Rapporter & Studier

The use of ozone in dentistry: Part 2

We are reporting on the successful treatment of an advanced case of Parodontitis marginalis profunda in the frontal area of the upper jaw of a 42-year old female patient with local application of ozone gas with the Prozone of W&H. Svea Baumgarten, Dr. med. dent., M Sc, accredited implantologist shares her experiences with ozone treatment.

The patient introduced herself at our practice, inquiring about preserving the front teeth of her upper jaw, which were suffering from chronic periodontitis. We discovered general formation of pockets
(> 10 mm), spontaneous bleeding and a degree of tooth mobility of 2/3, i.e. the teeth were candidates to be extracted. As an interim solution (it was a public holiday) until restoration could take place, we offered local ozone gas treatment.

As an ozone gas source, we used Prozone, which, with the aid of plastic attachments, makes it possible to introduce ozone gas into the pockets in a pain-free manner. The local application of ozone gas was repeated three times, at weekly intervals. The patient was also made aware of necessary personal hygiene measures. Not only were we able to stop the bleeding, but we were also able to keep the degree of mobility of the teeth at a stable level (2) and reduce the measurable depth of the pockets.

Case documentation

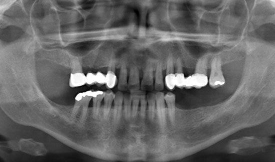
Fig. 1: Orthopantomogram



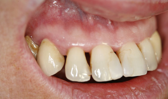
Fig. 3: Condition after ozone therapy. Chlorhexidine staining of the teeth
Fig. 2: Clinical aspect of region 12, formation of gas bubbles on the inflamed tissue. Continuous suction in the vicinity of the area of use

Fig. 4: Product photo (Prozone)

Successful treatment with Prozone

The ozone gas generator from W&H (Prozone) is characterized by its ease of use and safety of application (preset tissue-compatible dosages in the indication areas of periodontitis and endodontitis). Prozone ensures a hygienic procedure during the gassing of the pockets thanks to its exchangeable plastic attachments (Perio tips or Endo tips). Treatment of pain is not necessary, as ozone displays pain-relieving properties (on slow-conducting C-fibres).

The application of ozone gas can either be used as an additional treatment along with established methods or a monotherapy for periodontitis. How can the effect of ozone be understood? When dissolved in an aqueous medium (interstitial fluid), ozone reduces the level of microbial contamination and reduces organic material. It facilitates wound healing by disinfection and by the induction of positive biophysical mechanisms in the tissue (increased defence against radicals, induction of acute phase proteins, improved natural immunity, increased synthesis and release of growth factors, improved microcirculation, increased oxygen loading of erythrocytes, accelerated epithelial regeneration). Ozone dissolved in water is astonishingly biocompatible and less cytotoxic to oral cells than other established disinfectants (e.g. sodium hypochlorite).

Ozone gas is an effective surface decontaminant (see Oizumi et al.9 ) for removable prostheses. 90% of the streptococci (S. mutans) and staphylococci (S. aureus) were inactivated within 1 minute and, after 3 minutes’ exposure, no more pathogenic bacteria were detectable. This is a remarkable disinfection effect, given that 1 ppm of ozone in air (1 ml ozone/litre) contains only one five-hundredth of the number of molecules compared to the concentration of ozone in water (1 ppm = 1 mg ozone/litre of water). The effectiveness of ozone gas is dependent on the relative air humidity: the more moisture there is in the air, the stronger the effect of the ozone gas (radical reactions in the water).

Preview Part 3

We will be reporting in the next edition of the W&H Newsletter (December 2009) on the Clinical application of ozone in cases of caries and implantology

Source: Dr. Svea Baumgarten, M Sc, Bürgerweide 36, 20535 Hamburg, Tel.: (0049)40-259303, Fax No.: 040-27145679; svea.baumgarten@t-online.de.

Bibliography: please find the complete User Report in right download area of this page

Kommentarer