Pacientul diabetic cu boală parodontală preexistentă
Introducere
Relația strânsă între starea de sănătate generală și starea de sănătate dentară este recunoscută și înțeleasă la toate nivelurile (1,2). Evaluarea afecțiunilor intraorale, abordate separat, nu mai poate fi considerată adecvată. Anamneza medicală generală și intraorală precisă, examinarea diagnosticelor, precum și evaluarea acestora - în conjuncție - sunt esențiale pentru conservarea sănătății dentare și a calității vieții pacientului - oferind, astfel, și medicilor un sentiment de siguranță în planificarea terapeutică. Acesta este motivul pentru care este necesară crearea - pentru fiecare pacient - a unui profil general și de prevenție individualizat, care să includă toate riscurile medicale generale și intraorale asociate (3, 4). (Fig. 1)

Acest studiu de caz evidențiază importanța abordării conceptului de prevenție sistematică și individuală, pentru crearea profilului specific pacientului și implementarea măsurilor de tratament rezultate.





Anamneza clinică generală
Acest studiu de caz se referă la un bărbat în vârstă de 52 de ani, cu diabet zaharat de tip 2, controlat cu succes. Valoarea HbA1c este de 6,7. În ceea ce privește medicația, pacientul ia zilnic metformin. Pacientul este nefumător. Acesta menține o rutină de igienizare a dinților de două ori pe zi cu periuța de dinți manuală, iar o dată pe zi, folosește periuța interdentară.
De asemenea, pacientul se prezintă regulat în cabinet pentru control, la interval de tratament de 3-4 luni.
Observații la nivel intra- și extraoral
Nu se constată prezența niciunei patologii intraorale și extraorale.
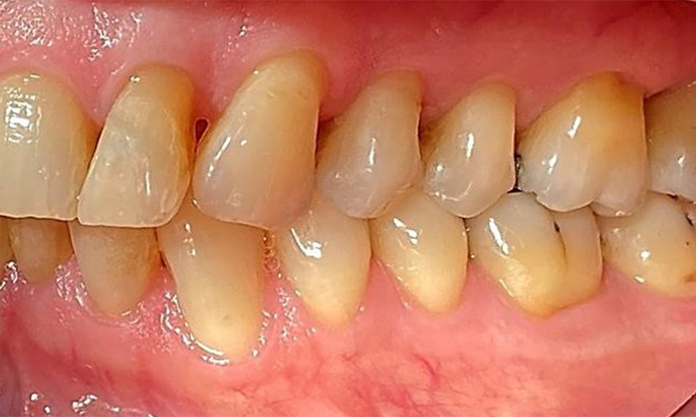
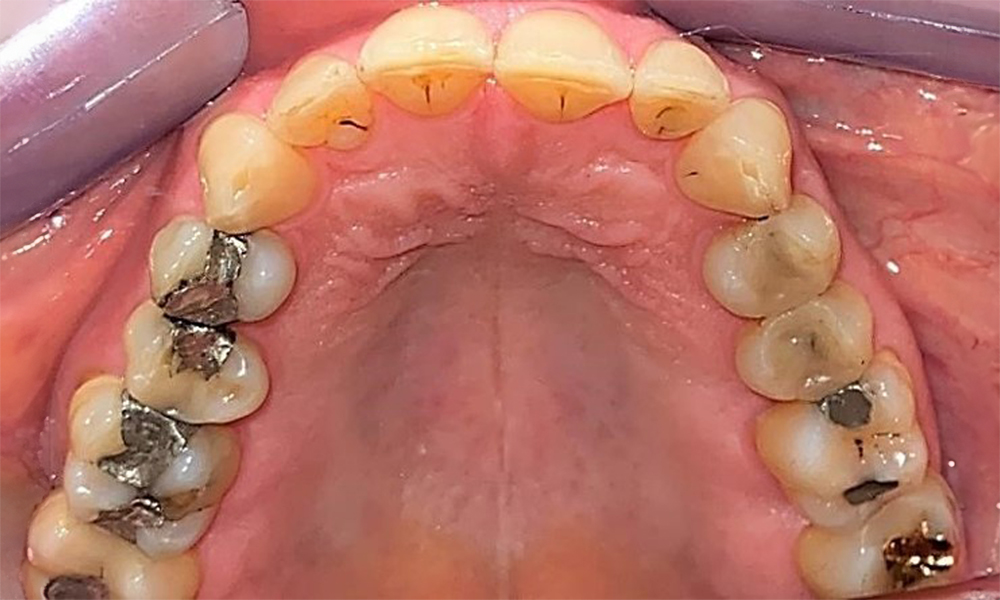
Observații la nivel dentar
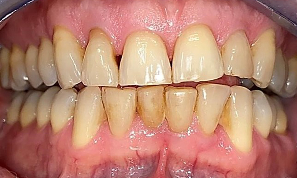
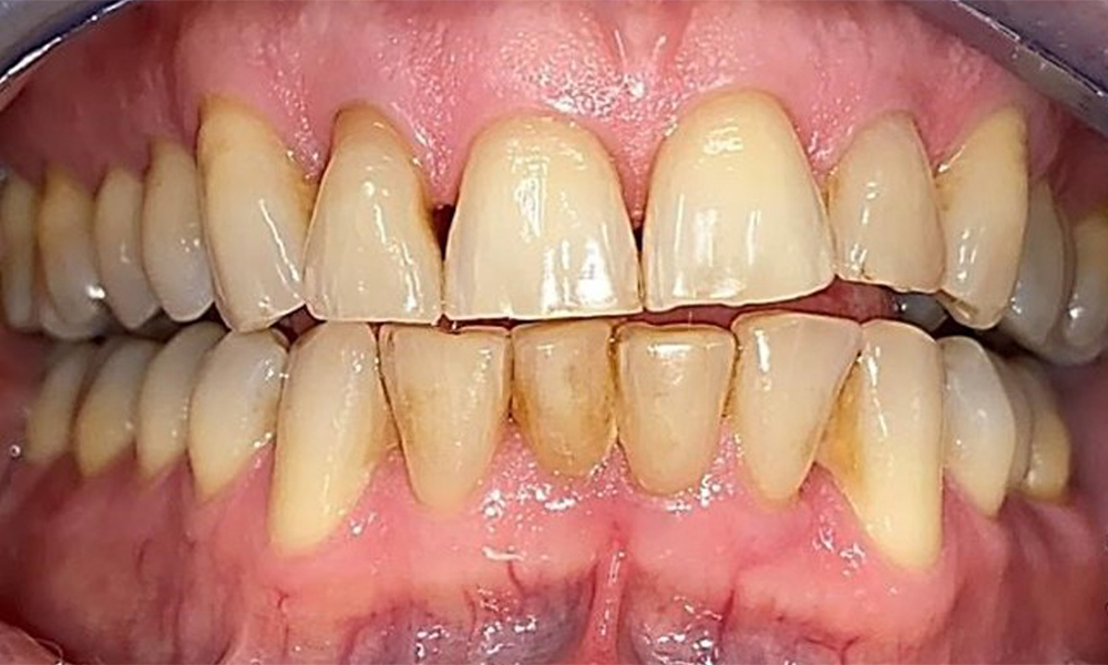
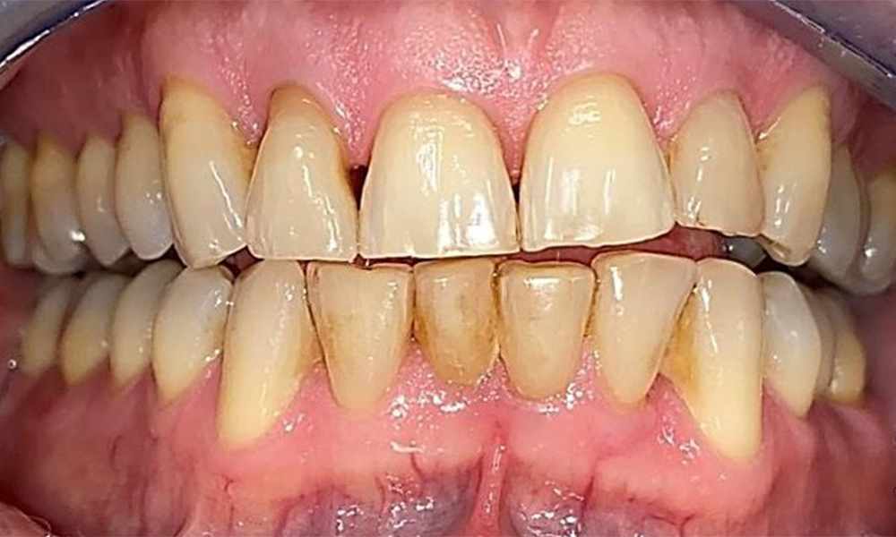
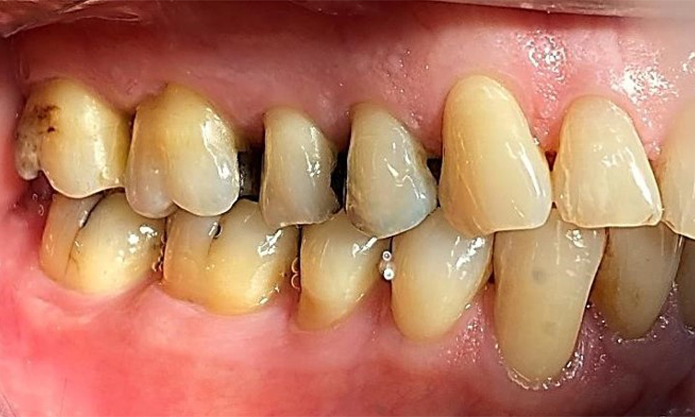
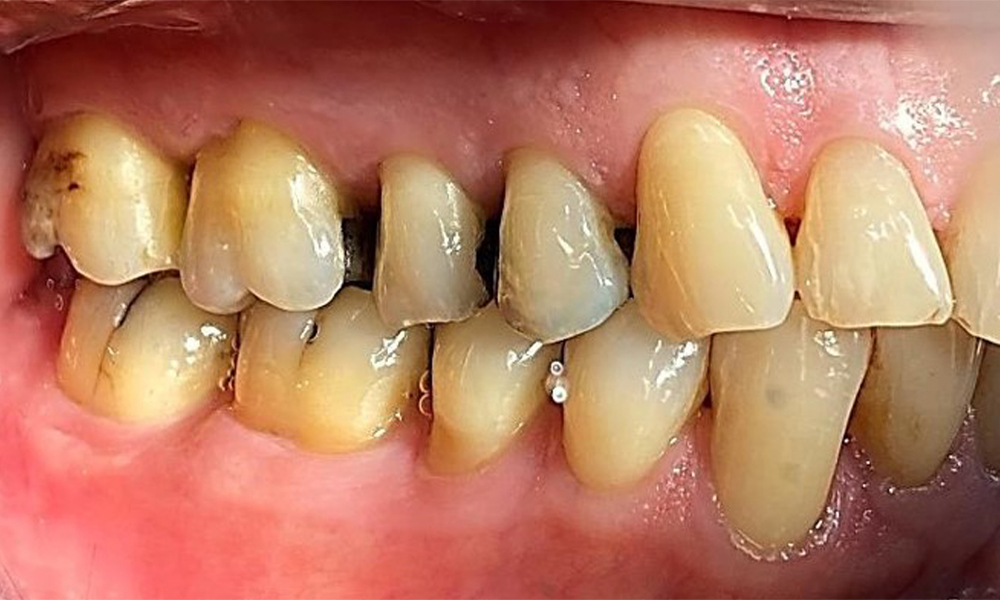
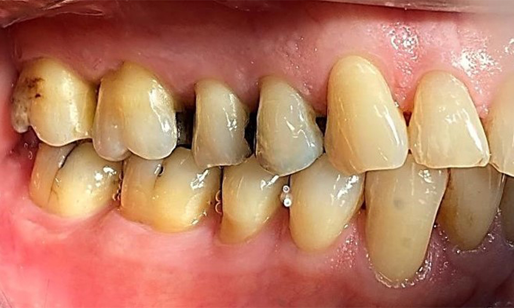
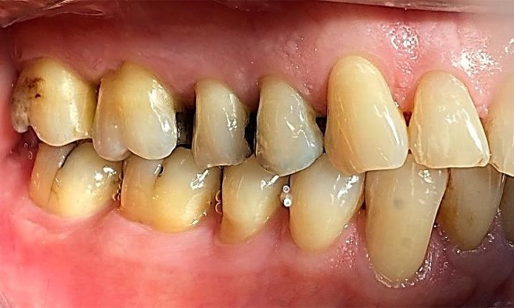
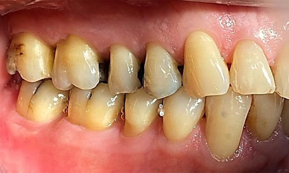
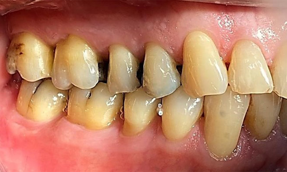
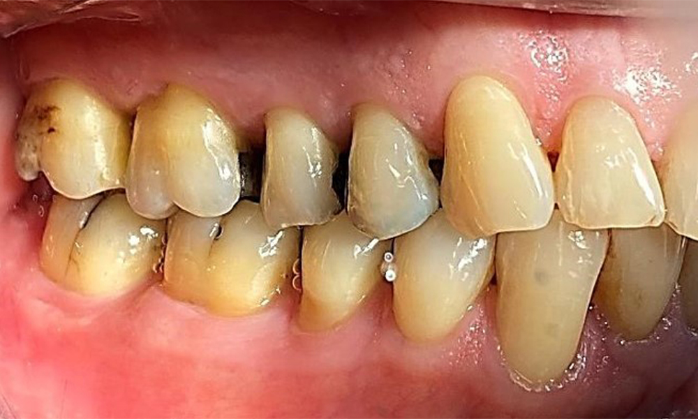
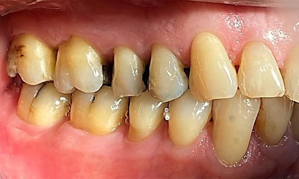
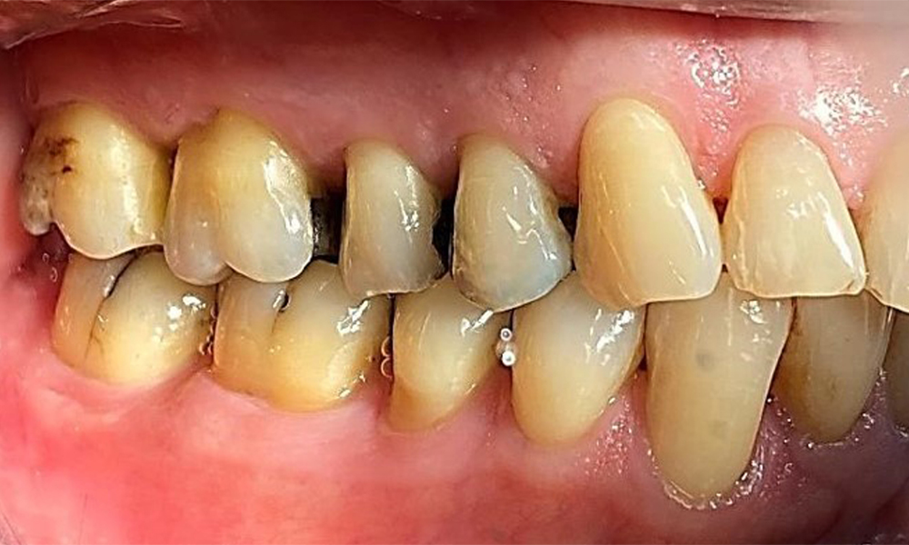
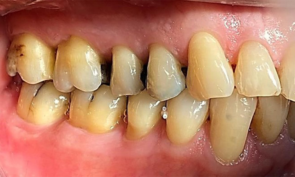
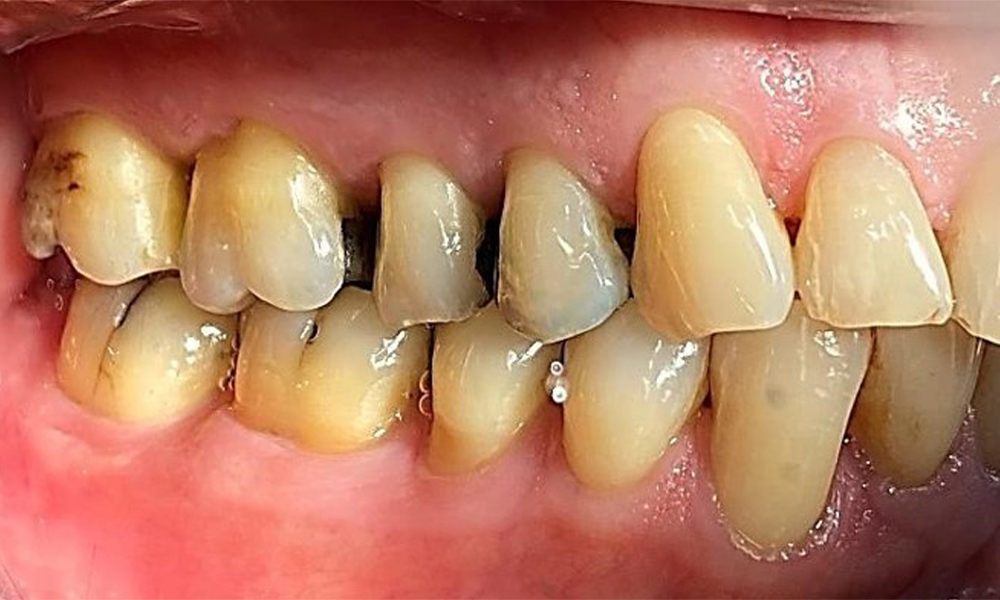
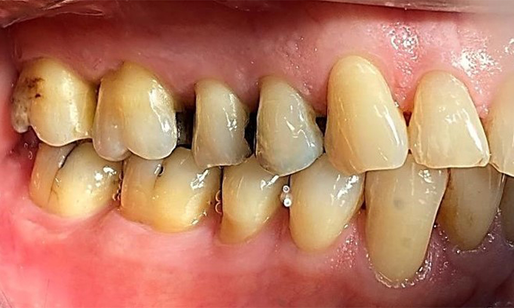
