Individual Prophy Cycle

Profil pacient personalizat,
specific fiecărui caz

Reinventat pentru eficiență și mai mare
În trecut, multe dintre diferitele concepte de tratament bine-cunoscute s-au concentrat pe tratarea unei singure patologii orale pentru a restabili sau menține sănătatea orală. Este necesară o schimbare de paradigmă, care să se îndepărteze de această abordare unidimensională a sănătății orale, întrucât aceste concepte nu au reușit, până acum, să recunoască faptul că multe aspecte ale sănătății generale influențează puternic sănătatea orală și pot chiar provoca sau accentua afecțiunile orale(1).
Aici intervine necesitatea realizării unui profil de pacient personalizat, specific fiecărui caz în parte. Profilul de pacient personalizat și specific se axează pe o analiză atentă a istoricului medical al pacientului, însoțită de un diagnostic precis al sănătății generale și orale al acestuia.

  • Individual Prophy Cycle

    Efectul profilului personalizat al pacientului asupra tratamentelor

    Profilul personalizat al pacientului influențează etapele individuale parcurse în timpul ședințelor de profilaxie sau de tratament (5). În calitate de furnizor de soluții, W&H colaborează îndeaproape cu stomatologii și oferă un portofoliu divers de produse pentru a contribui la îndeplinirea cerințelor de tratament și a recomandărilor care decurg din profilul personalizat, specific fiecărui caz în parte.

    Avantajele IPC

    • Potrivit fiecărui cabinet stomatologic și tuturor pacienților
    • Personalizat, orientat spre pacient
    • Tratamentul se bazează pe nevoile individuale ale pacientului, ținând seama de sănătatea orală și de factorii generali de sănătate relevanți pentru îngrijirea dentară.
    • Fără tratamente standardizate


    "Ciclul de profilaxie individuală", pe care W&H l-a dezvoltat în colaborare cu stomatologii, poate furniza eventuale recomandări personalizate de tratament.

    Schmalz și Ziebolz 2019
    ZWR Prevenție individualizată


    Profilul specific al pacientului =
    recomandare personalizată de tratament

    Scopul realizării profilului pacientului este de a produce o recomandare de tratament personalizat pentru îmbunătățirea siguranței procedurilor și creșterea eficienței tratamentului (2). Istoricul medical al pacientului și o evaluare diagnostică a sănătății orale a acestuia, de exemplu, în ceea ce privește cariile, sănătatea parodontală și alte aspecte, constituie baza pentru procedurile de tratament și profilaxie (1, 3). Această abordare se diferențiază prin faptul că sunt luate în considerare și aspectele de sănătate generală care influențează sănătatea orală, pentru a dezvolta un profil de pacient personalizat, specific fiecărui caz în parte. Fiecare factor este evaluat în funcție de gradul său de influență asupra sănătății orale (4), ceea ce ajută la fundamentarea recomandării ulterioare de tratament personalizat. Acest proces este facilitat de un formular validat de anamneză medicală, care a fost dezvoltat special în acest scop.

    IPC contribuie la…

    › stabilizarea sănătății orale cu un tratamente care țin cont, atât de sănătatea generală, cât și de cea orală

    › tratamente de succes datorită transparenței pentru pacienți

    › utilizarea de instrumente specifice pentru fiecare indicație în parte, pe baza unei evaluări a factorilor relevanți de sănătate generală și orală



    Proxeo – Profilaxie pentru Profesioniști
    Pentru profilaxie orientată către pacient

    Detartraj Piezo

    Detartraj Piezo

    Datorită cuplei rapide ‘Q-Link’ pentru schimbarea ultra-raidă a anselor și pedala fără fir, pentru maximp flexibilitate.

    Proxeo Ultra
    Anse Detartraj Piezo

    Detartraj pneumatic

    Detartraj pneumatic

    “O piesă de detartraj sonic cu o gamă extinsă de aplicații parodontale.” OA Dr Christian Graetz

    Proxeo Sonic
    Anse detartraj pneumatic

    Profilaxie

    Air polishing

    Inelul de reglare practic și diversele pudre de profilaxie permit comutarea rapidă între modul de lucru de profilaxie și cel de tratament parodontal.

    Proxeo Aura
    Pudre profilaxie

    Lustruire

    Polishing

    Cu sistemele Cordless și LatchShort
    Sistemele de lustruire W&H stabilesc noi standarde în domeniul lustruirii rotative.

    Proxeo Twist Cordless

    Proxeo Twist LatchShort
    Cupe și periuțe profilaxie

    Cazuri pacienți conform IPC

    Următoarele studii de caz* acestea au rolul să ilustreze interacțiunea dintre necesitățile și factorii de risc definiți pentru IPC, precum și efectele factorilor individuali.

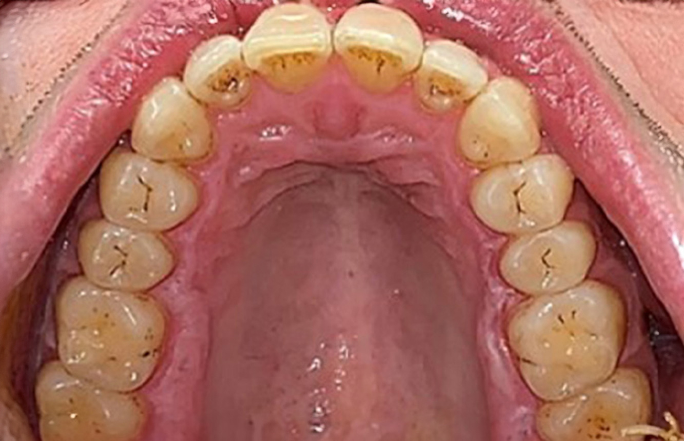
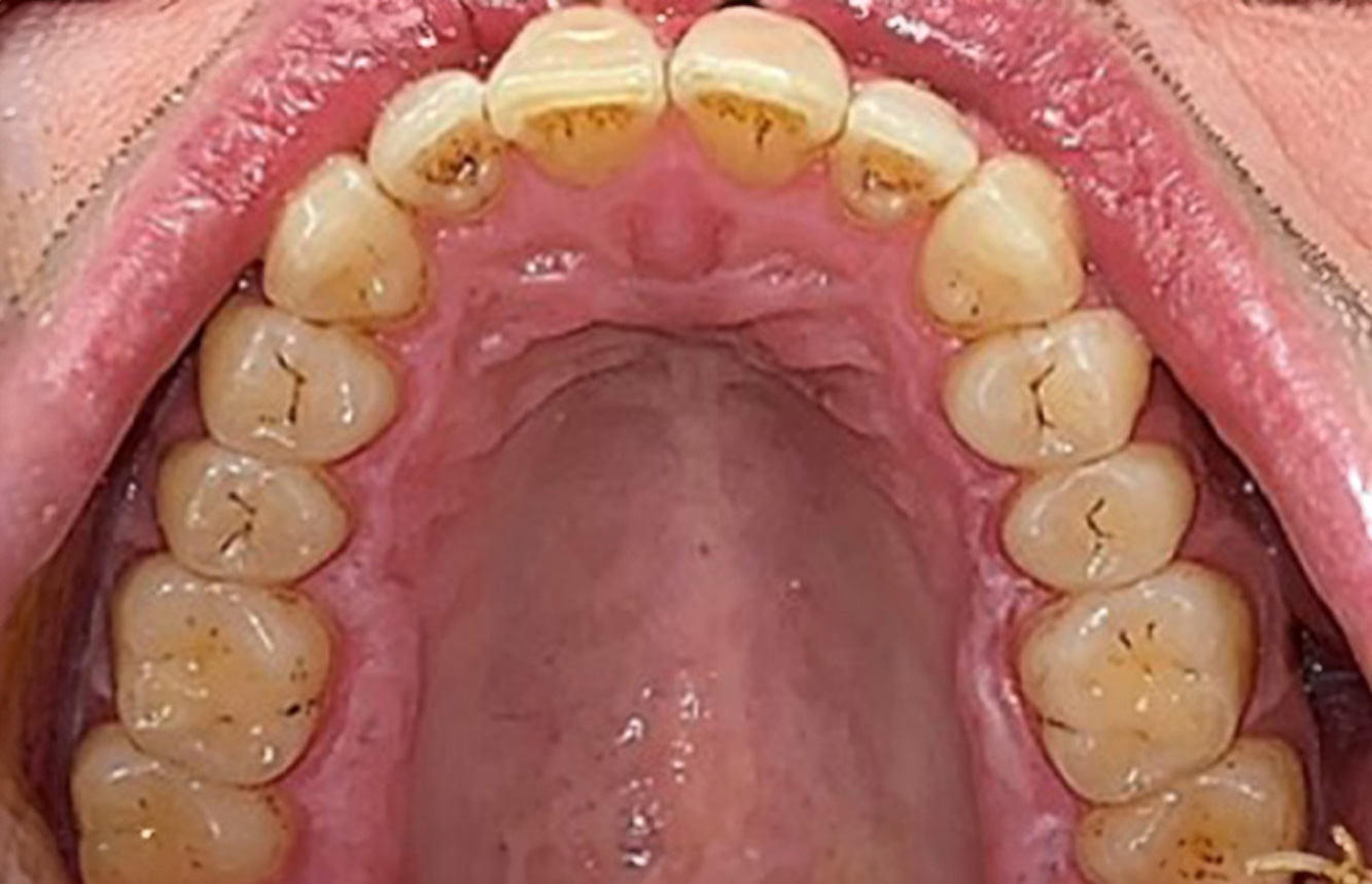
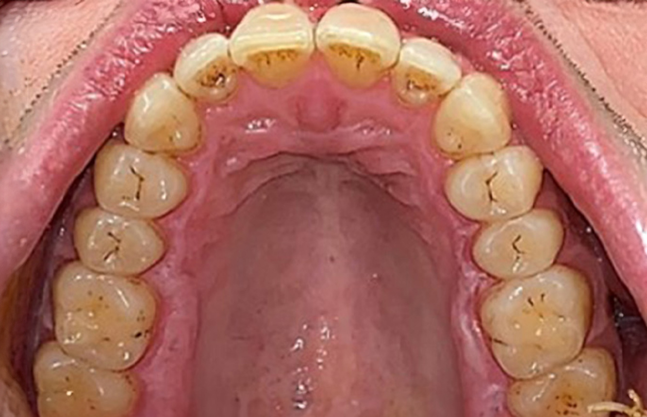
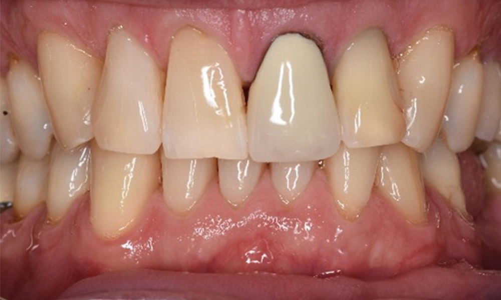
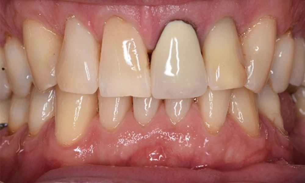
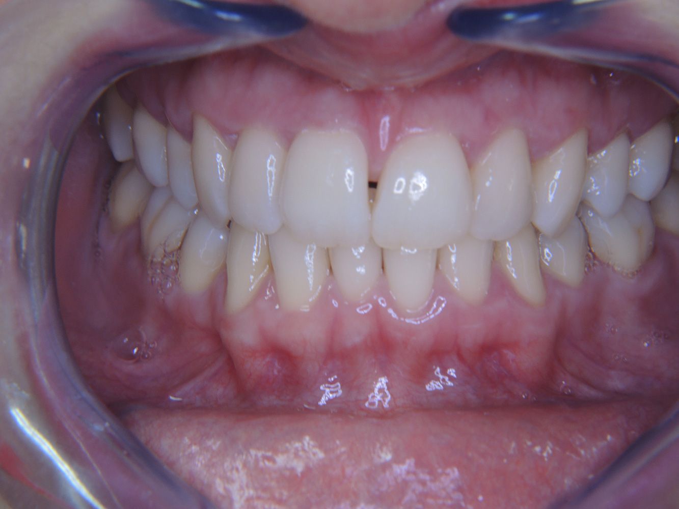
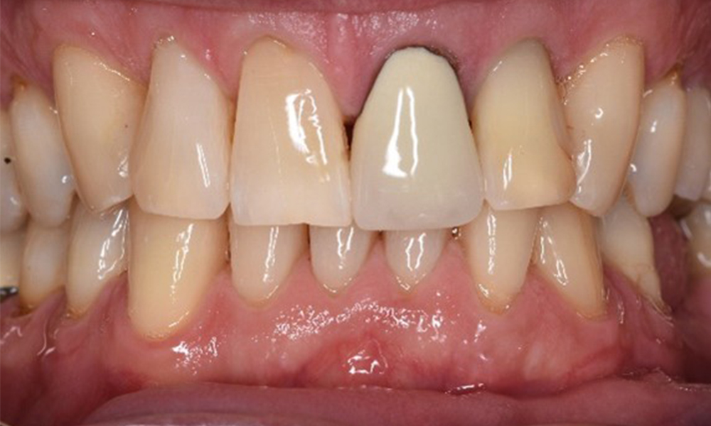
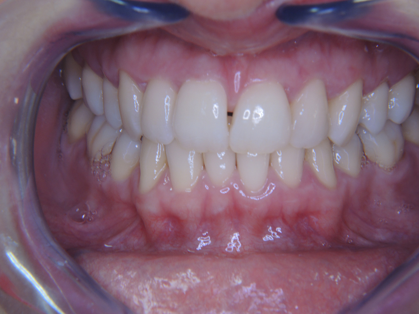
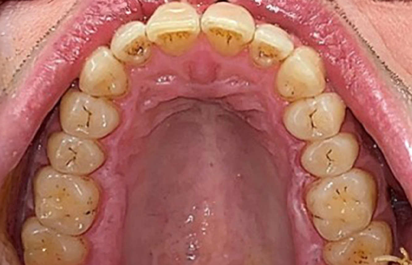
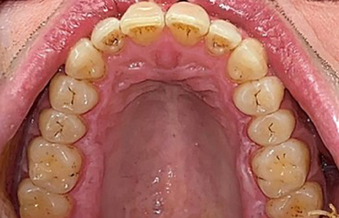
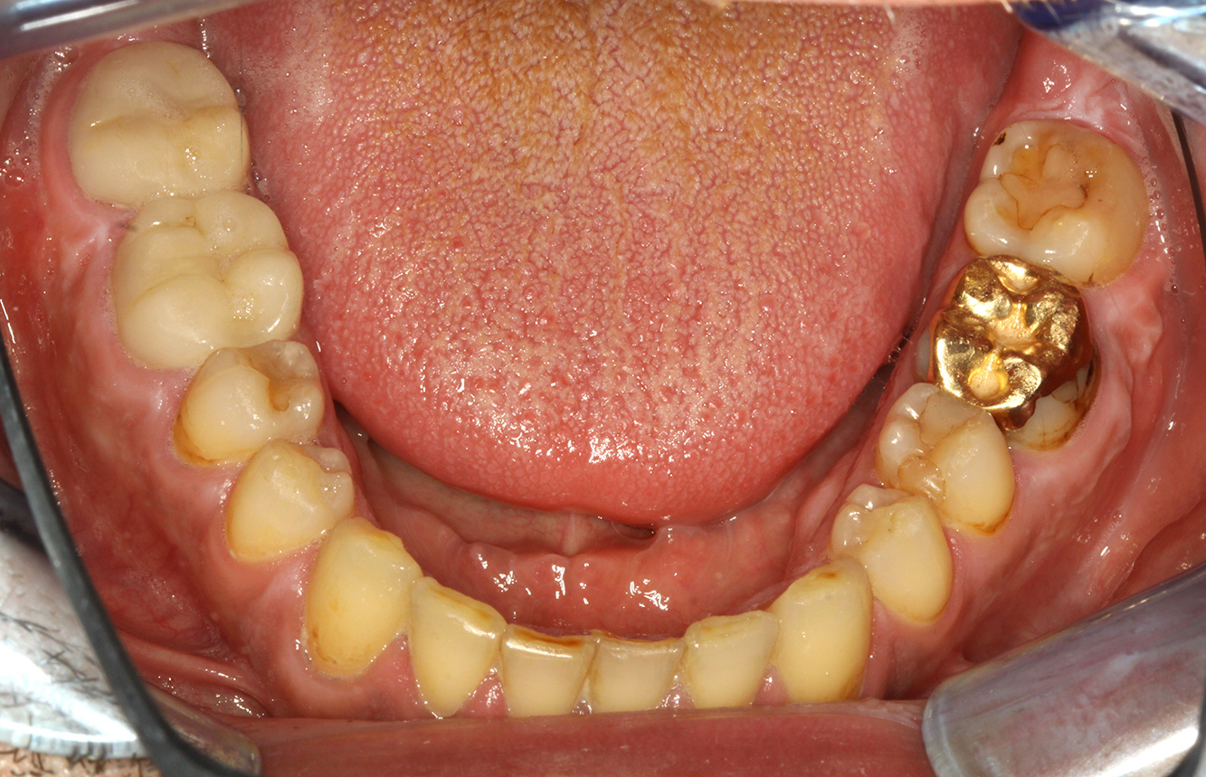
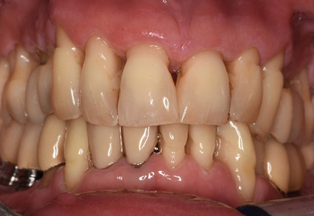
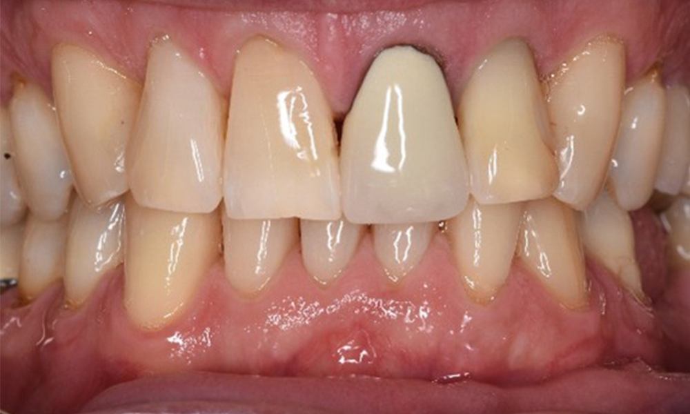
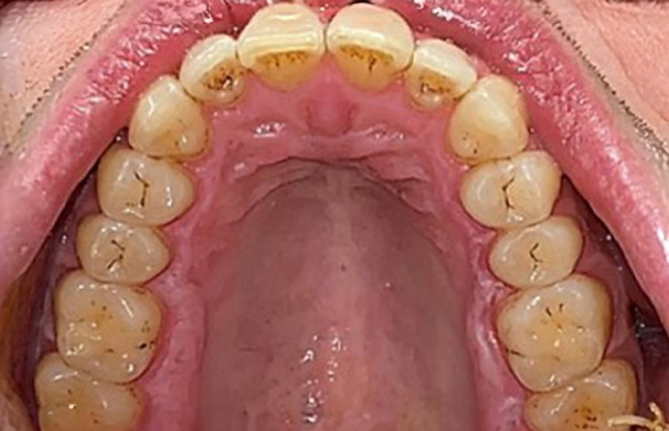
    Pacient diabetic cu o bună sănătate

