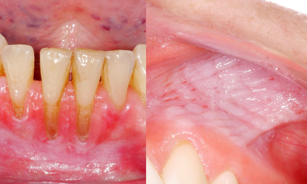
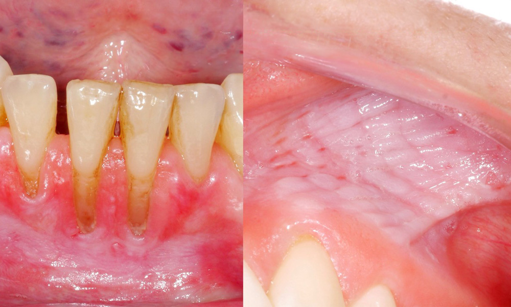
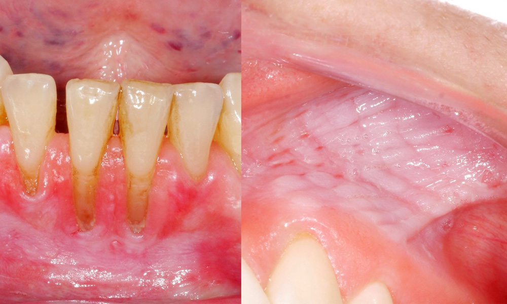
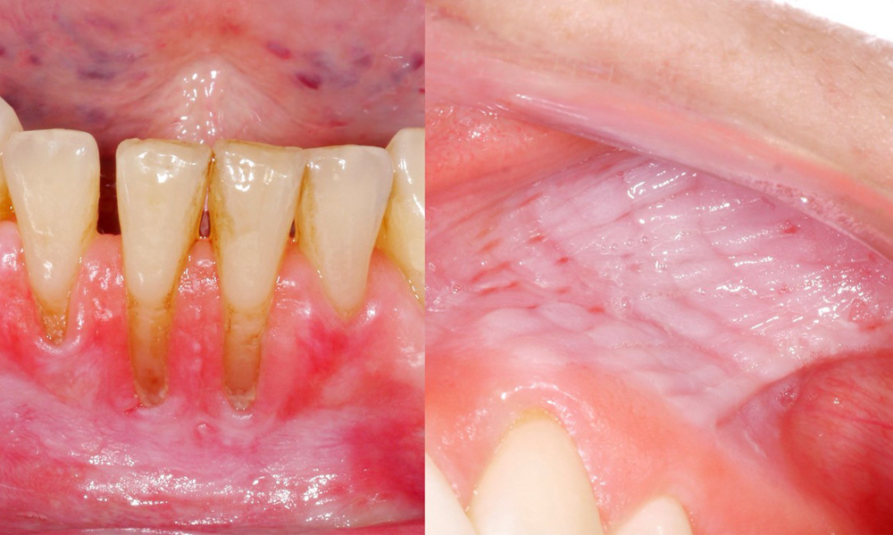
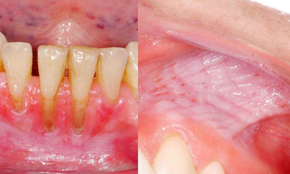
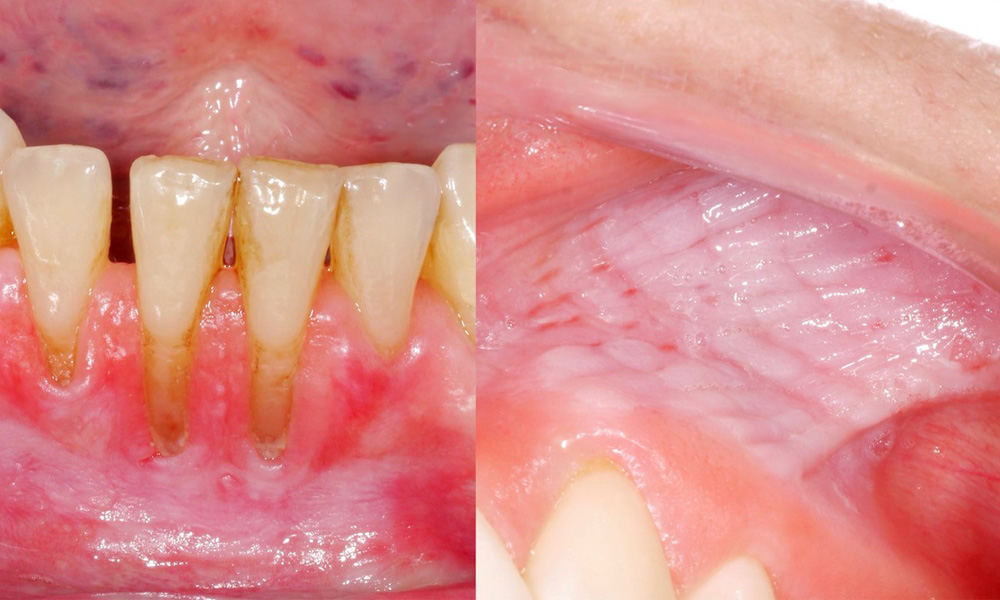
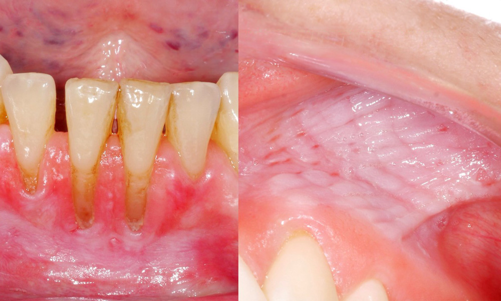
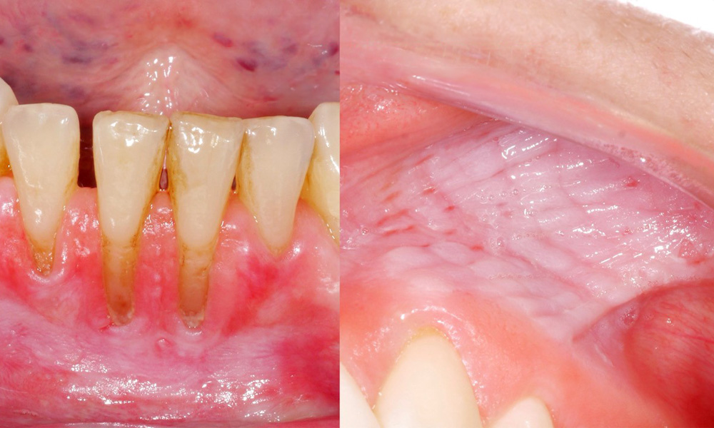
Snusul provoacă leziuni ale mucoasei și recesiune gingivală
PD Dr. Kristina Bertl, PhD MSc MBA
Snusul este un tutun oral care se consumă fie neambalat (sub formă de pulbere), fie porționat (în plicuri mici) și conține atât nicotină, cât și tutun. Acest tip de tutun oral este foarte răspândit în țările scandinave, în special în Suedia și Norvegia. Snus este de obicei adus în contact cu mucoasa bucală prin plasarea acestuia sub buza superioară și, în unele cazuri, sub buza inferioară, astfel încât nicotina pe care o conține să poată intra în fluxul sanguin prin mucoasa bucală. Având în vedere că snusul nu se fumează, acesta nu generează aceleași substanțe nocive care se produc, de obicei, atunci când se arde tutunul. Din acest motiv, se afirmă adesea că snusul este mai puțin dăunător pentru sănătate decât fumatul țigărilor, dar oare chiar așa este? Și ce impact are asupra cavității bucale în particular?

Un studiu recent desfășurat în Norvegia a examinat posibilitatea apariției leziunilor orale și care sunt acestea, atunci când se consumă snus în mod regulat, la o vârstă relativ tânără (Kopperud et al. 2023). În cadrul acestui studiu, s-au aplicat chestionare unui număr total de 1363 de tineri adulți, cu vârste cuprinse între 18 și 20 de ani, în legătură cu consumul acestora de snus, iar dintre aceștia, 216 (16%) au indicat consumul zilnic de snus.
