Extraction atraumatique d’un reste radiculaire dans la région rétromolaire
La piézochirurgie : une démarche privilégiée pour les procédures atraumatiques en cas d’ostéotomie à proximité de nerfs

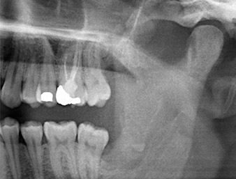
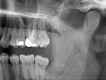
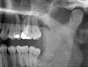
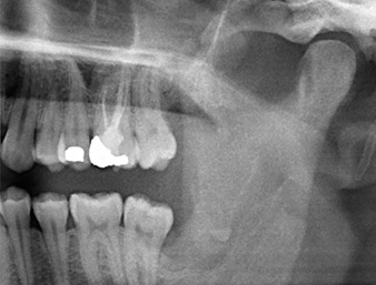
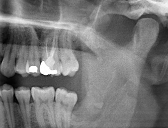
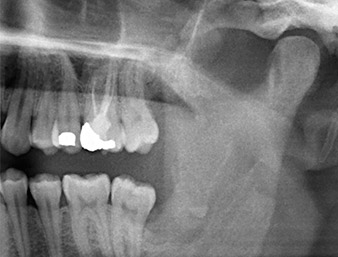
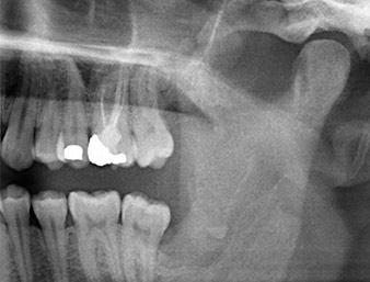
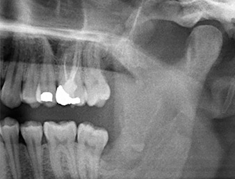
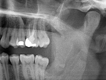
Un patient de 26 ans se plaignait de douleurs permanentes et d’une paresthésie à la suite de l’extraction chirurgicale d’une dent de sagesse incluse. Les radios panoramiques ont confirmé la présence d’un reste radiculaire à proximité étroite du nerf alvéolaire inférieur.
Un système piézochirurgical a été utilisé pour extraire la racine résiduelle
en réduisant au minimum le traumatisme causé au tissu. Le défaut a été augmenté au moyen de fragments osseux autogènes.
L’extraction chirurgicale des troisièmes molaires, ou dents de sagesse, est l’une des interventions les plus courantes
en chirurgie orale. Le risque de complications associé à cette intervention est lié, entre autres, à la technique utilisée
et à l’âge du patient, ainsi qu’à l’anatomie de la dent et à sa position dans le maxillaire (angle, profondeur de déplacement) (1). La procédure peut atteindre deux molaires adjacentes (2), entraîner des complications hémorragiques peropératoires ou une dysesthésie postopératoire, des infections et des douleurs (3). Des fractures du ramus ascendant sont possibles dans la mandibule et les communications oro-antrales sont fréquentes dans le maxillaire.
Lésions nerveuses
Lors d’une intervention d’extraction dans la mandibule il convient de porter particulièrement attention à la position
du nerf lingual et du nerf alvéolaire inférieur. Dans environ 1% des cas, une atteinte simultanée des deux nerfs peut entraîner une anesthésie, une hypoesthésie, une hyperesthésie et des troubles de la perception du goût. Les dysesthésies sont irréversibles dans seulement environ 1% des cas (3-5) mais il n’est pas rare qu’elles persistent pendant des périodes prolongées (4).
Dès lors que les diagnostics radiologiques préopératoires nécessaires sont effectués (radiographie panoramique), les lésions du nerf alvéolaire inférieur sont la plupart du temps prévisibles et donc évitables. Dès qu’il y a suspicion de troisième molaire incluse à proximité immédiate de ce nerf, une imagerie tridimensionnelle (DVT, CT) peut en outre être indiquée (6, 7).
En cas d’extraction ou d’ostéotomie de dents de sagesse, des fragments radiculaires peuvent se briser et rester en place (3). En règle générale, les racines résiduelles doivent être extraites si elles sont identifiables au stade peropératoire ou postopératoire. Selon le déroulement de l’intervention, des infections postopératoires ainsi qu’une gêne, à type de dysesthésie par exemple, peuvent survenir si elles sont laissées en place.
Utilité de la technique opératoire
La voie d’accès (buccale ou linguale), la forme du lambeau, la protection des nerfs dans la zone d’intervention, ainsi que la technique de préparation jouent toutes un rôle clé dans la technique opératoire. Il n’existe toutefois que très peu d'études comparatives apportant la preuve qu’une technique donnée offre des avantages significatifs (8).