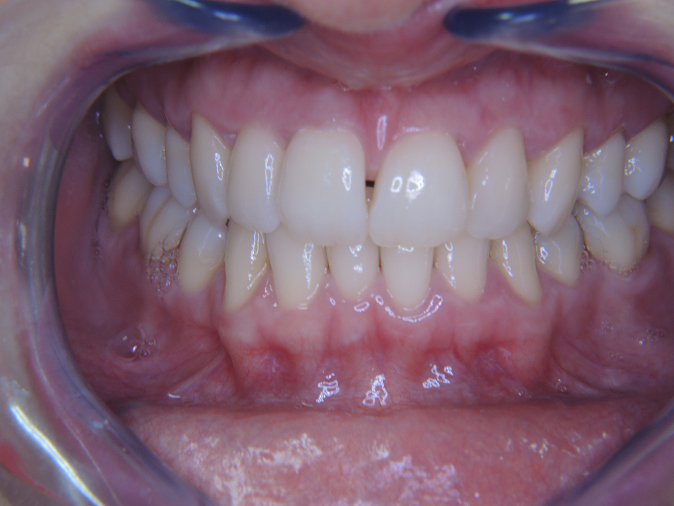
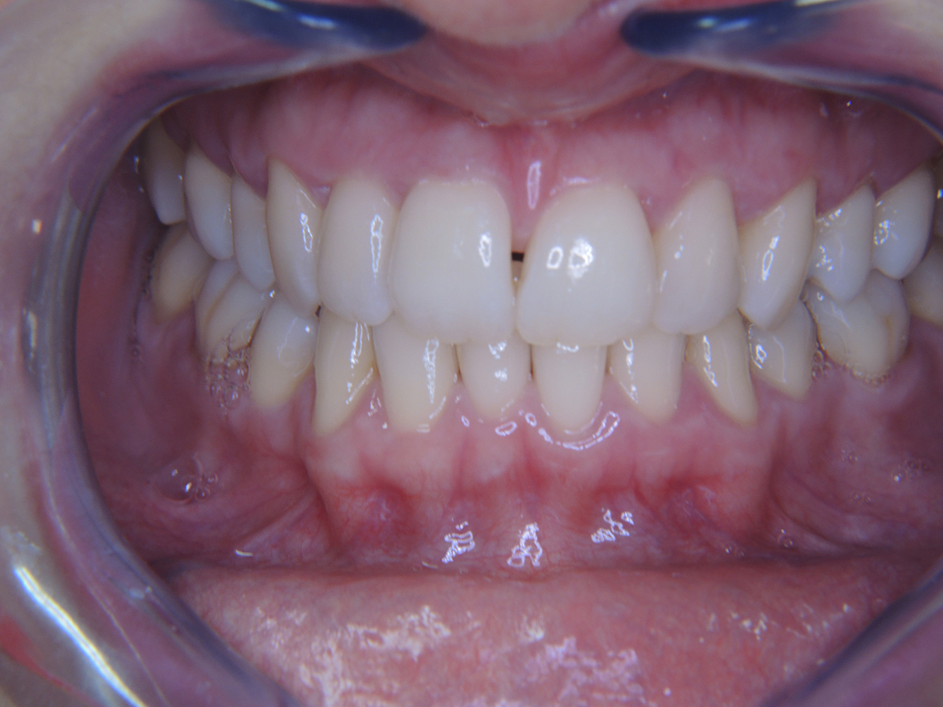
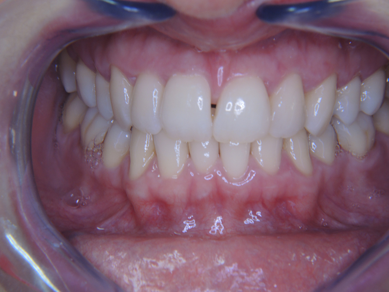
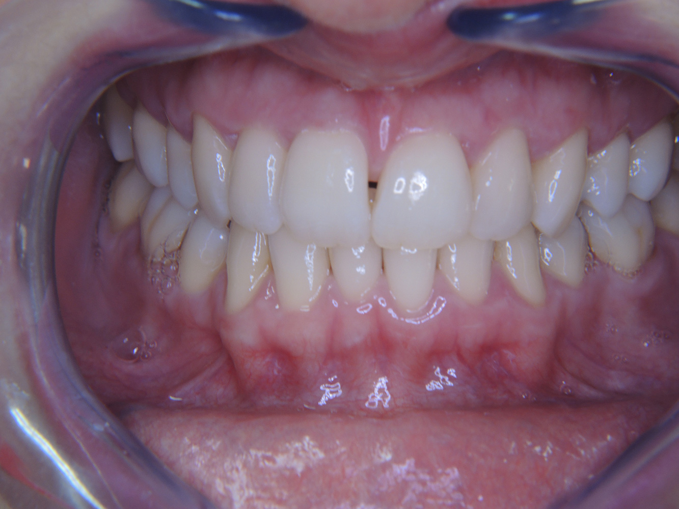
    O pacientă diabetică de 51 de ani, cu o bună sănătate orală, se prezintă pentru o ședință de profilaxie. Glicemia este stabilă la HbA1c = 6.2%, prin urmare, se consideră că starea ei este suficient de bine gestionată cu medicamentul antidiabetic metformin. Pacienta nu prezintă lucrări dentare sau patologie orală. Cu ajutorul rezultatelor dentare, este posibilă determinarea gingivitei în ciuda condițiilor de altfel stabile. mai multe

