Our drive, your progress.

Ce sunt Soluțiile Built-in de la W&H?

    • Reunite sub denumirea de soluții încorporabile, W&H oferă o gamă de soluții de acționare, care pot fi integrate în uniturile dentare. Acest lucru face posibilă echiparea unităților de tratament cu noi funcționalități inovatoare, personalizându-le astfel în funcție de cerințele dumneavoastră personale.
    • Ca întotdeauna, în centrul soluțiilor încorporate W&H se află tratamentul la cel mai înalt nivel de eficiență, ergonomia și confortul maxim, atât pentru utilizator, cât și pentru pacient.
  • Pregătiți-vă unitul dentar pentru viitor

    Reduceți complexitatea, evitați costurile, creșteți eficiența și confortul – sistemul de soluții integrate de la W&H face totul posibil.

    Soluțiile încorporate cu calitatea dovedită W&H oferă beneficii tangibile în activitatea de zi cu zi, datorită motoarelor optimizate din punct de vedere ergonomic, pentru o eficiență de tratament remarcabilă și un confort maxim al utilizatorului.

    Conceptul sistemic generează valoare adăugată

    Soluțiile încorporabile W&H sunt răspunsul la solicitările clienților noștri pentru rezolvări eficiente și holistice, integrabile în sistemele dentare.

    Datorită performanțelor lor optime, a fiabilității maxime și securității viitoare garantate, soluțiile încorporate de la W&H se ridică la înălțimea cerințelor de inovare și calitate ale utilizatorilor și generează valoare adăugată considerabilă.
  • Competențe integrate

    “Dacă scrie W&H pe exterior, în interior veți găsi maximă calitate” – clienții noștri știu asta de mai bine de 130 de ani.

    W&H stabilește în continuare noi repere în tehnologia de transmisie dentară. Întregul spectru de expertiză aplicativă W&H, în domeniul său cheie de competență – dezvoltarea pieselor de mână dentare – se reflectă în noile soluții complete integrate.

    Inovația din spatele tehnologiei motoarelor W&H este rezultatul multor ani de experiență și reprezintă eficiență, calitate superioară și confort de tratament de neegalat.
    Integrated competence
  • Unitul dentar - panou de comandă

    Echipamentul integrat face inutile carturile chirurgicale, iar pedalele multiple sunt de domeniul trecutului. În acest fel, economisiți timp și evitați stresul.

    În loc să fie nevoie de un dispozitiv separat cu pedală de comandă pentru fiecare motor în parte, în viitor va fi posibil să controlați toate dispozitivele de lucru cu o singură pedală de comandă - cea a unitului dentar.

    Pentru eficiență maximă și confort optim!
    The dental unit as a control panel
  • Turbina RK-97 L
  • Turbina RK-97 L
  • Iluminare fără umbre cu piezo detartrajul PB-3
  • Micromotorul electric EM-12 L cu modul de control
  • Modulul integrat EM-12L Endo cu ecran
  • Primea Advanced Air
  • Piezo detartraj integrat PB-3 cu PCB
  • Piesa de mână piezo detartraj PB-3 cu ansa 1P

Descoperiți avantajele Soluțiilor Built-in Solutions de la W&H

Pregătiți pentru viitor
Control
Confort în timpul tratamentului
Calitatea W&H

Echipați-vă unitul dentar pentru viitor

  • Reduceți complexitatea, evitați costurile, creșteți eficiența și confortul – sistemul de soluții integrate de la W&H face totul posibil.
  • Soluțiile încorporate cu calitatea dovedită W&H oferă beneficii tangibile în activitatea de zi cu zi, datorită motoarelor optimizate din punct de vedere ergonomic, pentru o eficiență de tratament remarcabilă și un confort maxim al utilizatorului.
  • Pentru tratamente dentare cu rezultate optime - și azi, și mâine, chiar și în zilele următoare.

Unitate centrală de comandă

  • Utilizatorii preferă să controleze toate aplicațiile de la o singură unitate centrală, cu o singură pedală - de exemplu, cea a unitului dentar.
  • Echipamentul integrat face inutile carturile chirurgicale, iar pedalele multiple sunt de domeniul trecutului. În acest fel, economisiți timp și evitați stresul.
  • Toate aplicațiile de tratament pot fi controlate prin intermediul unității centrale sau de la pedala unitului dentar.
  • Astfel, Soluțiile Built-in de la W&H oferă utilizatorilor ergonomie superioară și confort maxim, permițându-le o gestionare și mai eficientă a timpului.

Ergonomie optimă în sala de tratament, pentru un confort optim în timpul tratamentului

Absența carturilor de chirurgie vă oferă, dumneavoastră și asistenților, mai mult spațiu și confort în timpul intervențiilor de tratament. Aglomerarea cablurilor și pregătirile îndelungate pre și post operatorii ale sălii de tratament sunt acum de domeniul trecutului.

Acest lucru eliberează semnificativ timpul asistenților, lăsând loc activităților cu adevărat importante, cum sunt relaționarea cu clienții și igienizarea instrumentelor.

Calitate W&H - Made in Austria

Disponibile în curând și pentru unitul dumneavoastră

Măiestrie și precizie, de la dezvoltare, producție și până la livrare - pentru rezultate de tratament superioare și eficiență ridicată în prepararea suprafețelor dentare.

Produsele noastre Built-in Solutions

    • Primea Advanced Air

      Control și precizie cu ușurință

      Cu Primea Advanced Air, stăpâniți perfect chiar aerul. Este prima turbină pneumatică din lume cu posibilitatea ajustării vitezei de rotație a frezei și rată de ablație constantă, chiar și la presiune crescătoare. Aceasta vă permite să lucrați permanent cu viteza optimă și eficiență de tratament maximă: datorită simbiozei unice între putere și ușurința în utilizare, toate pentru un control mai bun și un plus de confort.

      Primea Advanced Air
    • Micromotor Electric (EM-12 L)

      Când funcționalitatea întâlnește confortul

      Micromotorul electric fără perii EM-12 L impresionează prin funcționalitate și confort. De dimensiuni reduse și suprinzător de ușor, se simte extrem de confortabil în mână și, în plus față de puterea mare constantă, acest micromotor impresionează și cu tehnologia LED integrată, durata de viață lungă și funcționarea silențioasă.

      Electric Motor (EM-12 L)
    • Piezo Scaler PB-5 L

      Ultra-strălucire. Ultra-eficiență. Ultra-siguranță.

