Restauration dentaire immédiate avec la procédure All-on-four
Pour obtenir des résultats reproductibles pour des réhabilitations orales complexes, l'équipe doit intégrer des chirurgiens et des systèmes implantaires qui interagissent efficacement avec le plus haut niveau d'expertise. Le personnel chirurgical doit être très bien formé et expérimenté, le système d'implant utilisé fiable et rigoureusement testé, l'équipement technique de pointe et le laboratoire de prothèse dentaire au fait de cette technique et compétent.
Cas clinique
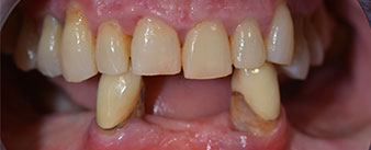
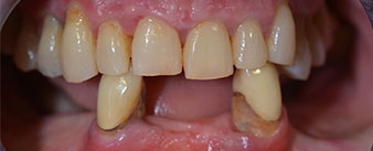
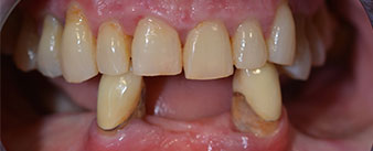
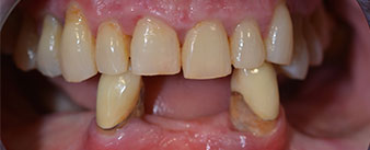
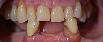
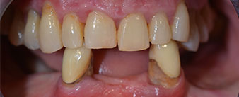
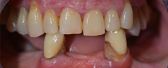
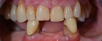
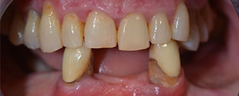
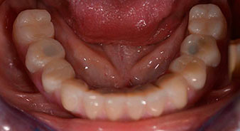
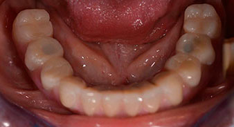
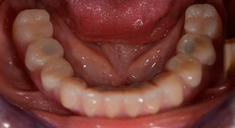
La patiente âgée de 64 ans présente une denture résiduelle des dents 38, 33 et 43 et une prothèse amovible mandibulaire stabilisée par crochets (Fig. 1 et 2).


