Rapporter & Studier

A residual pocket probing depth of 6 mm – is it a problem?

PD Dr. Kristina Bertl, PhD MSc MBA

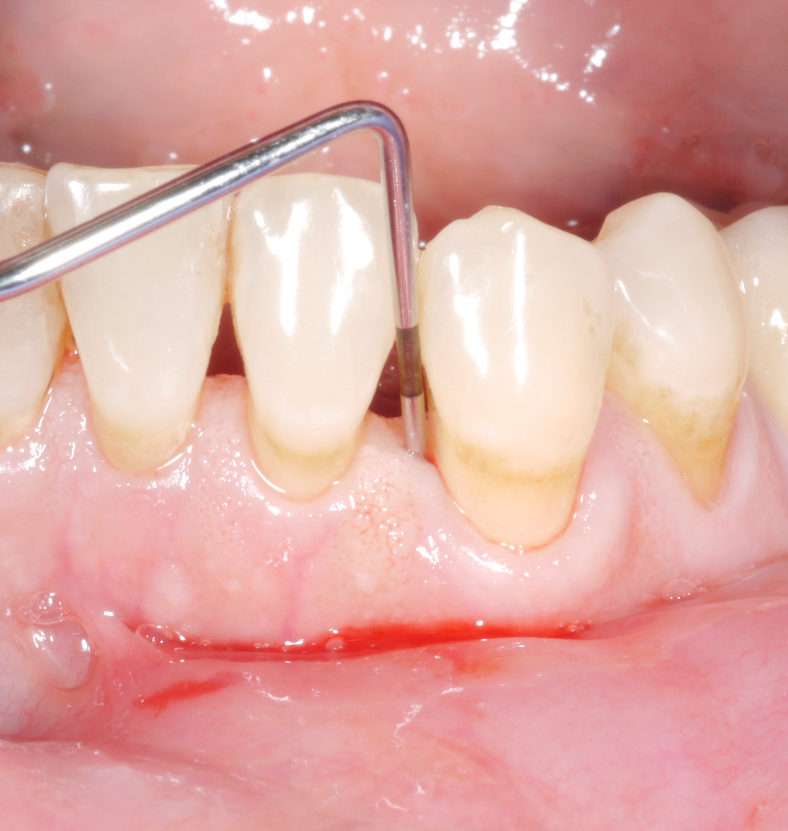
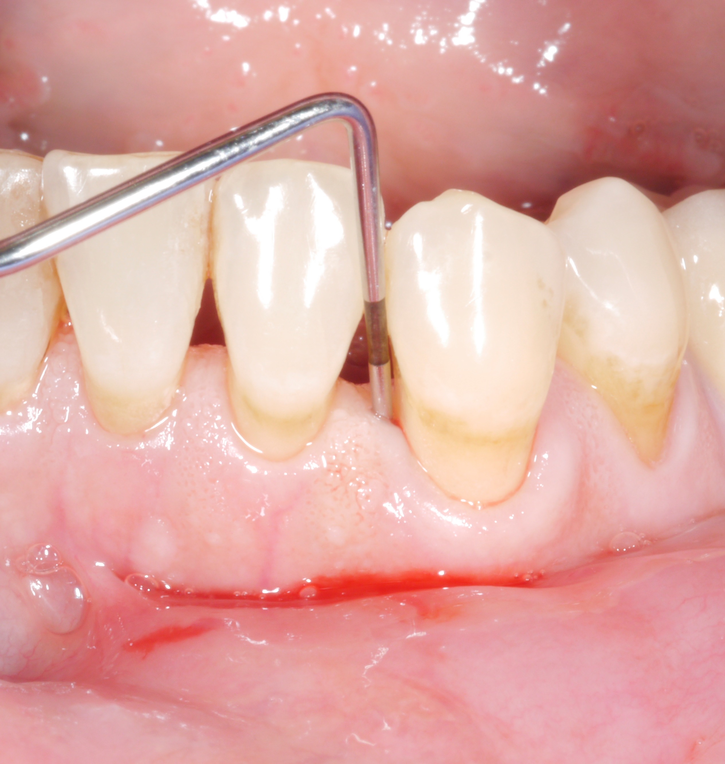
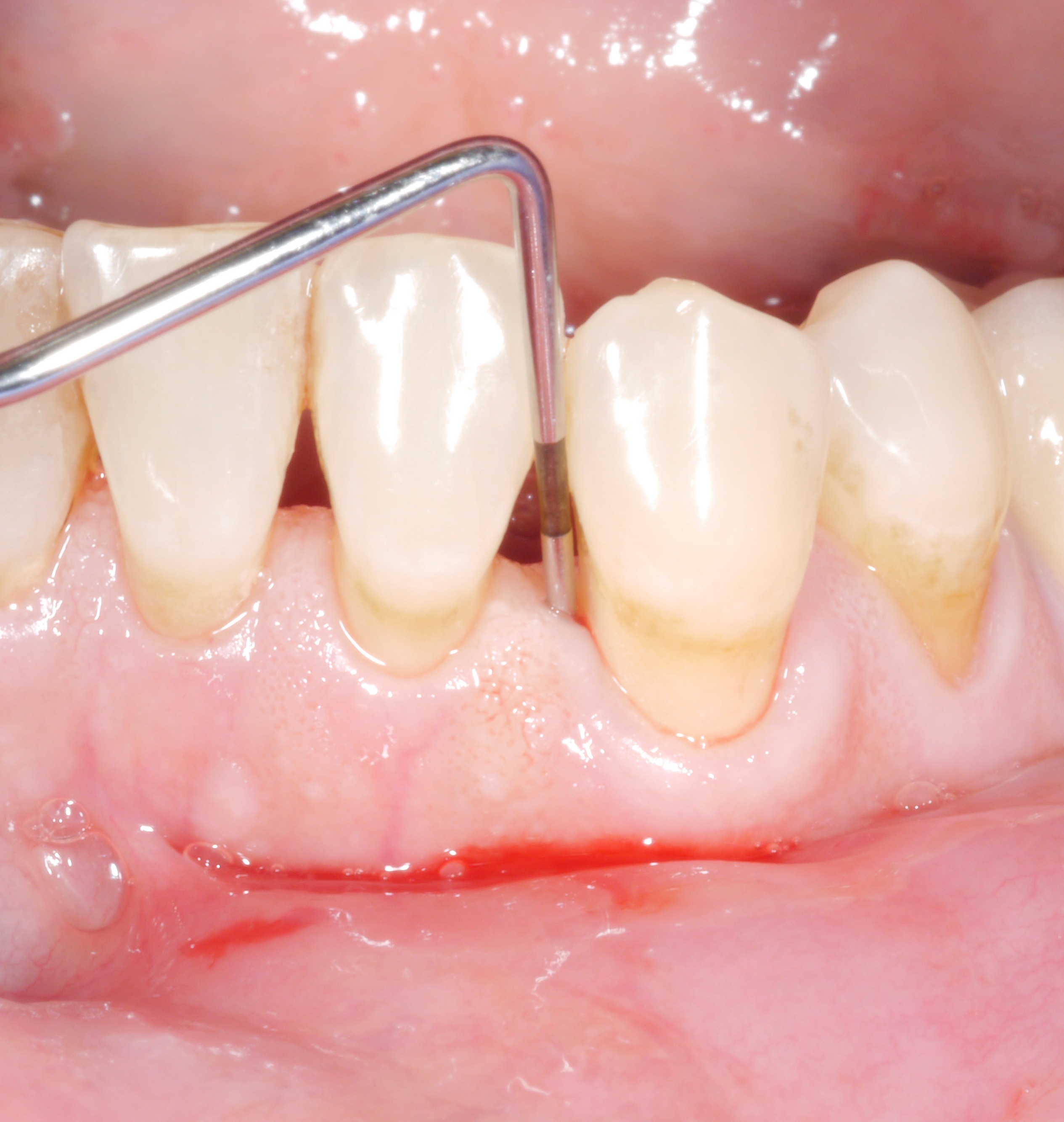
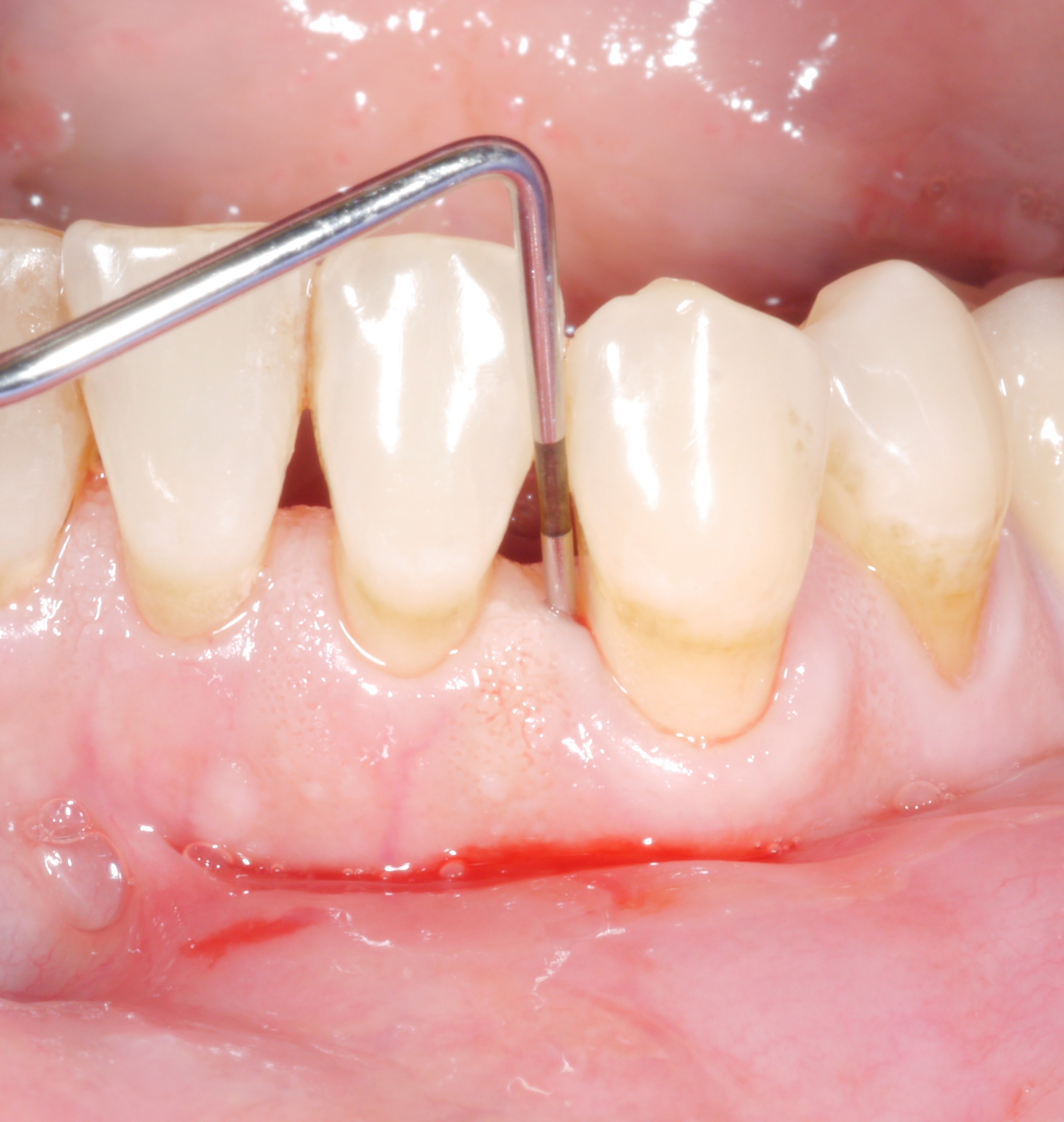
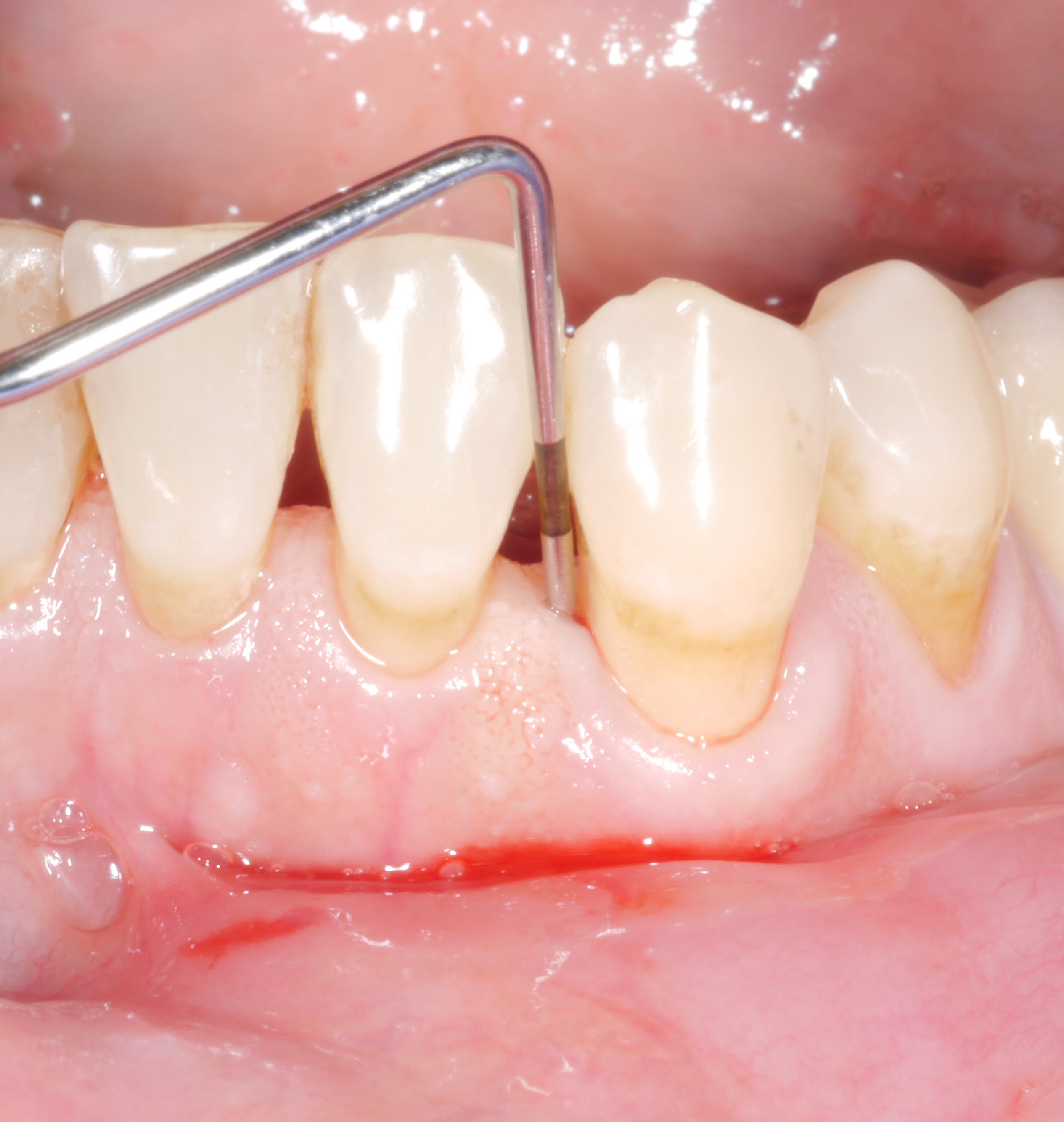
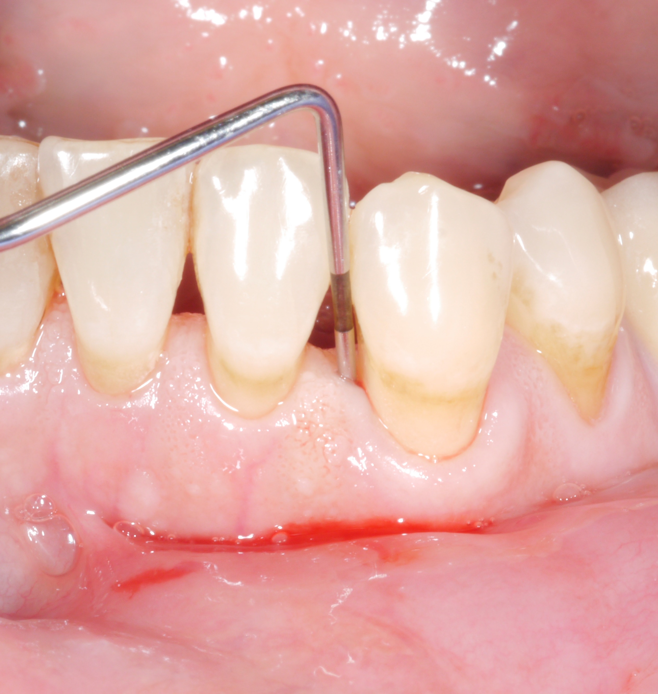
