Les contre-angles à leur limite : les défis de la dentisterie restauratrice moderne
Perspectives du Dr Wolfgang Tautschnig
Les progrès constants réalisés dans le domaine des matériaux de restauration dentaire imposent des exigences croissantes aux contre-angles et aux instruments, qui doivent offrir durabilité, efficacité et précision. Le Dr Wolfgang Tautschnig, dentiste expérimenté de Salzbourg, a testé pendant plusieurs mois le Synea « Power Edition » de W&H et partage ses impressions issues de sa pratique clinique quotidienne.
Cette pièce à main spécialisée a principalement été utilisée pour des procédures exigeantes telles que la découpe de couronnes et de bridges. Cet article présente non seulement les avantages de la nouvelle pièce à main à grande vitesse, mais illustre également ses performances cliniques à travers deux cas de patients exemplaires.
- Salzbourg, Autriche

Exigences croissantes en matière de traitement des matériaux modernes
Le développement continu des matériaux dentaires entraîne une augmentation de la demande en dentisterie restauratrice. Au cours des deux dernières décennies, la zircone s'est imposée comme l'un des principaux matériaux utilisés pour les couronnes et les bridges en raison de sa dureté, de sa longévité et de son esthétique exceptionnelles. Ces caractéristiques en font un choix privilégié pour les patients à la recherche d'une solution de haute qualité et durable.
Cependant, ces mêmes caractéristiques posent des défis importants aux praticiens, en particulier lorsque les restaurations existantes doivent être retirées ou remplacées. Les types de zircone plus anciens et plus fragiles nécessitent des techniques spécialisées afin d'éviter d'endommager les instruments et de nuire à l'efficacité des processus de traitement. Les pièces à main conventionnelles atteignent souvent leurs limites, car le traitement de ces matériaux nécessite une force de coupe élevée, ce qui peut accélérer l'usure des fraises et réduire l'efficacité globale. Compte tenu de la prévalence croissante de la zircone et d'autres matériaux à haute résistance dans les cabinets dentaires, le développement d'outils et de technologies spécialisés est essentiel pour surmonter ces défis.
Synea Power Edition : une solution spécialisée pour les matériaux à haute résistance
Pour répondre à ces exigences élevées, W&H propose une solution durable et robuste avec le