      Noile scalere piezoelectrice Proxeo Ultra de la
      W&H au fost dezvoltate în colaborare cu profesioniștii din domeniul profilaxiei și se ridică într-adevăr la înălțimea numelui lor.
      Avantajele exclusive pentru utilizator, cum ar fi "Q-Link", singurul sistem de conectare rapidă de acest tip din lume, și compatibilitatea verificată cu stimulatoarele cardiace permit un tratament ultra-eficient.

      Piezo Scaler PB-5 L
    • Piezo Scaler (fără iluminare)

      Eficient, flexibil, delicat

      Aparatul de detartraj cu ultrasunete W&H se remarcă prin îndepărtarea rapidă a tartrului și prin aplicarea delicată, minim invazivă. Acesta oferă un confort optim și este flexibil în utilizare, datorită sistemului eficient de anse W&H. Tehnologia piezoelectrică de ultimă generație îmbunătățește eficiența și feedback-ul tactil în toate indicațiile clinice.

      Piezo Scaler without light
    • Micromotorul Electric (EM-12 L)

      Funcționalitatea întâlnește confortul

      Micromotorul electric fără perii EM-12 L oferă o funcționalitate și un confort impresionante. Este deosebit de mic și surprinzător de ușor, este confortabil de ținut în mână și, pe lângă puterea mare și constantă, punctează suplimentar prin caracteristicile sale, cum ar fi tehnologia LED, durata lungă de viață și funcționarea silențioasă.

      Electric Motor (EM-12 L)
    • Piezo Scaler (with 5x ring LED)

      Efficient, flexible, gentle

      The W&H ultrasonic scaler stands out for its fast removal of calculus and gentle, minimally invasive application. It offers optimal comfort and is flexible in its use thanks to the efficient W&H tip system. State-of-the-art piezo technology improves efficiency and tactile feedback in all clinical indications.

      Piezo Scaler with 5x ring LED
    • Piezo Scaler (without light)

      Efficient, flexible, gentle

      The W&H ultrasonic scaler stands out for its fast removal of calculus and gentle, minimally invasive application. It offers optimal comfort and is flexible in its use thanks to the efficient W&H tip system. State-of-the-art piezo technology improves efficiency and tactile feedback in all clinical indications.

      Piezo Scaler (without light)

News

W&H la AEEDC 2026

Cea de-a 30-a ediție a AEEDC se apropie cu pași repezi: în perioada 19-21 ianuarie 2026, chirurgi, stomatologi și profesioniști din domeniul sănătății din întreaga lume se vor reuni la Dubai pentru a explora cele mai recente evoluții și inovații din domeniul stomatologiei. De la debutul său în 1996, AEEDC a evoluat până a devenit una dintre cele mai importante platforme internaționale pentru trendurile din stomatologie, dar și schimburile profesionale. Nu este de mirare că W&H Group, în calitate de producător, lider de tehnologie medicală, va prezenta și în acest an numeroase inovații, printre care noul Implantmed Plus II și noul Modul Piezomed Plus II, cele mai recente noutăți în chirurgia orală și implantologie.

Gândirea „Verde” la W&H

De peste 130 de ani, W&H este sinonim cu precizia și inovația în domeniul tehnologiei medicale. Astăzi, compania își desfășoară activitatea la nivel mondial, oferind sprijin medicilor stomatologi, chirurgilor și clinicilor pentru a le asigura pacienților tratamente de cea mai bună calitate.

W&H își omagiază angajații cu vechime îndelungată:
1.635 de ani de dedicare

Pe 20 noiembrie, a venit din nou momentul mult așteptat: W&H a premiat 69 de angajați cu vechime îndelungată, care au acumulat în total 1.635 de ani de serviciu. Președintele companiei, DI. Peter Malata, a profitat de această ocazie pentru a-și exprima personal aprecierea față de cei premiați, pentru angajamentul, loialitatea și solidaritatea lor față de W&H.

Split osos: nu există altă cale

EICHENKLINIK este o clinică privată renumită pentru stomatologia reconstructivă și implantologie, recunoscută pe scară largă dincolo de granițele regionale. O mare parte din fluxul de lucru chirurgical este realizat cu ajutorul echipamentelor W&H. În acest interviu, prof. dr. Enkling ne explică ce anume le face atât de speciale, în opinia sa.

Extracția dentară atraumatică

Capitolul opt al cărții „Piezochirurgia: principii generale și aplicații clinice” („Cirugía piezoeléctrica. Generalidades y aplicaciones clínicas”) subliniază importanța crescândă a extracțiilor dentare atraumatice. Această tehnică a devenit extrem de importantă, odată cu adoptarea pe scară largă a tratamentelor cu implanturi dentare, care sunt condiționate de pregătirea adecvată a osului alveolar, în vederea restaurării protetice ulterioare.

Noi standarde în implantologie

Pentru cei obișnuiți să lucreze zilnic la cel mai înalt nivel de precizie, este indispensabil ca tehnologia utilizată să fie înalt fiabilă și previzibilă. Am discutat cu Isabella Schmied (Manager de Produs pentru Chirurgie Orală) și Andreas Brandstätter (Manager de Produs pentru Chirurgie Orală și Implantologie) despre noul Implantmed Plus II.

Extracția dentară atraumatică:
Perspective clinice ale prof. José Carlos Rosas Díaz

Prof. Dr. José Carlos Rosas Díaz este un expert renumit în domeniile reabilitării orale, implantologiei și parodontologiei. Bazându-se pe vasta sa experiență, atât în cercetare, cât și în practica clinică, el se concentrează pe beneficiile extracției dentare atraumatice. În acest interviu, el abordează conservarea peretelui osos vestibular, fezabilitatea inserării imediate a implantului și rolul tehnologiei piezo în practica clinică modernă.

Compania W&H premiată cu Premiul pentru Inovație 2025

Studii de cercetare remarcabile din Austria: W&H a fost desemnată una dintre cele mai inovatoare 250 de companii din Austria și a fost distinsă cu Premiul pentru Inovație 2025 acordat de ÖGVS. Recunoașterea se bazează pe performanțele companiei în materie de brevete, din perioada mai 2024 - iunie 2025. Cu 194 de brevete depuse și deja acordate la nivel mondial, W&H continuă să promoveze inovația în domeniul tehnologiei medicale.