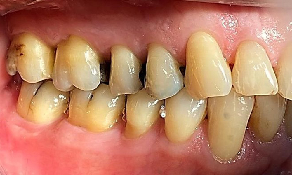
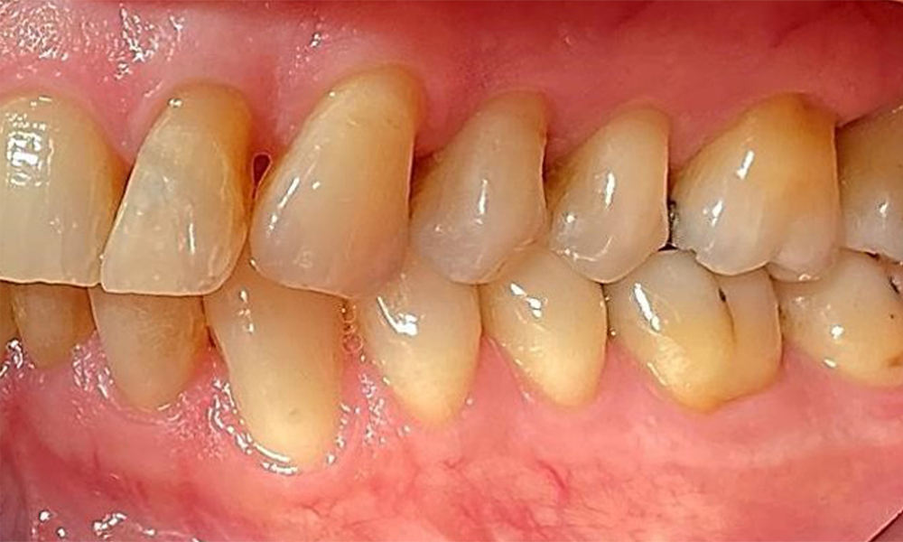
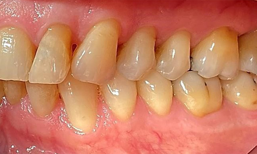
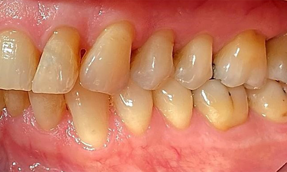
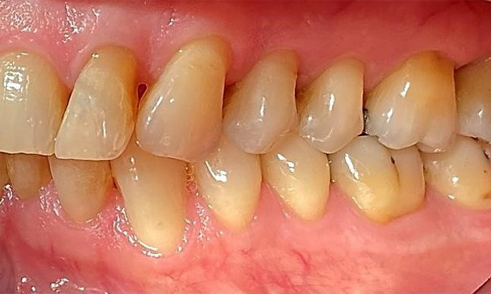
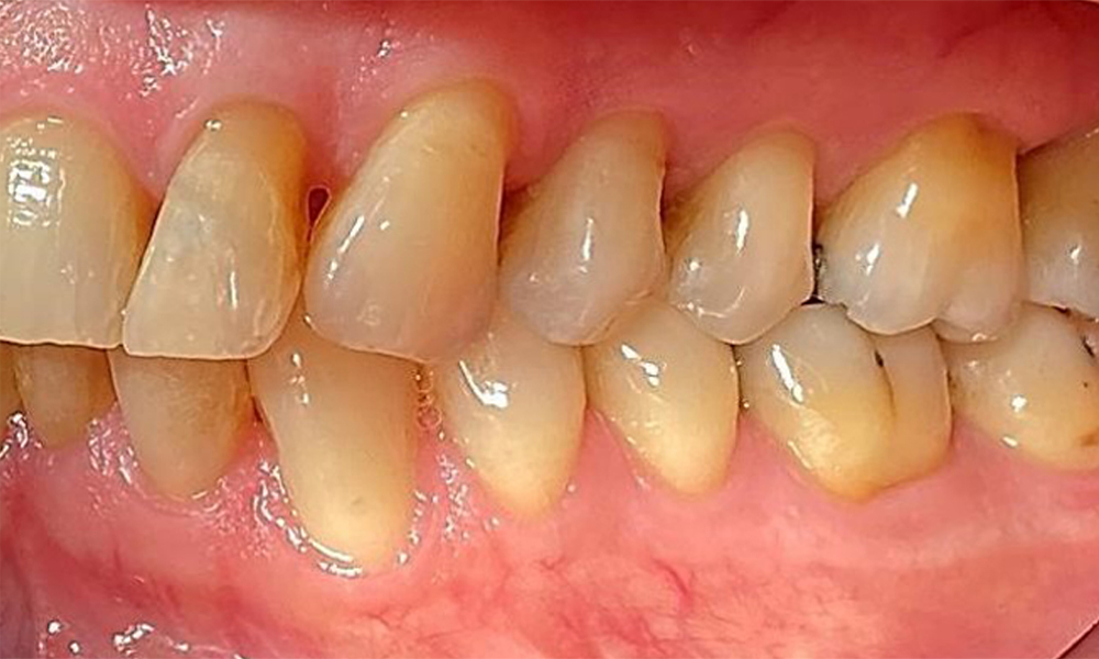
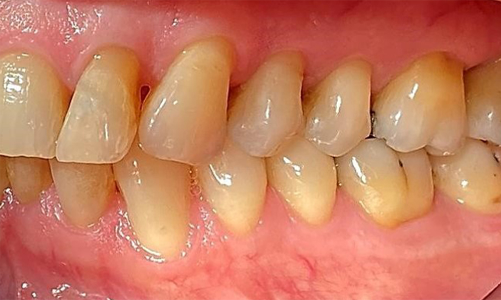
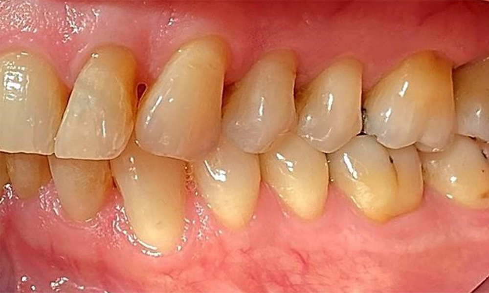
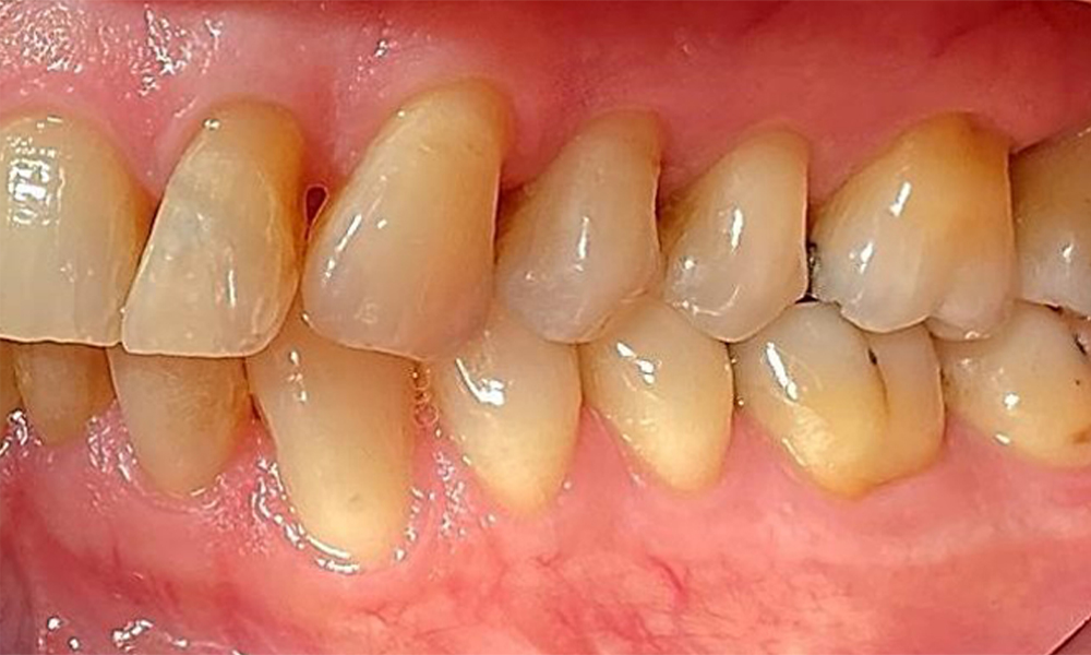
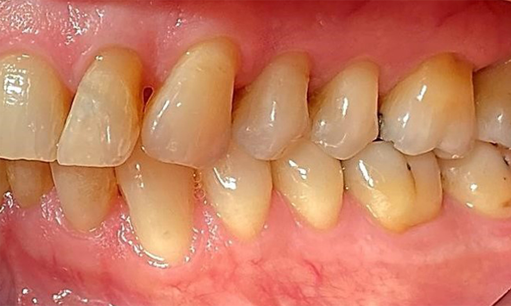
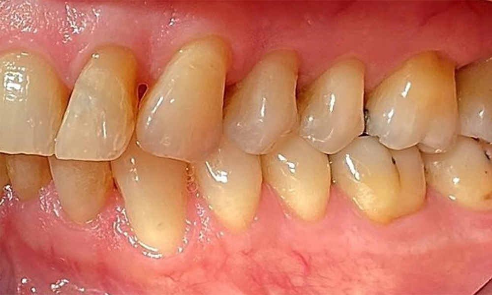
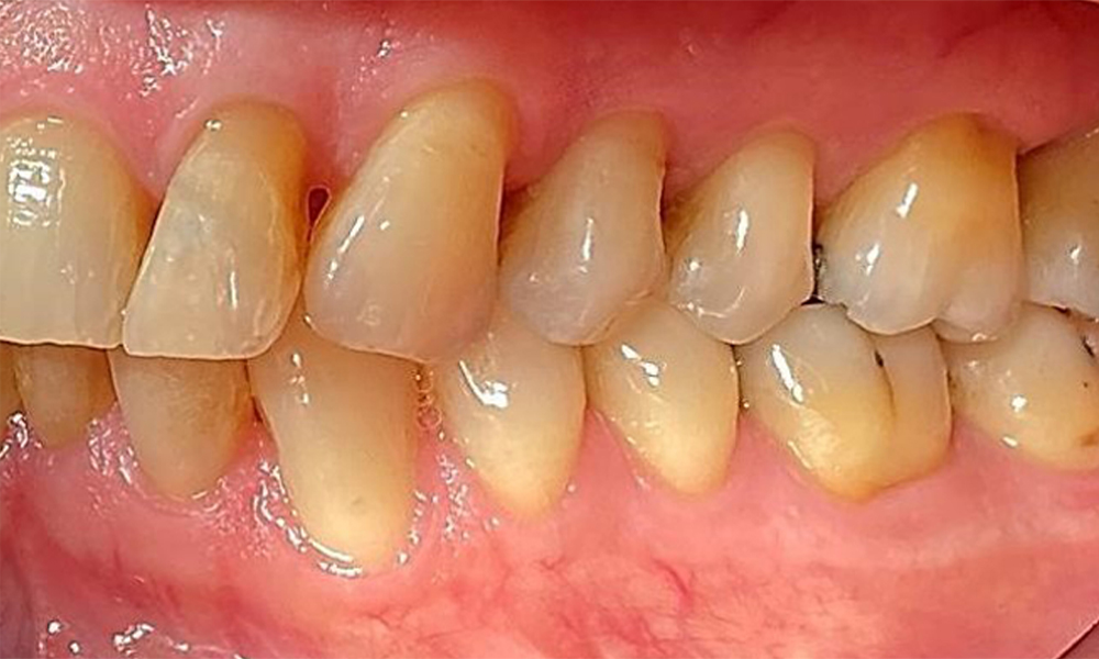
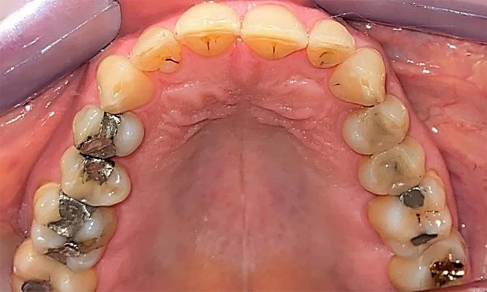
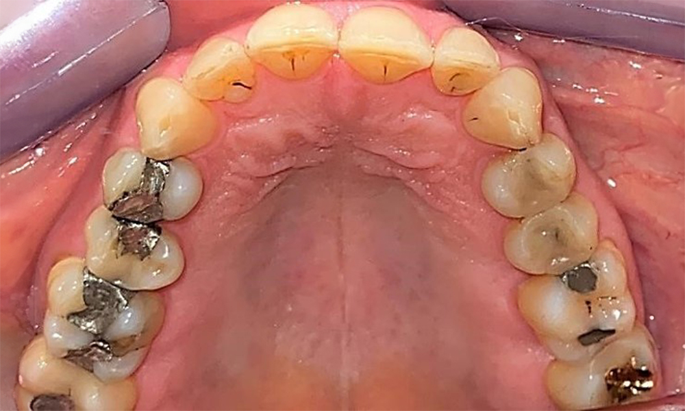
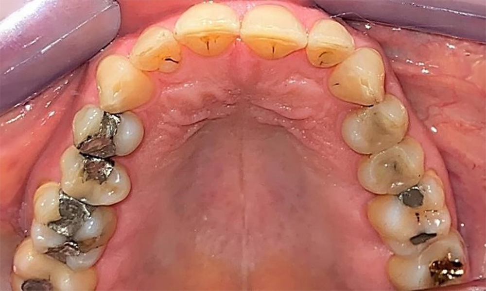
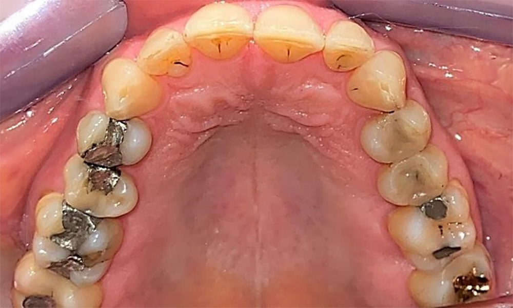
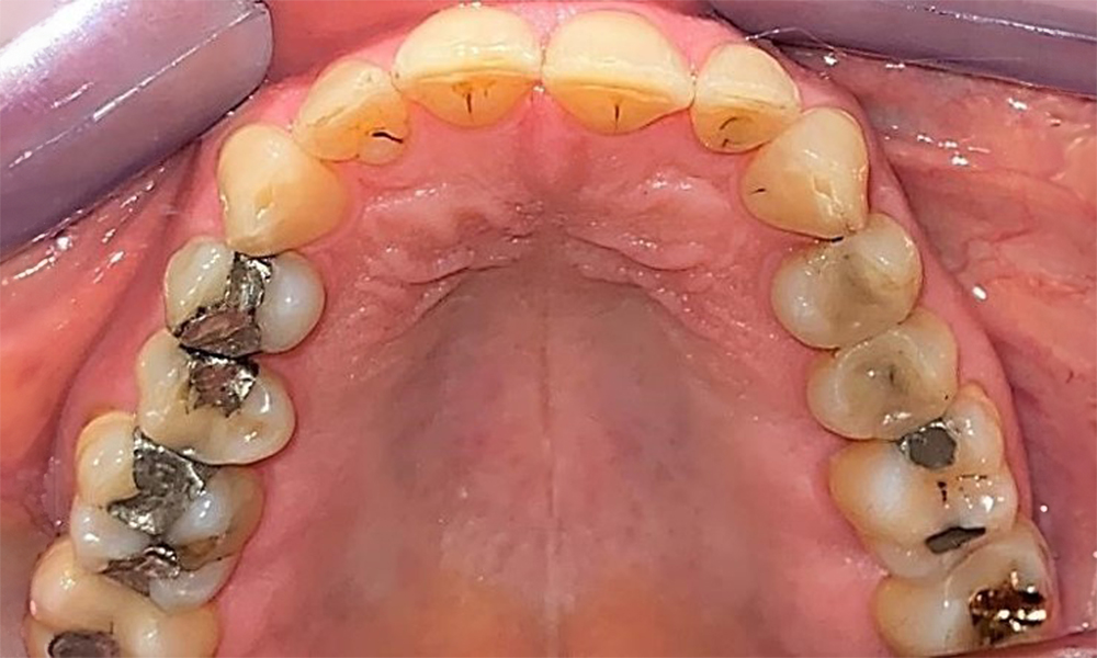
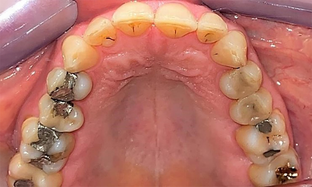
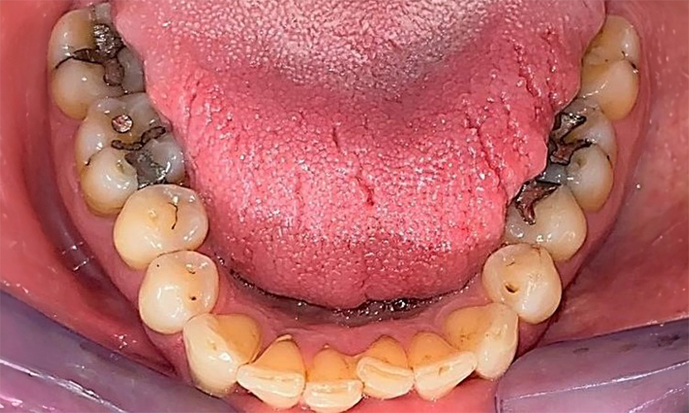
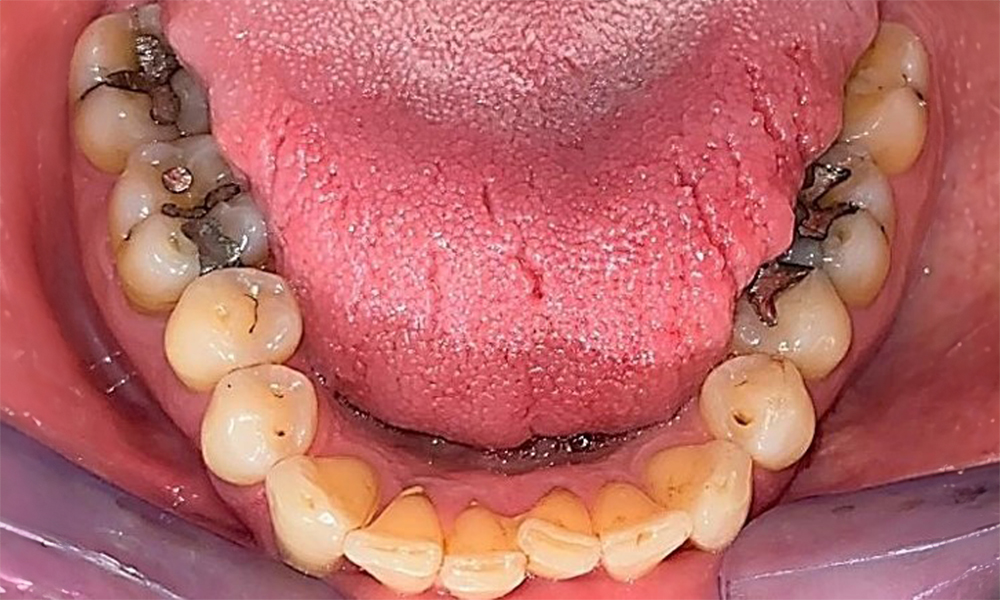
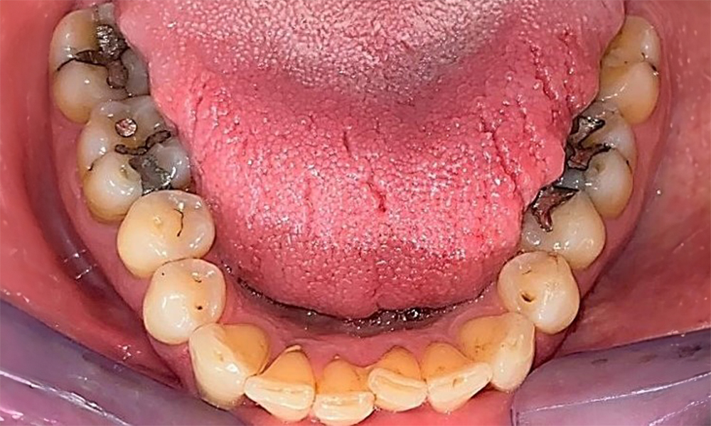
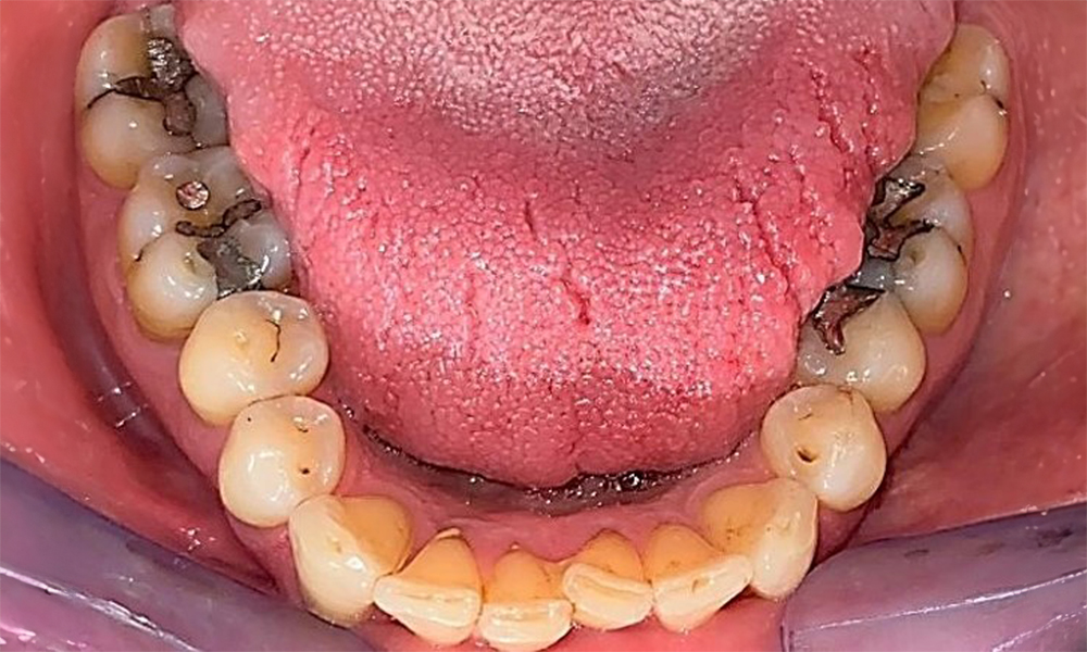
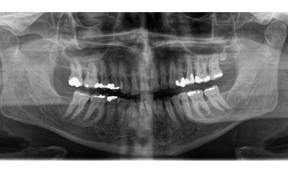
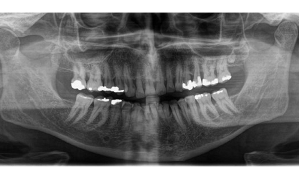
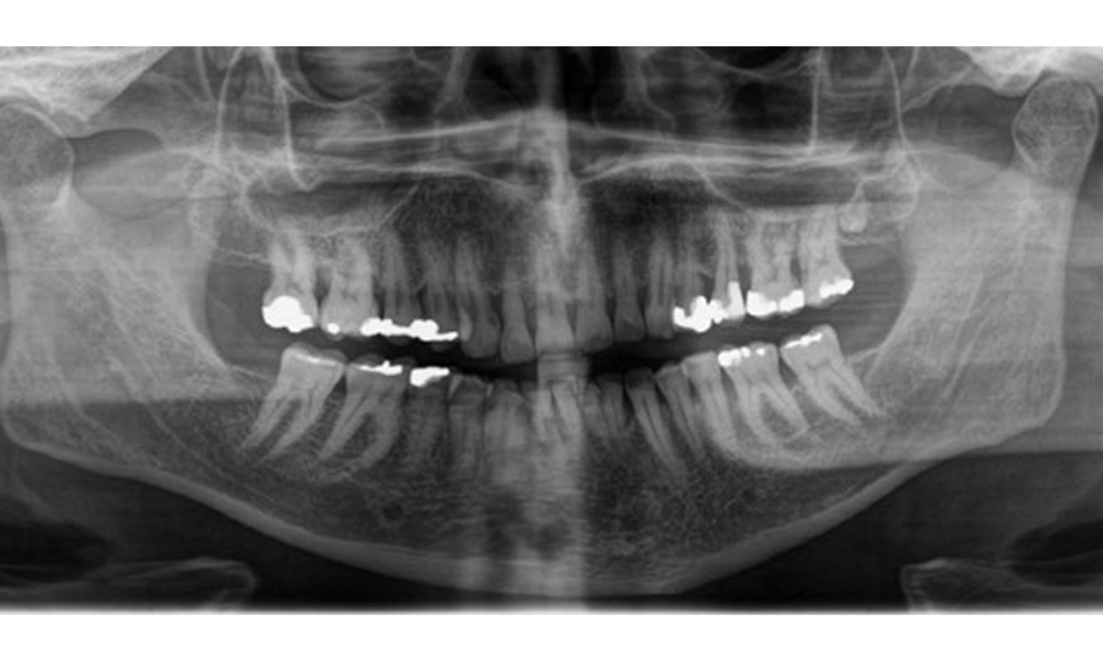
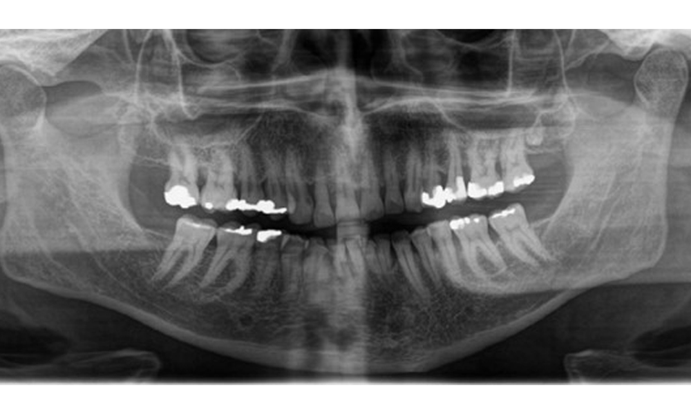
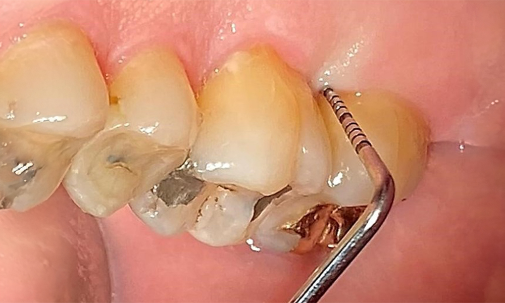
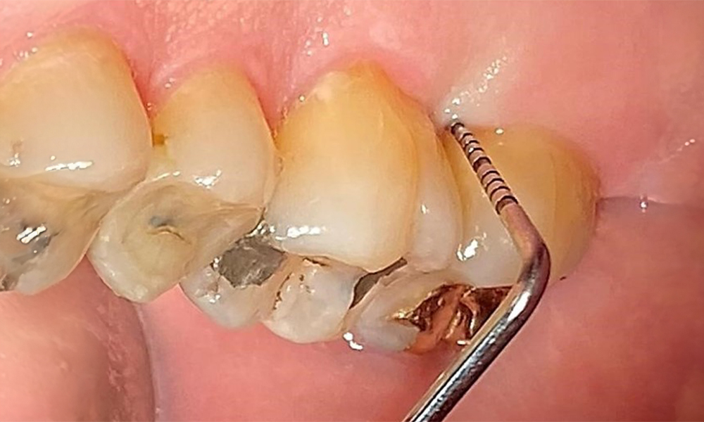
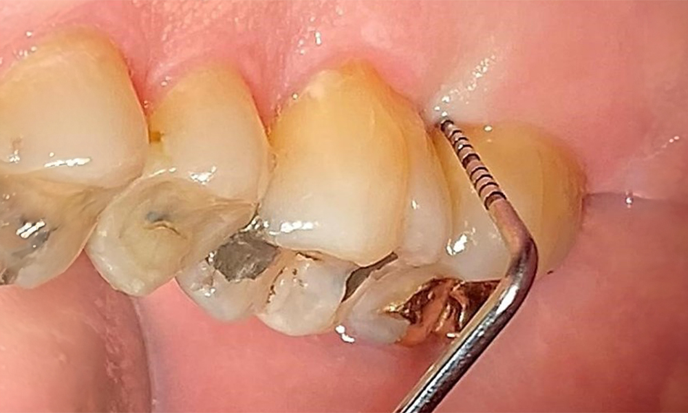