Le traitement des lésions parodontales et l'extraction au maxillaire devront être réalisés plus tard car la patiente est enseignante et doit s'occuper des examens de fin d'année. Elle ne pouvait ni manger, ni parler correctement car la prothèse provisoire, très fragile, se fracturait régulièrement sous les moindres contraintes.
Après lui avoir expliqué les différentes options de traitements, la patiente a choisi l’extraction de la denture résiduelle à la mandibule, un implant posé immédiatement (Bredent Medical) et le traitement par la méthode All-on-four au cours duquel la prothèse fixe provisoire est vissée sur quatre implants le jour même de l'intervention. L'objectif étant d'intervenir sur la patiente le vendredi afin qu'elle puisse participer aux examens oraux le lundi suivant.
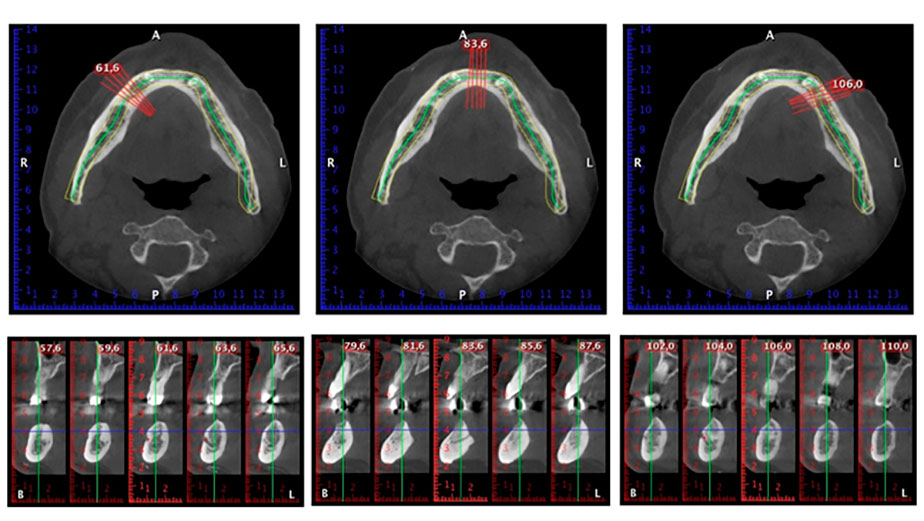
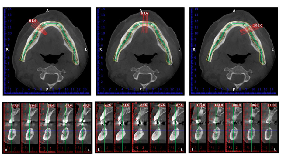
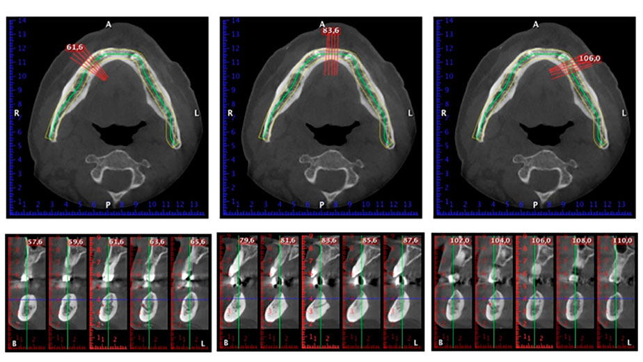
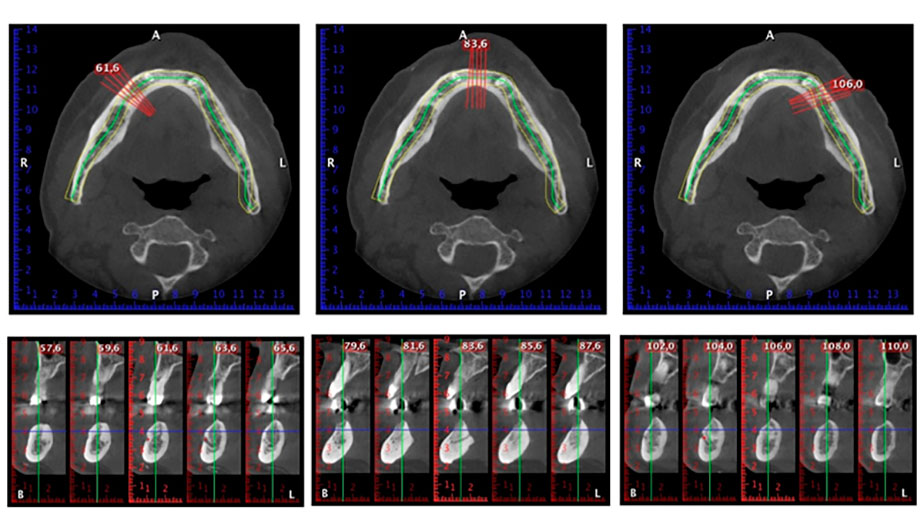
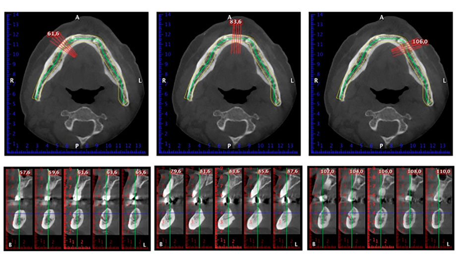
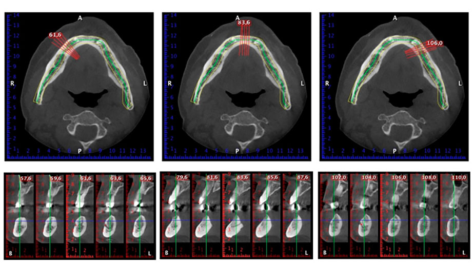
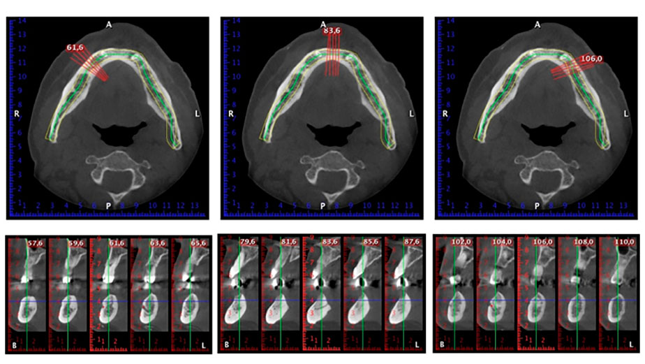
Un CT Scan à faisceaux coniques tridimensionnel (CBCT, Planmeca) a été réalisé au préalable afin de réduire les risques. Il a révélé une qualité et une quantité d'os disponible suffisante pour l'intervention chirurgicale et la restauration immédiate par la méthode All-on-four. En suivant le protocole de ce concept, les implants sont insérés au niveau de 35, 32, 42 et 45 en inclinant les implants distaux jusqu'à 45°, le profil d'émergence se déplace ainsi vers l'arrière et produit un polygone de stabilisation plus large (Fig. 3).