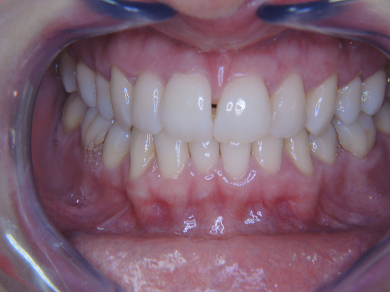
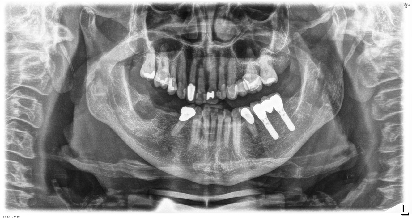
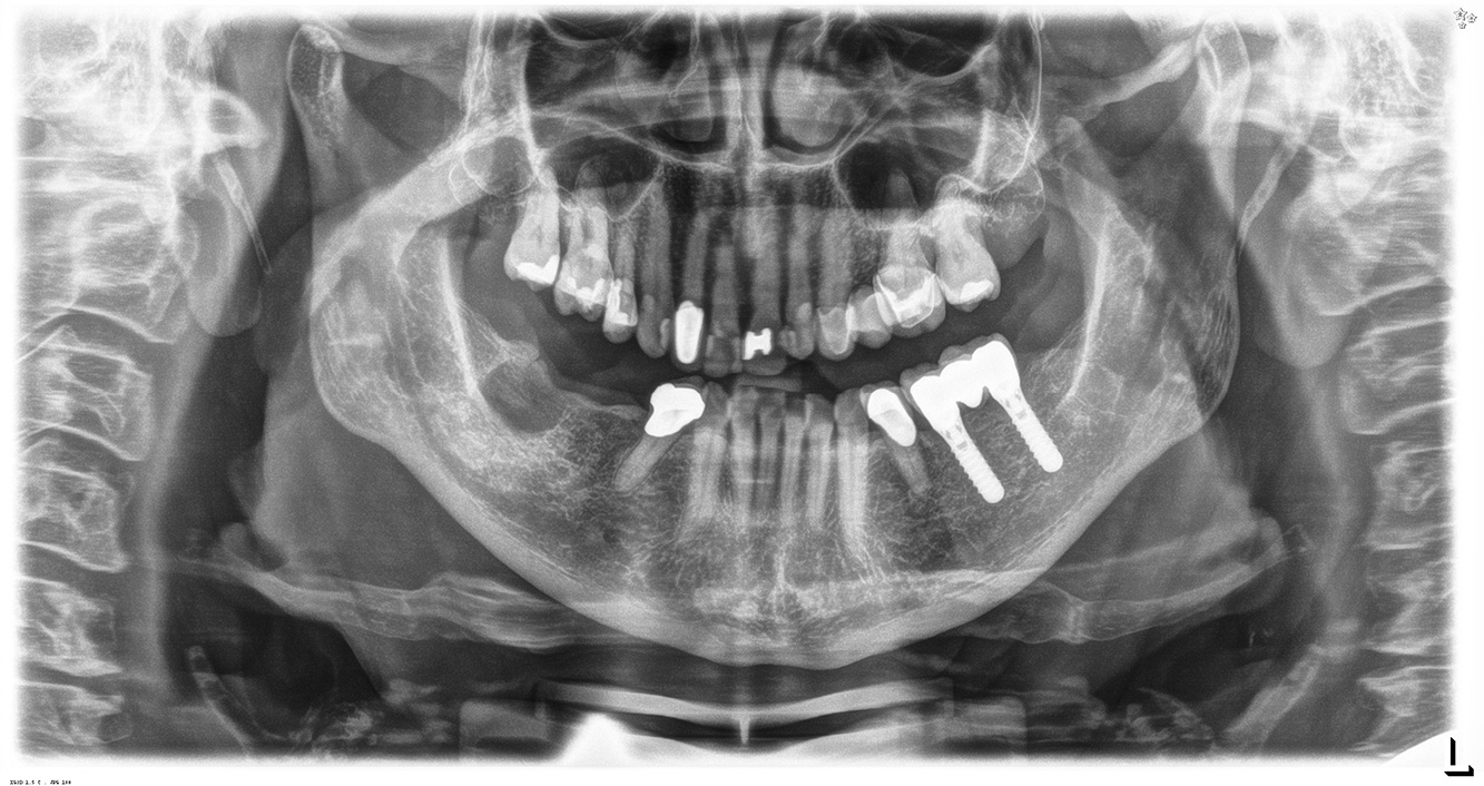
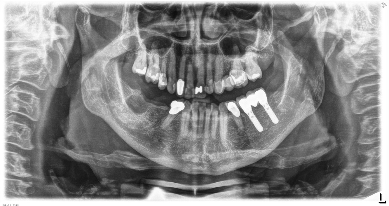
    The (orally) healthy patient with implants

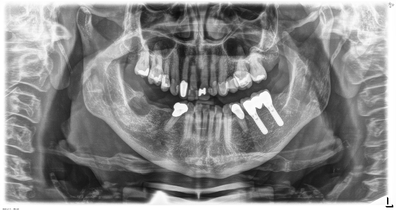
    In the medical history, the 55-year-old patient states that he has no systemic disease and is not taking any medication. The patient’s lifestyle is similarly unremarkable. The patient has a few tooth restorations and two implants (2nd and 4th quadrants). On the basis of current findings, gingivitis is identified in an otherwise stable periodontal condition on the reduced periodontium (stage III, grade A). more

