Implant therapy with W&H Implantmed: simple, safe and reproducible
“I have the simplest tastes. I am always satisfied with the best.” This well-known quotation from Oscar Wilde is applicable to treatment with dental implants and also to the W&H Implantmed surgical unit. The treatment of choice for missing teeth, from the single-tooth gap, to free-end situations and edentulous patients, is implantation. Implantmed is a reliable partner during surgery, even in cases where the standard protocol is inadequate for the situation. Dr Christian Dan Pascu, founder of the Discover White dental practice in Düsseldorf, is an international “Expert in Oral Implantology (GBOI)” and describes experience from the application of implantology with the aid of a clinical example.
The attending dentist is responsible for selecting the appropriate treatment regarding a suitable intervention and time and cost-benefit factor based on the consultation with the patient, the findings and the diagnoses. The emphasis must be placed on the consultation, together with explaining the procedure, risks and alternatives as well as the limits of the treatment, in order to meet and satisfy the patient’s needs. This involves variables, such as the patient’s expectations and/or the surgeon’s experience. The materials and equipment should be treated as constants that always provide reproducibly positive results that can be relied on.
A clinical case in implantology
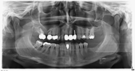
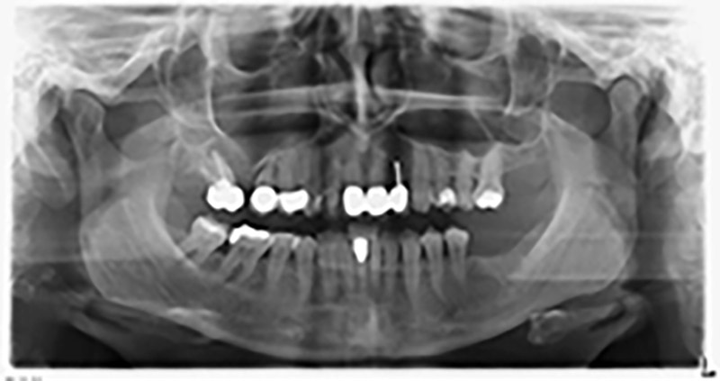
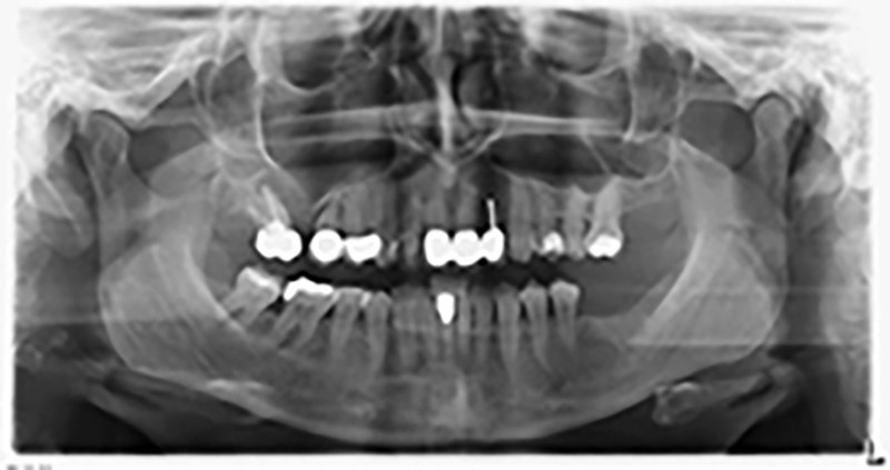
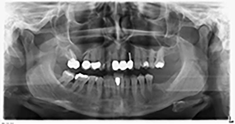
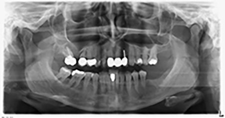
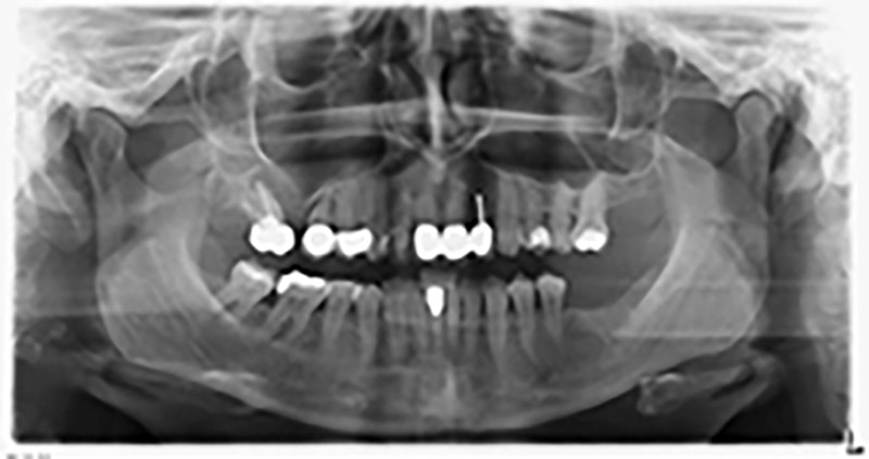
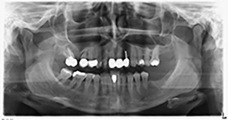
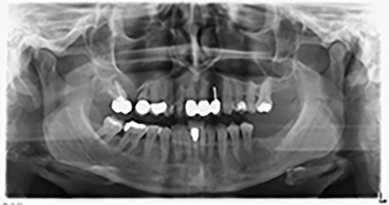
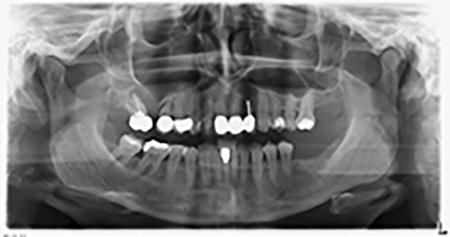
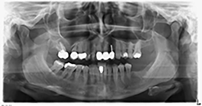
