Gestione del microfilm con tecnologia ad ultrasuoni
del Prof. Dirk Ziebolz e Barbara Kampfmann
First published: Implantologie Journal 3/2019
Il mantenimento costante della salute perimplantare e la prevenzione associata e mirata della malattia perimplantare sono essenziali per garantire il successo dell'impianto a lungo termine. (1-3) Di conseguenza, la cura professionale e orientata alla prevenzione dei pazienti implantari nell'ambito della terapia implantare di supporto (SIT) è di particolare importanza. (3-7) Il caso descritto illustra la possibilità di impiegare uno scaler ad ultrasuoni piezoelettrico nell'ambito di SIT per la pulizia efficace della superficie dei denti e degli impianti.
Da un lato, è importante in SIT che il paziente pratichi una buona igiene orale a casa. Ad esempio, il paziente dovrebbe essere regolarmente incoraggiato ad adottare adeguate misure di igiene orale e anche istruito sulla correttezza della stessa.. (2) D'altra parte, è essenziale anche la cura dentale professionale, compreso il controllo clinico regolare e la pulizia dell'impianto eseguita dal team dentale. (2)
La pulizia meccanica regolare dell'impianto e delle superfici dei denti è al centro dell'attenzione nella fase post-impianto. A questo proposito, è possibile attingere alle procedure ampiamente collaudate impiegate nella terapia parodontale di supporto (SPT). L'uso di curette e scaler standard, nonché di strumenti sonici e ultrasonici oscillanti, sia singolarmente che in combinazione, si è affermato come lo standard di riferimento per la rimozione meccanica del biofilm. (8) Sembra quindi ovvio che l'uso di tali strumenti si potrebbe dimostrare sicuro ed efficace anche nei trattamenti post-impianto. Di conseguenza, esiste una vasta gamma di diversi strumenti e sistemi specifici disponibili per la pulizia meccanica degli impianti: ad esempio strumenti manuali (scaler, curette), strumenti sonici e ultrasonici oscillanti, dispositivi di air-polishing e sistemi basati su laser. (2,9-12)
Una gamma di curette e scaler speciali in carbonio, titanio e plastica sono disponibili per la pulizia meccanica delle superfici degli impianti manuale. (13-15) Nel complesso, l'efficacia della rimozione del biofilm con gli strumenti manuali disponibili è valutata principalmente come inefficace. (11 Sebbene le curette in plastica, in particolare, abbiano un minimo effetto dannoso sulla superficie dell'impianto e offrano ai pazienti un elevato livello di comfort, la loro scarsa efficienza in termini di rimozione del biofilm e la loro incapacità di rimuovere il tartaro e le concrezioni sub-gengivali ne rendono l'uso controindicato.(16,17) Oggi, l'uso delle curette in carbonio e titanio è considerato più efficiente, con il risultato che, possono essere in parte raccomandate per l'uso come strumenti manuali. (11)
Oltre all'uso di strumenti manuali, si è evidenziato anche un utilizzo sempre maggiore di strumenti sonici ad aria e di strumenti ultrasonici piezoelettrici (scaler) per la pulizia delle superfici di denti e impianti. (11) Suggerimenti di lavoro differenti (ad es. su un carbonio o base PEEK) possono sussistere per evitare possibili danni e irritazioni durante la pulizia della superficie del moncone e della sovrastruttura. L'efficienza di pulizia è considerata buona. (11) L'uso di corrispondenti sistemi sonici / ultrasonici per la pulizia dell'impianto singolarmente o in combinazione con strumenti manuali può quindi essere ampiamente accettata dalla comunità scientifica dentale.
Tuttavia, nel complesso, si deve anche considerare che non è stato ancora chiarito in modo definitivo quale delle procedure sopra descritte, individualmente o in combinazione, possa essere impiegata nel modo più efficace per la prevenzione della malattia perimplantare. Nell'ambito della pulizia professionale dell'impianto, l'uso combinato di strumenti manuali e sonici / ultrasonici, eventualmente integrato con sistemi di air-polishing, appare raccomandabile. (18) Se utilizzati correttamente, è possibile ottenere e mantenere una situazione perimplantare stabile. È anche importante non trascurare la successiva lucidatura per levigare tutte le superfici di impianti e denti. Non si evidenziano ulteriori benefici clinici dall'applicazione di sostanze chimiche. (2,18) Secondo le nostre attuali conoscenze, l'uso di sistemi a ultrasuoni singolarmente o in combinazione con strumenti manuali speciali garantisce una strategia efficace per la prevenzione delle mucositi perimplantari e perimplantiti. Il caso descritto illustra la possibilità di utilizzare uno scaler ad ultrasuoni piezoelettrico per una pulizia efficace della superficie dei denti e degli impianti.