Mai puternic, mai distractiv – mai puțin stres

Sandra Schmee este certificată ca asistentă într-un cabinet de medicină dentară, fiind, în același timp, și economist. Aceasta a constatat că lucrează din ce în ce mai mult cu coroane din zirconiu. În ultimii ani, zirconiul s-a impus ca materialul numărul unu pentru coroane și punți, devenind foarte popular în rândul pacienților. Materialul este extrem de rezistent și durabil, iar aspectul său natural oferă avantaje estetice evidente. Stres în timpul manoperelor de restaurare? Pentru Sandra Schmee și întreaga echipă a cabinetului, acest lucru făcea parte din viața de zi cu zi – până la apariția gamei Synea Power Edition de la W&H. În acest interviu, Sandra ne povestește s-a schimbat modul lor de lucru.

O abordare sistematică privind succesul tratamentului: W&H prezintă Busola Chirurgiei Orale

Busola W&H pentru Chirurgie Orală oferă un ghid practic pentru fiecare pas în chirurgia orală și implantologie – de la diagnostic și tratament, până la documentația finală. Aceasta arată cum fiecare echipament W&H contribuie la realizarea tratamentelor, precum și modul în care aceste dispozitive medicale funcționează perfect împreună.

Plasarea implantului în condițiile atrofiei osoase: piesa de mână Zygoma în utilizarea clinică

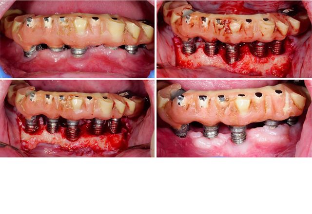
În cazurile de atrofie osoasă avansată sau după rezecții maxilare, reabilitarea protetică pe implanturi reprezintă o adevărată provocare. Implanturile zigomatice oferă o alternativă la procedurile convenționale de augmentare, iar atunci când sunt indicate corect, acestea permit o reabilitarea funcțională stabilă pe termen lung. Această abordare necesită nu numai o vastă experiență chirurgicală, ci și instrumente special concepute pentru a asigura o execuție precisă și sigură.

W&H la EAO în Monaco, 2025

În perioada 18-20 septembrie 2025, Asociația Europeană pentru Osteointegrare (EAO) și Societatea Franceză de Parodontologie și Implantologie Orală (SFPIO) vor organiza congresul internațional anual la Monaco. Cu peste 70 de vorbitori, sesiuni practice captivante și prelegeri susținute de experți la cel mai înalt nivel, acest eveniment este una dintre cele mai importante reuniuni din domeniul implantologiei. W&H este mândră să participe la acest eveniment și anunță deja o inovație interesantă în materie de produse.

Piese de mână contraunghi la limitele lor: Provocările stomatologiei restaurative moderne

Progresul continuu în dezvoltarea materialelor dentare restaurative determină și o creștere a cerințelor față de piesele de mână contraunghi, care trebuie să ofere durabilitate, eficiență și precizie. Dr. Wolfgang Tautschnig, medic stomatolog cu o vastă experiență, originar din Salzburg, a testat Synea Power Edition de la W&H pe parcursul a câteva luni, iar acum ne împărtășește concluziile, ca urmare a utilizării clinice zilnice. Această piesă de mână specializată a fost utilizată în principal pentru proceduri complexe, cum ar fi tăierea coroanelor și a punților dentare. Prezentul articol nu numai că prezintă avantajele noii piese de mână de mare viteză, dar ilustrează și performanțele sale clinice, cu ajutorul a două cazuri exemplificative.

Seethrough Max - Un mare salt înainte în diagnosticarea și planificarea tratamentului

„Să ai toate informațiile necesare dintr-o singură privire” - acesta a fost unul dintre motivele pentru care Dr. Mauro Amato, specialist în endodonție, stabilit în Basel, Elveția, era în căutarea unui nou echipament CBCT pentru cabinetul său stomatologic. Cu Seethrough Max de la W&H, acesta a găsit un instrument cu adevărat inovator și transformator. Imagistica 3D de înaltă rezoluție a acestui echipament a generat îmbunătățiri semnificative în ceea ce privește precizia diagnosticului și planurile de tratament, mai ales în cazurile complexe. În acest interviu, Dr. Amato împărtășește modul în care această tehnologie avansată contribuie la îmbunătățirea activității sale clinice zilnice.

Soluții W&H pentru măsurarea stabilității implanturilor

Cu Osstell Beacon și Osstell Classic, W&H Group oferă două instrumente destinate măsurării stabilității implanturilor. Ambele soluții au același scop: să sprijine clinicienii în optimizarea perioadelor de vindecare, pentru diferite situații clinice și sisteme implantologice. Dispozitivele ajută la determinarea stabilității implanturilor dentare, fără să interfereze cu procesul biologic de vindecare. Rapide, neinvazive și precise, acestea oferă clinicienilor informații de diagnostic valoroase pentru a lua decizii sigure, bazate pe dovezi.

U-Son. Echipament cu ultrasunete de la W&H

Baia cu ultrasunete U-Son, de la W&H, asigură o curățare extrem de eficientă a instrumentelor dentare. Fiind o metodă rapidă și eficientă de reprocesare în deplină siguranță, curățarea cu ultrasunete oferă rezultate excelente. Baia cu ultrasunete asigură o curățare delicată, dar completă a zonelor greu accesibile, eliminând chiar și cele mai persistente depuneri. U-Son devine astfel o parte importantă a ciclului de igienă.

De la imagistică la reprocesare

Progresul tehnologic își arată cu adevărat valoarea atunci când oferă beneficii reale, tangibile în practică. W&H se angajează să respecte această filosofie prin conectivitate inteligentă și inovații practice. În interviul nostru cu Thomas Lang, Chief Technology Officer la W&H, facem o incursiune în procesele de dezvoltare, explorăm tendințele actuale și aflăm cum inovațiile dezvoltate de companie transformă, în mod sustenabil, fluxul de lucru zilnic al profesioniștilor din domeniul sănătății.

SICAT și W&H anunță semnarea parteneriatului

W&H Group, recunoscut pentru produsele și soluțiile de înaltă calitate, și SICAT, lider în inovația stomatologică digitală, și-au anunțat parteneriatul pe termen lung la EuroPerio. Împreună, cele două companii își reafirmă angajamentul față de tehnologiile de viitor în medicina dentară. Prin intermediul experienței lor comune, cei doi parteneri urmăresc promovarea soluțiilor digitale în chirurgia orală.

De la imagistică la reprocesare

Progresul tehnologic își arată cu adevărat valoarea atunci când oferă beneficii reale și concrete în practica de zi cu zi. W&H și-a asumat angajamentul față de această filosofie prin conectivitate inteligentă și inovații practice. În interviul nostru cu Thomas Lang, Chief Technology Officer la W&H, pătrundem în procesul de dezvoltare, explorăm tendințele actuale și aflăm cum inovațiile acestei companii de tehnologie medicală transformă în mod sustenabil fluxul de lucru zilnic al profesioniștilor din domeniul sănătății.

