Terapia implantare con Implantmed di W&H: semplice, sicura e riproducibile
“Ho dei gusti semplicissimi, mi accontento sempre del meglio.” Questa celebre citazione di Oscar Wilde è applicabile sia al trattamento con impianti dentali che all'unità chirurgica Implantmed di W&H. La soluzione ottimale quando mancano uno o più denti, nelle situazioni ad estremità libera e in caso di pazienti edentuli è l'implantologia. Implantmed è un partner fidato durante le operazioni chirurgiche, perfino quando il protocollo standard si rivela inadeguato per la situazione. Il dr. Christian Dan Pascu, fondatore dello studio dentistico Discover White a Düsseldorf, è un “esperto in implantologia orale (GBOI)” a livello internazionale e descrive l'esperienza legata all'attuazione dell'implantologia mediante un esempio clinico.
Il dentista in servizio ha il compito di scegliere il trattamento appropriato sulla base di fattori quali l'intervento, la tempistica e il rapporto qualità-prezzo dopo essersi consultato con il paziente e aver analizzato scoperte e diagnosi. Gli aspetti principali al fine di soddisfare le esigenze dei pazienti sono la consultazione e l'esposizione di procedure, rischi, alternative e limiti dell'intervento. In questo ambito rientrano anche delle variabili, come le aspettative dei pazienti e/o l'esperienza del chirurgo. I materiali e l'apparecchiatura vanno considerati delle costanti, che forniscono sempre risultati positivi, riproducibili e affidabili.
Un caso clinico nell'implantologia
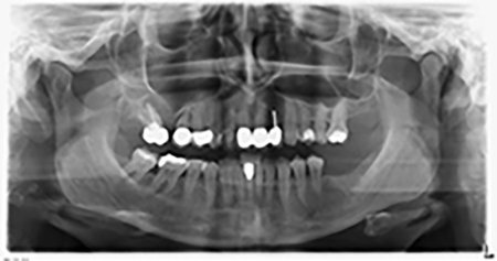
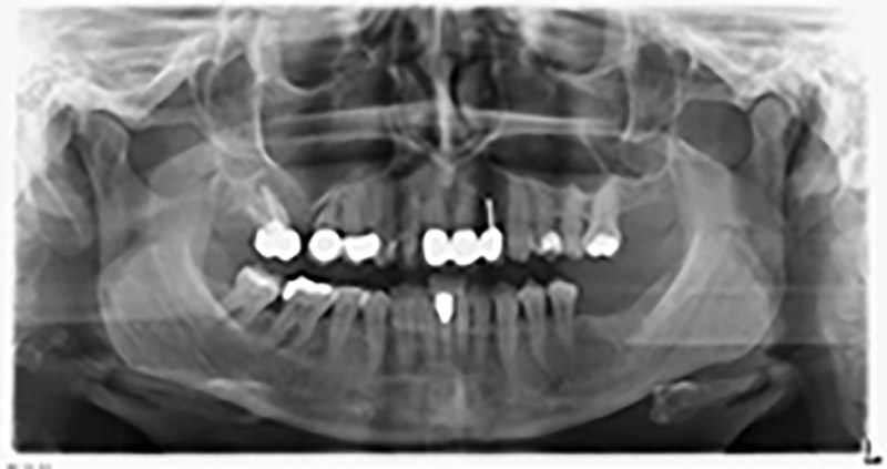
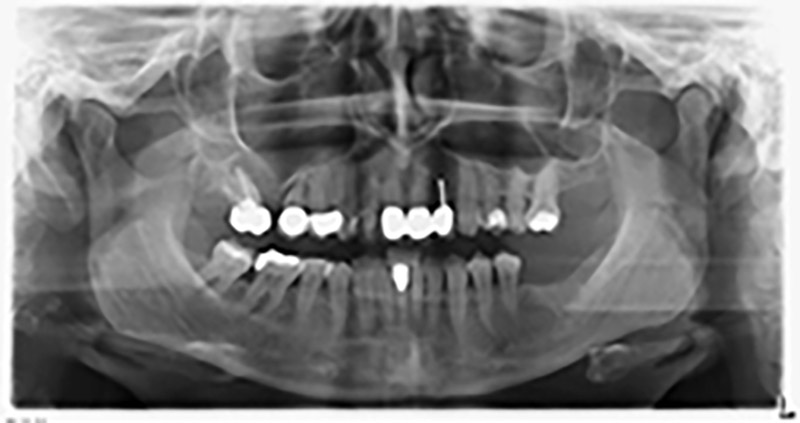
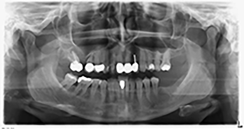
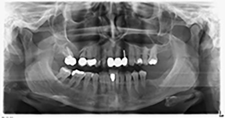
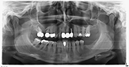
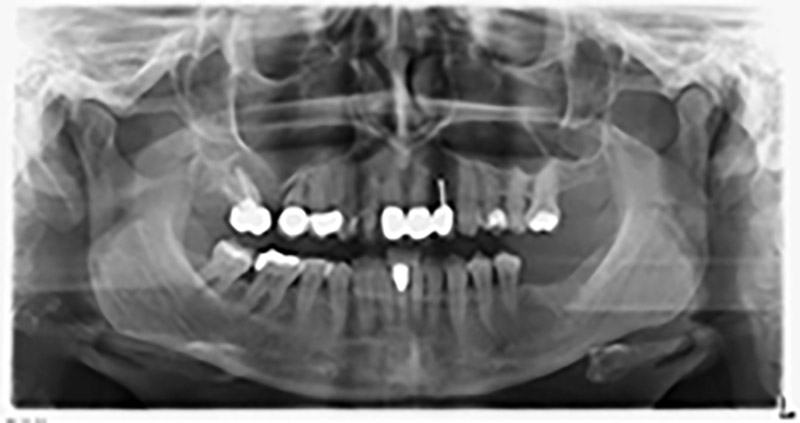
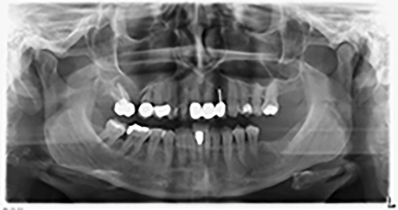
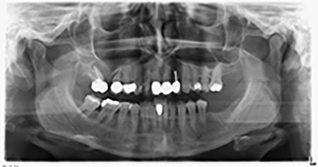
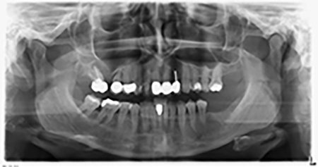
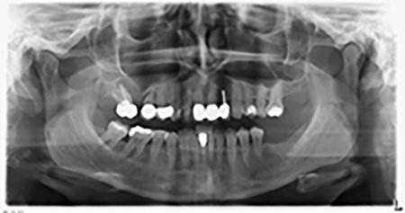