Descrizione del caso del paziente
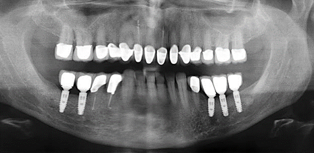
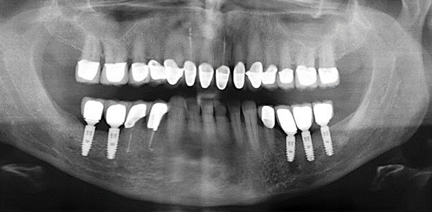
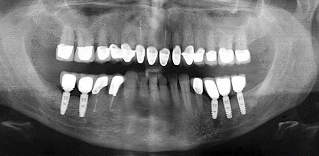
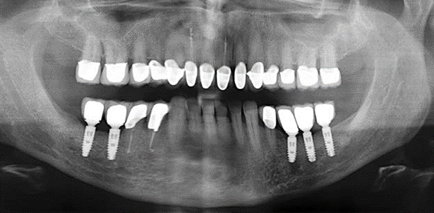
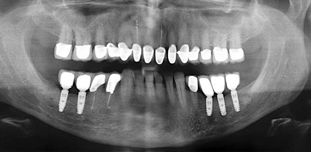
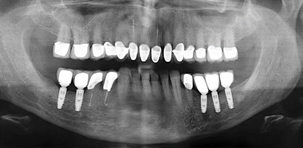
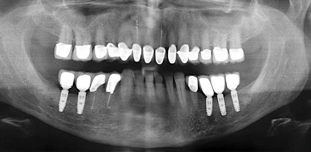
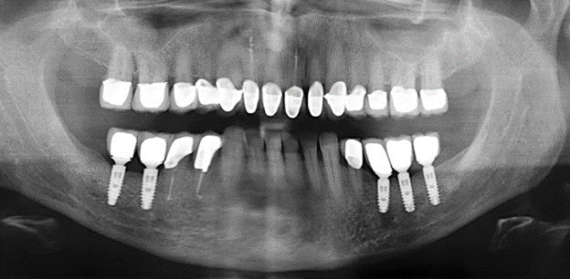
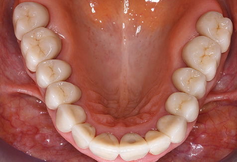
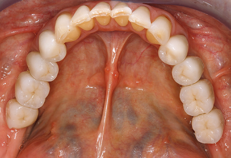
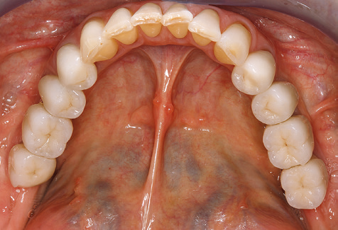
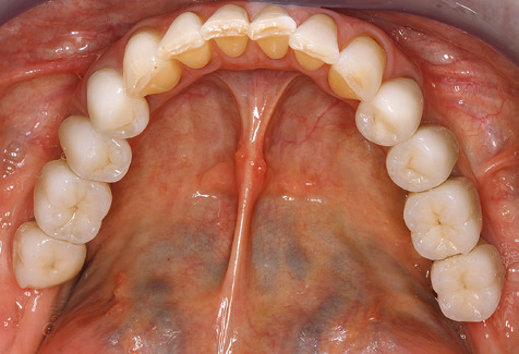
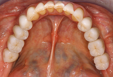
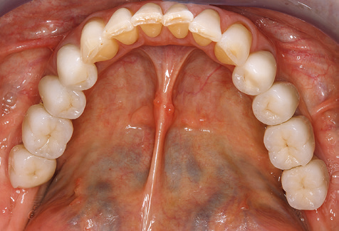
Un paziente di 52 anni si è presentato nella nostra clinica per la prima volta nel 2004 a seguito della perdita dei denti nel terzo quadrante, esprimendo il desiderio di un nuovo restauro protesico. La diagnostica parodontale e radiologica ha rivelato la necessità di un ampio trattamento parodontologico. Inoltre, ai denti 48, 28 e 27 è stata attribuita una prognosi molto scarsa e sono stati successivamente estratti (Fig. 1). A seguito del trattamento periodontologico sistematico completato con successo, è stato inserito una protesi dentale fissa con l'inserimento di cinque impianti nelle regioni dentali 35, 36, 37, 46 e 47. Il trattamento protesico dei denti naturali è stato effettuato con corone rivestite in ceramica di biossido di zirconio; gli impianti two-piece composti da abutment singoli in biossido di zirconio e corone similmente rivestite in ceramica di biossido di zirconio (base Cercon colorata, Dentsply Sirona Lab). L'inserimento definitivo del restauro protesico è avvenuto nel 2005.
