Raporlar & Çalışmalar

Piezo cerrahi cihazlarıyla atravmatik diş çekimleri

Orijinal makale: Dental Tribune Latin America

Atravmatik diş çekiminin artan önemi birçok yayında sıklıkla vurgulanmaktadır. Bu teknik, sonraki protez restorasyonu için alveolar kemiğin uygun şekilde hazırlanmasına bağlı olan implant tedavisinin yaygınlaşmasıyla birlikte daha da önemli hale gelmiştir.

Yazarlar, piezoelektrik cerrahi kullanarak travmatik olmayan diş çekimi gerçekleştirmede izlenecek klinik adımları özetlemektedir. Bu teknik, prosedürü basitleştirir ve geleneksel yöntemlere kıyasla daha üstün sonuçlar verir.

Diş çekimi, çoğu diş hekimi tarafından rutin olarak yapılan bir cerrahi işlemdir. Ancak, implantların ortaya çıkmasıyla birlikte, çekim sırasında hem sert hem de yumuşak dokuların titiz bir şekilde yönetilmesi giderek daha önemli hale gelmiştir.1,2

Çekim sonrası, yatay ve dikey krestal kemik rezorpsiyonu nedeniyle kalan yapılarda önemli boyut değişiklikleri meydana gelir. Bu değişiklikler, boş soketin granülasyon dokusu, bağ dokusu, geçici kemik ve sonunda olgun lameller kemik ile aşamalı olarak yer değiştirmesi ile aynı zamana denk gelir.2,3

Atravmatik diş çekimi, hem yumuşak hem de sert dokuların korunmasını kolaylaştırır, kemik oluşumu için gelişmiş bir biyolojik tepkiyi destekler ve immediyat implant yerleştirme veya alveolar sırtın korunması için daha uygun bir ortam oluşturur.

Diş çekimi sonrası yatay kemik kaybı, bukkal plağın yaklaşık %30'unu ve lingual plağın %10'unu etkiler.3 Çalışmalar, bukkal plağın %50'sine kadarının ilk yıl içinde kaybedilebileceğini göstermektedir.4 Bu boyut değişiklikleri, krestal seviyede genişlikte 2,6 mm ile 4,5 mm arasında ve yükseklikte 0,4 mm ile 3,9 mm arasında azalmalara karşılık gelir.5

İnce bukkal kemik plakları (< 1 mm) gibi önceden var olan durumlar, bu durumu daha da kötüleştirerek, diş çekimi sonrası kemik kaybının yükseklikte 1,17 mm'ye ve genişlikte 2,67 mm'ye kadar ulaşmasına neden olabilir. Bunun aksine, kalın bukkal plaklar (> 1 mm) önemli ölçüde daha az rezorpsiyon gösterir; yükseklik kaybı yaklaşık 0,5 mm, genişlik kaybı ise 1,17 mm'dir.6 Ayrıca, tek diş çekimlerine kıyasla çoklu çekimlerden sonra daha fazla krestal rezorpsiyon bildirilmiştir.6

Travmatik olmayan diş çekimi, geleneksel çekim yöntemleriyle sıklıkla ilişkilendirilen iyatrojenik travmayı en aza indirmeyi amaçlayan, dişin titizlikle çıkarılması anlamına gelir. Bu yaklaşım, hem yumuşak hem de sert dokuları koruyarak kemik oluşumu ve soket dolgusu için gelişmiş bir biyolojik yanıtı teşvik eder, ameliyat sonrası enfeksiyon riskini azaltır, doğal diş eti dokusu konturunu korur, son restorasyonun estetik sonucunu iyileştirir ve anında implant yerleştirme veya alveoler sırt koruması için daha uygun bir ortam sağlar.7

Mümkün olduğunca, travmatik olmayan diş çekimleri, yumuşak doku invaginasyonunu önleyerek ve ameliyat sonrası diş eti çekilmesini azaltarak optimal kemik rejenerasyonunu teşvik eden flepsiz tekniklerle gerçekleştirilir. Flepsiz cerrahi yaklaşımlar, hızlandırılmış iyileşme ve en önemlisi, yumuşak dokuların alttaki kemikten ayrılmasıyla ilişkili diş eti perfüzyon kaybıyla bağlantılı kemik rezorpsiyonunun azaltılması gibi potansiyel biyolojik avantajları nedeniyle tanıtılmıştır.8 Bu teknik, özellikle ince diş eti biyotipi olan hastalar için uygundur ve estetik komplikasyonların önlenmesine yardımcı olur.9

Birçok konsensus raporu, özellikle ön bölgede, yanak kemiği plağının bütünlüğünün olumlu bir estetik sonuç için en önemli belirleyici faktör olduğu konusunda hemfikirdir. 7,10-12

Geleneksel çekim teknikleri, dişi dönme hareketleri ve güçlü çekme kuvveti kullanarak çıkarır ve böylece Sharpey liflerini demet kemiğinden koparır. Periodontal ligamentin ve ilişkili liflerin bu agresif şekilde bozulması, alveol soketinde kontrolsüz travmaya yol açarak vasküler ağın daha belirgin bir şekilde çökmesine ve etkilenen bölgede daha sonra rezorpsiyona neden olur.13 Buna karşılık, travma yaratmayan piezoelektrik teknik, aletlerin diş eti oluğu seviyesinde hassas bir şekilde konumlandırılmasına olanak tanır. Bu aletler, kök yüzeyi ile alveol soket duvarları arasında 10 mm'ye kadar derinliğe ilerleyerek, yalnızca en apikal liflerin seçici olarak kesilmesini kolaylaştırır. Bu yaklaşım, krestal bölgenin nazikçe çıkarılmasını ve korunmasını sağlayarak kemik rezorpsiyonu riskini önemli ölçüde azaltır.14

