Implants individuels pour bridge en oxyde de zirconium avec l'Implantmed
Étude de cas du Dr Karl-Ludwig Ackermann, Filderstadt, Germany
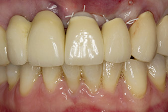
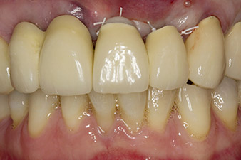
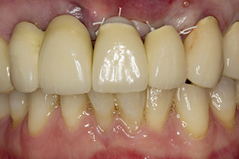
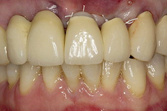
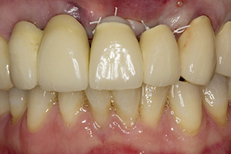
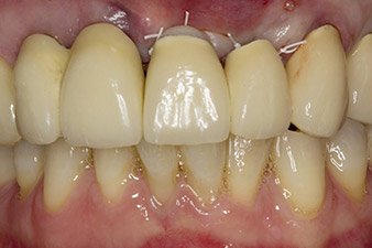
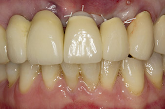
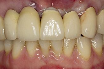
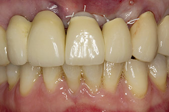
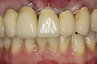
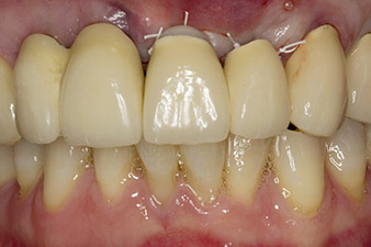
Un patient de 67 ans s'est présenté en consultation avec des couronnes jumelées à remplacer dans le maxillaire.
A l'issue de l'extraction des dents 21 et 22, il est prévu de poser des implants qui serviront de piliers au nouveau bridge. Les sites seront préparés à l'aide du nouveau moteur d'implantologie Implantmed de W&H et la stabilité mesurée avec le module intégré W&H Osstell ISQ.

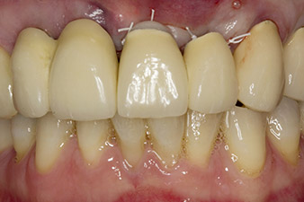
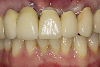
Lorsque le patient s'est présenté pour la première fois, les dents 21, 22 et 23 avaient été restaurées il y a 19 ans à présent, par des couronnes jumelées collées sur les implants en position 12/11 à l'aide d'une attache
(cf. Fig. 2).
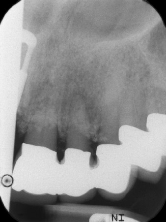
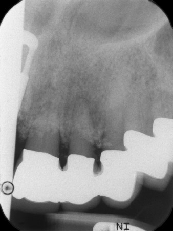
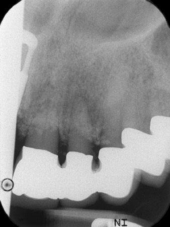
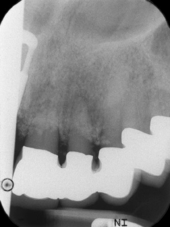
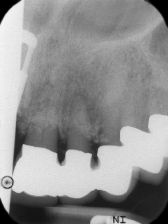
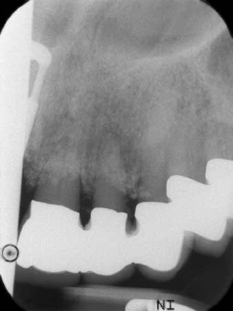
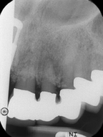
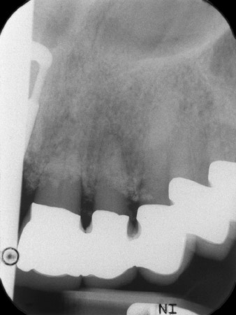
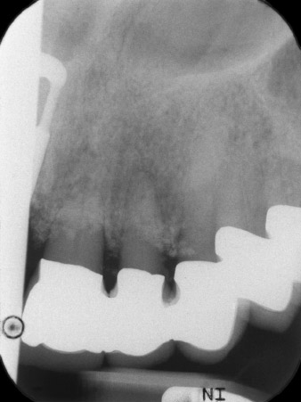
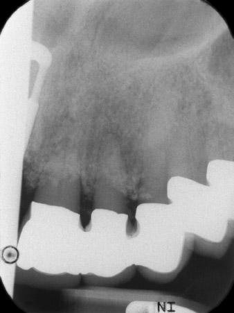
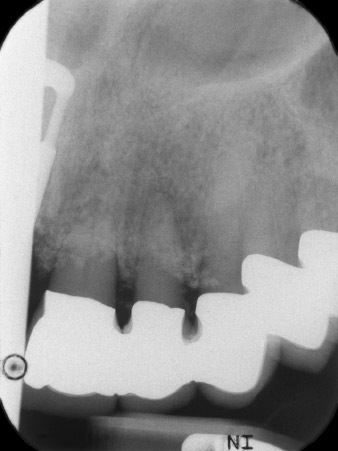
La radio a révélé une perte osseuse horizontale autour des dents 21 et 22 (Fig. 1). Lorsque la structure de couronne a été retirée, ces dents ont involontairement été extraites en même temps.
La dent 23 présentait une fracture coronaire horizontale et un matériau de reconstitution du moignon et de scellement des tenons a été utilisé à titre de restauration temporaire. L'objectif était de poser un bridge en oxyde de zirconium sur les implants existants aux positions 12 et 11 et de poser deux nouveaux implants aux positions 22 et 23.
Une fois la cicatrisation primaire obtenue, les tissus mous ont été formés à l'aide du bridge doublé à la base. Deux mois plus tard, la zone a été exposée au moyen d'une incision de la crête alvéolaire légèrement orientée côté palatin (Fig 2). Les dimensions de l'os alvéolaire se sont avérées suffisantes en position 22. Les Figures 2 et 4 illustrent la préparation du lit implantaire, le taraudage et la pose de l'implant à l'aide de l'Implantmed.
Mesure de la stabilité de l'implant
Le nouveau moteur d'implantologie a été utilisé avec les contre-angles chirurgicaux de W&H correspondants.