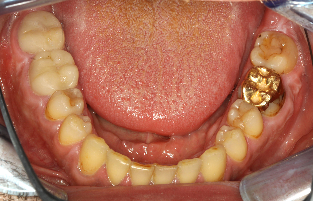
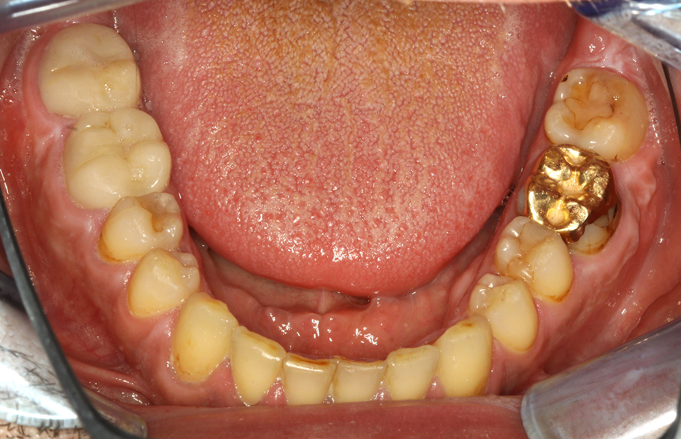
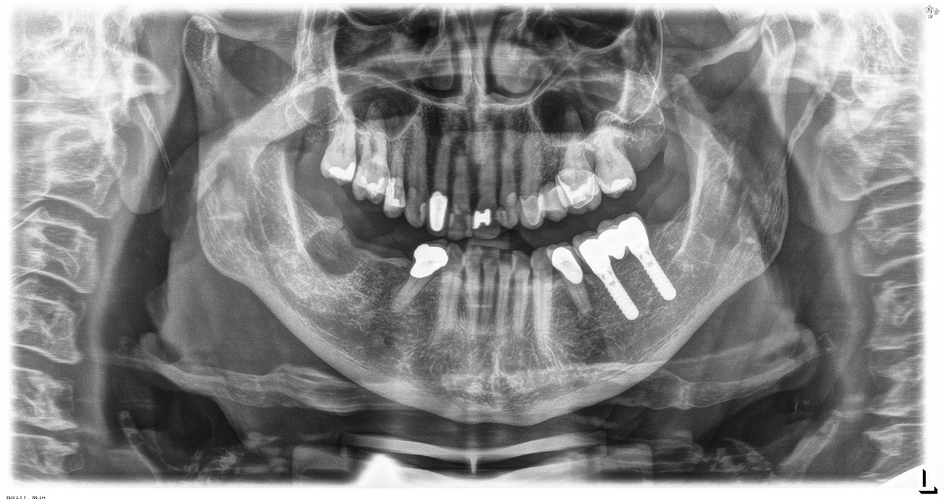
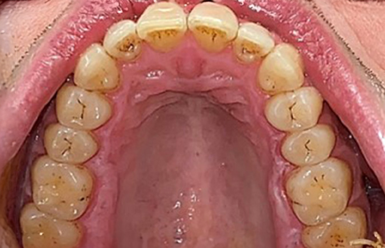
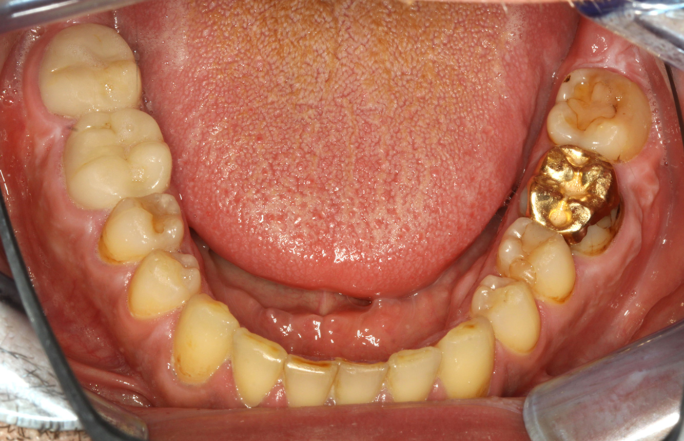
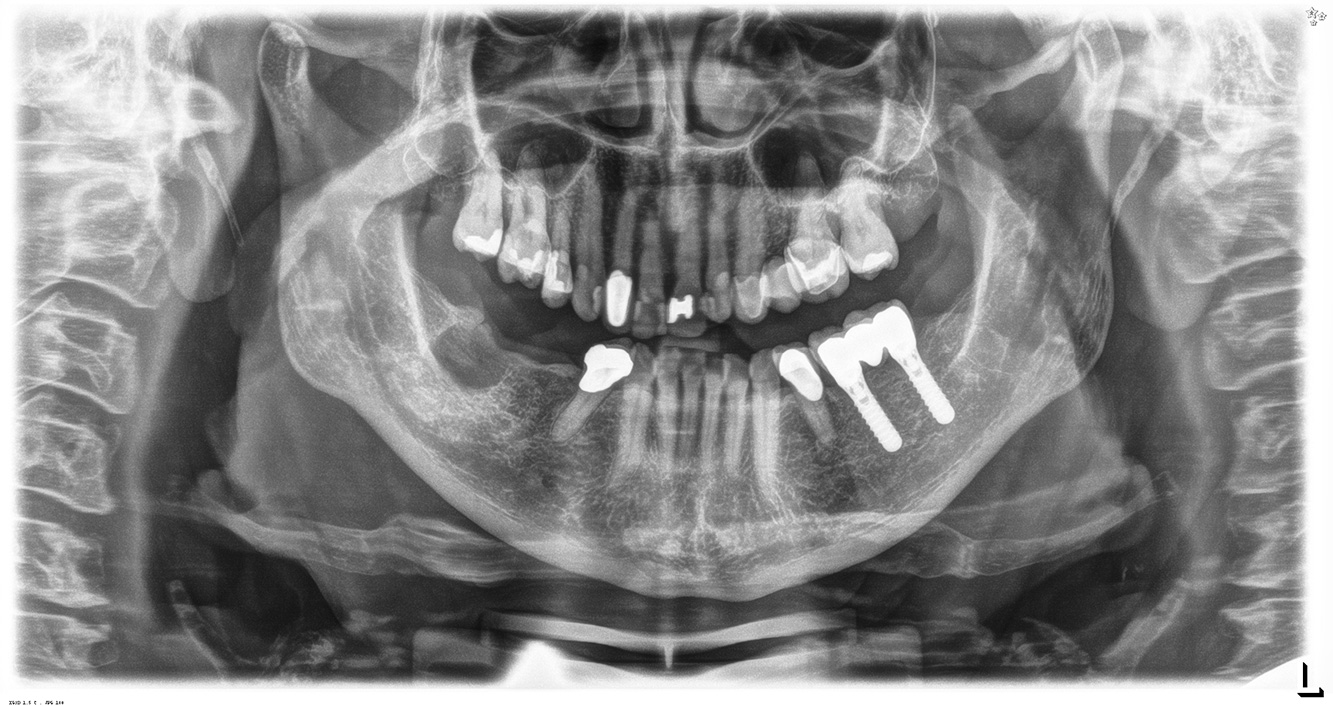
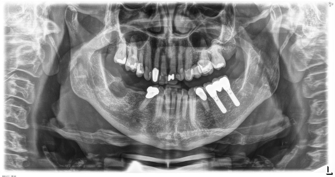
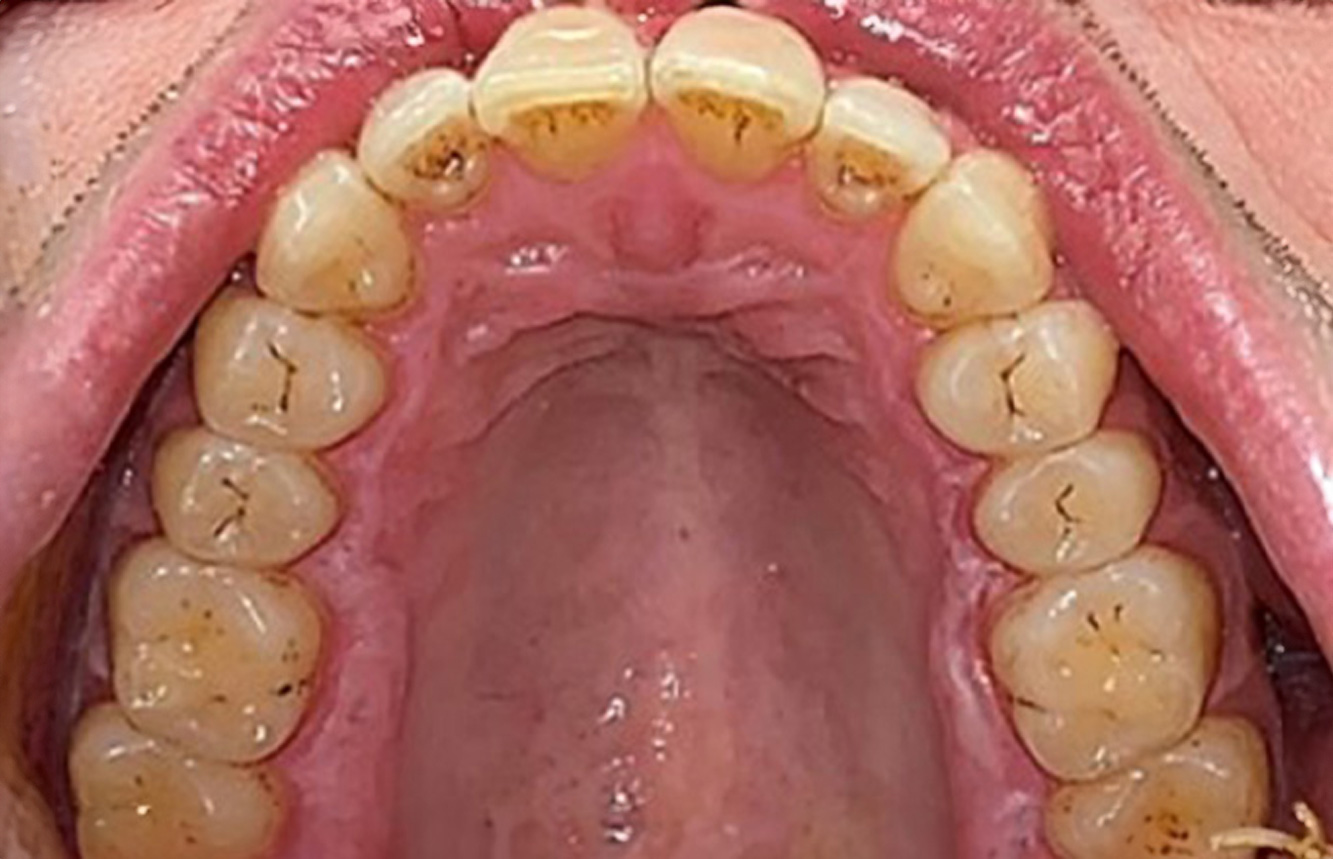
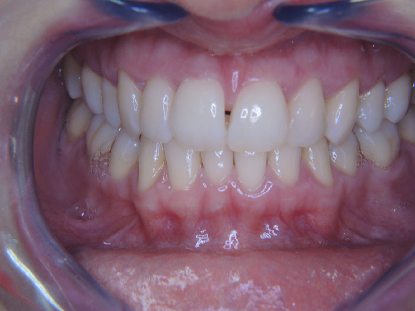
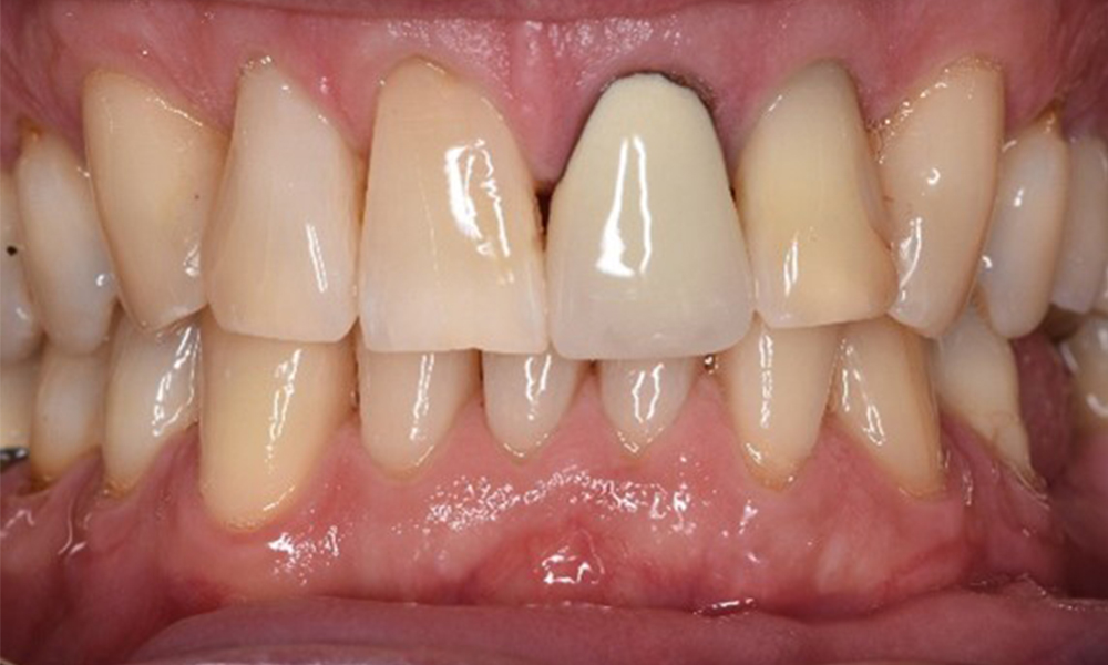
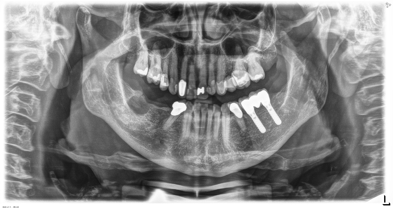
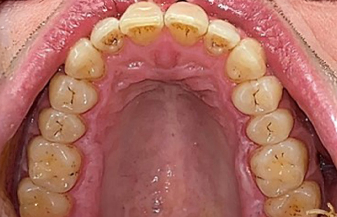
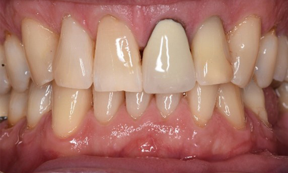
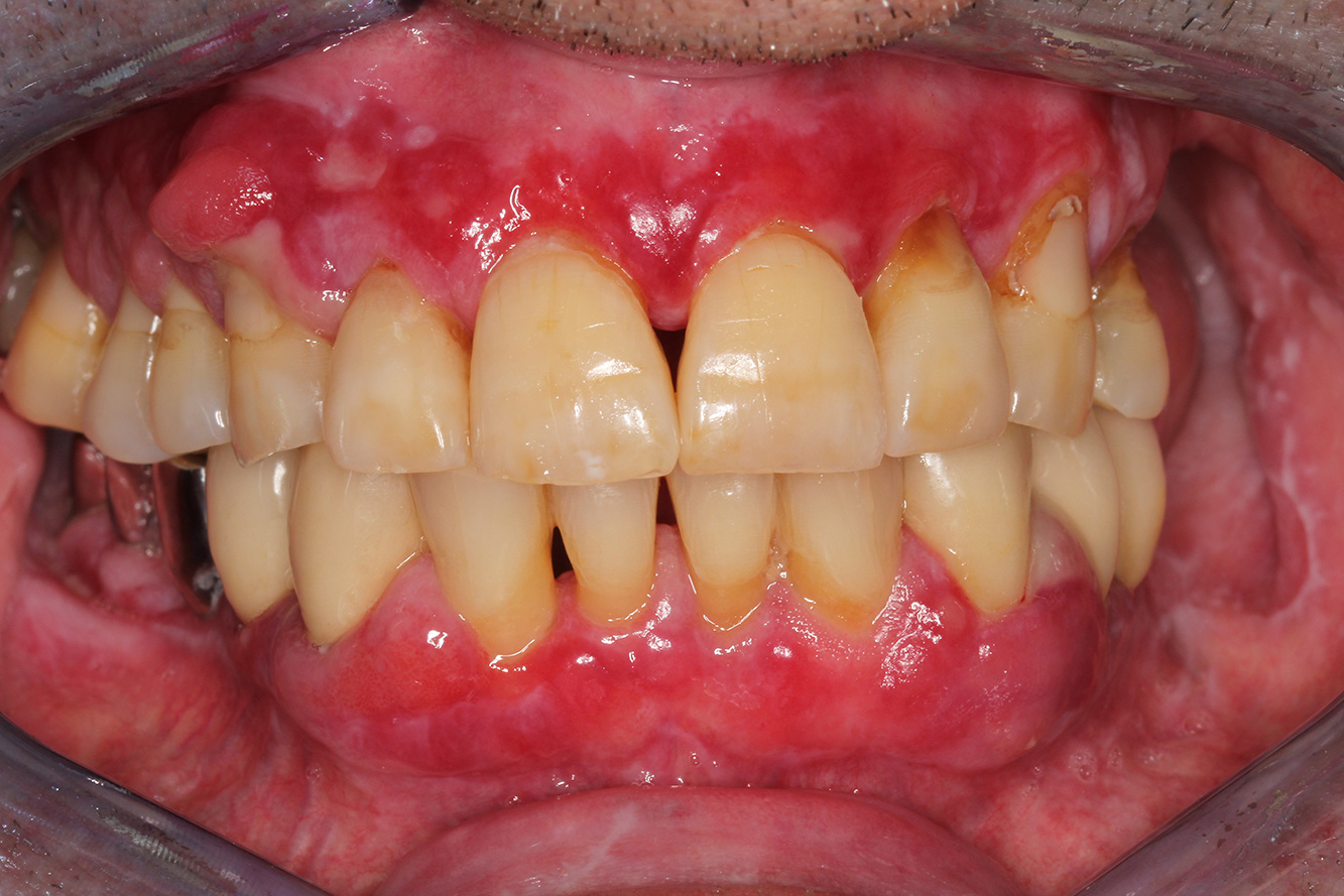
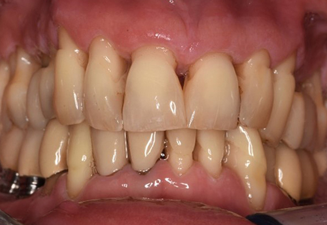
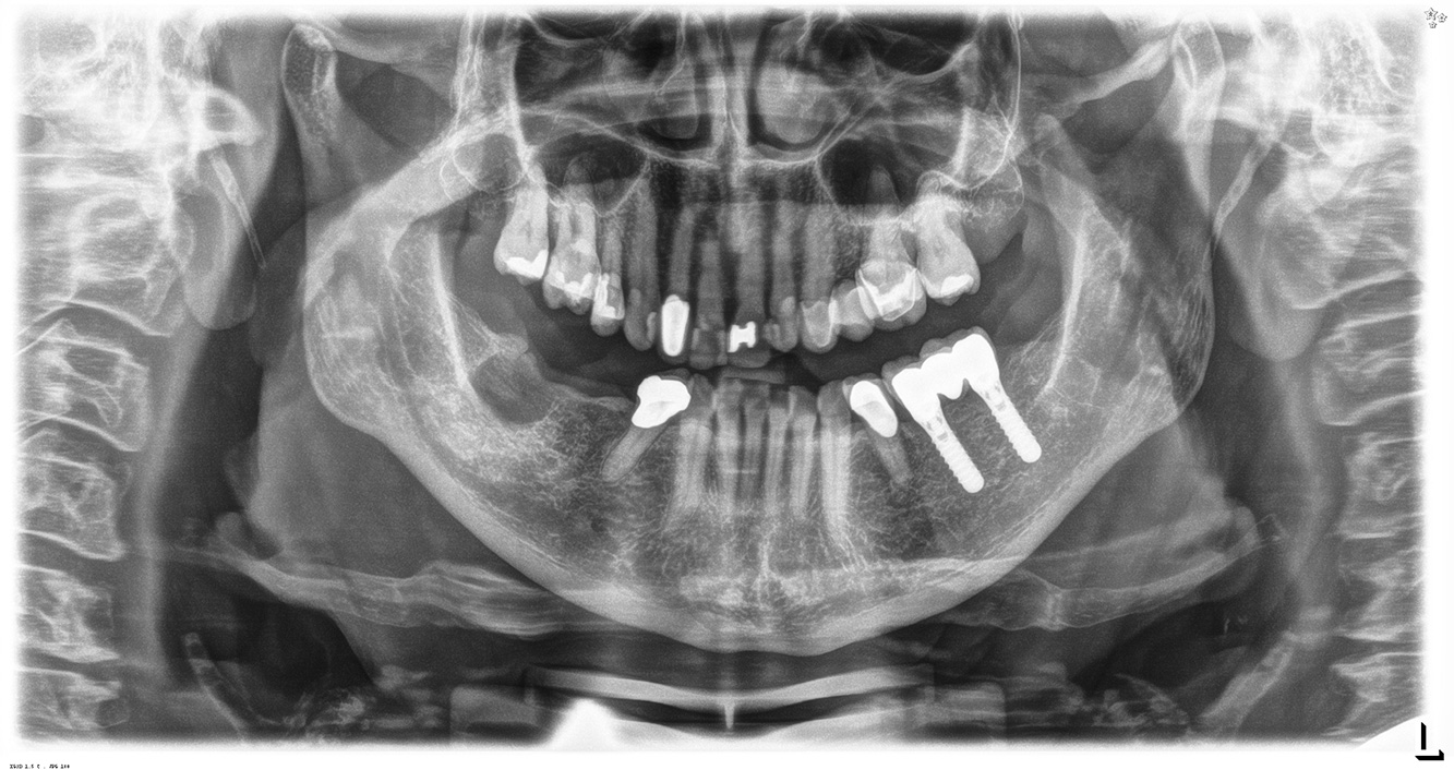
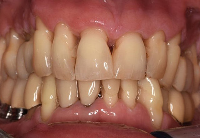
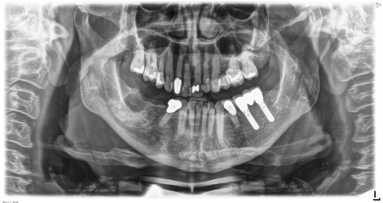
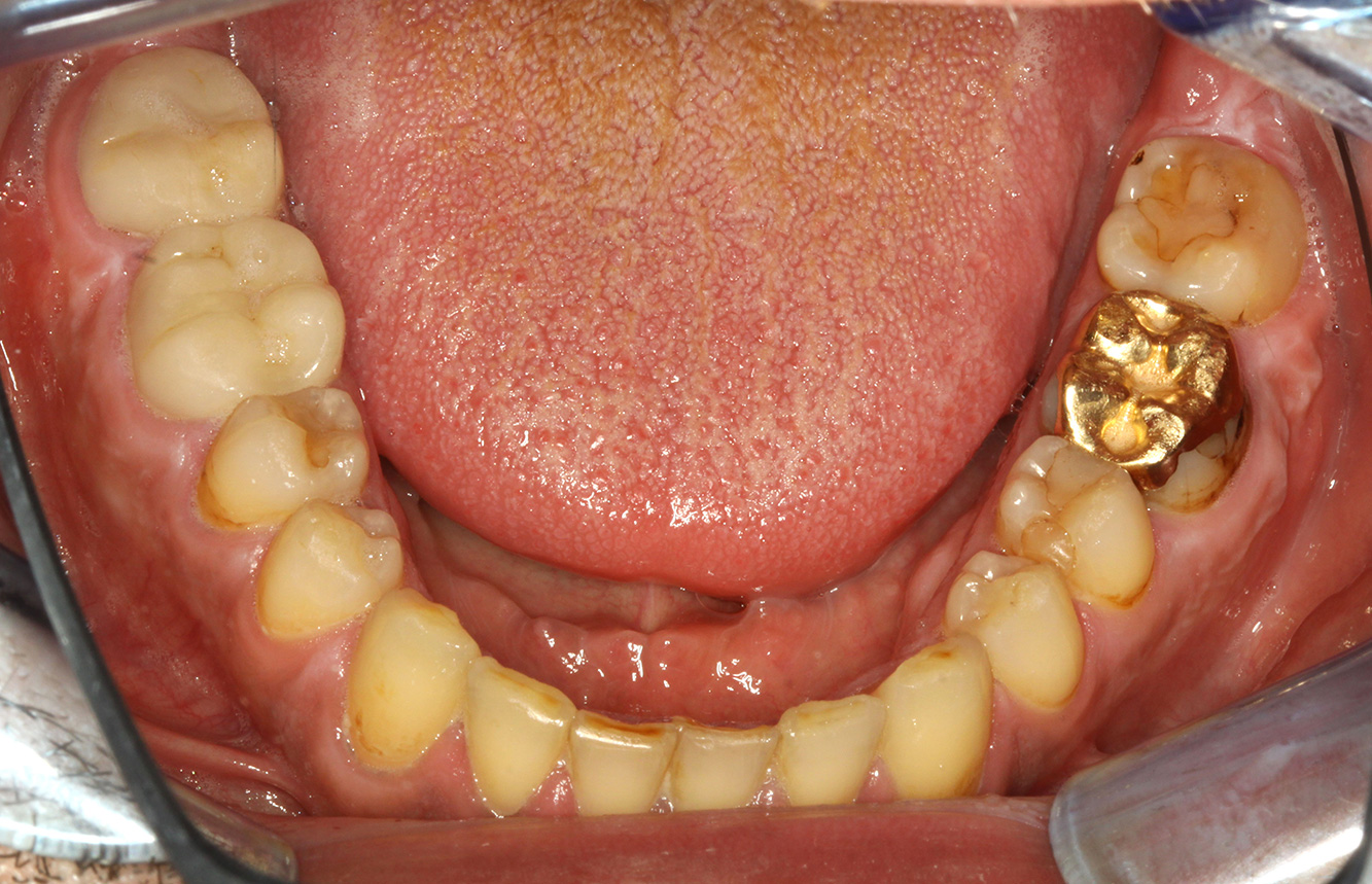
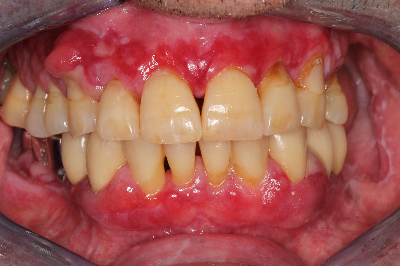
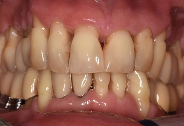
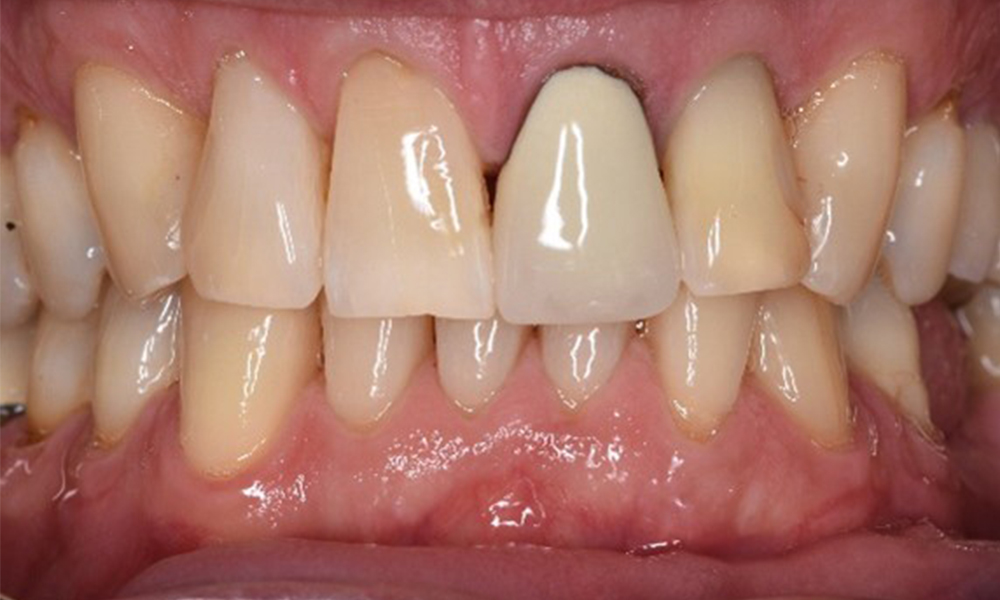
    The healthy patient with pre-existing periodontal disease & peri-implantitis