Piezoelektrik cerrahi, temiz ve hassas kesimler oluşturmadaki kanıtlanmış avantajlarının ötesinde, özellikle kritik anatomik yapılara (örneğin vasküler veya sinir demetleri) ve/veya proksimal kemiği hasar görmüş komşu dişlere yakın çalışırken operatörün görünürlüğünü artırır.15 Bu iyileştirilmiş kontrol, iyatrojenik komplikasyonların önlenmesine yardımcı olur.16,17 Ayrıca, teknik minimal uygulanan basınç gerektirir ve böylece cerrahi bölgede ısı oluşumunu azaltır.18 Diş çevresindeki kemik çıkarılması, minimal ve çok yönlü yapısıyla karakterize edilir; bu da değişken ve tek yönlü kuvvetler uygulayan geleneksel tekniklere göre belirgin bir avantajdır.11

Travmatik olmayan bir çekim planlanırken, kök uzunluğu, kök sayısı ve karmaşık kök morfolojisi gibi temel anatomik kriterlerin yanı sıra koronal kalıntıların varlığı, önceki endodontik tedavi veya ankilozun varlığı da dikkate alınmalıdır. Bu gibi durumlarda, piezoelektrik cihazların, kök yapısının spesifik morfolojisine ve uzamsal konfigürasyonuna uyacak şekilde seçilebilen çok çeşitli ek parça tasarımları sunduğunun altını çizmek önemlidir.14


