Sinus lift par voie interne – la piézochirurgie pour un plus grand respect du patient
par le Dr Mario Kirste (Francfort / Oder)
Première parution dans EDI 1/2019, page 108-110
Photos : © Dr Kirste
En comparaison avec les techniques d’abord latéral, les augmentations transalvéolaires du plancher sinusien sont associées à un moins grand nombre de plaintes postopératoires. En outre, la procédure piézochirurgicale évite l’utilisation, peu agréable, d’un ostéotome. L'étude de cas ci-après présente un nouveau kit d’inserts pour la préparation piézochirurgicale du site implantaire et l’élévation de la membrane de Schneider.
Les implants courts pourraient représenter une alternative efficace à une augmentation de plancher sinusien [1]. Cependant, le volume osseux disponible est souvent insuffisant pour cette opération également. Par ailleurs, les implants ne dépassant pas 8 mm de long ont un pronostic moins favorable après cinq ans que les implants plus longs [2]. Un examen comparatif des méthodes démontre que l'approche transalvéolaire (interne) est associée à des pronostics en matière d'implant comparables à ceux obtenus avec la préparation d’une fenêtre latérale [3]. Dans le sinus lift par voie interne, l'anatomie du sinus maxillaire détermine le volume d’augmentation atteignable. Les sinus maxillaires longs et étroits seraient plus favorables que les fonds de sinus plats [4].
Les plaintes postopératoires ont tendance à être moins nombreuses dans le cas des procédures transalvéolaires que des procédures latérales [5]. Les systèmes piézochirurgicaux offrent des avantages supplémentaires par rapport aux instruments rotatifs et manuels, notamment une ouverture particulièrement atraumatique du sinus maxillaire grâce à une technique opératoire adaptée [6]. Une hauteur osseuse résiduelle d’environ 4 mm est requise pour obtenir l’effet de cavitation approprié.
En cas d’utilisation de l'approche transalvéolaire conventionnelle, avec des instruments manuels, les patients perçoivent la procédure proprement dite comme plus invasive que l’intervention par voie latérale [7]. Cela s’explique probablement en grande partie par l’action de martèlement associée aux ostéotomes. L’utilisation d’une technologie piézochirurgicale adaptée se traduit par une approche particulièrement respectueuse du patient. L’élévation de la membrane de Schneider peut se faire de manière atraumatique et hydrodynamique, grâce à l’effet de cavitation [8].
Antécédents du sujet
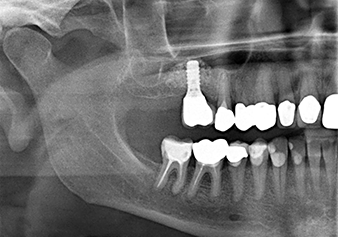
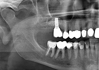
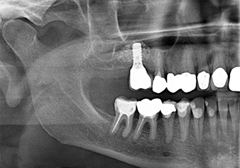
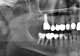
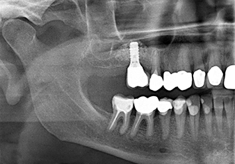
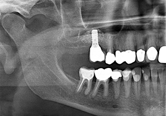
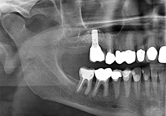
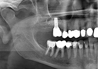
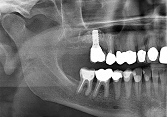
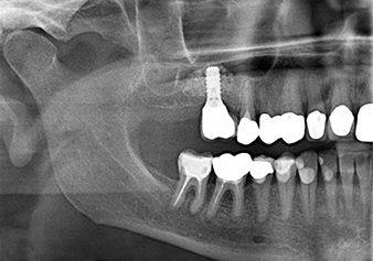
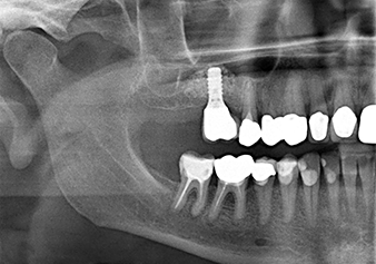
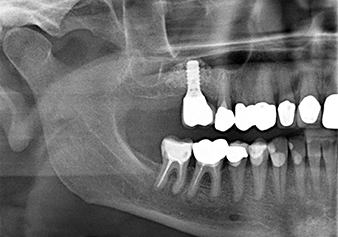
Une patiente de 49 ans, non fumeuse et sans antécédents médicaux remarquables, a été orientée vers notre cabinet de chirurgie orale pour l’extraction chirurgicale de la dent 16 préalable à la pose d’un implant. Après l’extraction, la patiente a rencontré de légers problèmes de sinusite, à la suite de quoi nous avons commencé par attendre six mois avant de prendre la mesure. À l’endroit prévu pour la pose de l’implant, l’os résiduel mesurait 3-4 mm de haut (Fig. 1 et 2).

Les inserts au travail
Après la préparation atraumatique du lambeau muco-périosté, la position de l'implant est marquée à l'aide de l’insert I1 et le site préparé - jusqu’à la perception d’une résistance initiale. Les inserts de piézochirurgie sont utilisés suivant un mouvement ascendant et descendant, sans exercer aucune pression. La vibration piézoélectrique produit l’effet de cavitation souhaité, qui s’avère efficace.
