Immediate prosthetic restoration with the Fast & Fixed method
To achieve reproducible success with complex oral rehabilitations, the team must include individual players and components that interact reliably and with the highest degree of expertise at all times. This includes a well-trained and experienced surgical staff, a reliable and thoroughly tested implant system, state-of-the-art technical equipment and a specialized and competent dental laboratory.
Clinical case
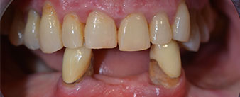
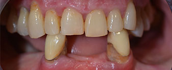
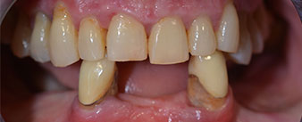
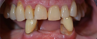
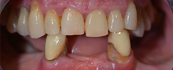
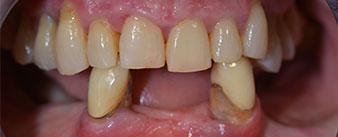
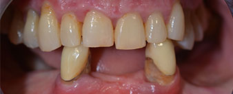
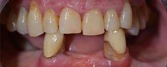
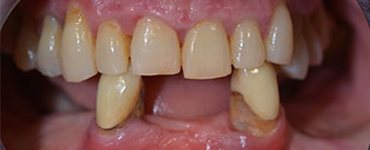
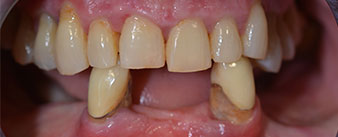
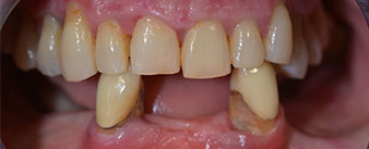
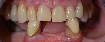
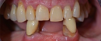
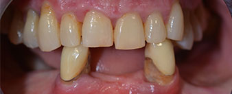
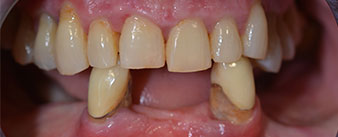
The 64-year-old patient presented with residual dentition of teeth 38, 33 and 43 and a clasp denture in the mandible (Fig. 1 and 2).


