Der Transplantationspatient mit Gingivawucherungen*


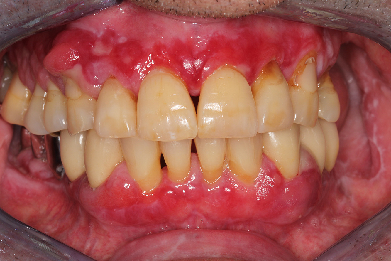
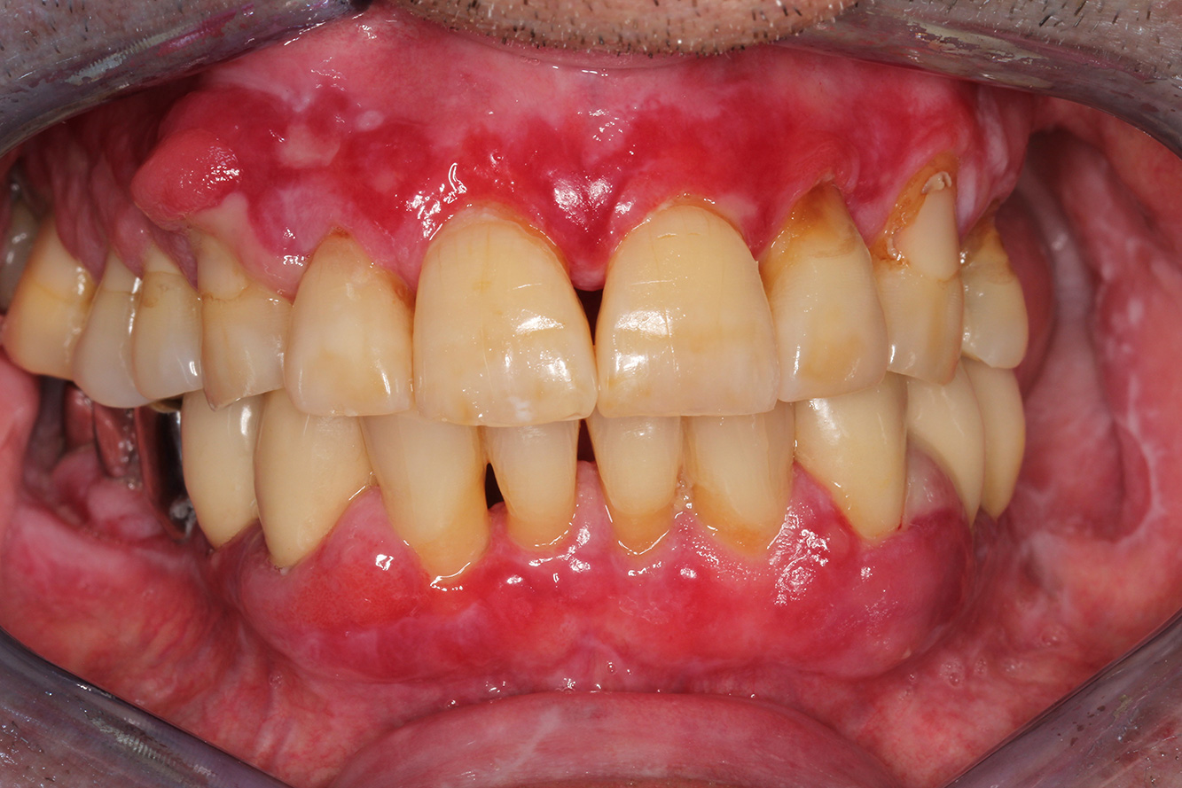
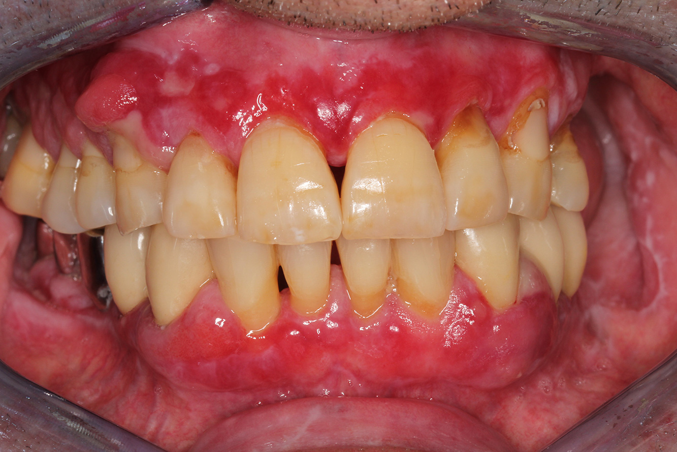
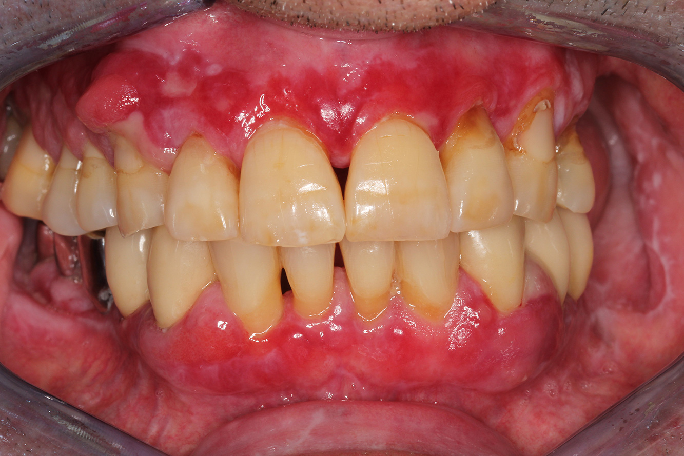
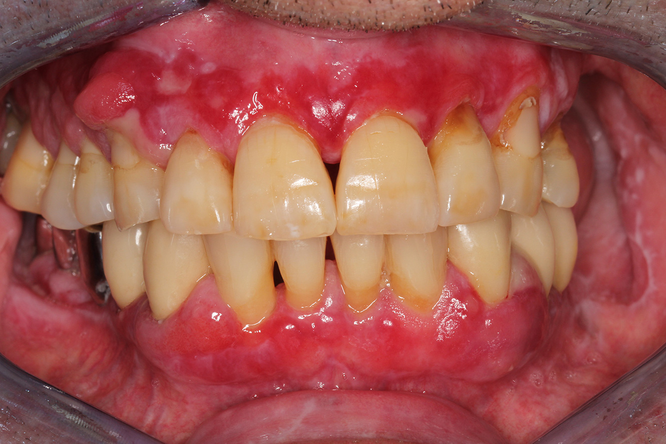
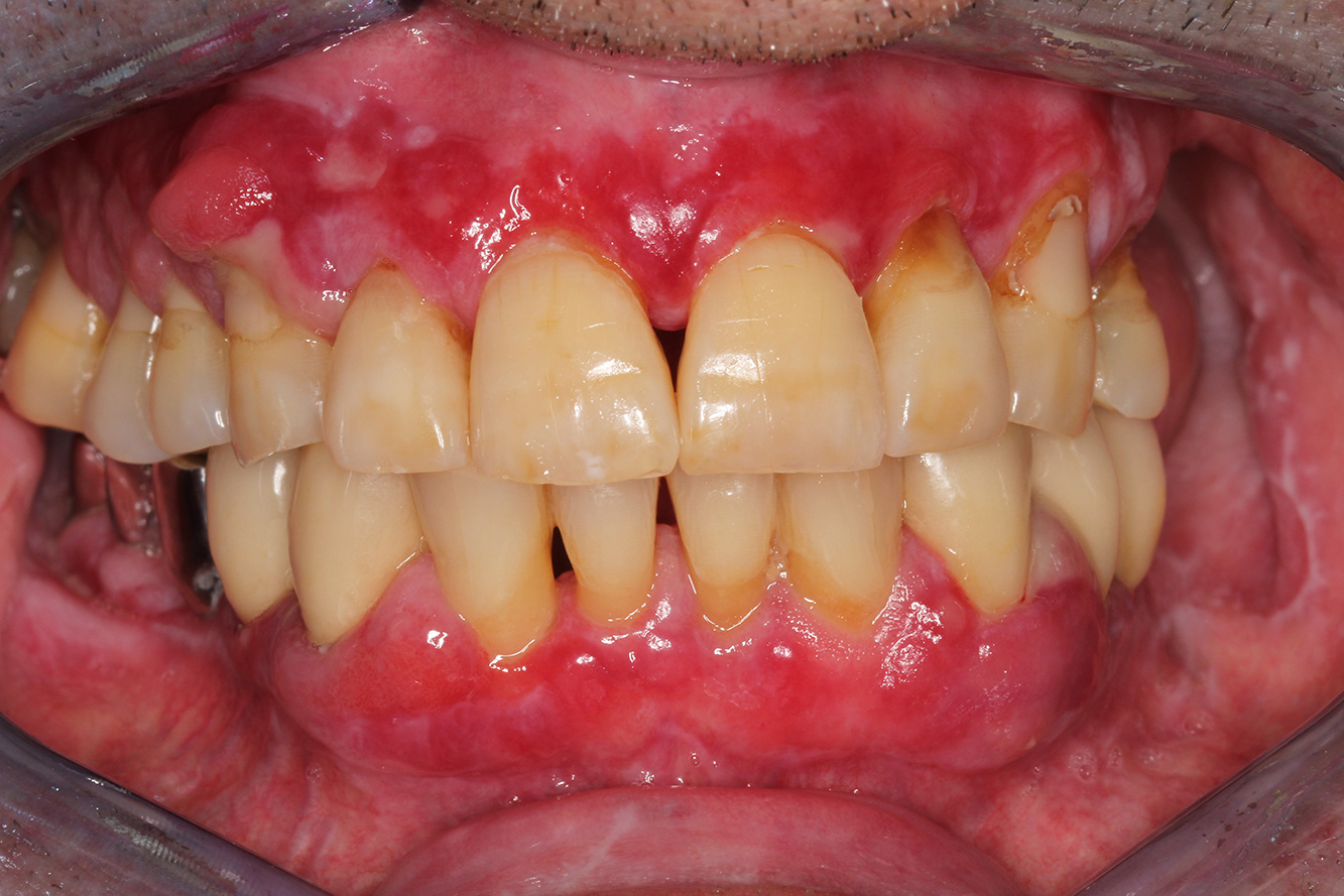
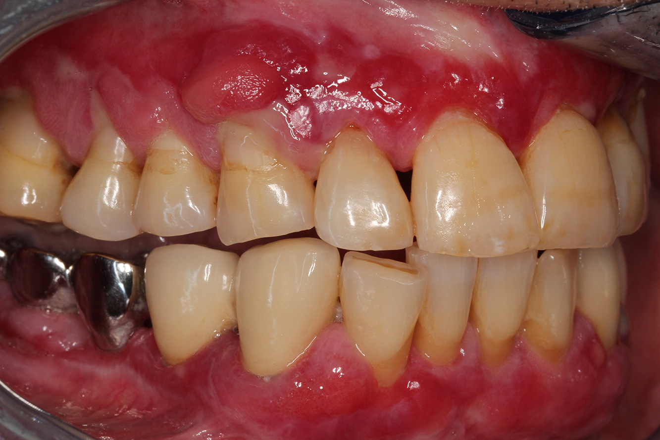
