Piese de mână contraunghi la limitele lor: Provocările stomatologiei restaurative moderne
Perspective și observații ale Dr. Wolfgang Tautschnig
Progresul continuu în dezvoltarea materialelor dentare restaurative determină și o creștere a cerințelor față de piesele de mână contraunghi, care trebuie să ofere durabilitate, eficiență și precizie. Dr. Wolfgang Tautschnig, medic stomatolog cu o vastă experiență, originar din Salzburg, a testat Synea Power Edition de la W&H pe parcursul a câteva luni, iar acum ne împărtășește concluziile, ca urmare a utilizării clinice zilnice.
Această piesă de mână specializată a fost utilizată în principal pentru proceduri complexe, cum ar fi tăierea coroanelor și a punților dentare. Prezentul articol nu numai că prezintă avantajele noii piese de mână de mare viteză, dar ilustrează și performanțele sale clinice, cu ajutorul a două cazuri exemplificative.
- Salzburg, Austria

Exigențele tot mai mari privind prelucrarea materialelor moderne
Dezvoltarea continuă a materialelor dentare duce, implicit, la creșterea exigențelor în domeniul stomatologiei restaurative. În ultimele două decenii, zirconiul s-a impus ca unul dintre materialele de referință pentru coroane și punți dentare, datorită durității, durabilității și aspectului estetic remarcabile. Aceste caracteristici îl fac alegerea preferată a pacienților care caută o soluție de înaltă calitate și durabilă.
Totuși, aceste caracteristici ridică provocări semnificative pentru medici, în special atunci când restaurările existente trebuie îndepărtate sau înlocuite. Tipurile mai vechi și mai fragile de zirconiu necesită aplicarea unor tehnici specializate, pentru prevenirea deteriorării instrumentelor și a ineficienței fluxurilor de lucru de tratament. Piesele de mână convenționale își ating adesea limitele, având în vedere că prelucrarea acestor materiale necesită o forță de tăiere ridicată, care poate accelera uzura frezelor și reduce eficiența generală. Având în vedere prevalența crescândă a zirconiului și a altor materiale de înaltă rezistență în cabinetele stomatologice, realizarea unor instrumente și tehnologii specializate este esențială pentru depășirea acestor provocări.
Synea Power Edition: o soluție specializată pentru materiale de înaltă rezistență
Pentru a îndeplini aceste cerințe dificile, W&H propune o soluție durabilă și robustă cu Synea Power Edition. Gama de piese Synea Power Edition combină raportul de transmisie optimizat cu viteza calibrată perfect și cuplul îmbunătățit, toate împreună permițând prelucrarea precisă, chiar și a celor mai dificile materiale. Un sistem de prindere extrem de robust asigură un plus de forță de prindere, minimizând sarcina în timpul prelucrării zirconiului și contribuind la o durată de viață mai lungă a pieselor de mână contraunghi.
Triplul spray a fost și el optimizat, având un debit de apă mai mare, ceea ce reduce stresul termic și îmbunătățește eficiența clătirii, totul pentru o performanță de tăiere și mai bună. Aceste îmbunătățiri tehnice permit o funcționare precisă și eficientă, fără să fie nevoie de presiune excesivă. Designul special protejează piesele de mână obișnuite, care nu sunt făcute să prelucreze materiale cu rezistență înaltă, contribuind astfel la prelungirea duratei lor de viață. Pentru medicii stomatologi, aceasta devine soluția ideală pentru a răspunde cerințelor tot mai complexe și dificile ale stomatologiei restaurative moderne.
Experiențe clinice cu Synea Power Edition
Dr. Wolfgang Tautschnig, un medic stomatolog cu o vastă experiență, originar din Salzburg, a utilizat și evaluat Synea Power Edition timp de câteva luni, într-o serie de scenarii clinice, în special în îndepărtarea coroanelor din zirconiu și prelucrarea aliajelor din metale comune. Într-unul dintre cazuri, o pacientă în vârstă de 81 de ani a solicitat îmbunătățirea aspectului estetic al coroanelor PFM (porțelan fuzionat pe metal) pe care le avea de 40 de ani. Restaurările existente nu mai corespundeau așteptărilor sale, în ceea ce privește aspectul.
