Seethrough Max - Un mare salt înainte în diagnosticarea și planificarea tratamentului
„Să ai toate informațiile necesare dintr-o singură privire” - acesta a fost unul dintre motivele pentru care Dr. Mauro Amato, specialist în endodonție, stabilit în Basel, Elveția, era în căutarea unui nou echipament CBCT pentru cabinetul său stomatologic. Cu Seethrough Max de la W&H, acesta a găsit un instrument cu adevărat inovator și transformator. Imagistica 3D de înaltă rezoluție a acestui echipament a generat îmbunătățiri semnificative în ceea ce privește precizia diagnosticului și planurile de tratament, mai ales în cazurile complexe. În acest interviu, Dr. Amato împărtășește modul în care această tehnologie avansată contribuie la îmbunătățirea activității sale clinice zilnice.
- Basel, Elveția

D-le Dr. Amato, ca endodont specialist, vă rugăm să ne spuneți care este motivul pentru care ați ales sistemul Seethrough Max CBCT de la W&H?
Dr. Amato: În special în cazurile endodontice complexe, imagistica 2D pur și simplu nu oferă profunzimea de informații necesară. Imagistica 3D oferă o perspectivă mult mai cuprinzătoare, acesta fiind principalul motiv pentru care am căutat un sistem CBCT cu capacități de imagistică extrem de precise. Am avut ocazia să colaborez cu W&H și, împreună, ne propunem să valorificăm pe deplin potențialul Seethrough Max.


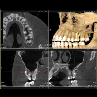
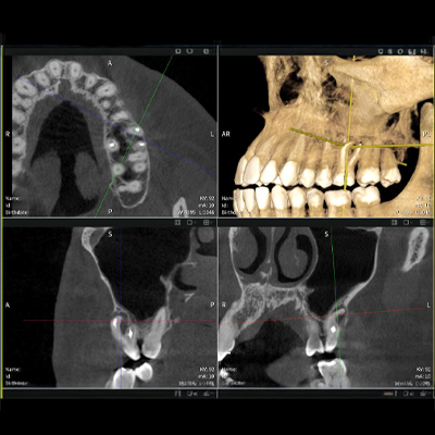
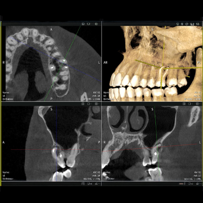
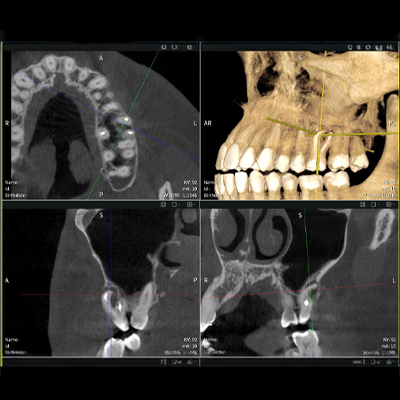
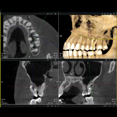
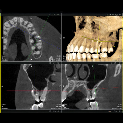
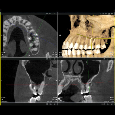
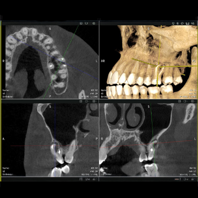
În opinia dumneavoastră, imagistica 3D cu Seethrough Max îmbunătățește în vreun fel acuratețea diagnosticului?
Dr. Amato: Absolut. Mai ales în cazurile dificile, posibilitatea de a vizualiza problema tridimensional este esențială. Imaginea radiologică este extrem de clară și detaliată, permițând un diagnostic extrem de precis și o planificare meticuloasă a tratamentului. De asemenea, acest lucru îmbunătățește semnificativ comunicarea cu pacienții, întrucât pot ilustra clar problema și pot explica tratamentul propus.
Sistemul CBCT W&H este proiectat ținând cont atât de confortul pacientului, cât și de cel al medicului. Cum vi s-a părut modul de poziționare a pacientului?
Dr. Amato: Procesul de poziționare este excelent. Apreciez faptul că pot să văd pacientul nemijlocit și să mențin contactul vizual, ceea ce mă ajută să-l ghidez în poziția optimă pentru o scanare precisă. Pentru pacienții mai înalți, pur și simplu cobor dispozitivul și îi așez. Indiferent dacă stau în picioare sau așezat, nu am întâmpinat niciodată dificultăți în poziționarea pacienților cu acest sistem.
Dincolo de hardware, Seethrough Max oferă și un software avansat. Cum ați evalua accesibilitatea software-ului Seethrough Studio?
Dr. Amato: Software-ul mi se pare foarte intuitiv. Interfața este ușor de utilizat, iar eu pot accesa rapid instrumentele și imaginile de care am nevoie. Întrebările mele de diagnostic sunt adesea simple: Există un canal radicular? Există vreo fractură radiculară? Există vreo inflamație apicală? Software-ul îmi permite să examinez imaginile din toate unghiurile și să găsesc eficient răspunsurile de care am nevoie.
Seethrough Studio include funcții speciale, cum este selectarea liberă a FOV pe imaginea scout (de previzualizare). Cât de des folosiți această funcționalitate?
Dr Amato: Îl folosesc de fiecare dată când fac o scanare endodontică. Este deosebit de valoroasă pentru câmpurile de cuprindere (FOV) mici. În opinia mea, o imagine scout (previzualizare) de bună calitate este esențială pentru obținerea unor rezultate imagistice optime, în aceste cazuri.
În cazul radiografiilor endo, folosesc întotdeauna selecția liberă a FOV în previzualizarea scout. Este o caracteristică neprețuită, în special pentru câmpurile de cuprindere (FOV) mici. În opinia mea, o imagine scout (previzualizare) de bună calitate este esențială pentru obținerea unor rezultate imagistice optime, în aceste cazuri.