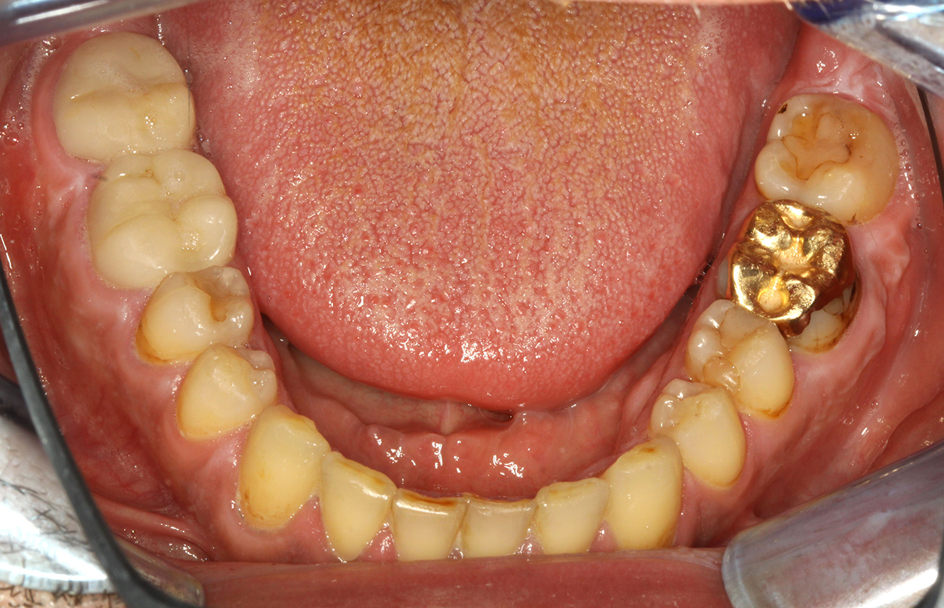
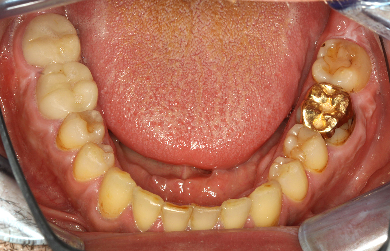
    A 52-year-old patient presents at a preventive care session. The patient has no systemic disease and is not taking any medication. He has had various dental treatments and also has two active carious lesions. In addition, the patient has four implants (2nd, 3rd and 4th quadrants). He is revealed to have early periodontal disease (stage IV, grade B). His periodontal condition is stable; a probing depth of Probing depths (ST) of 5 mm is only evident at the implant in region 36. Gingivitis is also identified. more

