Personalised Prophylaxis for 74-Year-Old Implant Patient with Hypertension: Prevention According to the IPC Model
Introduction
Oral health is widely recognized as an important component of overall health (1, 2). Due to the functional interrelation and common risk factors between oral and general health, the reverse is also true, which is unusual in science (3, 4). Consequently, there are general health parameters that have a clear impact on individual oral health and must be considered in oral prevention to optimally support the maintenance of health and the quality of life of patients (5–7).
The Individual Prophy Cycle (IPC), as a prophylaxis concept, helps link data from anamnesis and current diagnostics to create a patient profile. Since the treatment recommendations are regularly evaluated through anamnesis and findings, case-oriented adapted prevention is possible. The following patient case illustrates how IPC adapts prophylaxis according to individual patient parameters.


IPC builds a bridge between general health and oral health. The linking of risk and need of a patient results in a case-oriented profile, making the prophylaxis treatment individually adaptable.
Case Description
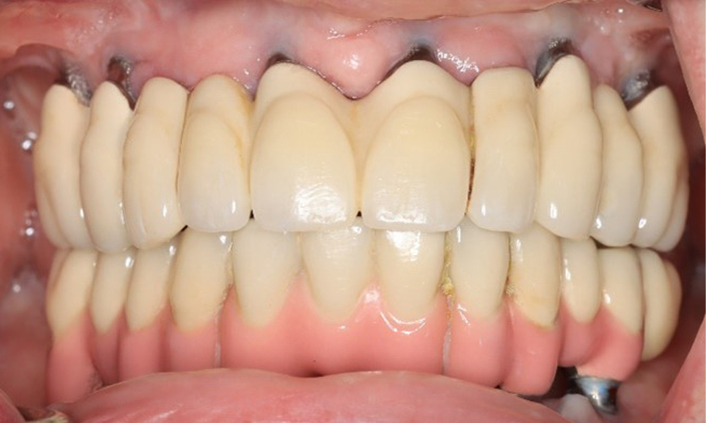
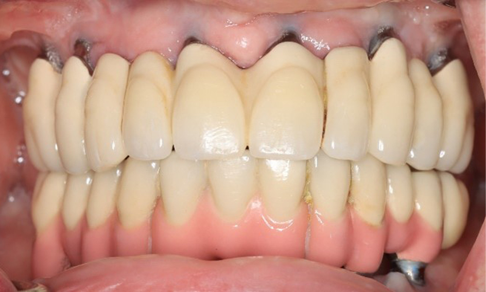
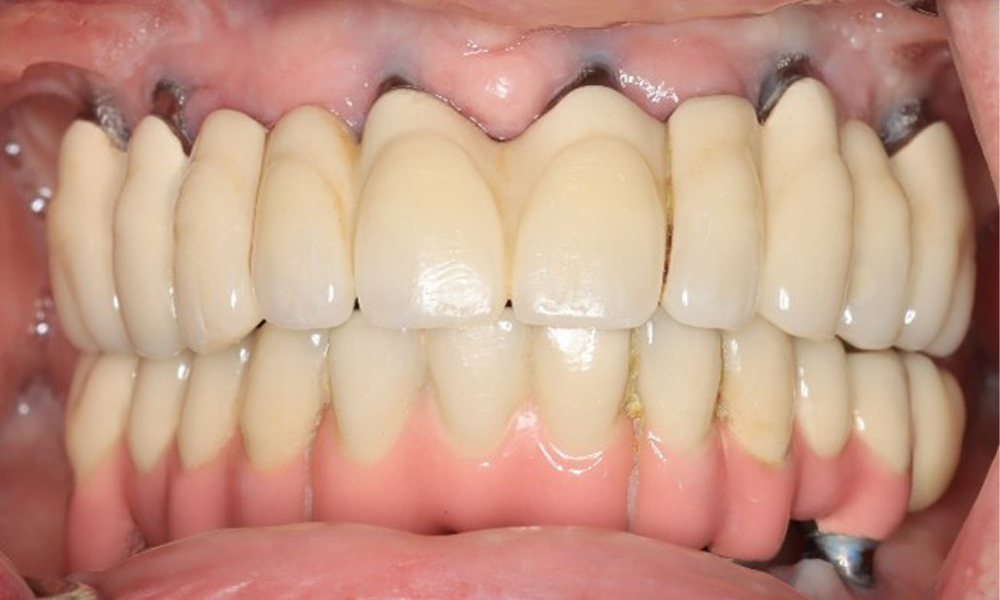
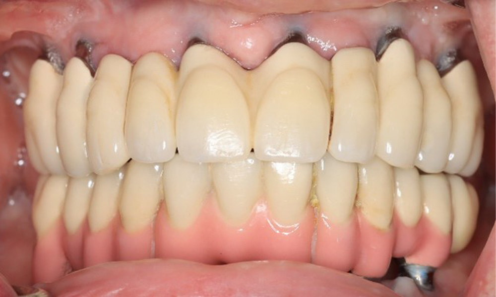
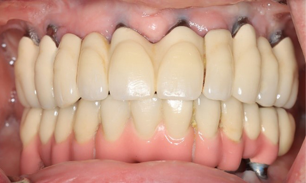
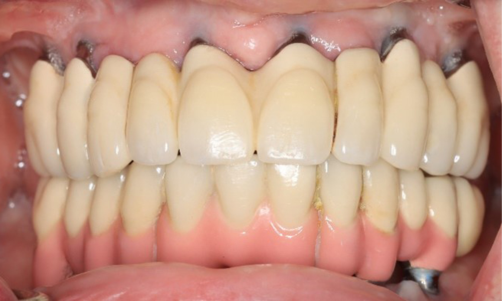
A 74-year-old patient presents for a consultation. The anamnesis shows that the patient has well-controlled hypertension and is taking Lixiana. Additionally, the patient had a kidney carcinoma in 2020. The patient’s lifestyle is unremarkable. She has no natural teeth left and has six implants in both the upper and lower jaws, which are fitted with crowns or bridges. Current findings show no peri-implant mucositis or peri-implantitis; however, there are occasional minor bleeding at the implant sites.
Case Assessment According to IPC
Anamnesis: Hypertension, medication: Lixiana, 2020 kidney carcinoma
Risk Factors: Lixiana (anticoagulants)
Disease or Complication Risk: Moderate complication risk
Medications: Lixiana
Lifestyle: Unremarkable
Oral Health: Good
Provisions: Implants in regions 011, 013, 015, 021, 023, 025, 031, 033, 035, 042, 044, 046
Caries Risk Assessment: No risk
Periodontitis: No
Risk of Development: Moderate for peri-implantitis
Risk of Progression: Low for peri-implantitis
IPC-Based Treatment Recommendations:

The use of Lixiana represents a risk factor; therefore, the complication risk is considered moderate. The oral health is stable and good. To detect potential peri-implantitis early, probing depths (PD) should be measured during follow-up appointments. If there is an increase in PD at the implant compared to the baseline, combined with diffuse bleeding, radiographic diagnostics (e.g., dental X-rays) should be pursued.

Patient motivation and instruction regarding oral hygiene are essential. Proper implant care is particularly important. Good home oral hygiene plays a significant role in the long-term stabilization of oral and implant health.

When instrumenting implants, a special approach is required. Choosing appropriate powders and instruments is crucial for preserving the implant surface while ensuring effective cleaning. This includes the targeted use of powder jet devices with specialized perio-tips. The choice of the right powder can be adjusted based on needs and risks, such as considering abrasive levels and dietary requirements (e.g., sugar-free, low-salt).

The peri-implant situation is currently stable. Due to the complexity of the superstructures, the patient has a moderate risk of development and a low risk of progression for peri-implant diseases.



Bibliography
- Bansal M, Rastogi S, Vineeth NS. Influence of periodontal disease on systemic disease: inversion of a paradigm: a review. Journal of medicine and life. 2013;6(2):126-30.
- Si Y, Fan H, Song Y, Zhou X, Zhang J, Wang Z. Association Between Periodontitis and Chronic Obstructive Pulmonary Disease in a Chinese Population. Journal of Periodontology. 2012;83(10):1288-96.
- WHO. Oral Health [Fact sheet]. WHO International Newsroom2020 [cited 2020 25.03.2020]. Available from: https://www.who.int/news-room/fact-sheets/detail/oral-health.
- Seitz MW, Listl S, Bartols A, Schubert I, Blaschke K, Haux C, et al. Current Knowledge on Correlations Between Highly Prevalent Dental Conditions and Chronic Diseases: An Umbrella Review. Preventing chronic disease. 2019;16:E132.
- Papapanou PN, Sanz M, Buduneli N, Dietrich T, Feres M, Fine DH, et al. Periodontitis: Consensus report of workgroup 2 of the 2017 World Workshop on the Classification of Periodontal and Peri-Implant Diseases and Conditions. J Periodontol. 2018;89 Suppl 1:S173-S82.
- Chapple IL, Bouchard P, Cagetti MG, Campus G, Carra MC, Cocco F, et al. Interaction of lifestyle, behaviour or systemic diseases with dental caries and periodontal diseases: consensus report of group 2 of the joint EFP/ORCA workshop on the boundaries between caries and periodontal diseases. J Clin Periodontol. 2017;44 Suppl 18:S39-s51.
- Cao R, Li Q, Wu Q, Yao M, Chen Y, Zhou H. Effect of non-surgical periodontal therapy on glycemic control of type 2 diabetes mellitus: a systematic review and Bayesian network meta-analysis. BMC oral health. 2019;19(1):176.
Commenti