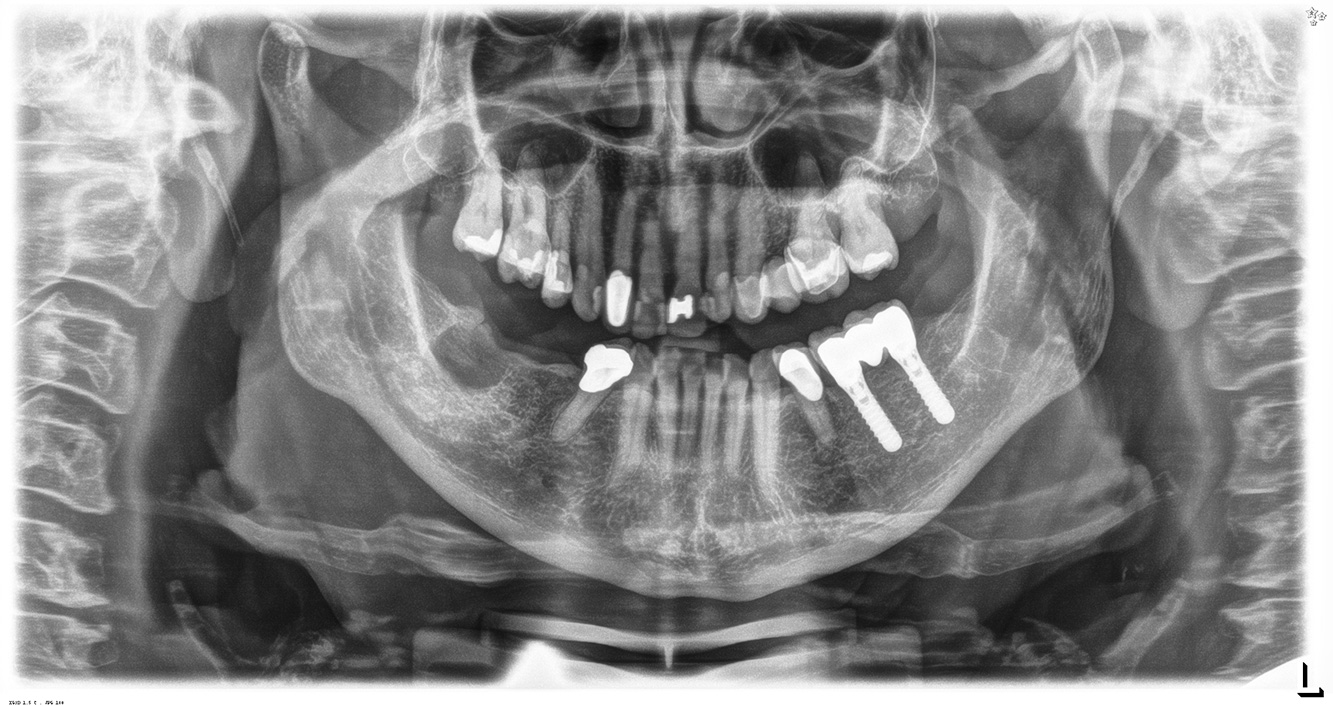
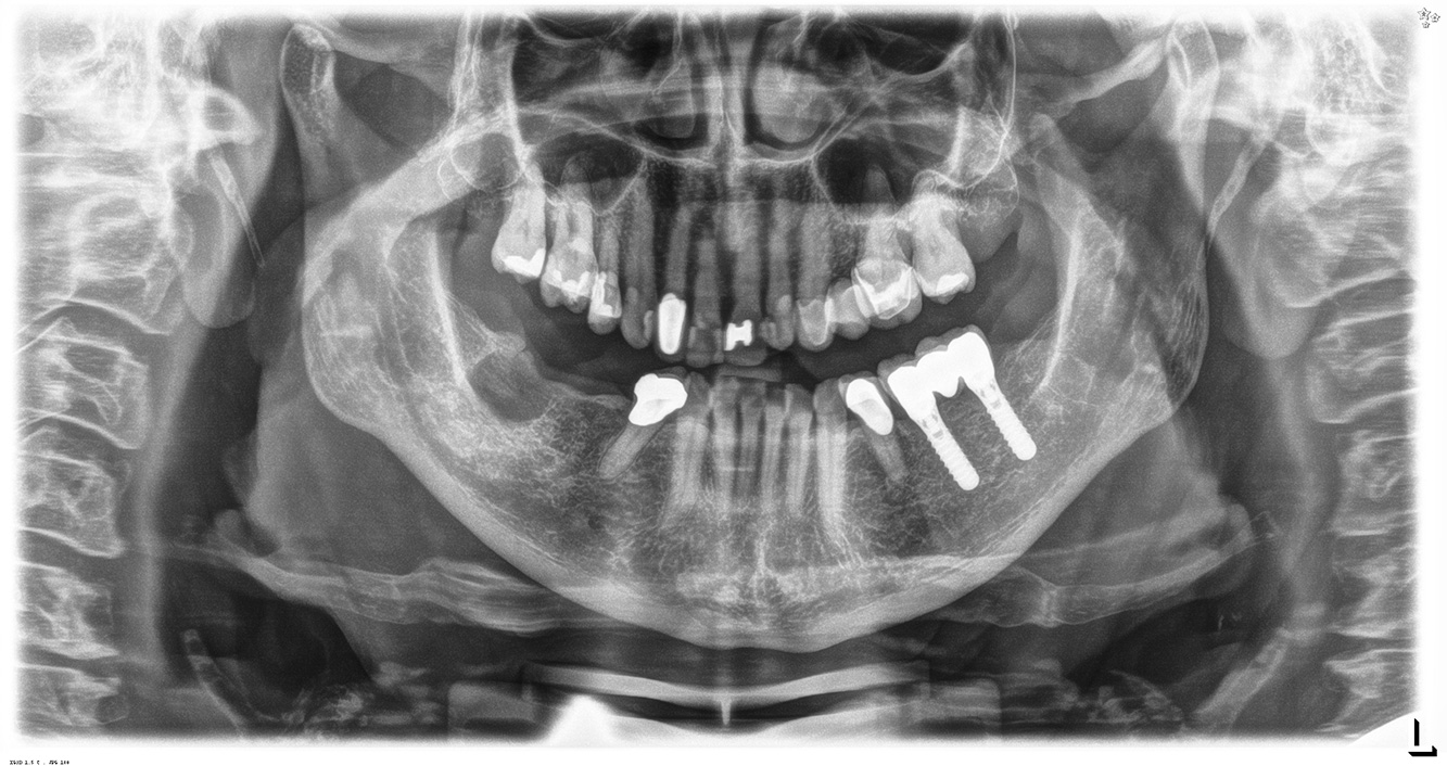
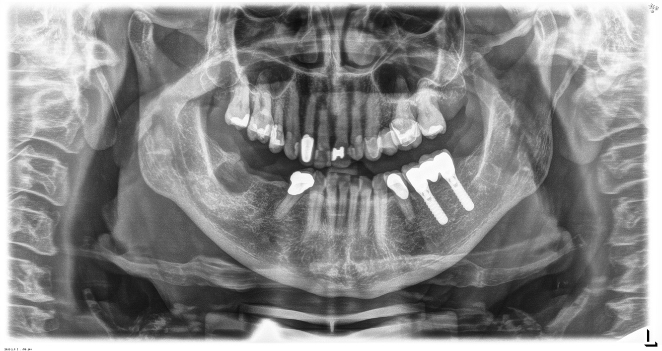
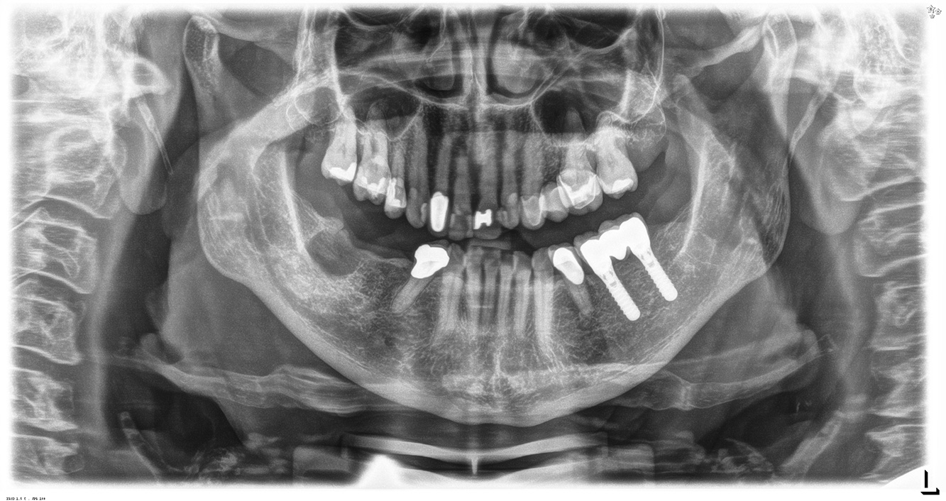
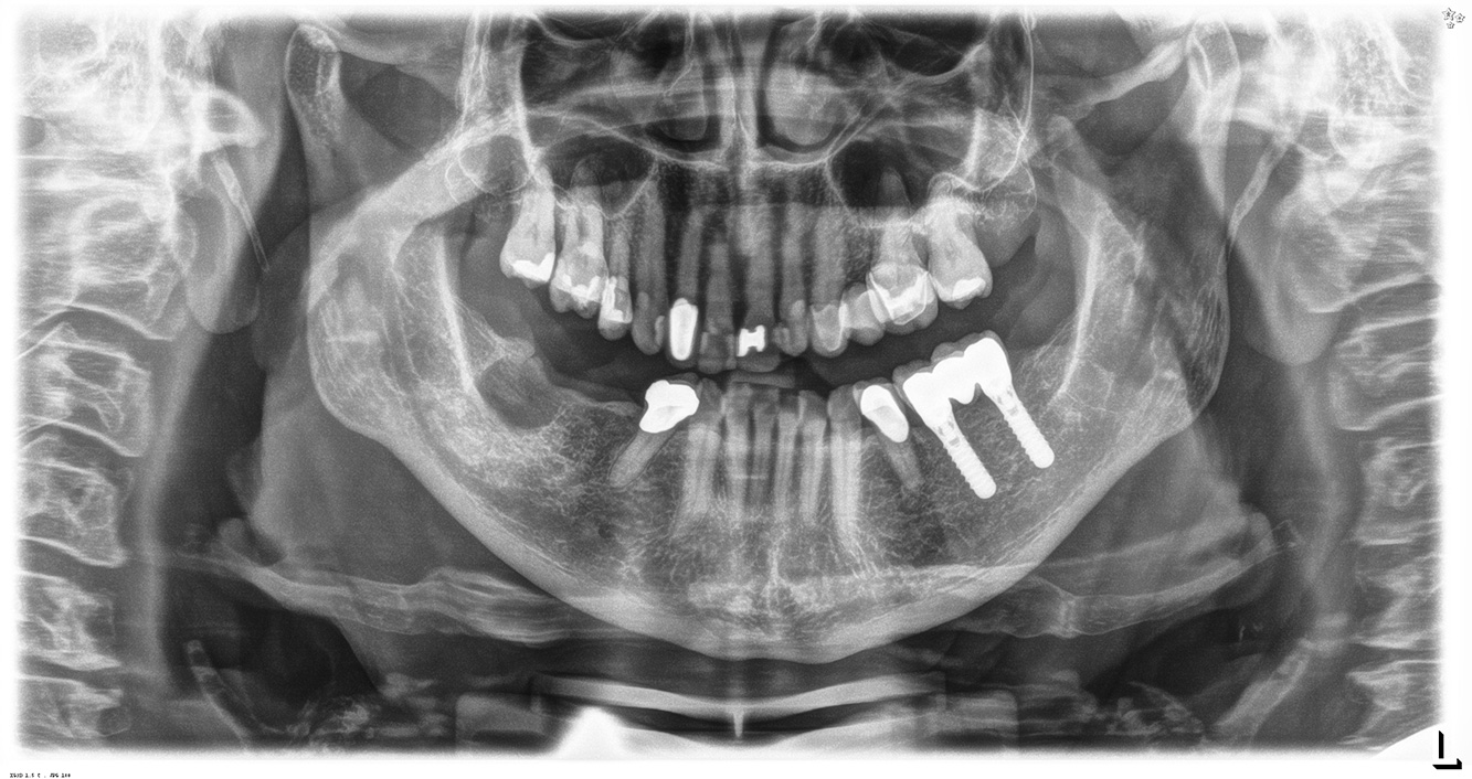
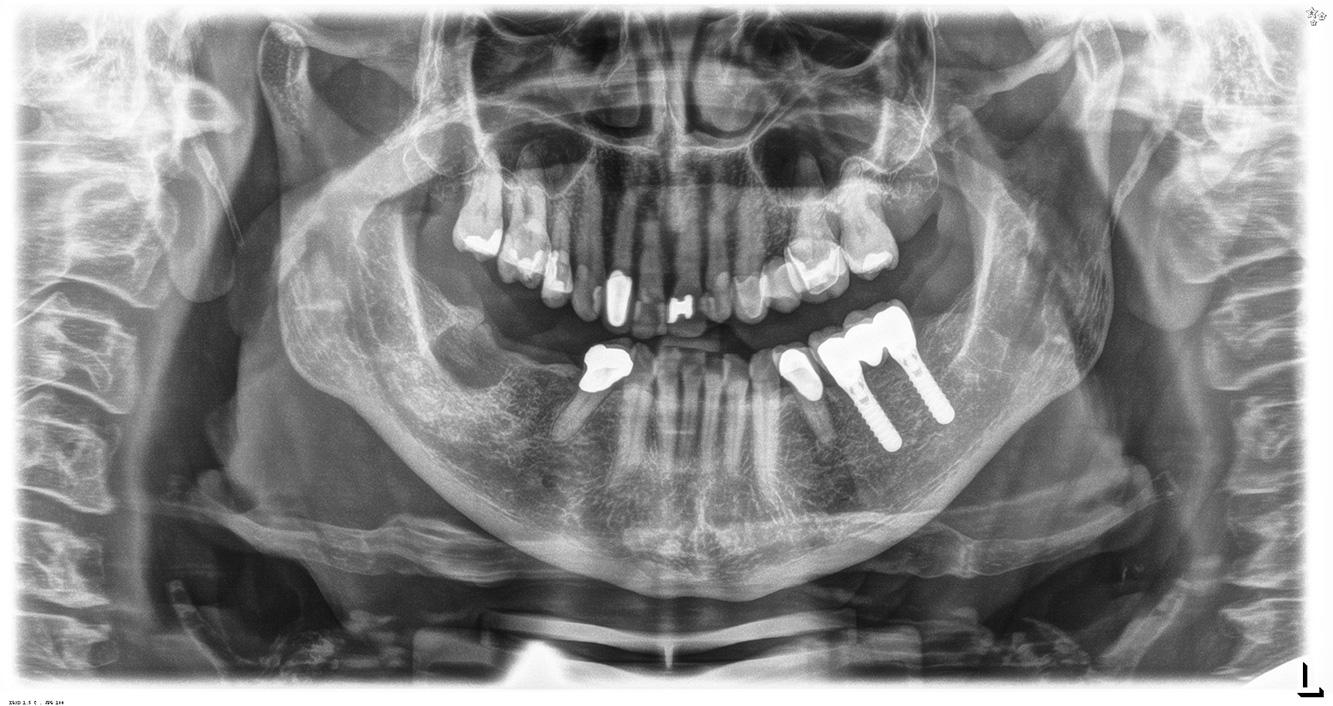
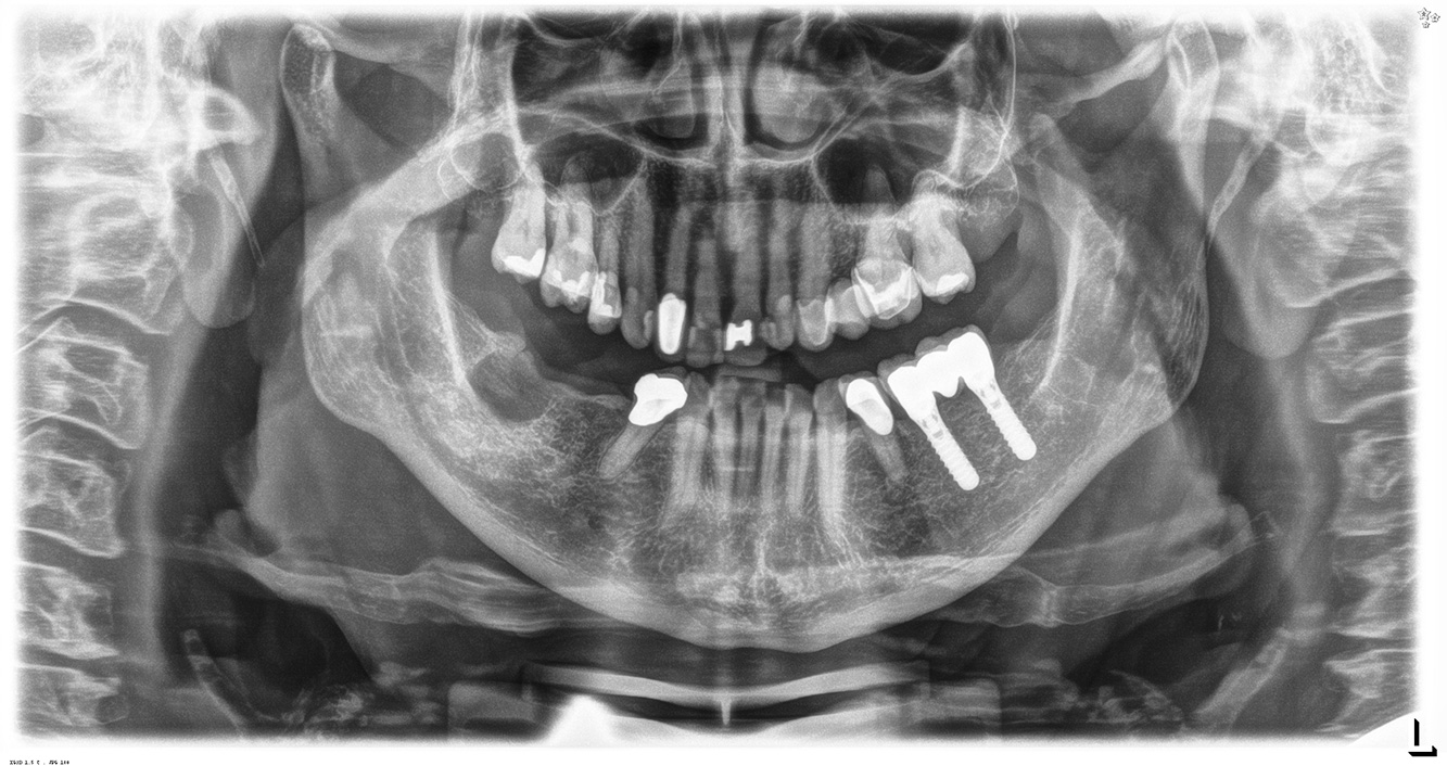
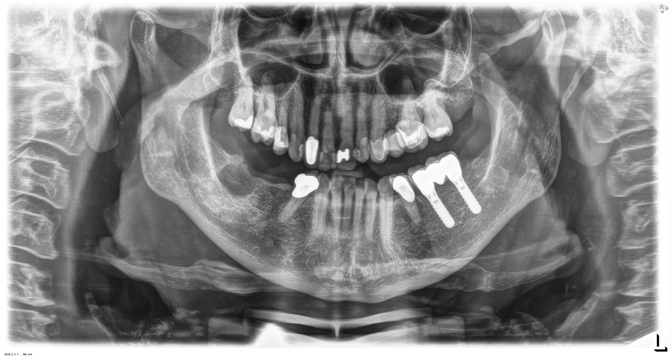
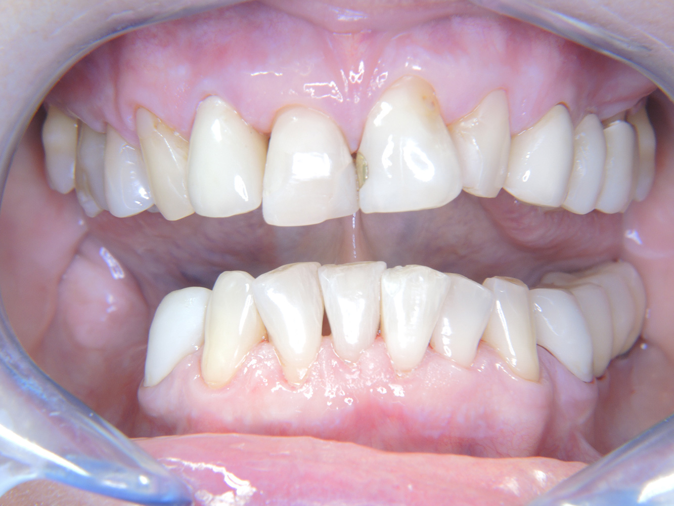
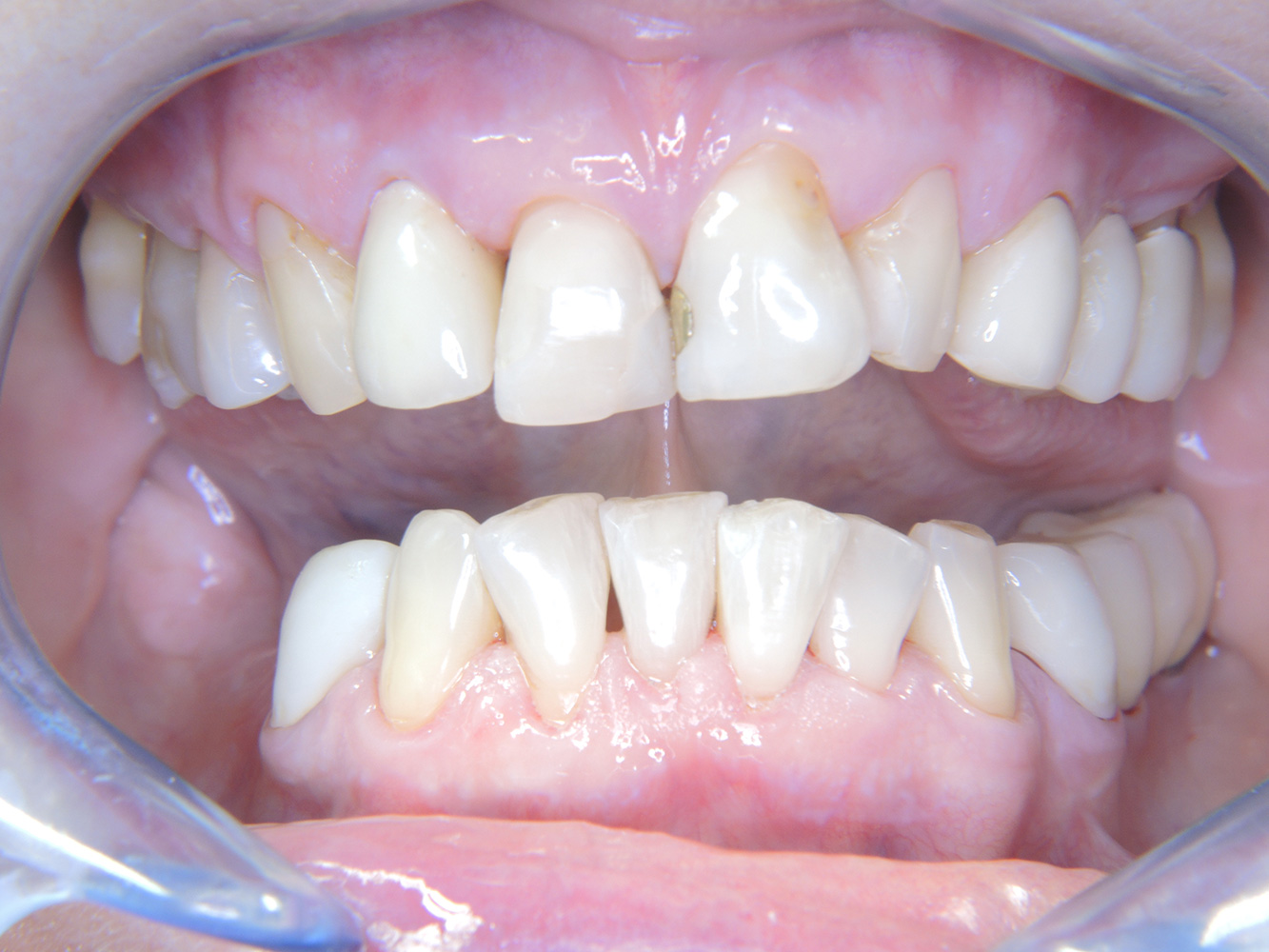
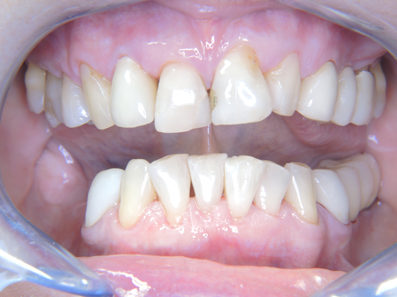
La paziente sana con precedente patologia parodontale*


