Berichte & Studien

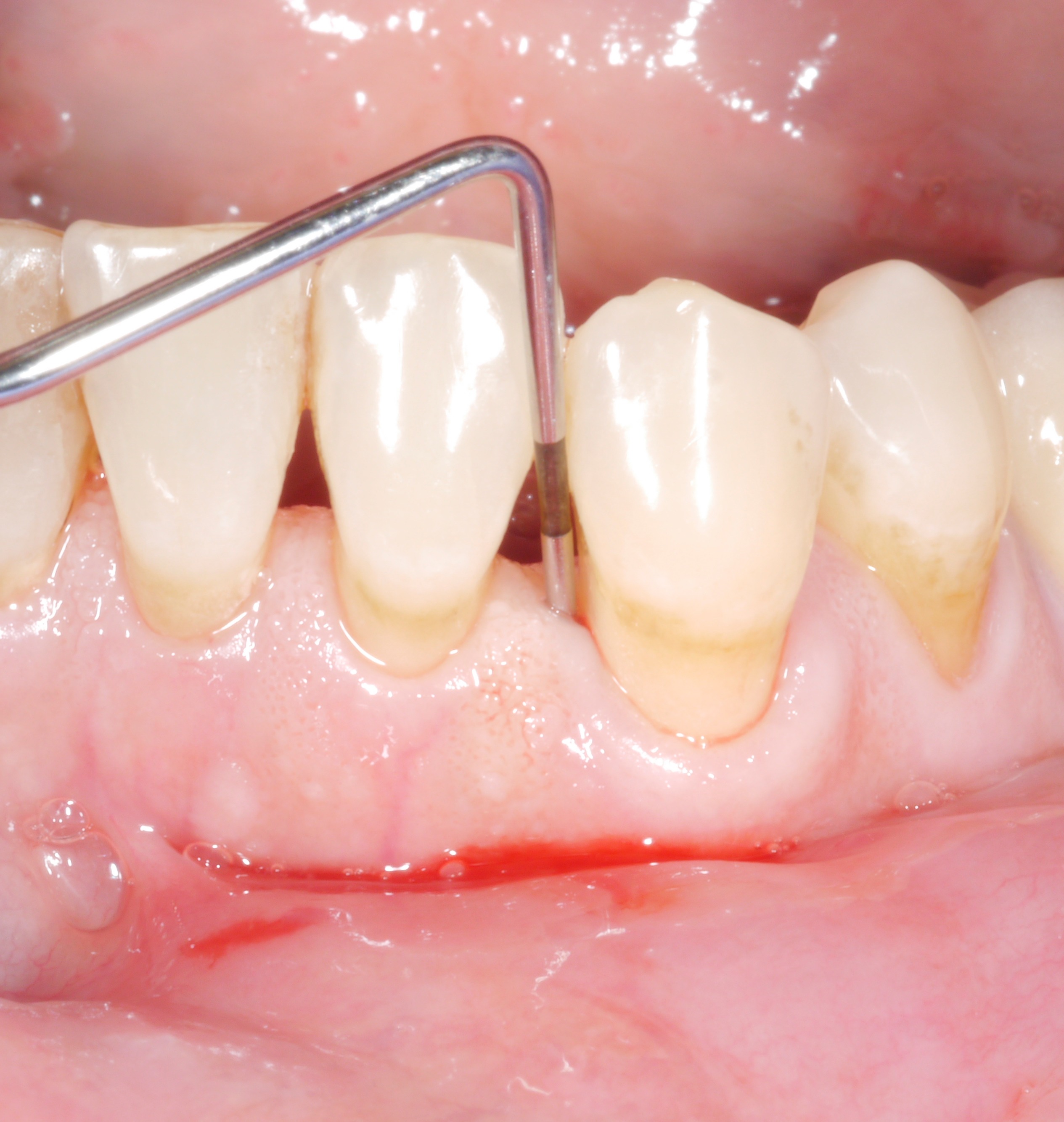
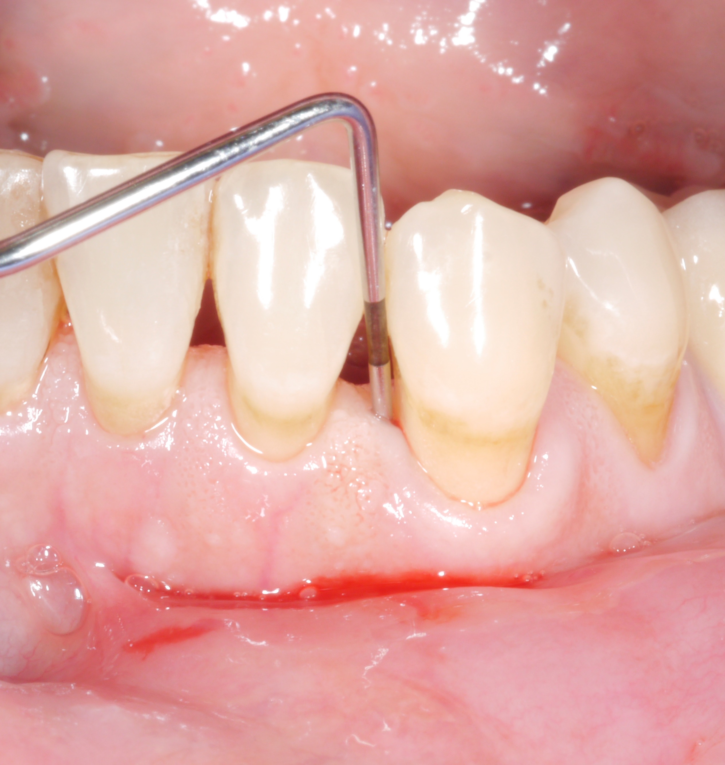
