Rialzo del seno interno: la piezochirurgia orientata al paziente
di Dr Mario Kirste (Frankfurt / Oder)
Pubblicato per la prima volta su EDI 1/2019, pagina 108-110
Foto: © Dr Kirste
Il rialzo del pavimento sinusale transalveolare produce meno complicanze e disturbi post-operatori rispetto all'accesso laterale. Inoltre, la procedura piezochirurgica non richiede l'utilizzo, alquanto ostico, di un osteotomo. Il seguente esempio su un paziente mostra come viene utilizzato un nuovo kit di strumenti per la preparazione della sede dell'impianto per la piezochirurgia e il rialzo della membrana di Schneider.
É possibile evitare il rialzo del pavimento sinusale con l'ausilio di impianti corti [1]. Tuttavia, il volume osseo disponibile risulta spesso insufficiente anche in questo caso. A distanza di cinque anni, gli impianti fino a 8 mm di lunghezza hanno altresì una prognosi meno favorevole rispetto a quelli più lunghi [2]. Mettendo a confronto i diversi metodi, l'approccio transalveolare (interno) presenta prognosi dell'impianto simili a quelle ottenute attraverso la finestra laterale [3]. Nel rialzo del seno interno, l'anatomia del seno mascellare determina il volume di accrescimento che si può ottenere. I seni mascellari lunghi e stretti sono da considerarsi più favorevoli rispetto a quelli con pavimenti piani [4].
I disturbi post-operativi tendono a diminuire con la procedura transalveolare piuttosto che con quella laterale [5]. I sistemi chirurgici piezoelettrici offrono ulteriori vantaggi rispetto agli strumenti rotanti e manuali, come ad esempio, un'apertura particolarmente atraumatica del seno mascellare con una tecnica operatoria adeguata [6]. Per generare un effetto cavitazione conforme è necessaria un'altezza ossea residua pari circa a 4 mm.
Se si adotta il convenzionale approccio transalveolare utilizzando strumenti manuali, i pazienti percepiscono la procedura stessa più invasiva rispetto a quella laterale [7]. Ciò è dovuto principalmente all'azione martellante associata agli osteotomi. Quando si impiega una tecnologia piezochirurgica adeguata, il risultato è un approccio particolarmente attento al paziente. La membrana di Schneider può essere inoltre sollevata atraumaticamente e idrodinamicamente grazie all'effetto cavitazione [8].
Caso di studio
Una paziente di 49 anni, non fumatrice e con un'anamnesi priva di elementi rilevanti, è stata indirizzata al nostro studio di chirurgia orale per l'estrazione chirurgica del dente 16 ed il successivo impianto. Dopo l'estrazione, la paziente ha accusato dei lievi dolori causati dalla sinusite, motivo per cui abbiamo inizialmente aspettato sei mesi prima di procedere con l'intervento. L'altezza ossea residua in corrispondenza della posizione dell'impianto misurava 3-4 mm (Fig. 1 e 2).

Sono gli strumenti a svolgere il lavoro
Dopo la preparazione atraumatica del lembo mucoperiosteo, con l'ausilio dello strumento I1 è stata contrassegnata la posizione e preparata la sede dell'impianto fino ad avvertire la resistenza iniziale. Gli strumenti piezochirurgici sono stati utilizzati eseguendo un movimento verticale ascendente e discendente senza dover esercitare alcuna pressione. La vibrazione piezoelettrica ha generato la cavitazione richiesta ad elevata efficienza.
Lo strumento I2A (diametro 2,0 mm) è stato quindi impiegato per perforare il pavimento sinusale in modo graduale e su superfici molto ridotte. Tale metodo piezochirurgico previene il danneggiamento della membrana di Schneider. Durante l'utilizzo di Z25P, la membrana risultava già essere leggermente sollevata dal fluido di raffreddamento fornito attraverso la punta dello strumento (Fig. 3). La quantità di fluido di raffreddamento presente era solo del 50% per evitare che la sede dell'impianto registrasse un'elevata pressione.
Preparazione e accrescimento della sede dell'impianto
Dopo un controllo intermedio (Fig. 4) è stata eseguita un'ulteriore fase di preparazione (Fig. 5). Lo strumento idraulico Z35P è stato utilizzato in un secondo momento per sollevare la membrana sino alla posizione desiderata (Fig. 6 e 7). In seguito alla suddetta operazione, si è proceduto ad una ulteriore preparazione piezochirurgica della sede dell'impianto conclusasi con l'applicazione della fresa e della fresa a spallamento sul diametro dell'impianto di 4,8 mm. Il materiale di rinforzo (dimensione delle particelle di ca. 0,8 - 1,6 mm) è stato introdotto sotto la membrana di Schneider prima che venisse inserito l'impianto (Fig. 8).
