Preparazione della sede dell'impianto piezoelettrico
Le protesi fisse su impianti migliorano la masticazione e la qualità della vita.
Preparazione della sede dell'impianto piezoelettrico per una protesi mascellare CAD/CAM
In pazienti edentuli, protesi fisse su impianti migliorano la masticazione e la qualità della vita. A causa del riassorbimento e dell'estesa pneumatizzazione dei seni, una paziente presentava solo una minima altezza dell'osso mascellare posteriore. Le sedi dell'impianto sono state preparate con un dispositivo piezoelettrico e un nuovo set di strumenti dedicati. Sono stati posizionati due impianti da 10 mm e sei da 4 mm per ancorare una protesi dentaria CAD/CAM fissa supportata da barra.
La preparazione delle sedi degli impianti viene tradizionalmente eseguita con strumenti rotanti. I moderni motori per impianto garantiscono un taglio ben controllato a bassa velocità e valori di coppia definiti. Tuttavia, in situazioni anatomiche complesse, ad esempio con volume osseo minimo e uno strato sottile di osso corticale, o quando si prepara vicino alla membrana di Schneider, la preparazione rotante consente solo una limitata sensibilità dell'operatore. Inoltre, con strumenti rotanti, è difficile correggere l'asse iniziale di una sede di impianto.
Al contrario, la preparazione con dispositivi piezoelettrici si è dimostrata particolarmente delicata sui tessuti duri e molli (1). Ciò consente la preparazione con una sensazione tattile superiore e una pressione minima, per il massimo controllo delle procedure chirurgiche (2). La preparazione della sede di impianto ultrasonica è stata raccomandata per situazioni in cui ossa e tessuti molli delicati sono in pericolo, ad esempio nel contesto di rialzo del seno mascellare interno (3). Dopo la preparazione piezoelettrica è stato anche identificato un effetto favorevole sull'osteointegrazione, che si traduce in una transizione più precoce da stabilità primaria a secondaria dell'impianto (4). Inoltre, in uno studio multicentrico su oltre 3.500 impianti, la preparazione piezoelettrica si è dimostrata efficace in una vasta gamma di indicazioni (5).
Caso paziente
Una paziente di 41 anni senza particolarità sistemiche aveva perso tutti i denti a causa di parodontite e carie. Fu costretta a usare protesi dentarie muco-supportate in entrambe le mascelle, con grandi difficoltà masticatorie dovute alle protesi che non si adattavano perfettamente alla bocca. La paziente aveva richiesto il posizionamento di impianti per supportare una protesi CAD/CAM fissa ancorata da barra nella mandibola.
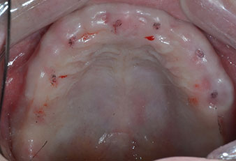
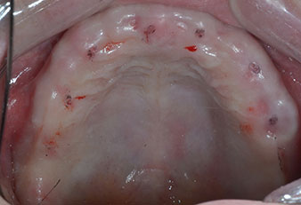
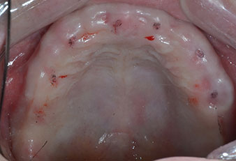
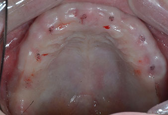
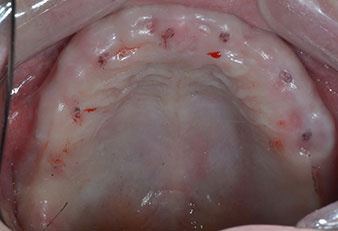
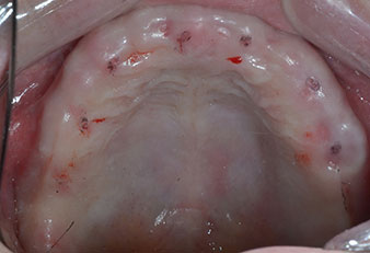
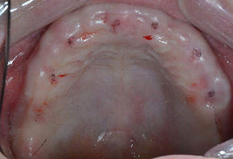
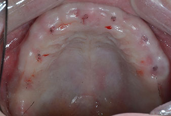
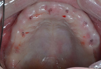
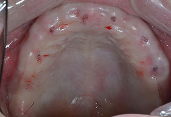
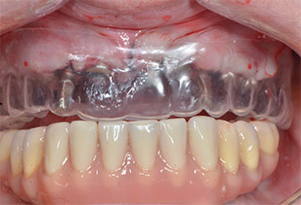
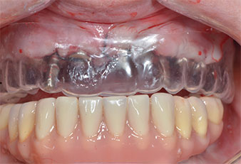
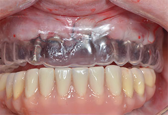
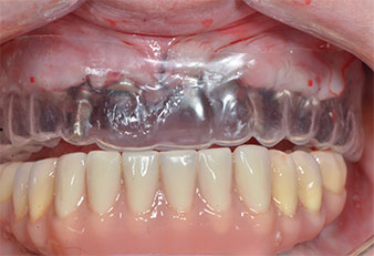
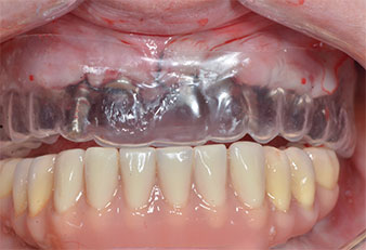
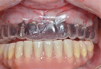
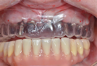
Tre anni dopo era il momento di una protesi dentaria mascellare dello stesso tipo. In base alla pianificazione con CBCT, il rialzo del seno mascellare è stato evitato con l'ausilio di impianti corti e una dima chirurgica è stata utilizzata per trasferire le posizioni pianificate alla cresta alveolare (Figg. 1 e 2).


