Retirar restos radiculares de forma no traumática del espacio retromolar
La piezocirugía permite intervenciones no traumáticas cuando se realizan osteotomías cerca de los nervios.

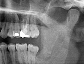
Tras la extracción quirúrgica de una muela del juicio retenida, un paciente de 26 años se quejaba de dolores continuos y trastornos de la sensibilidad. Las radiografías panorámicas confirmaron la presencia de un resto radicular situado muy cerca del nervio alveolar inferior.
Con el fin de extraer dicho resto radicular sin dañar el tejido, se utilizó un sistema piezoquirúrgico. El defecto se rellenó con virutas de hueso autógenas.
La extracción quirúrgica de los terceros molares es una de las intervenciones más frecuentes en cirugía oral. El riesgo de complicaciones que esto implica depende, entre otros, de la técnica quirúrgica y de la edad del paciente, así como de la anatomía y de la posición del diente en el hueso maxilar (angulación y grado de desplazamiento) (1). La intervención puede provocar traumatismos en los segundos molares contiguos (2), dar lugar a complicaciones hemorrágicas u ocasionar disestesias, infecciones o dolores postoperatorios (3). En el maxilar inferior, pueden producirse fracturas de la rama ascendente y, en el maxilar superior, aparecen con frecuencia conexiones entre la boca y el antro.
Lesiones nerviosas
A la hora realizar una extracción en el maxilar inferior, es preciso prestar una atención especial a la posición respecto al nervio lingual y al nervio alveolar inferior. En aproximadamente un 1 % de los casos, las lesiones de los dos nervios en conjunto pueden provocar anestesias, hipoestesias, hiperestesias y alteraciones del sentido del gusto. Las disestesias son permanentes en aproximadamente el 1 % de los casos (3-5), pero en multitud de ocasiones persisten durante un largo período de tiempo (4).
En el caso de que el diagnóstico radiológico preoperatorio sea el adecuado (ortopantomografía), la lesiones del nervio alveolar inferior son previsibles en la mayor parte de los casos, por lo que pueden evitarse. Si se sospecha que hay un tercer molar afectado muy cerca de este nervio, puede estar indicada una toma de imágenes tridimensional adicional (TVD, TAC) (6, 7).
Cuando se extraen o se osteotomizan las muelas del juicio, puede que los componentes radiculares se fracturen o queden sin extraer (3). Por lo general, los restos radiculares deben extraerse, cuando sea posible identificarlos en las fases intraoperatoria o postoperatoria. De hecho, si se dejan, en función de la operación de que se trate, pueden producirse infecciones postoperatorias con sus consiguientes molestias, incluidas las disestesias.
Función de la técnica quirúrgica
Durante la técnica quirúrgica, desempeñan un papel destacado, entre otros, la vía de acceso (bucal o lingual), el diseño del colgajo, la protección de los nervios en el campo quirúrgico y el método de preparación. No obstante, solo hay unos cuantos estudios comparativos que avalen ventajas significativas de una técnica concreta (8).
Tradicionalmente, las osteotomías se realizaban con fresas redondas y fresas estándar. Los sistemas piezoquirúrgicos que pueden utilizarse de forma alternativa funcionan con microoscilaciones que, según diversas observaciones clínicas, pueden mejorar el control durante la preparación. Además, en la piezocirugía se evita un resbalamiento, como el que puede suceder con los instrumentos rotativos (9-11).
Durante las preparaciones cerca del tejido nervioso, la piezocirugía presenta la ventaja decisiva de que, si se utiliza adecuadamente, el funcionamiento microoscilante específico no daña en modo alguno los tejidos blandos (12, 13).
Mantenimiento de la sustancia y prevención de las fracturas
Una ventaja adicional de los insertos piezoquirúrgicos es su diámetro que, en el caso de las sierras y en función del sistema de que se trate, oscila tan solo entre 0,25 mm y 0,5 mm. Frente a esto, las fresas de Lindemann convencionales presentan un diámetro de 1,6 mm y los nuevos productos, incluso de 1,2 mm. Las fresas redondas quirúrgicas se encuentran disponibles a partir de un diámetro de 1,0 mm. Los insertos piezoquirúrgicos esféricos que pueden utilizarse como alternativa a las fresas redondas también tienen un diámetro mínimo de aproximadamente 1,0 mm.
En total y debido a su tamaño, los instrumentos rotativos retiran innecesariamente mucha más cantidad de hueso que los insertos piezoquirúrgicos, lo que significa que la superficie de la herida es más grande y que, en consecuencia, aumenta el riesgo de dolores e infecciones postoperatorios. Además, dependiendo de la situación anatómica de que se trate, el hueso maxilar se debilita sin necesidad. Del mismo modo, según las experiencias clínicas, las sierras rotativas u oscilantes convencionales también retiran una cantidad de sustancia ósea relativamente grande (9, 14).
Por el contrario, con los insertos piezoquirúrgicos, los dientes impactados, pero también las piezas dentales que se rompen de forma regular o los restos radiculares, pueden prepararse de forma libre de manera muy específica y, en consecuencia, sin dañar los tejidos. Los insertos finos y el efecto de cavitación que surge con las microoscilaciones garantizan una buena visibilidad, lo que permite evitar de forma más fácil una pérdida innecesaria de sustancia.
Descripción de un caso
Seis meses después de una osteotomía del diente 38, un paciente de 26 años padecía dolores repetitivos en la zona de la operación y se quejaba de hipersensibilidad en la zona de extensión del nervio alveolar inferior. El odontólogo que lo remitió, y que no era quien había realizado la extracción dental original, lo envió al departamento de cirugía oral de la Clínica Dental Universitaria de Viena.
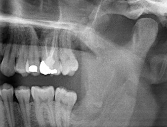
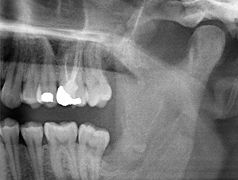
Ya en la ortopantomografía, se constató que había un resto radicular de la región 38 muy cerca del nervio alveolar inferior (figura 1). La raíz se había fracturado durante la osteotomía, pero el primer odontólogo que había tratado al paciente no había extraído esta debido a la presencia de dolor durante la operación.
Así, con el fin de garantizar que los tejidos se iban a tratar con el máximo cuidado, la nueva osteotomía debía realizarse con un sistema piezoquirúrgico. El paciente presentaba una anamnesis sin hallazgos significativos y no fumaba.