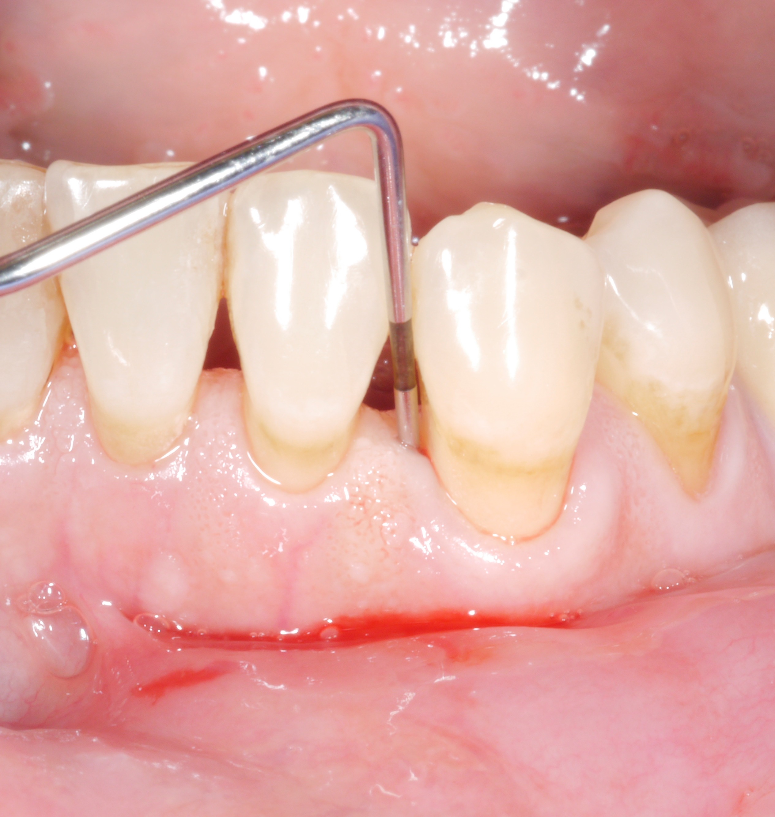
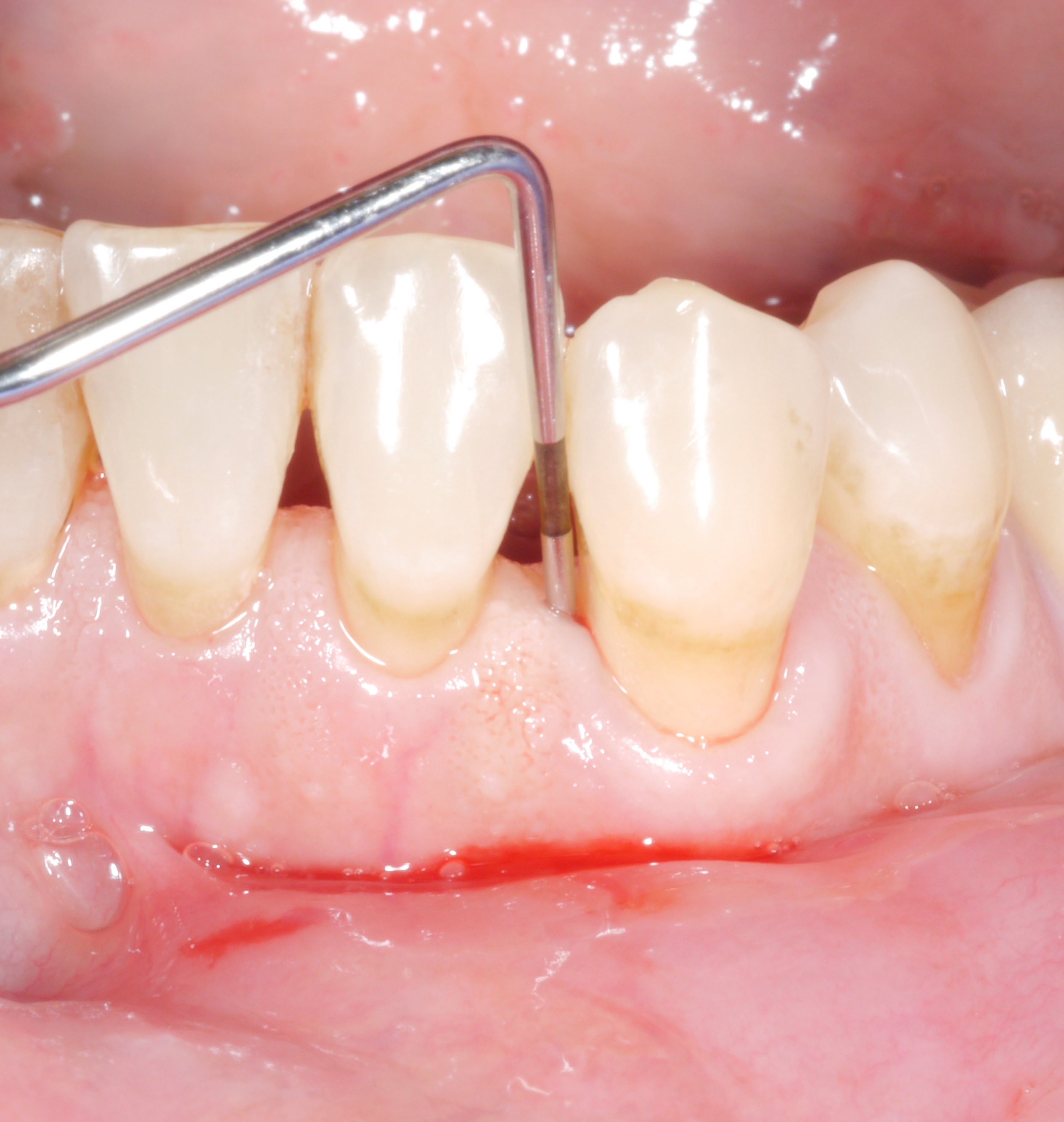
It is a situation we are all too familiar with: following the active phase of treatment, nearly all the patient’s teeth are now unaffected by increased pocket probing depths. However, there are still 1 or 2 places where the treatment goal has unfortunately not been achieved. The following thought might arise: “how bad can it be? A single pocket of 6 or 7 mm – surely that can’t make a big difference?

However, dentists should not rush to say they are content with residual pocket probing depths. This is because even individual residual pocket probing depths of more than 4 mm constitute a problem, as least in the longer term – both for the affected tooth and for the rest of the dentition.

The data from a Swiss study, which followed approximately 170 patients in maintenance therapy over an average period of 11 years, showed very clearly the problem posed by individual residual pocket probing depths:

  • Individual residual pocket probing depths of 6 mm or more were a risk factor for a decline in general periodontal health and for tooth loss.
  • Multiple residual pocket probing depths of 5 mm or more were also a risk factor for a decline in general periodontal health.
  • Bleeding on probing doubled the risk of later tooth loss.
  • The risk of tooth loss was almost 8 times higher for a pocket probing depth (PPD) of 5 mm, about 10 times higher for a PPD of 6 mm, and more than 60 times higher for a PPD of 7 mm!

Conclusion: The treatment goal should be to achieve pocket probing depths of 4 mm maximum and an absence of inflammation!

Reference

  1. Matuliene G, Pjetursson BE, Salvi GE, Schmidlin K, Brägger U, Zwahlen M, Lang NP. Influence of residual pockets on progression of periodontitis and tooth loss: Results after 11 years of maintenance. J Clin Periodontol 2008; 35: 685–695.

Kommentarer