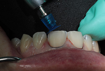
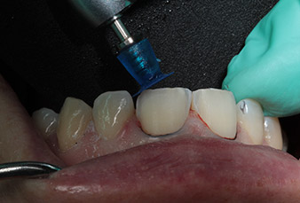
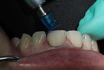
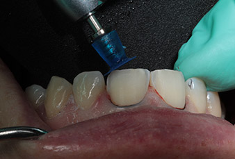
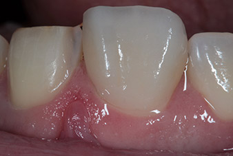
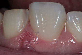
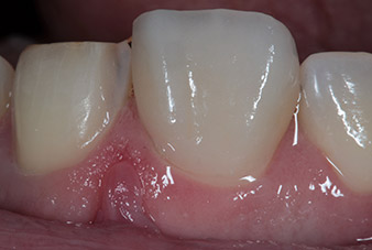
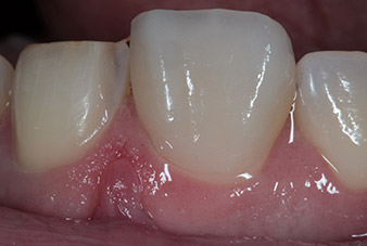
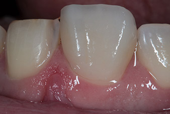
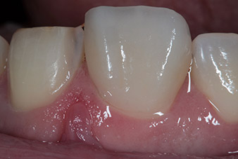
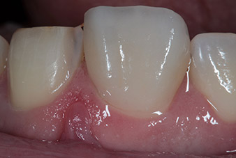
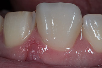
Preparazione dentale per un trattamento CAD/CAM

Utilizzo di motori elettrici con manipoli a contrangolo e con velocità incrementabile per la preparazione di un trattamento CAD/CAM:
Col passare degli anni aumenta il numero di pazienti nel mondo trattati con protesi dentali prodotte mediante CAD/CAM. L’uso di questa tecnica in studio altamente efficiente implica che ora i dentisti devono essere quanto più abili possibile nell’utilizzo degli strumenti di registrazione dei dati 3D, nonché nell’elaborazione di dati digitali complessi e nella pianificazione del trattamento utilizzando soluzioni software complete.
Nell’intervista seguente, il DDS Sergio Ariosto Hernández Delgado parla delle sfide specifiche presentate dalla preparazione per un trattamento CAD/CAM di successo. Da molti anni egli tiene conferenze e seminari in università e convegni in America Latina e in Europa, descrivendo la sua esperienza nel campo dell’odontoiatria preventiva, estetica e ricostruttiva.
Secondo Lei, quali sono i vantaggi dell’utilizzo di motori elettrici con manipoli a contrangolo e con velocità incrementabile per la preparazione, in particolar modo se viene utilizzato un trattamento CAD/CAM?
DDS Hernández Delgado: I benefici più importanti di cui posso parlare, secondo la mia esperienza, sono i seguenti: Controllo della preparazione; è semplice scannerizzare margini precisi, ordinati e uniformi. Meno vibrazioni rispetto a turbine, quindi meno fatica e forza durante la procedura di preparazione. L’aumento del peso rappresentato da contrangolo e motore è uno svantaggio di secondo piano, se confrontato con l’aumento di forza necessaria a compensare la mancanza di sufficiente potenza della turbina, specialmente quando devono essere effettuate procedure sottrattive o di sostituzione delle corone.
Come valuta l’efficienza di un sistema elettrico rispetto alle turbine, per quanto riguarda la velocità di rimozione?
DDS Hernández Delgado: Per quanto riguarda l’efficienza, posso dirle che in procedure consuete, come la sostituzione di diversi tipi di restauri, la velocità di rimozione osservata è eccellente, dal lavoro giornaliero con restauri metallici e in PFM, ed è anche particolarmente efficace nella rimozione di ceramiche ad alta resistenza come diossido di zirconio, allumina, disilicato di litio e altri materiali in ceramica. Quando si utilizza una velocità inferiore con una coppia più elevata, si ottiene un migliore controllo del design della preparazione, precisione e visibilità dei margini e angolazioni dei sottofondi di cavità. È quindi possibile controllare l’invasività della preparazione in una fase molto importante, riducendo in tal modo la quantità di struttura dentale sana rimossa.
Degli studi come quelli citati di seguito potrebbero conferire una portata scientifica agli osservatori clinici come me:
J Prosthet Dent. Maggio 2009;101(5):319-31
In vitro comparison of the cutting efficiency and temperature production of ten different rotary cutting instruments. Part II: electric handpiece and comparison with turbine.
Ercoli C1, Rotella M, Funkenbusch PD, Russell S, Feng C. Rispetto alla temperatura al basale, tutti gli strumenti da taglio rotatorio hanno mostrato una riduzione della temperatura nella camera pulpare simulata quando testati con manipoli elettrici. La Great White Ultra (fresa al carburo) ha mostrato la velocità di avanzamento più elevata (0,17 mm/s) e il minore carico applicato (108,35 g). Considerando tutti gli strumenti da taglio rotatorio come gruppo singolo, i manipoli elettrici hanno mostrato inferiore temperatura media (28,68 gradi C), superiore velocità di avanzamento (0,12 mm/s) e superiore carico (124,53 g) rispetto al manipolo a turbina d’aria (rispettivamente 28,37 gradi C, 0,11 mm/s e 121,7 g). Considerando ogni gruppo singolo di strumenti da taglio rotatorio, sono emerse differenze significative per i manipoli elettrici o a turbina ad aria.
