Rapoarte & Studii

Extracția dentară atraumatică

Publicat inițial în Dental Tribune America Latină

Capitolul opt al cărții „Piezochirurgia: principii generale și aplicații clinice” („Cirugía piezoeléctrica. Generalidades y aplicaciones clínicas”) subliniază importanța crescândă a extracțiilor dentare atraumatice. Această tehnică a devenit extrem de importantă, odată cu adoptarea pe scară largă a tratamentelor cu implanturi dentare, care sunt condiționate de pregătirea adecvată a osului alveolar, în vederea restaurării protetice ulterioare.


Autorii prezintă etapele clinice implicate în efectuarea extracției dentare atraumatice, cu ajutorul procedurilor de piezochirurgie. Această tehnică simplifică procedura și oferă rezultate superioare, comparativ cu metodele convenționale.

Extracția dentară este, în general, o procedură chirurgicală uzuală, efectuată în mod obișnuit de majoritatea medicilor stomatologi. Cu toate acestea, odată cu apariția implanturilor dentare, gestionarea cu un plus de meticulozitate a țesuturilor dure și moi în timpul extracției a devenit tot mai necesară.1,2

După extracție, apar modificări dimensionale semnificative în structurile rămase, datorită resorbției osoase crestale, orizontale și verticale. Aceste modificări coincid cu înlocuirea progresivă a alveolei goale cu țesut de granulație, țesut conjunctiv, os provizoriu și, în cele din urmă, os lamelar matur.2,3

Extracția dentară atraumatică facilitează conservarea țesuturilor moi și dure, favorizează o reacție biologică îmbunătățită, în vederea formării osoase, și creează un mediu mai favorabil pentru inserarea imediată a implantului sau conservarea crestei alveolare.

Pierderea osoasă pe orizontală, postextracțional, afectează aproximativ 30% din masa palatină și 10% din cea linguală.3 Conform studiilor, până la 50% din masa osoasă palatinală se poate pierde în primul an.4 Aceste modificări dimensionale corespund unor reduceri cuprinse între 2,6 mm și 4,5 mm în lățime și între 0,4 mm și 3,9 mm în înălțime la nivel crestal.5

Afecțiunile preexistente, cum ar fi osul palatinal subțire (< 1 mm), pot agrava și mai mult această situație, ducând la o pierdere osoasă post-extracție de până la 1,17 mm în înălțime și 2,67 mm în lățime. În schimb, o grosime palatinală mai mare (> 1 mm) prezintă o resorbție semnificativ mai mică, cu pierderi de circa 0,5 mm în înălțime și 1,17 mm în lățime.6 În plus, s-a raportat o resorbție crestală mai mare după extracții multiple, comparativ cu extracțiile monodentare.6

Extracția dentară atraumatică se referă la îndepărtarea delicată a dintelui, cu scopul minimizării traumelor iatrogene asociate, în mod obișnuit, cu metodele convenționale de extracție. Această abordare conservă atât țesuturile moi, cât și cele dure, favorizând o răspuns biologic îmbunătățit în vederea formării osului și umplerii alveolei, reducând riscul de infecție postoperatorie, menținând conturul natural al țesutului gingival, îmbunătățind rezultatul estetic al restaurării finale și oferind un mediu mai favorabil pentru inserarea imediată a implantului sau conservarea crestei alveolare.7

În măsura în care este posibil, extracțiile dentare atraumatice sunt efectuate prin tehnici fără lambou, favorizând astfel regenerarea optimă a osului, prin prevenirea invaginației țesuturilor moi și reducerea recesiunii gingivale postoperatorii. Abordările chirurgicale fără lambou au fost introduse datorită avantajelor biologice potențiale, cum sunt vindecarea accelerată și, cel mai important, reducerea resorbției osoase asociate cu pierderea perfuziei gingivale, atunci când țesuturile moi sunt detașate de osul subiacent.9

Există numeroase rapoarte concordante, care susțin că integritatea plăcii osoase palatinale este un factor determinant pentru obținerea unui rezultat estetic favorabil, în special în regiunea anterioară. 7,10-12

Tehnicile tradiționale de extracție îndepărtează dintele utilizând mișcări de rotație și tracțiune puternice, provocând astfel sfâșierea fibrelor Sharpey din fasciculul osos. Această rupere agresivă a ligamentului parodontal și a fibrelor asociate are ca rezultat un traumatism necontrolat în alveola, ducând la o colapsare mai pronunțată a rețelei vasculare și la resorbția ulterioară în zona afectată.13 În schimb, tehnica piezoelectrică atraumatică permite poziționarea precisă a anselor la nivelul sulcusului gingival. Aceste instrumente avansează între suprafața rădăcinii și pereții alveolei până la o adâncime de 10 mm, facilitând secționarea selectivă doar a fibrelor aflate în zona apicală. Această abordare permite extracția delicată și conservarea zonei crestale, reducând astfel semnificativ riscul de resorbție osoasă.14

Pe lângă avantajele bine documentate privind realizarea de incizii precise, piezochirurgia îmbunătățește vizibilitatea medicului, mai ales atunci când se lucrează în apropierea structurilor anatomice importante (cum sunt fasciculele vasculare sau neuronale) și/sau a dinților adiacenți care prezintă compromiterea osului proximal.15 Îmbunătățirea controlului contribuie la prevenirea complicațiilor iatrogene.
16,17În plus, această tehnică necesită presiune minimă, reducând astfel generarea de căldură la locul intervenției chirurgicale.18 Îndepărtarea osului din jurul dintelui este minim invazivă și multidirecțională, un avantaj distinct față de tehnicile convenționale, care necesită aplicarea unor forțe variabile și unidirecționale.11

