Sondieren an Implantaten, was gilt es zu beachten?
PD Dr. Kristina Bertl, PhD MSc MBA
Egal ob es sich um eine neue Patientin oder Patienten handelt oder, ob eine/r der eigenen PatientInnen zur Kontrolle kommt, es besteht kein Zweifel, dass Implantate von Beginn an (siehe Bericht „Die neue Implantatversorgung ist im Mund - Was nun?“) genauso wie die natürliche Bezahnung kontrolliert werden sollten und das inkludiert das Erheben von Sondierungstiefen!

Nun stellen sich hier folgende Fragen:
- Kann man Implantate wie die natürliche Bezahnung sondieren?
- Was hat es mit der Diskussion Metall- versus Plastiksonde auf sich?
- Soll man die prothetische Versorgung abnehmen?
Zur ersten Frage: Ja, genau gleich sondieren! Das bedeutet gleicher Druck, parallel zum Implantat und das korrekte Sondieren verursacht keine Schäden am Implantat oder im peri-implantären Gewebe!
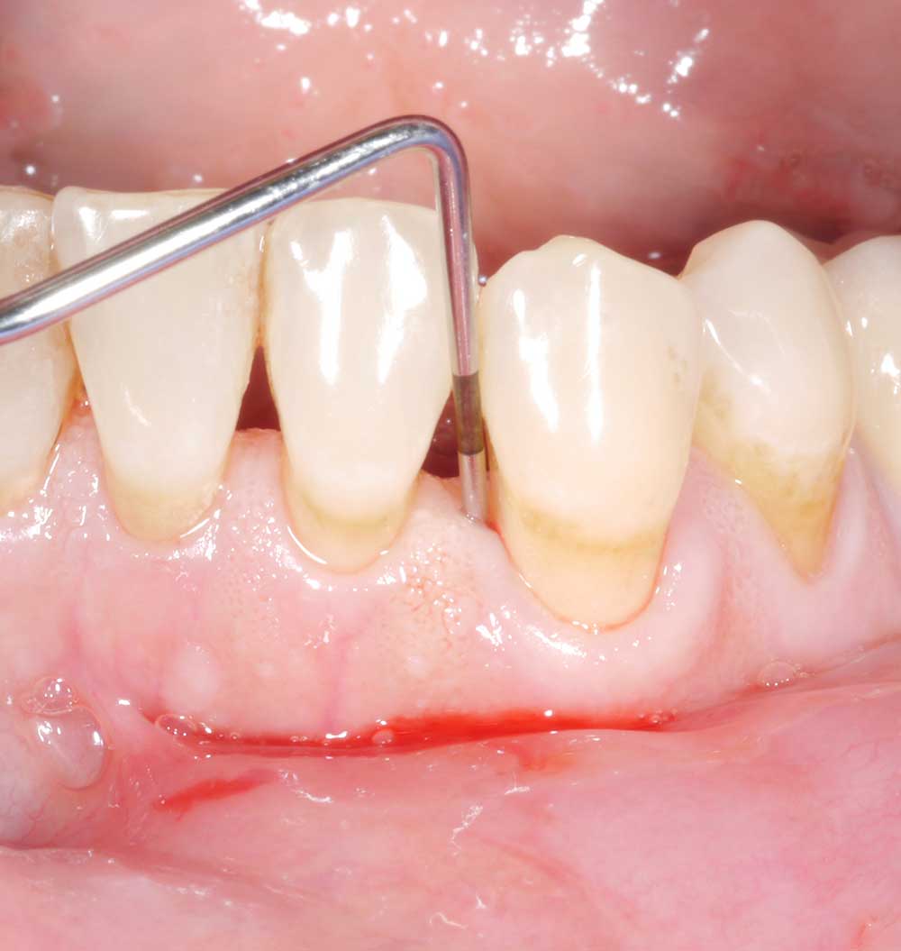
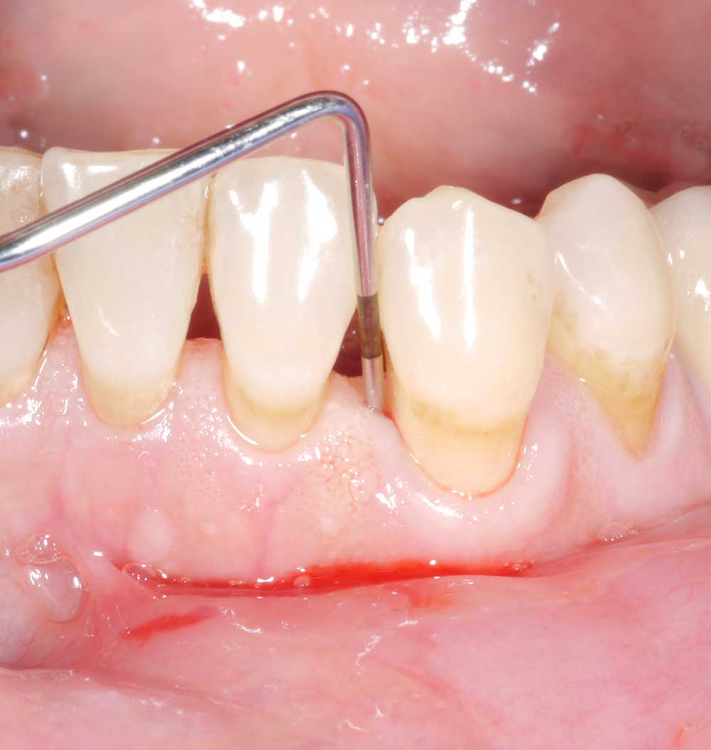
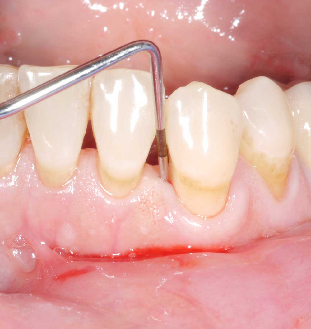
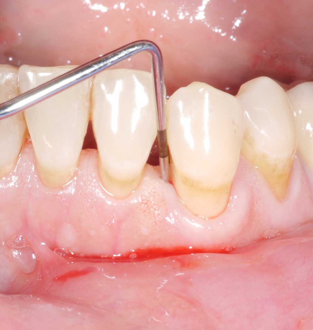
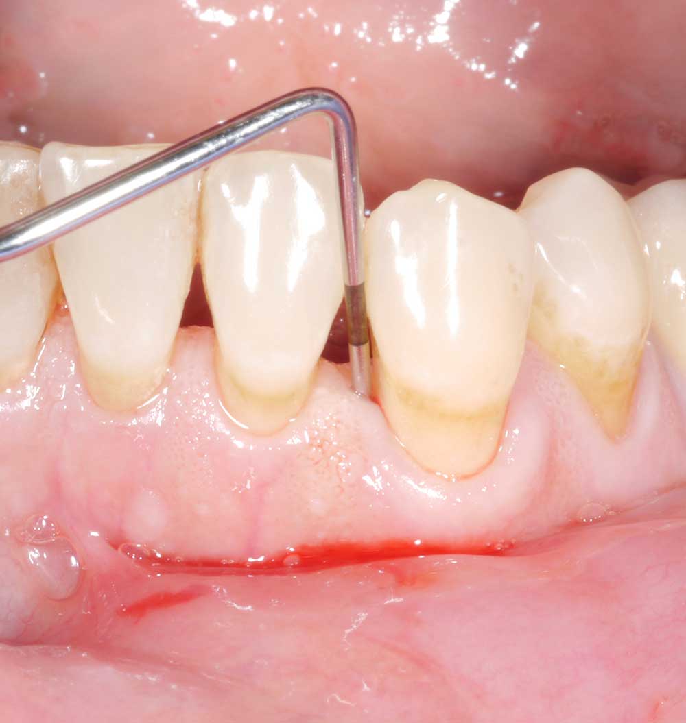
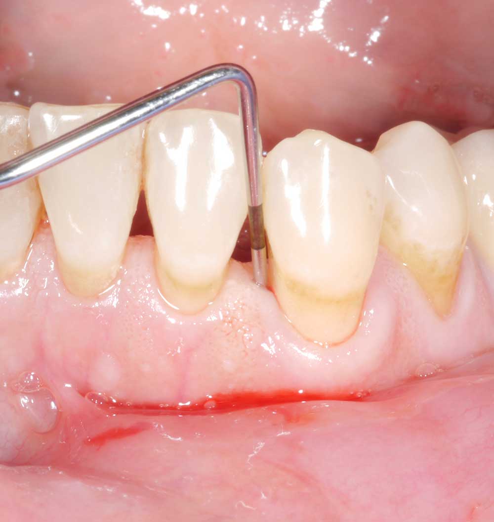
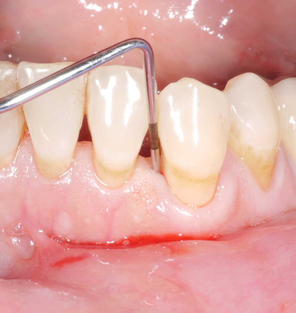
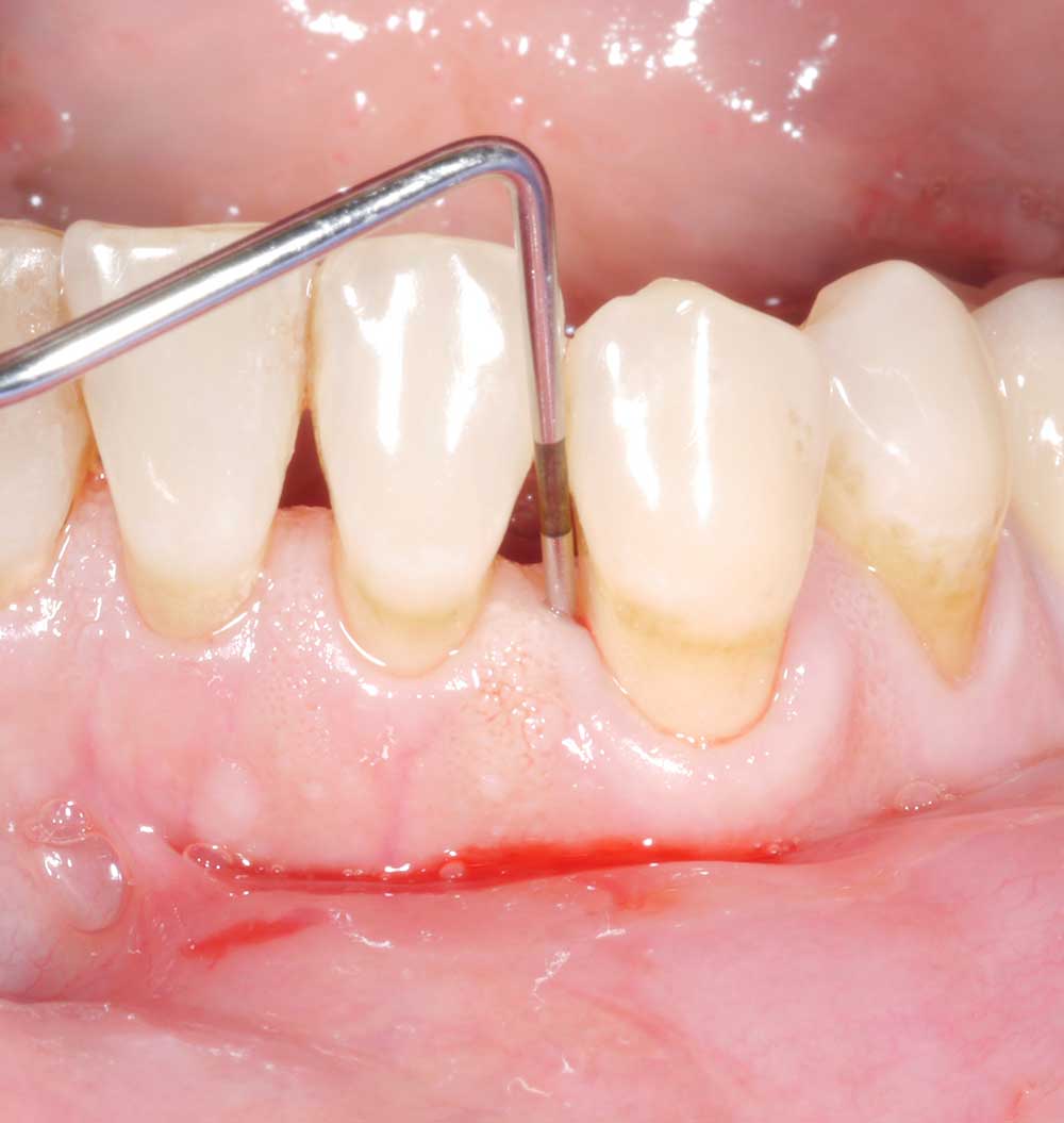
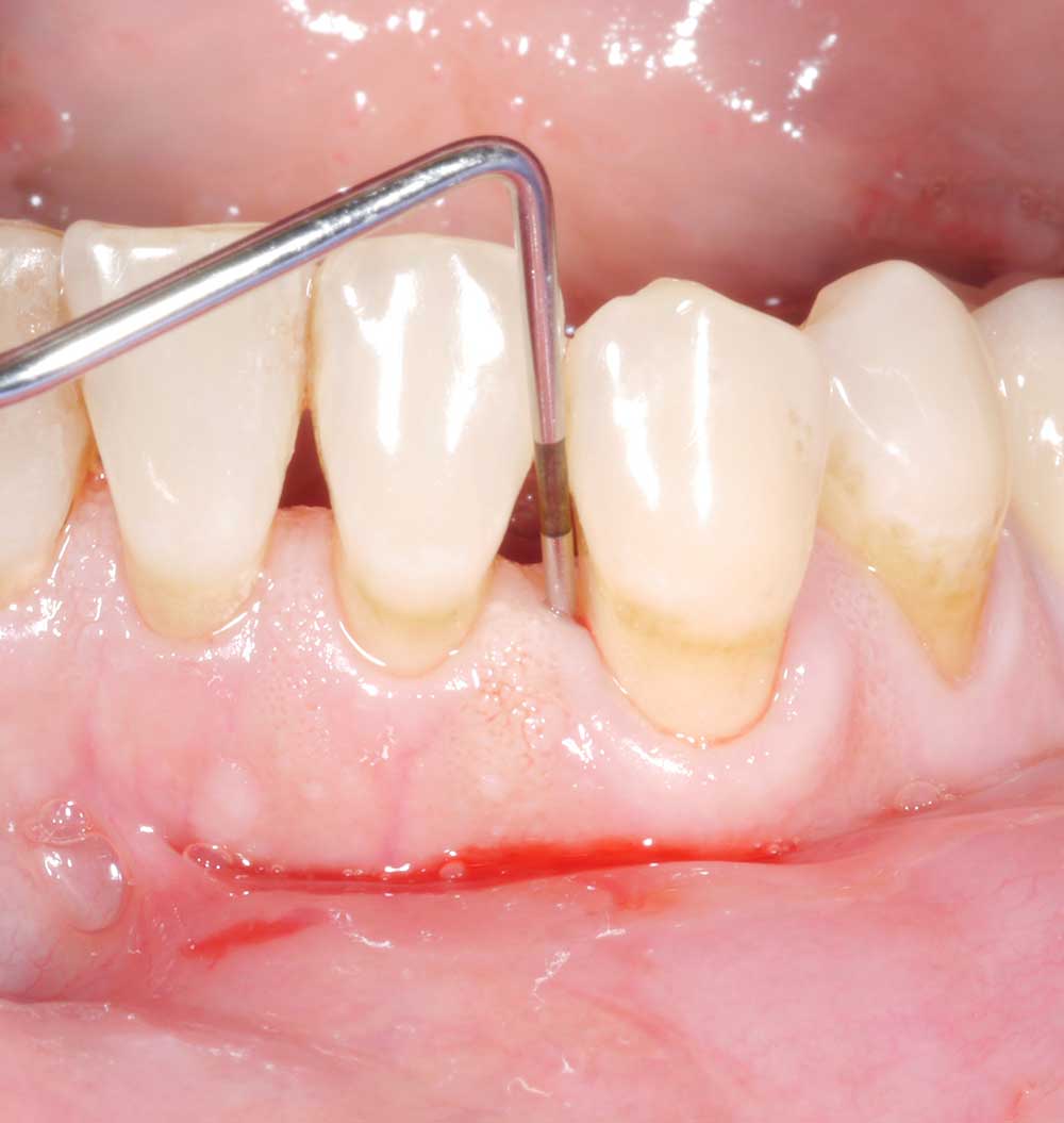
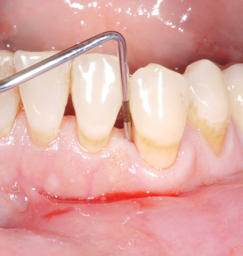