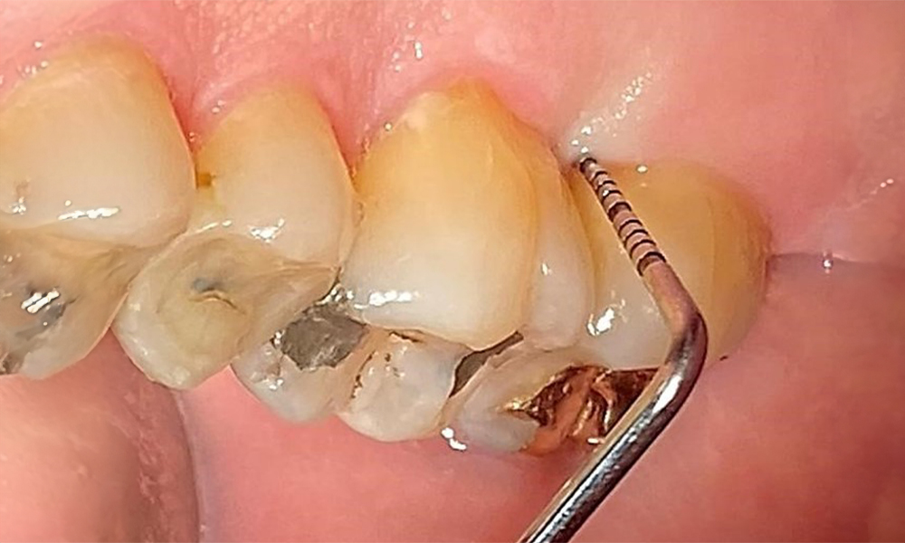
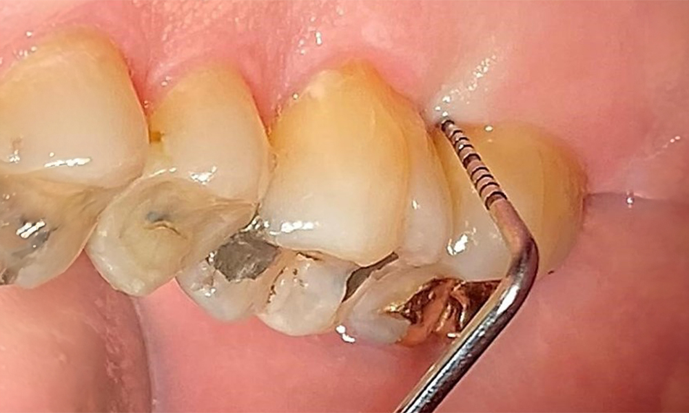
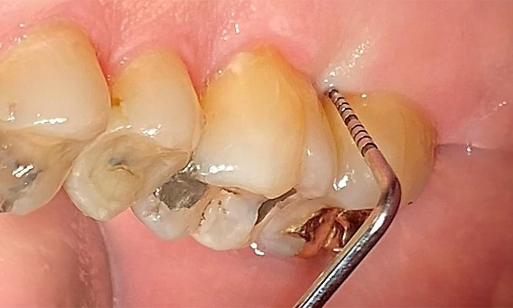
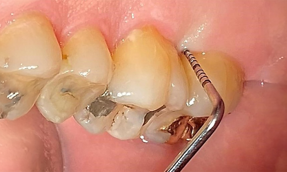
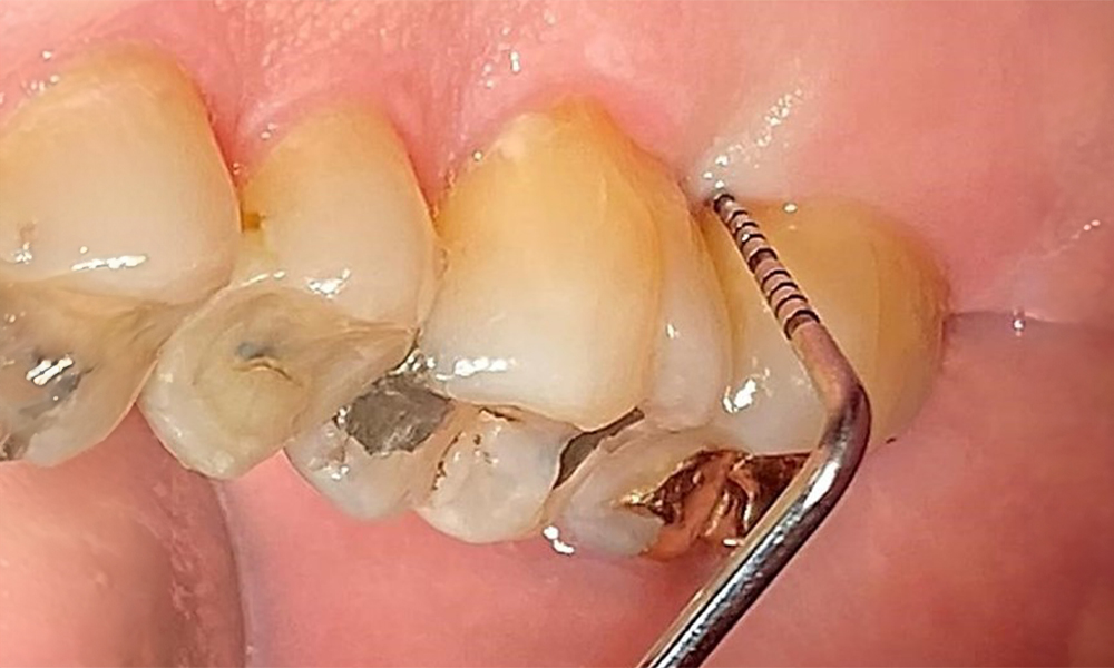
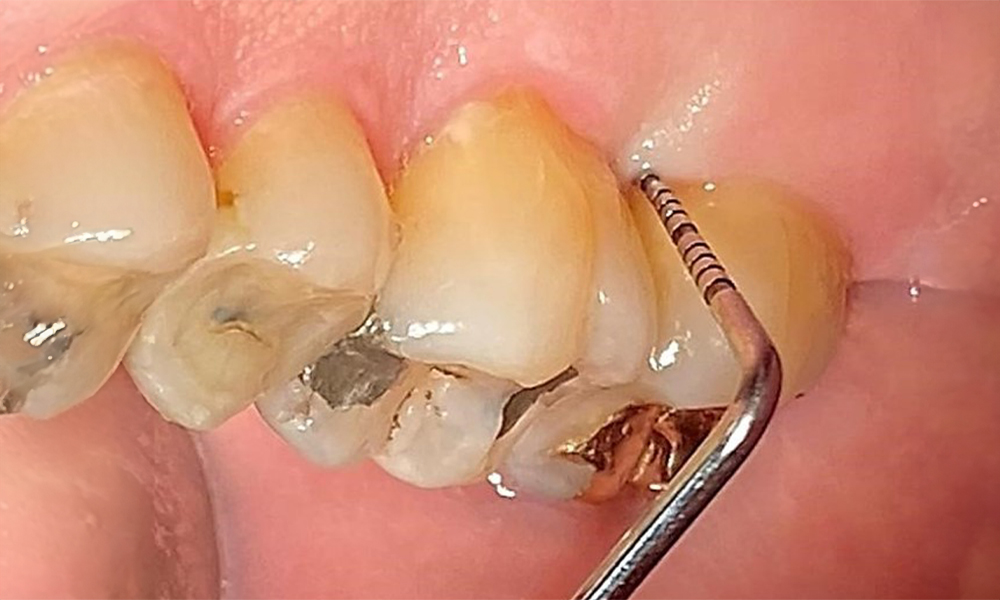
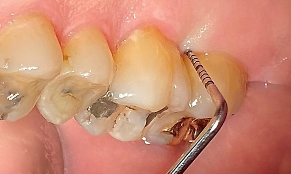
Pacientul prezintă dentiție completă cu 28 de dinți, care include obturații din amalgam și compozit pe molari și premolari. Există un spațiu marginal clinic vizibil la 14. Molarul 27 prezintă un inlay din aur adecvat. Se observă, de asemenea, atriții și abrazii generalizate. (Fig. 2, Fig. 3, Fig. 4, Fig. 5, Fig. 6)
Observații sub aspect parodontal
Pacientul prezintă boală parodontală în stadiul II, gradul B (5). Profunzimile clinice de sondare observate, între 1 și 3 mm, se încadrează în limitele fiziologice. Localizat, s-au observat profunzimi de 5 mm, la nivel meziopalatin, atât pe 17, cât și pe 27. Se constată recesiuni generalizate de 1-3 mm, cu pierderi parțiale ale papilelor interdentare (Fig. 2, Fig. 3, Fig. 4)
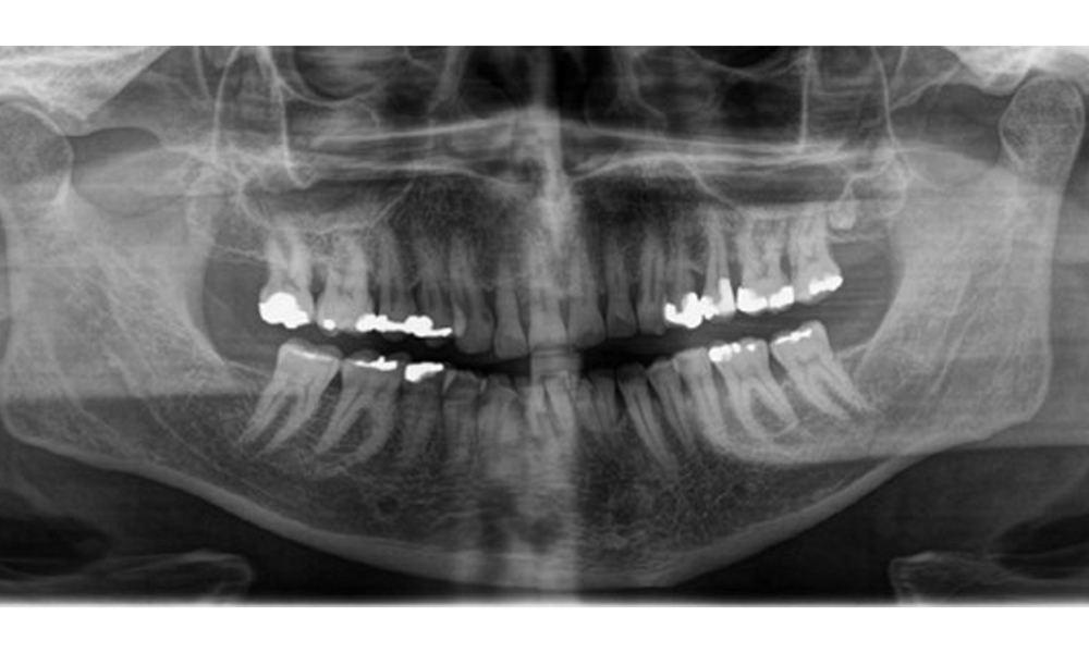
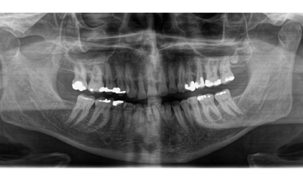
Aspecte radiologice
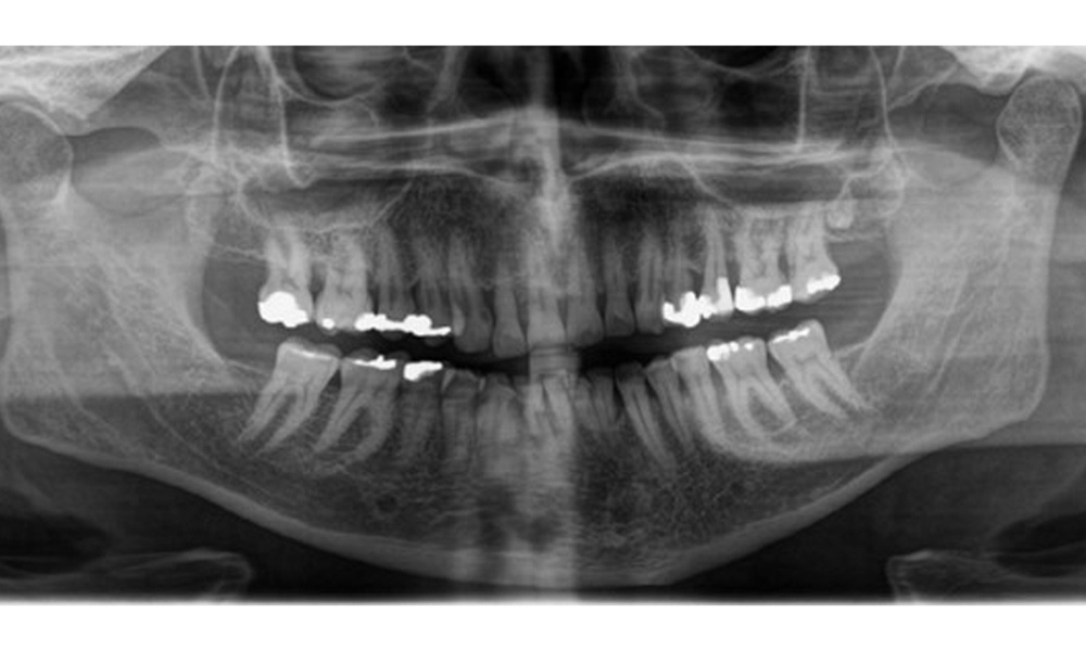