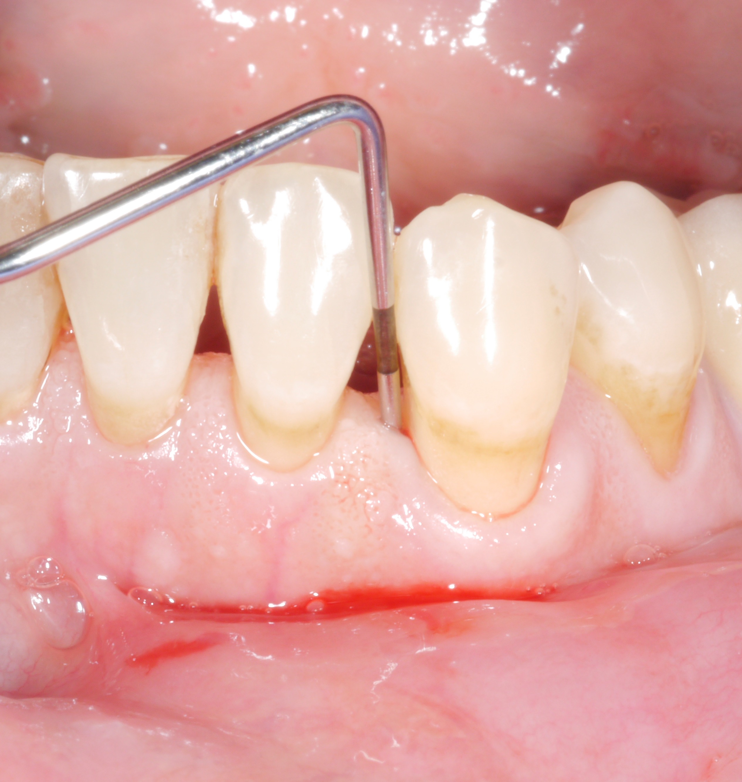
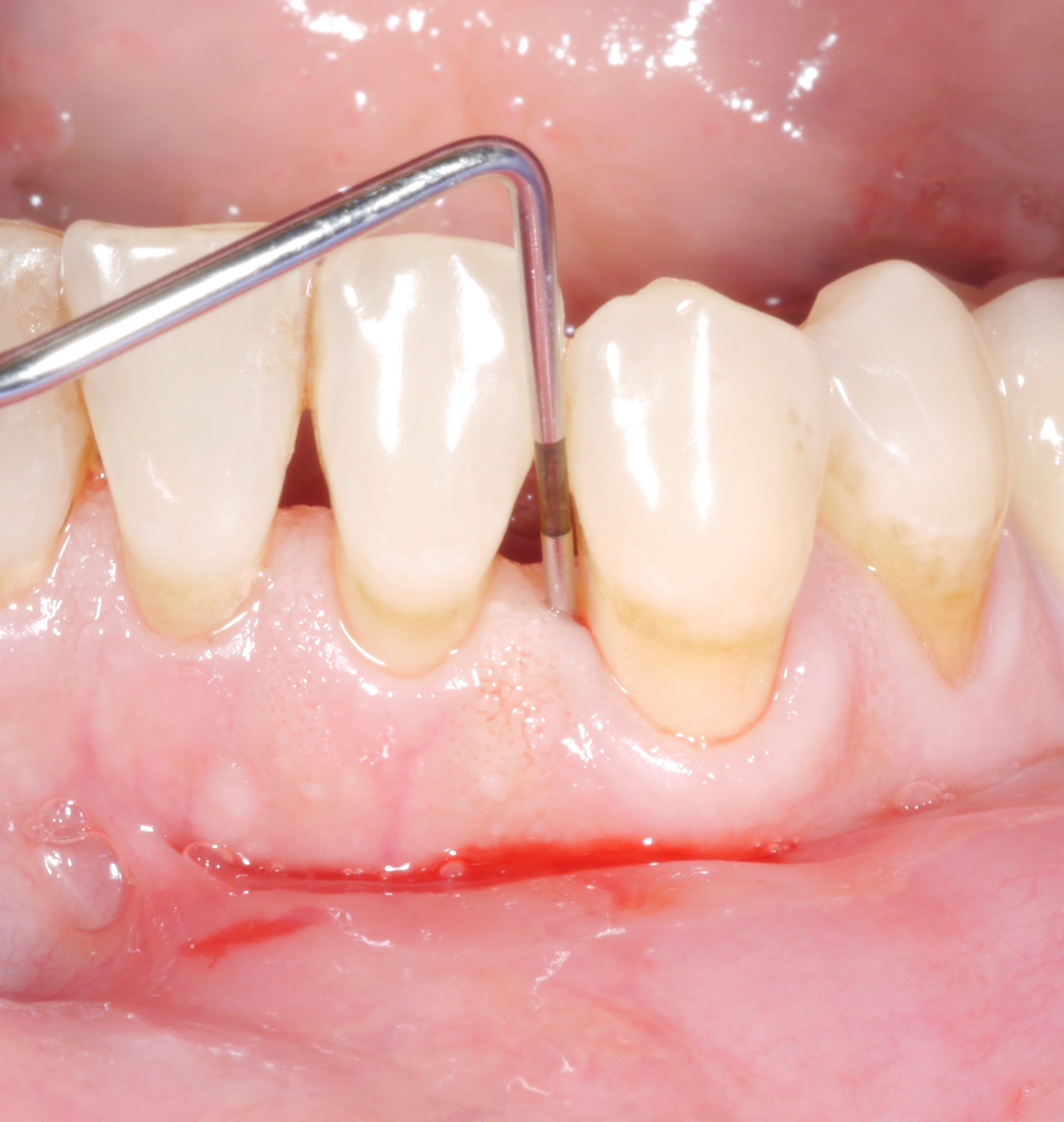
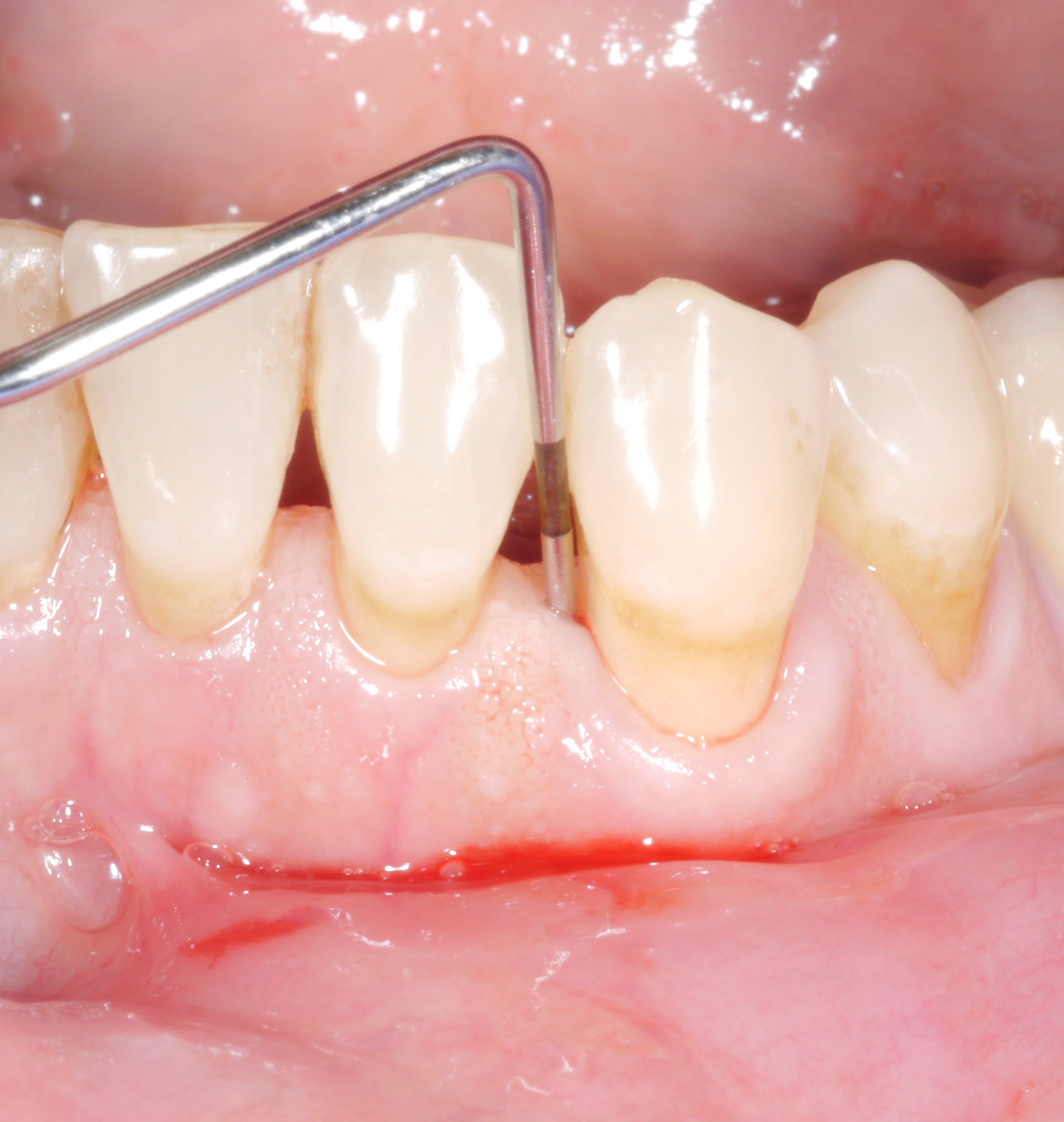
