Rimozione atraumatica di un residuo di radice nella regione retromolare
La piezochirurgia consente di eseguire una procedura atraumatica nell'osteotomia in prossimità di nervi.

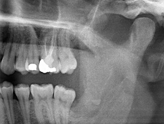
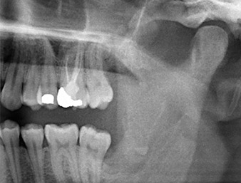
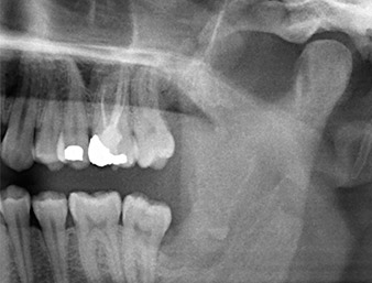
Un paziente di 26 anni lamentava dolori costanti e parestesia in seguito alla rimozione chirurgica di un dente del giudizio incluso. Le radiografie panoramiche hanno confermato la presenza di un residuo di radice collocato in stretta prossimità del nervo alveolare inferiore.
È stato utilizzato un sistema di piezochirurgia per consentire la rimozione della radix relicta con il minor trauma possibile al tessuto. Il difetto è stato aumentato da frammenti ossei autogeni.
La rimozione chirurgica del terzo molare, o dente del giudizio, è una delle procedure più frequenti nella chirurgia orale. Il rischio di complicazioni a essa associate è determinato, tra le altre cose, dalla tecnica di intervento e dall'età del paziente, nonché dall'anatomia del dente e dalla sua posizione nella mandibola (angolo, profondità della dislocazione) (1). La procedura può causare traumi a due molari adiacenti (2), portare a complicazioni di sanguinamento perioperatorio o causare cachessia, infezioni e dolore post-operatorio (3). Nella mandibola è possibile la formazione di fratture del ramo ascendente e nella mascella spesso si verificano comunicazioni oro-antrali.
Danno ai nervi
È necessario prestare particolare attenzione alla posizione del nervo linguale e al nervo alveolare inferiore quando si esegue un'estrazione nella mandibola. In circa l'1% dei casi, un danno contemporaneo a entrambi i nervi può causare anestesia, ipoestesia, iperestesia e disturbi nella percezione dei sapori. La cachessia è permanente in circa l'1% dei casi (3-5) ma non è insolito che duri per periodi piuttosto lunghi (4).
Con una diagnostica radiologica preoperatoria adeguata (ortopantomografia), la maggior parte delle lesioni al nervo alveolare inferiore sono prevedibili e pertanto evitabili. Quando si sospetta che un terzo molare interessato si trovi in prossimità di questo nervo, potrebbe essere inoltre indicata un'immagine tridimensionale (DVT, TAC) (6, 7).
Quando si esegue l'estrazione o l'osteotomia dei denti del giudizio, è possibile che alcune porzioni della radice si rompano e restino nella gengiva (3). In generale, le radices relictae devono essere rimosse se identificate in fase intraoperatoria o postoperatoria. In base all'andamento dell'operazione, lasciare frammenti di radice può causare infezioni postoperatorie e conseguenti disagi, inclusa la cachessia.
Ruolo della tecnica operatoria
La via di accesso (boccale o linguale), la struttura dei lembi, la protezione dei nervi nell'area interessata dall'intervento e la tecnica di preparazione sono tutti elementi con un ruolo importante nella tecnica operatoria. Tuttavia, esistono pochi studi comparativi che forniscano evidenze riguardanti risultati significativi di una specifica tecnica (8).
Le osteotomie tradizionalmente sono eseguite con frese rotonde rotanti e frese odontoiatriche. Possono essere utilizzati sistemi piezochirurgici alternativi che funzionano tramite micro-oscillazione, la quale, secondo le osservazioni cliniche, può migliorare il controllo durante la preparazione. Nella piezochirurgia si evita lo scivolamento, che è invece possibile con gli strumenti rotanti (9-11).
In caso di preparazione in prossimità di tessuto nervoso, la piezochirurgia presenta il notevole vantaggio, quando usata correttamente, di proteggere il tessuto molle grazie alla modalità di operazione specifica con micro-oscillazioni (12, 13).
Trattamento conservativo e prevenzione delle fratture
Un ulteriore vantaggio degli strumenti piezochirurgici è dato dal loro diametro, che nel caso delle seghe è di soli 0,25-0,50 mm, in base al sistema. Le comuni frese Lindemann a confronto hanno un diametro di 1,6 mm e anche i prodotti più recenti presentano un diametro di 1,2 mm. Le frese chirurgiche circolari sono disponibili con diametri superiori a 1,0 mm. Gli strumenti piezochirurgici sferici che possono essere usati in alternativa alle frese circolari presentano anch'essi un diametro minimo di circa 1,0 mm.
In generale, con gli strumenti rotanti viene rimossa una quantità inutilmente elevata di osso rispetto agli strumenti piezochirurgici, a causa delle dimensioni. L'area della ferita si allarga, aumentando il rischio di dolore e infezioni postoperatorie. Inoltre, in base alla situazione anatomica, la mascella potrebbe essere inutilmente indebolita. Secondo l'esperienza clinica, anche le seghe rotanti o oscillanti convenzionali rimuovono una quantità relativamente elevata di sostanza ossea (9, 14).
Al contrario, con gli strumenti piezochirurgici è possibile esporre il dente interessato (e anche denti normalmente erotti o residui di radici) in modo molto selettivo e pertanto con il minor trauma possibile al tessuto. I piccoli strumenti e l'effetto di cavitazione che si presenta di conseguenza alla micro-oscillazione consentono un'ottima visuale e facilitano la prevenzione di lesioni e inutile perdita di sostanza.
Descrizione del caso
Un paziente di 26 anni presentava dolore ricorrente nell'area dell'intervento sei mesi dopo l'osteotomia del dente 38 (LL8) e lamentava iposensibilità nell'area innervata dal nervo alveolare inferiore. Il dentista, che non aveva eseguito l'estrazione del dente iniziale, ha richiesto per il paziente a una visita presso il Dipartimento di chirurgia orale della Clinica dentistica universitaria di Vienna.
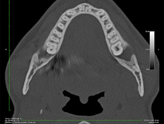
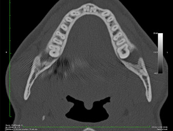
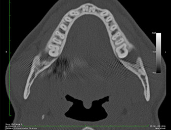
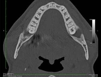
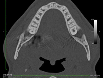
Il residuo di radice nella regione del dente 38 (LL8) mostrava già stretta vicinanza al nervo alveolare inferiore nell'ortopantomografia. La radice si era spezzata durante l'osteotomia ma non era stata rimossa dal dentista che aveva eseguito l'operazione a causa di dolore intraoperatorio. Per garantire il minor trauma possibile al tessuto, la nuova osteotomia doveva essere eseguita utilizzando un sistema piezochirurgico. Il paziente presentava un'anamnesi non rilevante e non era fumatore.