The necessary periodontal treatment and extraction in the maxilla was to be performed at a later point in time, as the patient is a teacher and was busy with school leaving exams at the time. She could neither eat nor speak properly, as the temporary prosthesis was very fragile, breaking regularly and under the slightest strain.
Following an explanation of the various treatment options open to her, the patient decided on extraction of the residual dentition in the mandible, an immediate implantation and treatment with the Fast & Fixed method (bredent medical), whereby the provisional fixed denture is screwed onto four implants on the same day as the surgery. The goal was to operate on the patient on the Friday so that she could assist in the oral examinations on the following Monday.
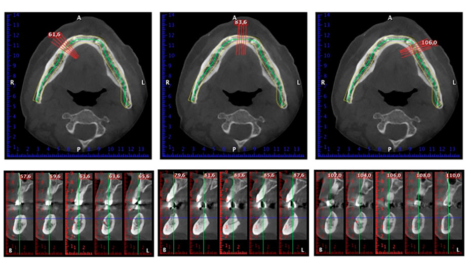
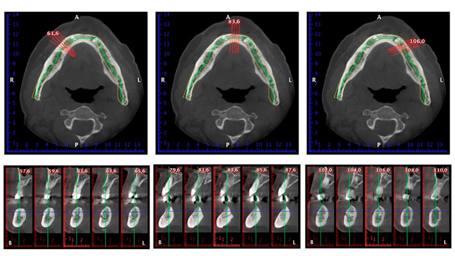
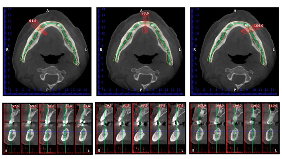
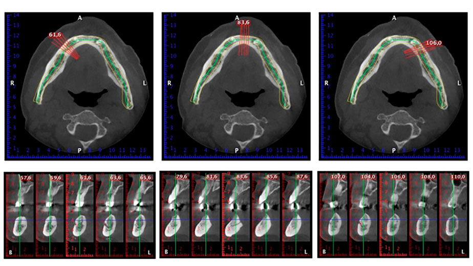
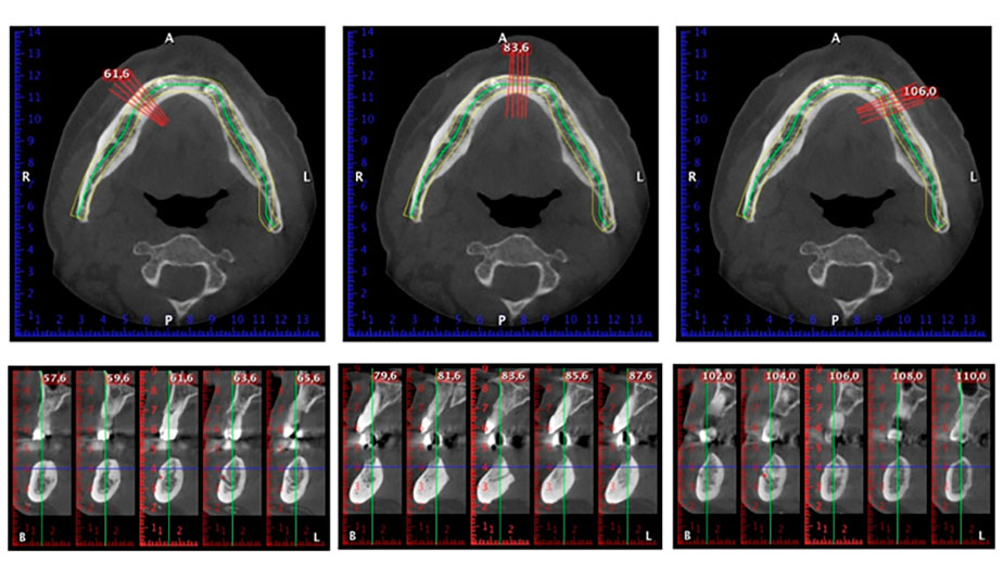
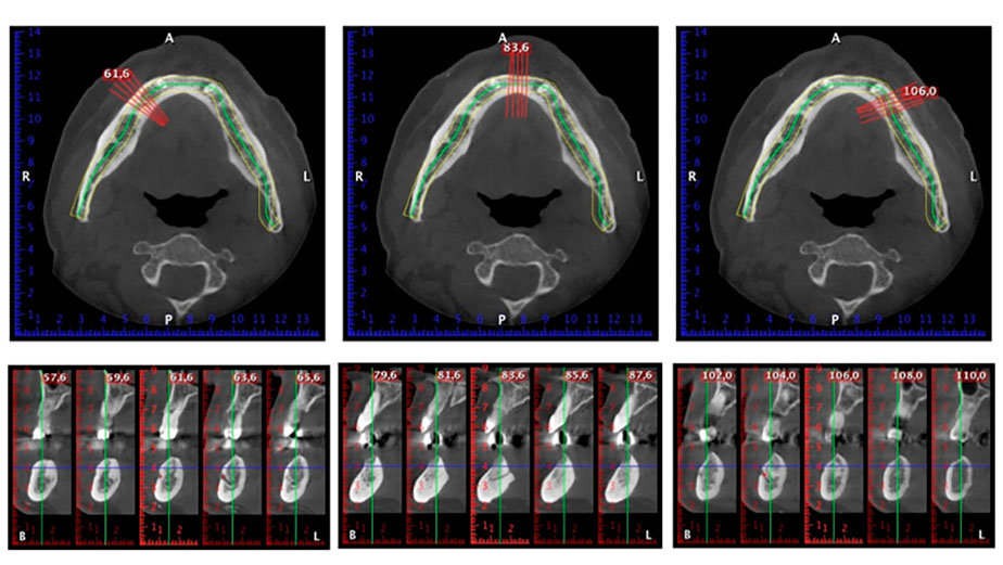
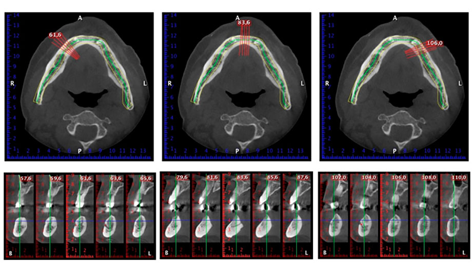
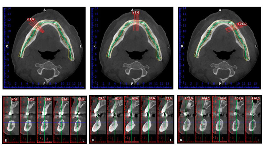
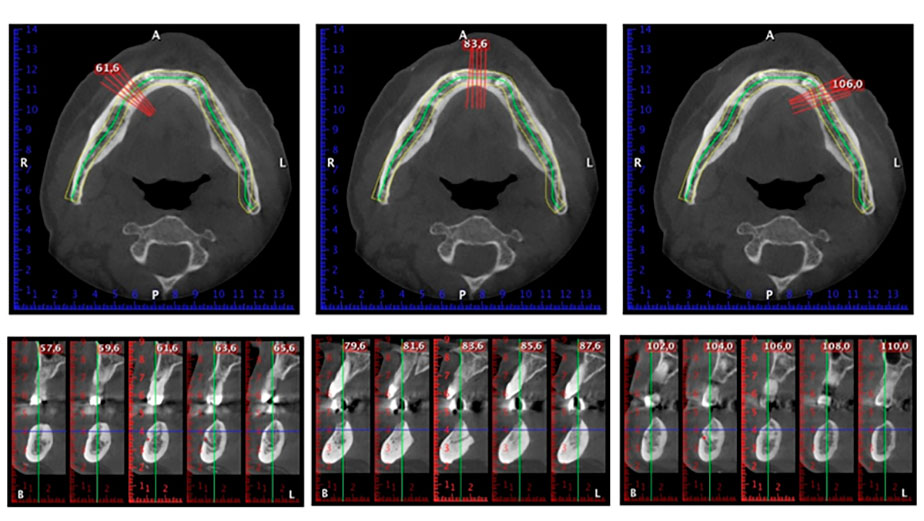
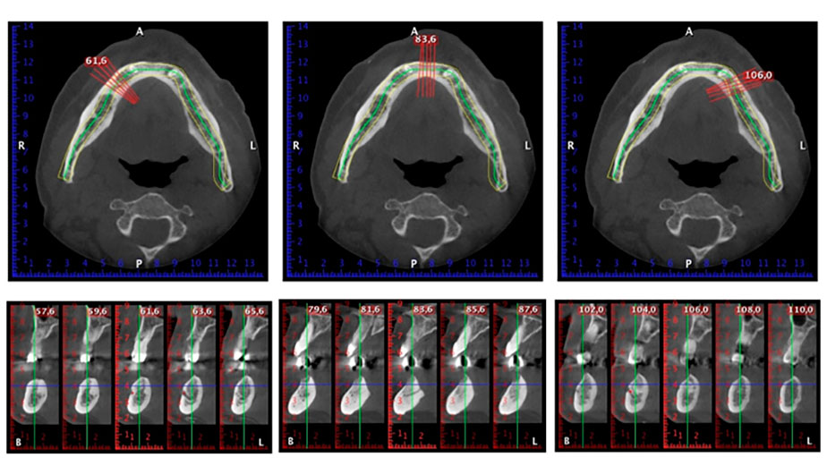