Pentru planificarea unei extracții atraumatice, este esențial să se ia în considerare criteriile anatomice cheie, cum sunt lungimea radiculară, numărul de rădăcini și complexitatea morfologică a acestora, precum și prezența resturilor coronare, tratamentele endodontice anterioare sau anchiloza. În astfel de cazuri, este important să se sublinieze faptul că aparatele piezoelectrice oferă o gamă largă de moduri de inserții, care pot fi selectate pentru a se potrivi morfologiei specifice și configurației în spațiu a structurii radiculare.14


Aplicații clinice

Figura 1: Rest de dinte cu o singură rădăcină, cu distrucție coronară extinsă și fractură subcrestală.
Figura 2: Incizie intrasulculară în jurul întregului dinte.
Figura 3: Proiectarea odontosecțiunii mesiodistale folosind, fie o ansă de tăiere, fie o freză de tăiere cu mandrină lungă.
Figura 4: Inițierea odontosecționării cu ajutorul unei anse rotative.
Figura 5: Finalizarea odontosecționării cu ajutorul unei anse piezoelectrice (B1 de la W&H).
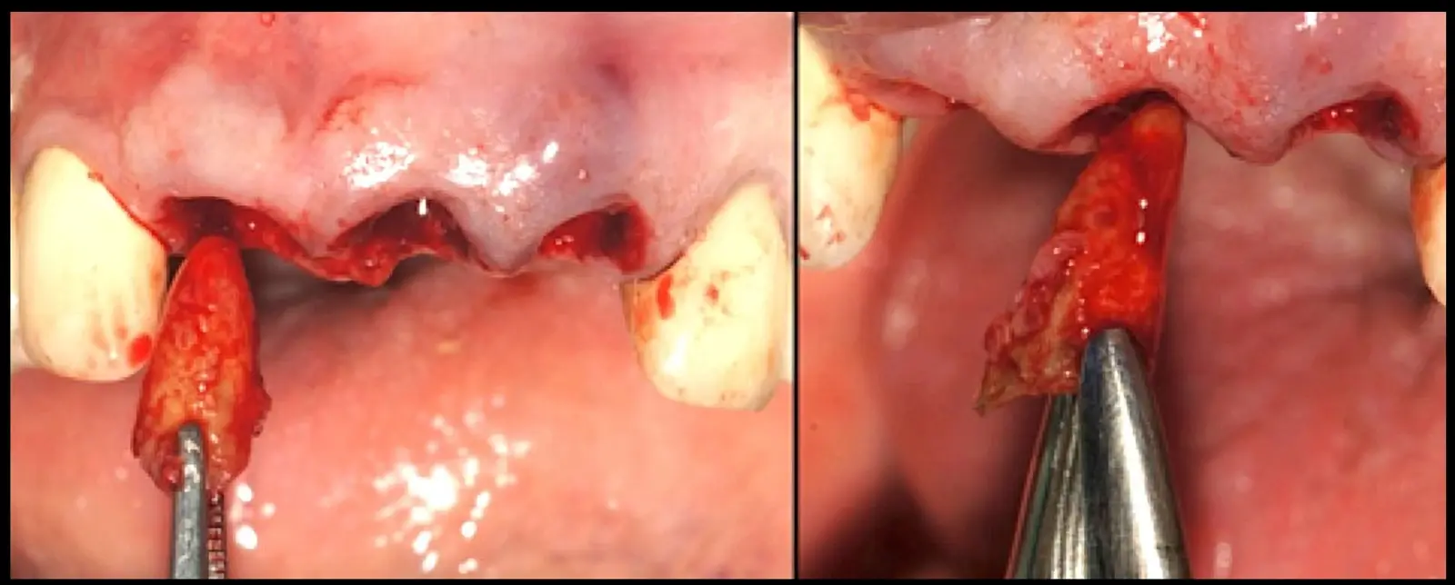
Figura 6: Fracturarea restului radicular în două segmente: vestibular și palatal.
Figura 7: Debridarea fragmentului palatal realizată cu periotomul piezoelectric (EX1 de la W&H). Acest fragment este vizat în mod specific datorită grosimii tipic mai mari a plăcii osoase palatine.
Figura 8: Dislocarea fragmentului palatal.
Figura 9: Avulsia fragmentului palatal
Figura 10: Debridarea fragmentului radicular vestibular. Dacă imaginile tomografice arată că acesta este foarte subțire, se recomandă evitarea utilizării periotomului sau a instrumentelor de tăiere direct pe fața vestibulară; în schimb, accesul trebuie realizat prin marginile interne ale rădăcinii adiacente.
Figura 11: Dislocarea fragmentului vestibular în partea palatală a alveolei.

După finalizarea extracției dentare atraumatice, se va efectua fie conservarea crestei alveolare, fie inserarea imediată a implantului cu regenerare concomitentă, în conformitate cu indicațiile fiecărui caz în parte.

Figura 12: Finalizarea extracției dentare atraumatice cu conservarea plăcilor osoase și a crestei alveolare.