Les ostéotomies sont généralement pratiquées à l'aide de fraises boules et de fraises à os. Les systèmes piézochirurgicaux alternatifs utilisables fonctionnent avec des micro-oscillations qui, d’après les observations cliniques, peuvent améliorer le contrôle pendant la préparation. La piézochirurgie empêche notamment les dérapages - possibles avec les instruments rotatifs (9, 11).
Dans le cas où la préparation est voisine du tissu nerveux, la piézochirurgie a pour avantage clé, quand elle est utilisée à bon escient, qu’elle préserve les tissus mous grâce à son mode de fonctionnement spécifique par micro-oscillations (12, 13).
Traitement d’entretien et prévention des fractures
Un avantage supplémentaire des inserts piézochirurgicaux est leur diamètre, qui ne dépasse pas 0,25 à 0,5mm dans le cas des scies, selon le système. À titre de comparaison, les fraises Lindemann courantes ont un diamètre
de 1,6mm et même les produits les plus récents ne mesurent pas moins de 1,2mm de diamètre. Les fraises boules de chirurgie sont disponibles à partir de 1mm de diamètre. Les insertts piézochirurgicaux sphériques, qui peuvent être une alternative aux fraises boules, ont également un diamètre minimum d’environ 1mm.
Dans l’ensemble, en raison de leur taille, les instruments rotatifs enlèvent une quantité d’os inutilement grande, par rapport aux inserts piézochirurgicaux. La région de la plaie est étendue, ce qui accroît le risque de douleurs et d'infections postopératoires. Par ailleurs, selon la situation anatomique, le maxillaire peut être inutilement affaibli. D’après l’expérience clinique, même les scies rotatives ou oscillantes conventionnelles enlèvent une quantité relativement importante de matière osseuse (9, 14).
En revanche, avec les inserts piézochirurgicaux, il est possible d’exposer les dents incluses, ainsi que les dents sorties normalement ou les restes radiculaires, de manière très sélective et par conséquent en causant le moins de traumatisme possible aux tissus. Les inserts de précision et l’effet de cavitation découlant de la micro-oscillation offrent une bonne visibilité, ce qui facilite la prévention des blessures et la perte inutile de substance.
Étude de cas
Un patient de 26 ans se plaint de douleurs récurrentes dans la zone opératoire six mois après l’ostéotomie de la dent 38 (LL8) et d’une hyposensibilité dans la zone innervée par le nerf alvéolaire inférieur. Il est adressé par son chirurgien-dentiste référent - qui n'a pas pratiqué l’extraction initiale lui-même - au Département de chirurgie orale de la clinique dentaire universitaire de Vienne.
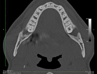
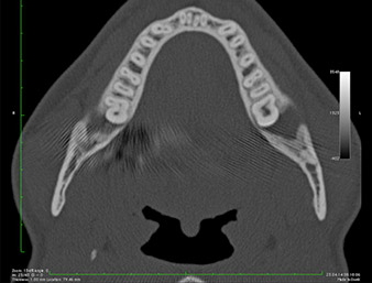
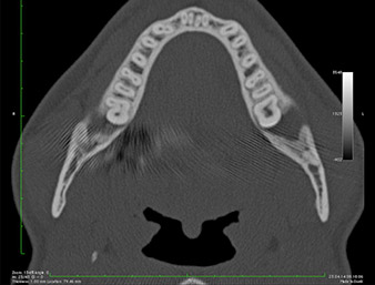
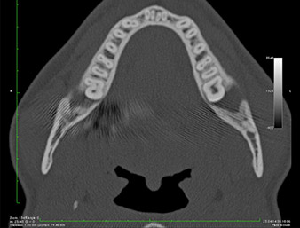
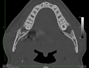
À l’OPG, le reste radiculaire dans la région de la dent 38 (LL8) apparaît déjà très proche du nerf alvéolaire inférieur. La racine s’est fracturée pendant l’ostéotomie mais n'a pas été extraite par le prestataire de soins primaires en raison de douleurs peropératoires. Pour minimiser le traumatisme causé aux tissus, la nouvelle ostéotomie devait être réalisée par piézochirurgie. Le patient ne présente pas d’antécédents médicaux particuliers et est non-fumeur.