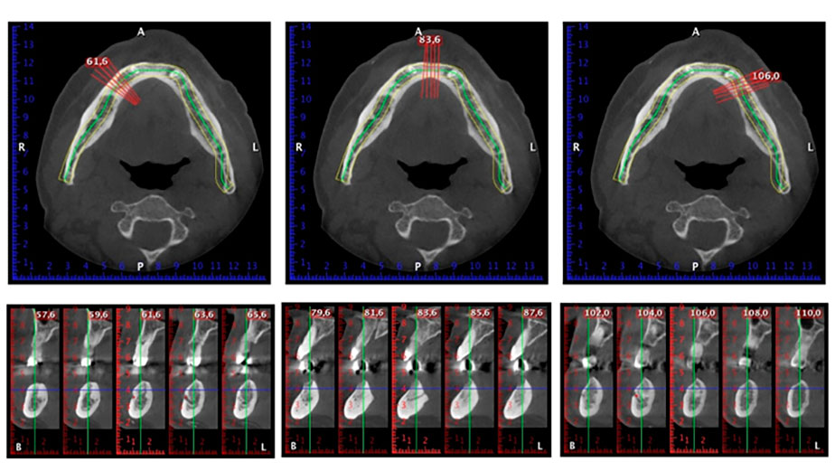
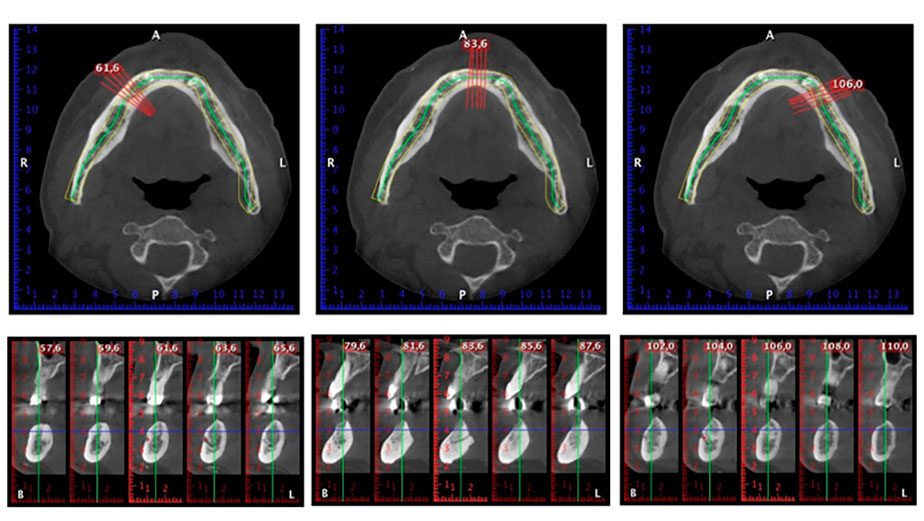
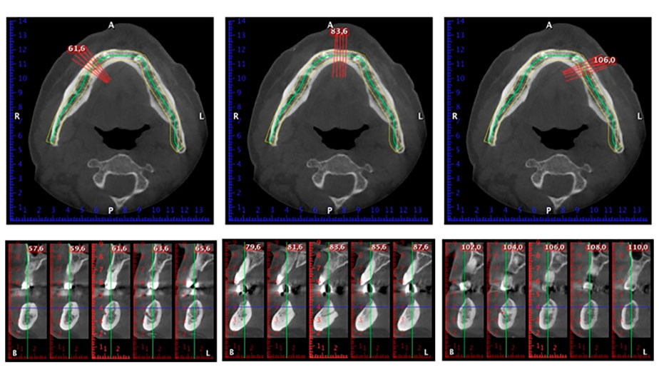
A three-dimensional cone beam computed tomography scan (CBCT, Planmeca) was performed to aid planning and minimize risks. This revealed that the quality and quantity of the available bone were sufficient for the surgery and immediate restoration using the Fast & Fixed method. Following the protocol for this concept, the implants are inserted at 35, 32, 42 and 45. Angling the distal implants by up to 45° shifts the emergence profile to posterior and generates a larger support polygon (Fig. 3).