Synea Power Edition. Le Power Edition combine un rapport de transmission optimisé avec une vitesse calibrée de manière idéale et un couple amélioré, permettant un traitement précis même des matériaux les plus difficiles. Un système de serrage extra-robuste offre une force de serrage améliorée, minimisant la charge pendant le traitement de la zircone et contribuant à prolonger la durée de vie des contre-angles.
Le triple jet optimisé avec un débit d'eau accru réduit le stress thermique et améliore l'efficacité du rinçage, pour une performance de coupe plus efficace. Ces améliorations techniques permettent un fonctionnement précis et efficace sans nécessiter une pression excessive. La conception spécialisée protège les pièces à main conventionnelles qui ne sont pas destinées au traitement de matériaux à haute résistance, contribuant ainsi à prolonger leur durée de vie. Pour les praticiens, cela en fait une solution idéale pour répondre aux exigences complexes et difficiles de la dentisterie restauratrice moderne.
Expérience clinique avec Synea Power Edition
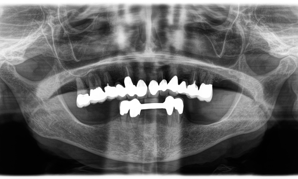
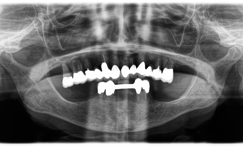
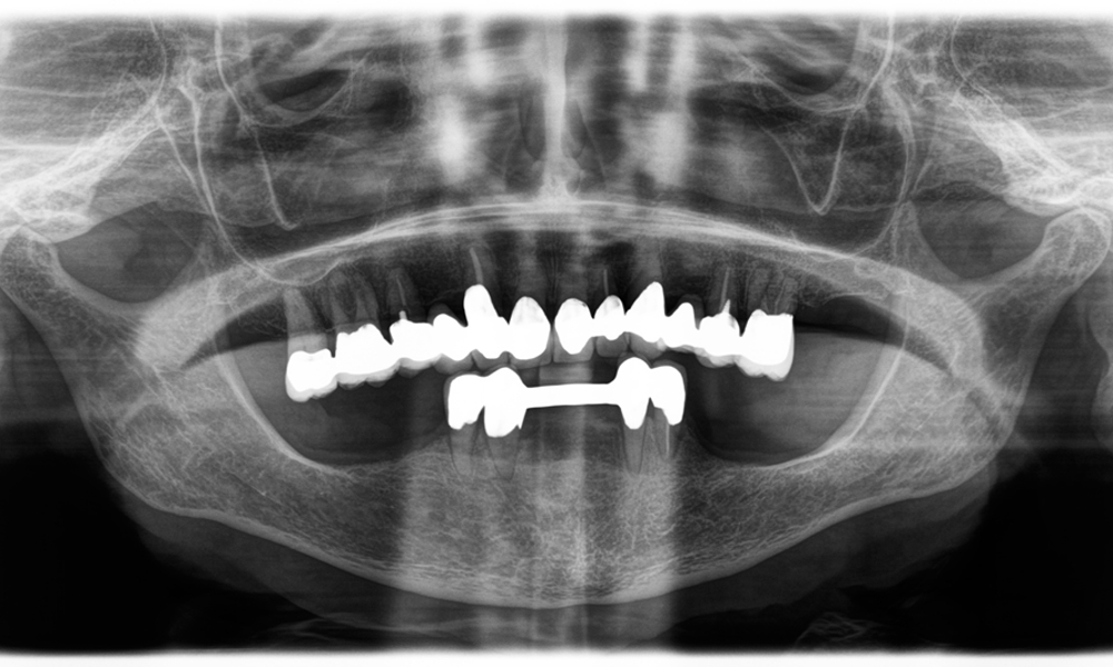
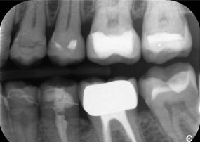
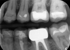
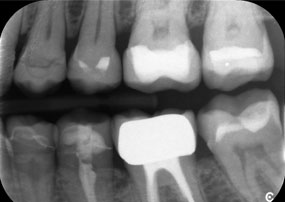
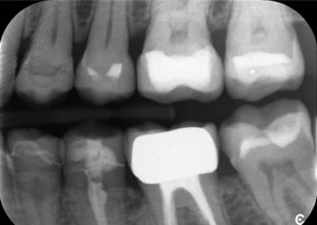
Le Dr Wolfgang Tautschnig, dentiste expérimenté originaire de Salzbourg, a utilisé et évalué le Synea Power Edition pendant plusieurs mois dans divers scénarios cliniques, notamment pour le retrait de couronnes en zircone et le traitement d'alliages de métaux communs. Dans un cas particulier, une patiente de 81 ans s'est présentée pour une amélioration esthétique de ses couronnes PFM (porcelaine fusionnée sur métal) vieilles de 40 ans. Les restaurations existantes ne répondaient plus à ses attentes en termes d'apparence.
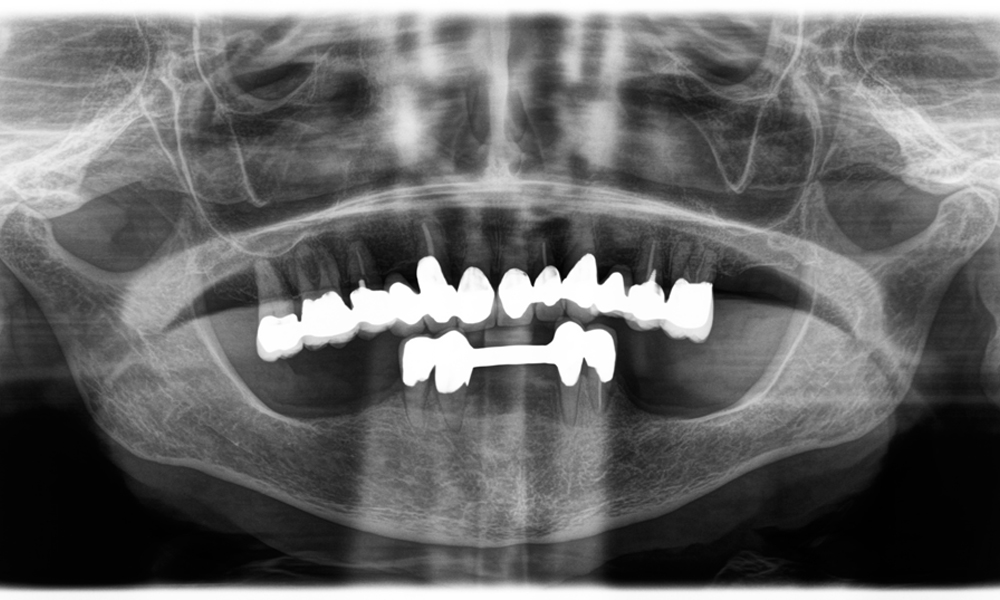
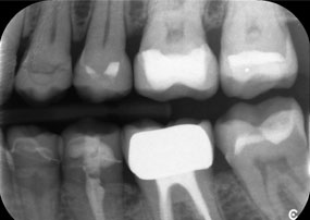
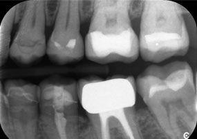
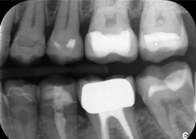
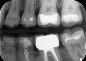
Le défi consistait à retirer douze couronnes splintées en alliage métallique sans endommager les dents piliers sous-jacentes. La pièce à main a été utilisée pour sectionner avec précision les couches de céramique et diviser l'armature métallique à l'aide d'une fraise au carbure, ce qui a permis un retrait minimalement traumatisant des couronnes. En seulement 30 minutes, les anciennes restaurations ont été retirées, permettant la préparation d'une nouvelle prothèse, composée de zircone à contour complet dans la région postérieure et de couronnes facettées dans la région antérieure. Le résultat a été une restauration complète qui a permis d'obtenir un succès tant fonctionnel qu'esthétique (voir fig. 1).