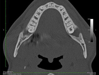
On voit sur l’image 3D (tomographie volumétrique numérique) que le reste radiculaire est en position disto-caudale au niveau de la transition de la partie horizontale vers la partie ascendante de la mandibule (Fig. 2).
Sous bloc nerveux et anesthésie locale, le site d’intervention est ouvert et les tissus mous sont exposés afin d’accéder à la zone rétromolaire buccale (Fig. 3).


Le tissu recouvrant le reste radiculaire n’est pas entièrement ossifié et est essentiellement constitué de tissu de granulation modifié par l'inflammation (Fig. 4).
Pour obtenir un matériau autogène en vue du traitement ultérieur de la plaie, des fragments osseux sains sont collectés autour du reste radiculaire à l'aide d’un insert piézochirurgical (Piezomed B5) (Fig. 5).


Le tissu autogène est extrait à l’aide de la section en forme de racloir de la pièce active de l’insert et conservé dans un soluté physiologique isotonique jusqu’à utilisation ultérieure (cf. Fig. 13).
Pour exposer le reste radiculaire en minimisant le traumatisme causé aux tissus, un autre insert est utilisé (Piezomed S2) qui est principalement indiqué pour la préparation de la fenêtre latérale dans les élévations de plancher sinusien. La boule diamantée est également utilisée pour adoucir les bords osseux tranchants (Fig. 6 et 7). Tous les inserts Piezomed sont utilisés avec le paramétrage par défaut automatique, et sans la fonction Booster.


À l'aide d’un insert pour le débridement parodontal (Piezomed P1), l’espace ligamentaire parodontal de la racine résiduelle est ensuite élargi de manière minimale (Fig. 8).
Le même insert activé est inséré dans le canal radiculaire et détache le fragment sous l’effet de ses vibrations à micro-oscillations (Fig. 9, 10).


Il est ensuite possible, grâce à l’insert P1, d’extraire en un seul geste le reste radiculaire d’environ six millimètres de long (Fig. 11).
Le tissu périapical inflammé est également méticuleusement éliminé à l’aide d’une curette manuelle. La Fig. 12 représente l’alvéole vide et le nerf alvéolaire inférieur exposé.



Puis le tissu osseux autogène (Fig. 13) est placé dans l’alvéole et le défaut osseux voisin (Fig. 14). Une membrane de collagène recouvre les fragments osseux à hauteur de l’os afin de protéger le nerf exposé (Fig. 15). Pour refermer le tissu mou ouvert, on utilise du fil de suture Vicryl, USP 4.0 (Fig. 16). Une préparation à base d’ibuprofène (Seractil 400 mg, 3x1) et un antibiotique associant amoxicilline et acide clavulanique (Augmentin 1 g, 2x1) sont prescrits en postopératoire.
La plaie cicatrise sans complications (Fig. 17) et les fils sont enlevés au bout de sept jours. Le patient retrouve une sensibilité normale. Les douleurs ont cessé.