Intervention chirurgicale
L’extraction de la denture résiduelle à la mandibule a exposé la crête alvéolaire de 37 à 47.
Le trou mentonnier doit d'abord être identifié comme une structure anatomique limitante, puis l'os cortical de la crête a été régularisé avec une pièce à main droite et une fraise sphérique de grande taille (Fig. 4).

C'est ici que l'Implantmed révèle ses premiers avantages. Le protocole chirurgical est prédéfini et les réglages sont enregistrés à des positions fixes. Les positions individuelles peuvent être sélectionnées en appuyant sur la position "P" de la commande au pied ou sur l'écran. La vitesse de 35,000 tr./min. à la position 1 dans ce cas apparaît aussi par de grands chiffres sur l'écran rétroéclairé (Fig 5 et 6).


Le protocole chirurgical préconisé pour les implants utilisés (SKY, Bredent Medical) précise une vitesse de rotation de 1.200 tr./min. pour le pré-forage (Fig. 7 - 9).
Ceci correspond à la position suivante prédéfinie dans l'Implantmed. Nous voyons ici le contre-angle W&H tenu à un angle de 45° par rapport à la crête dans la région de 45 afin de préserver le nerf mentonnier. Le trou mentonnier sert de repére anatomique à tous les forages de cette région. Les forages suivants ont été effectués à la vitesse réduite de 300 tr./min. (Fig. 10 et 11).


Le prochain réglage programmé est destiné à la mise en place des implants. Dans notre cabinet, nous appliquons généralement un couple de 32 Ncm pour cette phase (Fig. 12 et 13).


Une grande stabilité primaire est une exigence essentielle à la restauration immédiate. Pour s'en assurer, le forage n'a pas été taraudé ici. L'unit de chirurgie Implantmed W&H utilisé ici est doté d'un mode spécial adapté qui peut être directement sélectionné et est indispensable à de nombreuses indications. Lors du positionnement des implants, les derniers tours ont été effectués avec une valeur supérieure à 32 Ncm et ont été effectués à la clef à cliquet. Dans un tel cas, nous recommandons d'utiliser la fonction d'auto -taraudage de l'implant et de tourner plusieurs fois les implants vers l'arrière et vers l'avant.
Ceci permet à l'implant de s'approcher de la position finale progressivement sans exercer de pression excessive sur l'os (Fig. 14).

Les piliers angulés (35°) ont été vissés pour compenser la divergence des implants distaux. Ainsi, le profil
d'émergence de tous les implants doit être le plus perpendiculaire possible par rapport au plan occlusal. Il s'agit
d'une condition préalable à la pose en occlusion de la prothèse provisoire puis permanente (Fig. 15 et 16).


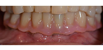
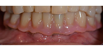
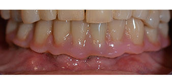
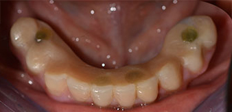
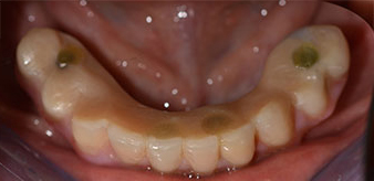
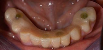
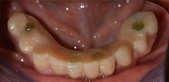
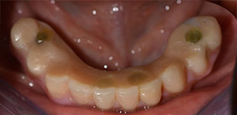
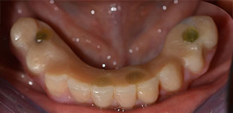
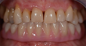
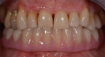
L'empreinte et l'enregistrement de l'occlusion ont ensuite été effectués afin que le prothésiste dentaire puisse commencer à réaliser la restauration provisoire. Celle-ci a été vissée le jour même (Fig. 17 et 18).