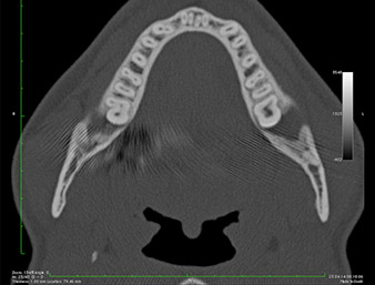
Nell'immagine 3D (tomografia volumetrica digitale) era visibile che il residuo di radice era collocato in posizione distocaudale nella transizione dalla porzione orizzontale alla porzione ascendente della mandibola (Fig. 2).
Dopo l'anestesia tronculare e l'anestesia locale, il sito operatorio è stato aperto e il tessuto molle esposto per l'accesso retromolare boccale (Fig. 3).


Il tessuto al di sopra del residuo di radice non era completamente ossificato ed era costituito per la maggior parte da tessuto di granulazione modificato dall'infiammazione (Fig. 4).
Per ottenere materiale autogeno per il successivo trattamento della ferita, sono stati estratti frammenti di osso sano nella zona del residuo di radice con uno strumento piezochirurgico (Piezomed B5) (Fig. 5).


Il tessuto autogeno è stato rimosso con la sezione a forma di raschietto della parte funzionante dello strumento e conservato un una soluzione salina fisiologica per uso successivo (vedere Fig. 13).
Per esporre il residuo di radice con il minor trauma possibile al tessuto, è stato utilizzato un ulteriore strumento (Piezomed S2) indicato principalmente per la preparazione della finestra laterale nel rialzo del seno mascellare. Inoltre, è stata usata una sfera ricoperta in diamante per levigare i bordi affilati dell'osso (Fig. 6 e 7). Tutti gli accessori Piezomed sono stati usati con l'impostazione automatica predefinita adatta senza funzione di potenziamento.


Utilizzando uno strumento per lo sbrigliamento periodontale (Piezomed P1), lo spazio del legamento periodontale della radix relicta è stato quindi ampliato minimamente (Fig. 8).
Lo stesso strumento attivato è stato inserito nel canale della radice per allentare il frammento con le vibrazioni micro-oscillatorie (Fig. 9-10).


