Raporlar & Çalışmalar

Atravmatik Diş Çekimi:
Prof. José Carlos Rosas Díaz'dan Klinik Bakış Açıları

Prof. Dr. José Carlos Rosas Díaz, ağız rehabilitasyonu, implantoloji ve periodontoloji alanlarında önde gelen bir uzmandır. Hem araştırma hem de klinik uygulamadaki kapsamlı deneyiminden yararlanarak, travma yaratmayan diş çekiminin faydalarına odaklanmaktadır. Bu röportajda, vestibüler kemik duvarının korunması, anında implant yerleştirmenin uygulanabilirliği ve modern klinik uygulamada piezo teknolojisinin rolü hakkında görüşlerini paylaşıyor.


Dr José Carlos Rosas Díaz
  • Ağız rehabilitasyonu, implantoloji ve periodontoloji uzmanı
Dr José Carlos Rosas Díaz

Atravmatik diş çekiminin ne gibi avantajlarını görüyorsunuz?

Dr. Rosas: Atravmatik çekim, vestibüler (bukkal) kemik duvarına zarar vermeden dişleri çekmemizi sağlar. Bu yapı tipik olarak çok incedir – genellikle 0,5 mm'den azdır – ve bu nedenle hasara karşı özellikle hassastır. Aynı zamanda, proksimal kemik tepesi korunur; bu, özellikle ön bölgede, diş eti papillalarının estetiğini korumada çok önemli bir rol oynadığı için önemlidir. Anında implant yerleştirme bağlamında, bu yaklaşım önemli avantajlar sunar: hem sert hem de yumuşak dokuların tüm mimarisi korunabilir, bu da implant restorasyonunun çok daha doğal bir görünüm kazanmasını sağlar. Hastalar için bu, daha az cerrahi travma, daha fazla konfor ve daha az ameliyat sonrası ağrı ve şişlik anlamına gelir. Ek olarak, kuru soket (Alveoliti sicca) vakalarında, alveol duvarlarını nazikçe düzeltmek için özel piezoelektrik aletler kullanılabilir. Kemik yüzeyinin bu dikkatli mikro pürüzlendirilmesi, yeniden kanamayı uyararak kuru soket riskini önemli ölçüde azaltır ve sorunsuz iyileşmeyi destekler.

Figure: X-ray shows the sagittal tomographic sections of teeth 1.1, 2.1, and 2.2 revealing very thin buccal bone plates with thicknesses less than 0.2 mm (a, c).
Figure: X-ray shows the sagittal tomographic sections of teeth 1.1, 2.1, and 2.2 revealing very thin buccal bone plates with thicknesses less than 0.2 mm (a, c).
Figure: X-ray shows the sagittal tomographic sections of teeth 1.1, 2.1, and 2.2 revealing very thin buccal bone plates with thicknesses less than 0.2 mm (a, c).
Şekil 1: 1.1, 2.1 ve 2.2 numaralı dişlerin sagital tomografik kesitleri, kalınlıkları 0,2 mm'den az olan çok ince yanak kemiği plakalarını göstermektedir (a, c).

Geleneksel diş çekimi sonrasında hemen implantasyonun mümkün olabileceği durumları örnek verebilir misiniz?

Dr. Rosas: Başarılı bir anlık implant yerleştirme için bazı klinik ön koşulların karşılanması gerekir. En az 5 mm apikal kemik kalmalı ve implantı güvenli bir şekilde sabitlemek için alveol çevresinde yeterli stabil artık kemik bulunmalıdır. Daha büyük enfeksiyonlu lezyonlar olmamalıdır. Aynı derecede önemli olan, 1 mm'den daha kalın bir vestibüler (bukkal) kemik duvarıdır. Bu stabilite genellikle ancak travma yaratmayan çekim yoluyla elde edilebilir.

Sizce W&H piezo teknolojisi, travma yaratmayan diş çekimini nasıl destekliyor?

Dr. Rosas: W&H, yalnızca 0,2 mm çapında çok ince alet uçları (editörün notu: örneğin, EX1 ve EX2) sunmaktadır. Bunlar, periodontal ligament boşluğuna hassas bir şekilde girilmesini sağlayarak dişin kontrollü bir şekilde lüksasyonuna olanak tanır. Uygun klinik beceriyle, bu, çekim işlemini önemli ölçüde basitleştirir. Özellikle, piezoelektrik teknoloji, yaşlı hastalarda şiddetli ankilozlu dişlerin veya uzun süreli endodontik tedavi görmüş dişlerin hızlı ve verimli bir şekilde çekilmesini kolaylaştırır. Özel alet geometrisi ayrıca hassas odontoseksiyonlara da olanak tanır. Bu şekilde, travma yaratmayan çekim güvenli ve öngörülebilir bir işlem haline gelir.

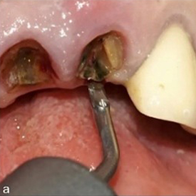
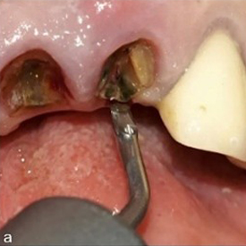
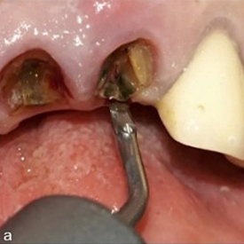
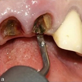
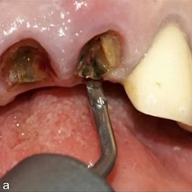
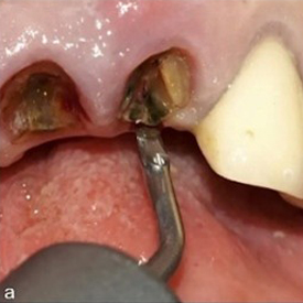
Şekil 2: Piezoelektrik periotom (W&H EX1) kullanılarak yapılan sindesmotomi (a), damak parçaları seviyesinde periodontal ligament boşluğuna yerleştirilmiştir (b).

Dr. José Carlos Rosas Díaz hakkında

Lima, Peru'daki Universidad Privada San Juan Bautista (UPSJB) Stomatoloji Okulu eski Müdürü Dr. José Carlos Rosas Díaz, stomatoloji alanında yüksek lisans derecesine sahiptir ve UPSJB'de araştırmacı olarak görev yapmaktadır. Kapsamlı Oral Rehabilitasyon, Kapsamlı Oral İmplantoloji ve Periodontoloji alanında uzmandır.


Yorumlar