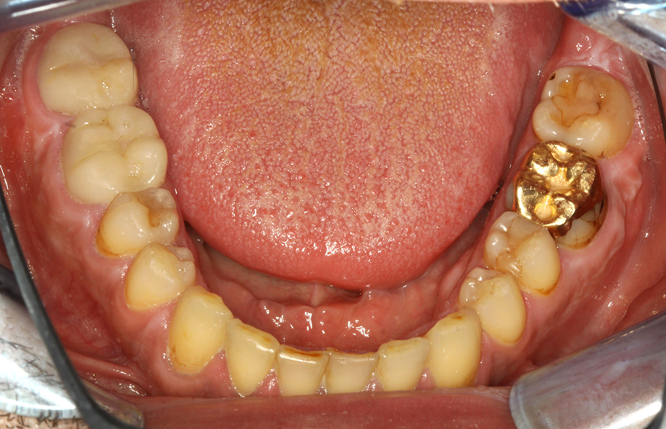
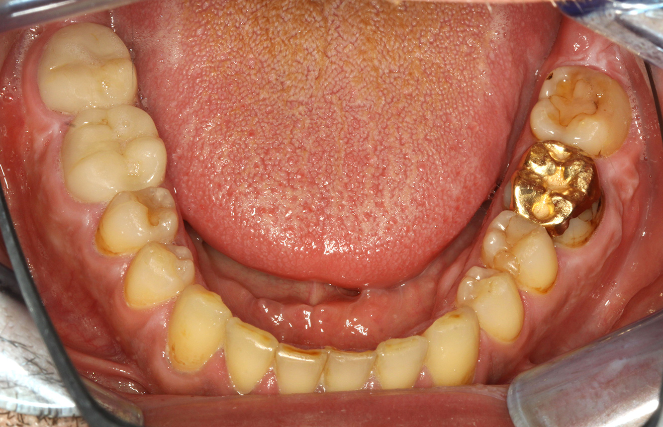
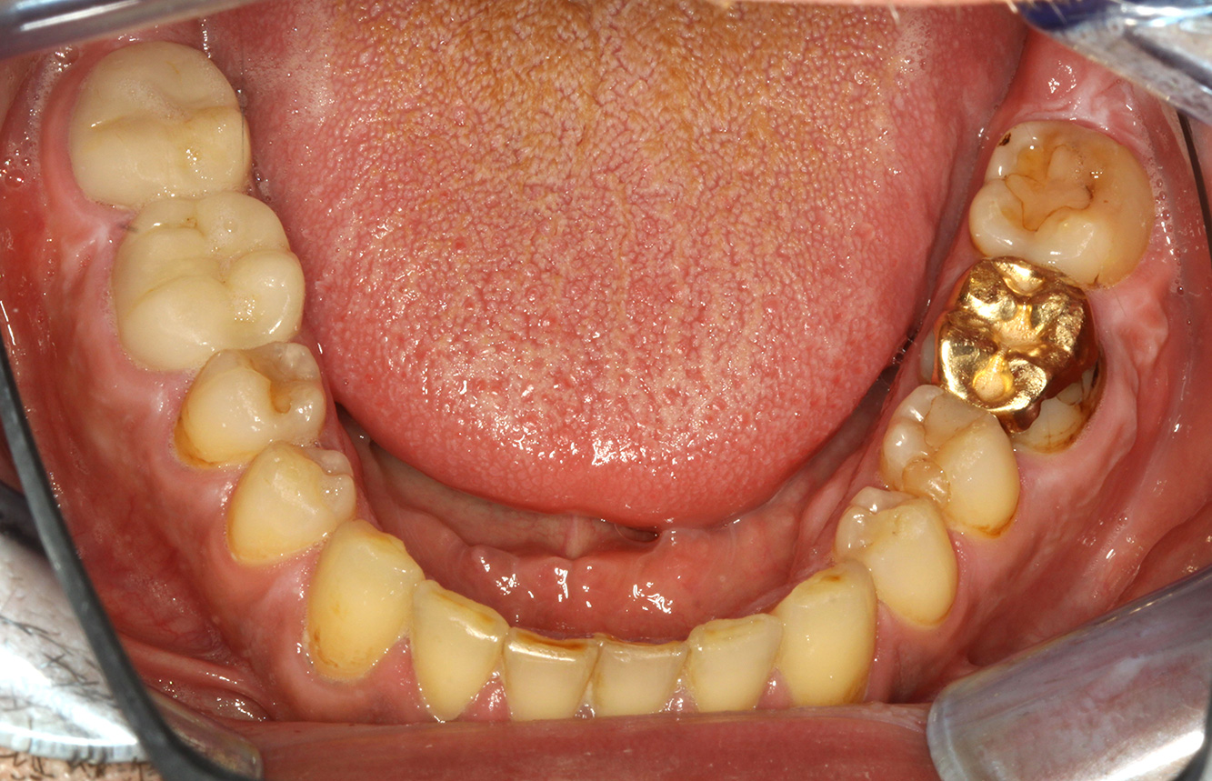
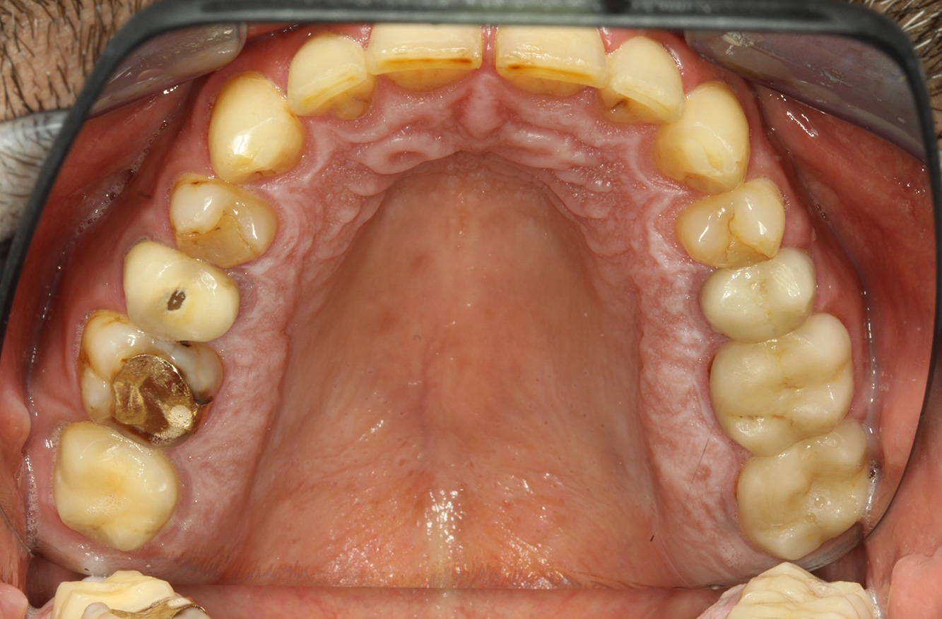
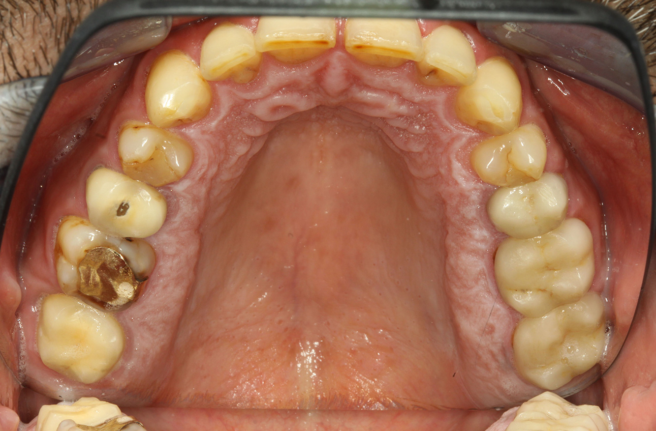
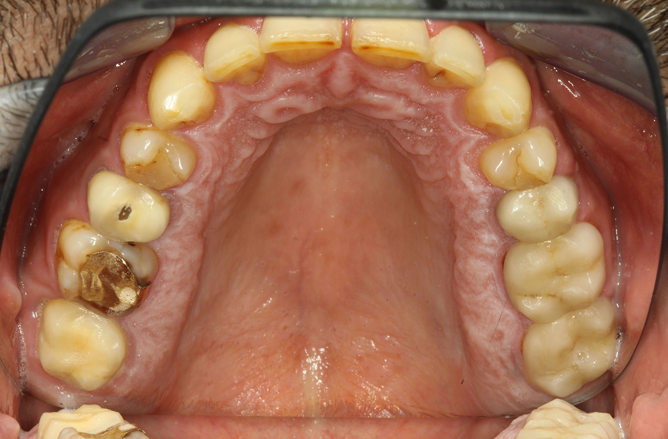
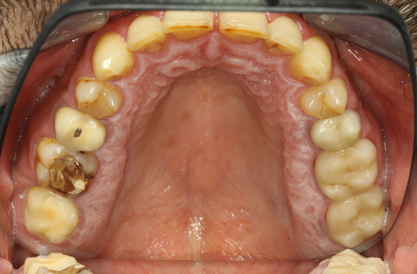
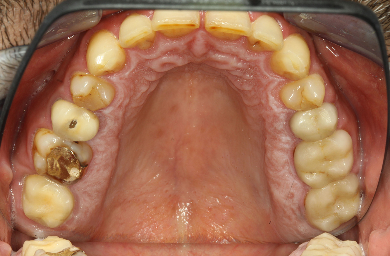
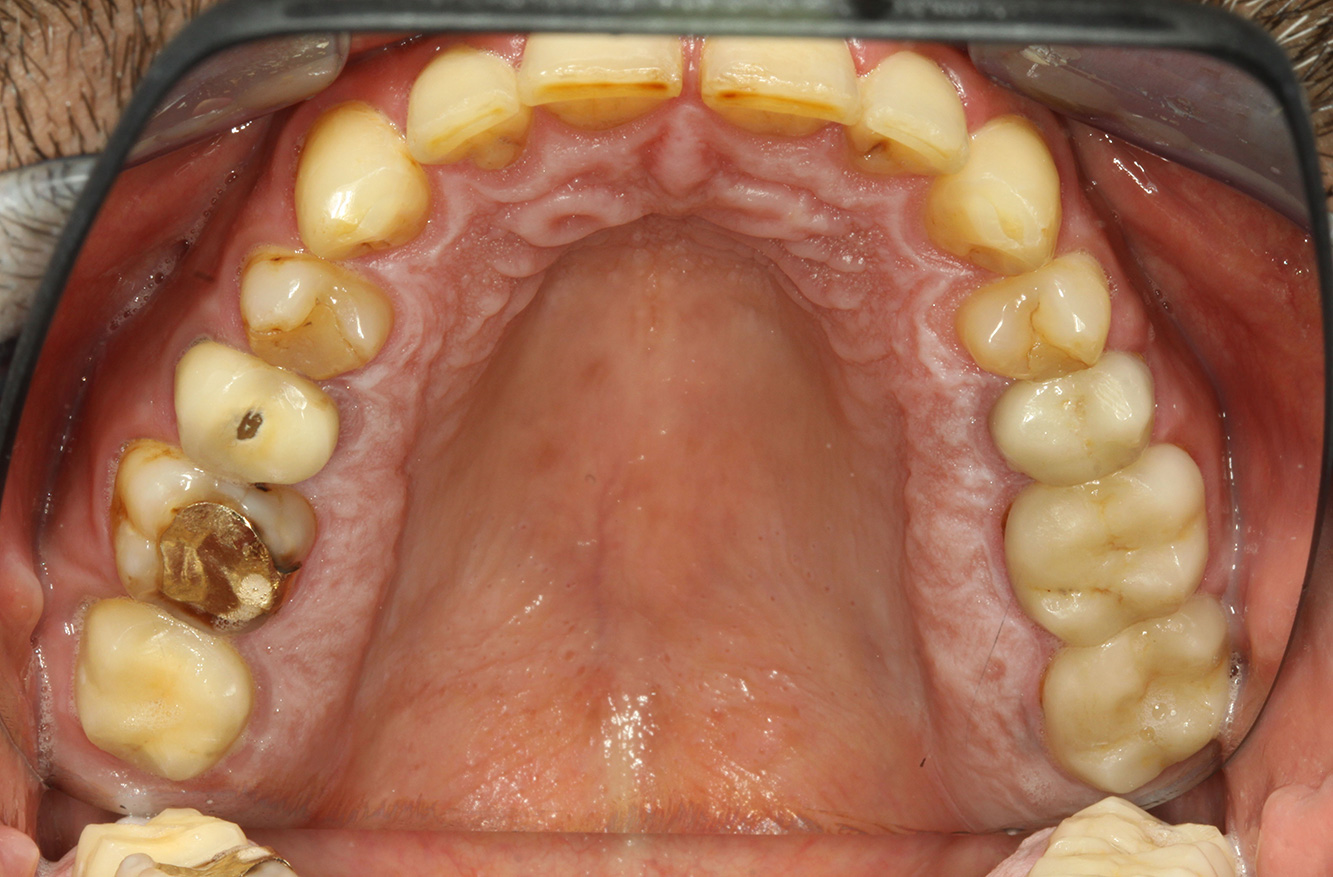
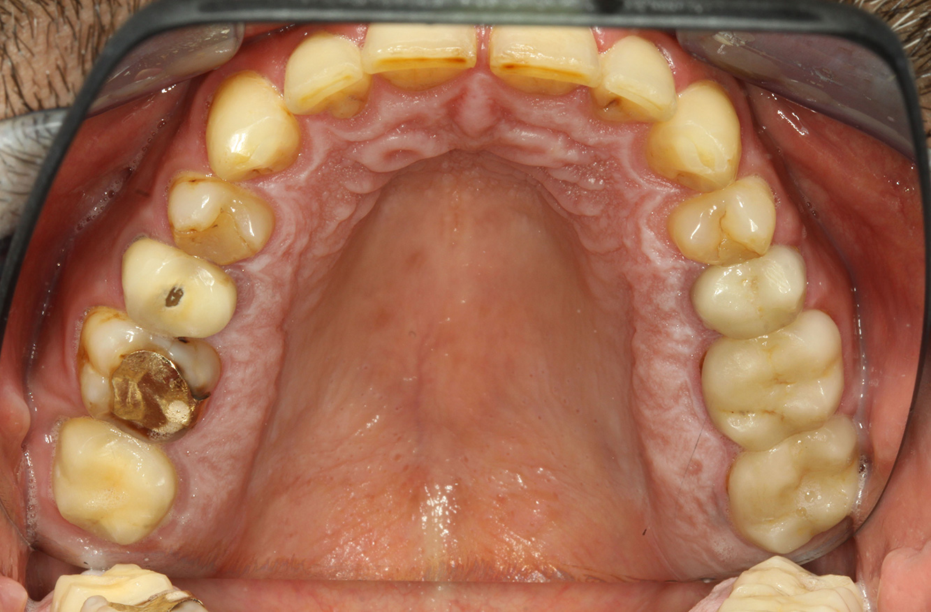
The endocarditis patient with active caries lesions*


The patient is 39 years old and has previously undergone aortic valve replacement due to valve failure and endocarditis. ASS 100 is taken regularly as an anticoagulant. In terms of lifestyle, the patient’s diet is classified as caries-promoting due to the regular consumption of sugary foods and the fact that six to seven meals are consumed