Questa paziente di 68 anni non presenta alcuna patologia precedente né segue alcuna terapia che possano ritenersi rilevanti dal punto di vista odontoiatrico, e il suo stile di vita non comporta alcun rischio particolare. La paziente ha due impianti (3° quadrante, da cinque anni) e una precedente patologia parodontale (parodontite allo stadio IV, grado B) con perdita del dente. Al momento le condizioni parodontali sono stabili, tuttavia la parodontite aumenta in misura significativa le complicazioni biologiche degli impianti e c'è dunque il rischio di perdita dell'impianto (21). Per la seduta di profilassi si possono formulare quattro consigli.



Siccome la paziente non presenta alcun fattore di rischio particolare con specifiche implicazioni odontoiatriche, i bisogni rilevati dal suo attuale stato
di salute orale sono determinanti. In questo caso, si consiglia una valutazione accurata della condizione parodontale una volta l'anno. In questo modo si ha la certezza di poter intervenire in tempo qualora la precedente patologia parodontale dovesse progredire o si sviluppasse una perimplantite.

Nonostante le condizioni stabili, anche per questa paziente non si può rinunciare a un colloquio motivazionale/istruttivo. In particolare, bisogna insegnare alla paziente come prendersi cura correttamente del proprio impianto. Nella sua situazione, infatti, una buona igiene domestica può