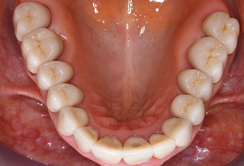
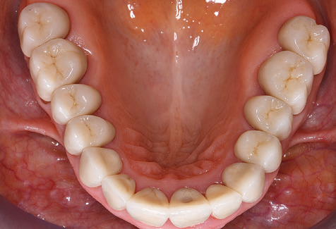
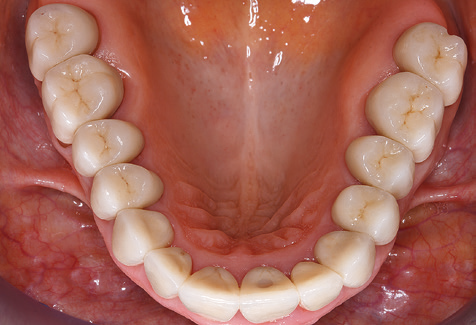
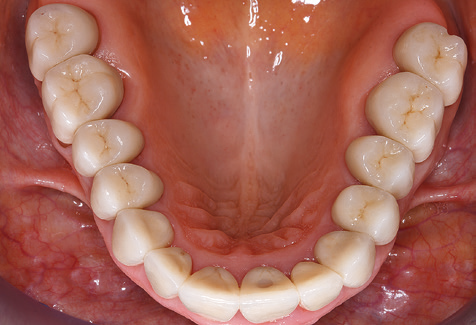
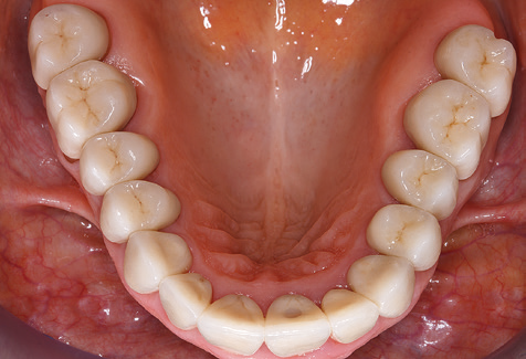
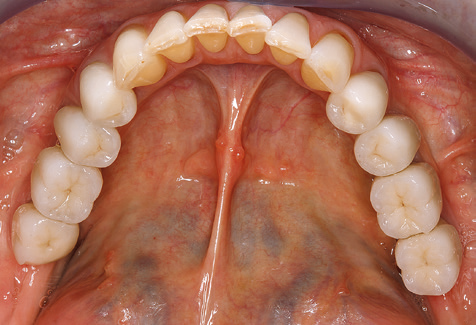
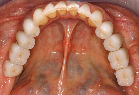
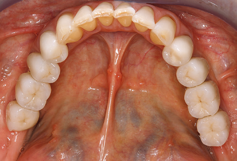
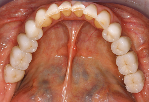
A causa della presenza di problematica parodontale, SPT è stata eseguita ogni tre mesi nei primi anni successivi all'inserimento. Il paziente ha dimostrato un alto grado di motivazione e una buona costanza. Le profondità di tasca registrate ogni anno hanno rivelato una situazione parodontale stabile con un indice BOP inferiore al cinque per cento. Sulla base della situazione parodontale stabile e della buona collaborazione da parte del paziente, l'intervallo di richiamo è stato esteso ogni sei mesi a partire dal sesto anno dalla fase della funzione protesica. A seguito della modifica dell'intervallo di richiamo, la rispettiva documentazione annuale dello stato parodontale ha continuato a rivelare una situazione parodontale stabile senza aumento della profondità della tasca e un indice BOP inferiore al cinque per cento (Fig. 2a eb).