La paziente, 59 anni, presenta un caso di parodontite avanzata e descrive una sensazione di fastidio e scarsa sensibilità gustativa dal primo quadrante in direzione distale. L'esame clinico rivela tasche parodontali generalmente diffuse e un'atrofia ossea molto avanzata nelle regioni 16 e 14. L'esito è confermato dalla radiologia (fig. 1). Non è possibile salvare i denti 16 e 14.
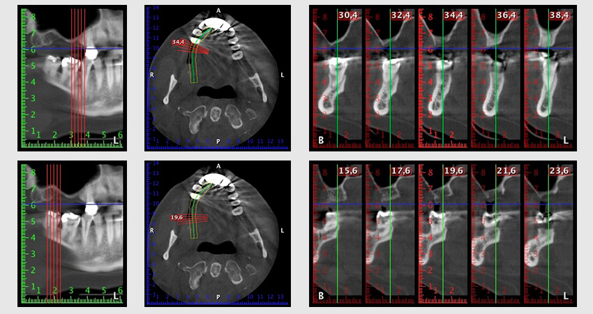
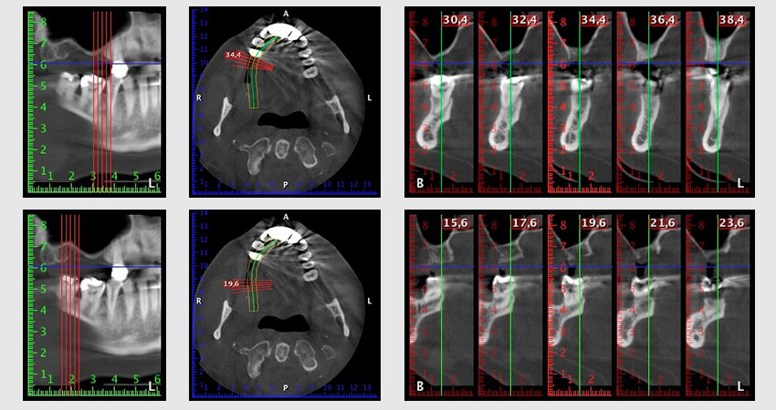
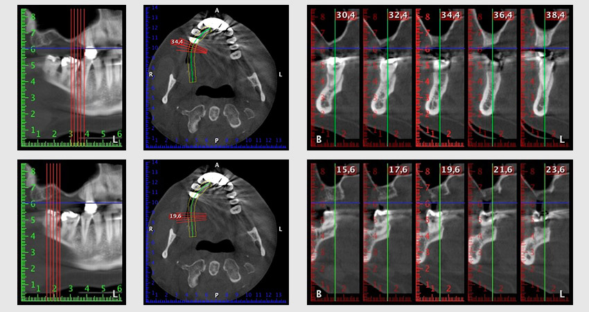
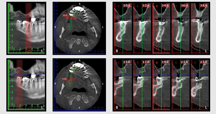
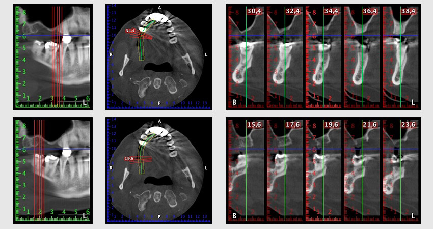
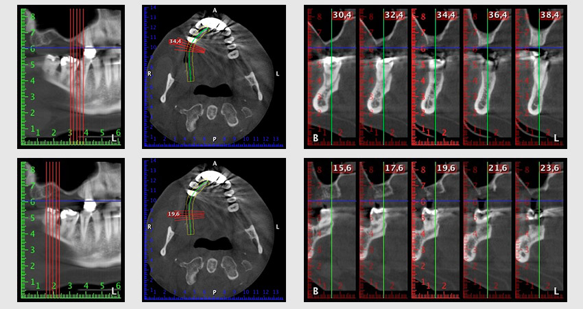
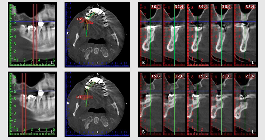
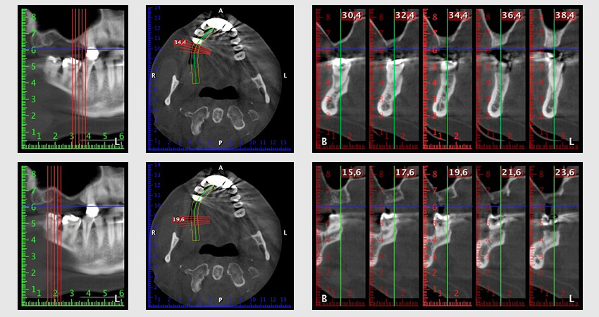
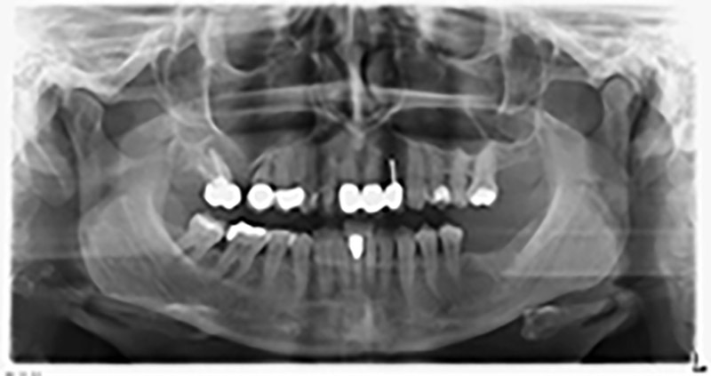
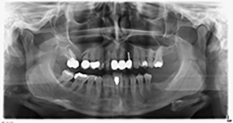
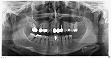
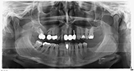
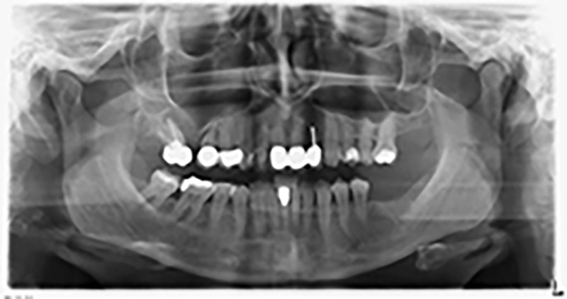
Al fine di pianificare e minimizzare i rischi, circa sei mesi dopo l'estrazione dei denti 16 e 14 viene effettuata una tomografia digitale volumetrica (DVT, Planmeca), la quale conferma chiaramente la mancata rigenerazione ossea nel volume desiderato (da fig. 2 a 7).