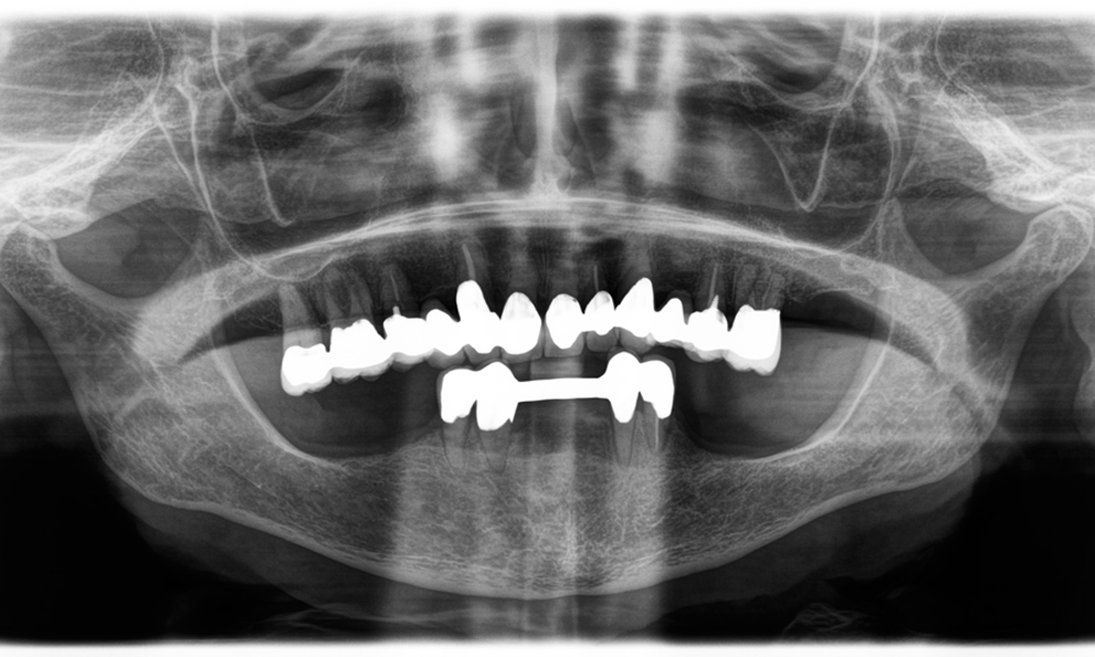
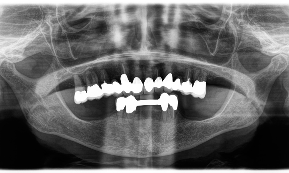
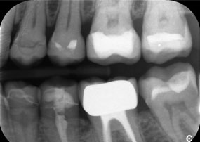
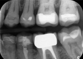
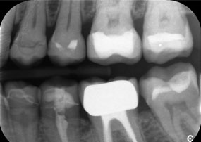
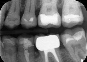
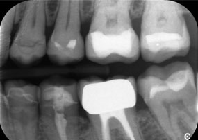
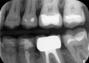
Provocarea consta în îndepărtarea a douăsprezece coroane fixate cu aliaj metalic, fără a deteriora dinții de susținere. Piesa de mână a fost utilizată pentru secționarea foarte precisă a straturilor ceramice și divizarea structurii metalice cu ajutorul unei freze din carbură, permițând astfel îndepărtarea coroanei cu un grad minim de traumatizare. În doar 30 de minute, vechile restaurări au fost îndepărtate, permițând pregătirea noii proteze, cu contur complet din zirconiu în regiunea posterioară și coroane fațetate anterior. Rezultatul a fost o restaurare completă, care a asigurat atât succesul funcțional, cât și cel estetic (vezi Fig. 1).