influire molto sulla stabilità a lungo termine della sua salute orale e dell'impianto.

Per quanto riguarda gli strumenti, per gli impianti servono procedure specifiche. Al fine di preservare la superficie dell'impianto e al tempo stesso pulirlo in maniera efficace, è fondamentale scegliere le polveri e gli strumenti giusti come l'impiego mirato di air-polisher con speciali punte Paro. La scelta della polvere più adatta viene fatta tenendo in considerazione esigenze e rischi. Ad esempio, oltre al giusto grado di abrasività, si possono valutare anche aspetti legati all'alimentazione (tra cui alimenti privi di zucchero, a basso contenuto di sale).

Siccome la paziente ha impianti e una malattia parodontale precedente, è a rischio di sviluppare una perimplantite. È pertanto consigliabile fissare
una seduta di richiamo ogni tre-quattro mesi.
* per gentile concessione di Dr G. Schmalz e Prof. Dr. D. Ziebolz MSc.
Individual Prophy Cycle – Il concetto di prevenzione orientato al paziente

Priv-Doz Il dottor Gerhard Schmalz è un medico senior presso il Policlinico per la conservazione dei denti e la parodontologia, Ospedale universitario di Lipsia, Lipsia (Direttore: Prof Dr Rainer Haak).

Il Prof Dr Dirk Ziebolz MSc è un medico senior presso il Policlinico per la conservazione dei denti e la parodontologia, Centro medico dell'Università di Lipsia (Direttore: Prof Dr R. Haak); con particolare attenzione alla conservazione interdisciplinare dei denti e alla ricerca sui servizi sanitari.