The 59-year-old patient presented with an advanced case of periodontitis, describing an unpleasant feeling and poor taste from the first quadrant in a distal direction. The clinical examination revealed generally enlarged periodontal pockets and very advanced bone atrophy in regions 16 and 14. The radiology confirmed the findings (Fig. 1). Teeth 16 and 14 could not be retained.
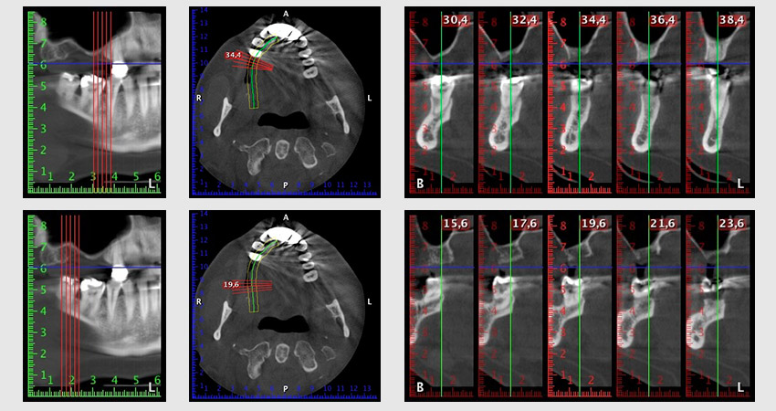
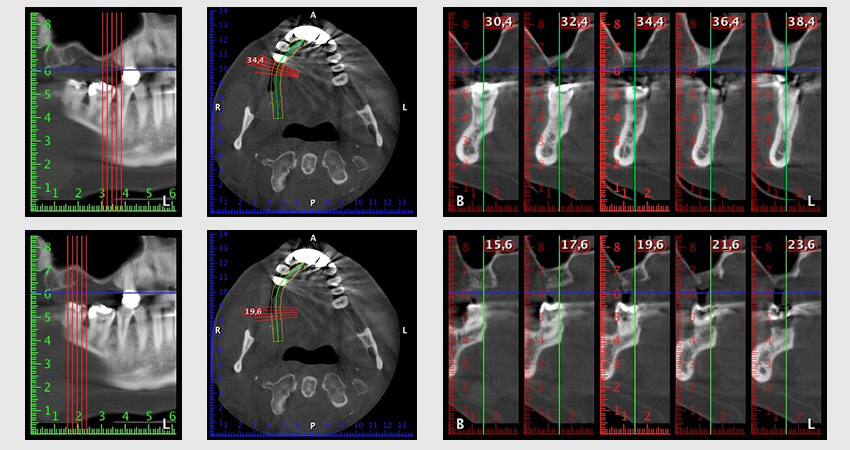
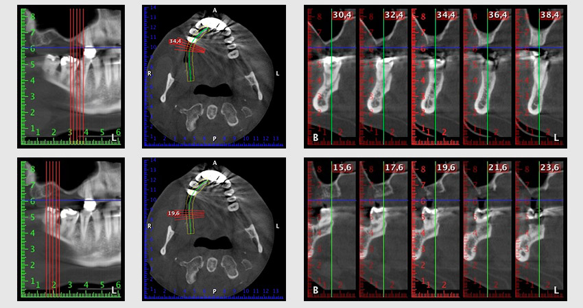
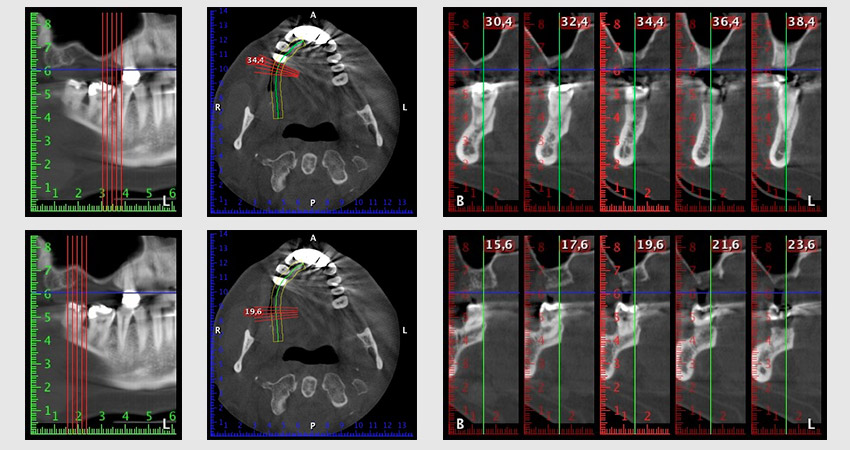
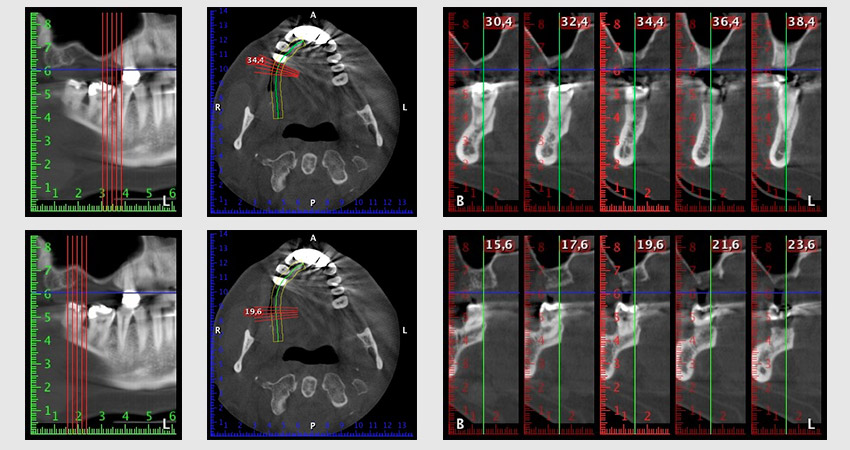
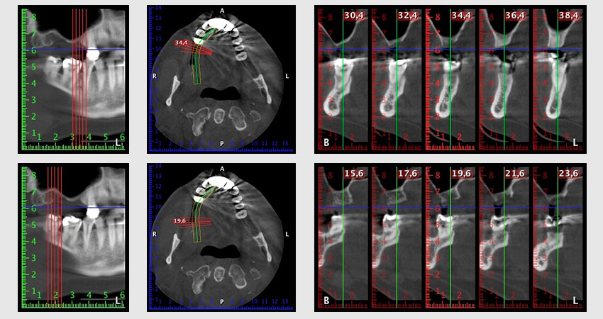
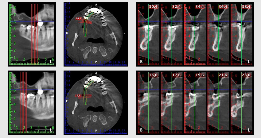
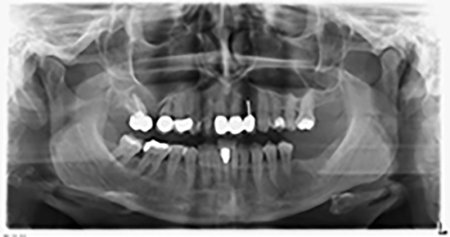
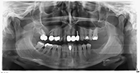
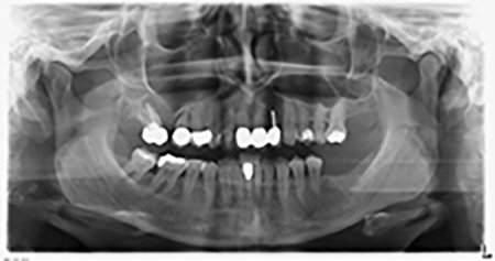
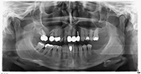
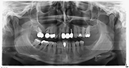
About six months after teeth 16 and 14 were extracted, a digital volume tomography (DVT, Planmeca) examination was performed for planning and risk minimization purposes. It clearly showed that the bone had not regenerated to the desired volume (Fig. 2 to 7).