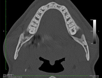
En la imagen en 3D (tomografía volumétrica digital) se constató que el resto radicular se encontraba muy desplazado en sentido distocaudal en la transición situada entre la porción horizontal y la ascendente del maxilar inferior (figura 2).
Tras una anestesia local y por conducción, el campo quirúrgico se abrió mediante los tejidos blandos para tener un acceso bucal-retromolar y se dejó expuesto (figura 3).


El tejido situado por encima del resto radicular no se había osificado por completo y constaba en su mayor parte de un tejido granulado con alteraciones inflamatorias (figura 4).
Con el fin de obtener material autógeno para el tratamiento posterior de la herida, se utilizó un inserto piezoquirúrgico (Piezomed B5) para obtener virutas de hueso sano del entorno del resto radicular (figura 5).


El tejido autógeno se extrajo con la punta de trabajo en forma de pala del inserto y se guardó en solución salina fisiológica hasta su posterior utilización (véase figura 13).
Con el fin de preparar el resto radicular de forma libre sin dañar el tejido, se utilizó otro inserto (Piezomed S2), que está indicado sobre todo para la preparación de la ventana lateral en los aumentos de la base del seno maxilar. Además, se utilizó la esfera diamantada para alisar los bordes óseos afilados (figuras 6 y 7). Todos los accesorios Piezomed se utilizaron con el ajuste estándar automático correspondiente sin función de refuerzo de la potencia.


A continuación, se utilizó un inserto para la retirada de los sedimentos periodontales (Piezomed P1) y se amplió mínimamente el surco periodontal del resto radicular (figura 8).
El mismo inserto activado se introdujo en el canal radicular y aflojó el fragmento gracias a sus vibraciones microoscilantes (figuras 9 y 10).


A continuación, se utilizó el accesorio P1 para retirar de una pieza el resto radicular de aproximadamente seis milímetros de longitud (figura 11).
El tejido inflamatorio periapical se retiró también con sumo cuidado utilizando un excavador manual. La figura 12 muestra el alvéolo vacío con el nervio alveolar inferior expuesto.