Eyes of AI™ și W&H Group: Anunță un parteneriat revoluționar pentru imagistica dentară

Eyes of AI™, lider global în domeniul imagisticii dentare asistate de inteligență artificială, a anunțat noul parteneriat cu W&H, producător consacrat la nivel mondial de produse de tehnologie medicală și pionier în domeniul echipamentelor dentare avansate.

Igiena contează!

La IDS 2025, am avut ocazia să stăm de vorbă cu Alberto Borghi, Product Manager W&H, despre igienă și reprocesare. Cu cinci lansări de produse noi numai în sectorul igienei, compania W&H a reușit să se impună puternic la ediția IDS din acest an. I-am adresat lui Alberto Borghi șapte întrebări de interes major - iată răspunsurile sale.

Sunteți pregătiți să pășiți în viitorul stomatologiei?

Cu ajutorul conectivității digitale, al soluțiilor bazate în cloud și al documentării automatizate, digitalizarea transformă semnificativ operațiunile zilnice din cabinetul stomatologic. Dar ce rol are W&H în acest context? Ce poate face cu adevărat ioDent®, soluția IoT dezvoltată special pentru industria dentară? Și ce valoare adăugată aduce acest instrument? L-am întâlnit pe Christian Lechner, Product Director la W&H, la IDS 2025 și am discutat cu el pe tema stomatologiei digitale.

De ce ar trebui să măsurăm stabilitatea implantului?

De peste o jumătate de secol, implanturile dentare au revoluționat modul de îngrijire a pacienților - însă evaluarea stabilității implanturilor și a timpului de recuperare se bazează, de multe ori, mai degrabă pe estimări bazate pe experiență decât pe măsurători exacte. La fel ca atunci când se pune mâna pe frunte pentru a verifica temperatura, aceste „presupuneri educate” sunt deseori pe-aproape, dar atunci când nu sunt, lipsa de date obiective face ca evaluarea situației să fie o provocare. Proiectat pentru a oferi informații fiabile, bazate pe date, Osstell Beacon oferă medicilor încrederea de care au nevoie pentru a obține rezultate de implantare optime.

Perspective excelente pentru cabinetele stomatologice. În curând, și în România!

Indiferent dacă clinicienii caută soluții intraorale sau extraorale - cu gama Seethrough, W&H oferă acum un portofoliu de imagistică complet, format din cinci echipamente de înaltă tehnologie, pentru toate exigențele, precum și un software avansat care se pare că stabilește noi și noi standarde. Am stat de vorbă cu Valeria Ferrari, Product Manager W&H, pentru a afla mai multe despre motivația din spatele acestui pas, despre produsele incluse în portofoliu și despre ceea ce le diferențiază.

Așa a fost la IDS 2025

După cinci zile captivante petrecute împreună, IDS 2025 a ajuns la final. Ceea ce a rămas sunt inovațiile propuse publicului, care își vor găsi acum drumul spre cabinetele și clinicile clienților noștri. W&H, în special, a prezentat mai mult de 10 produse noi - între care amintim gama Seethrough, noul portofoliu de imagistică.

Thed îndeplinește toate dorințele!

Cum ar face duhul lămpii, noile termodezinfectoare W&H - Thed și Thed+ - îndeplinesc dorințele fiecărei clinici. Dezvoltate de W&H, aceste echipamente inovatoare oferă curățare și dezinfectare puternice, flexibilitate remarcabilă a încărcăturii și timpi de reprocesare și mai rapizi. Cu funcționalități de excepție, cum sunt cele două niveluri de spălare, uscarea activă cu aer și filtru HEPA, termodezinfectoarele Thed și Thed+ sunt cu adevărat remarcabile în clasa lor.

Vești bune, perspective bune:
W&H lansează portofoliul de imagistică.

Cu Seethrough, W&H oferă acum un portofoliu de imagistică complet, care include cinci soluții avansate de raze X și un software excelent, care stabilește noi standarde. Fie că sunt intraorale sau extraorale, toate soluțiile W&H oferă ușurință maximă în utilizare, calitate superioară a imaginii și conectivitate modernă. Portofoliul Seethrough este deopotrivă cuprinzător și foarte bine conceput, oferind două echipamente CBCT - Seethrough Max și Seethrough Flex - împreună cu un braț periapical și două surse de măsurare - un PSP Scanner și un senzor digital.

Succesul sterilizări depinde exclusiv de etapele de predezinfectare și curățare adecvate

Reprocesarea dispozitivelor medicale reutilizabile rămâne o sarcină complexă și dificilă, care necesită respectarea unor proceduri stricte, precum și actualizări periodice, pentru a se asigura că reflectă cele mai recente progrese științifice și tehnologice.

Inovarea este în ADN-ul nostru

Cum faceți să stabiliți noi standarde în industria dentară? Cum încurajați dezvoltarea unei culturi a inovației în cadrul companiei? Și cum rămâneți mereu înaintea timpului? Dipl. ing. Peter Malata ne împărtășește opiniile sale în acest interviu exclusiv. Chiar înainte de IDS 2025, aruncăm o privire mai atentă la cele mai recente progrese W&H. Începând cu anul 1996, Dl. Peter Malata a preluat conducerea W&H, companie de tehnologie medicală, și are în prezent aproximativ 1.300 de angajați, trei unități de producție și 18 subsidiare comerciale - exportând în 130 de țări din întreaga lume.

Surprinzător de spațios:
Noul sterilizator Lara XXL

Noul sterilizator Lara XXL impresionează, în activitatea de zi cu zi, printr-un maxim de capacitate și un minim, ca dimensiuni. Cu o incintă de sterilizare de 38 de litri, echipamentul oferă utilizatorului un maxim de spațiu, ceea ce face ca acest sterilizator să fie cel mai mare din portofoliul producătorului de tehnologie medicală W&H. Cu toate acestea, noul produs impresionează nu doar prin camera extrem de generoasă, dar și prin deosebita flexibilitate de încărcare, navigarea mult simplificată și o mulțime de alte avantaje.

Dificultăți la tăierea zirconiului?

Ideea utilizării instrumentelor rotative pentru tăierea materialelor dure datează de cel puțin 6.000 de ani. Încă din vremuri străvechi, oamenii foloseau freze litice manuale pentru tăierea scoicilor, a oaselor și dinților, utilizând o metodă care implica o rotație la viteză mică, cu un cuplu ridicat. Piesele de mână dentare moderne au îmbunătățit semnificativ acest principiu, permițând tăieri precise în materiale mult mai dure, cum ar fi ceramica dentară.