Se observă dentiție adultă completă, cu pierdere osoasă generalizată între 20-50% și zone multiple de pierdere osoasă verticală. Examenul radiologic nu a evidențiat carii vizibile. (Fig. 7)

Analiza cazului în baza conceptului individual de prevenție
Conceptul individualizat de prevenție prioritizează profilul pacientului specific cazului (3, 4). Profilul pacientului este creat utilizând atât date clinice generale, cât și date privind sănătatea intraorală (fig. 1). Acești factori au relevanță fundamentală pentru determinarea nevoii de tratament. Anamneza clinică în cazul de față nu a evidențiat factori de risc specifici, care ar putea crește riscul de complicații în timpul tratamentului. Pacientul suferă de diabet zaharat. Totuși, acesta este bine controlat, astfel încât pacientul poate fi tratat în același mod ca un pacient „sănătos”. În ciuda acestui fapt, pacientului trebuie să i se solicite întotdeauna valoarea HbA1c curentă înainte de orice tratament. În ceea ce privește riscul de evoluție patologică, se remarcă raportul bidirecțional dintre parodontopatie și diabetul zaharat (6). Riscul de boală la un pacient cu diabet zaharat bine controlat este clasificat ca fiind moderat. Prioritatea de sănătate intraorală la acest pacient este parodontoza. În prezent, pacientul prezintă parodontoză stabilă, în stadiul II, de gradul B. Pe baza constatărilor curente, riscul de progresie și de boală poate fi clasificat în prezent ca fiind moderat.
Recomandări de tratament pe baza conceptului de prevenție individuală

Acesta este un pacient cu diabet zaharat controlat corespunzător. Prin urmare, pe baza istoricului medical, acesta nu comportă risc semnificativ de complicații asociate tratamentului. Valoarea HbA1c se va verifica întotdeauna înainte de tratament.
În urma rezultatelor evaluării intraorale, se va stabili dacă este necesar un tratament dentar și/sau parodontal.
Examinarea parodontală, incluzând măsurarea adâncimii pungilor parodontale și nivelul de sângerare, este o etapă obligatorie în cadrul fiecărei consultații stomatologice, datorită prezenței parodontozei (fig. 8). Acest lucru va evidenția cerințele terapeutice individuale și va facilita un răspuns rapid la o eventuală evoluție a parodontozei preexistente.

Evaluarea parodontală detaliată, inclusiv consemnarea adâncimii pungilor parodontale, sângerarea la examinarea cu sonda, recesiunile, gradul de afectare a furcației și gradul de slăbire, trebuie efectuată anual.
Acest lucru va asigura un răspuns rapid la eventuala progresie a parodontozei preexistente. Examinarea structurii dentare dure și a suprafețelor radiculare este, de asemenea, obligatorie, întrucât prezența suprafețelor radiculare expuse crește riscul de carii radiculare.

Pacientul folosește periuțe interdentare și o periuță de dinți electrică. Aceasta demonstrează respectarea indicațiilor de întreținere și o bună înțelegere a igienei intraorale la domiciliu. Motivarea și reinstruirea regulată sunt indispensabile, datorită riscului de progresie a patologiei dentare, în special în ceea ce privește curățarea zonelor interdentare, aici fiind detectate adâncimi de sondare crescute. Se observă tartru localizat și o ușoară placă dentară în regiunea linguală a mandibulei anterioare, aceste aspecte vor fi indicate pacientului. Este posibil să fie necesară verificarea și adaptarea dimensiunii periuțelor interdentare. Se recomandă folosirea periuțelor cu peri moi, având în vedere prezența suprafețelor radiculare expuse, pentru prevenirea leziunilor cuneiforme. Se va utiliza pastă de dinți cu o valoare abrazivă scăzută.