Caz clinic

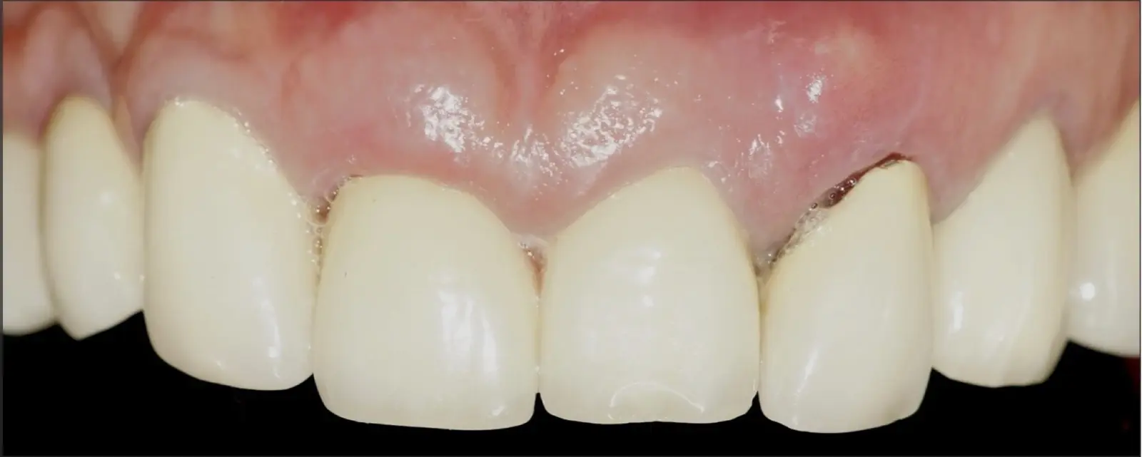
Un pacient în vârstă de 68 de ani s-a prezentat cu mobilitate la nivelul dinților 1.1, 2.1 și 2.2, după un traumatism localizat. Examenul clinic a relevat fracturi radiculare și restaurări pe implanturi la dinți adiacenți. Imaginile CBCT au confirmat constatările clinice referitoare la incisivi, fiind indicată, în consecință, extracția atraumatică. Pe baza dimensiunilor structurilor osoase apicale și palatine rămase, care ofereau o stabilitate primară previzibilă, s-a putut planifica implantarea dentară post-extracție, însoțită de regenerarea osoasă simultană.

