Trattamento endodontico e periodontale di un dente di appoggio
Utilizzo selettivo di un'unità piezoelettrica e di un motore per impianto
Testimonianza di Ramon Boninsegna, medico chirurgo odontoiatrico con dottorato, e di Luca Bovolato, medico chirurgo odontoiatrico
Pubblicato nell'EDI Journal 01/2017
I denti naturali sono una risorsa importante. Questo resoconto sul caso descrive il complesso tentativo di conservare un premolare implicato a livello endodontico e periodontale come pilastro di appoggio, almeno per l'immediato futuro, eseguendo il posizionamento di due impianti adiacenti in combinazione con il rialzo interno del seno mascellare. Per questo intervento chirurgico interdisciplinare sono stati usati un'unità piezoelettrica e un motore per impianto.
Le lesioni endoperiodontali combinate coinvolgono sia i tessuti endodontici (relativi alla polpa) che periodontali (relativi agli attacchi) (Foce, 2009). La loro patogenesi è altamente variabile e può essere identificata solamente con analisi diagnostiche sofisticate. Tra questi si possono nominare il test sulla vitalità dei denti e un'analisi periodontale complessiva, al fine di evitare un'eziologia monocausale.
Nel caso in cui i segni di assenza di polpa vitale e della presenza di tasche periodontali indotte da biofilm conducano a una lesione combinata, il trattamento inizierà in molti casi con l'endodonzia ortograda. Se i sintomi persistono, la valutazione periodontale deve essere ripetuta e iniziata la necessaria terapia topica o sistematica. Il successo delle misure endodontiche e periodontali dipende per la maggior parte da procedure concentrate su biofilm patogenici come fattore eziologico principale (Nair, 1997, Hajishengallis e Lamont, 2012).
Quando nei difetti periodontali con una parete boccale mancante viene indicata la rigenerazione guidata di tessuti, una combinazione di materiale di innesto e di una membrana hanno mostrato i migliori risultati (Sculean et al., 2008). Tuttavia, nell'esperienza clinica e per via di motivi biologici, il successo è dubbio nel caso di perdita estensiva di tessuto osseo che si estende fino all'apice del dente.
Gestione orizzontale del sito dell'impianto
In seguito alla perdita di un dente, le strutture periodontali relative, tra cui parti dell'osso alveolare, saranno immancabilmente riassorbite e la cresta dovrà essere rimodellata (Tan et al., 2012). Per minimizzare questa necessità, è possibile ricorrere alla conservazione della cresta e, possibilmente, può essere posizionato un ponte in appoggio sul dente (Schlee e Esposito, 2009). Un'opzione alternativa comporta inserire un impianto che conserva potenzialmente l'osso grazie alla trasmissione di sollecitazione funzionale (Wolff, 1986, e Wessinghage, 1892).
Se le dimensioni dell'osso nel sito di impianto sono sufficienti, è possibile indicare un rialzo con innesto simultaneo o graduale. Secondo una recente valutazione, la procedura più frequente per l'approccio graduale è l'innesto osseo a blocchi, mentre la tecnica GBR era usata più spesso nell'approccio simultaneo (Sanz-Sanchez et al., 2015). Se il difetto ha dimensioni limitate, la tecnica GBR può essere quindi preferibile, poiché non è necessario alcun sito chirurgico aggiuntivo per l'innesto autologo.
Molti medici preferiscono un sistema per tecnica GBR consistente in un materiale bovino di sostituzione ossea con una membrana di collagene suina assorbibile. La velocità di assorbimento del materiale di sostituzione ossea è bassa, la membrana è biocompatibile, ed è disponibile un'ampia documentazione riguardante entrambi i prodotti sia usati da soli che in combinazione (Jensen et al., 2014, Retzepi and Donos, 2010).
Rialzo del seno mascellare
Nella mascella posteriore le mancanze di tessuto osseo verticale possono essere affrontate mediante rialzo del seno mascellare. Più specificamente, se sono presenti almeno 4 mm in altezza di tessuto osseo residuo nella direzione caudale rispetto al seno mascellare, l'approccio interno si è rivelato vincente (Calin et al., 2014). Secondo i resoconti clinici, il rischio di perforazione può essere ridotto mediante l'utilizzo di sistemi piezoelettrici in prossimità della membrana schneideriana (Zhen et al., 2012). Inoltre uno studio comparativo ha dimostrato che i dispositivi piezoelettrici causano meno fastidio al paziente durante il trattamento chirurgico, e al contempo aumentano la comodità dell'operatore rispetto agli osteotomi (Baldi et al., 2011).
In linea di principio questi benefici riguardano anche le procedure sul seno mascellare esterno (Wallace et al., 2012). Nel presente resoconto sul caso, si è combinata la conservazione endoperiodontale di un primo premolare mascellare con il posizionamento di un impianto sommesso e al contempo un rialzo con innesto per ricostruire il quadrante mascellare sinistro posteriore. In seguito a prognosi dubbia sui denti di appoggio, la ricostruzione finale è stata posticipata fino all'osteointegrazione degli impianti. Le differenti procedure chirurgiche sono state eseguite con un'unità piezoelettrica oppure con un motore rotante per impianto.
Resoconto sul caso:

