Método piezoeléctrico para preparar el sitio de un implante
Las prótesis fijas sujetas mediante implantes mejoran la masticación y la calidad de vida.
Método piezoeléctrico para preparar el sitio de un implante destinado a colocar una prótesis maxilar CAD/CAM
En pacientes desdentados, las prótesis fijas sujetas mediante implantes mejoran la masticación y la calidad de vida. Debido a la reabsorción y a la extensa neumatización de los senos maxilares, la paciente tenía solo una altura ósea mínima en el maxilar posterior para colocar los implantes de manera convancional. Los sitios de los implantes se prepararon con un equipo piezoeléctrico y un nuevo conjunto de instrumentos específicos. Se colocaron dos implantes de 10 mm y seis implantes de 4 mm para sujetar una prótesis fija CAD/CAM retenida con barra.
Tradicionalmente, la preparación de los sitios de implantes se realiza con instrumentos rotatorios. Los nuevos motores de implantes nos aseguran un buen control del corte a baja velocidad y con valores de torque definidos. No obstante, en situaciones anatómicas difíciles, por ejemplo, cuando existe un volumen óseo mínimo y una delgada capa de hueso cortical, así como cuando la preparación se realiza cerca de la membrana de Schneider, la preparación rotatoria solo permite una sensibilidad limitada al cirujano. Además, con el instrumental rotatorio, resulta difícil corregir el eje inicial del sitio de un implante.
Frente a esto, la preparación con equipos piezoeléctricos ha demostrado ser especialmente suave, tanto con los tejidos duros como con los blandos (1). Esto permite preparar con una sensación táctil superior y una presión mínima, para conseguir un control máximo en las intervenciones quirúrgicas (2). La preparación del sitio del implante mediante ultrasonidos se aconseja para situaciones en las que existen huesos delicados y tejidos blandos en peligro, por ejemplo, cuando se realiza una elevación interna del seno maxilar (3).
Tras la preparación piezoeléctrica, también se ha identificado un efecto favorable en la osteointegración, lo que da lugar a una transición más temprana de la estabilidad primaria del implante a la secundaria (4). Asimismo, en un estudio multicéntrico que incluyó más de 3.500 implantes, se demostró que la preparación piezoeléctrica obtiene el éxito deseado en una amplia gama de indicaciones (5).
Caso clínico
Una paciente de 41 años sin alteraciones sistémicas de interés perdió todos los dientes debido a la presencia de periodontitis y caries. Al final, esto le obligó a llevar prótesis completas mucosoportadas en ambos maxilares, lo que le ocasionaba grandes dificultades al masticar debido al deficiente ajuste de las mismas. Así pues, la paciente decidió someterse a la colocación de implantes para sujetar una prótesis CAD/CAM fija retenida por barra en el maxilar inferior.
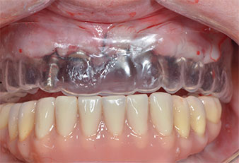
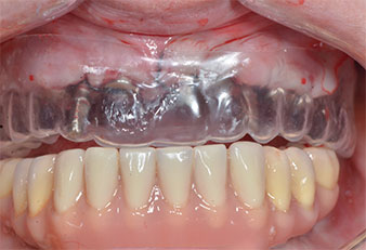
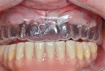
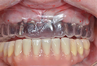
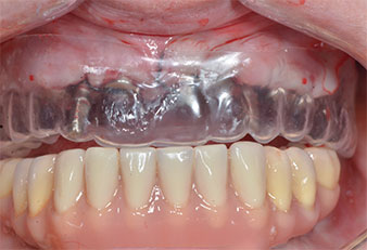
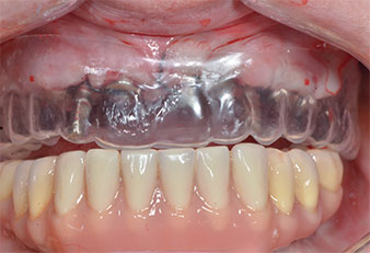
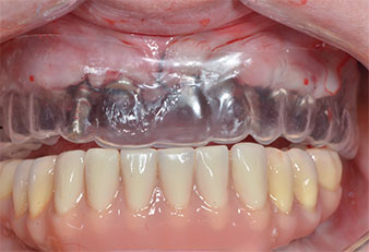
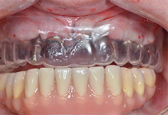
Tres años después, llegó el momento de colocar una prótesis del mismo tipo en el maxilar superior. Basándose en una planificación mediante tomografía computarizada de haz cónico (CBCT, por sus siglas en inglés), se evitó la necesidad de realizar una elevación del seno utilizando implantes cortos, mientras que una plantilla quirúrgica sirvió para transferir las posiciones planificadas al borde alveolar (figuras 1 y 2).


Para marcar las posiciones del implante y realizar la preparación piloto, se utilizó un inserto piezoeléctrico (Piezomed I1) con revestimiento de diamante y forma de llama (figura 3). Se tomaron precauciones para realizar movimientos hacia arriba y hacia abajo, con una potencia reducida, una irrigación completa y una baja presión (por debajo de 300 g). A continuación, se aplicó un inserto piloto (Piezomed I2A/I2P) para aumentar el diámetro inicial de 2 mm de los sitios de implante (figura 4), seguido de un inserto de 3 mm (Fig. 5).