Klinik Uygulamalar

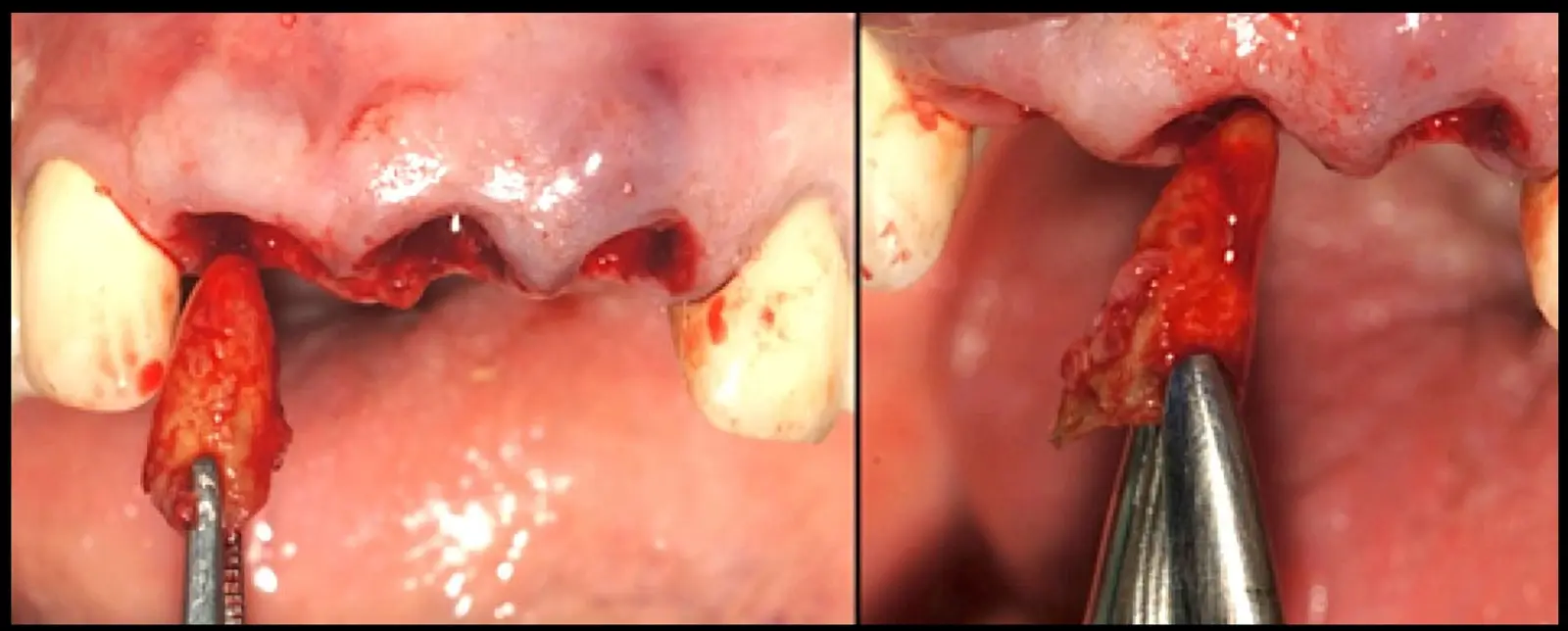
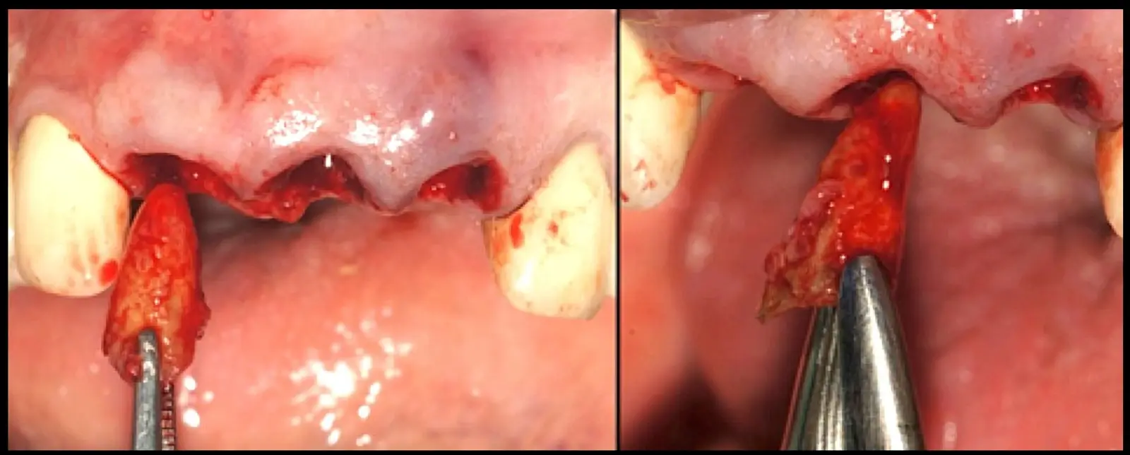
Şekil 1: Geniş çaplı koronal yıkım ve subkrestal kırık içeren tek köklü diş kalıntısı.
Şekil 2: Dişin tamamını çevreleyen intrasulküler kesi.
Şekil 3: Kesici uç veya uzun saplı frez kullanılarak yapılan meziodistal odontoseksiyon tasarımı.
Şekil 4: Döner alet kullanılarak odontoseksiyonun başlatılması.
Şekil 5: Piezoelektrik bir alet (W&H tarafından üretilen B1) kullanılarak odontoseksiyonun tamamlanması.
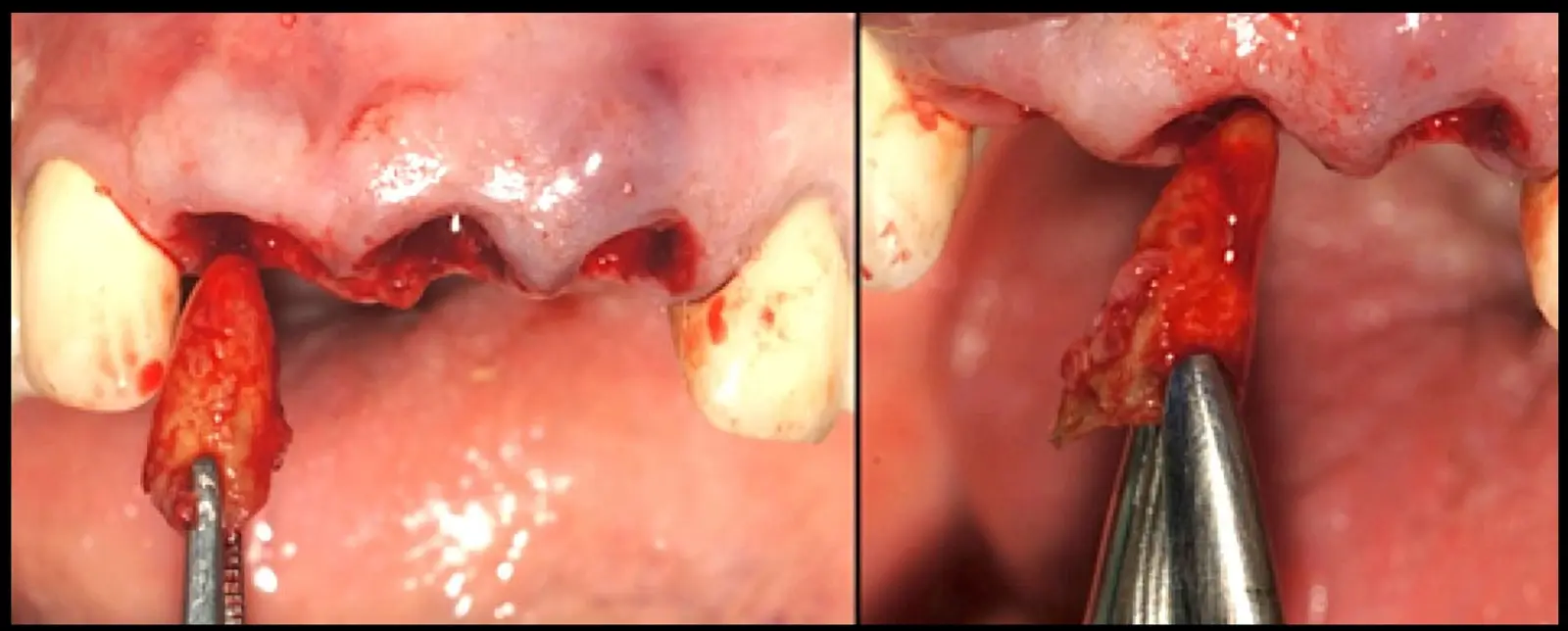
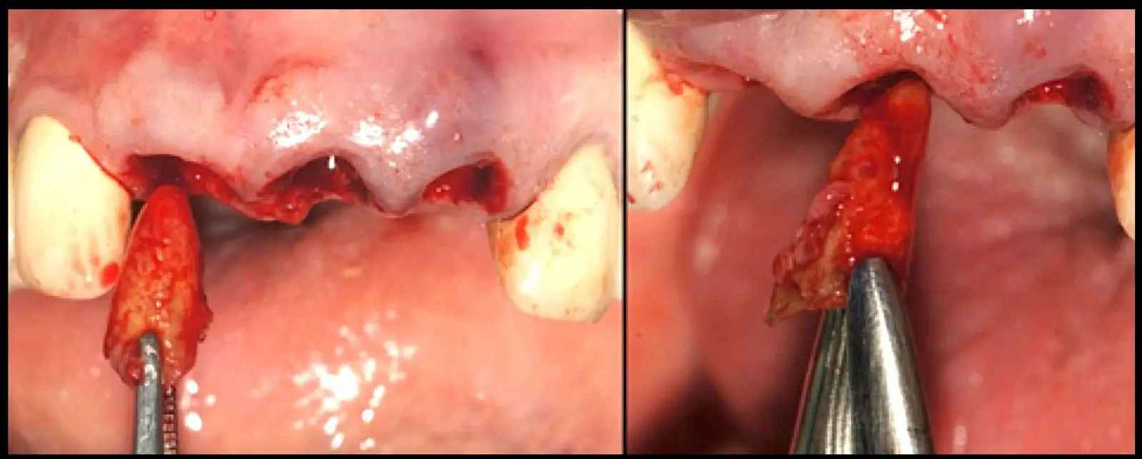
Şekil 6: Kök kalıntısının bukkal ve palatal olmak üzere iki parçaya ayrılması.
Şekil 7: Piezoelektrik periotom (W&H tarafından üretilen EX1) ile palatal fragmanın debridmanı. Bu fragman, palatal kemik plakasının tipik olarak daha kalın olması nedeniyle özel olarak hedeflenmiştir.
Şekil 8: Damak parçasının yer değiştirmesi.
Şekil 9: Damak parçasının kopması
Şekil 10: Bukkal kök parçasının debridmanı. Tomografik görüntülemede çok ince olduğu görülürse, periotom veya kesici aletlerin doğrudan bukkal tarafa uygulanmasından kaçınılması önerilir; bunun yerine, komşu kökün iç sınırları yoluyla erişim sağlanmalıdır.
Şekil 11: Yanak parçasının alveolün damak tarafına doğru yer değiştirmesi.