Uno strumento piezoelettrico (Piezomed I1) a forma di fiamma, rivestito in diamante, è stato usato per contrassegnare le posizioni dell'impianto e per eseguire una preparazione pilota (Fig. 3). Si è prestato attenzione a utilizzare un movimento verticale ascendente e discendente, con potenza ridotta, irrigazione completa e bassa pressione (inferiore a 300 g). Successivamente è stato applicato uno strumento pilota (Piezomed I2A/I2P) per l'ingrandimento iniziale delle sedi dell'impianto del diametro di 2 mm (Fig. 4), seguito da un inserto da 3 mm (Fig. 5).



In caso di osso denso, l'intera sequenza strumentale comprendente gli strumenti intermedi Piezomed Z25P e Z35P deve essere utilizzata per ampliare le osteotomie prima della successiva fase di allargamento.
Essi sono anche indicati per la preparazione vicino alla membrana del seno in relazione a procedure di rialzo interno o quando l'altezza ossea residua è inferiore a 4 mm.
Nel presente caso, gli strumenti Z25P e Z35P non sono stati utilizzati a causa dell'osso posteriore relativamente morbido, che è stato facilmente gestito mediante I3A/I3P.
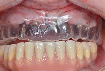
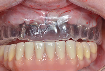
A causa dell'osso relativamente duro (D2) in quest'area, le sedi dell'impianto di 10 mm nelle posizioni 11 e 21 sono state finalizzate con un trapano rotante da 4 mm di diametro, in combinazione con un contrangolo chirurgico W&H WS-75 L, il motore per impianto W&H Implantmed e il modulo opzionale Osstell ISQ di W&H. Al contrario, a causa dell'osso morbido, le sedi posteriori sono state preparate a un diametro finale di 3 mm utilizzando lo strumento Piezomed I3P. Gli impianti sono stati infine posti per via transgengivale sull'osteointegrato per tre mesi (Figg. 6-10). La protesi dentaria esistente è stata mantenuta su quattro impianti provvisori (Fig. 8).





Discussione
È stato dimostrato che la preparazione piezoelettrica migliora l'osteointegrazione (6, 7), il che si traduce in una migliore formazione ossea e una maggiore densità ossea vicino alla superficie dell'impianto (8). Come mostrato in uno studio controllato randomizzato, questo può portare ad un precoce aumento della stabilità secondaria dell'impianto, rispetto alle sedi preparate con strumenti rotanti (4).
Un altro aspetto importante della preparazione piezoelettrica è l'eccellente sensibilità dell'operatore nei piccoli volumi ossei, come nella paziente in esame. Delicati strati ossei corticali, spesso presenti nelle sedi anteriori, sono più facili da rilevare con i sistemi piezoelettrici, il che porta a una preparazione meno invasiva. Inoltre, il sistema di raffreddamento di Piezomed consente un'irrigazione efficace della sede chirurgica. Ciò evita la produzione di calore, in combinazione con la massima efficacia. Per ultimo, ma non meno importante, la preparazione piezoelettrica è priva di macrovibrazioni, il che rende la procedura più comoda per i pazienti (9).
La procedura di preparazione combinata scelta, con la finalizzazione rotante delle sedi di impianto anteriori in osso duro, si è dimostrata efficace, mentre la preparazione piezoelettrica è stata ottimale per l'osso morbido posteriore con bassa altezza ossea residua.

Professor Dr. Dr. José Luis Calvo Guirado
D.D.S, PhD/Eu, PhD, M.Sc.
Murcia, Spagna
Maggiori informazioni
Riferimenti
- Vercellotti T. Essentials in Piezosurgery: Clinical Advantages in Dentistry: Quintessence Publishing, 2009.
- Schlee M, Steigmann M, Bratu E, Garg AK. Piezosurgery: basics and possibilities. Implant dentistry 2006;15:334-340.
- Pellegrino G, Taraschi V, Vercellotti T, Ben-Nissan B, Marchetti C. Three-Dimensional Implant Positioning with a Piezosurgery Implant Site Preparation Technique and an Intraoral Surgical Navigation System: Case Report. The International journal of oral & maxillofacial implants 2017;32:e163-e165.
- Stacchi C, Vercellotti T, Torelli L, Furlan F, Di Lenarda R. Changes in implant stability using different site preparation techniques: twist drills versus piezosurgery. A single-blinded, randomized, controlled clinical trial. Clinical implant dentistry and related research 2013;15:188-197.
- Vercellotti T, Stacchi C, Russo C, Rebaudi A, Vincenzi G, Pratella U, et al. Ultrasonic implant site preparation using piezosurgery: a multicenter case series study analyzing 3,579 implants with a 1- to 3-year follow-up. The International journal of periodontics & restorative dentistry 2014;34:11-18.
- Chiriac G, Herten M, Schwarz F, Rothamel D, Becker J. Autogenous bone chips: influence of a new piezoelectric device (Piezosurgery) on chip morphology, cell viability and differentiation. J Clin Periodontol 2005;32:994-999.
- Preti G, Martinasso G, Peirone B, Navone R, Manzella C, Muzio G, et al. Cytokines and growth factors involved in the osseointegration of oral titanium implants positioned using piezoelectric bone surgery versus a drill technique: a pilot study in minipigs. J Periodontol 2007;78:716-722.
- Di Alberti L, Donnini F, Di Alberti C, Camerino M. A comparative study of bone densitometry during osseointegration: piezoelectric surgery versus rotary protocols. Quintessence Int 2010;41:639-644.
- Sohn DS, Ahn MR, Lee WH, Yeo DS, Lim SY. Piezoelectric osteotomy for intraoral harvesting of bone blocks. The International journal of periodontics & restorative dentistry 2007;27:127-131.
Commenti