W&H va prezenta peste 10 produse noi la IDS 2025

Numărătoarea inversă a început - W&H Group așteaptă cu nerăbdare cel mai important summit de business din sectorul stomatologiei. Sub motto-ul „Ne bucurăm să vă vedem în curând”(So good to see you soon), compania noastră va prezenta peste 10 produse remarcabile în cadrul celor două standuri de la târg. Vizitatorii se pot aștepta la domenii de aplicabilitate cu totul noi, la o gamă largă de soluții în chirurgia orală, igienă, reprocesare, precum și la o secțiune dedicată fluxurilor de lucru digitale.

Sărbătorim 25 de ani de inovare:
o impresionantă călătorie cu Osstell

Osstell este lider mondial în măsurarea stabilității implanturilor și monitorizarea progresului osteointegrării și suntem foarte mândri să sărbătorim anul acesta cea de-a 25-a aniversare. Încă de la înființarea sa, în 1999, Osstell s-a dedicat revoluționării tratamentelor pe implanturi dentare, în scopul asigurării unor proceduri de implantare mai sigure, mai eficiente și mai reușite pentru pacienții din întreaga lume.

Depășirea dificultăților în prelucrarea zirconiului

Materialele ceramice, cum este zirconiul, sunt utilizate din ce în ce mai frecvent în stomatologia restaurativă modernă. Cu toate acestea, îndepărtarea restaurărilor din zirconiu cu piesele de mână contraunghi convenționale se dovedește a fi o procedură solicitantă și de durată. La aceasta se adaugă uzura accentuată a frezelor, în special în cazul materialelor monolitice. În unele cazuri, freza trebuie să fie schimbată la intervale de un minut. Pentru a rezolva această problemă, W&H a dezvoltat o nouă linie de produse special concepute pentru aceste manopere.

Case presentation: Complex Dental Prosthesis Management

The direct relationship between intraoral and general health, as well as the bidirectional influence that they may have on one another, is well-known (1,2). It is absolutely essential to consider both factors when planning preventive intraoral measures and treatment in the dental practice. The primary objective is the maintenance of patient health and quality of life from both dental and medical perspectives.

Personalised Prophylaxis for 74-Year-Old Implant Patient with Hypertension: Prevention According to the IPC Model

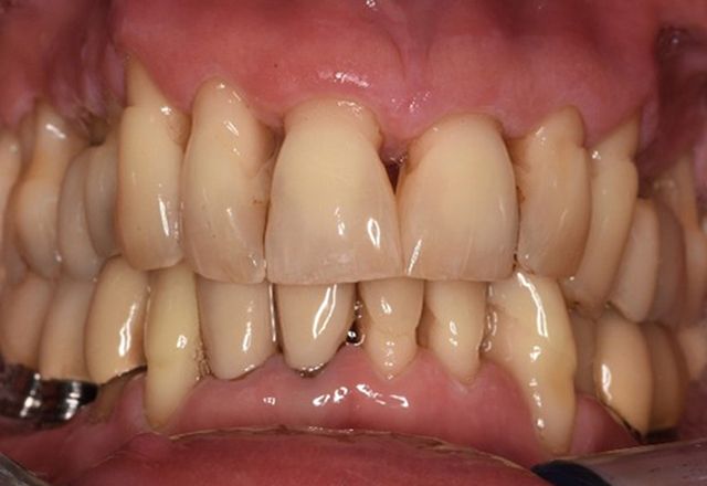
A 74-year-old patient presents for a consultation. The anamnesis shows that the patient has well-controlled hypertension and is taking Lixiana. Additionally, the patient had a kidney carcinoma in 2020. The patient’s lifestyle is unremarkable. She has no natural teeth left and has six implants in both the upper and lower jaws, which are fitted with crowns or bridges. Current findings show no peri-implant mucositis or peri-implantitis; however, there are occasional minor bleedings at the implant sites.

The (orally) healthy patient with implants

In the medical history, the 55 year-old patient states that he has no systemic disease and is not taking any medication. The patient’s lifestyle is similarly unremarkable. The patient has a few tooth restorations and two implants (2nd and 4th quadrants). On the basis of current findings, gingivitis is identified in an otherwise stable periodontal condition on the reduced periodontium (stage III, grade A).

Osteodensificare versus piezochirurgie pentru pregătirea locului de implantare

Osteodensificarea este o tehnică de foraj nesubtractivă prin care se realizează conservarea și compactarea osului. Această procedură vizează intensificarea densității osoase, a cuplului de inserție și a stabilității implantului. Tehnica este adecvată pentru augmentarea orizontală a crestelor alveolare înguste, precum și pentru creșterea înălțimii verticale, prin ridicarea sinusului crestal.

Lisa Mini de la W&H: Accelerează fluxul de lucru zilnic

Extrem de rapid, mic și flexibil: Lisa Mini este mica mașină de curse printre sterilizatoarele W&H. Datorită profilelor optimizate ale ciclurilor de sterilizare, echipamentul poate procesa încărcături împachetate, inclusiv piese de mână drepte și contraunghi, în mai puțin de 18 minute. În cazul încărcăturilor neambalate, durează chiar mai puțin de 9 minute. În plus, această versiune mini a celebrului sterilizator Lisa de la W&H este complet echipat și poate ține pasul cu toate caracteristicile și funcționalitățile sterilizatoarelor mai mari de clasă B.

The healthy patient with pre-existing periodontal disease & peri-implantitis

A 52-year-old patient presents at a prevention session. The patient has no systemic disease and is not taking any medication. He has had various dental treatments and also has two active carious lesions. In addition, the patient has four implants (2nd, 3rd and 4th quadrants). He is revealed to have early periodontal disease (stage IV, grade B). His periodontal condition is stable; a probe depth of 5 mm is only evident at the implant in region 36. Gingivitis is also identified.

ISQ ca indicator pentru reabilitările pe implant

Succesul pe termen lung, în tratamentul implantologic, este obiectivul vizat de toți clinicienii. Un element fundamental în acest sens este plasarea corectă a implantului, pregătirea zonei chirurgicale și o bună osteointegrare după inserție. Cu toate că valoarea cuplului este o premisă de bază pentru stabilitatea primară, această valoare, de una singură, nu poate oferi informații complete clinicianului. Prin urmare, cunoașterea valorilor ISQ este considerată fundamentală, atât pentru evaluarea stabilității primare a implantului (stabilitate mecanică), cât și a stabilității secundare a implantului (stabilitate biologică sau osteointegrare).