Upon completion of atraumatic tooth extraction, either alveolar ridge preservation or immediate implant placement with concomitant regeneration will be performed, as indicated by the individual case.

Şekil 12: Kemik plaklarının ve alveoler sırtın korunmasıyla travma yaratmadan diş çekiminin tamamlanması.

Clinical case

68 yaşında bir erkek hasta, lokalize travma sonrası 1.1, 2.1 ve 2.2 numaralı dişlerinde hareketlilik şikayetiyle başvurdu. Klinik muayenede, komşu dişlerde kök kırıkları ve implant destekli restorasyonlar tespit edildi. Konik ışınlı bilgisayar tomografisi (CBCT), kesici dişlerle ilgili klinik bulguları doğruladı ve sonuç olarak travma dışı çekimler endikasyonu konuldu. Kalan apikal ve palatal kemik yapılarının boyutlarına dayanarak, öngörülebilir birincil stabilite sağlayan bu yapıların ardından, eş zamanlı kemik rejenerasyonu eşliğinde diş çekimi sonrası dental implantlar planlandı.

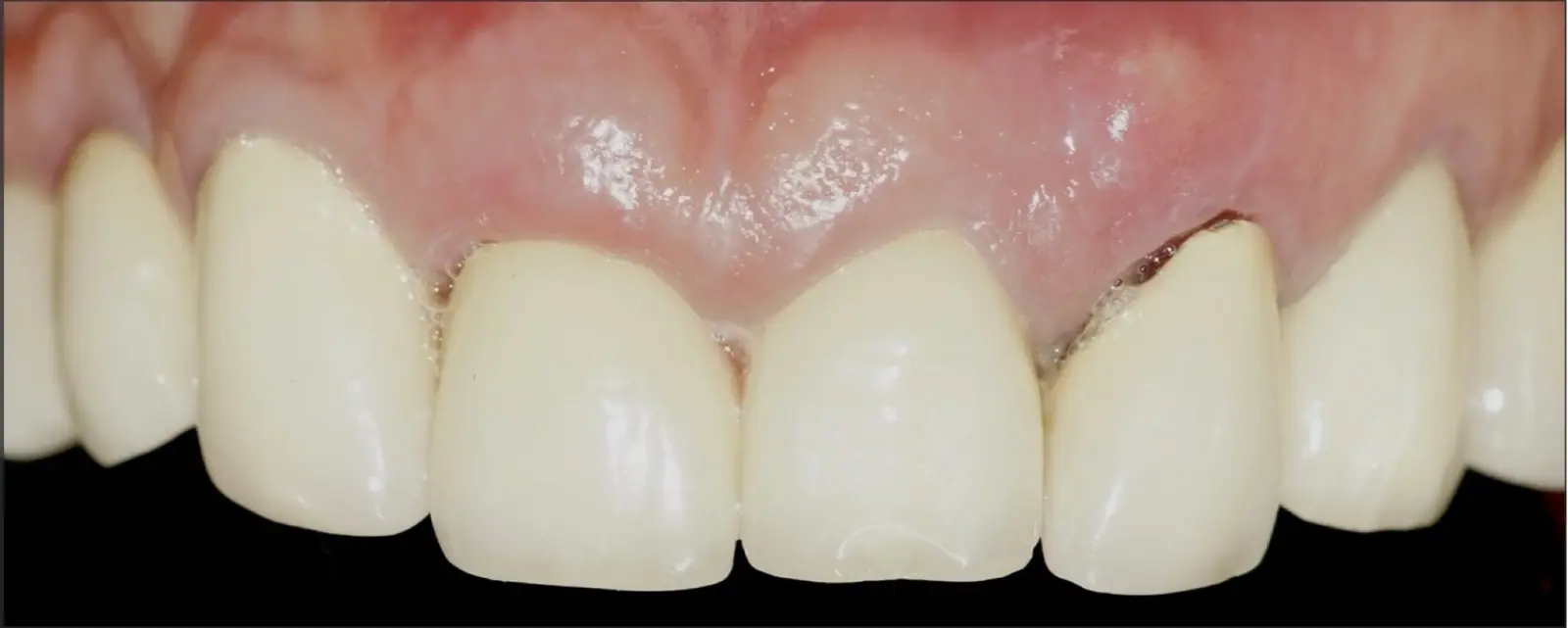
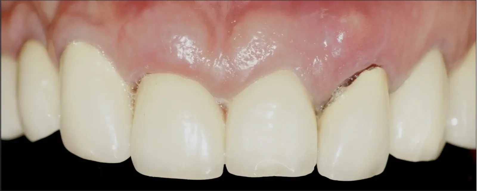
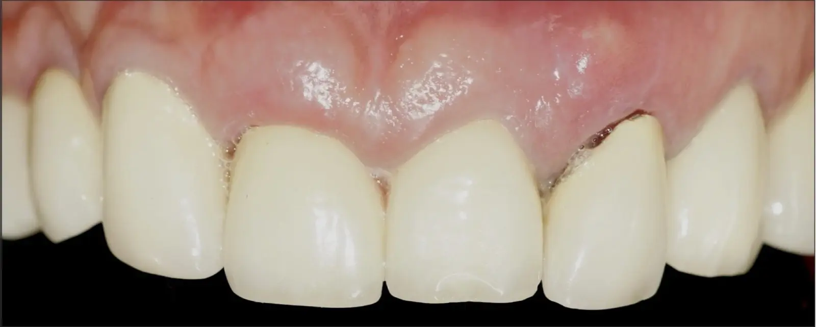
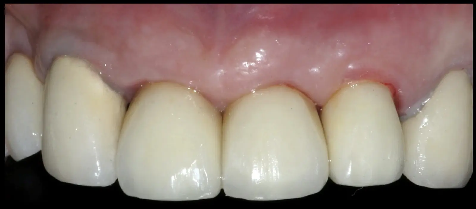
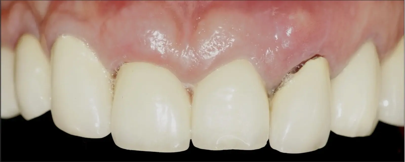
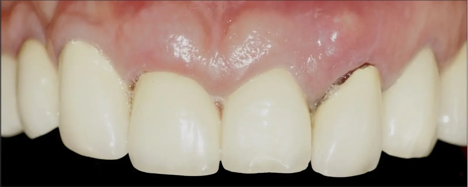
Şekil 13: 1.1, 2.1 ve 2.2 numaralı dişlerin önden görünümü, kök kırığı tanısını göstermektedir. Diş eti konturundaki uyumsuzluğa, değişmiş kesici düzleme, uygun miktarda keratinize diş etine ve görünüşte kalın bir biyotipe dikkat edin.
Şekil 14: Oklüzal görünüm: korunmuş diş eti konturunu göstermektedir.
Şekil 15: 1.1, 2.1 ve 2.2 numaralı dişlerin sagital tomografik kesitleri, kalınlıkları 0,2 mm'den az olan çok ince yanak kemiği plakalarını ortaya koymaktadır (a, c).