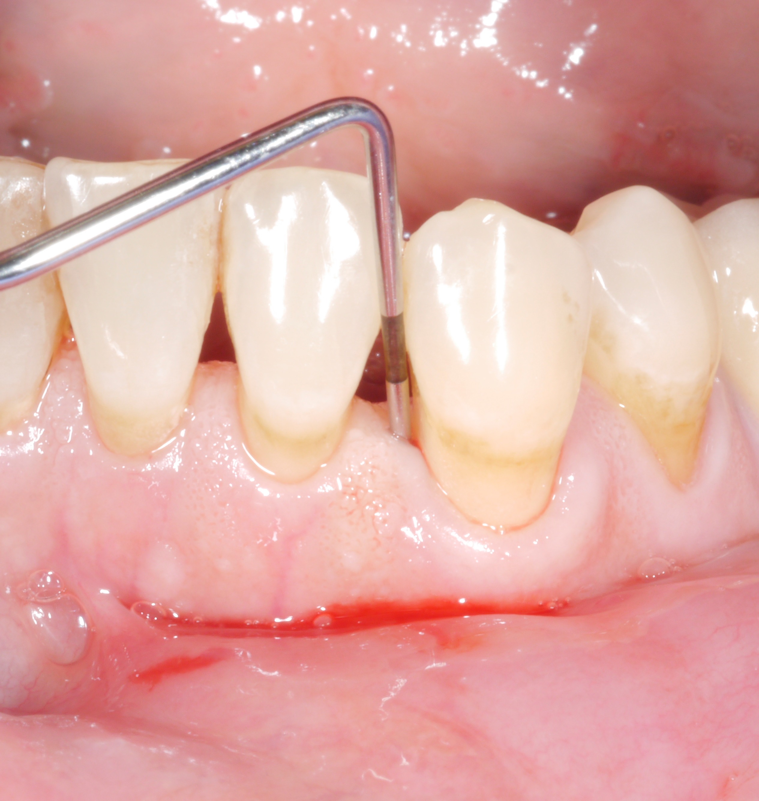
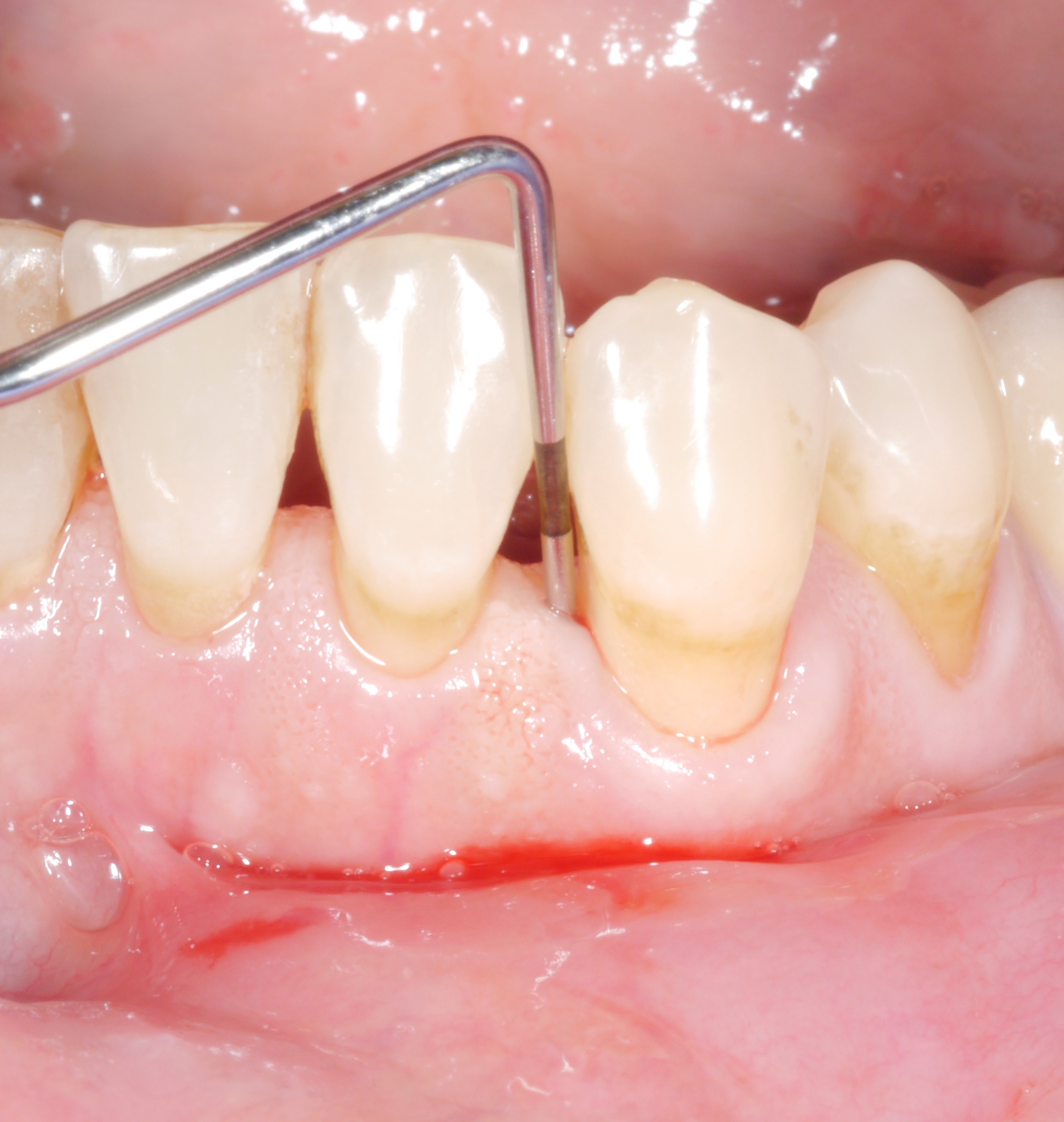
