso immediato a immagini, dati del paziente, archiviazione cloud e dashboard di servizio, per una gestione sempre connessa in qualsiasi momento e da qualsiasi luogo: stay connected.

        • L'Intelligenza Artificiale al servizio del tuo studio
          Strumenti di IA avanzati supportano l'analisi delle immagini e la diagnosi, offrono approfondimenti preziosi e spingono la cura del paziente verso nuovi orizzonti.

          Download Area

          Download

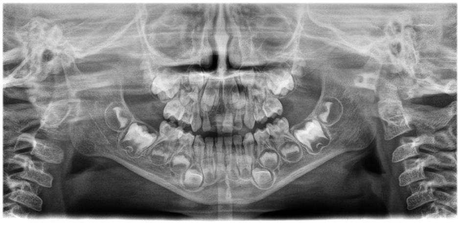
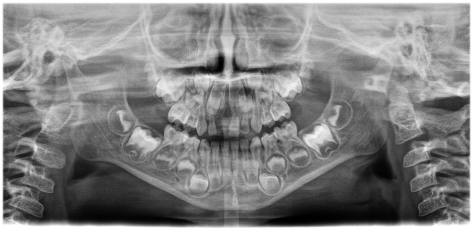
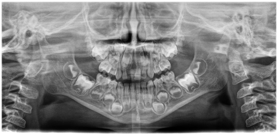
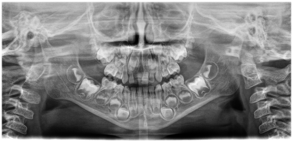
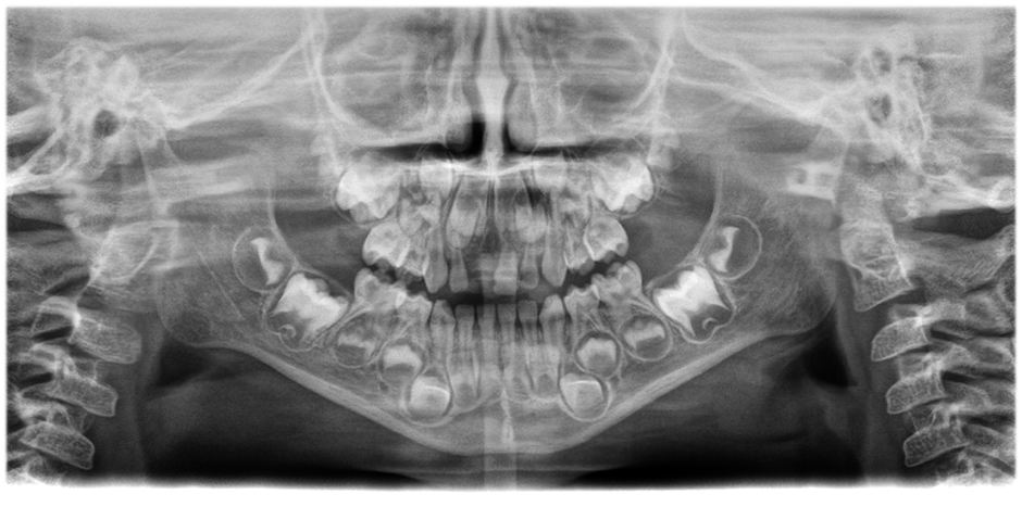
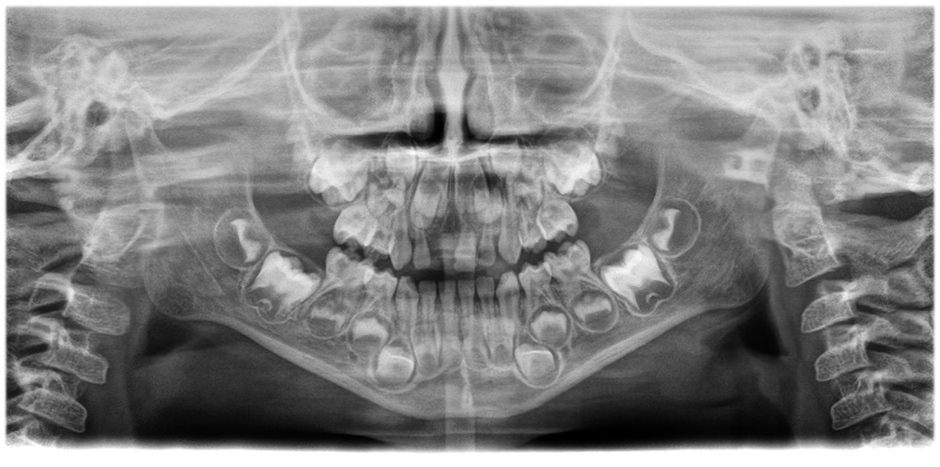
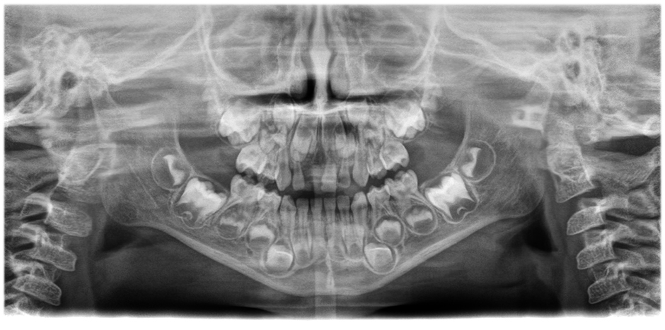
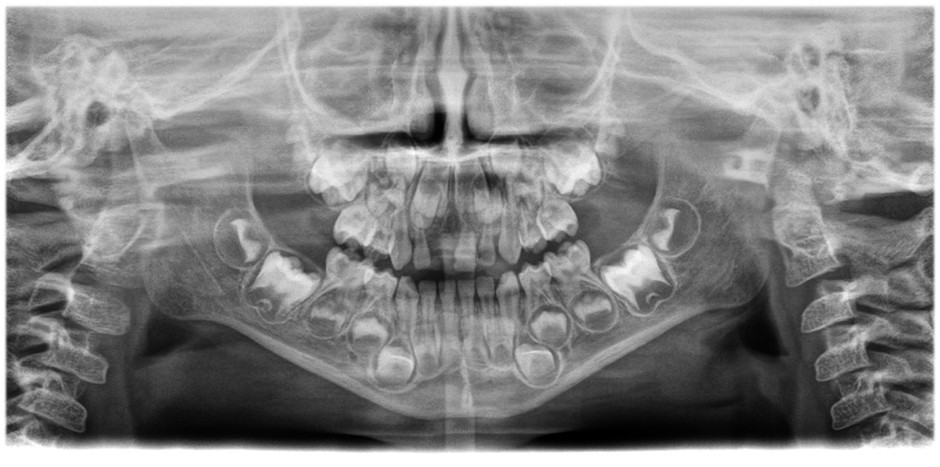
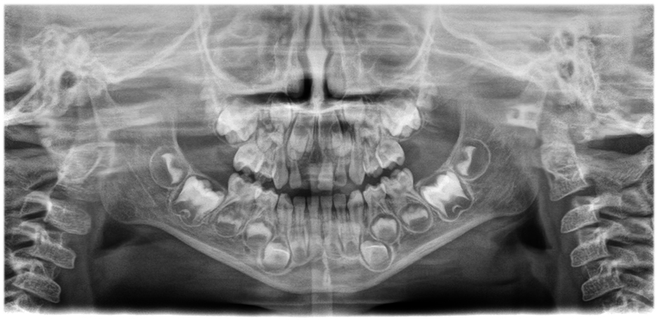
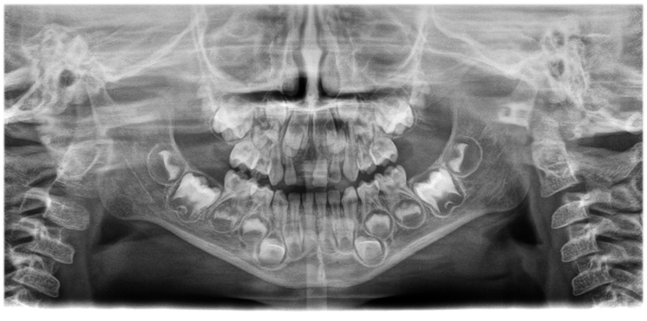
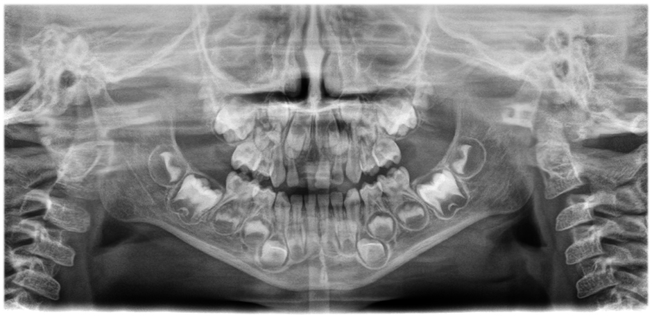
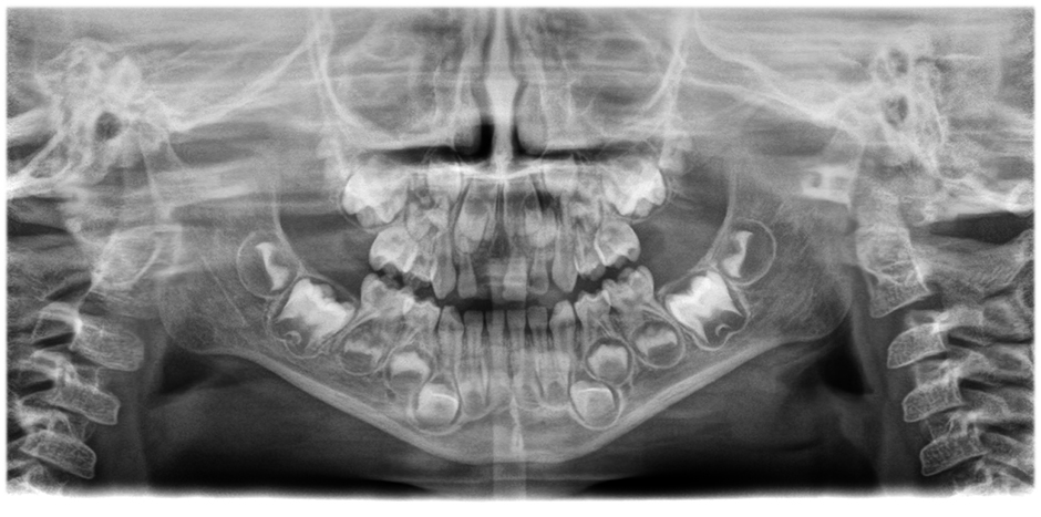