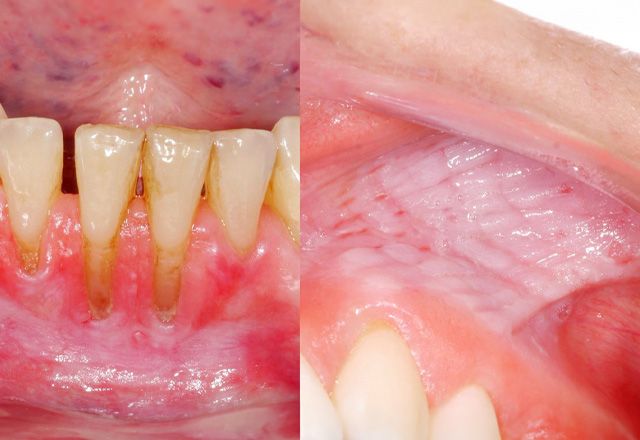
Snusul provoacă leziuni ale mucoasei și recesiune gingivală

Snus este de obicei pus în contact cu mucoasa bucală prin plasarea acestuia sub buza superioară și, în unele cazuri, sub buza inferioară, astfel încât nicotina pe care o conține poate intra în sânge prin mucoasa bucală.

Stres + deficit de somn = parodontopatie agravată...?

Stresul, definit ca o stare în care individul afectat percepe un sentiment de amenințare sau de lipsă de control, precum și tulburările de somn și/sau calitatea slabă a acestuia, reprezintă doi factori de necontestat, aflați la baza a numeroase provocări și dificultăți întâlnite în societatea zilelor noastre.

Pacientul diabetic cu boală parodontală preexistentă

Relația strânsă între starea de sănătate generală și starea de sănătate dentară este recunoscută și înțeleasă la toate nivelurile. Evaluarea afecțiunilor intraorale, abordate separat, nu mai poate fi considerată adecvată. Anamneza medicală generală și intraorală precisă, examinarea diagnosticelor, precum și evaluarea acestora - în comun - sunt esențiale pentru conservarea sănătății dentare și a calității vieții pacientului, oferind și medicilor un sentiment de siguranță în planificarea terapeutică.

Fumător de 28 de ani cu eroziuni dentare

Pacient în vârstă de 28 de ani, fumător, cu eroziuni. Relația bidirecțională dintre sănătatea orală și cea clinică generală este bine cunoscută. Este insuficient - și se poate spune chiar demodat - să se analizeze exclusiv afecțiunile intraorale. În vederea creerii unui profil de prevenție personalizat pentru pacient, cu specificitate cât mai exactă, este esențial să se efectueze o anamneză detaliată și o examinare minuțioasă a sănătății clinice generale și intraorale, luându-se în considerare ambele în conjuncție.

Soluții inovatoare cu Synea Power Edition de la W&H

Conceptul de utilizare a uneltelor rotative pentru tăierea materialelor dure, precum granitul, este vechi de cel puțin 6.000 de ani. Înca de la 25.000 î.e.n., strămoșii noștri foloseau unelte litice manuale pentru tăierea scoicilor fără să le spargă. În general, aceste unelte erau confecționate din silex, se presau pe obiectul care urma să fie perforat, apoi se roteau înainte și înapoi la viteză mică și cu un cuplu relativ mare. Piesele de mână moderne sunt puternice, multe fiind dezvoltate pe baza principiului vitezei variabile și al cuplului ridicat, pentru a permite tăieri precise în materiale mult mai dure, cum este zirconiul.

Este suficientă o singură vizită la dentist pe an, dacă aveți implanturi?

This study once more underlines that patients who do not regularly attend check-ups after receiving their implant-supported restoration have a very high risk of peri-implant diseases in general and specifically peri-implantitis; based on this data, at least two check-up visits per year are recommended.

Care este rezultatul pe termen lung al igienizării interdentare?

Curățarea interdentară cu ață dentară sau cu periuțe interdentare reduce semnificativ acumularea de placă interdentară și chiar contribuie, pe termen lung, la scăderea riscului de pierdere a dinților.

Mai multă artrită, mai multă parodontoză?

Pacienții cu poliartrită reumatoidă prezintă un risc semnificativ mai mare de parodontoză, iar acest risc crește și mai mult în cazul pacienților cu poliartrită reumatoidă deosebit de activă.

Dinte sau implant?

Lupta pentru recuperarea și păstrarea dinților parodontotici este, de cele mai multe ori, opțiunea cea mai avantajoasă pentru pacienți, din punct de vedere financiar, fiind de regulă mai ieftină decât manoperele de extracție și implantare ulterioară.

Tratamentul parodontal nu doar ameliorează parodonțiul

Un tratament parodontal nechirurgical poate reduce nivelul glicemiei pe termen lung (HbA1c) la diabeticii de tip 2, cu 0,3%, iar acest efect a persistat chiar și după șase luni de la tratament.

W&H implementează un pachet comprehensiv de economisire a energiei

Anul trecut, W&H a economisit 900.000 kWh de energie electrică. Pe lângă utilizarea echipamentelor inteligente, măsurile concrete și munca în echipă au contribuit semnificativ la obținerea acestui rezultat.

Atenție, părinți - risc de infecție!

Boala parodontală netratată la părinți poate influența în mod negativ dezvoltarea microbiomului oral al copiilor lor și poate promova dezvoltarea unui microbiom oral disbiotic.

Controlul optim al proceselor cu W&H eLog și noul test Helix

Instrumentele igienizate și echipamentele sterile reprezintă o chestiune de rutină într-un cabinet stomatologic profesionist. Prin urmare, funcționarea corectă și sigură a sterilizatoarelor cu abur este esențială. Cu noul eLog de la W&H, testele periodice și evidența ciclurilor de sterilizare pot fi acum salvate automat într-un jurnal digital. Acest lucru garantează conformitatea, în orice moment, cu normele privind documentarea. În plus, W&H introduce pe piață un nou test Helix, pentru un control optim al proceselor pentru sterilizatoarele de clasă B.

A pragmatic approach to manage
peri-implant biological complications

Explore the complexities of dental implant care: This scientifically backed article summarises the critical aspects of diagnosis, oral hygiene, and expert strategies for the effective management of both, mucositis and peri-implantitis.