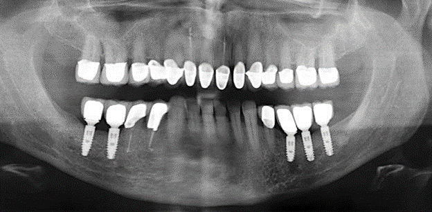
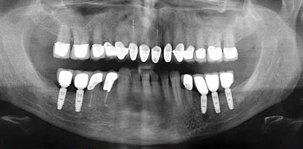
Il controllo decennale non ha rivelato alcuna indicazione dell'avanzamento della perdita di attaccamento clinico o della perdita di sostanza ossea perimplantare (Fig. 3).
Il paziente continua a visitare la clinica ogni sei mesi per SIT. Di seguito, il paziente viene preso come esempio per dimostrare le singole fasi di lavoro in una sessione SPT strutturata poiché è stata eseguita con quasi nessuna modifica negli ultimi 12 anni. Naturalmente, alcuni nuovi materiali e dispositivi sono stati integrati nel operato nel corso degli anni. Questo rapporto clinico presenta l'attuale materiale ed operato.


Fig. 2: Le profondità delle tasche registrate ogni anno con SPT semestrale non mostrano una tendenza in aumento e un indice BOP inferiore al 5% con una situazione parodontale in gran parte priva di infiammazione. a) status PERIO nel 2011 (dopo cinque anni con impianti). b) status PERIO nel 2016 (dopo dieci anni con impianti).

L'attuale piano di lavoro per SPT
L'aggiornamento della storia medica del paziente è un aspetto importante di SPT e dovrebbe avvenire almeno una volta all'anno. Aiuta il team dentale a identificare e documentare eventuali nuovi fattori di rischio. Soprattutto quando un paziente viene curato per molti anni, è importante stabilire se i fattori di rischio per la salute specifici del paziente e generali sono cambiati. Ciò riguarda principalmente un aumento del rischio a causa del diabete, ma altre condizioni generali (malattie cardiovascolari e neoplasia) possono anche produrre un profilo di rischio modificato a seguito del trattamento eseguito e della somministrazione dei farmaci. Di conseguenza, l'aggiornamento della storia medica come parte di SPT è molto importante, poiché un profilo di rischio modificato può innescare la necessità di adattare l'intervallo di trattamento. Nel passaggio successivo, è importante prestare la dovuta attenzione alla diagnostica. Mentre gli strumenti sono un aspetto centrale di SPT, i risultati e la loro documentazione non devono mai essere trascurati. I risultati parodontologici sono essenziali per una buona diagnosi; aumenti della profondità della tasca e l'indice BOP sono chiari indicatori dell'avanzamento della malattia parodontale e perimplantare. Pertanto, il team non dovrebbe evitare di sondare anche gli impianti, con l'obiettivo di raccogliere i dati richiesti. Allo stesso tempo, è importante utilizzare sonde parodontali con segni millimetrici. Le sonde metalliche sono già state utilizzate per determinare la profondità della tasca attorno ai denti naturali per decenni. Nel caso degli impianti, la sfida di registrare profondità delle tasche corrette e riproducibili è ancora maggiore. Poiché la discrepanza tra il diametro dell'impianto e il contorno della sovrastruttura si traduce regolarmente in un over-contouring della sovrastruttura, le sonde flessibili che presentano ancora marcature millimetriche sono una soluzione sensata per misurare la profondità della tasca attorno agli impianti (ad es. Colorvue Kit PCV11KIT6, HuFriedy; Fig. 4 ).