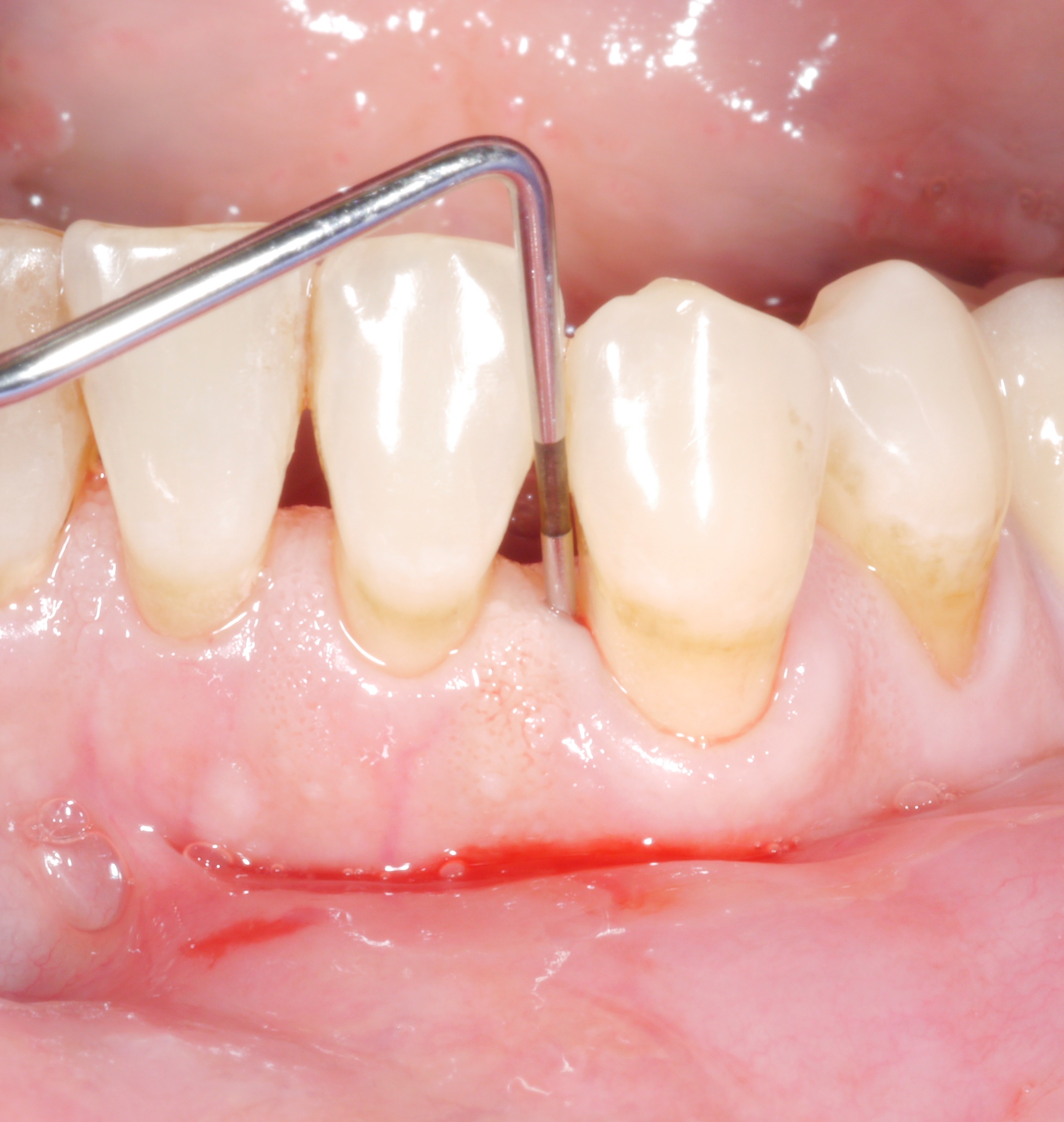
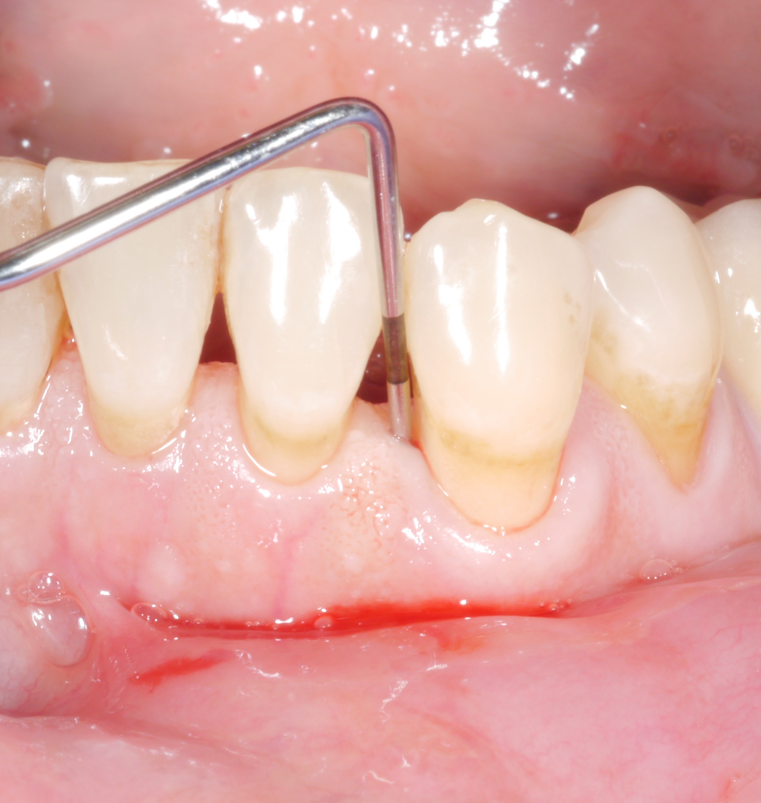
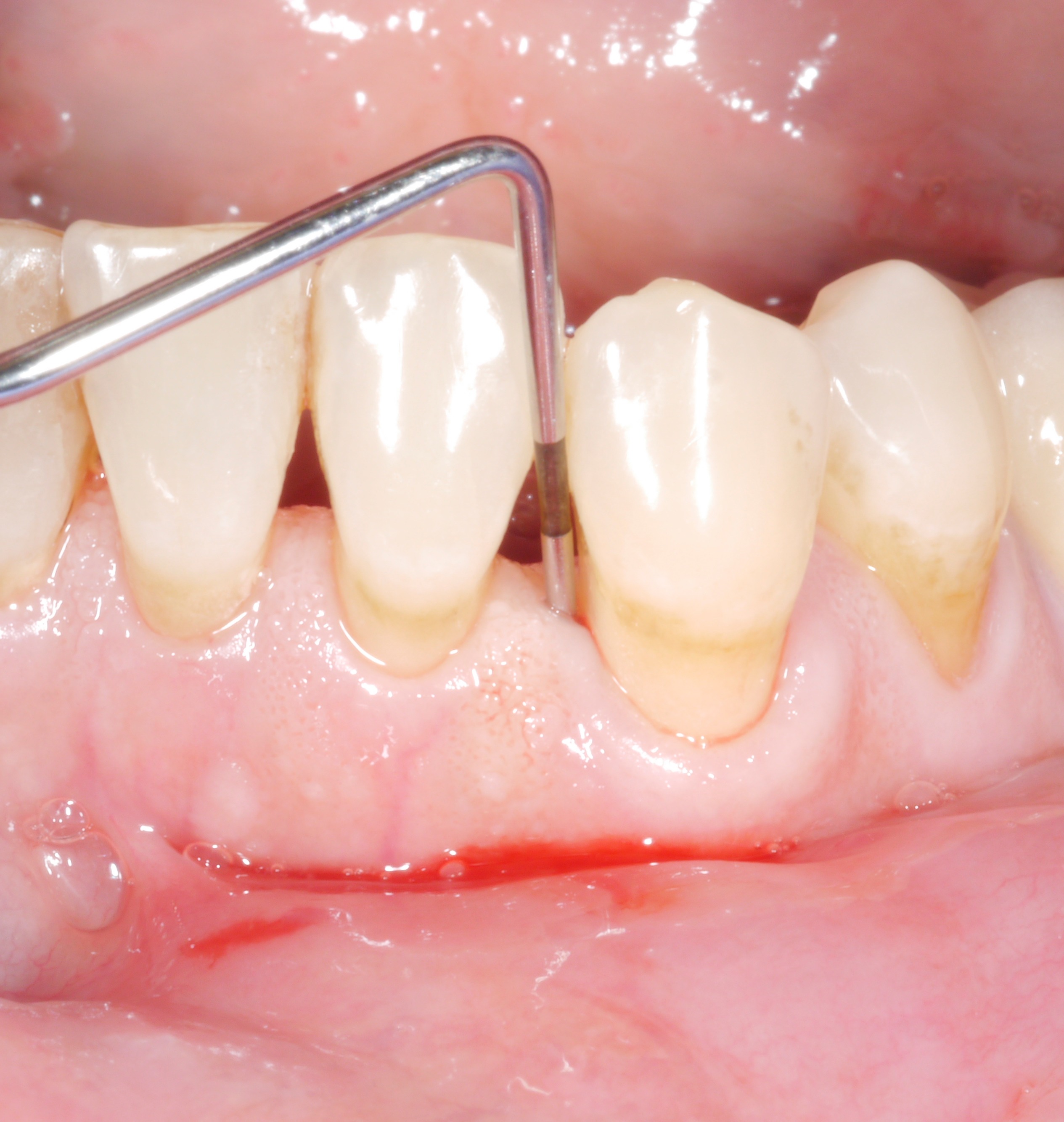