Surgical procedure
After removal of the residual dentition in the mandible, the alveolar crest was exposed from 37 to 47.
The mental foramen was first identified as a limiting anatomical structure and then the cortical bone of the crest was smoothed with the straight handpiece and a large rose-head bur (Fig. 4).

This is where the first advantages of Implantmed become obvious. The surgical protocol is already preset and the settings stored at fixed positions. The individual positions can be selected by simply pressing the “P” position on the foot control or via the display itself. The preset speed of 35,000 rpm in position 1 in this case is also shown in large figures on the illuminated display (Fig. 5 and 6).


The surgical protocol for the implants employed (SKY, bredent medical) specifies a speed of 1,200 rpm for the pilot drilling (Fig. 7 - 9).
This corresponds to the next preset position in the Implantmed. Here we see the W&H contra-angle handpiece being held at a 45° angle to mesiocaudal in the region of 45 in order to preserve the mental nerve. The mental foramen is used as the anatomic reference for all drilling in this region. The subsequent holes were drilled at a reduced speed of 300 rpm (Fig. 10 and 11).


The next programmed setting is already for placement of the implants. In our practice we usually employ a torque of 32 Ncm to place the implants (Fig. 12 and 13).


High primary stability is an absolute requirement for an immediate restoration. In order to achieve this, the hole was not tapped in this case. The W&H Implantmed drill unit used here is equipped with a suitable special mode for this, which can also be directly selected and is indispensable for many indications. The final revolutions when placing the implants exceeded the value of 32 Ncm and were performed by hand. In such cases, we recommend utilizing the implants’ self-tapping function and twisting the implants backwards and forwards several times. This allows the implant to approach the final position gradually without exerting excessive pressure on the bone (Fig. 14).

Angled abutments (35°) were screwed in to compensate for the divergence of the distal implants, with the result that the emergence profile of all implants was as perpendicular as possible to the bite plane. This is a prerequisite for occlusal placement of the provisional and subsequently the permanent denture (Fig. 15 and 16).


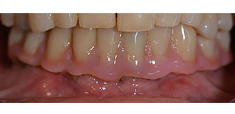
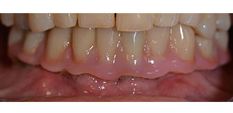
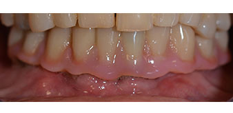
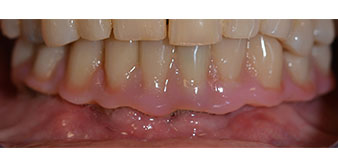
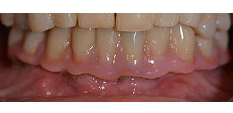
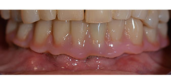
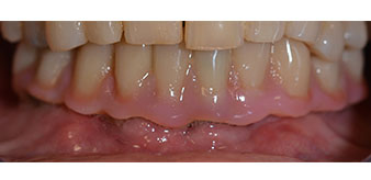
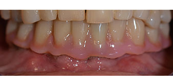
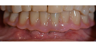
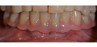
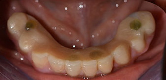
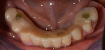
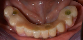
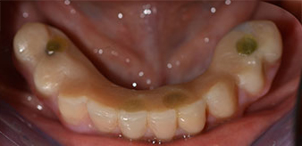
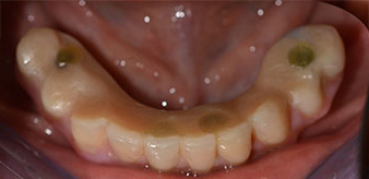
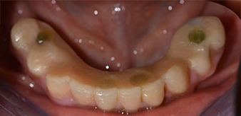
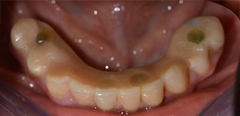
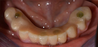
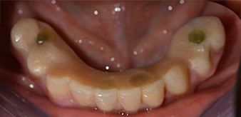
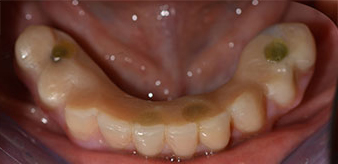
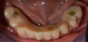
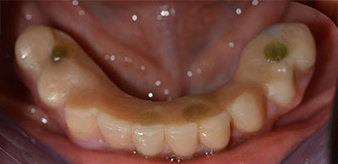
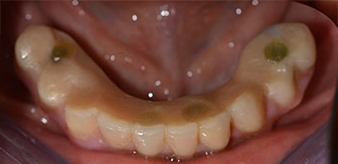
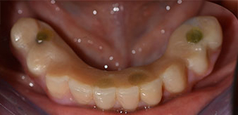
The impression and bite registration were then performed so that the dental technician could begin producing the provisional restoration immediately. This was then screwed in on the same day (Fig. 17 and 18).