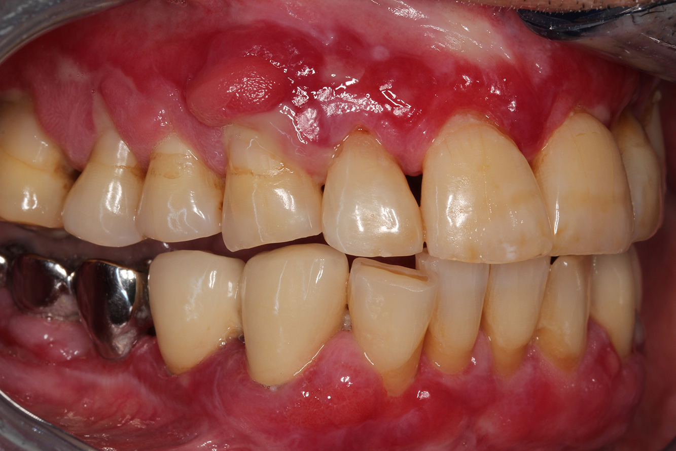
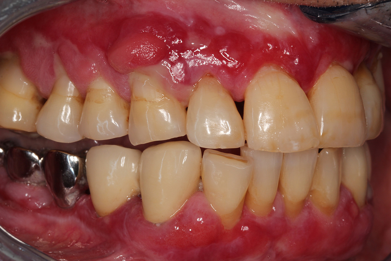
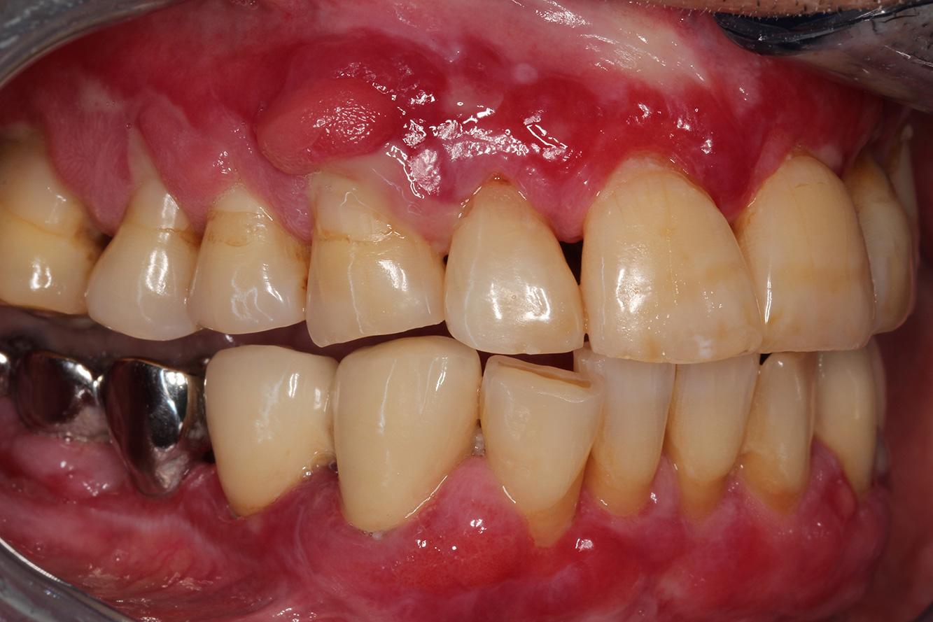
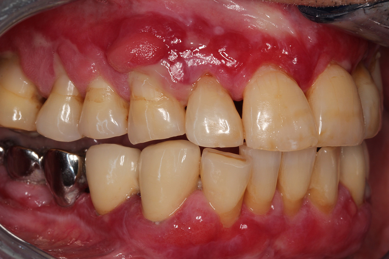
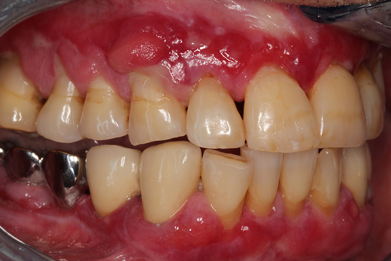
Ein 71-jähriger Patient mit Z.n. Nierentransplantation und Hypertonie (Bluthochdruck) stellt sich vor. Bedingt durch die Krankengeschichte ist eine Dauermedikation mit Cyclosporin, zur Unterdrückung der Immunabwehr, und Amlodipin, zur Blutdrucksenkung, erforderlich. Außerdem berichtet der Patient über empfindliches Zahnfleisch und Zahnfleischbluten. Aus mundgesundheitlicher Sicht zeigt sich ein saniertes Gebiss mit acht fehlenden Zähnen, ausgeprägte Gingivawucherungen, eine Parodontitis Stadium II, Grad B mit aktiven Taschen und eine initiale Wurzelkaries an Zahn 22. In der Kariesrisikoabschätzung wird ein mittleres Kariesrisiko (API 60) festgestellt. Für die Prophylaxesitzung lassen sich folgende Behandlungsempfehlungen ableiten.