Un deuxième cas illustrant les capacités cliniques du Power Edition concernait le remplacement d'une couronne en zircone endommagée chez une patiente de 63 ans. La patiente présentait une facette ébréchée sur sa couronne en zircone vieille de 20 ans sur la dent 6. Malgré l'emplacement postérieur, la patiente trouvait le défaut gênant et demandait une nouvelle restauration.
Le Power Edition a permis un sectionnement précis, grâce à un couple accru et un refroidissement amélioré qui ont contribué à l'ablation contrôlée de la couronne sans perte importante de matière. Le système de serrage et le couple amélioré se sont avérés essentiels dans ce processus.
Dr Tautschnig
Priorité à la durabilité : une solution durable pour la pratique clinique quotidienne
Dans de nombreux cabinets traitant ce type de cas, l'usure importante des pièces à main à contre-angle est une préoccupation majeure. Lors d'une utilisation intensive, les modèles conventionnels ont souvent une durée de vie limitée, ce qui compromet l'efficacité et entraîne une augmentation des coûts de maintenance. Pour le Dr Tautschnig, l'un des aspects les plus convaincants du Synea Power Edition est la façon dont il protège ses pièces à main à grande vitesse standard :

Le Synea Power Edition de W&H a fait ses preuves dans mon cabinet. Ces pièces à main sont non seulement efficaces pour le traitement des couronnes en zircone et en métal, mais elles permettent également de préserver mes pièces à main standard en étant spécifiquement dédiées aux tâches difficiles.
Dr Tautschnig
Les avantages pratiques reflètent les technologies innovantes qui sous-tendent le Power Edition : couple amélioré, système de serrage renforcé et mécanisme de refroidissement optimisé, spécialement conçu pour relever les défis posés par les matériaux modernes. Pour les dentistes, ces pièces à main offrent non seulement une solution puissante pour travailler avec des matériaux exigeants, mais aussi une aide précieuse pour réduire les coûts d'exploitation et prolonger la durée de vie de leurs instruments.
Cela représente non seulement une solution durable dans la pratique clinique quotidienne, mais aussi un allègement économique à long terme, grâce à la réduction des coûts d'exploitation et des efforts de maintenance. Alliant valeur clinique et rentabilité, Synea Power Edition offre un véritable avantage aux cabinets dentaires modernes.
À propos du Dr Wolfgang Tautschnig
Le Dr Wolfgang Tautschnig exerce en tant que dentiste généraliste à Salzbourg depuis 2008 et jouit d'une excellente réputation au sein de la communauté dentaire autrichienne. Outre son activité clinique, il est président de la Société de chirurgie dentaire, buccale et maxillo-faciale de Salzbourg depuis 2021 et participe activement en tant qu'expert assermenté et responsable de l'assurance qualité pour l'Ordre des dentistes autrichien. Sa passion pour la dentisterie moderne se reflète dans son développement professionnel continu dans des domaines tels que la dentisterie restauratrice, l'implantologie et la dentisterie esthétique.
En tant que directeur du centre dentaire d'urgence pour les praticiens privés à Salzbourg, il joue également un rôle clé dans l'amélioration des services dentaires d'urgence régionaux. Après avoir terminé ses études dentaires à l'université de médecine d'Innsbruck et travaillé comme dentiste résident à la clinique dentaire de l'université, il s'est installé à Salzbourg, où il continue à soigner ses patients. Sa vaste expérience clinique et son engagement actif dans ce domaine ont fait du Dr Tautschnig un expert reconnu dans la région.
Commentaires