1. Dott. Luca Bovolato:
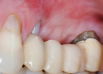
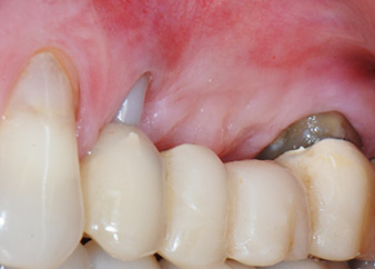
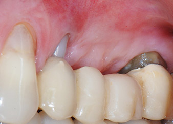
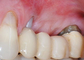
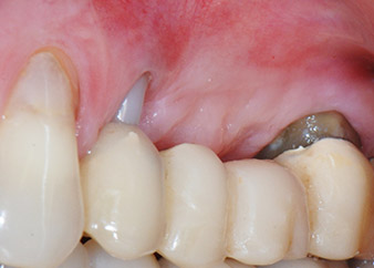
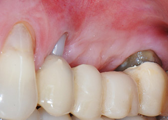
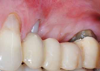
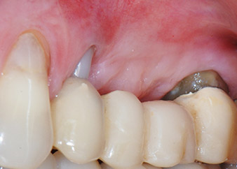
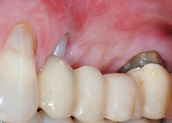
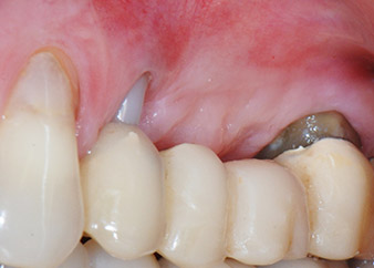
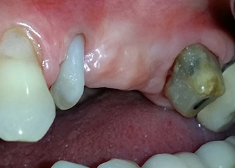
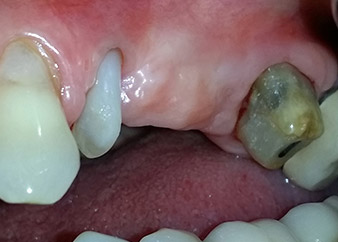
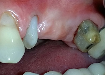
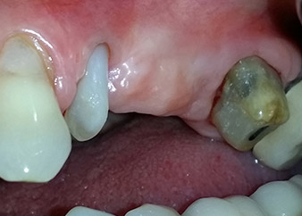
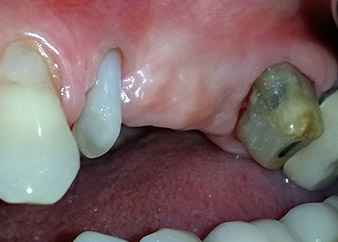
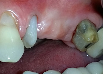
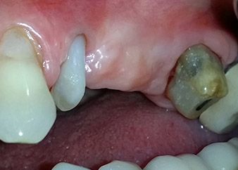
Una paziente donna di 58 anni lamentava dolore e aumentata mobilità del dente di appoggio del ponte 24. Era presente infiammazione periodontale con tasche di profondità di 7 mm a livello mesiobuccale e di più di 12 mm a livello distale, nonché coinvolgimento di terzo grado della forcazione. Inoltre, la radiografia rivelava una lesione periodontale estensiva attorno alla regione apicale del dente pretrattato 24 (in altro luogo) a livello endodontico (Fig. 1).
Un anno più tardi, sono stati estratti i denti 25 e 26 in seguito a trauma e per motivi endoperiodontali, prima del posizionamento del ponte. Era stata diagnosticata una lesione endoperiodontale combinata in corrispondenza del dente 24, di eziologia incerta. La paziente desiderava conservare i denti 24 e 27 di appoggio al ponte e non accettava una protesi rimovibile finale, o temporanea. Si è pertanto deciso di fare il possibile per conservare entrambi i denti, nonostante la prognosi negativa basata sugli esiti clinici e radiologici.
Si è pianificato il posizionamento di due impianti sommessi in corrispondenza dei siti 25 e 26 durante intervento chirurgico con sbrigliamento periodontale aperto e apicectomia del dente 24. Allo stesso tempo si è pianificato un rialzo del seno mascellare interno per via della mancanza di tessuto osseo verticale in corrispondenza del sito dell'impianto futuro.
Dopo medicazione topica con metronidazolo gel al 25% (Elyzol) nelle tasche del dente 24, si è iniziato il trattamento causale mediante terapia di disinfezione periodontale dell'intera dentatura. Il trattamento canalare radicolare ortogrado è stato modificato mediante otturazione con guttaperca, un perno in fibra di vetro e materiale di ricostruzione composito. Il ponte è stato ricementato all'esterno dell'occlusione per permettere la guarigione indisturbata dei siti GTR e GBR.
Sbrigliamento chirurgico e apicectomia
1. Dott. Ramon Boninsegna:
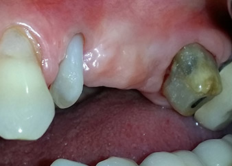
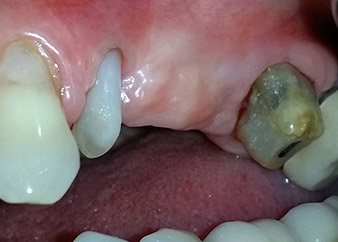
Un mese più tardi, nel giorno programmato per l'intervento, il dolore e l'infiammazione in corrispondenza del dente 24 erano minimi, ma era ancora presente mobilità di classe 2 secondo Miller. Dopo l'apertura dei lembi e la pulizia del tessuto periapicale e periradicolare infetto, l'estensione della mancanza ossea si è resa evidente (Figg. 2 e 3).
Tutto il tessuto osseo vestibolare e distale era mancante in corrispondenza della radice buccale. La possibilità di attacco era essenzialmente ristretta alla radice palatale, evidenziando la prognosi negativa preliminare. Anche il dente 27 mostrava un punto di attacco orizzontale ridotto e una rarefazione apicale minima (cfr. Fig. 1), senza sintomi clinici.