Anhand der Krankengeschichte lässt sich ein besonderes Komplikationsrisiko erkennen. Aufgrund des Nierentransplantats ist der Patient immunsupprimiert (Cyclosporin), verfügt also über ein geschwächtes Immunsystem und benötigt eine Infektionsprophylaxe (Empfehlung: 2 g Amoxicillin als Antibiotikum 1h vor Sitzung). Gleichzeitig birgt die Dauermedikation des Patienten ein erhöhtes Erkrankungsrisiko, da die festgestellten Gingivawucherungen medikamentenassoziiert sind (20).

Besonders im Bereich der Motivation und Instruktion muss auf die Situation des Patienten eingegangen werden. Durch die Gingivawucherungen gestaltet sich die häusliche Mundhygiene schwierig. Die erhöhte Anfälligkeit für Infektionen sowie das Fortschreiten und die Neuentstehung der Wucherungen (22) sollte auf Augenhöhe thematisiert werden. Gleichzeitig müssen die individuell auf den Bedarf abgestimmten Hygienetechniken vermittelt werden.

Keine spezielle Empfehlung in der Instrumentierung. Entsprechend dem Wissensstand sollte bei erosionssensiblen Bereichen rotierend Polieren selektiv erfolgen. Gerade weil der Patient eine anfällige Mundgesundheit hat, ist es wichtig, in der Prophylaxesitzung die bestmögliche Voraussetzung für die häusliche Pflege zu schaffen z. B. durch die Schaffung glatter Oberflächen, Fluoridierung zur Kariesprävention, CHX-haltige Mundspülung bei aktiven Entzündungen.

Für den Patienten ist ein verkürztes Recall-Intervall von drei bis vier Monaten zu empfehlen. Dieses beruht hauptsächlich auf den medikamenten-assoziierten Gingivawucherungen, der damit einhergehenden erschwerten Pflegesituation und dem Progressionsrisiko der Parodontitis.
* mit freundlicher Genehmigung von Dr. G. Schmalz und Prof. Dr. D. Ziebolz MSc.
Individual Prophy Cycle – Das patientenorientierte Präventionskonzept

Priv.-Doz. Dr. Gerhard Schmalz
Universitätsklinikum Leipzig AÖR
Poliklinik für Zahnerhaltung & Parodontologie

Prof. Dr. Dirk Ziebolz, M.Sc.