Examinarea clinică a relevat faptul că un consum regulat de snus poate determina următoarele efecte asupra mucoasei orale:
- Aproximativ 80% dintre participanții la studiu, care consumau snus zilnic, prezentau leziuni mucozale induse de snus.
- Cu fiecare cutie suplimentară de snus consumată pe lună, se constată o creștere semnificativă a riscului de leziuni mucoase cu grad mai mare de severitate.
- Aproximativ 20% dintre participanții la studiu, care consumau zilnic snus, prezentau recesiune gingivală indusă de snus.
- Pentru fiecare an suplimentar în care s-a consumat snus, riscul de recesiune gingivală, indusă de snus, a crescut semnificativ.
Chiar dacă snusul nu este utilizat pe scară largă în Austria, datorită interdicției de vânzare a acestuia, este totuși interesant de știut care pot fi consecințele asupra cavității orale, întrucât - așa cum s-a confirmat, din nou, în prezentul studiu - s-a constatat că acestea se manifestă la aproape toate persoanele consumatoare de snus în mod regulat.
Referițe
- Simen E. Kopperud, Vibeke Ansteinsson, Ibrahimu Mdala, Rune Becher & Håkon Valen (2023) Leziuni orale asociate cu utilizarea zilnică de snus, un produs din tutun umed fără fum. Un studiu transversal în rândul adolescenților norvegieni (Oral lesions associated with daily use of snus, a moist smokeless tobacco product. A cross-sectional study among Norwegian adolescents), Acta Odontologica Scandinavica, 81:6, 473-478
comentarii