Bibliografia
- Chapple IL, Bouchard P, Cagetti MG, Campus G, Carra MC, Cocco F, et al. Interaction of lifestyle, behaviour or systemic diseases with dental caries and periodontal diseases: consensus report of group 2 of the joint EFP/ORCA workshop on the boundaries between caries and periodontal diseases. J Clin Periodontol. 2017;44 Suppl 18:S39-s51
- Schmalz G, Ziebolz D, Individualisierte Prävention-ein patientenorientiertes Präventionskonzept für die zahnärztliche Praxis, ZWR- Das deutsche Zahnärzteblatt 2020;129;147-156
- Fresmann S., So sieht eine durchdachtes Prophylaxekonzept aus; Dental Magazin: Deutscher Ärzteverlag GmbH; 2015
- Schmalz G, Ziebolz D, Individualisierte Prävention-fallorientierte Bedarfsprävention, ZWR- Das deutsche Zahnärzteblatt 2020;129;33-41
- Schmalz G, Ziebolz D, Individualisierte Prävention-Implikation allgemeingesundheitlicher Faktoren, ZWR- Das deutsche Zahnärzteblatt 2019;128;295-304
- Wang C, Zhao Y, Zheng S, Xue J, Zhou J, Tang Y, et al. Effect of enamel morphology on nanoscale adhesion forces of streptococcal bacteria: An AFM study. Scanning. 2015;37(5):313-21
- Pence SD, Chambers DA, van Tets IG, Wolf RC, Pfeiffer DC. Repetitive coronal polishing yields minimal enamel loss. Journal of dental hygiene: JDH. 2011;85(4):348-57.
- Kumar PS. From focal sepsis to periodontal medicine: a century of exploring the role of the oral microbiome in systemic disease. The Journal of Physiology. 2017;595(2):465-76
- Lalla E, Papapanou PN. Diabetes mellitus and periodontitis: a tale of two common interrelated diseases. Nature Reviews Endocrinology. 2011;7:738
- Miller WR, Moyers TB. Eight Stages in Learning Motivational Interviewing. Journal of Teaching in the Addictions. 2006;5(1):3-17
- Paradigmenwechsel im Biofilmmanagement [Internet]. Spitta GmbH. 2014. https://www.pnc-aktuell.de/prophylaxe/story/paradigmenwechsel-im-biofilmmanagement__3512.html
- Christensen RP, Bangerter VW. Determination of rpm, time, and load used in oral prophylaxis polishing in vivo. J Dent Res. 1984; 63(12):1376-1382
- Graumann SJ, Sensat ML, Stoltenberg JL. Air polishing: a review of current literature. Journal of dental hygiene : JDH. 2013;87(4):173-80
- Bordoloi P, Ramesh A, Thomas B, Bhandary R. Epidemiological survey of dentinal hypersensitivity after oral prophylaxis. J Cont Med A Dent. 2018;6(1)
- James P, Worthington HV, Parnell C, Harding M, Lamont T, Cheung A, et al. Chlorhexidine mouthrinse as an adjunctive treatment for gingival health. The Cochrane database of systematic reviews. 2017;3:Cd008676
- Sawai MA, Bhardwaj A, Jafri Z, Sultan N, Daing A. Tooth polishing: The current status. Journal of Indian Society of Periodontology. 2015;19(4):375-80
- Slayton RL, Urquhart O, Araujo MWB, Fontana M, Guzman-Armstrong S, Nascimento MM, et al. Evidence-based clinical practice guideline on nonrestorative treatments for carious lesions: A report from the American Dental Association. J Am Dent Assoc. 2018;149(10):837-49 e19
- Gleissner E. Erfolgreiche Prävention auch in schwierigen Fällen. Allgemeine Zahnheilkunde: ZMK-aktuell; 2019
- Derks J, Schaller D, Hakansson J, Wennstrom JL, Tomasi C, Berglundh T. Effectiveness of Implant Therapy Analyzed in a Swedish Population: Prevalence of Peri-implantitis. Journal of dental research 2016;95:43-49
- Newton JT, Asimakopoulou K. Managing oral hygiene as a risk factor for periodontal disease: a systematic review of psychological approaches to behaviour change for improved plaque control in periodontal management. Journal of Clinical Periodontology 2015;42:S36-S46
- Veitz-Keenan A, James R, Implant outcomes poorer in patients with history of periodontal disease, Evicénce-Based-Dentistry 18, 5 (2017)
Commenti