Oberarzt (Interdisziplinäre Zahnerhaltung und Versorgungsforschung) Universitätsklinikum Leipzig AÖR
Universitätsklinikum Leipzig AÖR, Department für Kopf- und Zahnmedizin
Poliklinik für Zahnerhaltung und Parodontologie
Literaturverzeichnis
- Chapple IL, Bouchard P, Cagetti MG, Campus G, Carra MC, Cocco F, et al. Interaction of lifestyle, behaviour or systemic diseases with dental caries and periodontal diseases: consensus report of group 2 of the joint EFP/ORCA workshop on the boundaries between caries and periodontal diseases. J Clin Periodontol. 2017;44 Suppl 18:S39-s51
- Schmalz G, Ziebolz D, Individualisierte Prävention-ein patientenorientiertes Präventionskonzept für die zahnärztliche Praxis, ZWR- Das deutsche Zahnärzteblatt 2020;129;147-156
- Fresmann S., So sieht eine durchdachtes Prophylaxekonzept aus; Dental Magazin: Deutscher Ärzteverlag GmbH; 2015
- Schmalz G, Ziebolz D, Individualisierte Prävention-fallorientierte Bedarfsprävention, ZWR- Das deutsche Zahnärzteblatt 2020;129;33-41
- Schmalz G, Ziebolz D, Individualisierte Prävention-Implikation allgemeingesundheitlicher Faktoren, ZWR- Das deutsche Zahnärzteblatt 2019;128;295-304
- Wang C, Zhao Y, Zheng S, Xue J, Zhou J, Tang Y, et al. Effect of enamel morphology on nanoscale adhesion forces of streptococcal bacteria: An AFM study. Scanning. 2015;37(5):313-21
- Pence SD, Chambers DA, van Tets IG, Wolf RC, Pfeiffer DC. Repetitive coronal polishing yields minimal enamel loss. Journal of dental hygiene: JDH. 2011;85(4):348-57.
- Kumar PS. From focal sepsis to periodontal medicine: a century of exploring the role of the oral microbiome in systemic disease. The Journal of Physiology. 2017;595(2):465-76
- Lalla E, Papapanou PN. Diabetes mellitus and periodontitis: a tale of two common interrelated diseases. Nature Reviews Endocrinology. 2011;7:738
- Miller WR, Moyers TB. Eight Stages in Learning Motivational Interviewing. Journal of Teaching in the Addictions. 2006;5(1):3-17
- Paradigmenwechsel im Biofilmmanagement [Internet]. Spitta GmbH. 2014. https://www.pnc-aktuell.de/prophylaxe/story/paradigmenwechsel-im-biofilmmanagement__3512.html
- Christensen RP, Bangerter VW. Determination of rpm, time, and load used in oral prophylaxis polishing in vivo. J Dent Res. 1984; 63(12):1376-1382
- Graumann SJ, Sensat ML, Stoltenberg JL. Air polishing: a review of current literature. Journal of dental hygiene : JDH. 2013;87(4):173-80
- Bordoloi P, Ramesh A, Thomas B, Bhandary R. Epidemiological survey of dentinal hypersensitivity after oral prophylaxis. J Cont Med A Dent. 2018;6(1)
- James P, Worthington HV, Parnell C, Harding M, Lamont T, Cheung A, et al. Chlorhexidine mouthrinse as an adjunctive treatment for gingival health. The Cochrane database of systematic reviews. 2017;3:Cd008676
- Sawai MA, Bhardwaj A, Jafri Z, Sultan N, Daing A. Tooth polishing: The current status. Journal of Indian Society of Periodontology. 2015;19(4):375-80
- Slayton RL, Urquhart O, Araujo MWB, Fontana M, Guzman-Armstrong S, Nascimento MM, et al. Evidence-based clinical practice guideline on nonrestorative treatments for carious lesions: A report from the American Dental Association. J Am Dent Assoc. 2018;149(10):837-49 e19
- Gleissner E. Erfolgreiche Prävention auch in schwierigen Fällen. Allgemeine Zahnheilkunde: ZMK-aktuell; 2019
- Derks J, Schaller D, Hakansson J, Wennstrom JL, Tomasi C, Berglundh T. Effectiveness of Implant Therapy Analyzed in a Swedish Population: Prevalence of Peri-implantitis. Journal of dental research 2016;95:43-49
- Newton JT, Asimakopoulou K. Managing oral hygiene as a risk factor for periodontal disease: a systematic review of psychological approaches to behaviour change for improved plaque control in periodontal management. Journal of Clinical Periodontology 2015;42:S36-S46
- Veitz-Keenan A, James R, Implant outcomes poorer in patients with history of periodontal disease, Evicénce-Based-Dentistry 18, 5 (2017)
Kommentare