daily. The patient’s oral health indicates a moderate risk of caries, with active lesions. The risk of periodontitis is low, but gingivitis is present. The following recommendations are made for prophylactic treatment.



The heart valve replacement and the history of endocarditis indicate an increased risk of complications. In order to reduce the risk of inflammation recurring, antibiotic prophylaxis is recommended (e.g. 2 g amoxicillin, 1 hour before the session). Despite the long-term blood-thinning medication, it is not expected that there will be an increased risk of bleeding in the prophylactic session.

Enough time must be allowed for the instructive/ motivational discussion. The negative impact of nutritional behaviour on oral health (9) should be clearly conveyed to the patient. With regard to the history of endocarditis, the connections between cariogenic bacteria and cardiovascular disease may also be discussed (12). This can strengthen the patient’s motivation to make a sustainable change to their diet. The discussion should convey to the patient the importance of – and motivate them to practise – good oral hygiene at home.

No specific instrument recommendations can be determined for the prophylaxis session. Targeted application of air and rotary polishing can be used to gently reduce plaque and stains on the restoration edges, and to reduce recolonization niches for cariogenic bacteria (19).

Fluoridation is recommended to further support the prevention of caries, and especially to prevent new formation around the restoration edges, and to seal the root surfaces. Both of these measures can reduce the teeth’s sensitivity to temperature.

Due to the active caries lesions and the associated risk of progression, a shortened recall interval of three to four months is recommended.
* with the kind permission of Dr G. Schmalz and Dr D. Ziebolz MSc.
Individual Prophy Cycle – The patient-oriented prevention concept

Priv-Doz Dr Gerhard Schmalz is a senior physician at the Oral Health Medicine, Polyclinic for Dental Preservation and Periodontology, University Hospital Leipzig, Leipzig (Director: Prof Dr Rainer Haak).

Prof Dr Dirk Ziebolz MSc is a senior physician at the Polyclinic for Dental Preservation and Periodontology, Leipzig University Medical Centre (Director: Prof Dr R. Haak); with focus on interdisciplinary dental preservation and health services research.
