Fumător de 28 de ani cu eroziuni dentare
Introducere
Relația bidirecțională dintre sănătatea orală și cea clinică generală este bine cunoscută. Este insuficient - și se poate spune chiar demodat - să se analizeze exclusiv afecțiunile intraorale. În vederea creerii unui profil de prevenție personalizat pentru pacient, cu specificitate cât mai exactă, este esențial să se efectueze o anamneză detaliată și o examinare minuțioasă a sănătății clinice generale și intraorale, luându-se în considerare ambele în conjuncție. (Fig. 1). (1-3)

Examinarea atentă a parametrilor individuali ai pacientului facilitează crearea unui profil de risc, care să contribuie optim la menținerea sănătății și a calității vieții pacientului. De asemenea, profilul de risc conferă medicului stomatolog un plus de siguranță în timpul elaborării planului de tratament.
Acest studiu de caz reliefează importanța conceptului de prevenție sistematică și individualizată în crearea unui profil de pacient personalizat, precum și în implementarea măsurilor de tratament rezultate.
Istoric clinic
Subiectul următorului studiu de caz este un pacient în vârstă de 28 de ani. Potrivit propriilor declarații, pacientul a fost un atlet de performanță în prima parte a vieții. Acesta afirmă că obișnuia să bea până la 3-4 litri de băuturi izotonice pe parcursul unei zile. În ultimul an nu a mai făcut acest lucru, însă. În schimb, acum bea apă și ceai negru.
Istoricul clinic general nu a evidențiat afecțiuni subiacente. Pacientul raportează că suferă de rinită alergică primăvara, pentru care ia antihistaminice, ocazional, la nevoie. Pacientul nu prezintă astm. Cu toate acestea, a fumat până la 10 țigări pe zi în ultimii opt ani.
Pacientul se spală pe dinți de două ori pe zi cu o periuță de dinți electrică și utilizează periuțe interdentare o dată pe zi. Acesta acordă o importanță deosebită sănătăți dentare. În prezent, efectuează controale stomatologice de prevenție și vine în cabinet de trei ori pe an.