Zur zweiten Frage: Man kann beide Sondentypen verwenden, sowohl die Metall- als auch die Plastiksonde! Je nach prothetischer Versorgung kann die Plastiksonde aber gewisse Vorteile aufweisen. Durch die leichte Biegsamkeit der Plastiksonde erzielt man in gewissen Fällen (z.B. bei weit ausladenden Kronenformen oder bei Implantat getragenen Komplett-Kiefer-Versorgungen) einen besseren Zugang und dadurch vermutlich exaktere Messungen. Die Abbildung zeigt einen solchen Patientenfall mit einer Implantat getragenen Komplett-Kiefer-Versorgung (a). Bei den Abbildungen (b) und (c) zeigen sich deutliche Unterschiede je nachdem welcher Sondentyp verwendet wurde; während das Sondieren mit der Metallsonde 3mm ergab (b), zeigte sich ein deutlich höherer Messwert mit der Plastiksonde (c) – 8mm! Nach Abnahme der prothetischen Versorgung auf den Abbildung (d) und (e) sondiert man mit beiden Sonden gleich tief – ca. 10mm. Somit sollte man in der Klinik bedenken, dass je nach Zugang und prothetischer Versorgung die Plastiksonde eventuell aufgrund der leichten Biegsamkeit einen besseren Zugang und somit genauere Messung erzielen kann.
Zur dritten Frage: Messungen an Implantaten mit und ohne prothetische Versorgung weichen häufig um zumindest 1–2mm voneinander ab (Serino et al. 2013). Das bedeutet für uns, dass es sich bei Patienten mit Verdacht auf eine Peri-Implantitis (siehe Bericht „Peri-implantitis richtig diagnostizieren!“) für eine exakte Messung empfehlen kann, die Versorgung – sofern sie verschraubt/abnehmbar ist – abzunehmen. Dies empfiehlt sich aber nicht als Standardroutine und/oder bei gesunden peri-implantären Verhältnissen.
Referenz
- Coli P, Christiaens V, Sennerby L, Bruyn H. Reliability of periodontal diagnostic tools for monitoring peri-implant health and disease. Periodontol 2000. 2017 Feb;73(1):203-217. doi: 10.1111/prd.12162. Serino G, Turri A, Lang NP. Probing at implants with peri-implantitis and its relation to clinical peri-implant bone loss. Clin Oral Implants Res. 2013 Jan;24(1):91-5. doi: 10.1111/j.1600-0501.2012.02470.x. Epub 2012 Mar 29.
Kommentare