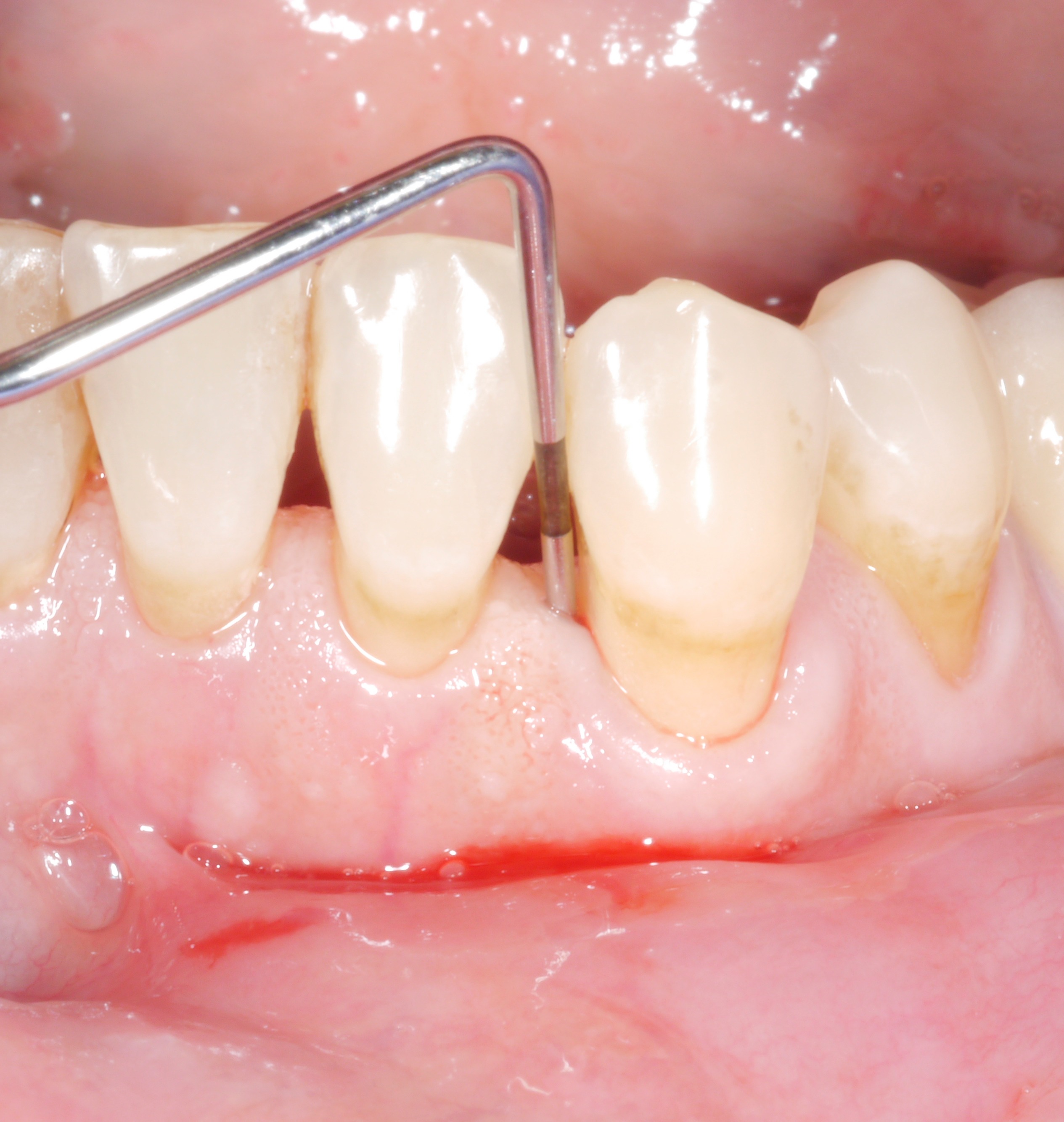
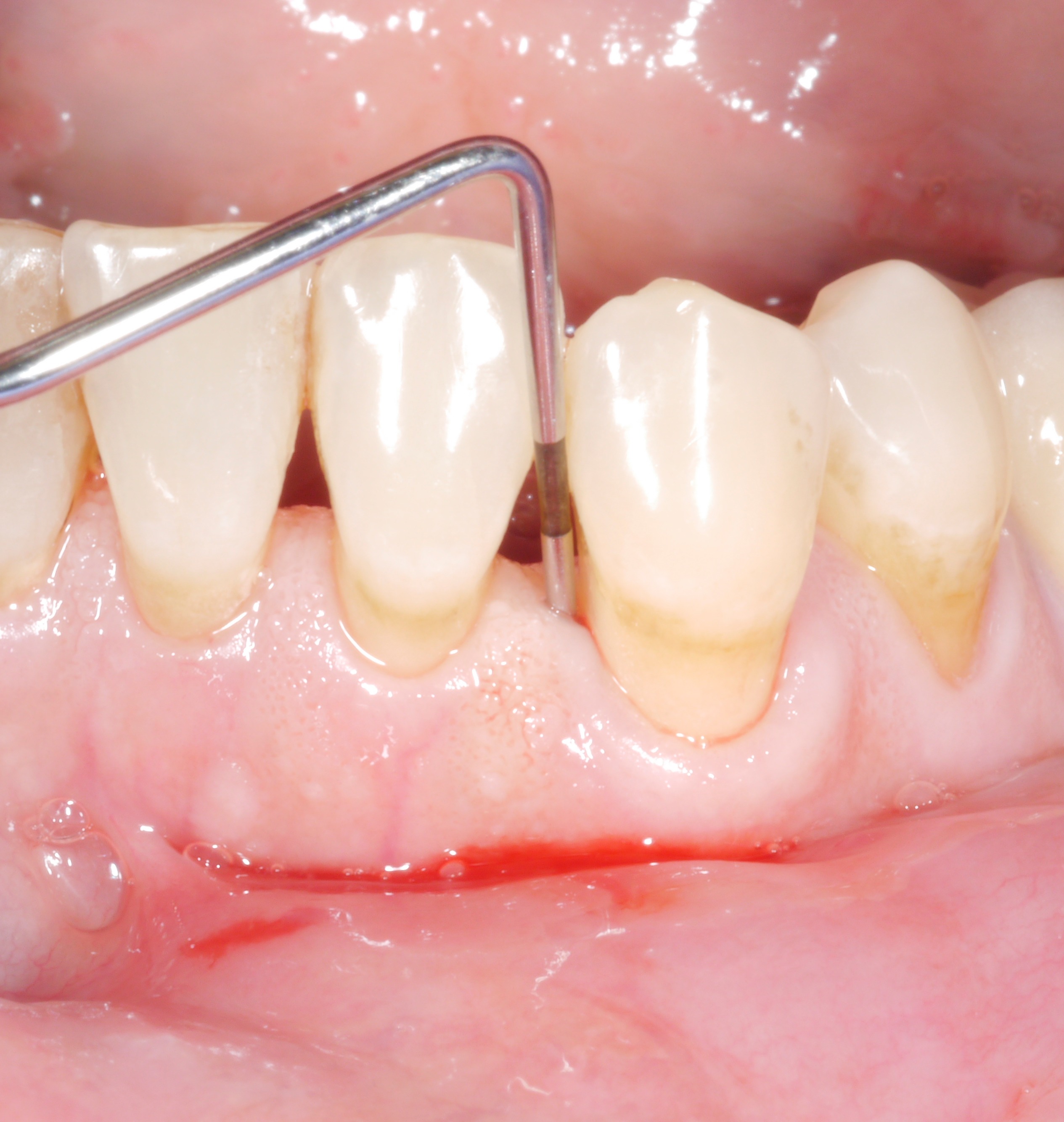