Observații la nivel intra- și extraoral
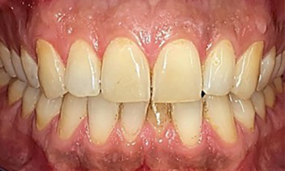
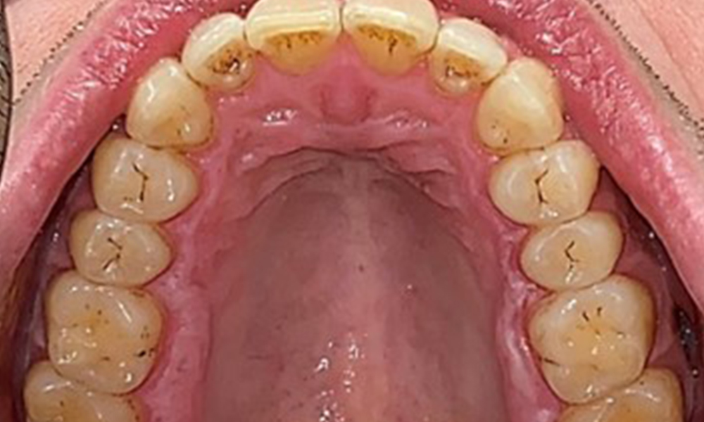
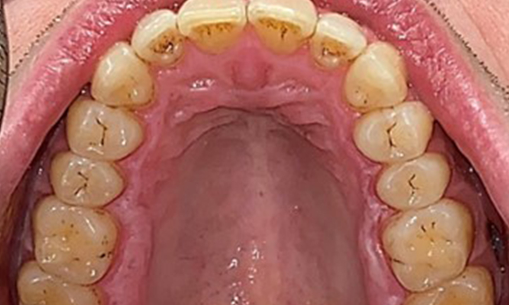
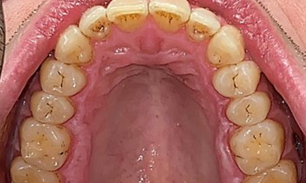
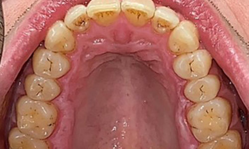
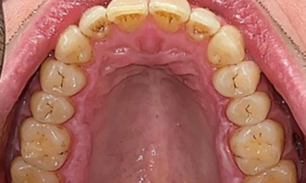
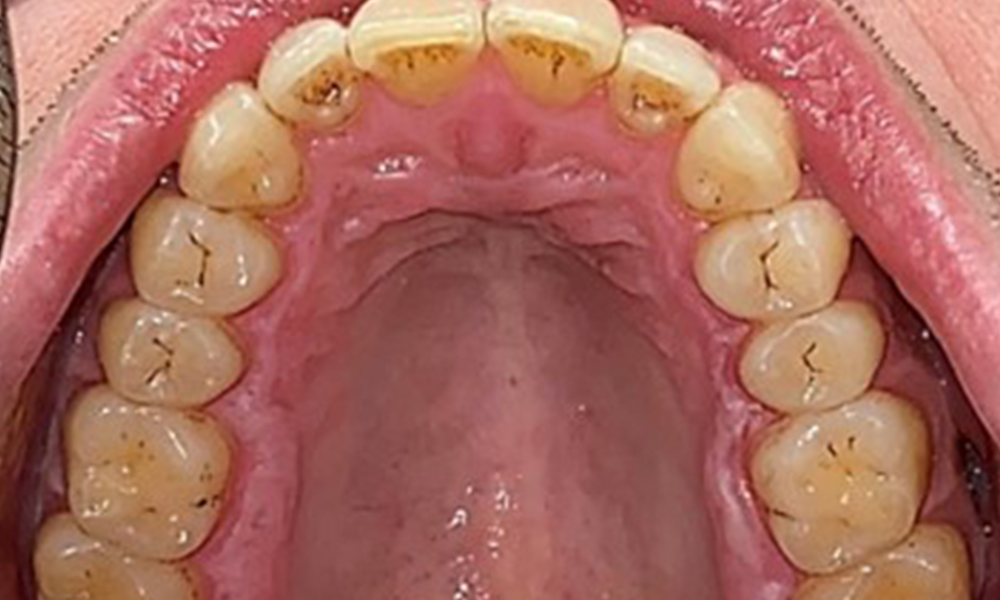
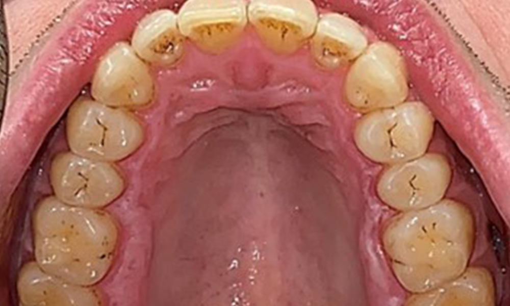
Nu au existat constatări patologice extraorale. În timpul examinării intraorale, în zona frontală, se observă o discolorație maronie în apropierea gingiei keratinizate, precum și la nivelul trecerii la mucoasa mobilă (fig. 2), putând fi atribuite consumului de nicotină. S-au remarcat leziuni albicioase ale mucoasei palatine, îndeosebi în apropierea suprafețelor palatinale ale molarilor maxilari, ceea ce indică o keratinizare crescută, care poate fi atribuită, de asemenea, consumului de nicotină. Limba a fost acoperită cu un strat alb și maroniu amovibil.
Observații la nivel dentar
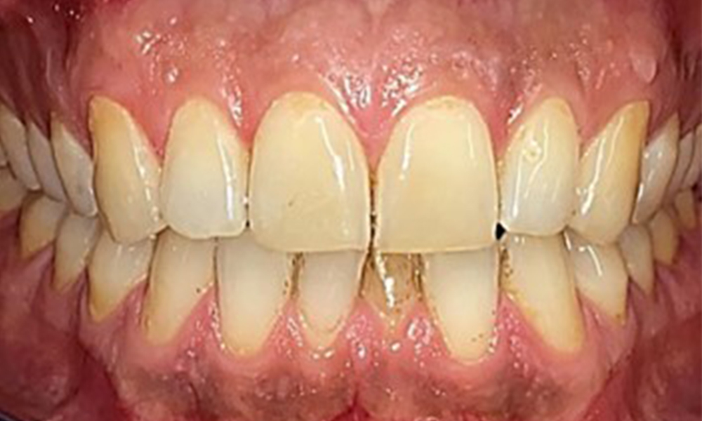
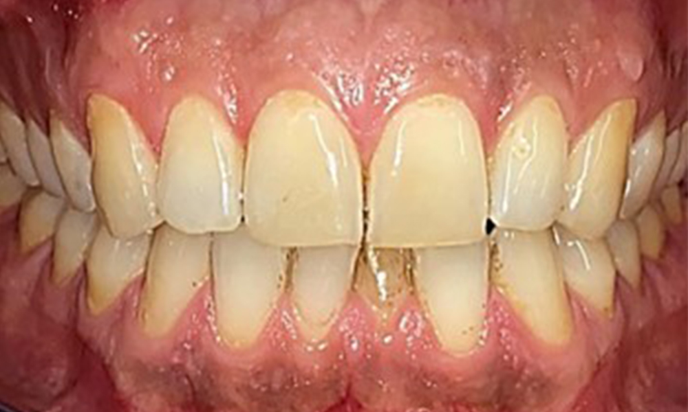
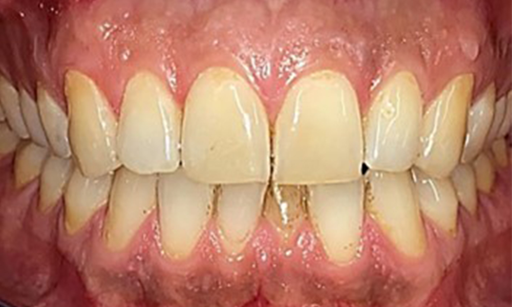