A sinus floor elevation is required in both region 16 and region 14 to guarantee a fixed restoration based on at least two implants. Relatively large-scale bone augmentation is required due to the residual bone volume being extremely low in this case. Major bone augmentation procedures are invasive and linked to higher patient morbidity, as well as being time-consuming and expensive. It is more difficult to predict the results of the treatment and the risk of failure is increased. The patient was informed of the increased risk and was offered a removable solution, which she consistently rejected.
To restrict the augmentation to region 14, and in consultation with the patient, it was planned that implant 16 would be placed, inclined, in the dorso-cranial direction (Fig. 8).
This method requires a screw-retained solution for the final restoration. An angled abutment (e.g. 35°) was required so the screw could be perpendicular to the occlusion plane, which allowed the bridge to be attached occlusally.

Surgical procedure for implantation

The classic incision (crestal, buccal relief) and the preparation of the mucoperiosteal flap enabled a good overview.
Sky implants (bredent) were used this case. The surgical protocol of these, specify pilot drilling at about 1200 rpm (Fig. 9).
The following holes were drilled at a reduced speed of 300 rpm. The Implantmed demonstrated its true capability at this stage. The surgical protocol can be preset – the various positions can be selected simply by pressing the “P” position of the foot control (Fig. 10 to 11).


The next programmed position is the placement of the implant and in our practice it is preset to a force of 32 Ncm (Fig. 12).

The next step was the sinus floor elevation with simultaneous implantation. The Implantmed also had a presetting at the first position for the buccal fenestration of the maxillary sinus wall.
The fenestration was prepared at 35,000 rpm and then the nasal mucosa were prepared in the cranial direction (Fig. 13 to 14).


The implant was then placed and the bone built up. In this case, because of the size of the augmentation region, autologous bone chips, harvested with an osseous trap as drilling chips from implantation 16 and fenestration 14, were mixed with bone replacement material.
An absorbable membrane was used as the barrier in the buccal direction and covered the augmentation. Finally, saliva-proof sutures were placed (Fig. 15 to 19).






Surgical devices and accessories
The W&H Implantmed used in this procedure is notable for its ease of use. The buttons are easily readable and operation is intuitive. The surgeon can see the speed and mode even with just a quick glance at the large illuminated display. The various modes can be preset for the surgical protocol and selected with the foot control. Operations with this surgical unit saves time and simplifies the surgical procedure.
In this case, the hardness of the bone (D2-D3) made the thread-tapping function unnecessary. However, it should mentioned, because with the Implantmed it is a separate mode and can therefore be selected directly. It is an essential function in hard bone.
The surgical contra-angle handpiece is the WS-75LG, which is fitted with an LED+ light. The light increases the contrast in the oral cavity and improves visual perception. The straight handpiece is the W&H S-11. They are both externally irrigated, which in my opinion is a great advantage, because the saline solution is placed exactly where it’s needed, and can also be adjusted if necessary. The contra-angle and straight handpieces can be dismantled, which is highly recommended for hygiene and sterilisability.
Sky implants supplied by bredent were implanted – tooth 16: 5.5 x 10mm and tooth 14: 4.0 x 10 mm.

Dr. med. dent. Christian Dan Pascu
Expert in Oral Implantology (GBOI)
Discover White – Gemeinschaftspraxis
Dr. Mintcheva und Dr. Pascu
Zollhof 8, 40221 Düsseldorf
www.discover-white.de
* Images: Dr. Christian Dan Pascu
Yorumlar