Nei pazienti senza particolari fattori di rischio, lo stato PERIO completo deve essere documentato almeno una volta all'anno. In casi con più fattori di rischio (diabete, fumo, ecc.), un monitoraggio più regolare (ogni sei mesi) può rivelarsi prudente.
Nell'ambito della diagnostica, è ovviamente importante considerare in quale fase le radiografie diventano necessarie. Al giorno d'oggi, la diagnostica a raggi X dovrebbe essere utilizzata solo quando i rischi giustificano la loro necessità. In particolare, ciò significa che i raggi X vengono eseguiti solo al fine di verificare i risultati clinici che puntano verso la progressione della malattia (aumento della profondità della tasca o indice BOP).
Naturalmente, l'uso di strumenti per la rimozione meccanica del biofilm è una componente centrale di SPT e quindi di importanza primaria. Di conseguenza, il flusso di lavoro SPT comprende sia la pulizia sopra-gengivale che sub-gengivale. Nel nostro piano di lavoro, una combinazione di strumenti manuali e
di dispositivi per la pulizia meccanica si è dimostrata vantaggiosa. Sono disponibili diverse opzioni per le procedure meccaniche: dispositivi sonici, dispositivi ad ultrasuoni e dispositivi di air-polishing.
Sebbene il principio fondamentale dei dispositivi a ultrasuoni rimanga il medesimo, negli ultimi anni sono state registrate numerose innovazioni, con conseguente aumento dell'efficienza, del comfort del paziente e della sicurezza. Queste innovazioni sono tutte presenti nel dispositivo ad ultrasuoni (Tigon +, W&H Dentalwerk Bürmoos GmbH) attualmente impiegato dagli autori, ad esempio.
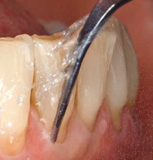
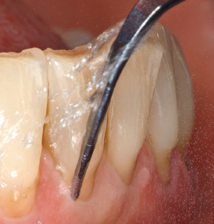
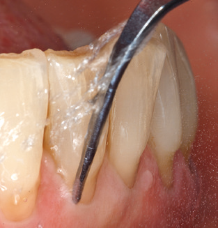
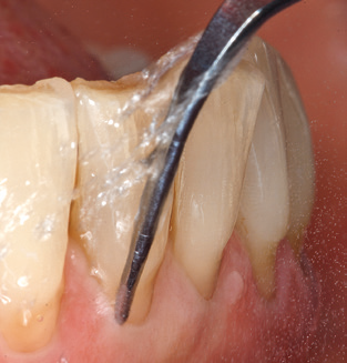
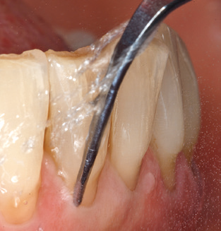
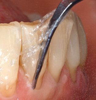
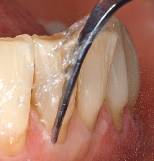
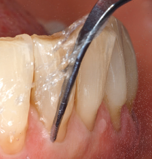
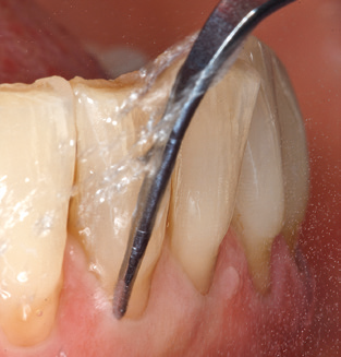
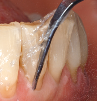
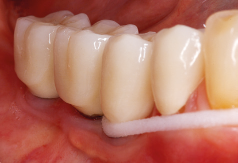
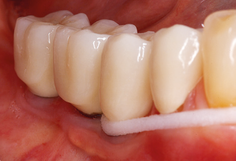
Una buona illuminazione del campo di lavoro facilita notevolmente il processo. Il sistema utilizzato dagli autori ottiene questo risultato grazie a un anello LED 5x integrato nel manipolo. Naturalmente, viene offerta anche una serie di consigli di lavoro per diverse indicazioni. Un inserto diritto, utilizzabile universalmente, è lo strumento di base necessario per la pulizia meccanica dei denti naturali (Fig. 5a e b). Sono disponibili anche inserti curvi, che consentono l'accesso alle forcazioni esposte, per le aree difficili da raggiungere nella regione posteriore (Fig. 6).