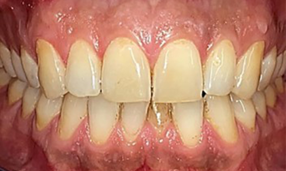
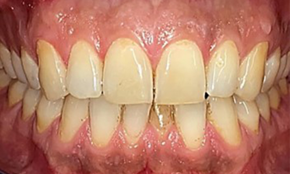
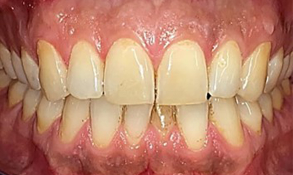
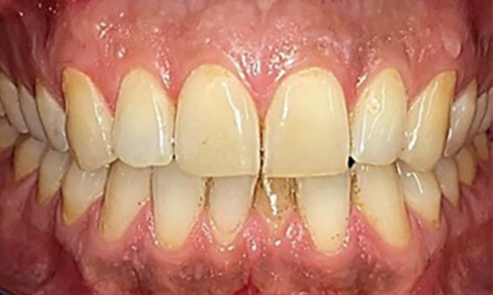
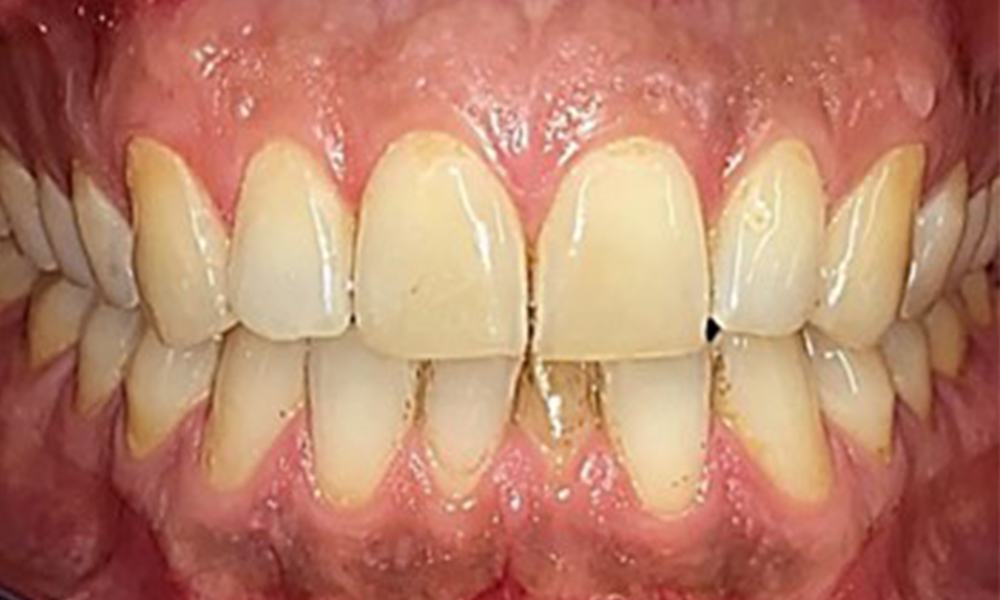
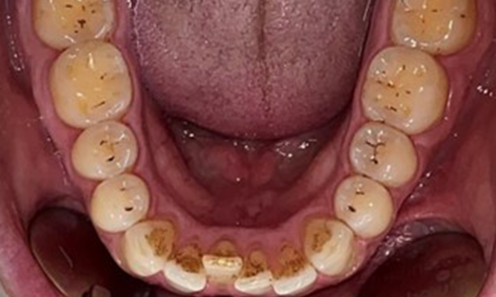
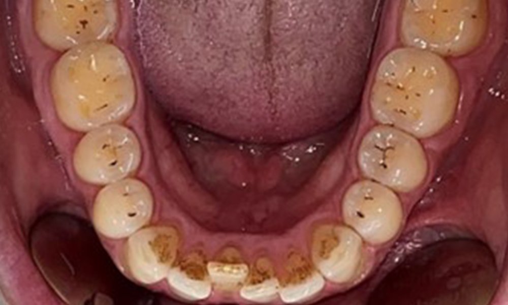
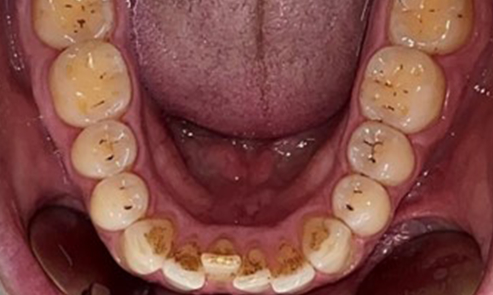
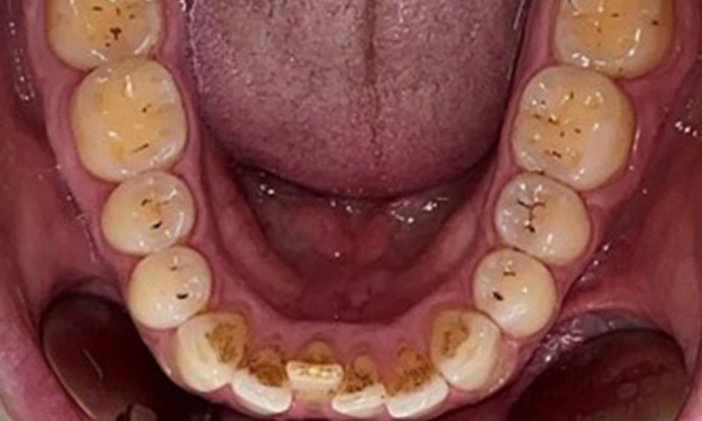
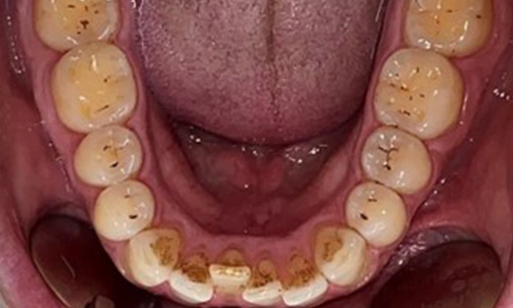
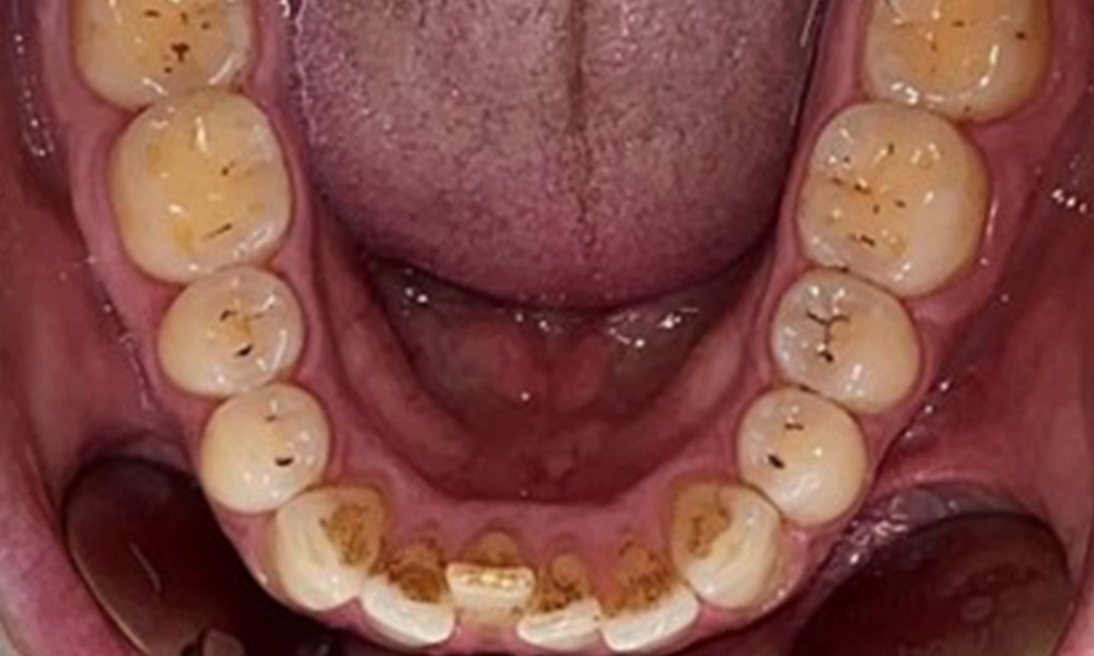
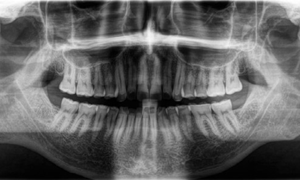
Pacientul prezintă o dentiție completă, cu 28 de dinți. Se remarcă eroziuni și atriții. (Fig. 4, Fig. 5). Datorită bruxismului, timp de mulți ani, pacientul a purtat gutieră pe timp de noapte. Eroziunile sunt cauzate de consumul prelungit de băuturi izotonice. Nu au fost observate pierderi osoase de natură parodontală sau carii active.
Observații sub aspect parodontal
Adâncimile clinice de sondare se situau în intervalul 1-3mm, în limitele fiziologice. S-au observat recesiuni maxilare de până la 1 mm, de la 13 la 16 și de la 23 la 27. BOP a fost de 15 %.