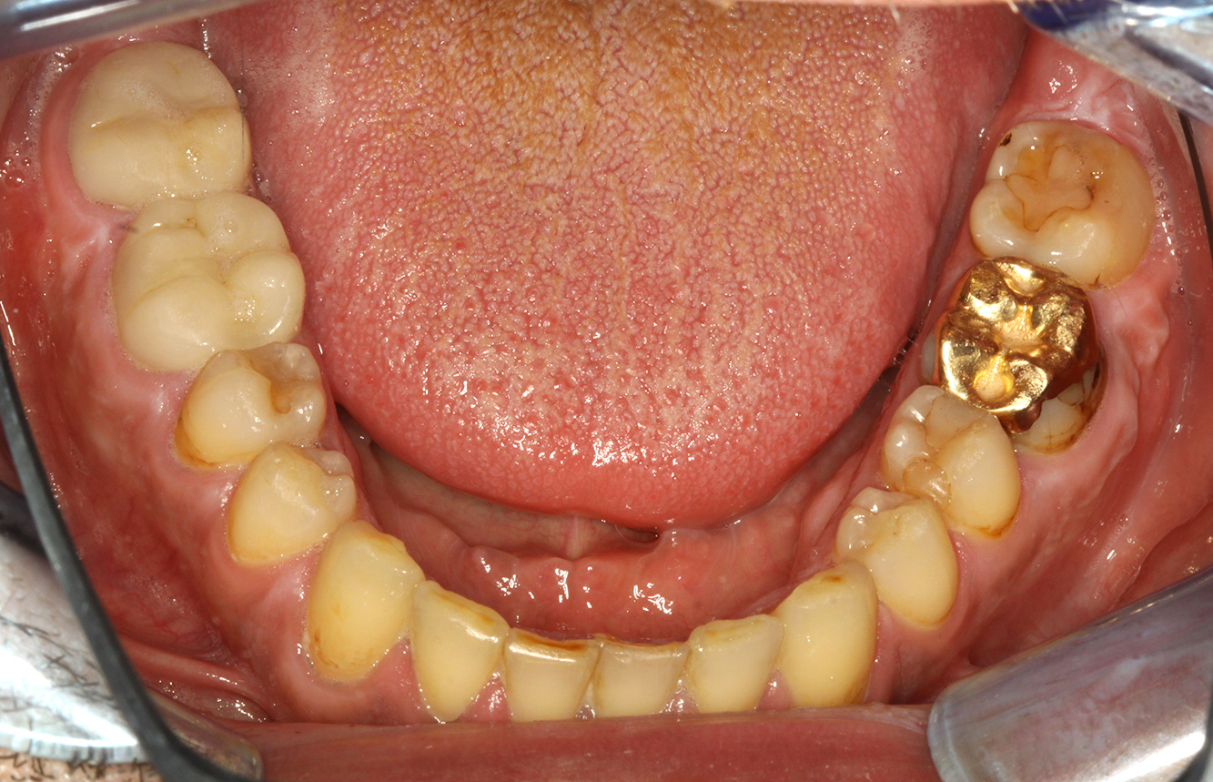
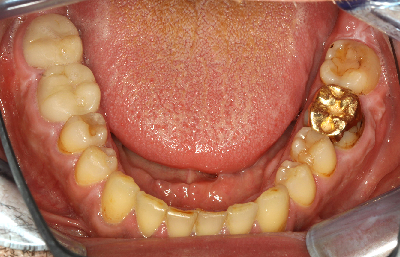
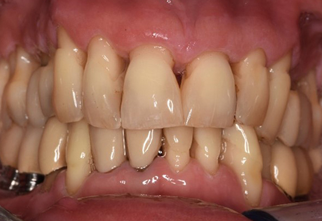
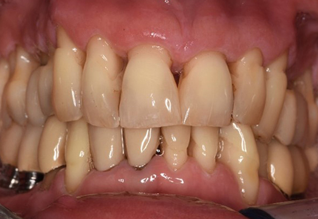
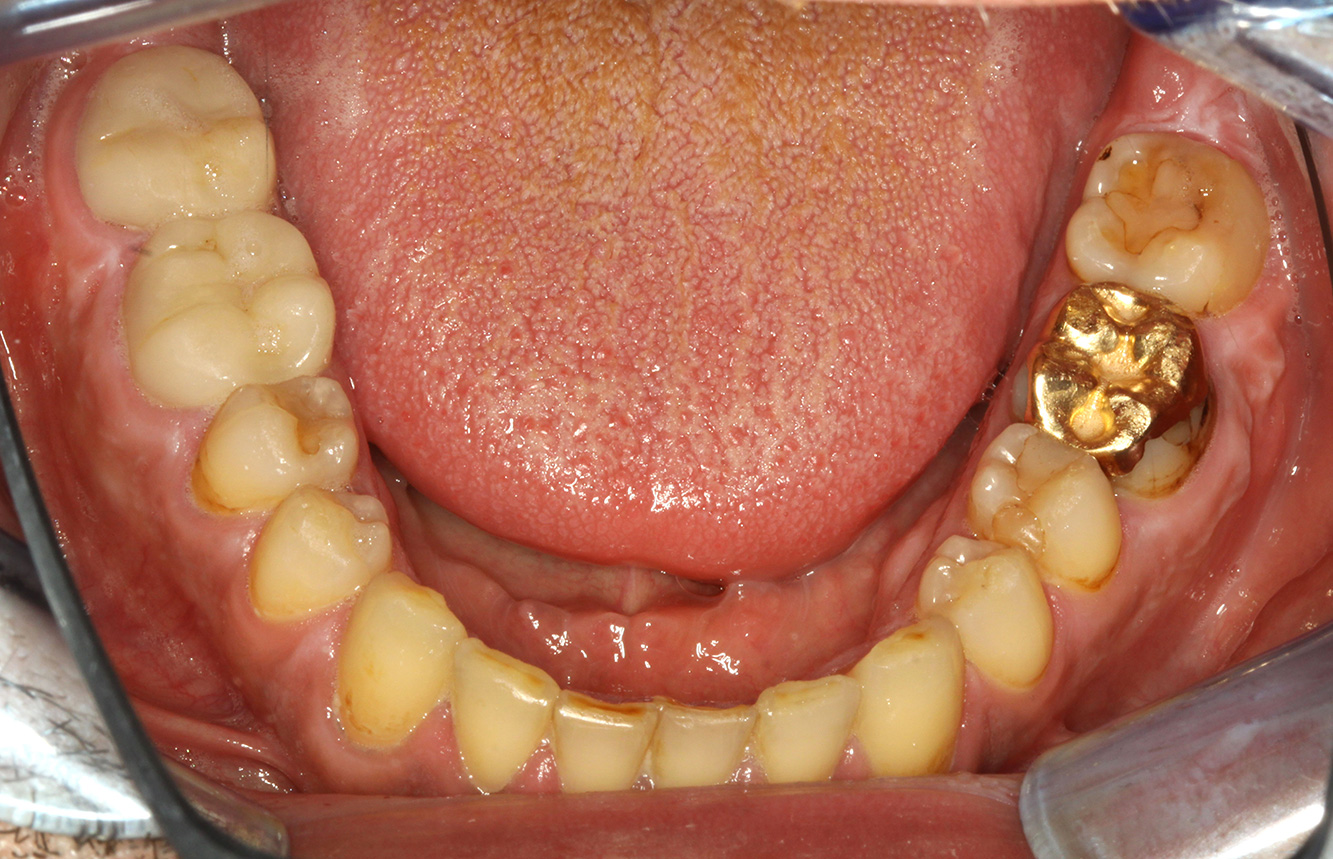
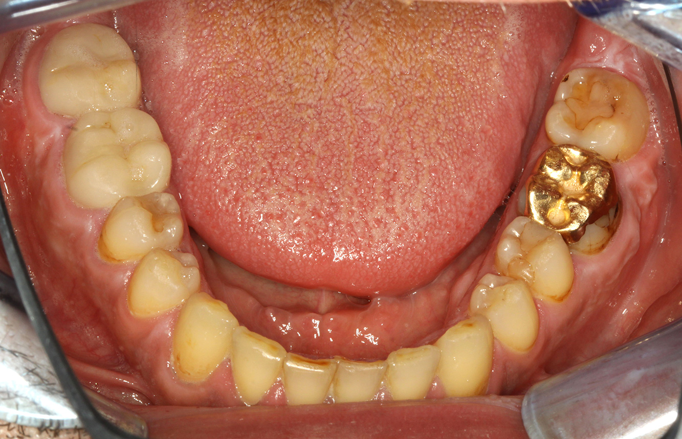
    Pacientul diabetic cu boală parodontală preexistentă

    This case report of a 52-year-old male with type 2 diabetes and periodontitis emphasizes personalized preventive measures and periodontal health maintenance to manage the moderate disease progression risk. mai multe...

    Fumător de 28 de ani cu eroziuni dentare

    28-year-old patient, smoker, with erosions. The bidirectional relationship between oral and general medical health is very well known. It is no longer sufficient – and arguably even old-fashioned – to consider intraoral conditions in isolation. In order to create a personalized, case-specific preventive and patient profile, it is essential to take a detailed medical history and perform diligent examination of the general medical and intraoral health, as well as considering the two in combination. more