Şekil 16: 1.1, 2.1 ve 2.2 numaralı dişlerde, proksimal kemik çıkıntılarına zarar vermemeye özen gösterilerek, düz tırtıklı piezo alet (W&H tarafından üretilen B6) kullanılarak yaklaşık 10 mm derinliğe kadar yapılan ilk mesiodistal kök hemiseksiyonu (a, b, c).
Şekil 17: Kök kalıntılarının meziodistal kesitlerinin oklüzal görünümü.
Figure 18: Syndesmotomy using the piezoelectric periotome (EX1 by W&H) (a), positioned in the periodontal ligament space at the level of the palatal fragments (b).
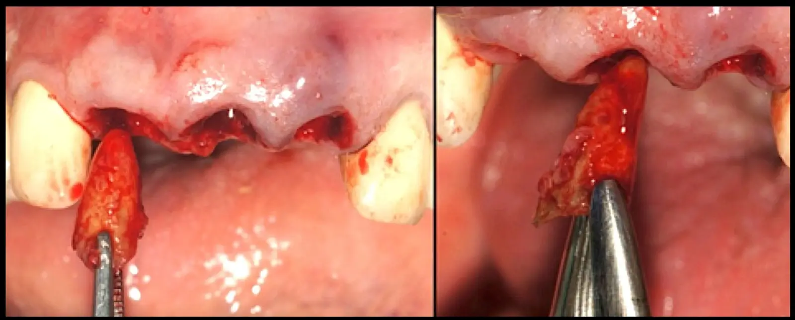
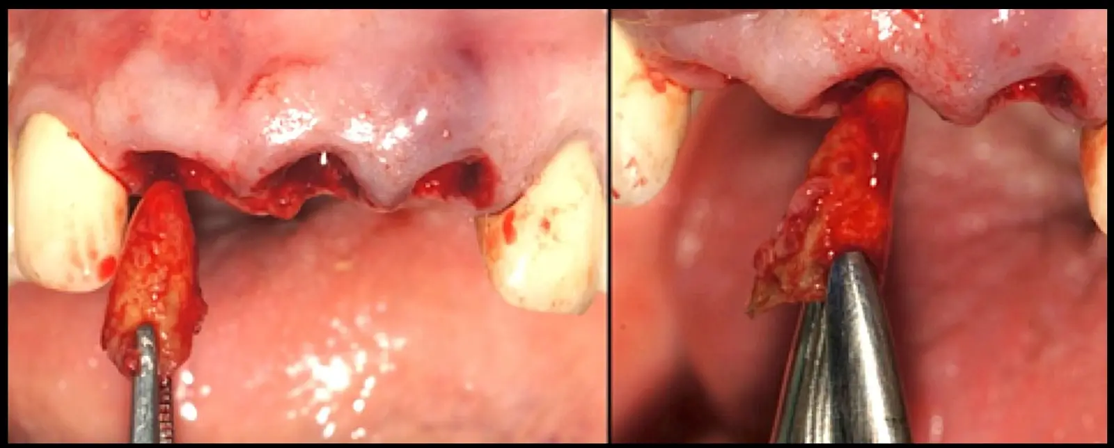
Şekil 19: Damak kemiği plağının daha kalın olması nedeniyle 1.1, 2.1 ve 2.2 numaralı dişlerin damak parçalarının çıkarılması (a, b, c).
Şekil 20: Yanak parçalarının, damak parçalarının çıkarılmasıyla oluşan boşluklara kalıntıların yer değiştirmesiyle çıkarılması (a, b).
Şekil 21. 1.1, 2.1 ve 2.2 numaralı dişlerin çekim sonrası yuvaları, yanak kemik plakalarının yokluğunu göstermektedir.
Şekil 22: İmplant yataklarının hazırlanmasının ardından, hazırlanan bölgeleri kapatmak ve böylece kemik grefti materyalinin yerleştirilmesini kolaylaştırmak için paralellik pimleri yerleştirildi. Daha sonra, emilebilir membranlar koni tekniği kullanılarak alveol içine yerleştirildi (a, b).
Şekil 23: Paralellik pimi ve membran tarafından belirlenen alana sığır kemiği biyomateryalinin yerleştirilmesi. Daha büyük bir artık boşluğun, daha kalın yeni oluşan yanak kemiği plakasıyla ilişkili olduğu dikkat çekicidir.
Şekil 24: Sıkıştırılmış biyomateryal ile doldurulmuş alveol yuvalarının oklüzal görünümü.
Şekil 25: Paralellik pimlerinin çıkarılması ve 3,5 mm çapında × 11,5 mm uzunluğunda nanoteknoloji implantlarının (Unitite, S.I.N., Brezilya) kemik tepelerinin ve interdental papillaların bütünlüğünü korumak için 3 mm'lik platformlar arası boşluk bırakılarak, subkrestal olarak yerleştirilmesi.