Aspecte radiologice
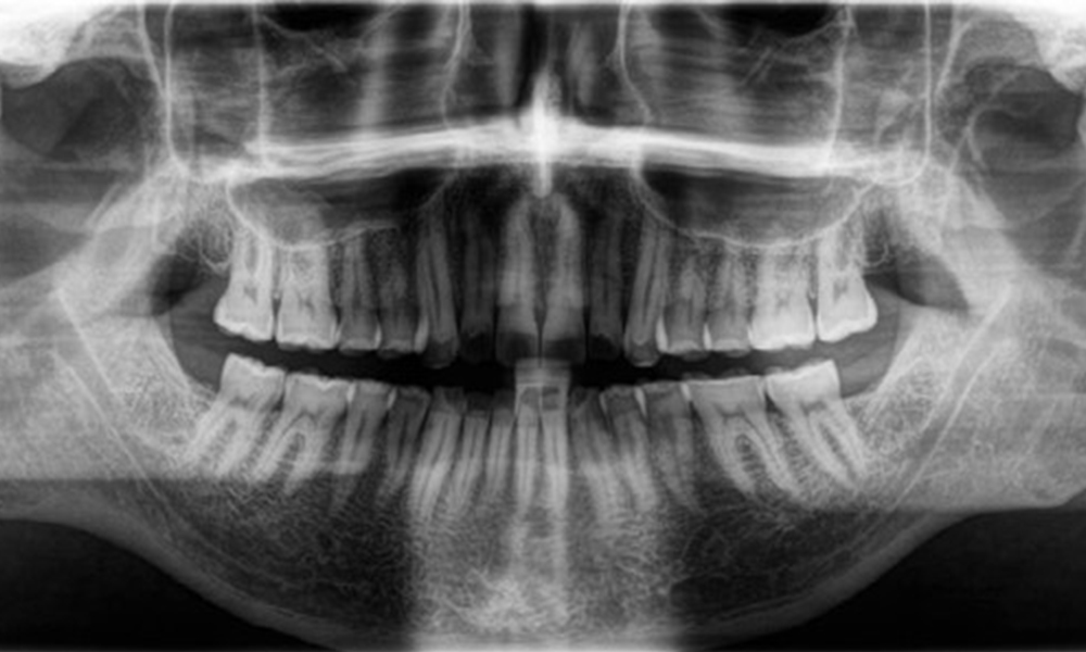
Se observă o dentiție adultă completă, fără carii sau pierderi osoase vizibile radiologic (Fig. 6). Pierderi cuspidale și de smalț evidente radiologic, cu precădere pe 36 și 37.