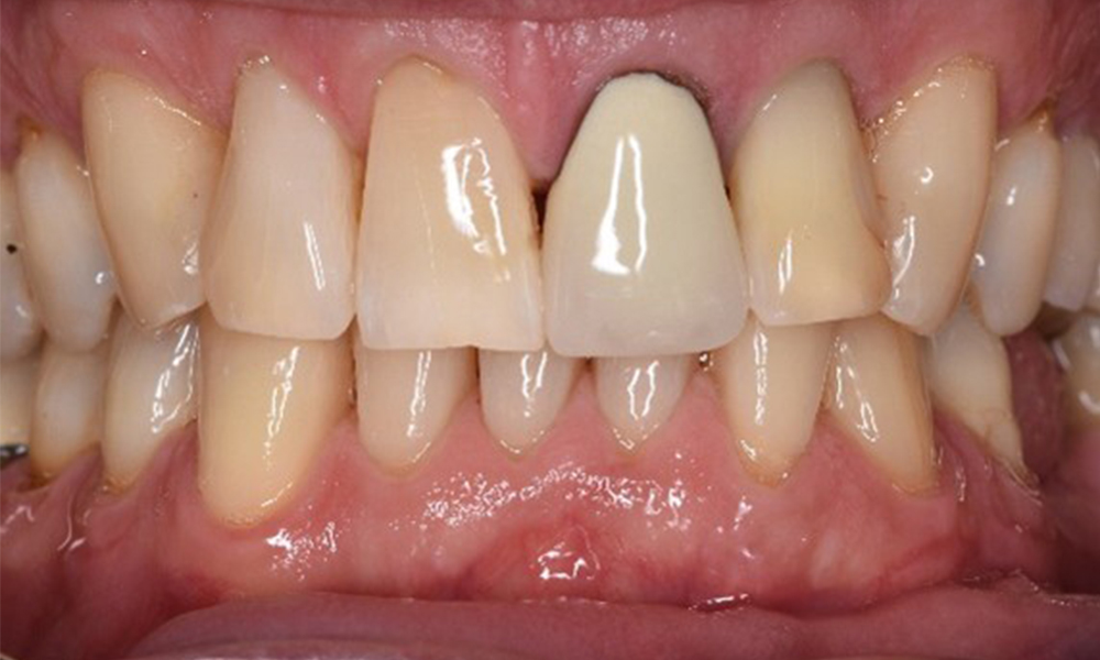
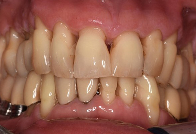
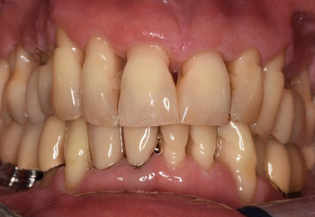
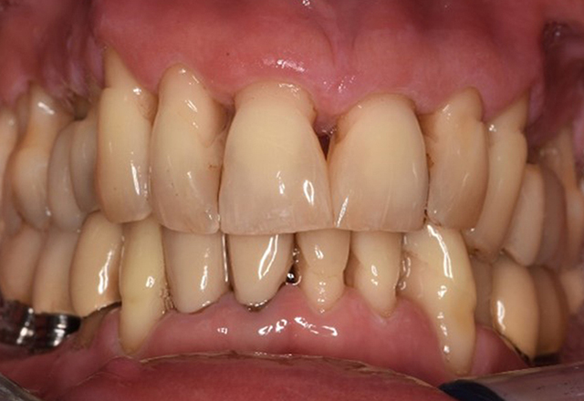
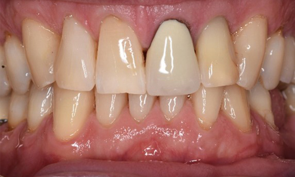
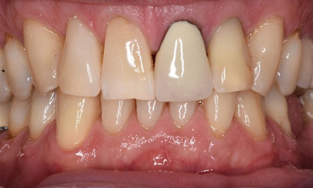
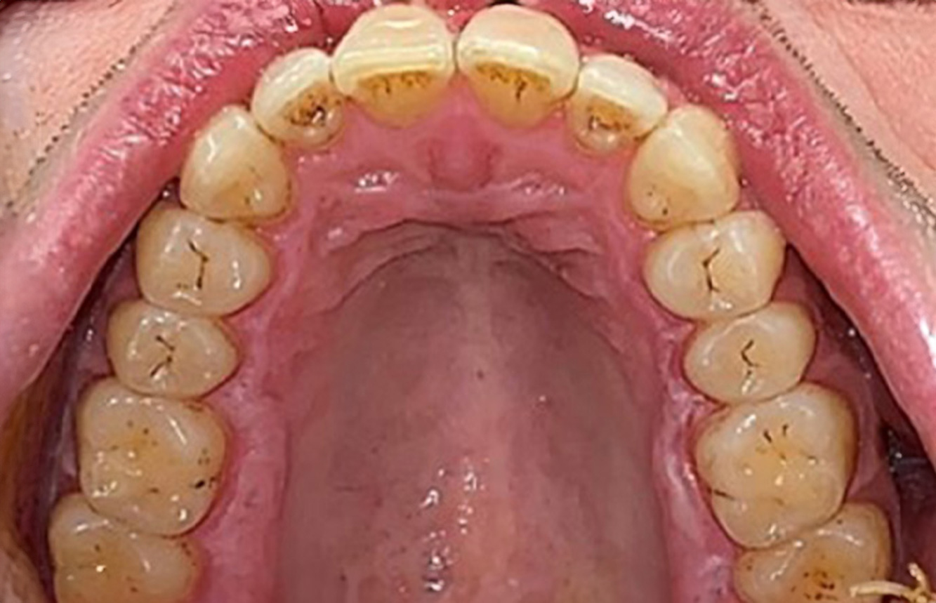
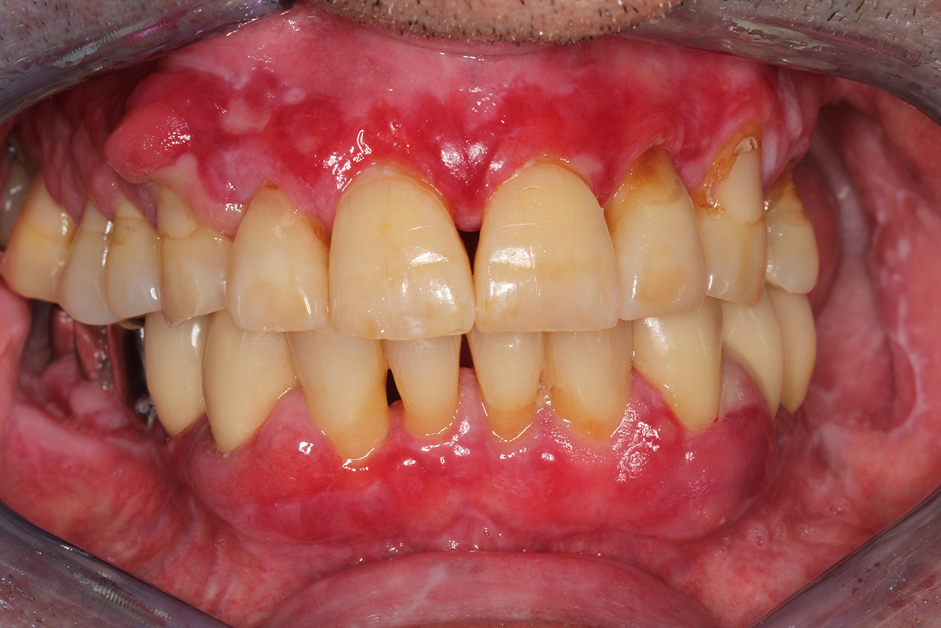
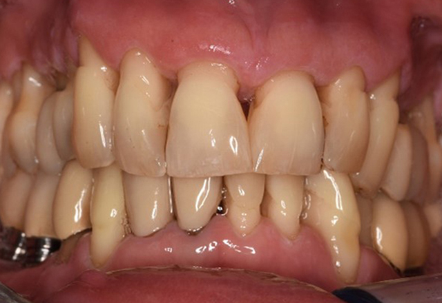
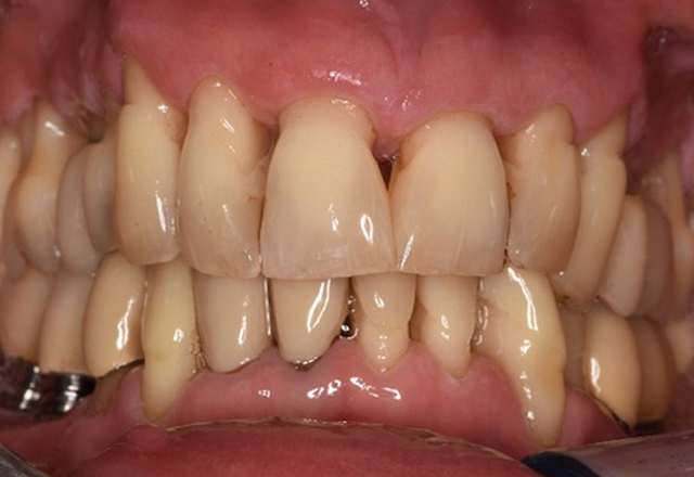
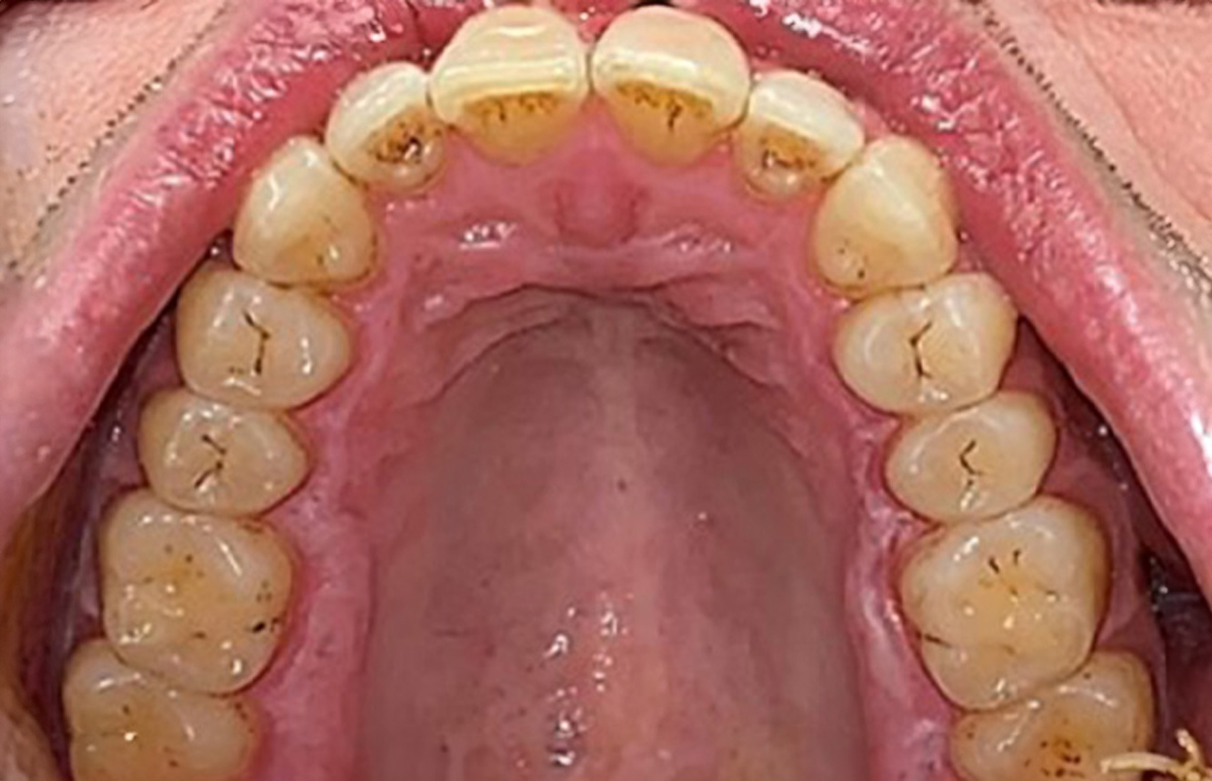
    Pacient cu endocardită cu leziuni carioase active

    Pacientul are 39 de ani și a suferit anterior o înlocuire a valvei aortice din cauza unei insuficiențe de valvă și a unei endocardite. ASS 100 este administrat în mod regulat ca anticoagulant. În ceea ce privește stilul de viață, dieta pacientului este clasificată ca fiind favorizantă pentru carii, datorită consumului regulat de alimente zaharoase și a faptului că se consumă șase până la șapte mese pe zi. Sănătatea orală a pacientului indică un risc moderat de carii, cu leziuni active. Riscul de parodontoză este scăzut, dar gingivita este prezentă. Se fac următoarele recomandări pentru tratamentul profilactic. mai multe