A continuación, el tejido óseo autógeno (figura 13) se incorporó en el alvéolo y en el defecto óseo circundante (figura 14). Un velo de colágeno sirvió de protección para el nervio expuesto y cubrió las virutas óseas hasta el nivel del hueso (figura 15). Se aplicaron puntos de sutura con hilos Vicryl de grosor 4.0, que cerraron los tejidos blandos abiertos (figura 16). Tras la operación, se prescribió un preparado de ibuprofeno (Seractil 400 mg 3x1) y un antibiótico con amoxicilina y ácido clavulánico (Augmentine 1g 2x1).
La herida cicatrizó sin complicaciones (figura 17) y los puntos se retiraron transcurridos siete días. El paciente informó de que había recuperado una sensibilidad normal. Además, los dolores habían desaparecido.




Debate
El riesgo de complicaciones durante la extracción quirúrgica de las muelas del juicio depende, entre otros, de la edad del paciente, así como de la anatomía de la raíz y de la técnica quirúrgica (1). Con toda probabilidad, los mismos parámetros afectan también al transcurso de la operación y a la cicatrización en el caso de osteotomías de restos radiculares.
Si hay nervios cerca y no existen molestias, es posible dejar los restos radiculares basándose en un diagnóstico postoperatorio adecuado (3). Como, en el caso que nos ocupa, los dolores y los trastornos de la sensibilidad afectaban negativamente a la vida del paciente, fue preciso osteotomizar el resto, a pesar del riesgo de volver a dañar, incluso de forma irreversible, los nervios y los tejidos circundantes. Si se hubiera dejado el resto radicular, probablemente los dolores se habrían mantenido y se habría producido una recidiva de las infecciones. Además, podrían haberse desarrollado procesos patológicos, como formación de abscesos, osteomielitis o quistes dentógenos.
La anamnesis del paciente era favorable (no fumador, 26 años) para garantizar el éxito de la aplicación. Como la ortopantomografía mostró que el resto radicular se encontraba muy cerca del nervio alveolar inferior, se realizó también una tomografía volumétrica digital (6).
El hecho de que se constatara dicha cercanía exigió una osteotomía precisa y delicada. En este caso, las observaciones clínicas y los estudios comparativos respaldan los procedimientos piezoquirúrgicos que se encuentran disponibles desde finales de los años 90 (9-11). Gracias a la microoscilación característica de estos sistemas, es posible retirar hueso de forma selectiva, lo que permite una preparación mínimamente invasiva.
Ventajas específicas del equipo
En el equipo que utilizamos aquí (Piezomed de W&H), la refrigeración extremadamente eficaz aporta una seguridad adicional junto al inserto. Esto afecta también a la detección de los insertos utilizados a través del equipo, lo que garantiza un ajuste correcto de la potencia de forma totalmente automática. Llama la atención el rendimiento alto y constante del equipo en el caso de las osteotomías que, en el caso que nos ocupa, fue relevante a la hora de obtener las virutas óseas que se necesitaban. Al mismo tiempo, en función de las condiciones técnicas, los tejidos blandos y, por ende, también los tejidos nerviosos de la zona de la operación, se tratan con delicadeza. Esta característica piezoquirúrgica especial permite, por ejemplo, la preparación de ventanas óseas laterales durante la elevación del seno maxilar, con solo un riesgo mínimo de que se produzcan perforaciones de la membrana de Schneider (13).
En nuestro ejemplo, una semana después de retirar el resto radicular, el paciente notificó que había recuperado la sensibilidad en la zona inervada del nervio alveolar inferior. Además, los controles postoperatorios mostraron una cicatrización muy buena y rápida, así como el fin de seis meses de síntomas dolorosos continuos. La intervención se realizó en su totalidad sin instrumentos rotativos que, según la experiencia del autor, no habrían permitido una técnica quirúrgica que fuera tan delicada.
Otra ventaja de la técnica piezoqurúrgica consiste en que se produce muy poco sangrado durante la intervención, lo que se debe al efecto de cavitación. El ultrasonido de alta frecuencia genera ondas de choque en el líquido refrigerante que provocan una microcoagulación (15). El resultado es una mejor visibilidad y una intervención más segura (11). La iluminación integrada en el sistema utilizado, con LED séxtuple, mejora significativamente la visibilidad en el campo quirúrgico.
Ampliación del surco periodontal y obtención de virutas óseas
Con el estilizado inserto piezoquirúrgico Piezomed P1, fue posible ampliar de forma precisa el surco periodontal del resto radicular, a modo de preparación para retirarlo fácilmente mediante su introducción en el canal radicular. También en este caso se demostró que el funcionamiento microoscilante resultaba una gran ventaja y que el uso flexible era evidente. Frente a esto, los instrumentos rotativos no ofrecen ninguna opción similar.
En las virutas óseas autógenas que, en el caso que nos ocupa, se obtuvieron con ayuda de una técnica piezoquirúrgica, parece que las células óseas sobreviven mejor que en la preparación rotativa (16), lo que resulta una gran ventaja para la cicatrización. Con el fin de optimizar la higiene y, en consecuencia, el proceso de cicatrización, como sucede habitualmente en la Clínica Dental Universitaria de Viena, durante la preparación se prescindió de una aspiración con filtro óseo.
Conclusiones
El caso que hemos presentado aquí pone de manifiesto el funcionamiento poco agresivo con los tejidos y, al mismo tiempo, potente, del sistema Piezomed. Gracias a la precisión del funcionamiento microoscilante, también es posible proteger los nervios incluso durante osteotomías exigentes y permitir después una regeneración adecuada.