È stato quindi possibile rimuovere il residuo di radice di lunghezza approssimativa di 6 mm in un unico pezzo, con l'accessorio P1 (Fig. 11).
È stato inoltre rimosso tessuto periapicale infiammato, molto attentamente con un escavatore manuale. La Figura 12 mostra l'alveolo vuoto con il nervo alveolare inferiore esposto.



Successivamente, il tessuto osseo autogeno (Fig. 13) è stato posizionato nell'alveolo e nel circostante difetto osseo (Fig. 14). Un vello di collagene ricopriva i frammenti di osso fino a livello dell'osso come protezione per il nervo esposto (Fig. 15). Per chiudere il tessuto molle aperto sono state utilizzate suture con filo in Vicryl, USP 4.0 (Fig. 16). Dopo l'operazione sono stati prescritti una preparazione di Ibuprofene (Seractil 400 mg, 3x1) e un antibiotico costituito da amossicillina e acido clavulanico (Augmentin 1 g, 2x1).
La ferita si è cicatrizzata senza complicazioni (Fig. 17) e le suture sono state rimosse dopo sette giorni. Il paziente ha segnalato il ritorno della normale sensibilità. Non si è più presentato alcun dolore.




Discussione
Il rischio di complicazioni della rimozione chirurgica dei denti del giudizio è determinato, tra le altre cose, dall'età del paziente, dall'anatomia della radice e dalla tecnica di intervento (1). È molto probabile che gli stessi parametri influenzino anche la procedura di intervento e la cicatrizzazione della ferita nel caso di osteotomie di residui di radice.
Quando i residui di radice sono in prossimità dei nervi e non viene segnalato alcun fastidio, possono essere lasciati in loco, in base a una diagnosi postoperatoria appropriata (3). Poiché nel nostro studio del caso il paziente soffriva di dolore e parestesia, è stato necessario eseguire l'osteotomia del residuo nonostante il rischio di danneggiare nuovamente e verosimilmente in modo più grave i nervi e il tessuto circostante. Se la radix relicta fosse stata lasciata in loco, è probabile che il dolore sarebbe proseguito e che si sarebbero verificate infezioni continue. Inoltre, avrebbero potuto verificarsi processi patologici come formazione di ascessi, osteomielite o cisti dentali.
In base all'anamnesi, il paziente (non fumatore, 26 anni) presentava probabilità molto elevate di un outcome positivo. A causa dell'indicazione della stretta vicinanza del residuo di radice al nervo alveolare inferiore nella radiografia panoramica, è stata utilizzata anche la tomografia volumetrica digitale (6).
La prossimità molto stretta rilevata ha reso necessaria l'esecuzione di un'osteotomia precisa e atraumatica. In questo caso, le osservazioni cliniche e gli studi comparativi favoriscono la piezochirurgia, che è disponibile dalla fine degli anni Novanta (9-11). Grazie alla caratteristica micro-oscillazione di questi sistemi, è possibile rimuovere l'osso in modo selettivo, consentendo così una preparazione invasiva al minimo.
Vantaggi specifici del dispositivo
Con il dispositivo usato qui (Piezomed, W&H), un raffreddamento molto efficace in prossimità dello strumento offre ulteriore sicurezza. Ciò si applica anche all'abilità del dispositivo di identificare lo strumento utilizzato, che garantisce impostazioni di potenza automaticamente corrette. Il dispositivo mostra prestazioni notevolmente elevate e costanti durante le osteotomie, importante nella raccolta di frammenti di osso nello studio del caso. Allo stesso tempo, grazie al design tecnico, il tessuto molle, e pertanto anche il tessuto nervoso, nell'area dell'intervento sono stati preservati. Per esempio, questa speciale caratteristica piezochirurgica consente la preparazione di finestre ossee laterali durante un rialzo del seno mascellare, con unicamente un rischio ridotto di perforazione della membrana di Schneider (13).
Nel nostro esempio, una settimana dopo la rimozione del residuo di radice, il paziente ha segnalato il ritorno della sensibilità nell'area innervata del nervo alveolare inferiore. I controlli post-operatori inoltre hanno mostrato una cicatrizzazione ottima e rapida della ferita e la fine dei sintomi di dolore che si erano protratti per sei mesi. La procedura è stata eseguita completamente senza strumenti rotanti. Nell'esperienza dell'autore, questi non avrebbero facilitato una tecnica operatoria ugualmente atraumatica.
Un altro vantaggio della tecnica piezochirurgica è l'assenza di sanguinamento durante la procedura. Ciò è attribuibile all'effetto di cavitazione: l'ultrasuono a elevata frequenza genera onde d'urto nel liquido di raffreddamento, con conseguente micro-coagulazione (15). Ne risultano una visuale migliore e una procedura più sicura (11). Nel sistema utilizzato, un'illuminazione integrata con sei LED può migliorare la visuale nel sito di intervento.
Ampliamento dello spazio del legamento periodontale e recupero dei frammenti di osso
Utilizzando lo snello strumento piezochirurgico Piezomed P1, è stato possibile ampliare lo spazio del legamento periodontale in preparazione e rimuovere la radice in modo semplice inserendo lo strumento nel canale della radice stessa. La modalità di funzionamento con micro-oscillazioni si è rivelata vantaggiosa anche in questo caso e l'uso flessibile della tecnologia è evidente. Al contrario, gli strumenti rotanti non offrono simili opzioni.
Nei frammenti autogeni di osso, recuperati utilizzando una tecnica piezochirurgica nel caso di studio, le cellule ossee sembrano avere una maggiore possibilità di sopravvivenza rispetto a quando si usa la preparazione con strumenti rotanti (16). Questo è un vantaggio per la cicatrizzazione della ferita. Come è consuetudine presso la Clinica dentistica universitaria di Vienna, per ottimizzare l'igiene e conseguentemente il processo di cicatrizzazione, durante la preparazione non è stata utilizzata aspirazione con filtro osseo.
Conclusioni
Lo studio del caso illustra la funzionalità di conservazione del tessuto e la potenza del sistema Piezomed. Grazie alla precisa modalità di operazione con micro oscillazioni, è inoltre possibile proteggere i nervi durante difficili osteotomie, consentendogli così di rigenerarsi.