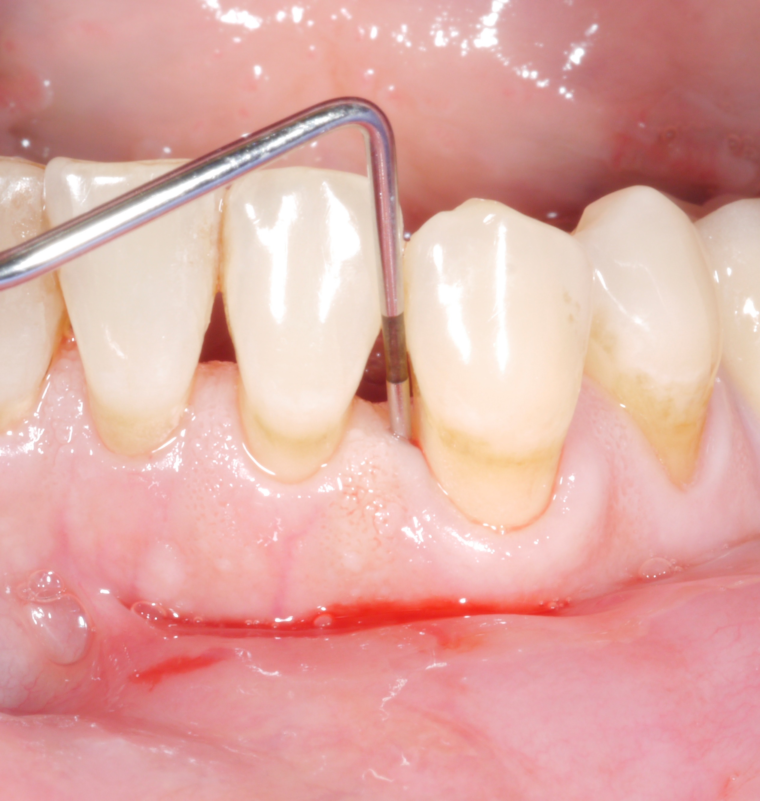
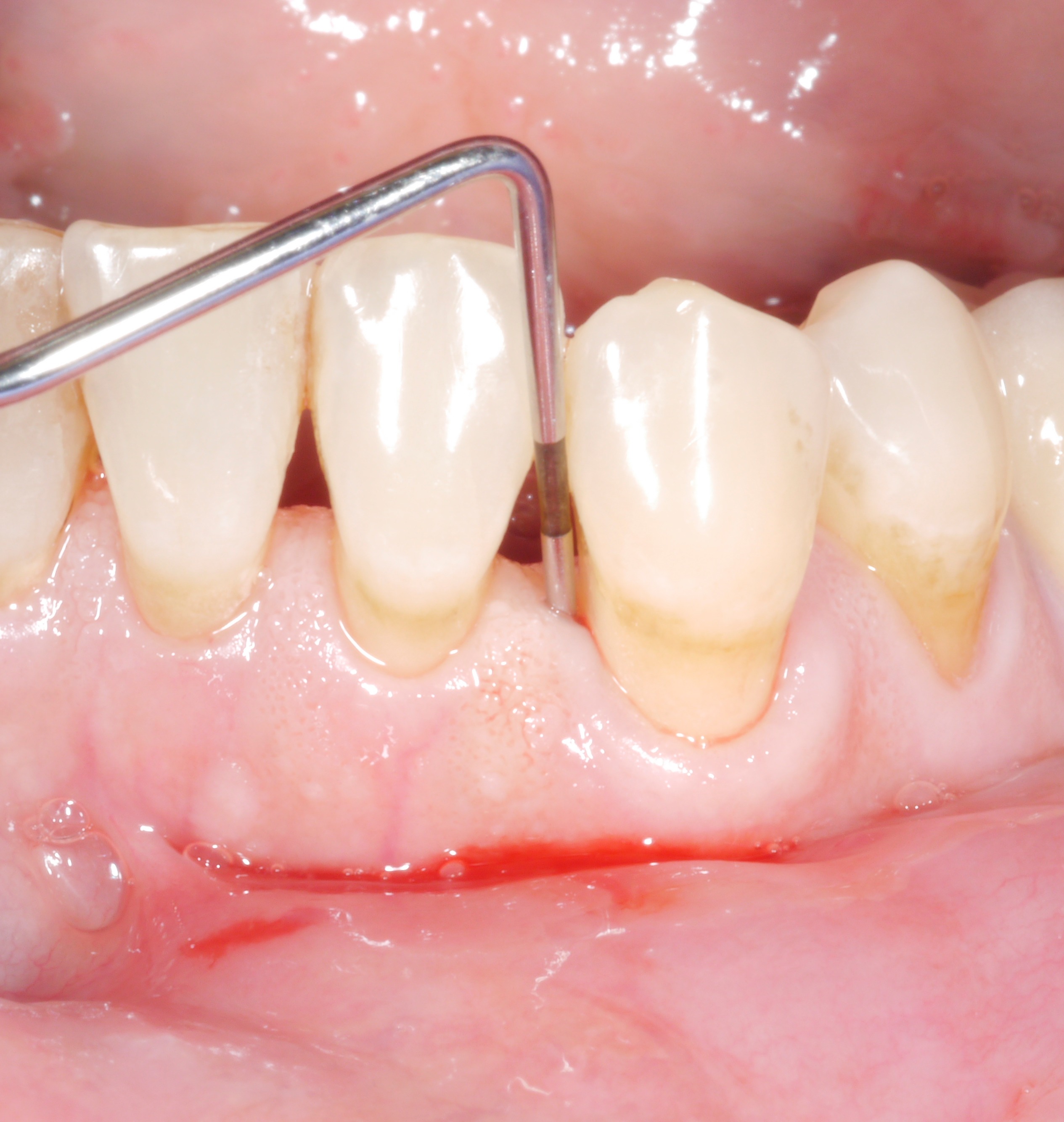
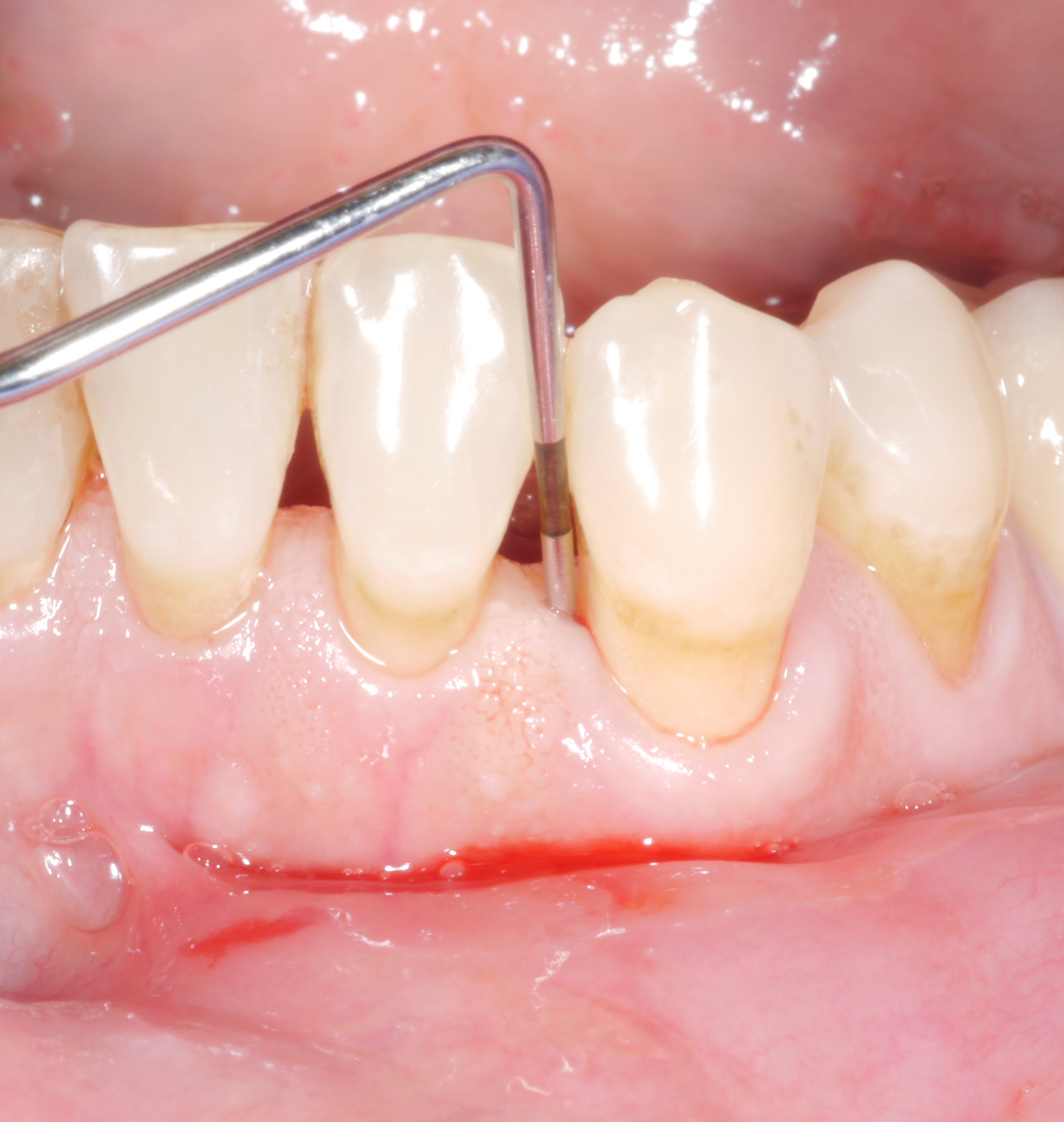