Analiza cazului în baza conceptului de prevenție individuală
Este esențial să se evalueze profilul de risc individual al pacientului înainte de tratament. Profilul pacientului derivă din istoricul clinic general și starea de sănătate intraorală.
În baza istoricului medical general, riscul complicațiilor în timpul tratamentului este clasificat ca fiind scăzut, atât pentru pacient, cât și pentru medicul stomatolog. Riscul de boli intraorale este clasificat, în prezent, ca fiind moderat, ca urmare a faptului că pacientul fumează până la 10 țigări pe zi. Fumatul este asociat cu un risc crescut de parodontoză (4) și de dezvoltare a tumorilor canceroase.
Din punctul de vedere al sănătății orale, riscul de progresie a bolii, de deteriorare a sănătății intraorale sau potențialul de agravare a bolii parodontale sunt clasificate drept moderate. Fumatul constituie, de asemenea, un factor decisiv în această privință. Buna igienă orală la domiciliu, asociată cu vizitele periodice și consecvente în cabinetul stomatologic, dar și un efort motivațional susținut, s-au dovedit a fi esențiale pentru menținerea stării de sănătate orală actuale, care poate fi considerată una favorabilă.
Recomandări de tratament pe baza conceptului de prevenție individuală

Având în vedere statutul de fumător, în prezent, pacientul prezintă un risc moderat de boli orale. De asemenea, prognosticul de risc moderat se păstrează și pentru viitorul previzibil.
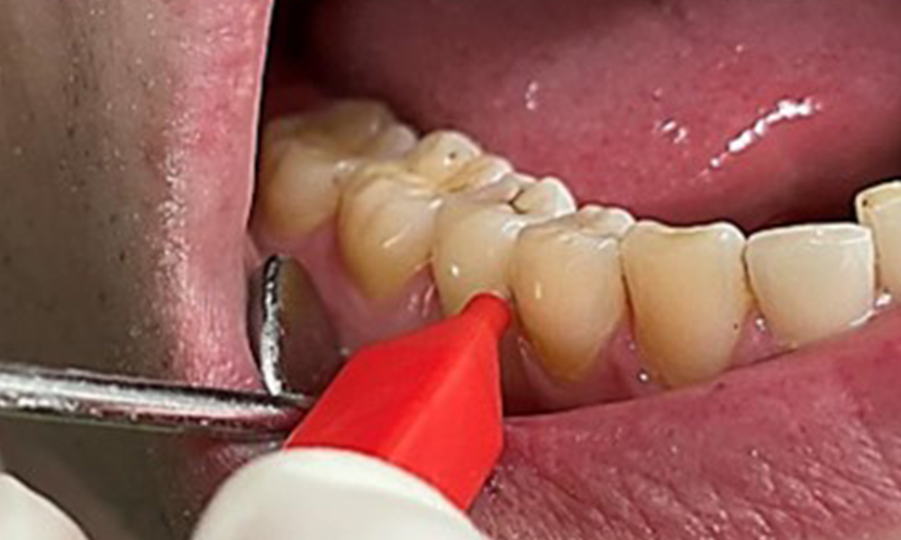
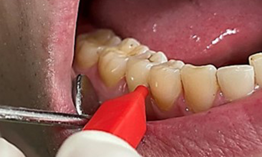
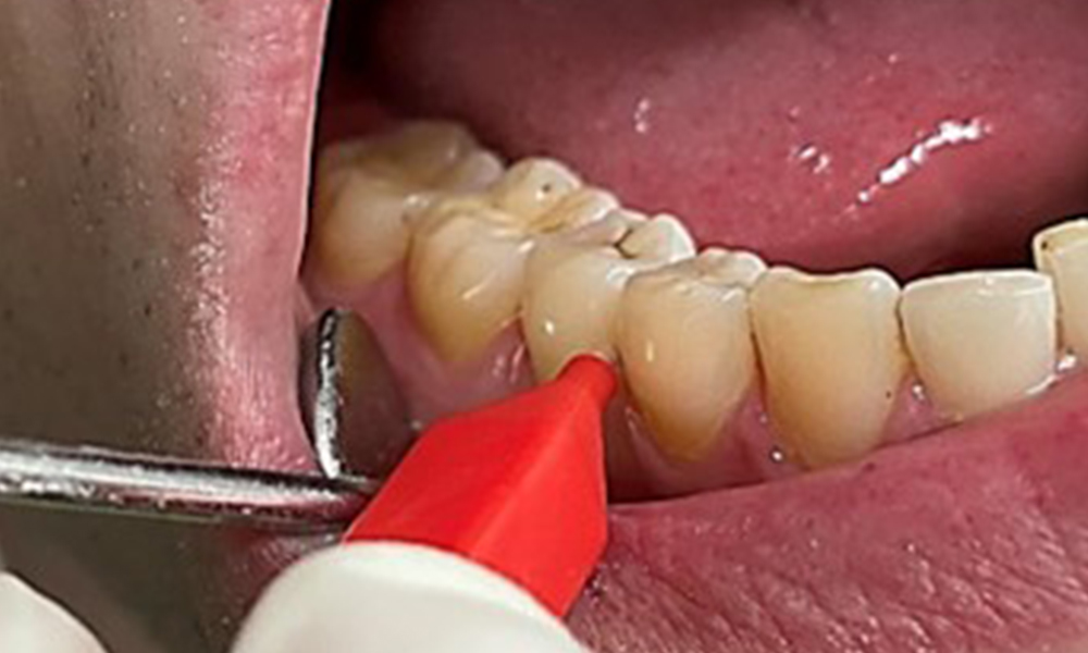
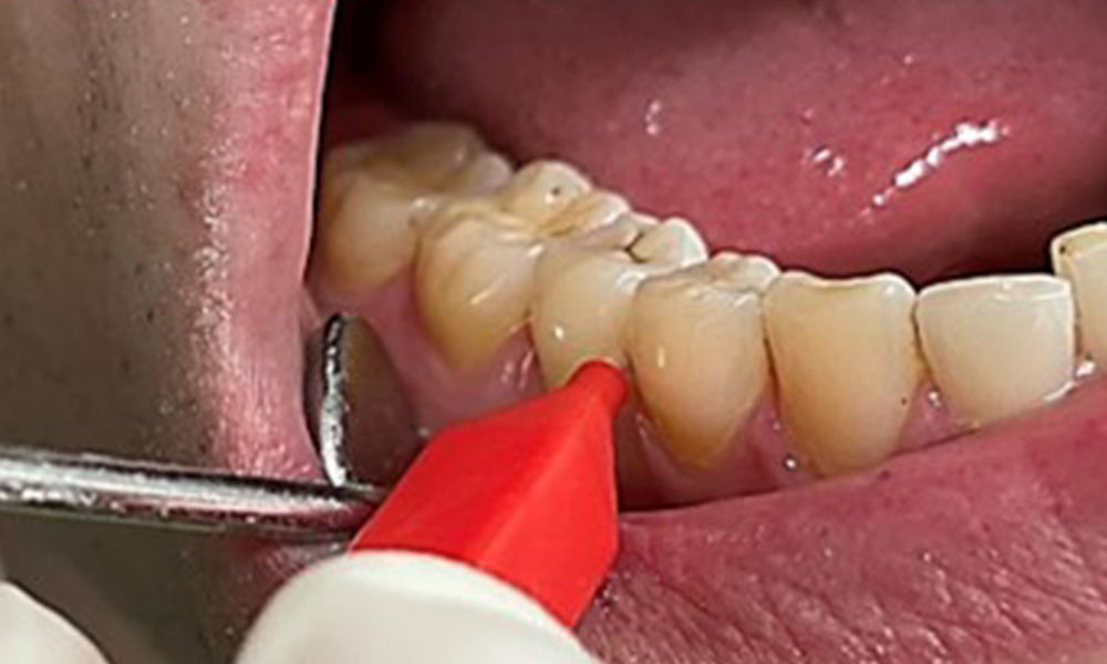
În contextul stării clinice generale favorabile, necesarul de măsuri individuale, ce urmează a fi determinat în cursul examinării intraorale, va avea un rol deosebit de important în planul de tratament. Va fi esențială determinarea periodică a profunzimilor de sondare. Sângerarea gingivală se diminuează la fumători, motiv pentru care diagnosticul clinic de parodontoză nu poate fi pus decât prin sondare (fig. 7). Punerea accentului exclusiv pe determinarea indicilor de sângerare poate masca prezența bolii parodontale și/sau a gingivitei existente. (5)