Si è mantenuta , tuttavia, l'idea iniziale di conservare entrambi i denti come appoggi temporanei del ponte durante il periodo di sei mesi per l'osteointegrazione degli impianti. In seguito la situazione si sarebbe assestata. In primo luogo, in un tentativo di risolvere il problema entro-periodontale, la superficie radicolare rimanente è stata attentamente sbrigliata con apparecchiatura piezoelettrica (Piezomed di W&H con l'attacco S1 a spatola, progettato in origine per l'erosione della parete laterale del seno mascellare) Fig. 4).
Quindi con lo stesso strumento si è passati ad abradere l'apice per rimuovere il tessuto apicale infetto residuo e per ridurre le possibili ramificazioni radicolari e canalari accessorie (apicetomia) (Fig. 5). Non è stato necessario riempimento retrogrado poiché si era appena ritrattato il riempimento ortogrado.


Rialzo del seno mascellare e posizionamento dell'impianto
Prima di procedere al posizionamento dell'impianto, il tessuto infetto è stato rimosso dall'osso alveolare nel sito di impianto e attorno ai denti di appoggio con un attacco progettato per la sagomatura ossea e per la raccolta di frammenti ossei (Piezomed, attacco B5) (Figg. 6 e 7).



Le sedi di impianto sono state preparate in corrispondenza dei siti 25 e 26 con strumentazione rotante, utilizzando un manipolo contrangolo con una velocità di trasmissione 20:1 con motore potente di nuova generazione (Implantmed di W&H) (Fig. 8).
La preparazione finale vicino al seno mascellare è stata ancora una volta eseguita con uno strumento piezoelettrico (Piezomed, attacco S2).
Prima del posizionamento dell'impianto, e in seguito a verifica dell'integrità della membrana schneideriana (Fig. 9), il seno mascellare interno è stato rialzato in corrispondenza di entrambi i siti di impianto mediante materiale xenogenico di sostituzione ossea (Bio-Oss, Geistlich Biomaterials) (Fig. 10).