È necessario un rialzo del pavimento sinusale nelle regioni 16 e 14 per garantire una solida ricostruzione basata su almeno due impianti. Si auspica un accrescimento osseo su scala relativamente ampia a causa del volume osseo residuo estremamente ridotto in questo caso. Le principali procedure di accrescimento osseo sono invasive e incrementano il tasso di morbilità dei pazienti, oltre a essere costose in termini di tempo e denaro. Prevedere l'esito del trattamento diventa più difficile e il rischio di insuccesso aumenta. Il dentista informa la paziente e le propone una soluzione asportabile, fermamente rifiutata.
Per ridurre l'accrescimento nella regione 14, con il consenso della paziente si opta per il posizionamento e l'inclinazione dell'impianto 16 in direzione dorso-craniale (fig. 8).
Questo metodo implica una soluzione con avvitamento per la ricostruzione finale. È richiesto un moncone angolato (per es. 35°) affinché la vite sia perpendicolare al piano occlusale e il ponte venga montato di conseguenza.

Procedura chirurgica per l'impianto

L'incisione classica (rilascio crestale e buccale) e la preparazione del lembo mucoperiosteo favoriscono un'ottima panoramica.
In questo caso vengono usati impianti di tipo SKY (bredent). Il loro protocollo chirurgico specifica una perforazione pilota di circa 1200 rpm (fig. 9).
Le vie indicate di seguito sono realizzate con una perforazione a velocità ridotta, pari a 300 rpm. In questa fase Implantmed dimostra la sua grande affidabilità. È possibile predefinire il protocollo chirurgico: per selezionare le varie posizioni, basta premere la lettera “P” con il controllo a pedale (da fig. 10 a 11).


Il passaggio successivo consiste nel posizionamento dell'impianto, che nel nostro studio prevede una potenza pari a 32 Ncm (fig. 12).

Quindi, abbiamo optato per il rialzo del pavimento sinusale con impianto simultaneo. Implantmed è preimpostato sulla prima posizione per quanto riguarda la fenestrazione buccale della parete del seno mascellare.
La fenestrazione è impostata su 35.000 rpm, mentre la mucosa nasale viene preparata in direzione craniale (da fig. 13 a 14).


Dunque, l'impianto viene posizionato e l'osso ricostruito. In questo caso, considerate le dimensioni della regione di accrescimento, i microframmenti dell'osso autologo (raccolti con un'apposita cannula di aspirazione in seguito alla perforazione dell'impianto 16 e della fenestrazione 14) vengono combinati con dei materiali di riempimento dell'osso.
Una membrana riassorbibile viene usata come barriera in direzione buccale per contenere l'accrescimento. Infine, vengono applicate suture resistenti alla saliva (da fig. 15 a 19).






Dispositivi e accessori chirurgici
Implantmed di W&H, impiegato in questa procedura, conquista con la sua semplicità d'uso. I pulsanti sono facilmente leggibili e le operazioni intuitive. Sull'ampio display perfettamente illuminato, il chirurgo può individuare facilmente dettagli, quali velocità e modalità di impiego. Le varie modalità possono essere preimpostate per il protocollo chirurgico e selezionate con il controllo a pedale. Le operazioni effettuate con questa unità permettono di risparmiare tempo e semplificare la procedura chirurgica.
In questo caso, la consistenza dell'osso (D2-D3) ha reso superflua la funzione di filettatura. Quest'ultima deve tuttavia essere presa in considerazione, essendo una modalità separata e direttamente selezionabile di Implantmed . La sua importanza emerge soprattutto se l'osso è particolarmente resistente.
WS-75LG è il contrangolo chirurgico utilizzato. Esso è dotato di una luce LED+, che aumenta il contrasto nella cavità orale e migliora la percezione visiva. Il manipolo impiegato è W&H S-11. Entrambi sono dotati di irrigazione esterna, che ritengo essere un grande vantaggio, dal momento che la soluzione salina viene distribuita in determinati punti e, se necessario, regolata di conseguenza. Contrangolo e manipoli sono smontabili e questo passaggio è caldamente raccomandato per motivi di igiene e sterilizzabilità.
Gli impianti applicati sono offerti da bredent e sono di tipo SKY (dente 16: 5,5 x 10 mm; dente 14: 4,0 x 10 mm).

Dr. med. dent. Christian Dan Pascu
Esperto in implantologia orale (GBOI)
Discover White – Studio dentistico
Dr. Mintcheva e Dr. Pascu
Zollhof 8, 40221 Düsseldorf
www.discover-white.de
© Immagini: Dr. Christian Dan Pascu
Commenti