Situația parodontală necesită examinare amănunțită o dată pe an. Iar detectarea plăcii bacteriene cu ajutorul unui indicator de placă cromatic poate constitui un factor motivant. Analiza minuțioasă și în conjucție a tuturor rezultatelor examinărilor orale, a suprafețelor bucale și mucoasei linguale este deosebit de importantă la fumători, întrucât aceasta va facilita depistarea timpurie a oricăror modificări morfopatologice (6).
Documentarea fotografică face posibilă evaluarea evoluției în timp a potențialelor leziuni patologice ale mucoasei. Poate fi necesară îndrumarea către un specialist, în vederea obținerii și testării probelor de țesut. Examinările imagistice vin, de asemenea, în sprijinul discuțiilor motivaționale cu pacientul. Acestea, și ele, vor permite evidențierea cu mai multă ușurință a progreselor realizate pe parcursul ședințelor ulterioare de prevenție și/sau tratament.

Oferirea de sfaturi cu caracter de instruire, precum și încercările de creștere a motivației pacientului sunt componente importante ale acestor întâlniri în cabinet. De asemenea, buna înțelegere a igienei orale și o conduită adecvată la domiciliu sunt aspecte esențiale pentru pacienți. Acumularea de placă dentară este evidentă în special în zonele cervicale (fig. 8).

Acestea aspecte trebuie discutate în detaliu cu pacientul și în vederea eventualei necesități de îmbunătățire a tehnicii de spălare a dinților. Prezența eroziunilor și a atrițiilor indică recomandarea de utilizare a unei periuțe de dinți cu peri moi, pentru igiena orală la domiciliu.
De asemenea, este necesar să se verifice dacă periuțele interdentare - pe care acest pacient le folosește zilnic - sunt de dimensiune corectă și să se încurajeze utilizarea lor cu consecvență (fig. 9). O bună igienă orală minimizează semnificativ riscul de parodontoză cauzată de fumat.

Pacientul trebuie, de asemenea, încurajat să igienizeze și suprafața limbii, ceea ce va îndepărta petele de nicotină și depunerile bacteriene, putând astfel preveni halitoza ulterioară.
Evident, ar trebui să se acorde o atenție semnificativă și oferirii de sprijin și consiliere motivațională cu privire la schimbarea de conduită, care se dorește a fi înspre abandonarea fumatului.