Gli impianti (Restore, Keystone Dental,, diametro 3,75 mm, lunghezza 8,0 mm) sono stati posizionati con il motore per impianto (Figg. 11 e 12).


Le mancanze di tessuto osseo attorno gli impianti, in corrispondenza dell'aspetto mesiale del dente 27 e attorno alla radice buccale del dente 24, sono stati riempiti con particelle xenogeniche di sostituzione ossea e coperte con una membrana di collagene assorbibile (Bio-Gide, Geistlich Biomaterials) per tecnica di innesto GBR (Figg. 13 e 14).


Infine, dopo incisione periostale, il sito è stato chiuso con suturazione passiva con un lembo avanzato a livello coronale, utilizzando materiale assorbile 5-0 da sutura (Fig. 15). La radiografia postoperatoria mostrava entrambi gli impianti nella loro posizione verticale corretta (Fig. 16).


Risultati intermedi dopo due mesi
Le figure 17 e 18 mostrano il risultato clinico due mesi dopo l'intervento chirurgico. Il dente 24 mostra mobilità ridotta di classe 1 secondo Miller e i tessuti molli sono privi di infiammazione. A questo punto l'utilizzo della sonda è stato evitato per impedire una nuova infezione e per non disturbare l'attacco epiteliale. Era stata programmata una visita di controllo al rientro e il posizionamento dei perni di guarigione sei mesi dopo l'inserimento degli impianti.


Discussione
Nel caso presente si è proceduto a combinare il trattamento di una lesione endoperiodontale con il posizionamento di impianti e contemporaneamente il rialzo del seno mascellare, e procedure GBR e GTR nella mascella sinistra posteriore. Poiché entrambi i denti di appoggio per il ponte 24-27 presentavano una prognosi negativa, il trattamento odontoiatrico è stato eseguito solamente per soddisfare il desiderio della paziente di conservare i propri denti. Inoltre, poiché la paziente non accettava una protesi rimovibile provvisoria, il ponte è stato ricementato in vista del periodo di osteointegrazione degli impianti sommersi 25 e 26.
Prognosi e opzioni di ricostruzione
Durante la visita prevista due mesi dopo l'intervento chirurgico, la mobilità del restante "elemento dentale" 24 si era già ridotta dalla classe 2 secondo Miller alla classe 1. L'attacco del tessuto molle era a livello del vicino dente 23. Inoltre, la paziente non presentava sintomi endodontici o periodontali, quindi la prognosi è stata rivista.
Tuttavia, poiché la maggior parte del tessuto osseo buccale e prossimale è mancante e il materiale composito di ricostruzione si estende fino alla sezione apicale della radice, per ragioni biologiche non è possibile attendersi un livello di riattacco più elevato (Sculean et al., 2008).
Il rialzo del seno mascellare e le procedure GBR risulteranno probabilmente in un sito alveolare in grado di sostenere gli impianti e in una buona prognosi (Retzepi e Donus, 2010, Calin et al., 2014). Dopo l'osteointegrazione, gli impianti saranno ricostruiti con corone splintate in corrispondenza delle posizioni 25 e 26. Se uno dei due denti dovrà essere estratto, sarà sostituito con una corona singola sostenuta dall'impianto.
Selezione del dispositivo chirurgico
Grazie alla sua azione precisa e delicata, sia lo sbrigliamento periodontale che l'apicectomia in corrispondenza del sito 24 sono stati eseguiti con un'unità piezoelettrica (Fig. 19). Per evitare il rischio di perdita del dente, è stato necessario eseguire una pulizia completa senza però esercitare pressione eccessiva. Il dispositivo si è rivelato utile anche per sbrigliare il tessuto osseo in corrispondenza del sito chirurgico, funzione esercitata ottimamente grazie allo specifico effetto di cavitazione e alle caratteristiche di taglio della tecnologia.
La sede dell'impianto è stata preparata con un nuovo motore per impianto (Fig. 20), in combinazione con un manipolo contrangolo progettato specificamente per chirurgia e implantologia odontoiatrica.
La velocità di trasmissione 20:1 e l'elevata coppia del motore dell'impianto, fino a 6,2 Ncm, hanno permesso una preparazione, un inserimento dell'impianto e una maschiatura a bassa velocità. La preparazione finale fino alla membrana del seno mascellare è stata ancora una volta eseguita con l'unità piezoelettrica e uno strumento diamantato arrotondato.
Da un punto di vista pratico, l'utilizzo sia dell'unità piezoelettrica che del motore per impianto nello stesso intervento possono sembrare complicati. Tuttavia, la programmazione e il funzionamento di entrambi i dispositivi hanno curve di apprendimento piatte.