W&H AIMS deschide drumul

Asigurarea condițiilor de igienă într-un cabinet stomatologic este esențială, deși poate fi complexă. Aici intervine W&H AIMS. Cu un amplu portofoliu de produse, o bază de cunoștințe fundamentale, precum și toate informațiile relevante la îndemână dintr-o singură privire, W&H AIMS se constituie într-o resursă valoroasă pentru fiecare cadru medical. W&H oferă sprijin pas cu pas pentru un management profesional al igienizării, în scopul întreruperii eficiente a lanțului infecțios. Acum, de asemenea, și cu ajutorul gamei de produse de curățare și dezinfectare compatibile, sub marca BePro.

Lubrifiere maximă cu un consum minim

Dispozitivele de întreținere sunt indispensabile atunci când vine vorba de asigurarea bunei funcționări a instrumentelor dentare cu transmisie, menținerea valorii acestora și o durată de viață cât mai lungă. Echipamentele W&H Assistina Twin și Assistina One impresionează prin lubrifierea temeinică și completă a componentelor interne de transmisie, prin curățarea canalelor de pulverizare, precum și datorită setului de îngrijire ecologic, One Care Set.

Pătrundeți în lumea produselor BePro

Un management complet și profesional al igienei este esențial pentru clinici, cabinete și laboratoare, prioritatea principală fiind siguranța pacienților și a întregii echipe de medici. Managerul de produs W&H, Federico Zunica, prezintă clienților noul portofoliu de produse pentru igienizare, BePro, în cinci videoclipuri scurte. BePro va permite companiei să răspundă tuturor nevoilor unui cabinet, în materie de dezinfecție și agenți de curățare și va permite, de asemenea, respectarea celor mai stricte standarde de igienă.

Coroanele implanturilor trebuie menținute curate... dar cum?

Forma coroanei implantului are o influență semnificativă asupra modului în care aceasta poate fi întreținută în condițiile obiceiurilor de igienă orală la domiciliu. Se observă, de asemenea, că formele concave ale coroanei par să fie mai ușor de curățat; iar partea inferioară a coroanei implantului, din zona posterioară, este mai ușor de accesat cu ața dentară.

Stil de viață nesănătos = rezultate de tratament precare?

Factorii care pot fi atribuiți unui stil de viață nesănătos și, în mai ales, o combinație a acestora, au dus la constatări îngrijorătoare privind creșterea semnificativă a profunzimii pungilor parodontale. La sondări reziduale, creșterile au fost în medie de 6 mm. Astfel, se observă diminuarea substanțială a probabilității atingerii rezultatelor de tratament dorite, la pacienții cu parodontoză, în urma tratamentului parodontal nechirurgical (etapele de tratament 1 și 2).

Bune practici de reprocesare și control al infecțiilor

În procesul de proiectare a produselor sale, W&H pune un accent semnificativ pe satisfacerea nevoilor profesioniștilor din domeniul medical. Pe parcursul a două workshop-uri ample, compania W&H a purtat discuții împreună cu profesioniști din Franța, Italia, Australia, Germania și Turcia. Obiectivul principal al acestor ateliere a gravitat în jurul transferului de cunoștințe, a schimbului de exemple de bune practici și a aprofundării procedurilor de reprocesare, precum și a fluxurilor de lucru în cabinetele lor stomatologice, cu scopul prevenirii infecțiilor.

Noua linie Synea Power Edition: pentru prelucrarea celor mai dure materiale

Noile piese de mână contraunghi de mare viteză W&H au fost special concepute pentru prelucrarea și îndepărtarea materialelor ceramice cu înaltă rezistență, cum este zirconiul. Cu un design deosebit de robust, un cuplu suplimentar și o rată de tăiere stabilă, noile piese Synea Power Edition reprezintă soluția ideală pentru manopere foarte solicitante, cum este îndepărtarea coroanelor și a punților.

Prevenția este cel mai bun tratament - Partea a II-a

Acumularea de biofilm este principalul factor etiologic în dezvoltarea bolilor periimplantare; controlul plăcii și terapia de întreținere a implantului sunt, prin urmare, esențiale în prevenirea bolilor periimplantare.

Succesul tratamentului - cât de mult contează? Partea a II-a

O definiție a tratamentului parodontal de succes este dificil de realizat, însă acesta poate fi asociat cu o rată mai mică de pierdere a dinților; totuși, rata de pierdere a dinților la pacienții care participă cu regularitate la ședințele de tratament parodontal de susținere este, în general, foarte scăzută.

BePro – Protecție profesională

Un management complet și profesionist al igienizării este esențial pentru clinici, cabinete și laboratoare. Siguranța pacienților și a întregii echipe a cabinetului constituie o prioritate absolută. W&H a prezentat pentru prima dată la IDS 2023 noul portofoliu de produse dezinfectante "BePro - Protecție profesională". Astfel, compania acoperă întregul necesar de dezinfectanți și agenți de curățare pentru cabinete și permite cele mai înalte standarde de igienizare, oferind o soluție completă și versatilă.

Prezența socială în viața societății, chiar și fără dinți?

La o vârstă mai înaintată, pierderea dinților determină o reducere semnificativă a participării sociale în viața societății, în timp ce menținerea unui număr de minim 20 de dinți produce efectul opus, ducând la o îmbunătățire semnificativă și, prin urmare, la o prezență socială mai frecventă.

Care sunt factorii care influențează rezultatul tratamentului - pacientul sau implantul?

În acest studiu, tratamentul nechirurgical al periimplantitei a avut succes doar în 25% din cazuri și a fost influențat negativ de un istoric medical cu parodontoză și fumat, de o igienă orală inadecvată și de un diametru mare al implantului.

Țesutul moale cheratinizat este esențial pentru implanturi

Prevenirea bolilor periimplantare este cel mai bun tratament, iar țesutul moale periimplantar poate juca un rol decisiv în acest caz; din acest motiv, echipa trebuie să determine dacă este nevoie de tratament la pacienții cu lipsă de mucoasă cheratinizată (adică o profunzime a mucoasei cheratinizate de < 2 mm).

Implanturile - Sunt ele o poveste de succes și din perspectiva pacientului?

Un procent foarte mare de pacienți au avut experiențe pozitive, în urma implantării, iar majoritatea pacienților au fost foarte mulțumiți de rezultat; cu toate acestea, criticile frecvente au fost legate de costurile tratamentului și dificultatea procesului de igienizare.

Cunoașterea din experiență

Cursuri practice, e-learning, rapoarte tehnice și studii: compania de tehnologie medicală W&H oferă utilizatorilor și practicienilor o gamă completă de cursuri de perfecționare. Pentru a completa optim portofoliul existent, compania se bazează pe lideri de opinie din mediul digital. Scopul este crearea unei rețele de profesioniști din domeniul medical, promovând astfel schimbul reciproc de cunoștințe.