Department of Oral Surgery at the University Dental Clinic Vienna
Más información
Fotos: Strbac – UZMK Viena
Bibliografía:
- Akadiri OA, Obiechina AE. Assessment of difficulty in third molar surgery--a systematic review. J Oral Maxillofac Surg 2009;67:771-774.
- Strietzel FP, Reichart P. Wundheilung nach operativer Weisheitszahnentfernung. Evidenzgestützte Analyse (in German). Mund Kiefer Gesichtschir 2002;6.
- Arrigoni J, Lambrecht, JT. Komplikationen bei und nach operativer Weisheitszahnentfernung. Schweiz Monatsschr Zahnmed 2004;114:1271-1279.
- Carmichael FA, McGowan DA. Incidence of nerve damage following third molar removal: a West of Scotland Oral Surgery Research Group study. Br J Oral Maxillofac Surg 1992;30:78-82.
- Valmaseda-Castellon E, Berini-Aytes L, Gay-Escoda C. Inferior alveolar nerve damage after lower third molar surgical extraction: a prospective study of 1117 surgical extractions. Oral Surg Oral Med Oral Pathol Oral Radiol Endod 2001;92:377-383.
- Arbeitsgemeinschaft für Röntgenologie ARö. s2k-Leitlinie dentale digitale Volumentomographie. Version #9, 2013-08-05, http://www.awmf.org/uploads/tx_szleitlinien/083-005l_S2k_Dentale_Volumentomographie_2013-10.pdf, accessed 2016-05-12.
- DGMKG. S2k-Leitlinie: Operative Entfernung von Weisheitszähnen; Version 2012-12-21 (corr. long version 2013-01; http://www.awmf.org/leitlinien/detail/ll/007-003.html accessed 2016-05-12. guideline, 2012.
- Dodson TB, Susarla SM. Impacted wisdom teeth. BMJ clin evid 2010;2010.
- Rothamel D, et al. Piezosurgery - a universal principle for many indications. EDI Journal 2015;64-70.
- Vercellotti T. Essentials in Piezosurgery: Clinical Advantages in Dentistry: Quintessence Publishing, 2009.
- Schlee M, Steigmann M, Bratu E, Garg AK. Piezosurgery: basics and possibilities. Implant dent 2006;15:334-340.
- Vercellotti T. Essentials in Piezosurgery: Clinical Advantages in Dentistry: Quintessence Publishing, 2009.
- Wallace SS, Mazor Z, Froum SJ, Cho SC, Tarnow DP. Schneiderian membrane perforation rate during sinus elevation using piezosurgery: clinical results of 100 consecutive cases. Int J Periodontics Restorative Dent 2007;27:413-419.
- Pereira CC, Gealh WC, Meorin-Nogueira L, Garcia-Junior IR, Okamoto R. Piezosurgery applied to implant dentistry: clinical and biological aspects. J Oral Implantol 2014;40 Spec No:401-408.
- Rahnama M, Czupkallo L, Czajkowski L, Grasza J, Wallner J. The use of piezosurgery as an alternative method of minimally invasive surgery in the authors' experience. Wideochirurgia i inne techniki maloinwazyjne 2013;8:321-326.
- von See C, Rucker M, Kampmann A, Kokemuller H, Bormann KH, Gellrich NC. Comparison of different harvesting methods from the flat and long bones of rats. Br J Oral Maxillofac Surg 2010;48:607-612.
comentarios