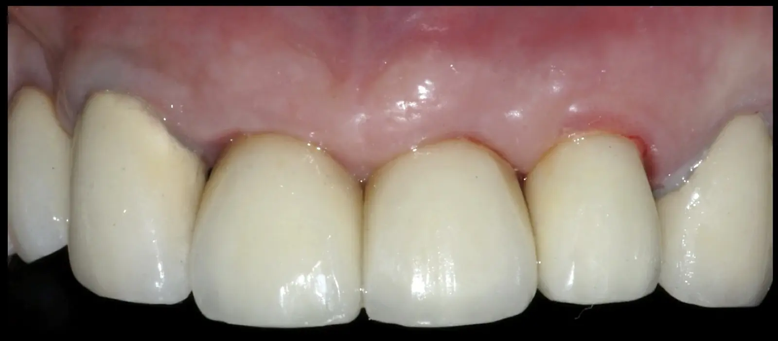
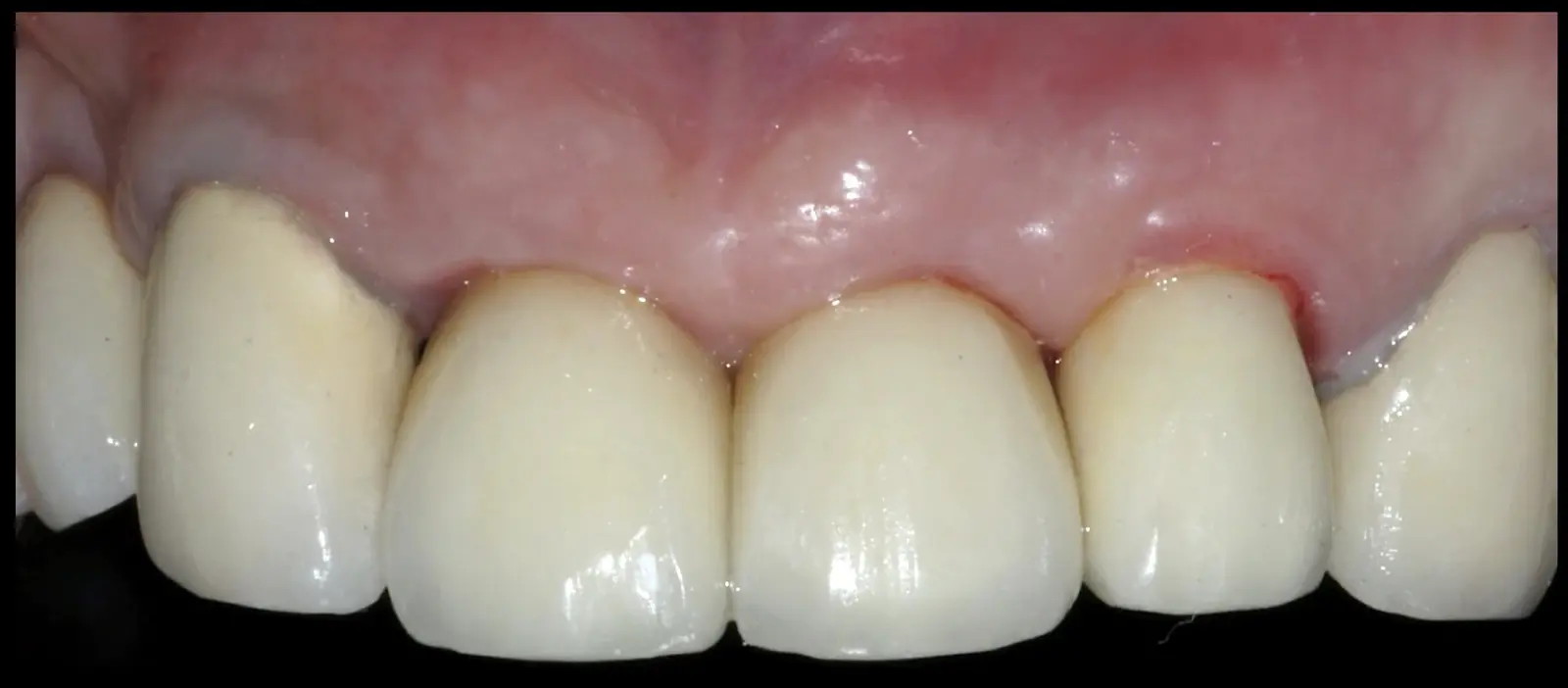
Figura 13: Vedere frontală a dinților 1.1, 2.1 și 2.2, care indică diagnosticul de fractură radiculară. Se observă dizarmonia conturului gingival, modificarea planului incizal, cantitatea de gingie keratinizată favorabilă și un biotip aparent gros.
Figura 14: Vedere ocluzală: demonstrând conturul gingival conservat.
Figura 15: Secțiuni tomografice sagitale ale dinților 1.1, 2.1 și 2.2, care evidențiază plăci osoase palatinale foarte subțiri, cu grosimi mai mici de 0,2 mm (a, c).
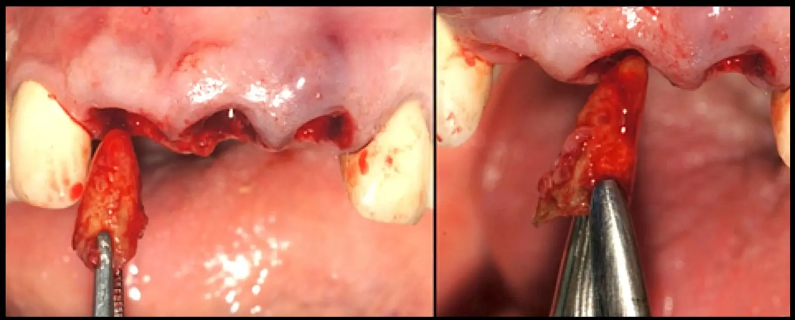
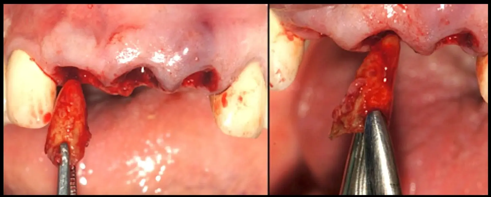
Figura 16: Hemisecțiune inițială mesiodistală a rădăcinii, la o adâncime de aproximativ 10 mm în dinții 1.1, 2.1 și 2.2, folosind o ansă piezoelectrică plată (B6 de la W&H), având grijă să se evite deteriorarea crestelor osoase proximale (a, b, c).
Figura 17: Vedere ocluzală a inciziilor meziodistale ale resturilor radiculare.
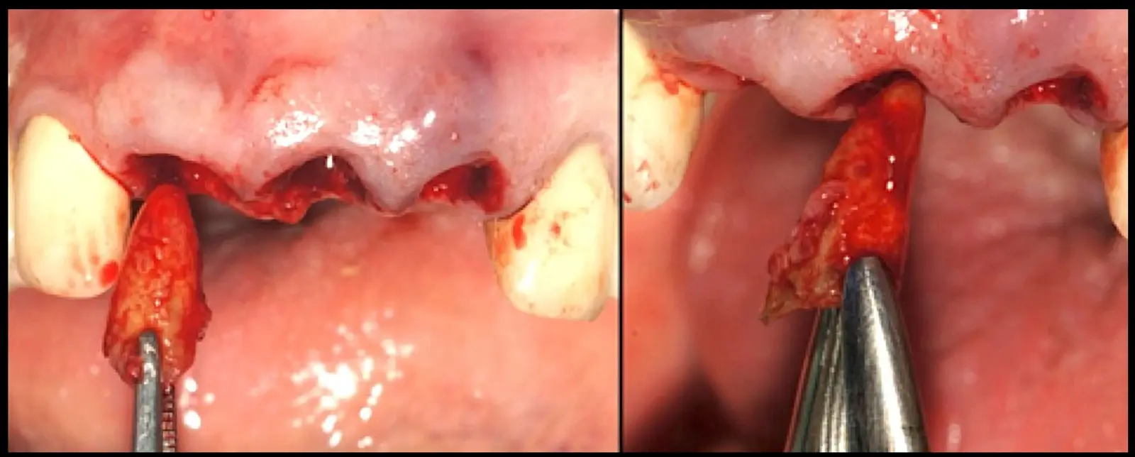