List of references
- Chapple IL, Bouchard P, Cagetti MG, Campus G, Carra MC, Cocco F, et al. Interaction of lifestyle, behaviour or systemic diseases with dental caries and periodontal diseases: consensus report of group 2 of the joint EFP/ORCA workshop on the boundaries between caries and periodontal diseases. J Clin Periodontol. 2017;44 Suppl 18:S39-s51
- Schmalz G, Ziebolz D, Individualisierte Prävention-ein patientenorientiertes Präventionskonzept für die zahnärztliche Praxis, ZWR- Das deutsche Zahnärzteblatt 2020;129;147-156
- Fresmann S., So sieht eine durchdachtes Prophylaxekonzept aus; Dental Magazin: Deutscher Ärzteverlag GmbH; 2015
- Schmalz G, Ziebolz D, Individualisierte Prävention-fallorientierte Bedarfsprävention, ZWR- Das deutsche Zahnärzteblatt 2020;129;33-41
- Schmalz G, Ziebolz D, Individualisierte Prävention-Implikation allgemeingesundheitlicher Faktoren, ZWR- Das deutsche Zahnärzteblatt 2019;128;295-304
- Wang C, Zhao Y, Zheng S, Xue J, Zhou J, Tang Y, et al. Effect of enamel morphology on nanoscale adhesion forces of streptococcal bacteria: An AFM study. Scanning. 2015;37(5):313-21
- Pence SD, Chambers DA, van Tets IG, Wolf RC, Pfeiffer DC. Repetitive coronal polishing yields minimal enamel loss. Journal of dental hygiene: JDH. 2011;85(4):348-57.
- Kumar PS. From focal sepsis to periodontal medicine: a century of exploring the role of the oral microbiome in systemic disease. The Journal of Physiology. 2017;595(2):465-76
- Lalla E, Papapanou PN. Diabetes mellitus and periodontitis: a tale of two common interrelated diseases. Nature Reviews Endocrinology. 2011;7:738
- Miller WR, Moyers TB. Eight Stages in Learning Motivational Interviewing. Journal of Teaching in the Addictions. 2006;5(1):3-17
- Paradigmenwechsel im Biofilmmanagement [Internet]. Spitta GmbH. 2014. https://www.pnc-aktuell.de/prophylaxe/story/paradigmenwechsel-im-biofilmmanagement__3512.html
- Christensen RP, Bangerter VW. Determination of rpm, time, and load used in oral prophylaxis polishing in vivo. J Dent Res. 1984; 63(12):1376-1382
- Graumann SJ, Sensat ML, Stoltenberg JL. Air polishing: a review of current literature. Journal of dental hygiene : JDH. 2013;87(4):173-80
- Bordoloi P, Ramesh A, Thomas B, Bhandary R. Epidemiological survey of dentinal hypersensitivity after oral prophylaxis. J Cont Med A Dent. 2018;6(1)
- James P, Worthington HV, Parnell C, Harding M, Lamont T, Cheung A, et al. Chlorhexidine mouthrinse as an adjunctive treatment for gingival health. The Cochrane database of systematic reviews. 2017;3:Cd008676
- Sawai MA, Bhardwaj A, Jafri Z, Sultan N, Daing A. Tooth polishing: The current status. Journal of Indian Society of Periodontology. 2015;19(4):375-80
- Slayton RL, Urquhart O, Araujo MWB, Fontana M, Guzman-Armstrong S, Nascimento MM, et al. Evidence-based clinical practice guideline on nonrestorative treatments for carious lesions: A report from the American Dental Association. J Am Dent Assoc. 2018;149(10):837-49 e19
- Gleissner E. Erfolgreiche Prävention auch in schwierigen Fällen. Allgemeine Zahnheilkunde: ZMK-aktuell; 2019
- Derks J, Schaller D, Hakansson J, Wennstrom JL, Tomasi C, Berglundh T. Effectiveness of Implant Therapy Analyzed in a Swedish Population: Prevalence of Peri-implantitis. Journal of dental research 2016;95:43-49
- Newton JT, Asimakopoulou K. Managing oral hygiene as a risk factor for periodontal disease: a systematic review of psychological approaches to behaviour change for improved plaque control in periodontal management. Journal of Clinical Periodontology 2015;42:S36-S46
- Veitz-Keenan A, James R, Implant outcomes poorer in patients with history of periodontal disease, Evicénce-Based-Dentistry 18, 5 (2017)
comentarii