Starea de sănătate generală bună a pacientului nu impune restricții în privința utilizării instrumentarului în timpul tratamentului. Se poate dovedi necesar, însă, să întrebați pacientul dacă simte că respirația sa este afectată în timpul episoadelor alergice. În cazul de față, poate fi recomandată utilizarea unui sistem air-flow.
Obiectivul planului trebuie sp fie controlul riscului de boală, prin îndepărtarea biofilmului sub- și supragingival. Instrumentarul va fi ales în funcție de particularitățile pacientului. În primul rând, tartrul și eventualele concrețiuni vor fi înlăturate cu ajutorul pieselor cu ultrasunete și/sau manuale (Fig. 10).

Discolorările datorate consumului de nicotină și ceai pot fi îndepărtate cu ușurință cu ajutorul unui echipament air-flow (Fig. 11).

Pentru a preveni riscul apariției emfizemului, este esențial ca, atunci când se utilizează o pudră mai abrazivă, să se intervină din direcția cervicală spre nivelul coronar, cu grijă să se evite îndreptarea vârfului de pulverizare înspre gingie. De asemenea, o bună aspirație pe partea contralaterală este absolut necesară în vederea reducerii formării de aerosoli (fig. 12).

Biofilmul suplimentar poate fi îndepărtat cu ajutorul pudrelor cu glicină, mai slab abrazive. De reținut este că, după utilizarea unei pudre mai abrazive, este necesară și o etapă de finisare-lustruire (fig. 13).
Utilizarea unor paste de lustruire adecvate, cu conținut variat de ingrediente și cu valori RDA blânde corespunzătoare, va asigura netezirea și sigilarea eventualelor zone neuniforme de pe suprafața dintelui, fără a îndepărta extensiv substanța dentară.
De asemenea, acestea vor diminua nișele de colonizare, naturale și artificiale, în care poate avea loc readeziunea bacteriană (7). Ingredientele din compoziția acestor paste de lustruit pot sprijini, de asemenea, tratamentul: fluorurile, compușii de zinc sau uleiurile esențiale, care contribuie la reducerea hipersensibilității, halitozei și la profilaxia cariilor.

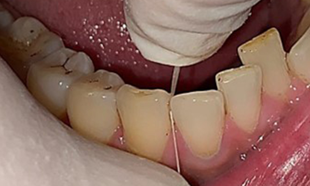
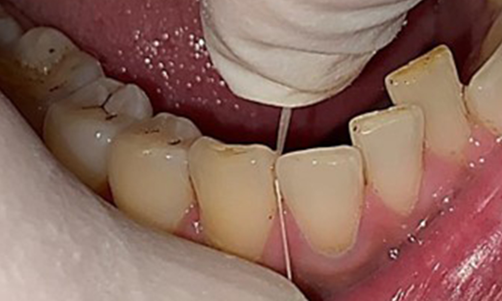
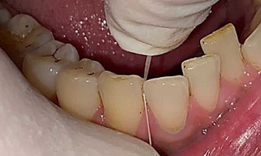
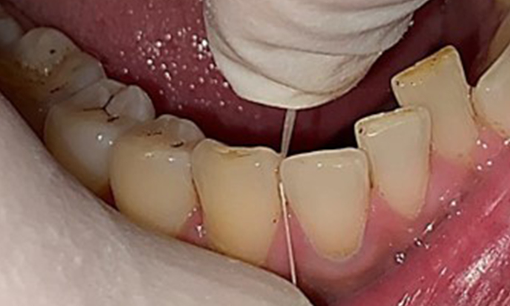
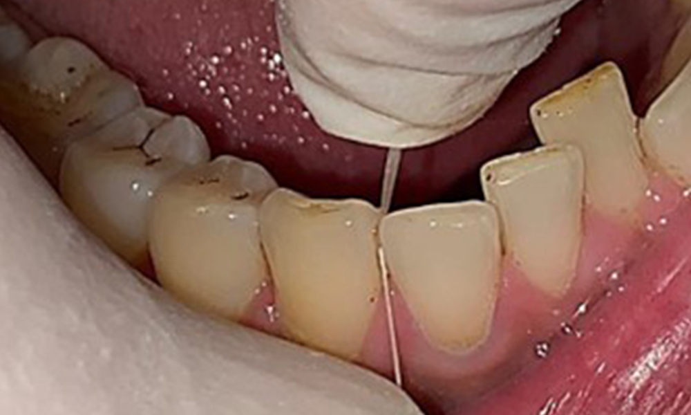
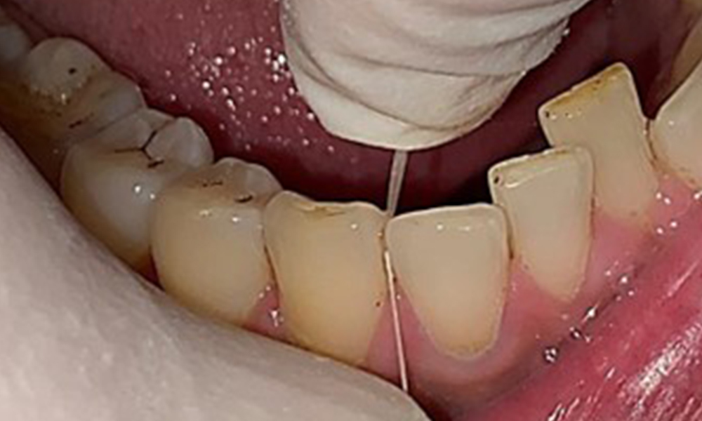
În timpul ședinței stomatologice, este indicată curățarea interdentară cu periuțe adecvate sau cu ață dentară, în scopul înlăturării biofilmului la nivel interdentar (fig. 14).