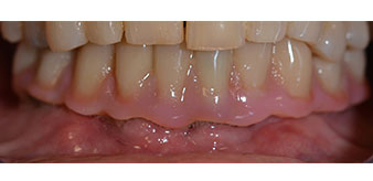
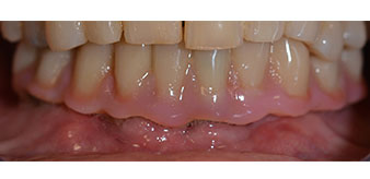
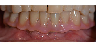
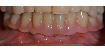
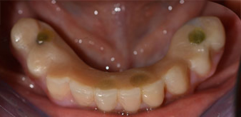
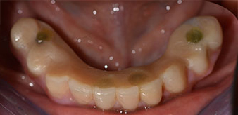
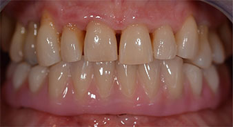
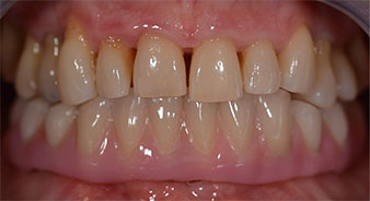
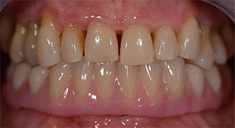
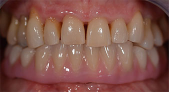
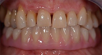
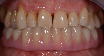
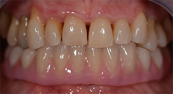
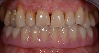
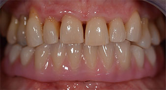
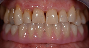
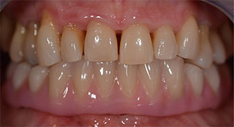
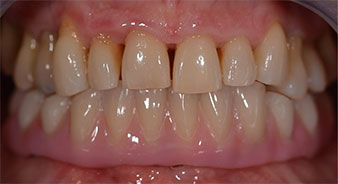
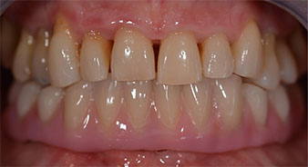
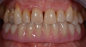
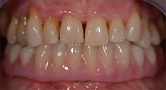
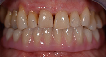
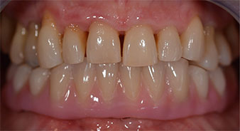
Following the time required for the osseointegration, the final impression of the implants could be performed and the final denture produced accordingly (Fig. 19 and 20). At this point, the dentist and patient were able to decide together whether to use a ceramic or acrylic veneer and a zirconium or metal framework. In this case, Dr. Pascu’s team decided on an acrylic veneer based on the unclear prognosis for the maxillary dentition and the fact that tooth 24 is elongated. This type of veneer is generally considerably easier to adapt and can thus be subsequently altered to reflect the new situation in the maxilla.



Surgical devices and accessories
The W&H Implantmed drill unit used in this procedure is notable for its ease of use.
The buttons are easily readable and operation is intuitive. The surgeon can see the speed and mode even with just a quick glance at the large illuminated display.
The various modes can be preset for the surgical protocol and selected with the foot control. Operation in this way saves time and simplifies the surgical procedure.
The surgical contra-angle handpiece is the WS-75LG, which is fitted with an LED light.
The light increases the contrast in the oral cavity and improves visual perception. Both the contra-angle handpiece and the S-11 straight handpiece from W&H are externally cooled, which can be seen as a great advantage because the saline solution arrives exactly where it’s needed and can also be subsequently adjusted if necessary. The contra-angle and straight handpieces can be dismantled, which is highly recommended for hygiene and sterilizability. Four SKY implants measuring 4.0 x 14mm were placed.

This clinical case was conducted by Dr. Christian Dan Pascu and his team at the Discover White dental practice in Düsseldorf in cooperation with bredent medical GmbH and Co. KG and W&H.

Contact:
Dr. med. dent. Christian Dan Pascu
Expert in Oral Implantology (GBOI)
Discover White – Gemeinschaftspraxis
Dr. Mintcheva, Dr. Pascu
Zollhof 8, 40221 Düsseldorf
www.discover-white.de
* Fotos: Dr. Christian Dan Pascu
Yorumlar