Discussion
Le risque de complications lié à l’extraction chirurgicale des dents de sagesse dépend, entre autres facteurs, de l’âge et de l'anatomie radiculaire du patient, ainsi que de la technique d'intervention (1). Il est très probable que les mêmes paramètres influent également sur la procédure opératoire et la cicatrisation dans le cas d’ostéotomies de restes radiculaires.
Lorsque les restes radiculaires sont proches des nerfs et en l'absence de gène, ils peuvent être laissés en place, sous réserve d’un diagnostic postopératoire approprié (3). Comme dans notre étude de cas le patient souffrait de paresthésie et de douleurs, il était nécessaire de pratiquer une ostéotomie du reste malgré le risque de nouvelle atteinte, potentiellement plus lourde, des nerfs et des tissus voisins. Si la racine résiduelle avait été laissée en place, il est probable que la douleur aurait persisté et que le patient aurait souffert d’infections persistantes. En outre, des processus pathologiques du type abcès, ostéomyélite ou kystes dentaires auraient pu survenir.
Compte tenu de ses antécédents médicaux, notre patient (26 ans, non-fumeur) présentait de très bonnes chances
de réussite. L’OPG ayant révélé que le reste radiculaire était très proche du nerf alvéolaire inférieur, une tomographie volumétrique numérique a été effectuée en plus (6).
En raison de cette étroite proximité, il était nécessaire de pratiquer une ostéotomie précise et atraumatique. Dans un tel cas, les observations cliniques et les études comparatives préconisent la piézochirurgie, utilisée depuis la fin des années 1990 (9-11). En raison des micro-oscillations caractéristiques de ces systèmes, il est possible d’extraire l’os de manière sélective, permettant ainsi une préparation très peu invasive.
Les avantages propres au dispositif
Grâce au dispositif utilisé ici (Piezomed, W&H), le refroidissement très efficace apporté à proximité de l’insert renforce encore la sécurité. De même, comme le dispositif reconnaît quel insert est utilisé, les réglages de puissance adaptés
se font automatiquement. Le dispositif présente des performances remarquablement élevées et constantes pendant
les ostéotomies, un critère essentiel lors de la collecte des fragments osseux dans l’étude de cas. Dans le même temps, grâce à sa conception technique, les tissus mous, et par conséquent les tissus nerveux également, ont été préservés dans la zone d’intervention. À titre d’exemple, cette caractéristique piézochirurgicale spéciale permet de préparer des fenêtres osseuses latérales pendant un sinus lift en réduisant considérablement le risque de perforation de la membrane de Schneider (13).
Dans notre exemple, une semaine après l’extraction du reste radiculaire, notre patient déclarait avoir retrouvé
sa sensibilité dans la zone innervée du nerf alvéolaire inférieur. Les visites de contrôle postopératoires ont montré que
la cicatrisation était excellente et rapide et que les symptômes douloureux dont souffrait le patient depuis six mois avaient cessé. L’intervention a été réalisée sans aucun instrument rotatif. D’après l’expérience de l'auteur, une intervention effectuée avec ce type d’instruments n’aurait pas été aussi atraumatique.
Un autre avantage de la technique piézochirurgicale est l'absence de saignements pendant la procédure. Cela s’explique par l’effet de cavitation. Les ultrasons haute fréquence génèrent des ondes de choc dans le liquide de refroidissement, provoquant une micro-coagulation (15). Le résultat : une meilleure visibilité et une procédure plus
sûre (11). Dans le système utilisé, l’éclairage intégré à six LED améliore la visibilité sur le site d'intervention.
Élargissement de l’espace ligamentaire parodontal et collecte des fragments osseux
À l'aide de l’insert piézochirurgical fin Piezomed P1, il a été possible d'élargir l’espace ligamentaire parodontal durant la préparation et d’extraire délicatement la racine en insérant l’insert dans le canal radiculaire. Le mode de fonctionnement par micro-oscillations s’est également avéré avantageux ici et la technologie a fait la preuve de sa flexibilité d’utilisation. Par comparaison, les instruments rotatifs n’offrent pas d’options comparables.
Dans les fragments osseux autogènes collectés à l'aide d’une technique piézochirurgicale dans l’étude de cas, les cellules osseuses semblent avoir une meilleure chance de survie que dans le cas d’une préparation par technique rotative (16). Cela favorise la cicatrisation. Comme c’est généralement le cas dans la Clinique dentaire universitaire de Vienne, dans un souci d’hygiène optimale et donc de cicatrisation, il n’y a pas eu recours à l’aspiration par filtre à os pendant la préparation.
Conclusions
L’étude de cas illustre le puissant travail de préservation des tissus accompli par le système Piezomed. Grâce au mode de fonctionnement de précision par micro-oscillations, il est également possible de protéger les nerfs lors d’ostéotomies délicates, ce qui leur permet de se régénérer.