Un al doilea caz, care evidențiază capabilitățile clinice ale piesei Synea Power Edition, a implicat înlocuirea unei coroane din zirconiu deteriorate, la o pacientă în vârstă de 63 de ani. Pacienta prezenta o fațetă ciobită pe o coroană din zirconiu veche de 20 de ani, pe primul molar (#6). În ciuda localizării posterioare, pacienta considera defectul deranjant și a solicitat o nouă restaurare.
Piesa Power Edition a permis secționarea precisă, cuplul crescut și răcirea îmbunătățită contribuind la îndepărtarea controlată a coroanei, fără pierderi semnificative de material. Sistemul de prindere și cuplul îmbunătățit s-au dovedit esențiale în acest proces.
Dr. Tautschnig
Accent pe durabilitate: o soluție durabilă pentru activitatea clinică de zi cu zi
O preocupare majoră în cadrul multor cabinete, în care se tratează cazuri similare, este uzura ridicată a pieselor de mână contraunghi. În cazul utilizării intensive, modelele convenționale prezintă adesea o durată de viață redusă, ceea ce compromite eficiența și duce la creșterea costurilor de întreținere. Pentru dr. Tautschnig, unul dintre aspectele cele mai convingătoare ale Synea Power Edition este modul în care acestea protejează piesele de mână standard de mare viteză:

Synea Power Edition de la W&H și-a dovedit valoarea în cabinetul meu. Aceste piese de mână sunt eficiente nu doar în prelucrarea coroanelor din zirconiu și metal, ci și prin contribuția lor la prelungirea duratei de exploatare a pieselor de mână standard, fiind dedicate în mod special sarcinilor grele.
Dr. Tautschnig
Avantajele practice reflectă tehnologiile inovatoare din spatele Power Edition: cuplu îmbunătățit, sistem de prindere consolidat și mecanism de răcire optimizat, special conceput pentru a face față provocărilor ridicate de materialele moderne. Pentru stomatologi, aceste piese de mână oferă nu numai o soluție puternică pentru prelucrarea materialelor dificile, ci și un sprijin valoros în reducerea costurilor de exploatare și prelungirea duratei de viață a celorlalte piese de mână din stoc.
Aceasta nu reprezintă doar o soluție durabilă în activitatea clinică de zi cu zi, ci oferă și avantaje economice pe termen lung, prin reducerea costurilor de exploatare și a eforturilor de întreținere. Combinând valoarea clinică cu eficiența din punct de vedere al costurilor, Synea Power EditionSynea Power Edition aduce un avantaj real cabinetelor stomatologice moderne.
Despre Dr. Wolfgang Tautschnig
Dr. Wolfgang Tautschnig practică medicina dentară generală în Salzburg din 2008 și este foarte apreciat în comunitatea stomatologilor din Austria. Pe lângă activitatea sa clinică, din 2021 este președinte al Societății de Chirurgie Dentară, Orală și Maxilo- Facială din Salzburg și este implicat activ în calitate de expert jurat, precum și de responsabil cu asigurarea calității pentru Camera Stomatologilor din Austria. Pasiunea sa pentru stomatologia modernă se reflectă în dezvoltarea sa profesională continuă în domenii precum stomatologia restaurativă, implantologia și stomatologia estetică.
În calitate de Director al Centrului de Urgențe Stomatologice pentru Medicii Privați din Salzburg, joacă un rol cheie în îmbunătățirea serviciilor de urgență stomatologică din regiune. După ce a absolvit studiile de stomatologie la Universitatea de Medicină din Innsbruck și a lucrat ca medic stomatolog rezident la clinica stomatologică a universității, s-a stabilit în Salzburg, unde continuă să-și trateze pacienții. Experiența sa clinică vastă și implicarea activă în domeniu l-au transformat pe Dr. Tautschnig într-un expert recunoscut în regiune.
comentarii