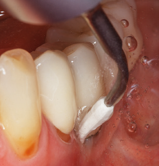
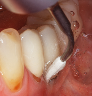
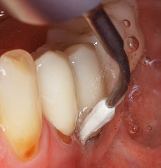
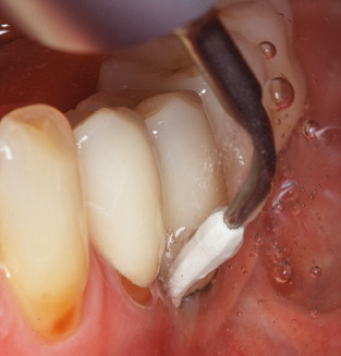
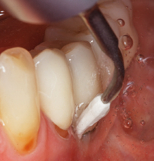
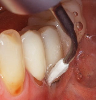
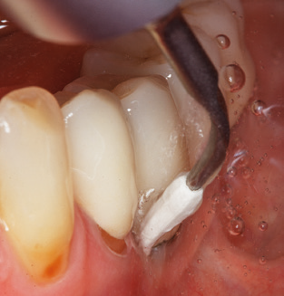
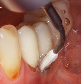
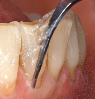
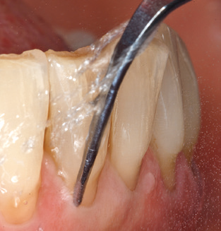
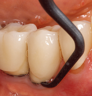
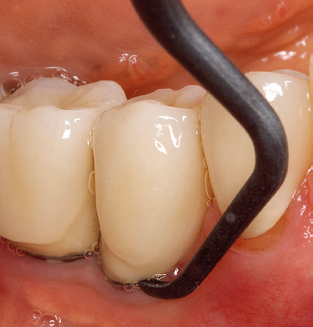
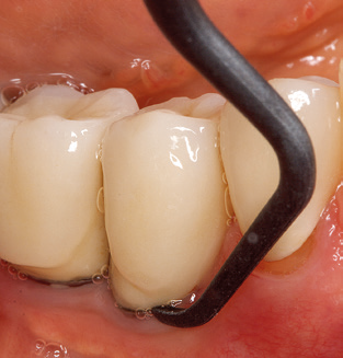
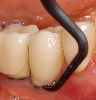
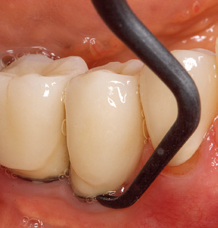
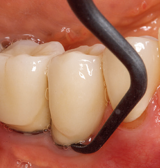
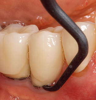
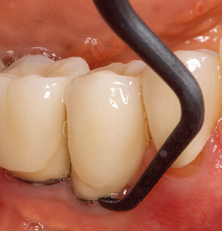
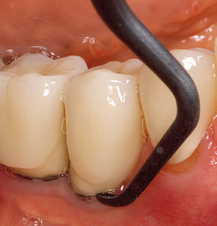
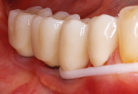
Naturalmente, anche i consigli di lavoro per la pulizia delle superfici degli impianti sono indispensabili per SPT nei pazienti dotati di impianti. L'inserto per la pulizia dell'impianto in questo casoi è caratterizzato dal suo design affusolato ed esagonale. Questo design consente una penetrazione leggera e atraumatica nella tasca perimplantare e mostra buone prestazioni di pulizia (Fig. 7).
Il feedback dei pazienti raccolto ha rivelato che il sistema offre anche due vantaggi che aumentano il comfort del paziente: il preriscaldamento del fluido di risciacquo, che evita l'irritazione durante la pulizia delle superfici sensibili dei denti, e la modalità Smooth del sistema. In questa modalità, la potenza del sistema diminuisce quanto più la punta viene premuta contro il dente. Entrambi gli aspetti rendono il trattamento più piacevole per i pazienti rispetto ad altri sistemi ad ultrasuoni utilizzati in passato.