Figura 18: Sindesmotomie cu ajutorul periotomului piezoelectric (EX1 de la W&H) (a), poziționat în spațiul ligamentar parodontal la nivelul fragmentelor palatine (b).
Figura 19: Extracția fragmentelor palatinale ale dinților 1.1, 2.1 și 2.2 din cauza grosimii mai mari a plăcii osoase palatinale (a, b, c).
Figura 20: Extracția fragmentelor vestibulare prin deplasarea resturilor în spațiile create, prin îndepărtarea fragmentelor palatine (a, b).
Figura 21. Alveole post-extracție ale dinților 1.1, 2.1 și 2.2, care demonstrează absența plăcilor osoase palatinale.
Figura 22: După pregătirea alveolelor pentru implanturi, s-au introdus pivoți de paralelism pentru a ocluziona zonele pregătite, facilitând astfel plasarea materialului de grefă osoasă. Ulterior, s-au poziționat membrane resorbabile în alveole folosind tehnica conului (a, b).
Figura 23: Plasarea biomaterialului osos bovin în spațiul delimitat de pivotul de paralelism și membrană. Este de remarcat faptul că un spațiu rezidual mai mare corelează cu o placă osoasă palatinală nou formată mai groasă.
Figura 24: Vedere ocluzală a alveolelor umplute cu biomaterial compactat.