Şekil 26: Yerleştirilen implantların oklüzal görünümü ve implantların etrafındaki kemik grefti materyalinin sıkıştırılması.
Şekil 27: Pediküllü damak flebinin bukkal tarafa doğru döndürülmesi ve 4/0 poliglikolik asit dikişlerle dikilmesiyle elde edilen primer kapatma, diş eti papillerinin bütünlüğünü koruyarak, açıkta kalan bölgenin sekonder iyileşmesiyle birleştirilmiştir.
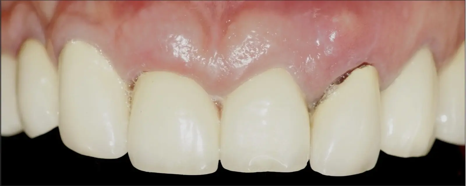
Şekil 28: Çıkarılabilir geçici protezli ameliyat sonrası ön görünüm (a). Yedinci günde yapılan takipte, oval pontik geçici protezlere, papilla konturlarının korunmasına ve genel olarak olumlu doku yanıtına bağlı olarak olumlu iyileşme görülmektedir (b).
Şekil 29: Osseointegrasyon döneminin dördüncü ayında yerleştirilen üniversal abutmentler (a). Papilla yüksekliklerinin korunması da açıkça görülmektedir. Uygun çıkış profillerinin oluşturulması ve alveoler sırt konturunun korunmasıyla peri-implant doku sağlığını gösteren oklüzal görünüm (b).
Şekil 30: Rezonans frekans analizi kullanılarak yapılan implant stabilitesi ölçümleri. ISQ değerleri 55 ile 57 arasında değişmekte olup, peri-implant kemik matriksinin daha fazla mineralizasyonunun gerekli olduğunu göstermektedir (a, b).
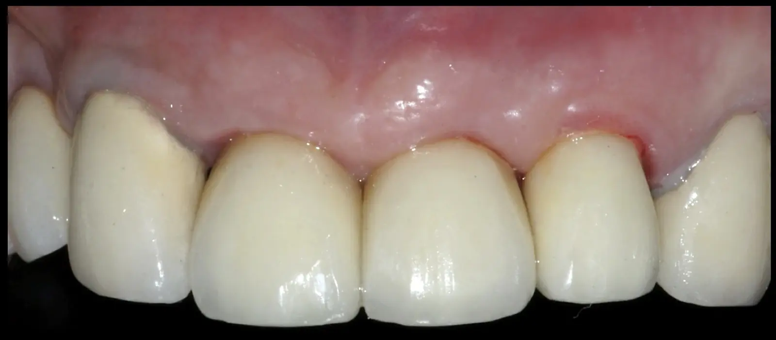
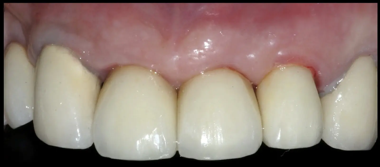
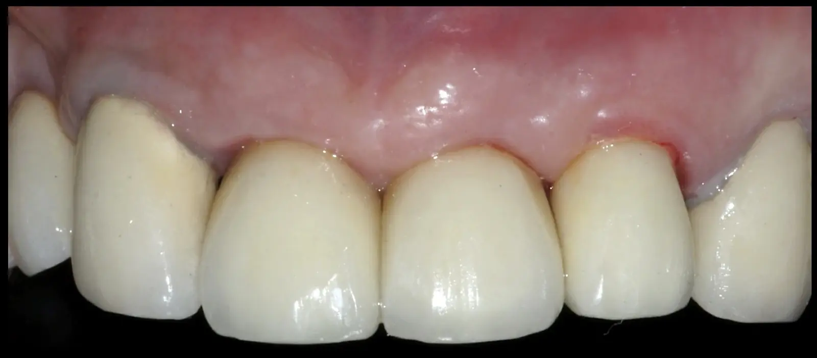
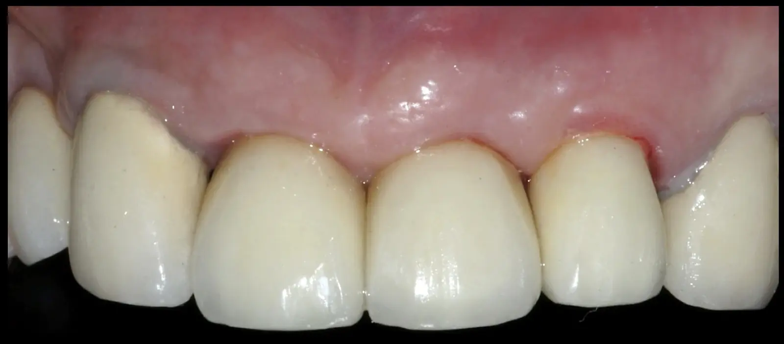
Şekil 31: Alveolar sırt konturunu, diş eti kenarını ve papilla yüksekliğini koruyarak tamamlanmış ve rehabilite edilmiş vaka.
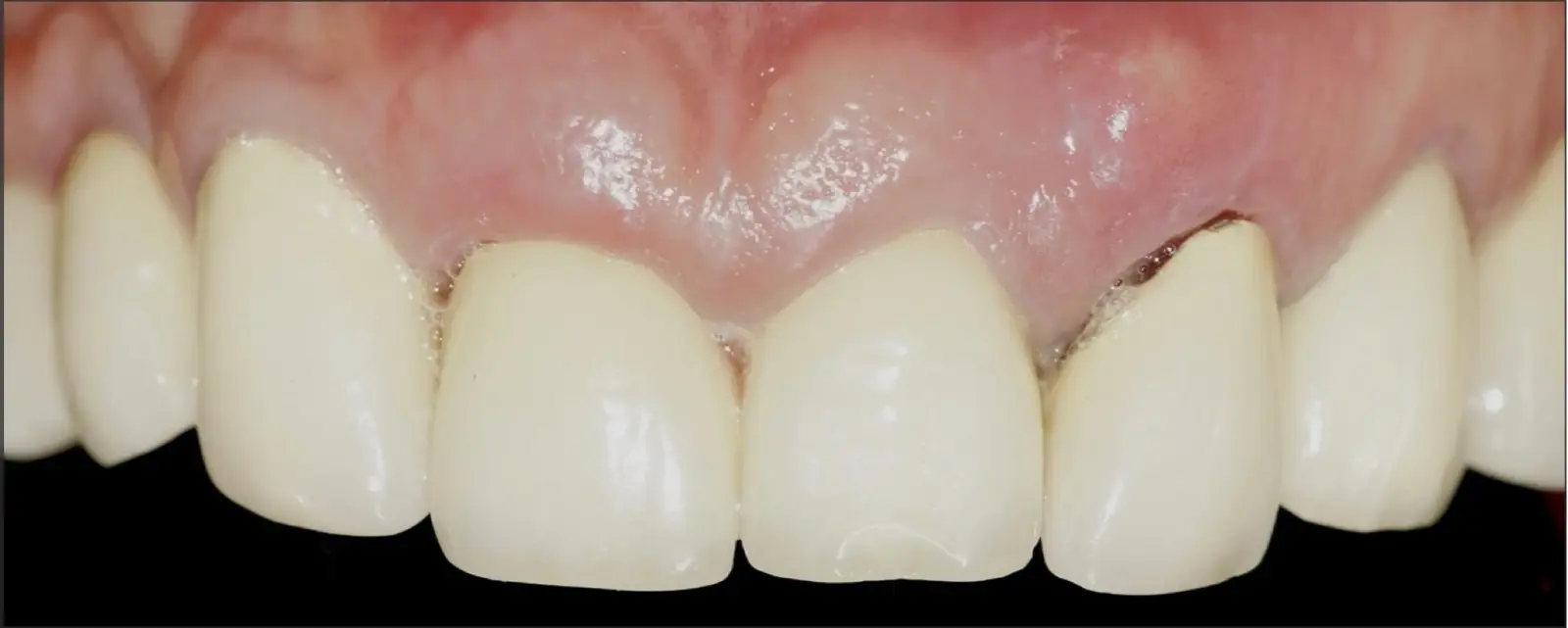
Şekil 32: Dört aylık ameliyat sonrası takip (a), yerleştirilen tüm implantlarda 2 mm'den fazla kalınlığa ulaşan yeni bir krestal bukkal kemik plağının oluşumunu (b) göstermektedir (c).