Un terzo aspetto estremamente rilevante a favore dell'uso di questo sistema è il fatto che è anche approvato per l'uso in pazienti dotati di pacemaker. L'uso di strumenti ad ultrasuoni in questi pazienti era controindicato in passato - ora c'è un sistema disponibile che è veramente universalmente applicabile.
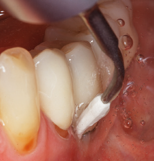
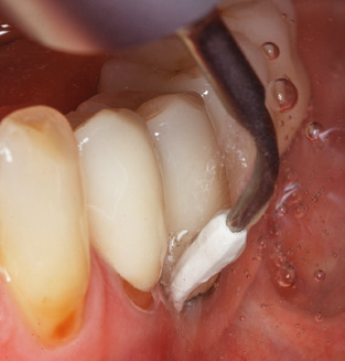
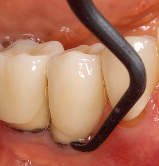
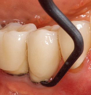
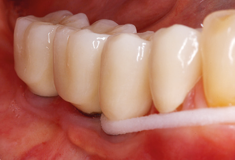
Dopo la pulizia meccanica delle superfici dei denti e degli impianti, le superfici dei denti naturali vengono pulite manualmente utilizzando strumenti manuali standard. Quando si esegue la pulizia manuale, è necessario prestare particolare attenzione a mantenere il corretto angolo di applicazione, un'adeguata nitidezza, un buon supporto e lavorare con la curette dall'apicale al coronale. Curette in titanio o carbonio devono essere utilizzate per la post-pulizia delle strutture dell'impianto (Fig. 8). Oltre all'uso di dispositivi ad ultrasuoni, i dispositivi power jet possono essere utilizzati anche in odontoiatria conservativa. Tuttavia, si deve considerare che queste procedure non sono adatte per rimuovere depositi duri e quindi non possono sostituire completamente l'uso di strumenti manuali e strumenti ad ultrasuoni. In tutti i casi, la pulizia è seguita dalla lucidatura meccanica del dente accessibile e delle superfici dell'impianto con ventose e composti di lucidatura (Fig. 9).
Se necessario, il paziente viene nuovamente istruito sull'uso di ausili adeguati per una corretta igiene orale a casa (Fig. 10).
Ad oggi, il beneficio di un'applicazione aggiuntiva di agenti antibatterici nell'ambito di SPT deve ancora essere sufficientemente clinicamente dimostrato e non è quindi raccomandato come componente del trattamento di base. L'attenzione qui è sulla rimozione meccanica del biofilm.
Una sessione SPT che utilizza il flusso di lavoro descritto richiede in genere circa 60 minuti. Un ottimo modo per terminare il trattamento è fissare il prossimo appuntamento SPT.
Sommario
Un'assistenza standardizzata e regolare a misura di rischio nell'ambito di SPT è la chiave per il successo del trattamento clinico a lungo termine nei pazienti con situazione periodontale compromessa. Ciò è particolarmente vero per i pazienti a cui vengono applicati impianti dopo il trattamento parodontale completato con successo (Fig. 11a e b).
Prima di iniziare il trattamento protesico, è consigliabile informare il paziente del tempo e dei costi finanziari associati all'SPT (da due a quattro sessioni SPT all'anno per il resto della sua vita). Ciò contribuisce in modo significativo a garantire la collaborazione del paziente. Inoltre, la pianificazione è necessaria per valutare le stanze e il personale necessari per la cura dei pazienti trattati periodonticamente.
Informazioni sui contatti degli autori
Prof. Dr. Dirk Ziebolz, M.Sc.
University Hospital Leipzig, Department of Conservative Dentistry and Periodontology
Liebigstrasse 10-14, 04103 Leipzig, Germany
dirk.ziebolz@medizin.uni-leipzig.de
www.zahnerhaltung.uniklinikum-leipzig.de
DH Barbara Kampfmann
Praxisklinik für Zahnmedizin
Priv.-Doz. Dr. S. Rinke, M.Sc., M.Sc.,Dr. M. Jablonski, H. Ziebolz & Kollegen
Geleitstraße 68, 63456 Hanau, Germany
hanau@ihr-laecheln.com
www.ihr-laecheln.com
maggiori info

Letteratura
- Heitz-Mayfield LJ: Peri-implant diseases: diagnosis and risk indicators. J Clin Periodontol 2008;35 (Suppl 8):292-304.