Figura 25: Îndepărtarea pivoților de paralelism și plasarea implanturilor nanotehnologice cu diametrul de 3,5 mm × lungimea de 11,5 mm (Unitite, S.I.N., Brazilia), poziționate subcrestal, menținând o distanță de 3 mm între platforme, pentru a păstra integritatea crestelor osoase și a papilelor interdentare.
Figura 26: Vedere ocluzală asupra implanturilor inserate și compactarea materialului de grefă osoasă în jurul implanturilor.
Figura 27: Închidere primară realizată prin rotirea unui lambou palatal pediculat către latura vestibulară și suturare cu fire de acid poliglicolic 4/0, combinată cu cicatrizarea secundară a zonei denudate, păstrând integritatea papilelor gingivale.
Figura 28: Vedere frontală postoperatorie cu proteză provizorie detașabilă (a). Controlul la șapte zile arată o vindecare favorabilă atribuită punților ovate provizorii, conservarea contururilor papilare și răspunsul general pozitiv al țesutului (b).
Figura 29: Abutmenturi universale plasate în a patra lună a perioadei de osteointegrare (a). Se observă, de asemenea, conservarea înălțimilor papilare. Vedere ocluzală, care arată sănătatea țesutului periimplantar, cu crearea unor profile de emergență adecvate și conservarea conturului crestei alveolare (b).