Plus d'infos
Photos: Strbac – UZMK Vienna
Littérature
- Akadiri OA, Obiechina AE. Assessment of difficulty in third molar surgery--a systematic review. J Oral Maxillofac Surg 2009;67:771-774.
- Strietzel FP, Reichart P. Wundheilung nach operativer Weisheitszahnentfernung. Evidenzgestützte Analyse (in German). Mund Kiefer Gesichtschir 2002;6.
- Arrigoni J, Lambrecht, JT. Komplikationen bei und nach operativer Weisheitszahnentfernung. Schweiz Monatsschr Zahnmed 2004;114:1271-1279.
- Carmichael FA, McGowan DA. Incidence of nerve damage following third molar removal: a West of Scotland Oral Surgery Research Group study. Br J Oral Maxillofac Surg 1992;30:78-82.
- Valmaseda-Castellon E, Berini-Aytes L, Gay-Escoda C. Inferior alveolar nerve damage after lower third molar surgical extraction: a prospective study of 1117 surgical extractions. Oral Surg Oral Med Oral Pathol Oral Radiol Endod 2001;92:377-383.
- Arbeitsgemeinschaft für Röntgenologie ARö. s2k-Leitlinie dentale digitale Volumentomographie. Version #9, 2013-08-05, http://www.awmf.org/uploads/tx_szleitlinien/083-005l_S2k_Dentale_Volumentomographie_2013-10.pdf, accessed 2016-05-12.
- DGMKG. S2k-Leitlinie: Operative Entfernung von Weisheitszähnen; Version 2012-12-21 (corr. long version 2013-01; http://www.awmf.org/leitlinien/detail/ll/007-003.html accessed 2016-05-12. guideline, 2012.
- Dodson TB, Susarla SM. Impacted wisdom teeth. BMJ clin evid 2010;2010.
- Rothamel D, et al. Piezosurgery - a universal principle for many indications. EDI Journal 2015;64-70.
- Vercellotti T. Essentials in Piezosurgery: Clinical Advantages in Dentistry: Quintessence Publishing, 2009.
- Schlee M, Steigmann M, Bratu E, Garg AK. Piezosurgery: basics and possibilities. Implant dent 2006;15:334-340.
- Vercellotti T. Essentials in Piezosurgery: Clinical Advantages in Dentistry: Quintessence Publishing, 2009.
- Wallace SS, Mazor Z, Froum SJ, Cho SC, Tarnow DP. Schneiderian membrane perforation rate during sinus elevation using piezosurgery: clinical results of 100 consecutive cases. Int J Periodontics Restorative Dent 2007;27:413-419.
- Pereira CC, Gealh WC, Meorin-Nogueira L, Garcia-Junior IR, Okamoto R. Piezosurgery applied to implant dentistry: clinical and biological aspects. J Oral Implantol 2014;40 Spec No:401-408.
- Rahnama M, Czupkallo L, Czajkowski L, Grasza J, Wallner J. The use of piezosurgery as an alternative method of minimally invasive surgery in the authors' experience. Wideochirurgia i inne techniki maloinwazyjne 2013;8:321-326.
- von See C, Rucker M, Kampmann A, Kokemuller H, Bormann KH, Gellrich NC. Comparison of different harvesting methods from the flat and long bones of rats. Br J Oral Maxillofac Surg 2010;48:607-612.
Commentaires