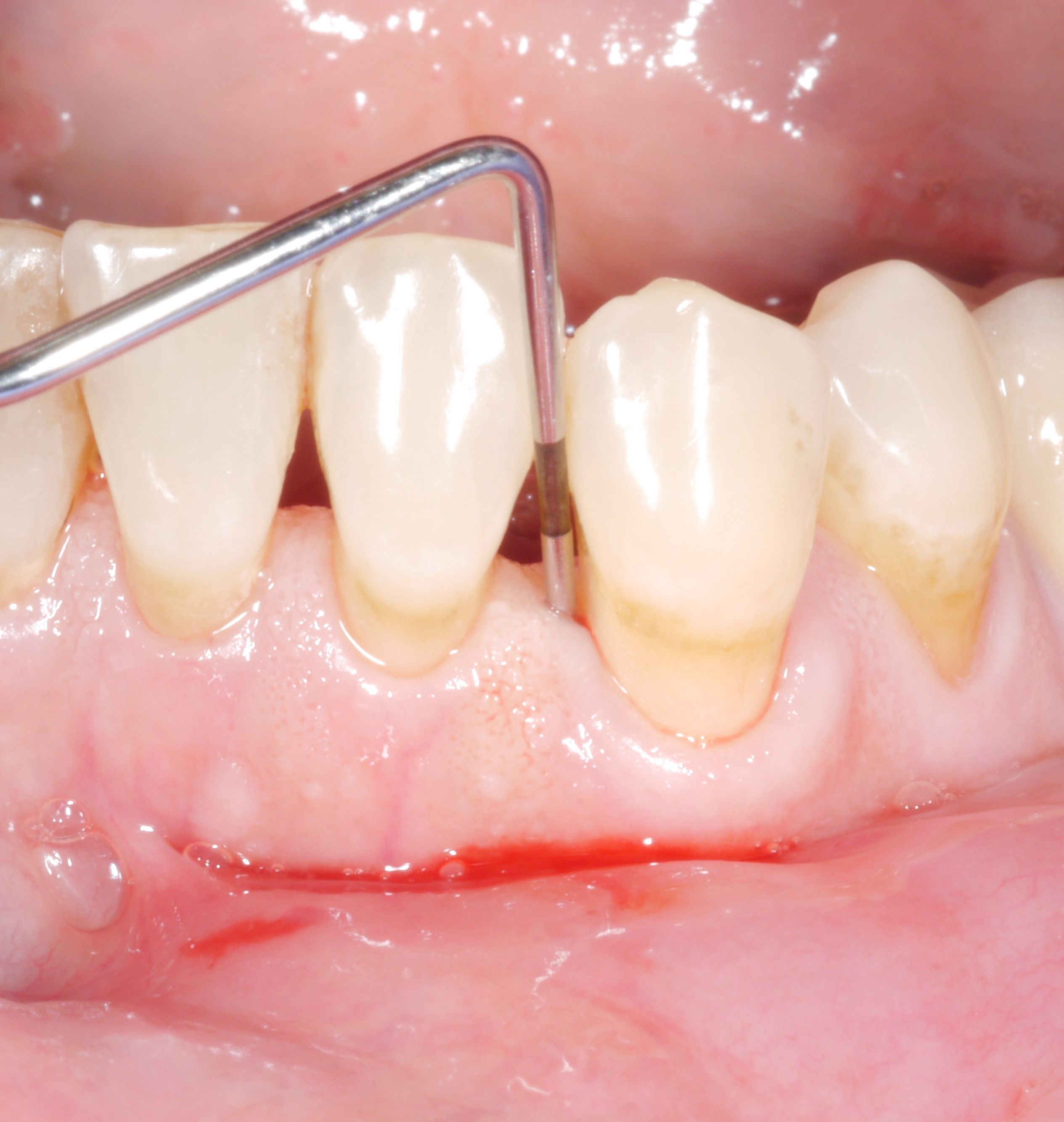
Eine Restsondierungstiefe mit 6 mm – ein Problem?