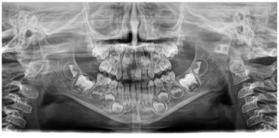
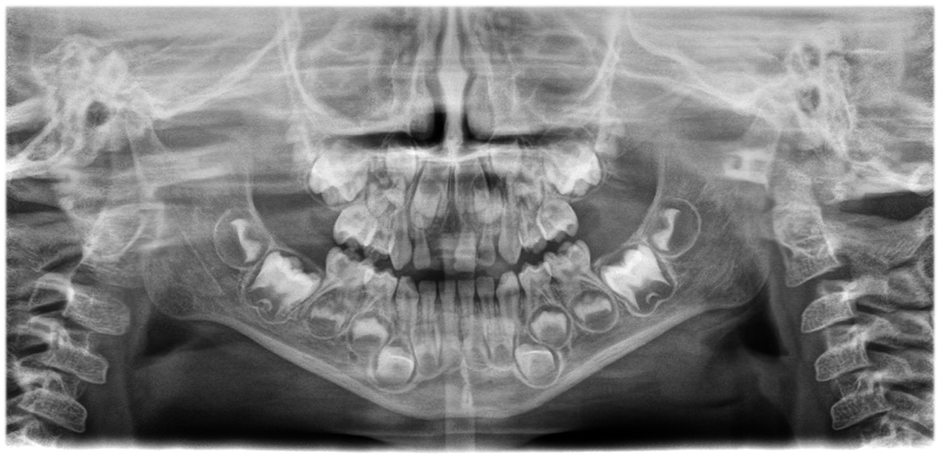
        • Panoramiche incredibilmente chiare e definite
          grazie ad un sistema di autofocus a 21 strati integrato nella funzione automatica di correzione della posizione del paziente. Scorri le immagini per vedere la differenza (panoramica di sinistra senza, panoramica di destra con autofocus e correzione della posizione del paziente)

          Download Area

          Download