Recomandările suplimentare pentru pacient includ utilizarea în continuare a pastei de dinți fluorurate pentru igiena intraorală la domiciliu și utilizarea unui gel cu fluor pentru a reducerea riscului de carii radiculare datorate suprafețelor radiculare expuse.
Utilizarea pastei de dinți desensibilizante este recomandată dacă pacientul acuză probleme de sensibilitate. În același timp, pacientul trebuie, de asemenea, informat că sensibilitatea poate crește temporar după consultația profilactică, datorită suprafețelor radiculare expuse și a tubulilor dentinari (7).

Nu există limitări în ceea ce privește alegerea metodelor de instrumentare. Sunt esențiale intervențiile subgingivale și supragingivale regulate, pentru prevenirea progresiei bolii - datorită parodontozei preexistente și a riscului ridicat de recidivă. Nu există limitări privind alegerea instrumentelor pentru îndepărtarea mecanică a biofilmului dintr-o perspectivă medicală generală, iar îndepărtarea trebuie efectuată în funcție de necesități. Placa dură și mineralizată, cum ar fi tartrul și concrețiunile, trebuie îndepărtate cu ajutorul pieselor de detartraj manuale sau al scalerului sonic/ultrasonic (Fig. 9) (8, 9).

Îndepărtarea biofilmului supra și subgingival este indispensabilă pentru conservarea stabilității situației parodontale. Folosirea air-flow-ului cu pudre slab abrazive este oportună în acest scop. Pungile parodontale și suprafețele radiculare expuse trebuie igienizate cu ajutorul pudrelor slab abrazive. Utilizarea unei anse parodontale flexibile este recomandată pacienților cu profunzimi de sondare crescute (mai adânci de 5 mm) (fig. 10). (9)

Adâncimea pungilor de până la 5 mm poate fi, de asemenea, gestionată utilizând o ansă convențională (9). Se recomandă, de asemenea, utilizarea unui air-flow cu pudră slab abrazivă, pentru marginile restaurărilor, zonele interdentare și fisuri. Lustruirea rotativă (fig. 11) uniformizează ușor suprafețele dentare, ceea ce, la rândul său, contribuie la încheierea optimă a tratamentelor dentare profilactice, reducând readeziunea bacteriană (10).


Este necesar ca, după curățarea suprafețelor dentare, să se fluoreze suprafețele radiculare expuse în scopul prevenirii cariilor (11). Se poate folosi un lac desensibilizant la pacienții cu sensibilitate crescută. De asemenea, fluorul contribuie la ameliorarea sensibilității ușor crescute (12).

Factorii esențiali în stabilirea intervalului de follow-up sunt: parodontoza preexistentă (stadiul II, gradul B), precum și riscul de evoluție, care este asociat cu riscul de carii radiculare (13). Prin urmare, terapia de întreținere suportivă este recomandată de 3-4 ori pe an. Pe măsură ce nevoile pacienților se modifică, acest interval va fi ajustat, în scopul prevenirii tratamentelor excesive sau inadecvate (14). Succesul susținut al tratamentelor este puternic influențat, atât de un managementul profesional, cât și de conformarea pacienților afectați, astfel încât devine important să se discute, încă o dată, despre relevanța măsurilor de tratament și să se răspundă la toate întrebările pacientului. Buna îndrumare a pacientului este necesară pentru conservarea stării parodontale și dentare. Se recomandă programarea imediată a următoarei consultații de control. Acest lucru este benefic din două motive: permite gestionarea eficientă a unui sistem de rechemare în cabinet și garantează că pacientul beneficiază de o programare adecvată la momentul potrivit.
Concluzii de caz
După o analiză aprofundată a cazului de față, putem rezuma următoarele concluzii:
- În baza istoricului medical, se constată că pacientul prezintă un diabet zaharat controlat corespunzător. În prezent, având în vedere valoarea actuală a HbA1c și stilul de viață al pacientului, nu sunt necesare ajustări speciale ale tratamentului profilactic, parte a IPC. Riscul de complicații în timpul tratamentului este clasificat ca fiind scăzut.
- În ceea ce privește riscul de boală, se remarcă faptul că există o relație bidirecțională între parodontoză și diabetul zaharat. Riscul de boală la un pacient diabetic, controlat corespunzător, este clasificat ca fiind moderat.
- Examinarea profunzimilor de sondare și a sângerărilor sunt obligatorii în timpul fiecărei consultații. Aceste constatări vor indica necesitatea măsurilor terapeutice individuale. Se recomandă o examinare anuală detaliată a situației parodontale (adâncimi de sondare și BOP, pierderea aderenței și aspectul furcației). Conceptul de tratament trebuie adaptat sau modificat, dacă este nevoie.
- Pacientul prezintă un comportament favorabil în ceea ce privește igiena la domiciliu. Orice deficiențe de igienă intraorală trebuie explicate și prezentate pacientului. Sunt necesare instrucțiuni și ajustări suplimentare.
- Pacientul necesită tratament profesional de monitorizare periodică, în funcție de necesități, pentru conservarea stării parodontale actuale, datorită parodontozei preexistente (stadiul II, gradul B). Trebuie acordată o atenție deosebită igienizării temeinice a pungilor mai profunde (reziduale) și a zonelor interdentare.
- Măsurile terapeutice suplimentare, cum ar fi fluorizările, sunt necesare și recomandate ca urmare a prezenței suprafețelor radiculare expuse.
- Se recomandă un interval de monitorizare strict, de 3-4 luni, pentru conservarea situației intraorale actuale, datorită riscului de progresie și de apariție a unor noi patologii
Bibliography
- Bansal M, Rastogi S, Vineeth NS. Influence of periodontal disease on systemic disease: inversion of a paradigm: a review. Journal of medicine and life. 2013;6(2):126-30
- WHO. Oral Health [Fact sheet]. WHO International Newsroom2020 [cited 2020 25.03.2020]. Available from: https://www.who.int/news-room/factsheets/detail/oral-health.
- Schmalz G., Ziebolz D., Individualisierte Prävention-ein patientenorientiertes Präventionskonzept für die zahnärztliche Praxis, ZWR- Das deutsche Zahnärzteblatt 2020;129;147-156
- Schmalz G., Ziebolz D., Individualisierte Prävention-fallorientierte Bedarfsprävention, ZWR- Das deutsche Zahnärzteblatt 2020;129;33-41
- Papapanou PN, Sanz M, Buduneli N, Dietrich T, Feres M, Fine DH, et al. Periodontitis: Consensus report of workgroup 2 of the 2017 World Workshop on the Classification of Periodontal and Peri-Implant Diseases and Conditions. J Periodontol. 2018;89 Suppl 1:S173-S82.
- Preshaw, P. M.; Alba, A. L.; Herrera, D.; Jepsen, S.; Konstantinidis, A.; Makrilakis, K.; Taylor, R. Periodontitis and diabetes: a two-way relationship: Diabetologia. 2012; 55 (1): 21-31
- Bordoloi P, Ramesh A, Thomas B, Bhandary R. Epidemiological survey of dentinal hypersensitivity after oral prophylaxis. J Cont Med A Dent. 2018;6(1).
- Graetz C, Seidel M. Mechanische Biofilmentfernung: Was, womit und wie funktioniert´s? Plaque N Care [Internet]. 2020. Available from: https://www.pncaktuell.de/prophylaxe/story/mechanische-biofilmentfernung-was-womit-undwie-funktionierts__8637.html
- Cobb CM, Daubert DM, Davis K, Deming J, Flemmig TF, Pattison A, Roulet JF, Stambaugh RV. Consensus Conference Findings on Supragingival and Subgingival Air Polishing. Compend Contin Educ Dent. 2017 Feb;38(2):e1-e4.
- Wang C, Zhao Y, Zheng S, Xue J, Zhou J, Tang Y, et al. Effect of enamel morphology on nanoscale adhesion forces of streptococcal bacteria: An AFM study. Scanning. 2015;37(5):313-21
- Macri D. Implementing a multifaceted approach to caries prevention. Dimensions of Dental Hygiene. 2018;16(5):21-2, 4-5.
- Schmalz G, Ziebolz D. Individualisierte Prävention – fallorientierte Bedarfsadaptation. ZWR. 2020;129(01/02):33-41.
- Prabhu A, Nalawade KP, Balasubamanian K, Sampat P, Rohra S, Sheth D. Dentine Hypersensitivity: A review. International Journal of Scientific Research. 2017;6(7).
- Sanz M, Baumer A, Buduneli N, Dommisch H, Farina R, Kononen E, et al. Effect of professional mechanical plaque removal on secondary prevention of periodontitis and the complications of gingival and periodontal preventive measures: consensus report of group 4 of the 11th European Workshop on Periodontology on effective prevention of periodontal and peri-implant diseases. J Clin Periodontol. 2015;42 Suppl 16:S214-20.
comentarii