Probing of implants – what to consider
PD Dr. Kristina Bertl, PhD MSc MBA
Regardless of whether you are treating a new patient or seeing an existing patient for a check-up, there is no doubt that implants (see article ‘The patient has their new implant-supported prosthesis – what now?’) need to be monitored right from the start, just as natural dentition does – and that includes measurement of pocket probing depths!

This raises the following questions:
- Can implants be probed just like the natural dentition can?
- What is the discussion about metal versus plastic probes all about?
- Should the patient’s prosthetic restoration be removed?
Regarding the first question: yes, they should be probed in exactly the same way! This means the same pressure should be applied, parallel to the implant. Correct probing will not damage the implant or peri-implant tissue.
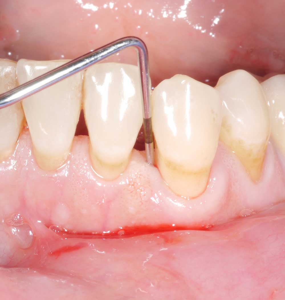
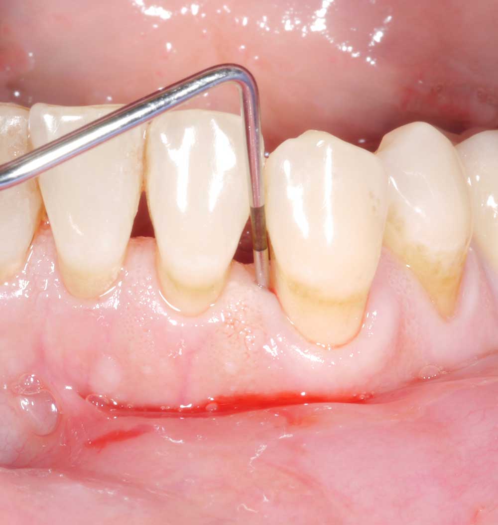
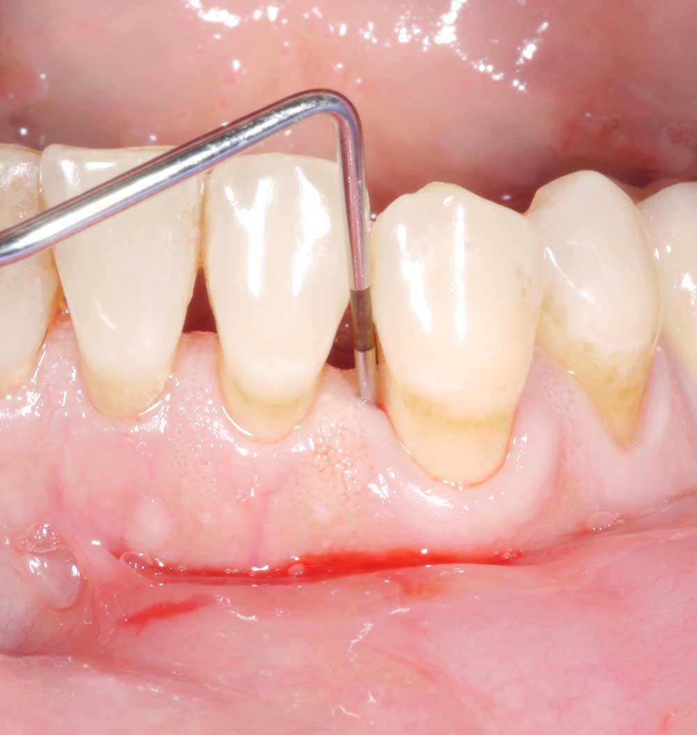
Regarding the second question: either type of probe can be used – metal or plastic. However, depending on the type of prosthetic restoration, the plastic probe may have certain advantages. In certain cases (e.g. patients with overhanging crown designs or implant-retained complete dentures), the slight flexibility of the plastic probe provides better access and therefore probably more accurate measurements. The Figure shows just such a case, of a patient with an implant-retained complete denture (a). Figures (b) and (c) show that probing depth differs substantially depending on the type of probe used. Whereas probing with the metal probe yielded a depth of 3 mm (b), the measurement for the plastic probe was substantially higher (c) – 8 mm! After removal of the prosthetic restoration (Figures [d] and [e]), the probing depths are the same for both types of probe – approx. 10 mm. Depending on the access and the patient’s prosthetic restoration, thought should be given in the dental practice as to whether the slight flexibility of a plastic probe might provide better access and thus more accurate measurements.
Regarding the third question: measurements around implants with and without prosthetic restorations often differ from each other by at least 1–2 mm (Serino et al., 2013). To ensure exact measurements are taken, it is therefore recommended to remove the restorations of patients who are suspected of having peri-implantitis (see article ‘How to correctly diagnose peri-implantitis’) – providing the restoration is screw-retained/removable. However, this is not recommended as standard routine and/or for patients with a healthy peri-implant status.
Reference
- Coli P, Christiaens V, Sennerby L, Bruyn H. Reliability of periodontal diagnostic tools for monitoring peri-implant health and disease. Periodontol 2000. 2017 Feb;73(1):203-217. doi: 10.1111/prd.12162. Serino G, Turri A, Lang NP. Probing at implants with peri-implantitis and its relation to clinical peri-implant bone loss. Clin Oral Implants Res. 2013 Jan;24(1):91-5. doi: 10.1111/j.1600-0501.2012.02470.x. Epub 2012 Mar 29.
comentarios