Impianto e ricostruzione protesica
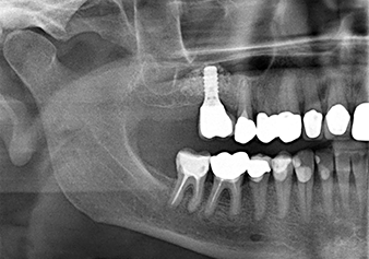
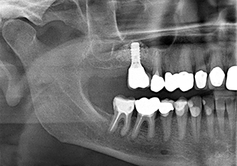
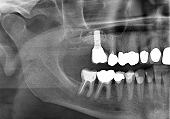
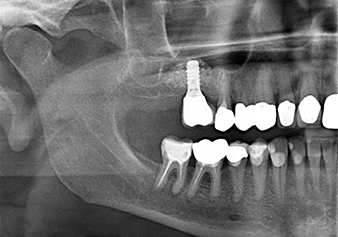
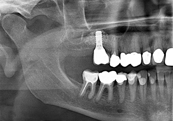
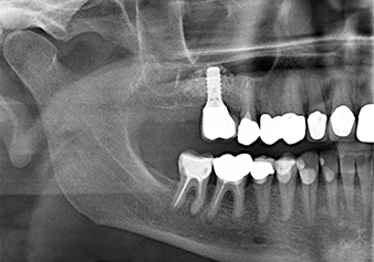
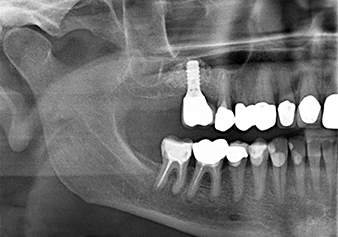
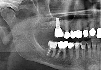
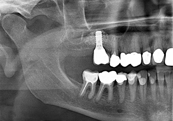
L'impianto è stato inserito manualmente e molto lentamente affinché il materiale di rinforzo potesse essere spostato atraumaticamente nella direzione del seno mascellare (Fig. 9). Nel corso del processo, la membrana è stata nuovamente spinta in direzione craniale. Due mesi dopo, il sito chirurgico si era cicatrizzato senza irritazioni. A distanza di sei mesi, la radiografia mostra un sensibile aumento dell'opacità intesa come prima comparsa di un centro di ossificazione (Fig. 10). La ricostruzione protesica è stata realizzata con una corona in metallo-ceramica.








Discussione
Le operazioni relative al rialzo interno del seno mascellare sono tradizionalmente eseguite con strumenti manuali, effettuando dei movimenti incalzanti, in combinazione con la preparazione della sede dell'impianto realizzata con gli strumenti rotanti. Sulla base dell'esperienza dell'autore, i moderni sistemi chirurgici piezoelettrici rendono tale procedura notevolmente meno traumatica; l'effetto cavitazione consente un utilizzo pratico e senza alcuna pressione. Gli strumenti vengono utilizzati sia per la preparazione della sede dell'impianto che per l'apertura minimamente invasiva del pavimento del seno mascellare e l'elevazione idrodinamica della membrana di Schneider [8].
Stando alle esperienze pratiche dell'autore, la membrana viene regolarmente sollevata in due fasi. In alternativa, è da considerarsi idoneo anche il metodo specificato dal produttore, in base al quale viene inizialmente preparata la sede dell'impianto e solo successivamente viene aperto il pavimento del seno con lo strumento Z35P su superfici ridotte. Tale metodo, decisamente atraumatico, ha permesso al paziente di non accusare alcun dolore post-operatorio e di ritornare al lavoro il giorno seguente. Sulla base dell'esperienza dell'autore, ciò vale per il 90% dei pazienti.
Il metodo di lavoro conta
Il sistema consente di risparmiare il tempo di preparazione della sede dell'impianto e durante il rialzo del pavimento sinusale. L'efficace funzionamento dei nuovi strumenti insieme a Piezomed, comporta una corretta operatività per evitare la rimozione di una grande quantità di osso. Il dispositivo riconosce automaticamente lo strumento utilizzato in ogni singolo caso semplificando ulteriormente il controllo qualità.
maggiori informazioni
Bibliografia
- Zadeh HH, Gulje F, Palmer PJ, Abrahamsson I, Chen S, Mahallati R, et al. Marginal bone level and survival of short and standard-length implants after 3 years: An Open Multi-Center Randomized Controlled Clinical Trial. Clinical oral implants research 2018.
- Lemos CA, Ferro-Alves ML, Okamoto R, Mendonca MR, Pellizzer EP. Short dental implants versus standard dental implants placed in the posterior jaws: A systematic review and meta-analysis. J Dent 2016;47:8-17.
- Starch-Jensen T, Aludden H, Hallman M, Dahlin C, Christensen AE, Mordenfeld A. A systematic review and meta-analysis of long-term studies (five or more years) assessing maxillary sinus floor augmentation. International journal of oral and maxillofacial surgery 2018;47:103-116.
- Stacchi C, Lombardi T, Ottonelli R, Berton F, Perinetti G, Traini T. New bone formation after transcrestal sinus floor elevation was influenced by sinus cavity dimensions: A prospective histologic and histomorphometric study. Clinical oral implants research 2018;29:465-479.
- Farina R, Franceschetti G, Travaglini D, Consolo U, Minenna L, Schincaglia GP, et al. Morbidity following transcrestal and lateral sinus floor elevation: a randomized trial. J Clin Periodontol 2018.
- Rickert D, Vissink A, Slater JJ, Meijer HJ, Raghoebar GM. Comparison between conventional and piezoelectric surgical tools for maxillary sinus floor elevation. A randomized controlled clinical trial. Clinical implant dentistry and related research 2013;15:297-302.
- Al-Dajani M. Recent Trends in Sinus Lift Surgery and Their Clinical Implications. Clinical implant dentistry and related research 2014.
- Kuhl S, Kirmeier R, Platzer S, Bianco N, Jakse N, Payer M. Transcrestal maxillary sinus augmentation: Summers' versus a piezoelectric technique--an experimental cadaver study. Clinical oral implants research 2016;27:126-129.
Commenti