En casos de huesos densos, es preciso utilizar toda la secuencia de insertos, incluidos los insertos intermedios Piezomed Z25P y Z35P, pues esto permite ampliar las osteotomías antes del siguiente paso de ampliación.
Tales insertos también están indicados para la preparación cerca de la membrana del seno en combinación con los procesos de elevación interna, así como cuando hay menos de 4 mm de altura de hueso residual.
En el caso que nos ocupa, no se utilizaron los insertos Z25P ni Z35P debido a la existencia de un hueso posterior relativamente blando, que se trató sin problemas con el I3A/I3P.
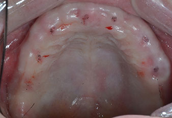
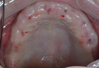
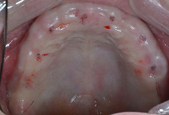
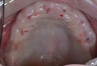
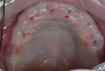
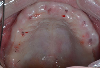
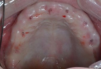
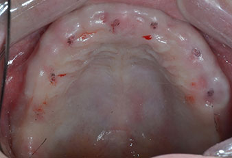
Debido al hueso relativamente duro (D2) existente en el sector anterior, los sitios de los implantes largos de 10 mm de las posiciones 11 y 21 se finalizaron con una fresa rotatoria de 4 mm de diámetro, en combinación con un contra-ángulo quirúrgico WS-75 L de W&H, el motor de implantes Implantmed de W&H y el módulo opcional Osstell ISQ de W&H. En cambio, debido a la existencia de hueso blando, los sitios posteriores se prepararon hasta un diámetro final de 3 mm utilizando el inserto Piezomed I3P. Por último, los implantes se colocaron a nivel crestal para su osteointegración durante tres meses (figuras 6-10). La prótesis existente se mantuvo sobre cuatro implantes provisionales (figura 8).





Debate
Se ha demostrado que la preparación piezoeléctrica mejora la cicatrización ósea (6, 7), lo que se traduce en una mejor formación de hueso y una mayor densidad ósea cerca de la superficie del implante (8). Tal como se demostró en un ensayo controlado aleatorizado, esto puede provocar un aumento más temprano de la estabilidad secundaria del implante que en los sitios preparados con instrumentos rotatorios (4).
Otro aspecto importante de la preparación piezoeléctrica es la excelente sensibilidad del cirujano en volúmenes óseos pequeños, como sucedió en el caso de la paciente que hemos descrito aquí. También nos permite corregir la angulación del lecho óseo con todos y cada uno de los instrumentos antes de la colocación del implante.
La paredes óseas corticales delicadas, que se encuentran con frecuencia en sitios anteriores, son más fáciles de detectar con sistemas piezoeléctricos, lo que permite una preparación menos invasiva y menor pérdida de hueso posterior a la intervención. Además, el sistema de refrigeración del Piezomed permite una irrigación eficaz del sitio quirúrgico, lo que evita la generación de calor, en combinación con una eficacia máxima.
Por último, aunque no por ello menos importante, la preparación no produce macrovibraciones, lo que hace que la intervención resulte más cómoda para los pacientes (9). La intervención de preparación combinada elegida, con el uso de una fresa rotatoria para la finalización de los sitios de los implantes anteriores en el hueso duro, resultó ser eficaz, mientras que la preparación piezoeléctrica fue óptima en el caso del hueso blando posterior con baja altura del hueso residual.

Profesor Dr. Dr. José Luis Calvo Guirado, D.D.S, PhD/Eu, PhD, M.Sc.
Catedrático de Cirugía Oral e Implantología
Murcia, España
Más información
Bibliografía
- Vercellotti T. Essentials in Piezosurgery: Clinical Advantages in Dentistry: Quintessence Publishing, 2009.
- Schlee M, Steigmann M, Bratu E, Garg AK. Piezosurgery: basics and possibilities. Implant dentistry 2006;15:334-340.
- Pellegrino G, Taraschi V, Vercellotti T, Ben-Nissan B, Marchetti C. Three-Dimensional Implant Positioning with a Piezosurgery Implant Site Preparation Technique and an Intraoral Surgical Navigation System: Case Report. The International journal of oral & maxillofacial implants 2017;32:e163-e165.
- Stacchi C, Vercellotti T, Torelli L, Furlan F, Di Lenarda R. Changes in implant stability using different site preparation techniques: twist drills versus piezosurgery. A single-blinded, randomized, controlled clinical trial. Clinical implant dentistry and related research 2013;15:188-197.
- Vercellotti T, Stacchi C, Russo C, Rebaudi A, Vincenzi G, Pratella U, et al. Ultrasonic implant site preparation using piezosurgery: a multicenter case series study analyzing 3,579 implants with a 1- to 3-year follow-up. The International journal of periodontics & restorative dentistry 2014;34:11-18.
- Chiriac G, Herten M, Schwarz F, Rothamel D, Becker J. Autogenous bone chips: influence of a new piezoelectric device (Piezosurgery) on chip morphology, cell viability and differentiation. J Clin Periodontol 2005;32:994-999.
- Preti G, Martinasso G, Peirone B, Navone R, Manzella C, Muzio G, et al. Cytokines and growth factors involved in the osseointegration of oral titanium implants positioned using piezoelectric bone surgery versus a drill technique: a pilot study in minipigs. J Periodontol 2007;78:716-722.
- Di Alberti L, Donnini F, Di Alberti C, Camerino M. A comparative study of bone densitometry during osseointegration: piezoelectric surgery versus rotary protocols. Quintessence Int 2010;41:639-644.
- Sohn DS, Ahn MR, Lee WH, Yeo DS, Lim SY. Piezoelectric osteotomy for intraoral harvesting of bone blocks. The International journal of periodontics & restorative dentistry 2007;27:127-131.
comentarios