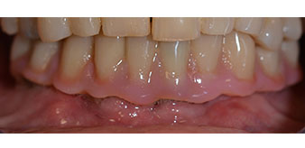
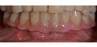
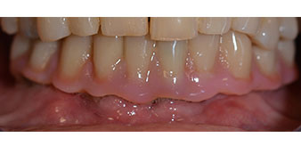
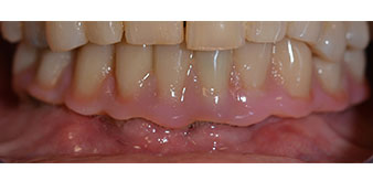
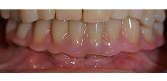
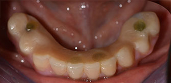
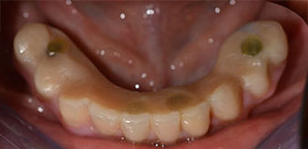
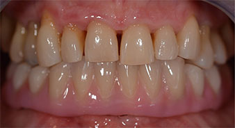
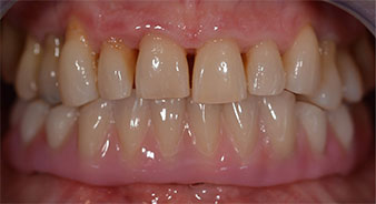
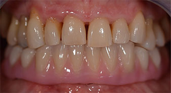
Après ostéointégration, l'empreinte finale des implants a été effectuée et la prothèse finale a été fabriquée en conséquence (Fig. 19 et 20). À cette étape, le praticien et le patient ont pu décider ensemble d'utiliser une facette dentaire en céramique ou en acrylique et une armature en zircone ou en métal. Dans ce cas, l'équipe du Dr Pascu a opté pour une facette dentaire en acrylique en raison du pronostic incertain de la denture maxillaire et du fait que la dent 24 est extrusée. Ce type de facette est plus facile à ajuster et peut donc être modifiée selon la nouvelle situation maxillaire.



Appareils et accessoires de chirurgie
L'unit de chirurgie Implantmed de W&H utilisé pour cette intervention se distingue par sa facilité d'utilisation.
Les boutons sont faciles à lire et leur utilisation est intuitive. Le chirurgien peut connaître la vitesse et le mode en jetant un simple coup d'oeil au grand écran rétroéclairé.
Les différents modes peuvent être prédéfinis pour le protocole chirurgical et sélectionnés avec la commande au pied. Cette procédure permet de gagner du temps et simplifie l'intervention chirurgicale.
Le contre-angle de chirurgie utilisé est le WS-75LG équipé d'un éclairage à LED.
La lumière renforce le contraste dans la cavité buccale et améliore la perception visuelle. Le contre-angle et la pièce à main droite S-11 de W&H sont refroidis en externe, ce qui est très avantageux car la solution saline atteint exactement le point visé et peut être ajustée si nécessaire. Les pièces à main et contre-angles droits sont démontables, ce qui est parfait pour respecter les règles d'hygiène et de stérilité. Quatre implants SKY mesurant 4,0 x 14 mm ont été mis en place.

Ce cas clinique a été mené par le Dr Christian Dan Pascu et son équipe du cabinet dentaire Discover White de Düsseldorf en collaboration avec les sociétés Bredent Medical GmbH and Co. KG et W&H.

Contact:
Dr. med. dent. Christian Dan Pascu
Spécialiste en implantologie orale (GBOI)
Discover White – Société civile professionnelle
Dr Mintcheva, Dr Pascu
Zollhof 8, 40221 Düsseldorf
www.discover-white.de
* Photos : Dr Christian Dan Pascu
Commentaires