Inoltre, il nuovo controllo al piede in modalità senza cavi (Fig. 21) aziona entrambi i dispositivi selettivamente mediante la semplice attivazione a pedale.
Il controllo al piede può essere spostato comodamente con la maniglia. Tutte queste caratteristiche nel complesso permettono al chirurgo di concentrarsi sull'area di intervento e, prima di tutto, sul paziente.


Ramon Boninsegna, medico chirurgo odontoiatrico con dottorato
Chirurgo odontoiatrico (specialista), studio privato a Brescia, Italia; Sezione di Anatomia e Fisiopatologia, Dipartimento di Scienze Sperimentali e Cliniche, Università di Brescia
Centro Medico Duca d’Aosta
Via Duca D’Aosta, 28
25121 Brescia

Luca Bovolato, medico chirurgo odontoiatrico
Medico dentista generico, specializzato in endodonzia e odontoiatria ricostruttiva;
studio privato a Brescia, Italia
Riferimenti
- Baldi, D., Menini, M., Pera, F., Ravera, G. & Pera, P. (2011) Sinus floor elevation using osteotomes or piezoelectric surgery. Int J Oral Maxillofac Surg 40, 497-503.
- Calin, C., Petre, A. & Drafta, S. (2014) Osteotome-mediated sinus floor elevation: a systematic review and meta-analysis. Int J Oral Maxillofac Implants 29, 558-576.
- Foce, E. (2009) Lesioni endo-paradontali. Milano: Quintessenza Edizioni.
- Hajishengallis, G. & Lamont, R. J. (2012) Beyond the red complex and into more complexity: the polymicrobial synergy and dysbiosis (PSD) model of periodontal disease etiology. Mol Oral Microbiol 27, 409-419.
- Jensen, S. S., Bosshardt, D. D., Gruber, R. & Buser, D. (2014) Long-term stability of contour augmentation in the esthetic zone: histologic and histomorphometric evaluation of 12 human biopsies 14 to 80 months after augmentation. J Periodontol 85, 1549-1556.
- Nair, P. N. (1997) Apical periodontitis: a dynamic encounter between root canal infection and host response. Periodontol 2000 13, 121-148.
- Retzepi, M. & Donos, N. (2010) Guided Bone Regeneration: biological principle and therapeutic applications. Clin Oral Implants Res 21, 567-576.
- Sanz-Sanchez, I., Ortiz-Vigon, A., Sanz-Martin, I., Figuero, E. & Sanz, M. (2015) Effectiveness of Lateral Bone Augmentation on the Alveolar Crest Dimension: A Systematic Review and Meta-analysis. J Dent Res 94, 128s-142s.
- Schlee, M. & Esposito, M. (2009) Aesthetic and patient preference using a bone substitute to preserve extraction sockets under pontics. A cross-sectional survey. Eur J Oral Implantat 2, 209-217.
- Sculean, A., Nikolidakis, D. & Schwarz, F. (2008) Regeneration of periodontal tissues: combinations of barrier membranes and grafting materials - biological foundation and preclinical evidence: a systematic review. J Clin Periodontol 35, 106-116.
- Tan, W. L., Wong, T. L. T., Wong, M. C. M. & Lang, N. P. (2012) A systematic review of post-extractional alveolar hard and soft tissue dimensional changes in humans. Clin Oral Implants Res 23, 1-21.
- Wallace, S. S., Tarnow, D. P., Froum, S. J., Cho, S. C., Zadeh, H. H., Stoupel, J., Del Fabbro, M. & Testori, T. (2012) Maxillary sinus elevation by lateral window approach: evolution of technology and technique. J Evid Based Dent Pract 12, 161-171.
- Wolff, J. (1986) The Laws of Bone Remodeling (translated by Maquet, P., Furlang, R.). Berlin: Springer.
- Wolff, J. & Wessinghage, D. H. (1892) Das Gesetz der Transformation der Knochen. Berlin: Hirschwald.
- Zhen, F., Fang, W., Jing, S. & Zuolin, W. (2012) The use of a piezoelectric ultrasonic osteotome for internal sinus elevation: a retrospective analysis of clinical results. Int J Oral Maxillofac Implants 27, 920-926.
Commenti