Sonuç

Piezoelektrik cerrahi ile kolaylaştırılan travma yaratmayan diş çekimi, hızlandırılmış iyileşme ve kemik erimesinin azalması gibi biyolojik avantajlar sunmaktadır. Bu flepsiz protokol, dental implant tedavisinin ortaya çıkmasından sonra önemli bir önem kazanmıştır.

Special Series: Piezo surgery
Click here to see the summary of the 11 articles.

Piezo cerrahisi hakkındaki makale serisi, José Carlos Rosas ve bu teknolojiyle ilgili işbirlikçilerinin yazdığı "Cirugía piezoeléctrica. Generalidades y aplicaciones clínicas" kitabına dayanmaktadır.

Lima, Peru'daki Universidad Privada San Juan Bautista'dan Jerson Palomino Zorrilla, Karla Díaz Cavero ve María Eugenia Guerrero Acevedo ile birlikte yazılan kitap, çeşitli piezoelektrik işlemlerin klinik değerini destekleyen en güncel bilimsel kanıtları sunmakta ve çok sayıda klinik vakanın yayınlanması yoluyla bunların diş muayenehanesindeki pratik faydasını göstermektedir.


The book "Cirugía piezoeléctrica. Generalidades y aplicaciones clínicas" explains the fundamental principles of this technology and demonstrates its practical utility in the dental clinical setting through detailed clinical case reports.

Referanslar

  1. Lui JN, Khin MM, Krishnaswamy G, et al. Prognostic factors relating to the outcome of endodontic microsurgery. J Endod. 2014;40(8):1071-1076.
  2. Kerekes K, Tronstad L. Long-term results of endodontic treatment performed with a standardized technique. J Endod. 1979;5(3):83-90.
  3. Lieblich SE. Endodontic surgery. Dent Clin North Am. 2012;56(1):121-ix.
  4. Walton RE, Ardjmand K. Histological evaluation of the presence of bacteria in induced periapical lesions in monkeys. J Endod.1992;18(5):216-27.
  5. Tronstad L, Barnett F, Cervone F. Periapical bacterial plaque in teeth with refractory to endodontic treatment. Endod Dent Traumatol. 1990;6(2):73-7.
  6. Jepsen K, Schneider E, Dommisch H, et al. Management of a Central Incisor with Horizontal Root Fracture for Esthetic and Functional Rehabilitation. Int J Periodontics Restorative Dent. 2016;36(1):65-73.
  7. Brito-Junior M, Faria-e-Silva AL, Quintino AC, et al. Orthograde retreatment failure with extruded MTA apical plug in a large periradicular lesion followed by surgical intervention: case report. Gen Dent. 2012;60(2):96-100.
  8. Szalma J, Soós B, Krajczár K, et al. Piezosurgical management of sealer extrusion-associated mental nerve anaesthesia: A case report. Aust Endod J. 2019;45(2):274-280.
  9. Kang M, In Jung H, Song M, et al. Outcome of nonsurgical retreatment and endodontic microsurgery: a meta-analysis. Clin Oral Investig. 2015;19(3):569-582.
  10. Abella F, de Ribot J, Doria G, et al. Applications of piezoelectric surgery in endodontic surgery: a literature review. J Endod. 2014;40(3):325-332.
  11. Kim S, Kratchman S. Modern endodontic surgery concepts and practice: a review. J Endod. 2006;32(7):601-23.
  12. Song M, Nam T, Shin SJ, Kim E. Comparison of clinical outcomes of endodontic microsurgery: 1 year versus long-term follow-up. J Endod. 2014;40(4):490-494.
  13. Lofthag-Hansen S, Huumonen S, Gröndahl K, et al. Limited cone-beam CT and intraoral radiography for the diagnosis of periapical pathology. Oral Surg Oral Med Oral Pathol Oral Radiol Endod. 2007;103(1): 114-9.
  14. Strbac GD, Schnappauf A, Giannis K, et al. Guided Modern Endodontic Surgery: A Novel Approach for Guided Osteotomy and Root Resection. J Endod. 2017;43(3):496-501.
  15. Moreno-Rabié C, Torres A, Lambrechts P, et al. Clinical applications, accuracy and limitations of guided endodontics: a systematic review. Int Endod J. 2020;53(2):214-231.
  16. Kocyigit ID, Atil F, Alp YE, et al. Piezosurgery versus conventional surgery in radicular cyst enucleation. J Craniofac Surg. 2012; 23(6):1805-8.
  17. Hirsch V, Kohli MR, Kim S. Apicoectomy of maxillary anterior teeth through a piezoelectric bony-window osteotomy: two case reports introducing a new technique to preserve cortical bone. Restor Dent Endod. 2016;41(4):310-315.
  18. Gagliani M, Taschieri S, Molinari R. Ultrasonic root-end preparation: influence of cutting angle on the apical seal. J Endod. 1998;24(11):726-30.
  19. Rubinstein RA, Kim S. Short-term observation of the results of endodontic surgery with the use of surgical operation microscope and Super-EBA as root end filling material. J Endod. 1999;25(1):43-8.
  20. Del Fabbro M, Tsesis I, Rosano G, et al. Scanning electron microscopic analysis of the integrity of the root-end surface after root-end management using piezoelectric device: a cadaveric study. J Endod. 2010;36(10):1693-7.
  21. Tsesis I, Rosen E, Taschieri S, et al. Outcomes of surgical endodontic treatment performed by a modern technique: an updated meta-analysis of the literature. J Endod. 2013;39(3):332-9.
  22. Bastien AV, Adnot J, Moizan H, et al. Secondary surgical decompression of the inferior alveolar nerve after overfilling of endodontic sealer into the mandibular canal: Case report and literature review. J Stomatol Oral Maxillofac Surg. 2017;118(6):389-392.

Yorumlar