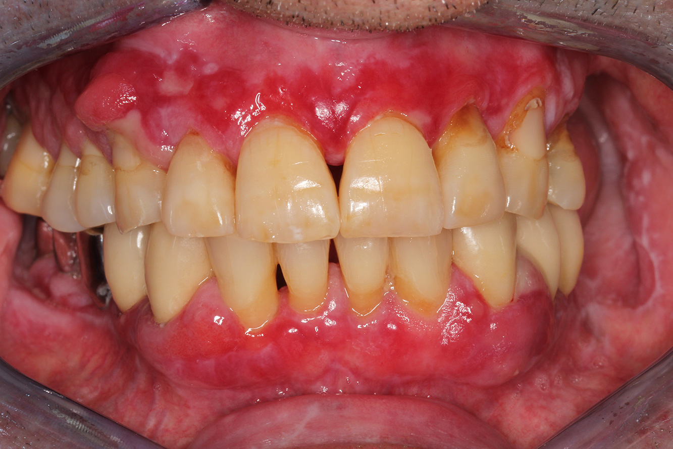
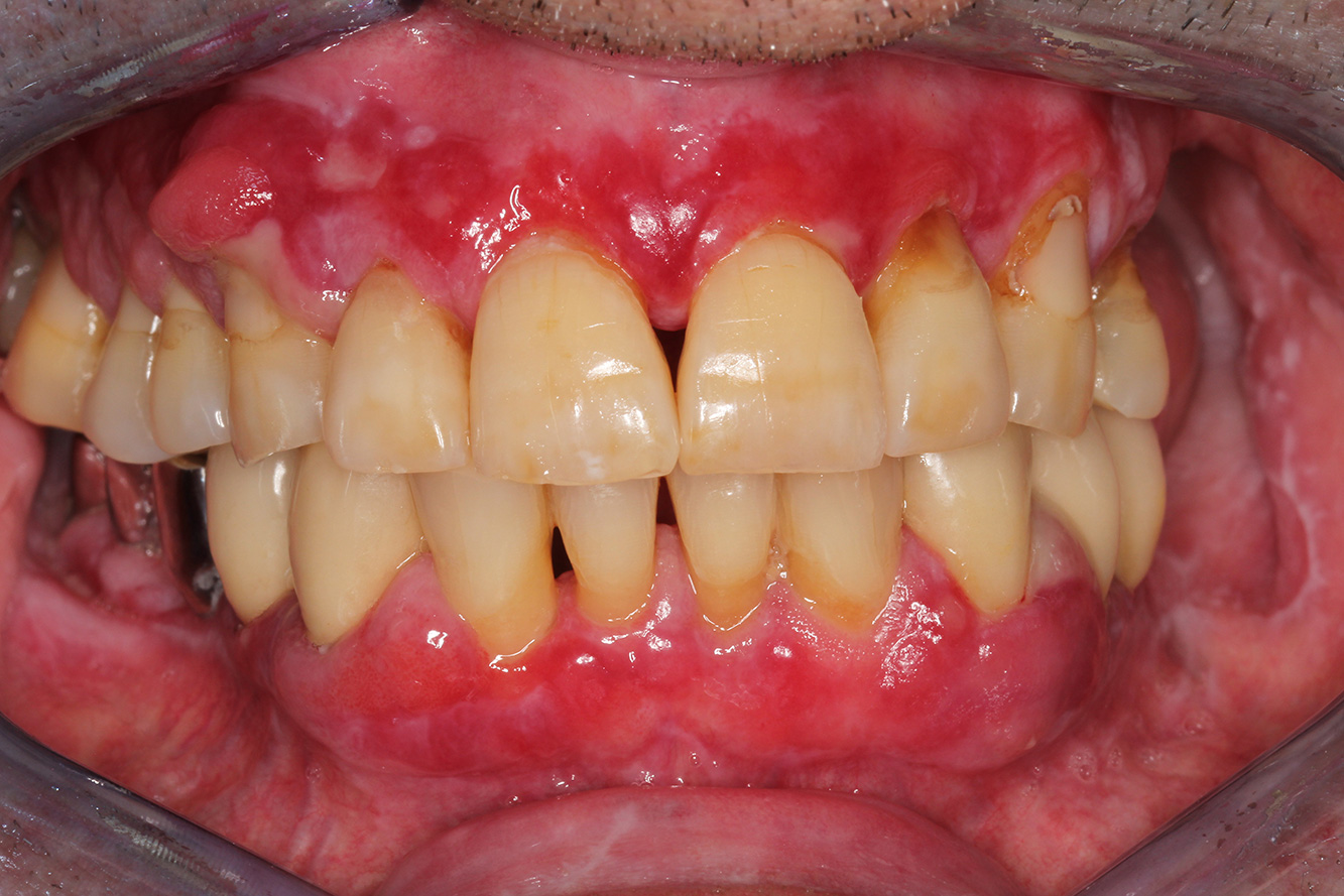
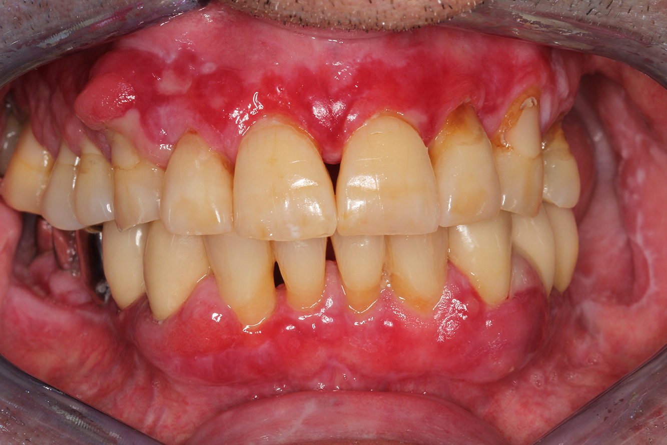
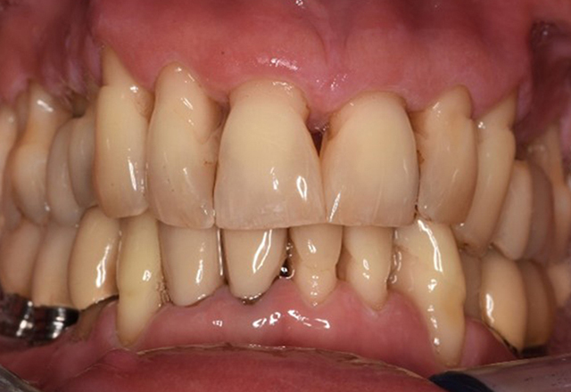
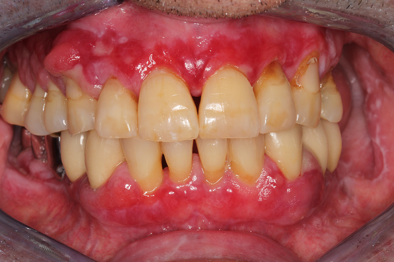
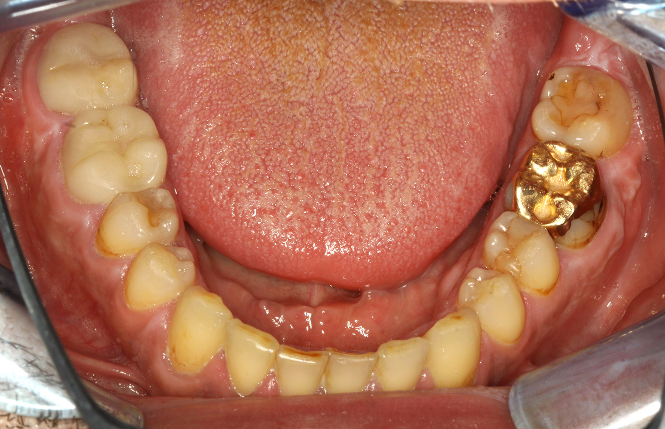
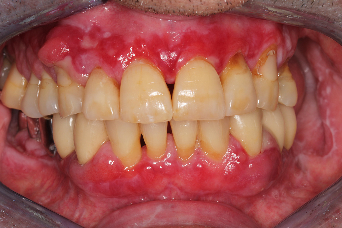
    Pacient transplantat cu proliferări gingivale

    Un pacient în vârstă de 71 de ani, cu transplant de rinichi și istoric de hipertonie (hipertensiune arterială) se prezintă în cabinet. Din cauza istoricului său medical, este necesară o medicație pe termen lung cu ciclosporină, pentru a suprima sistemul imunitar, precum și amlodipină pentru a reduce tensiunea arterială. Pacientul raportează, de asemenea, gingii sensibile și sângerânde. Din punct de vedere al sănătății orale, pacientul are lucrări dentare, o edentație de opt dinți, creștere gingivală pronunțată și parodontoză de gradul B, stadiul II, cu pungi active și carii radiculare inițiale la dintele 22. Evaluarea riscului de carie determină un risc moderat de carie (API 60). Se pot stabili următoarele recomandări de tratament pentru ședința de profilaxie. mai multe

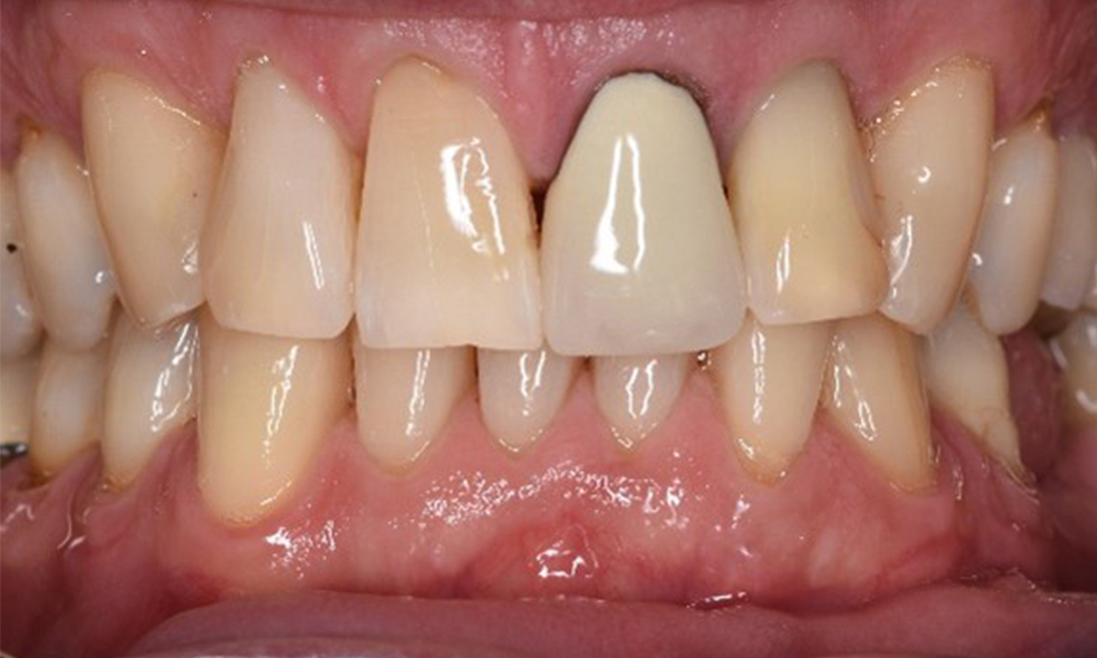
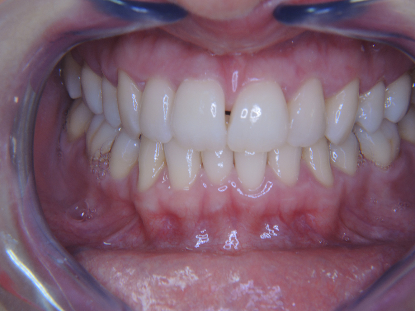
    Pacient sănătos cu boală parodontală incipientă

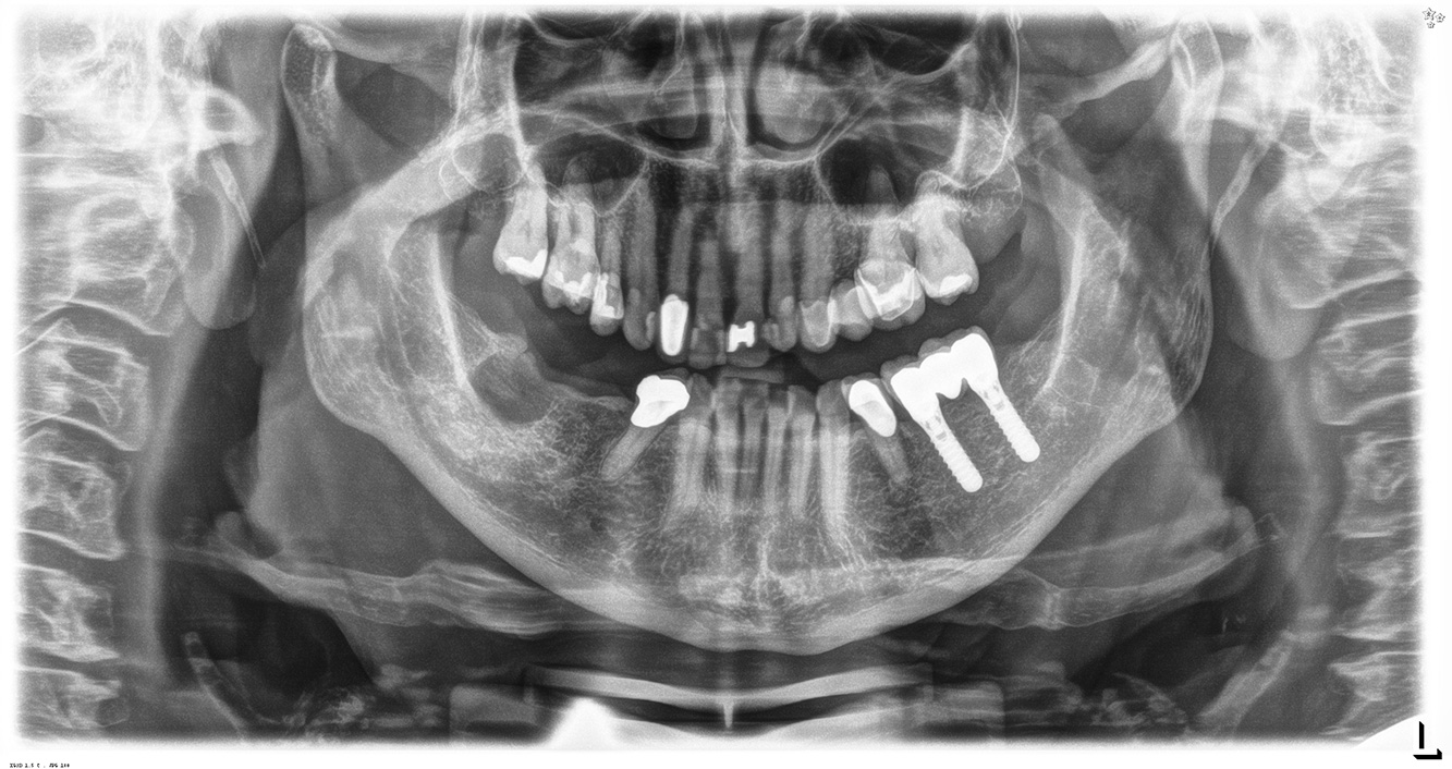
    Pacientul în vârstă de 68 de ani nu are nicio afecțiune generală și nu ia niciun medicament care ar putea fi relevant pentru sănătatea sa orală, iar stilul său de viață nu prezintă niciun risc special. Pacientul are două implanturi dentare (cadranul 3, de cinci ani) și un caz anterior de boală parodontală (stadiul IV, gradul B) cu pierderea dinților. În prezent, condițiile parodontale sunt stabile. Cu toate acestea, parodontoza crește semnificativ complicațiile biologice ale implanturilor și există riscul de pierdere a implanturilor (21). Se pot determina patru recomandări pentru ședința de profilaxie. mai multe

    NIWOP – No Implantology without Periodontology

    * cu permisiunea generoasă a Dr G. Schmalz și Dr D. Ziebolz MSc