Maggiori informazioni
Fotografie: Strbac – UZMK Vienna
Bibliografia
- Akadiri OA, Obiechina AE. Assessment of difficulty in third molar surgery--a systematic review. J Oral Maxillofac Surg 2009;67:771-774.
- Strietzel FP, Reichart P. Wundheilung nach operativer Weisheitszahnentfernung. Evidenzgestützte Analyse (in German). Mund Kiefer Gesichtschir 2002;6.
- Arrigoni J, Lambrecht, JT. Komplikationen bei und nach operativer Weisheitszahnentfernung. Schweiz Monatsschr Zahnmed 2004;114:1271-1279.
- Carmichael FA, McGowan DA. Incidence of nerve damage following third molar removal: a West of Scotland Oral Surgery Research Group study. Br J Oral Maxillofac Surg 1992;30:78-82.
- Valmaseda-Castellon E, Berini-Aytes L, Gay-Escoda C. Inferior alveolar nerve damage after lower third molar surgical extraction: a prospective study of 1117 surgical extractions. Oral Surg Oral Med Oral Pathol Oral Radiol Endod 2001;92:377-383.
- Arbeitsgemeinschaft für Röntgenologie ARö. s2k-Leitlinie dentale digitale Volumentomographie. Version #9, 2013-08-05, http://www.awmf.org/uploads/tx_szleitlinien/083-005l_S2k_Dentale_Volumentomographie_2013-10.pdf, accessed 2016-05-12.
- DGMKG. S2k-Leitlinie: Operative Entfernung von Weisheitszähnen; Version 2012-12-21 (corr. long version 2013-01; http://www.awmf.org/leitlinien/detail/ll/007-003.html accessed 2016-05-12. guideline, 2012.
- Dodson TB, Susarla SM. Impacted wisdom teeth. BMJ clin evid 2010;2010.
- Rothamel D, et al. Piezosurgery - a universal principle for many indications. EDI Journal 2015;64-70.
- Vercellotti T. Essentials in Piezosurgery: Clinical Advantages in Dentistry: Quintessence Publishing, 2009.
- Schlee M, Steigmann M, Bratu E, Garg AK. Piezosurgery: basics and possibilities. Implant dent 2006;15:334-340.
- Vercellotti T. Essentials in Piezosurgery: Clinical Advantages in Dentistry: Quintessence Publishing, 2009.
- Wallace SS, Mazor Z, Froum SJ, Cho SC, Tarnow DP. Schneiderian membrane perforation rate during sinus elevation using piezosurgery: clinical results of 100 consecutive cases. Int J Periodontics Restorative Dent 2007;27:413-419.
- Pereira CC, Gealh WC, Meorin-Nogueira L, Garcia-Junior IR, Okamoto R. Piezosurgery applied to implant dentistry: clinical and biological aspects. J Oral Implantol 2014;40 Spec No:401-408.
- Rahnama M, Czupkallo L, Czajkowski L, Grasza J, Wallner J. The use of piezosurgery as an alternative method of minimally invasive surgery in the authors' experience. Wideochirurgia i inne techniki maloinwazyjne 2013;8:321-326.
- von See C, Rucker M, Kampmann A, Kokemuller H, Bormann KH, Gellrich NC. Comparison of different harvesting methods from the flat and long bones of rats. Br J Oral Maxillofac Surg 2010;48:607-612.
Commenti