Lustruire rotativă profesională - cu ajutorul instrumentelor de profilaxie de la W&H

"Proxeo - Prophy for Professionals" este sloganul pe care W&H îl folosește pentru a-și comercializa produsele destinate curățării profesionale a dinților și tratamentului parodontopatiilor. Compania de tehnologie medicală W&H oferă o gamă largă de soluții pentru îndepărtarea mecanică a plăcii dure și moi. Toate aceste produse au un lucru în comun: sunt extrem de eficiente, sunt delicate la utilizare și sunt concepute cu gândul la starea de bine a pacientului.

Exercițiile fizice sunt excelente pentru sănătatea noastră... și pentru dinții noștri?

Femeile care fac exerciții fizice în mod regulat au prezentat un risc semnificativ mai scăzut de parodontopatie și o severitate mult diminuată a parodontozei.

Fără dinți, suferă calitatea vieții?

Reabilitarea și înlocuirea dentiției lipsă duc la o îmbunătățire semnificativă a calității vieții, în raport cu sănătatea orală și, de asemenea, tind să îmbunătățească și starea generală de sănătate

Parodontoza ne afectează, de asemenea, simțul gustului și al mirosului!

Un studiu bazat pe chestionare a arătat că parodontoza crește semnificativ riscul de alterare a simțului gustativ și olfactiv.

Fumatul și profunzimea de sondare crescută sunt semnale de avertizare timpurie

Fumatul și adâncimea de sondare crescută, la vârste tinere (adică < 20 de ani), reprezintă factori de risc semnificativi pentru debutul timpuriu al parodontozei (de exemplu, sub 30 de ani).

W&H - igienă și siguranță fără compromisuri

Clar și limpede - acest slogan al producătorului de echipamente medicale W&H urmărește să evidențieze sinergia dintre instrumentele sale cu transmisie (piesele de mână) și dispozitivele de reprocesare. Turbinele și piesele de mână drepte și contraunghi de la W&H se remarcă printr-o serie de caracteristici care le conferă un plus de robustețe și un grad sporit de igienă. Dispozitivele de reprocesare și sterilizare, care le însoțesc, garantează, de asemenea, că piesele de mână sunt fiabile și aseptice, atât pentru pacienți, cât și pentru personalul cabinetului care le utilizează.

Prevenția este cel mai bun tratament!

Controlul optim al diabetului zaharat, terapia de susținere periodică a implantului și ameliorarea deficitului de țesuturi moi periimplantare s-au dovedit a fi caracteristici esențiale în prevenirea primară a bolilor periimplantare.

Mucozita peri-implantară - sunt eficiente terapiile chimice adjuvante? Partea a 2-a!

Măsuri suplimentare aplicate local, sau luate sistematic de pacient (de exemplu, antiseptice sub formă de soluții de clătire a gurii sau probiotice), ar putea avea un efect pozitiv suplimentar în tratamentul mucozitei periimplantare.

Standarde de igienă la cel mai înalt nivel

În acest interviu, Marino Magno, membru al echipei de conducere W&H Sterilization, vorbește despre viziunea sa asupra portofoliului de produse de igienizare W&H, despre produsele de top actuale, despre sterilizatoarele unice, în propria lor clasă, și despre noua gamă de produse de curățare BePro de la W&H. De asemenea, domnia sa oferă o perspectivă asupra a ceea ce ne mai putem aștepta de la W&H în sectorul produselor de igienizare.

Tratamentul nechirurgical al peri-implantitei - curățarea chimică ...?

Aditivii chimici utilizați pentru curățarea suprafeței implantului, ca parte a terapiei non-chirurgicale a peri-implantitei, ar putea da rezultate, însă pentru că există destul de puține studiile bine realizate, cu un număr suficient de pacienți și o perioadă de urmărire suficient de lungă, astfel că nu putem recomanda cu adevărat o metodă specifică și/sau un produs specific.

Tratamentul nechirurgical al peri-implantitei - standardul de aur ...?

Din cauza lipsei continue de studii clinice bine realizate, nu este încă posibil, pe baza dovezilor, să se ofere recomandări de tratament clare, pentru o curățare mecanică în cadrul unui tratament nechirurgical al peri-implantitei.

Pregătiți pentru viitor cu Implantmed Plus

Mereu la zi cu tehnologia digitală: W&H lansează în permanență actualizări de software și funcții noi pentru Implantmed Plus. Acest lucru oferă utilizatorilor perspective unice, atât în tratarea pacienților lor, cât și în ceea ce privește implantologia individuală și fluxurile de lucru chirurgicale.

Mucozita peri-implantară - sunt eficiente terapiile chimice complementare?

Având în vedere dovezile existente, nu se pot recomanda terapii chimice adjuvante, administrate profesional, pentru tratamentul mucozitei periimplantare; produsele testate până în prezent nu au demonstrat niciun beneficiu semnificativ, comparativ cu debridarea exclusivă.

Curățarea interdentară electrică - o alternativă bună ...?

Dispozitivele de curățare interdentară acționate electric par să aibă o eficacitate comparabilă cu cea a aței dentare, pentru pacienții cu gingivită, dar în același timp au avantajul că pacienții le preferă.

Reprocesarea devine ușoară

Mai multă ușurință de utilizare, și mai multă relevanță practică plus informații științifice suplimentare cu un singur clic: Cu noul flux de lucru W&H AIMS pentru reprocesarea corectă a instrumentelor, W&H oferă un ajutor online valoros pentru gestionarea igienei profesionale în cabinetele stomatologice.

Interesat în Soluțiile Built-in de la W&H?

Vă mulțumim pentru mesaj. Vom analiza solicitarea/întrebarea dumneavoastră în cel mai scurt timp.

Ne pare rău. A intervenit o eroare, iar mesajul dumneavoastră nu a fost trimis. Vă rugăm să ne contactați la: info@wh.com.

Solicitați preț ()

{{product.name}}
REF {{product.ref}}{{product.orderNumber}}
Solicitați preț acum

Pentru o experiență online neîntreruptă și interactivă a conținutului nostru multimedia (de exemplu, videoclipuri, hărți), vă rugăm să acceptați stocarea modulelor cookies necesare (YouTube, MovingImage - informații detaliate despre aceste module cookies pot fi găsite în secțiunea de imprint/protecția datelor) în scopuri de marketing.

acceptă