- Jepsen S, Berglundh T, Genco R, Aass AM, Demirel K, Derks J, et al.: Primary prevention of peri-implantitis: managing peri-implant mucositis. J Clin Periodontol 2015; 42 (Suppl 16):152-157.
- Monje A, Aranda L, Diaz KT, Alarcón MA, Bagramian RA, Wang HL, et al.: Impact of Maintenance Therapy for the Prevention of Peri-implant Diseases: A Systematic Review and Meta-analysis. J Det Res 2016;43:323-334.
- Pjetursson BE, Helbling C, Weber HP, Matuliene G, Salvi GE, Brägger U, et al.: Peri-implantitis susceptibility as it relates to periodontal therapy and supportive care. Clin Oral Implants Res 2012;23:888-894.
- Roccuzzo M, De Angelis N, Bonino L, Aglietta M: Ten-year results of a three-arm prospective cohort study on implants in periodontally compromised patients. Part 1: Implant loss and radiographic bone loss. Clin Oral Implants Res 2010;21:490-496.
- Roccuzzo M, Bonino F, Aglietta M, Dalmasso P: Ten-year results of a three-arms prospective cohort study on implants in periodontally compromised patients. Part 2: Clinical results. Clin Oral Implants Res 2012;23:389-395.
- Roccuzzo M, Bonino L, Dalmasso P, Aglietta M: Long-term results of a three-arms prospective cohort study on implants in periodontally compromised patients. Part 3: 10-year data around sandblasted and acid-etched (SLA) surface. Clin Oral Implants Res 2014;25:1105-1112.
- Graetz C, Bräuning A, Plaumann A, Springer C, Kahl M, Dörfer CE. Antiinfektiöse Therapie - Instrumente zur Wurzeloberflächenbearbeitung im Fokus. Parodontologie 2016; 27:165-183
- Renvert S, Roos-Jansåker AM, Claffey N: Non-surgical treatment of peri-implant mucositis and peri-implantitis: a literature review. J Clin Periodontol 2008; 35 (Suppl 8):305-315.
- Renvert S, Polyzois I, Persson GR: Treatment modalities for peri-implant mucositis and peri-implantitis. Am J Dent 2013;26:313-318
- Louropoulou A, Slot DE, Weijden F: The effects of mechanical instruments on contaminated titanium dental implant surfaces: a systematic review. Clin Oral Implants Res 2014;25:1149-1160.
- Figuero E, Graziani F, Sanz I, Herrera D, Sanz M. Management of peri-implant mucositis and peri-implantitis. Periodontol 2000 2014;66:255-273.
- Mann M, Parmar D, Walmsley AD, Lea SC: Effect of plastic-covered ultrasonic scalers on titanium implant surfaces. Clin Oral Impl Res 2012;23:76-82.
- Mengel R, Buns CE, Mengel C, Flores-de-Jacoby L: An in vitro study of the treatment of implant surfaces with different instruments. Int J Oral Maxillofac Implants 1998;13:91-96.
- Mengel R, Meer C, Flores-de-Jacoby L: The treatment of uncoated and titanium nitride-coated abutments with different instruments. Int J Oral Maxillofac Implants 2004;19:232-238.
- Fox SC, Moriarty JD, Kusy RP: The effects of scaling a titanium implant surface with metal and plastic instruments: an in vitro study. J Periodontol 1990;61:4854-90.
- Dmytryk JJ, Fox SC, Moriarty JD: The effects of scaling titanium implant surfaces with metal and plastic instruments on cell attachment. J Periodontol 1990;61:491-496.
- Ziebolz D, Klipp S, Schmalz G, Schmickler J, Rinke S, Kottmann T, et al.: Comparison of different maintenance strategies within supportive implant therapy for prevention of peri-implant inflammation during the first year after implant restauration – a randomized, practice-based multicenter study of a dental hygienist setting. Am J Dent 2017;30:190-196.
Commenti