Figura 30: Măsurarea stabilității implantului folosind analiza frecvenței de rezonanță. Valorile ISQ au variat între 55 și 57, indicând necesitatea unei mineralizări suplimentare a matricii osoase periimplantare (a, b).
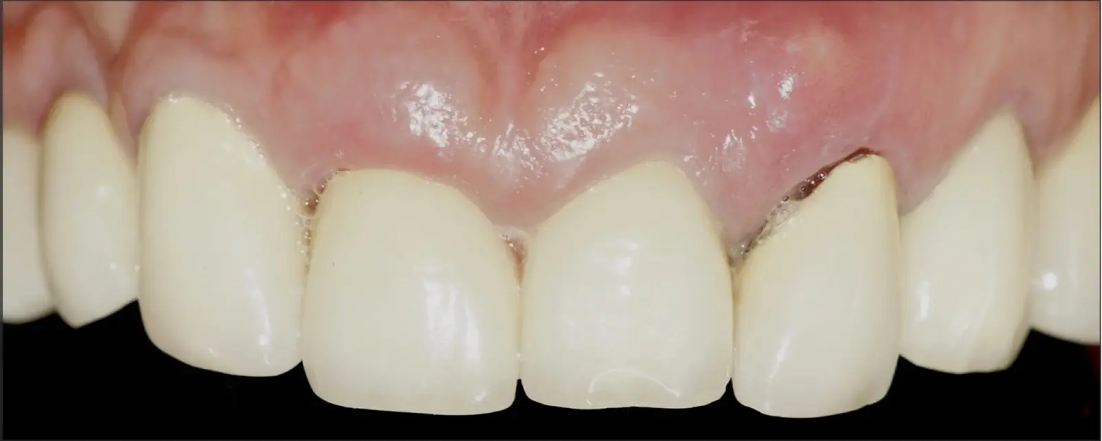
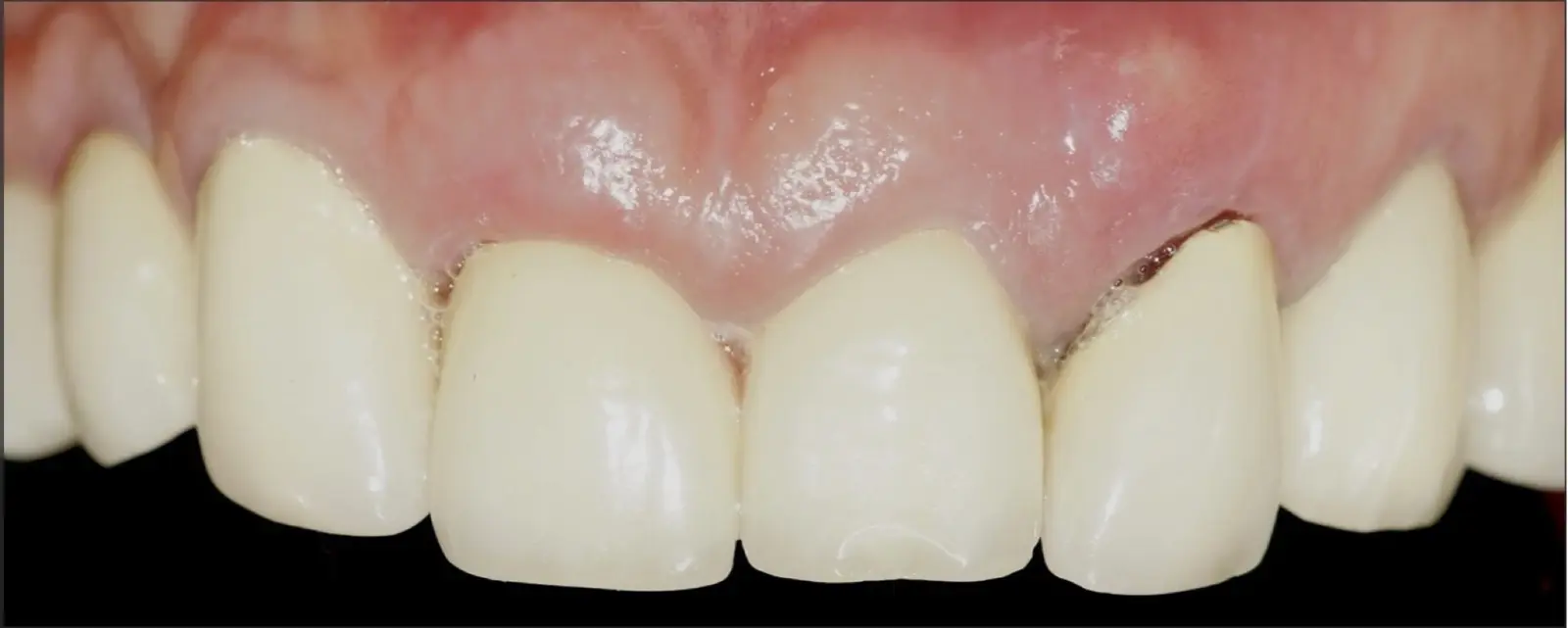
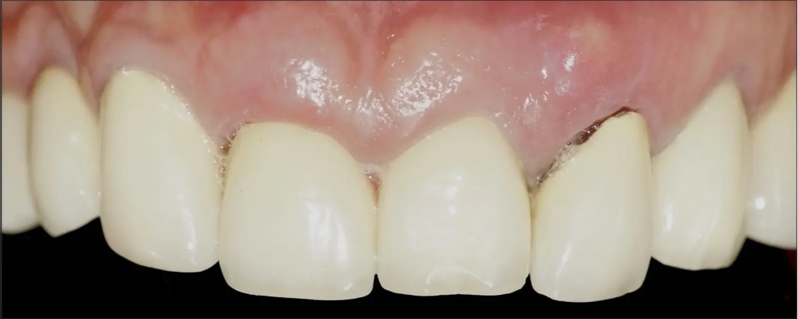
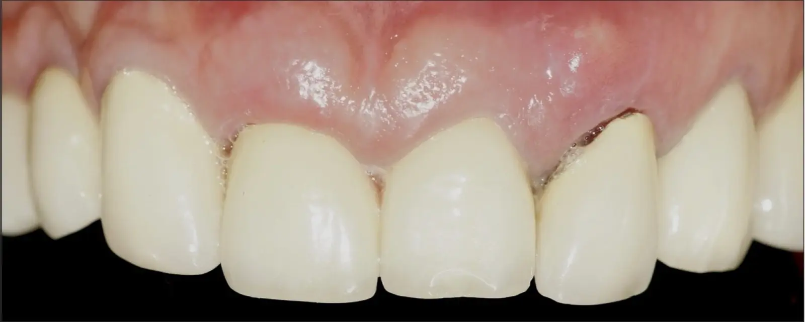
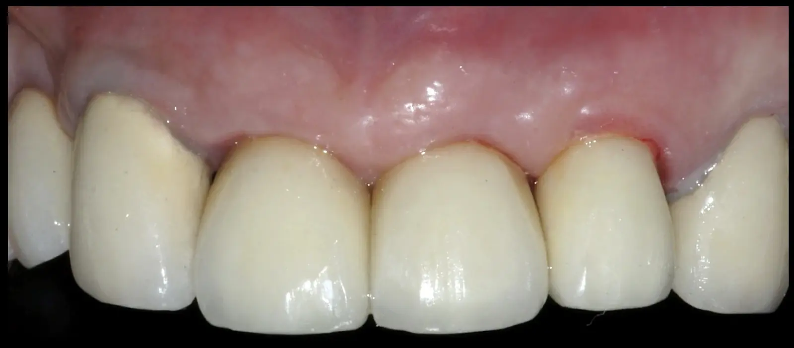
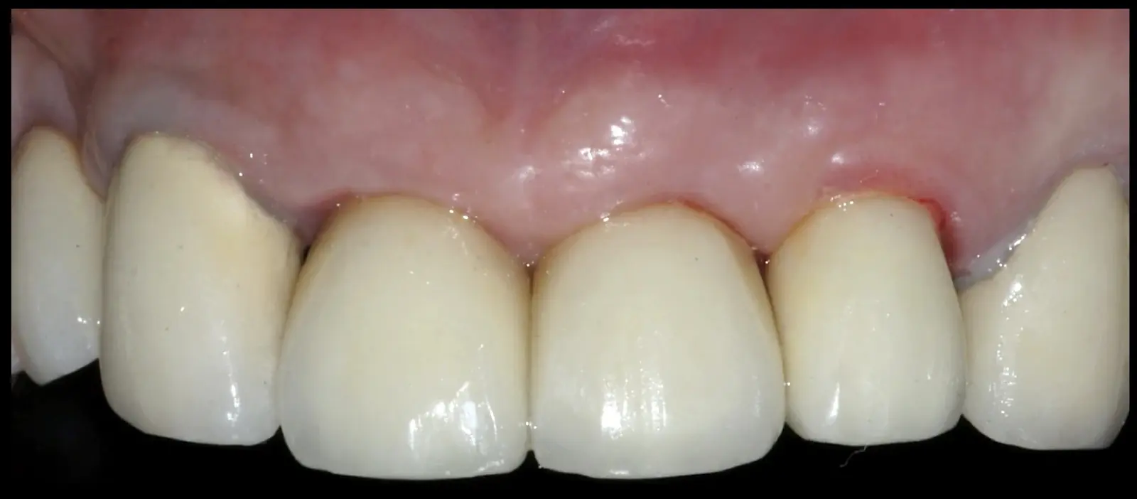
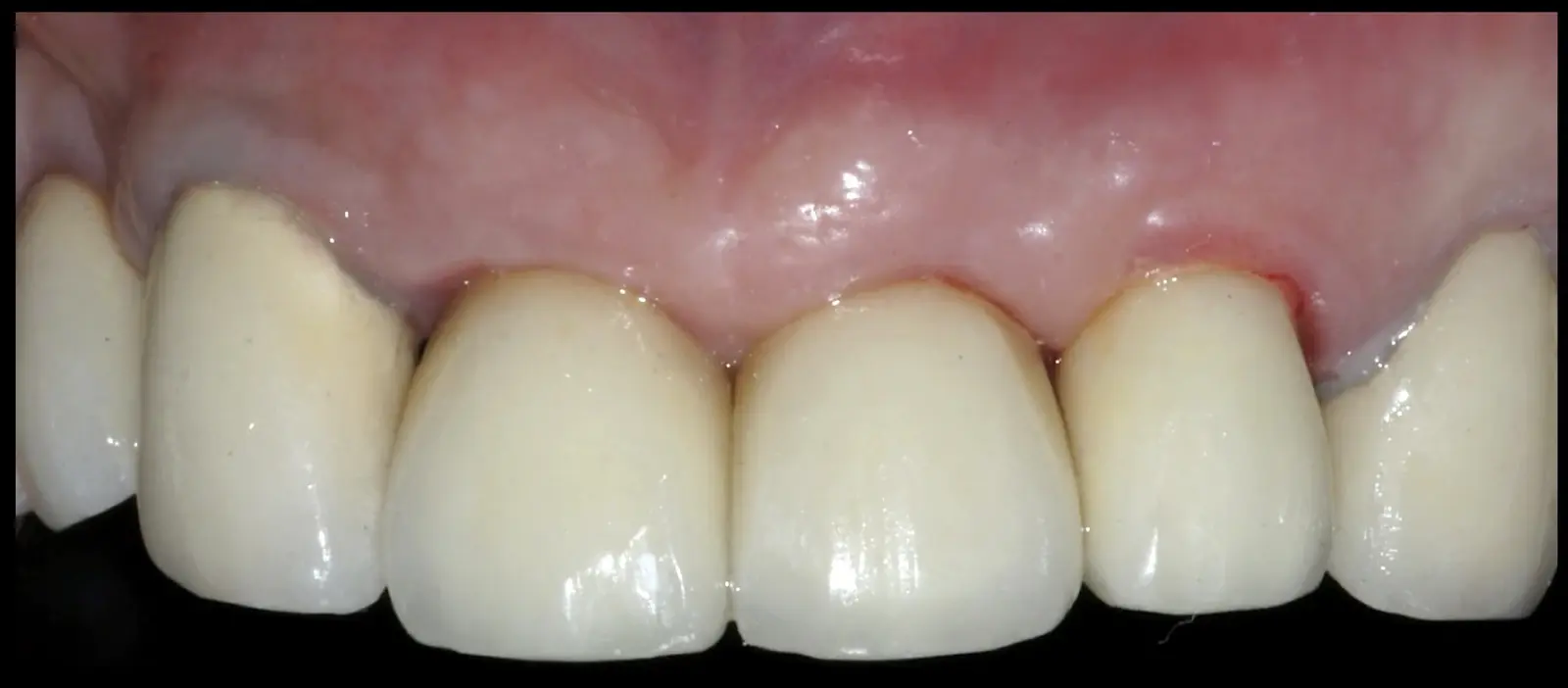
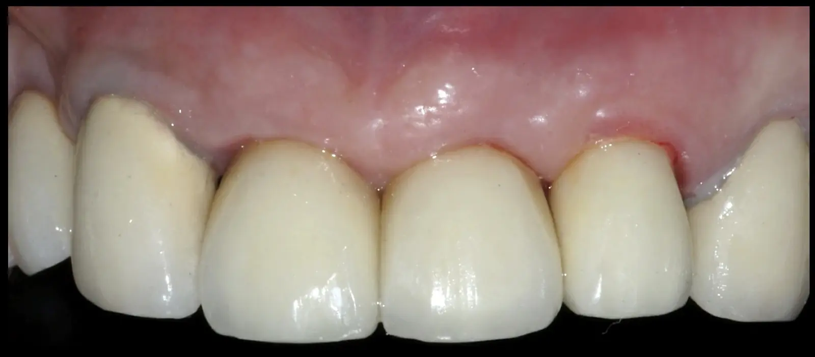
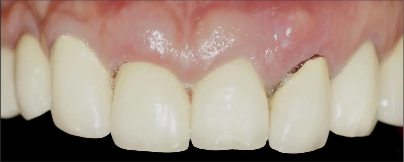
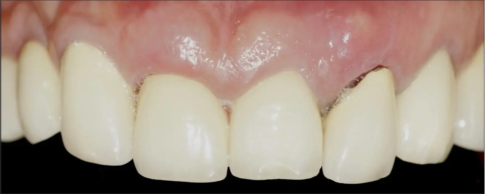
Figura 31: Caz finalizat și reabilitare completă, cu păstrarea conturului crestei alveolare, marginii gingivale și înălțimii papilare.
Figura 32: Controlul postoperator la patru luni (a) care demonstrează formarea unei noi plăci osoase palatinale crestale (b), cu grosimea depășind 2 mm la toate implanturile inserate (c).