Este, de asemenea, necesară curățarea limbii, în scopul îndepărtării peliculei bacteriene prezente, precum și a petelor rezultate ca urmare a consumului de ceai și nicotină (Fig. 15). Se recomandă, în acest sens, folosirea gelurilor pentru limbă. Acestea conțin, de regulă, compuși de zinc și staniu, cu proprietăți antibacteriene.


Fluorizarea suprafețelor radiculare expuse și a zonelor cu eroziuni este o măsură adjuvantă recomandată în scopul prevenirii apariției cariilor. În cazul pacienților cu regiuni cervicale expuse, se recomandă prudență atunci când se optează pentru fluorizare. În mod ideal, medicii stomatologi recomandă o formulă de fluorizare cu valoare neutră a pH-ului.
Etapele ulterioare includ utilizarea continuă a unei paste de dinți cu fluor, pentru igiena intraorală la domiciliu, precum și aplicarea suplimentară a unui gel fluorat. Fluorul favorizează remineralizarea și contribuie la desensibilizarea dentinei expuse.
Se recomandă utilizarea unei paste de dinți slab abrazive, pentru a nu contribui la agravarea degradării smalțului.

Planificarea intervalelor de control se face luând în considerare, conjugat, toți cei trei factori de impact: sănătatea orală, stilul de viață și istoricul clinic general.
Pacientul nostru se încadrează în „profilul de risc 3: obiceiuri legate de stilul de viață”, pe fondul fumatului. Având în vedere consumul de 10 țigări pe zi, în clasificarea riscului de patologie, acesta se situează la limita între risc moderat și risc crescut.
Prin urmare, se recomandă ca pacientul să se prezinte la control la intervale de 2 până la 3 ori pe an. Pe măsura evoluției nevoilor pacientului, acest interval va fi ajustat în așa fel încât să se evite excesul sau inadecvarea tratamentului. Obiectivul este de a preveni pierderea suplimentară a țesutului dentar, dar și de a încuraja pacientul să reducă fumatul și, în mod ideal, să renunțe complet la acesta.
Consilierea corectă este un factor care poate influența semnificativ succesul pe termen lung al eforturilor de menținere a sănătății dentare și intraorale în cazul acestui pacient. Se recomandă ferm și urgent programarea următoarei vizite în cabinetul stomatologic.
Rezumat
- Istoricul medical indică faptul că pacientul prezintă un risc scăzut de complicații, astfel încât, în prezent, nu se impun intervenții terapeutice de întreținere nici pentru pacient, nici pentru medicul stomatolog.
- Riscul de debut de patologie și de posibilă deteriorare a stării intraorale este clasificat ca fiind moderat. Fumatul este un factor determinant în acest sens.
- Constatările obținute în timpul ședinței de tratament vor fi consemnate în fișa pacientului. Astfel, la fiecare vizită, se vor determina indicele de sângerare la sondare (BOP), în scopul evaluării adâncimii pungilor parodontale în stadiile incipiente ale bolii. Acest lucru este deosebit de important în cazul fumătorilor, datorită perfuziei tisulare reduse.
- Se consideră necesar și se va aborda cu prioritate consilierea pacientului în vederea orientării acestuia înspre modificarea obiceiurilor de fumat. Folosirea repetată a afirmațiilor motivaționale, privind igiena orală la domiciliu, este și ea de mare însemnătate, aducând un aport semnificativ în lupta de prevenție a bolii parodontale și a cariilor.
- Se recomandă intervale de tratament de 4 până la 6 luni, datorită riscului moderat de boală intraorală. Îndepărtarea plăcii dentare dure și moi este esențială pentru menținerea stării actuale de sănătate orală. Eventualele pierderi suplimentare de țesut dentar dur vor fi evitate cu orice preț.
Bibliografie
- Schmalz G., Ziebolz D., Individualisierte Prävention-ein patientenorientiertes Präventionskonzept für die zahnärztliche Praxis, ZWR- Das deutsche Zahnärzteblatt 2020;129;147-156
- Schmalz G., Ziebolz D., Individualisierte Prävention-fallorientierte Bedarfsprävention, ZWR- Das deutsche Zahnärzteblatt 2020;129;33-41
- Schmalz G., Ziebolz D., Individualisierte Prävention-Implikation allgemeingesundheitlicher Faktoren, ZWR- Das deutsche Zahnärzteblatt 2019;128;295-304
- Borojevic T. (2012). Smoking and periodontal disease. Materia socio-medica, 24(4), 274–276. https://doi.org/10.5455/msm.2012.24.274-276
- Ardais R, Mário Tde G, Boligon J, Kantorski KZ, Moreira CH. The effect of smoking on bleeding on probing after nonsurgical periodontal therapy: a quasi- experimental study. Braz Oral Res. 2014;28:1-7. doi: 10.1590/1807-3107bor- 2014.vol28.0058.
- 6 Reibel J. Tobacco and oral diseases. Update on the evidence, with recommendations. Medical principles and practice: international journal of the Kuwait University, Health Science Centre, 12 Suppl 1, 22–32. (2003). https://doi.org/10.1159/000069845
- Wang C, Zhao Y, Zheng S, Xue J, Zhou J, Tang Y, et al. Effect of enamel morphology on nanoscale adhesion forces of streptococcal bacteria: An AFM study. Scanning. 2015;37(5):313-21
comentarii