Cum ați descrie experiența dvs. generală cu W&H - de la consultanță la instalare și instruire?
Dr. Amato: Serviciile de suport și asistență au fost excepționale. De la instalarea și configurarea inițială, până la asistența continuă în privința actualizărilor și întrebărilor subsecvente, echipa W&H a demonstrat în mod constant profesionalism și receptivitate. A fost un parteneriat adevărat și sunt foarte recunoscător pentru modul în care am progresat împreună.
Ce modificări notabile ați observat în activitățile dumneavoastră zilnice, odată cu integrarea noilor tehnologii, cum și cazul sistemului Seethrough Max?
Dr Amato: Pentru a oferi servicii stomatologice de înaltă calitate, sunt necesare, atât de expertiză, cât și de tehnologie de top. Ritmul progreselor și inovațiilor tehnice este remarcabil, iar echipamente, cu e și Seethrough Max depășesc limitele posibilului imediat - nu doar în endodonție, ci în toate disciplinele medicinei dentare. Imaginile radiologice de înaltă rezoluție sunt esențiale pentru identificarea problemelor și elaborarea unor planuri de tratament personalizate. Dincolo de funcționalitate, designul elegant al dispozitivului face o impresie puternică asupra pacienților. Aceștia sunt adesea intrigați de tehnologie, iar atunci când le explic ce facem și de ce, se creează încredere și se consolidează relația noastră.
Am constatat că Seethrough Max îmbunătățește semnificativ precizia diagnosticului, mai ales în cazurile endodontice complexe, când posibilitatea de vizualizare tridimensională este esențială. Imaginea radiologică este extrem de clară și detaliată, permițând un diagnostic extrem de precis și o planificare meticuloasă a tratamentului. De asemenea, acest lucru îmbunătățește semnificativ comunicarea cu pacienții, întrucât pot ilustra clar problema și pot explica tratamentul propus.
Pe baza experienței de până acum, care ar fi câteva cuvinte-cheie de referință, pe care le-ați folosi pentru a descrie sistemul Seethrough Max colegilor dumneavoastră?
Dr. Amato: Aș sintetiza astfel: intuitiv și ușor de utilizat.
În cele din urmă, într-o notă mai personală - vă rugăm să ne spuneți ce apreciați cel mai mult în profesia dumneavoastră?
Dr. Amato: Lucrez cu persoane care sunt, adesea, în suferință sau au dureri. Faptul că am posibilitatea să le ușurez durerea și să le ameliorez starea de bine este profund satisfăcător. Acesta este motivul pentru care m-am făcut stomatolog. Am fost atras de timpuriu de endodonție, tratând multe cazuri de urgență, în care pacienții sufereau grav. Obiectivul meu este să ofer cea mai bună îngrijire posibilă, folosindu-mi abilitățile și cele mai noi tehnologii. Faptul că pacienții pleacă mulțumiți și fără durere este ceea ce mă motivează în fiecare zi.
Mulțumim pentru acest interviu.
comentarii