Concluzii

Extracția dentară atraumatică, realizată piezochirurgical, prezintă avantaje biologice semnificative, printre care vindecarea accelerată și reducerea resorbției osoase. Acest protocol fără lambou a căpătat o importanță considerabilă, odată cu apariția terapiei cu implanturi dentare.

Serie specială: Piezochirurgie
Faceți clic aici pentru a accesa sinteza celor 11 articole.

Seria de articole despre chirurgia piezoelectrică se bazează pe cartea „Cirugía piezoeléctrica. Generalidades y aplicaciones clínicas” scrisă de José Carlos Rosas și colaboratorii săi, pe tema acestei tehnologii.

Cartea, scrisă în colaborare cu Jerson Palomino Zorrilla, Karla Díaz Cavero și María Eugenia Guerrero Acevedo de la Universidad Privada San Juan Bautista din Lima, Peru, oferă cele mai recente dovezi științifice, care susțin valoarea clinică a diverselor proceduri piezoelectrice, demonstrând utilitatea lor practică în cabinetul stomatologic, prin publicarea a numeroase cazuri clinice.


Cartea „Cirugía piezoeléctrica. Generalidades y aplicaciones clínicas” explică principiile fundamentale ale acestei tehnologii și demonstrează utilitatea sa practică în mediul clinic stomatologic, prin intermediul unor rapoarte clinice detaliate.

Referințe

  1. Lui JN, Khin MM, Krishnaswamy G, et al. Prognostic factors relating to the outcome of endodontic microsurgery. J Endod. 2014;40(8):1071-1076.
  2. Kerekes K, Tronstad L. Long-term results of endodontic treatment performed with a standardized technique. J Endod. 1979;5(3):83-90.
  3. Lieblich SE. Endodontic surgery. Dent Clin North Am. 2012;56(1):121-ix.
  4. Walton RE, Ardjmand K. Histological evaluation of the presence of bacteria in induced periapical lesions in monkeys. J Endod.1992;18(5):216-27.
  5. Tronstad L, Barnett F, Cervone F. Periapical bacterial plaque in teeth with refractory to endodontic treatment. Endod Dent Traumatol. 1990;6(2):73-7.
  6. Jepsen K, Schneider E, Dommisch H, et al. Management of a Central Incisor with Horizontal Root Fracture for Esthetic and Functional Rehabilitation. Int J Periodontics Restorative Dent. 2016;36(1):65-73.
  7. Brito-Junior M, Faria-e-Silva AL, Quintino AC, et al. Orthograde retreatment failure with extruded MTA apical plug in a large periradicular lesion followed by surgical intervention: case report. Gen Dent. 2012;60(2):96-100.
  8. Szalma J, Soós B, Krajczár K, et al. Piezosurgical management of sealer extrusion-associated mental nerve anaesthesia: A case report. Aust Endod J. 2019;45(2):274-280.
  9. Kang M, In Jung H, Song M, et al. Outcome of nonsurgical retreatment and endodontic microsurgery: a meta-analysis. Clin Oral Investig. 2015;19(3):569-582.
  10. Abella F, de Ribot J, Doria G, et al. Applications of piezoelectric surgery in endodontic surgery: a literature review. J Endod. 2014;40(3):325-332.
  11. Kim S, Kratchman S. Modern endodontic surgery concepts and practice: a review. J Endod. 2006;32(7):601-23.
  12. Song M, Nam T, Shin SJ, Kim E. Comparison of clinical outcomes of endodontic microsurgery: 1 year versus long-term follow-up. J Endod. 2014;40(4):490-494.
  13. Lofthag-Hansen S, Huumonen S, Gröndahl K, et al. Limited cone-beam CT and intraoral radiography for the diagnosis of periapical pathology. Oral Surg Oral Med Oral Pathol Oral Radiol Endod. 2007;103(1): 114-9.
  14. Strbac GD, Schnappauf A, Giannis K, et al. Guided Modern Endodontic Surgery: A Novel Approach for Guided Osteotomy and Root Resection. J Endod. 2017;43(3):496-501.
  15. Moreno-Rabié C, Torres A, Lambrechts P, et al. Clinical applications, accuracy and limitations of guided endodontics: a systematic review. Int Endod J. 2020;53(2):214-231.
  16. Kocyigit ID, Atil F, Alp YE, et al. Piezosurgery versus conventional surgery in radicular cyst enucleation. J Craniofac Surg. 2012; 23(6):1805-8.
  17. Hirsch V, Kohli MR, Kim S. Apicoectomy of maxillary anterior teeth through a piezoelectric bony-window osteotomy: two case reports introducing a new technique to preserve cortical bone. Restor Dent Endod. 2016;41(4):310-315.
  18. Gagliani M, Taschieri S, Molinari R. Ultrasonic root-end preparation: influence of cutting angle on the apical seal. J Endod. 1998;24(11):726-30.
  19. Rubinstein RA, Kim S. Short-term observation of the results of endodontic surgery with the use of surgical operation microscope and Super-EBA as root end filling material. J Endod. 1999;25(1):43-8.
  20. Del Fabbro M, Tsesis I, Rosano G, et al. Scanning electron microscopic analysis of the integrity of the root-end surface after root-end management using piezoelectric device: a cadaveric study. J Endod. 2010;36(10):1693-7.
  21. Tsesis I, Rosen E, Taschieri S, et al. Outcomes of surgical endodontic treatment performed by a modern technique: an updated meta-analysis of the literature. J Endod. 2013;39(3):332-9.
  22. Bastien AV, Adnot J, Moizan H, et al. Secondary surgical decompression of the inferior alveolar nerve after overfilling of endodontic sealer into the mandibular canal: Case report and literature review. J Stomatol Oral Maxillofac Surg. 2017;118(6):389-392.

comentarii