PD Dr. Kristina Bertl, PhD MSc MBA

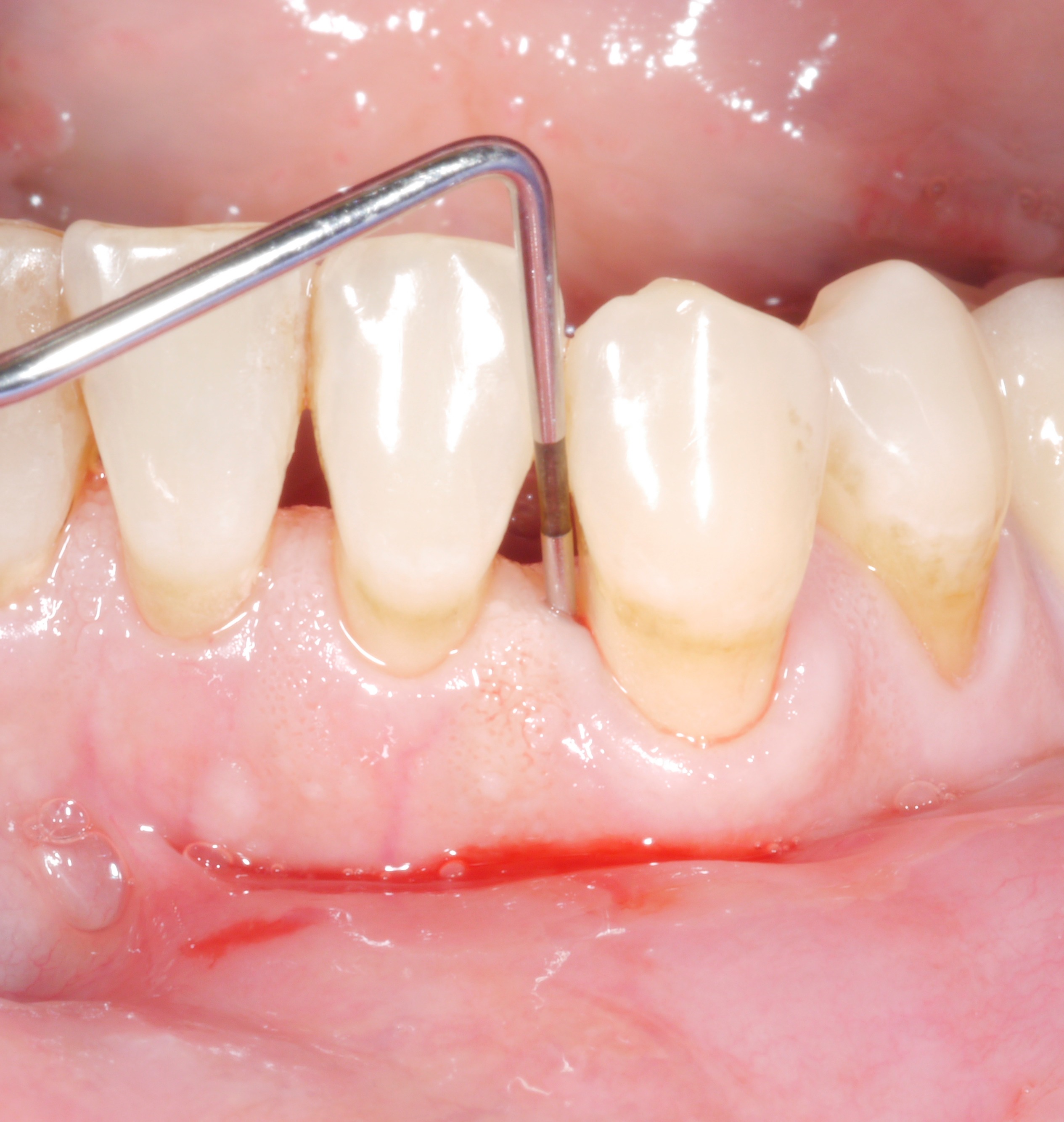
Man kennt die Situation nur allzu gut: Nach der aktiven Therapiephase weisen fast alle Zähne keine erhöhten Sondierungstiefen mehr auf, aber da sind noch diese 1 bis 2 Stellen, wo man das Therapieziel leider nicht erreichen konnte. Da liegt der Gedanke nahe: „Wie schlimm kann das schon sein? Eine einzelne Tasche mit 6 oder 7 mm – das kann doch keinen wesentlichen Unterschied machen …?“

Man sollte sich jedoch bei verbliebenen Sondierungstiefen nicht zu schnell zufrieden geben, denn bereits einzelne Restsondierungstiefen von mehr als 4 mm stellen zumindest auf längere Sicht gesehen ein Problem dar – sowohl für den betroffenen Zahn als auch für die Restbezahnung!

Bezieht man sich auf die Daten einer Schweizer Studie, die rund 170 Patienten in der Erhaltungstherapie über einen durchschnittlichen Zeitrahmen von 11 Jahren nachverfolgt haben, zeigte sich das Problem mit vereinzelten Restsondierungstiefen sehr deutlich:

  • Einzelne Restsondierungstiefen von 6 mm oder mehr waren ein Risikofaktor für eine Verschlechterung der allgemeinen parodontalen Situation und für Zahnverlust.
  • Mehre Restsondierungstiefen von 5 mm oder mehr waren ebenso ein Risikofaktor für eine Verschlechterung der allgemeinen parodontalen Situation.
  • Blutung nach Sondieren verdoppelte das Risiko für späteren Zahnverlust.
  • Das Risiko für einen Zahnverlust bei einer Restsondierungstiefe von 5 mm war fast 8-fach, bei 6 mm rund 10-fach und bei 7 mm gar mehr als 60-fach erhöht!

Fazit: Das Therapieziel sollte maximal 4 mm Sondierungstiefe und Entzündungsfreiheit sein!

Referenz

  1. Matuliene G, Pjetursson BE, Salvi GE, Schmidlin K, Brägger U, Zwahlen M, Lang NP. Influence of residual pockets on progression of periodontitis and tooth loss: Results after 11 years of maintenance. J Clin Periodontol 2008; 35: 685–695.

Kommentare