WS-75 L suivant un ratio de 20:1 (programme P5).
Afin de compenser la perte osseuse parodontale et d'obtenir un résultat esthétiquement satisfaisant, la pose de l'implant a été associée à une régénération osseuse guidée (GBR) avec matériau de substitution xénogénique et membrane collagène. (Fig. 5 et 6).


Dans le cadre de l'exposition en vue de la pose de l'implant en position 23, la stabilité de l'implant a été mesurée à l'aide du module W&H Osstell ISQ (quotient de stabilité de l'implant) intégré au dispositif quatre mois plus tard.
L'opération a consisté à visser la tige de mesure correspondante (SmartPeg) au système d'implant et à positionner la sonde à une distance de 3 à 5 mm de l'avant de la tige de mesure (Fig. 7).

La Figure 8 montre l'Implantmed de W&H avec tous ses accessoires mais sans le chariot mobile, également disponible.
Du matériel très performant, sans compromis
Plusieurs facteurs doivent être pris en compte lorsqu'on pratique des traitements implantaires dans la région maxillaire antérieure où le critère esthétique est particulièrement important (1).
Ces facteurs sont la conception et le matériau de la restauration (2) ainsi que la quantité et la qualité du tissu qui entoure les implants. Il existe également des facteurs qui influent sur la cicatrisation, la phase temporaire (3) et le type de fixation (4).
Pour lever toutes les incertitudes qui pourraient apparaître, les dentistes et les chirurgiens doivent être intransigeants en ce qui concerne le matériel.
En plus du système implantaire et prothétique, il faut également s'intéresser au moteur d'implantologie et aux contre-angles chirurgicaux correspondants.
Dans cette étude de cas, le problème a trouvé sa solution avec la pose d'un implant en position 22 lors de la première intervention et d'un implant supplémentaire à l'endroit de la dent extraite 23 à un stade ultérieur du traitement. Le second implant a été posé une fois l'ostéointégration complète de l'implant 22 réalisée. Après retraitement, le bridge a été remis en place jusqu'à la cicatrisation de l'implant 23 en place et la formation complète de la restauration définitive. Cette approche par étapes a pour avantages que les implants tolèrent mieux les charges et les tissus durs et mous matures (5).
« Un moteur d'implantologie à la conception parfaitement étudiée et très réussie »
La préparation du lit implantaire, le taraudage et la pose de l'implant ont été réalisés grâce au nouveau moteur d'implantologie Implantmed, dont la conception est, selon l'auteur, parfaitement étudiée et très réussie. Le fabricant a véritablement été plus loin dans le développement des différentes fonctions techniques dans ce dispositif. Par exemple, le système très élaboré de navigation par menu à l'aide de l'écran tactile est particulièrement pratique. Il est facile de sélectionner toutes les fonctions et on peut les ajuster très simplement à chaque système d'implant et à ses préférences personnelles. Dans les grands cabinets ou à l'hôpital, il peut être personnalisé pour six utilisateurs au maximum.
Le nouvel Implantmed s'intègre à la perfection dans la pratique de l'implantologie grâce à ses dimensions et à sa conception ergonomique - par exemple les plateaux porte-instruments, très pratiques, la commande au pied sans fil et la solution astucieuse d'alimentation en liquide réfrigérant. Son design est également très attractif (Fig. 8).
Dans cette étude de cas, nous avons également utilisé le module W&H Osstell ISQ en option (Fig. 7). Comme l'implant était masqué pendant les soins, cela nous a permis de savoir avec certitude à quel moment la procédure était terminée et réussie (implant 22). Qu'une mise en charge immédiate ou précoce soit prévue, le module, en combinaison avec le couple enregistré, sert à vérifier la stabilité primaire requise. Toutes les données peuvent être sauvegardées sur la clé USB pour chaque session et chaque implant. Ainsi, non seulement les exigences cliniques mais aussi légales sont remplies de manière exemplaire.

Plus d'info
Les avantages de l'Implantmed
Photos : © Ackermann/Kirsch/Neuendorff
Références
- Dawson A, Chen ST. The SAC Classification in Implant Dentistry. Berlin: Quintessence Publishing Co., 2009.
- Martin WC, Pollini A, Morton D. The influence of restorative procedures on esthetic outcomes in implant dentistry: a systematic review. Int J Oral Maxillofac Implants 2014;29 Suppl:142-154.
- Zuhr O, Fickl S, Wachtel H, Bolz W, Hurzeler M. Die Versorgung der Extraktionsalveole aus prothetischer Sicht. Implantologie 2006;14:339-353.
- Krennmair G, Seemann R, Weinlander M, Wegscheider W, Piehslinger E. Implant-prosthodontic rehabilitation of anterior partial edentulism: a clinical review. Int J Oral Maxillofac Implants 2011;26:1043-1050.
- Buser D, Martin W, Belser UC. Optimizing esthetics for implant restorations in the anterior maxilla: anatomic and surgical considerations. Int J Oral Maxillofac Implants 2004;19 Suppl:43-61.
Commentaires