L’insert I2A (diamètre 2,0 mm) est ensuite utilisé pour perforer le plancher sinusien par intermittence et à la plus petite échelle possible. Cette méthode piézochirurgicale spéciale garantit que la membrane de Schneider n’est pas endommagée. Quand le Z25P est utilisé, la membrane est déjà légèrement relevée sous l’effet du fluide de refroidissement délivré via la pointe de l’insert (Fig. 3). Seulement 50 % du fluide de refroidissement sont éjectés afin d'éviter une pression élevée sur le site implantaire.
Préparation et augmentation du site implantaire
Après un contrôle intermédiaire (Fig. 4), une étape de préparation ultérieure est exécutée (Fig. 5). Puis on utilise l’insert Z35P hydraulique pour relever la membrane vers la position souhaitée (Fig. 6 et 7). Ensuite, une préparation piézochirurgicale supplémentaire est pratiquée sur le site implantaire, en utilisant pour terminer un burin rotatif et une fraise à épaulement jusqu’à 4,8 mm de diamètre d'implant. Avant l’insertion de l'implant, le matériau d’augmentation (taille de particules env. 0,8-1,6 mm) est introduit sous la membrane de Schneider (Fig. 8).
Implantation et restauration prothétique
Pour mettre en place le matériau d’augmentation en douceur en direction du sinus maxillaire, l’implant est inséré manuellement très lentement (Fig. 9). Pendant l’opération, la membrane est poussée de nouveau dans la direction crânienne. Au bout de deux mois, le site chirurgical cicatrise sans signes d’irritation. Six mois plus tard, la radio de contrôle révèle une augmentation significative de l'opacité indicative de l’ossification (Fig. 10). La restauration prothétique est réalisée avec une couronne métallo-céramique.








Discussion
Les augmentations de plancher sinusien interne sont traditionnellement effectuées à l'aide d’instruments manuels, en associant un effet de martèlement à une préparation du site implantaire par des moyens rotatifs. L'expérience a appris à l’auteur que les systèmes piézochirurgicaux modernes rendent cette procédure nettement moins traumatique car l’effet de cavitation permet une utilisation pratiquement sans pression. Les inserts sont utilisés d’une part pour la préparation du site implantaire et pour pratiquer une ouverture minimalement invasive dans le plancher du sinus maxillaire, et d’autre part, pour l’élévation hydrodynamique de la membrane de Schneider [8].
Dans la pratique de l'auteur, l’élévation de la membrane est généralement opérée en deux phases. Mais la technique spécifiée par le fabricant est également adaptée. Dans ce cas, le site implantaire est d'abord préparé et, dans un second temps seulement, une petite ouverture est pratiquée dans le plancher du sinus osseux à l'aide de l'insert Z35P. Grâce à cette méthode particulièrement atraumatique, la patiente n'a ressenti aucune douleur postopératoire et a pu retourner au travail dès le lendemain. Au cabinet de l’auteur, ce résultat est obtenu chez 90 % des patients.
La méthode de travail est déterminante
Le système permet de gagner du temps lors de la préparation du site implantaire et de l’augmentation hydrodynamique du plancher sinusien. Grâce à la combinaison du Piezomed et des nouveaux inserts très performants, on dispose d’une méthode de travail efficace et essentielle pour éviter d'éliminer une trop grande quantité de matière osseuse. Les contrôles qualité s’en trouvent également facilités car le dispositif reconnaît automatiquement l’insert utilisé dans chaque cas.
plus d'info
Bibliographie
- Zadeh HH, Gulje F, Palmer PJ, Abrahamsson I, Chen S, Mahallati R, et al. Marginal bone level and survival of short and standard-length implants after 3 years: An Open Multi-Center Randomized Controlled Clinical Trial. Clinical oral implants research 2018.
- Lemos CA, Ferro-Alves ML, Okamoto R, Mendonca MR, Pellizzer EP. Short dental implants versus standard dental implants placed in the posterior jaws: A systematic review and meta-analysis. J Dent 2016;47:8-17.
- Starch-Jensen T, Aludden H, Hallman M, Dahlin C, Christensen AE, Mordenfeld A. A systematic review and meta-analysis of long-term studies (five or more years) assessing maxillary sinus floor augmentation. International journal of oral and maxillofacial surgery 2018;47:103-116.
- Stacchi C, Lombardi T, Ottonelli R, Berton F, Perinetti G, Traini T. New bone formation after transcrestal sinus floor elevation was influenced by sinus cavity dimensions: A prospective histologic and histomorphometric study. Clinical oral implants research 2018;29:465-479.
- Farina R, Franceschetti G, Travaglini D, Consolo U, Minenna L, Schincaglia GP, et al. Morbidity following transcrestal and lateral sinus floor elevation: a randomized trial. J Clin Periodontol 2018.
- Rickert D, Vissink A, Slater JJ, Meijer HJ, Raghoebar GM. Comparison between conventional and piezoelectric surgical tools for maxillary sinus floor elevation. A randomized controlled clinical trial. Clinical implant dentistry and related research 2013;15:297-302.
- Al-Dajani M. Recent Trends in Sinus Lift Surgery and Their Clinical Implications. Clinical implant dentistry and related research 2014.
- Kuhl S, Kirmeier R, Platzer S, Bianco N, Jakse N, Payer M. Transcrestal maxillary sinus augmentation: Summers' versus a piezoelectric technique--an experimental cadaver study. Clinical oral implants research 2016;27:126-129.
Commentaires