CONCLUSIONI:
La fresa al carburo esaminata ha mostrato maggiore efficienza di taglio rispetto agli strumenti da taglio rotatorio al diamante, se utilizzata con il manipolo elettrico. Il manipolo elettrico ha mostrato una maggiore efficienza di taglio rispetto alla turbina, in special modo quando è stato utilizzato con la fresa al carburo, probabilmente a causa della maggiore coppia.
Come valuta la possibilità di utilizzare il sistema elettrico (motore e manipolo a contrangolo) per controllare esattamente la velocità (ad esempio durante la finitura), di nuovo rispetto alle turbine?
DDS Hernández Delgado: Questa è la mia opinione personale riguardo al seguente processo:
- Rimozione di restauri: veloce, efficace, precisa e meno forza necessaria.
- Preparazione delle cavità: meno vibrazioni, angolazioni delle linee di preparazione ben definite, profondità controllata, margini ordinati, precisi e puliti.
- Rimozione delle carie profonde: meno vibrazioni, riduzione del calore dovuta alla bassa velocità e costante fornitura di potenza con frese al carburo o polimeri rafforzati con fibra di vetro.
- Finitura e levigatura: i vantaggi principali dell’utilizzo di manipoli a contrangolo e con velocità incrementabile sono la precisione, la comodità e il campo di visione chiaro per la finitura delle preparazioni conservative, i restauri diretti e la rimozione del cemento in eccesso della ceramica o i restauri compositi indiretti legati con cementi di resine, specialmente quando devono essere finite le preparazioni subgengivali ed equigengivali, idealmente con frese di finitura al carburo con punta passiva. Per la levigatura è più semplice ottenere un aspetto molto liscio e lucido, specialmente se la rotazione controllata dei contrangoli a bassa velocità è in grado di stare al di sotto di 10.000 giri al minuto, con o senza irrigazione. A questo scopo, sono consigliate inoltre le punte integrate in silicio o diamante con forme diverse, nonché le spazzole in carburo di silicio o altro tipo di dischi per abrasione controllata o utensili rotativi a bassa velocità.
Come valuta la precisione con cui la fresa può essere guidata durante l’utilizzo del manipolo a contrangolo rispetto alle turbine?
DDS Hernández Delgado: È difficile comprendere clinicamente la posizione dell’asse rotatorio delle frese utilizzate nelle turbine o nei contrangoli con velocità incrementabile. È possibile utilizzare due criteri facilmente osservabili per rispondere a questa domanda: l’osservazione durante una prova di rotazione fuori dalla bocca con una fresa sottile con punta matita diamantata può mostrare che la posizione di rotazione della punta stessa è più centrale nei contrangoli a velocità incrementabile rispetto alle turbine.
Il secondo criterio è correlato al risultato, ossia la precisione e la continuità della linea di finitura, specialmente con dispositivi di impronta ottica CAD/CAM; esso stabilisce un utile parametro di confronto, di nuovo secondo la mia esperienza, per cui un motore elettrico con contrangolo a velocità incrementabile sia superiore anche secondo questo criterio.
Vede degli svantaggi nell’utilizzo del sistema? Fino a che punto essi pesano sui benefici clinici?
DDS Hernández Delgado: Possono esistere i seguenti svantaggi: Mancanza di formazione su questa tecnologia nella maggior parte degli istituti accademici di odontoiatria, come ad esempio in Messico. È possibile dover sopportare un peso ulteriore durante la preparazione (al quale ci si abitua con la pratica). È difficile installare i dispositivi di controllo built-in nella poltrona. È molto più semplice installare le unità da tavolo, ma queste richiedono più spazio per i dispositivi di alimentazione e di controllo.
Per la maggior parte degli utenti, acquistare attrezzatura aggiuntiva per una appropriata manutenzione dei contrangoli, come lubrificazione automatica e dispositivi di pulizia, è al di fuori delle possibilità di investimento iniziali, specialmente per coloro che hanno iniziato da poco l’utilizzo di un sistema elettrico.
Ulteriori commenti/altre idee:
DDS Hernández Delgado: Ad esempio, in Messico sta aumentando il numero di professionisti alla ricerca di opportunità di formazione sull’uso di un sistema elettrico. Posso affermarlo dopo aver effettuato più di 300 corsi di formazione e di addestramento con orientamento protesico.
Le ottime prestazioni e la facilità d’uso del motore elettrico rendono più semplice comprendere i benefici dell’utilizzo di questa tecnologia. La dimostrazione da me effettuata in diversi corsi e fiere include la preparazione di blocchi di marmo e anche di qualcosa di simile al “test del penny” (mostrando la rimozione dei restauri ed effettuando preparazioni in denti naturali), ma una buona fresa sostiene l’efficacia della preparazione e la rimozione dei materiali.
Studi recenti hanno valutato e dimostrato che esiste una correlazione intrinseca tra l’area lineare della preparazione, l’adattamento marginale e il tasso di fallimenti nei restauri CAD/CAM. Quanto maggiore è l’area lineare della linea di finitura, tanto maggiori sono l’adattamento marginale e la probabilità di avere spazi vuoti e quindi carie intorno ai restauri, con un’incidenza del 6% nel follow up a cinque anni. Citazione in attesa di pubblicazione.
Preparazione dentale per un trattamento CAD/CAM







Commenti